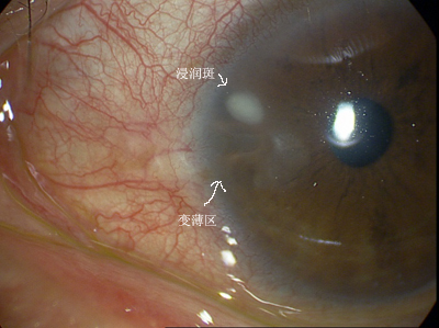
[讨论]边缘性角膜变性——诊断和治疗
左眼裂隙灯下所见,病变集中在鼻侧。
此主题相关图片如下:

加荧光素后蓝光下照片
此主题相关图片如下:

右眼照片,鼻侧有陈旧病变痕迹。
此主题相关图片如下:

病史:
男性,60岁
双眼反复红,畏光,流泪十余年
每次发病时主要感觉眼红,畏光,流泪,视力尚无影响。一般是反复,双眼交替发作。有时感觉诱因是感冒,有时诱因不明显。最初未治疗,戴墨镜,休息几天后自行好转。今年发作程度重,频繁(2个月就发作一次),持续时间长。
查体:视力双眼0.8,眼压正常。左眼鼻侧球结膜充血,鼻侧角膜缘有新生血管长入,局部有2个条形角膜变薄区,其上方有一个灰白色浸润灶,变薄区和浸润灶表面均无荧光素染色。右眼结膜不充血,鼻侧角膜缘也有变薄区,无浸润灶。
请大家讨论:
1,疾病诊断
2,治疗方法
边缘性角膜炎——诊断和治疗
近期门诊遇到的一个病人
年轻女性,双眼近半年来反复红,畏光,流泪,加重2天。
查:视力双眼1.0,右眼下方球结膜充血,接近角膜缘处更明显,有新生血管向角膜缘内长入,周边角膜尚透明,有点状荧光素染色。
此主题相关图片如下:
给与0.5%强的松龙滴眼液,右眼,4/日;贝复舒滴眼液,右眼,4/日。治疗4天后复查,右眼情况无好转,左眼又出现类似情况。
请大家讨论:
1,诊断
2,治疗
进一步详情请访问眼科医生专业论坛
http://www.oculist.net/bbs/dispbbs.asp?boardID=3&ID=18552&page=1
http://www.oculist.net/bbs/dispbbs.asp?boardID=3&ID=18556&page=1
|