最新公告:

  没有公告

您现在的位置: 心灵之窗-眼科医生网 >> 眼科知识 >> 眼科专业 >> 最新动态 >> 正文
专题栏目
更多内容
相关文章
更多内容
[推荐]美国FDA提示:如何躲避装饰性隐形眼镜带来的伤害         ★★★
美国FDA提示:如何躲避装饰性隐形眼镜带来的伤害
作者:佚名 文章来源:网络分享 点击数:2153 更新时间:2012/12/19 18:03:05

(装饰性隐形眼镜)

 你也许希望自己万圣节起来像你最喜欢的明星或歌手那样拥有完美出众的外表,但是,选择佩戴隐形眼镜来改变你的眼睛可能会使你的视力受到损害,装饰性的隐形眼睛又叫做:时尚隐形眼镜;万圣节隐形眼镜;彩色隐形眼镜;化妆隐形眼镜或戏剧隐形眼镜。

  装饰性隐形眼镜只能改变你眼睛的外观,但是不能调节视力。它们只能暂时性的把你棕色的眼睛变成蓝色,或者让你的眼睛看起来像猫的眼睛或像吸血鬼的眼睛那样夸张,为了能在万圣节聚会上更突出。

  但是,你知道这些装饰性隐形眼镜其实是医疗器械吗?美国食品药品监督管理局对这些装饰性隐形眼镜的监管和其他常规隐形眼镜是一样的。

  就想购买正常隐形眼镜一样,你不应该从路边小店,化妆品店,跳蚤市场,创意小店或万圣节用品商店来购买隐形眼镜,并且你应该有一张处方。

  你需要知道的危险性:

  佩戴装饰性隐形眼镜是存在风险的,就像佩戴正常隐形眼镜一样。如果使用不当它们会给眼睛带来严重的损害。

  其中的风险包括:

  刮伤眼球表面,刮伤角膜;

  过敏反应,发痒,流泪,红肿;

  视力下降;

  感染;

  失明;

 

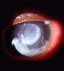
(铜绿假单胞菌感染)

  无论你佩戴哪种隐形眼睛,都应该警惕一下这些症状,它们可能预示着眼部的感染:

  眼睛红肿,充血;

  眼睛疼,并且这种疼痛无法在短时间内缓解;

  视力减退;

  如果你已经出现了以上这些症状,你需要马上去看医生,眼部感染可能会严重恶化,如果没有及时治疗可能会导致失明。

  但是,如果你依照你的医生的指导来清洁、保存和佩戴你的隐形眼镜,并从正规的渠道购买隐形眼镜,你就可以避开这些风险。

  在决定佩戴隐形眼镜之前哪些是你应该做的:

  1、正规的眼科检查,医生会检查你的眼睛与隐形眼镜是否能够完美的贴合,这非常重要,因为不合适的隐形眼镜会损害你的眼睛,在开始佩戴后也要定期进行检查。

  2、使用医生的处方购买隐形眼镜,你的眼科医生会给你开具一张包含有商品名称,正确眼镜度数和有效期。

  3、遵循说明书,你要遵循隐形眼镜附带的说明书来佩戴、清洁和保存你的隐形眼镜,如果没有说明书,请向你医生寻求指导。

  哪些是你不应该做:

  不要和别人共用隐形眼镜,你会和别人共用你的牙刷吗?所有人的眼睛都是不同的形状和大小,你的隐形眼镜只适合你自己。

  不要自行购买隐形眼镜,如果你不看医生不遵从医生的处方来购买隐形眼睛,那么你买到的隐形眼镜可能根本不适合你,还有可能损害你的眼睛,有时,即使你的眼睛本身没有任何问题,佩戴隐形眼睛也有可能损害你的角膜。所以,依照医生处方来购买隐形眼镜,并定期检查,会减少你的眼睛受到损害的机率。

 

 

 
眼科资讯录入:liqiaolin    责任编辑:liqiaolin 
  • 上一篇眼科资讯:

  • 下一篇眼科资讯:
  • 【字体: 】【发表评论】【加入收藏】【告诉好友】【打印此文】【关闭窗口
      网友评论:(只显示最新10条。评论内容只代表网友观点,与本站立场无关!)

    | 设为首页 | 加入收藏 | 联系站长 | 友情链接 | 版权申明 |
    眼科医生网 眼科医生网版权所有 @ 1998-2012
    部分文章和资源来源于网络,如果侵犯了您的版权,请指出! 站长:毛进
    信息产业部备案
    *京ICP备18030162号