最新公告:

  没有公告

您现在的位置: 心灵之窗-眼科医生网 >> 眼科知识 >> 眼科医生 >> 病例探讨 >> 正文
专题栏目
更多内容
相关文章
更多内容
[组图]左眼球渐进性突出,间断红肿2年         
左眼球渐进性突出,间断红肿2年
作者:肖利华 文章来源:本站原创 点击数:8041 更新时间:2003/6/14 20:08:03

患者男性10岁。籍贯河南。
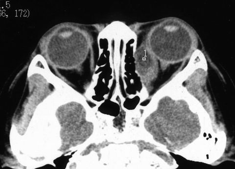
左眼球渐进性突出,间断红肿2年。曾用抗生素+激素治疗有效。但反复发作,眼球突出加重。于2000年5月住院治疗。入院检查:全身正常。眼科检查:双眼视力1.0。左眼眼睑无红肿,眼球突出测量:右眼12㎜,左眼18㎜,眶距95㎜。眶压增高,眼球突出,轻度外移位,内收明显受限,外展仅30°(图1)。眼底后极部轻度水肿。CT扫描如图2。入院期间左眼突然红肿,眼球突出加重,眶压增高,轻度恶心(图3)。

1.jpg (40133 字节)

2.jpg (48118 字节)

3.jpg (53102 字节)
1.    诊断
2.    鉴别诊断
3.    如何分析CT片
4.    进一步检查
5.    治疗方案

 

肖利华老师的标准答案
1.诊断 眼眶寄生虫病
依据:(1)反复眼部红肿
(2)经抗菌素及激素治疗有效
(3)此次发作类似眶蜂窝织炎 因病变本身为炎症可致眶蜂窝织炎发作,但经治疗后迅速恢复正常
(4)典型的CT及超声图像
(5)病人来自农村 有发生寄生虫病的可能
2.鉴别诊断
(1)眼眶炎症 反复发作 但无典型的影像表现
(2)眼眶蜂窝织炎 常合并邻近副鼻窦的炎症(CT可显示) 病变多位于内侧骨膜下
3.如何分析CT片 左球后内侧椭圆形占位病变  内密度低(表示有液体)有时可在低密度的病变内显示点状高密度(囊虫)。邻近副鼻窦正常
4.进一步检查 B超显示(如图):球后占位病变内有低回声,其内有强回声光点(囊虫,箭头)及筋膜囊水肿
5.治疗方案 内侧开眶顺利取出囊虫及周围部分囊壁 随访二年未复发

肖利华

眼科资讯录入:毛进    责任编辑:毛进 
  • 上一篇眼科资讯:

  • 下一篇眼科资讯:
  • 【字体: 】【发表评论】【加入收藏】【告诉好友】【打印此文】【关闭窗口
      网友评论:(只显示最新10条。评论内容只代表网友观点,与本站立场无关!)

    | 设为首页 | 加入收藏 | 联系站长 | 友情链接 | 版权申明 |
    眼科医生网 眼科医生网版权所有 @ 1998-2012
    部分文章和资源来源于网络,如果侵犯了您的版权,请指出! 站长:毛进
    信息产业部备案
    *京ICP备18030162号