斑点状内层脉络膜炎主要累及有近视的年轻女性(年龄从18至37岁)平均屈光度数- 6.50D,该症累及单或双眼,无前房及玻璃体内的炎症表现,病变局限于内层脉络膜,大小直径约100—300um,通常病灶数多达2—50个,分布于后极部,典型病灶的FA显示早期低荧光,后期荧染,临床病程常在4至6周,视网膜下积液会自行吸收,并遗留下RPE改变,罕见CNV、纤维化或斑痕化。
一般资料
一位女患者,28岁,高度近视(双眼- 7.0D),2003年5月份发病,主诉右眼前黑影,伴视力下降,到同仁医院就诊,诊断为APMPPE,治疗经过不详,一月后视力逐渐恢复,9月份旧病复发来我院就诊。
检查及病程
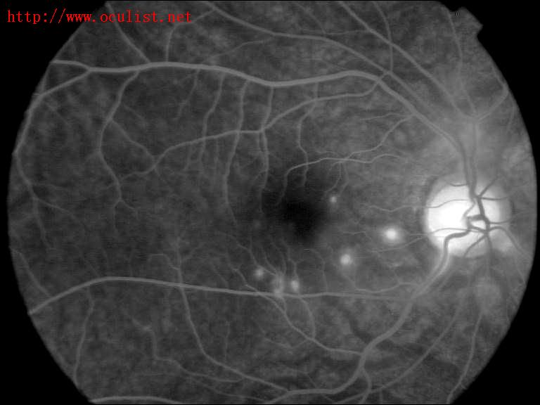
患者双眼视力VD0.04, VS0.08, 眼底检查可见黄斑区数个黄色圆点状视网膜色素上皮 (RPE)病变,(图1)2003年9月17日用日本拓普康数字化处理系统造影机做眼底血管造影,FA显示右眼黄斑鼻侧及下侧早期可见数个颗粒状低荧光,随时间延长,荧光增强,晚期呈强荧光,但并无荧光渗漏,未见 (CNV),经改善微循环,营养视网膜治疗,2月后患者逐渐恢复,双眼视力一直保持稳定,视力VD0.06, VS0.08,矫正视力VD0.8, VS0.8。
讨论
对这位患者的鉴别诊断包括:多发病灶性脉络炎(MFC), 近视性视网膜变性,急性多发性后极部鳞状色素上皮病变(APMPPE),结合该患者的视力,眼底表现(病灶大小和深度),玻璃体内无细胞,患者的年龄与性别以及疾病发展过程和FA表现等各方面因素来看,均支持斑点状内层脉络膜炎。在疾病的治疗方面目前尚无定论,可选择对患者观察、随访,口服或局部应用激素和营养药物,斑点状内层脉络炎愈后通常较好,因为疾病往往有自限性,病程发展4至6周后有自愈倾向,但可反复发作。



|