Chapter 35
Noninfectious Orbital Inflammatory Disease
JAMES W. KARESH, JOHN C. BAER and RAMZI K. HEMADY
Main Menu   Table Of Contents

Search


The authors and editors thank the previous authors of this chapter for use of the following figures: 4A and B; 5; 6A through F; 7; 8; 9A through E; 11E; 12; 13; and 14E.

IDIOPATHIC ORBITAL INFLAMMATION (INFLAMMATORY “PSEUDOTUMOR”) AND RELATED LOCALIZED INFLAMMATORY CONDITIONS
OTHER LOCALIZED IDIOPATHIC ORBITAL INFLAMMATORY PROCESSES
REACTIVE ORBITAL INFLAMMATION
ORBITAL INFLAMMATION ASSOCIATED WITH SYSTEMIC DISEASE AND VASCULITIS
ORBITAL INFLAMMATION AND VASCULITIS ASSOCIATED WITH CONNECTIVE TISSUE DISEASE
ORBITAL INFLAMMATION ASSOCIATED WITH SYSTEMIC DISEASE AND PANNICULITIS
GRANULOMATOUS ORBITAL INFLAMMATION ASSOCIATED WITH SYSTEMIC DISEASE
IDIOPATHIC ORBITAL INFLAMMATION ASSOCIATED WITH SYSTEMIC FIBROSCLEROSIS
REFERENCES

Inflammatory disease involving the orbit represents a diverse group of entities (Table 1). These pathologic processes account for over 50% of the diseases that occur in the orbit.1,2 Thyroid-related orbitopathy comprises approximately one half all orbital inflammations. For this reason, and for its varied and complex presentation and treatment, it is covered separately from the present discussion. Infections account for almost 45% of the remaining inflammatory orbital processes.1,2 The etiologic agents associated with this group and the management of these entities differ significantly from the inflammations to be discussed here. For this reason, they, too, are described elsewhere.

 

TABLE 1. Orbital Inflammatory Processes Infectious: bacterial, viral, fungal, parasitic Immunogenic Localized Idiopathic

  Anterior orbit/ocular: scleritis, tenonitis, papillitis, uveal effusion syndrome
  Orbital: “pseudotumor,” superior orbital fissure and cavernous sinus syndrome (Tolosa-Hunt syndrome), pseudosarcomatous (nodular) fasciitis
  Myositic: myositis
  Lacrimal: dacryoadenitis, benign lymphoepithelial lesion
  Angiitic: orbital thrombophlebitis, orbital vasculitis
  Reactive

  Amyloidosis
  Ruptured dermoid
  Retained foreign body
  Nonresorbed orbital hemorrhage
  Giant cell reparative granuloma
  Sinusitis


  Systemic

  Thyroid-related orbitopathy
  Vasculitis
  Temporal or giant cell arteritis
  Polyarteritis nodosa
  Vasculitis associated with connective tissue disease: systemic lupus erythematosus, dermatomyositis, rheumatoid arthritis
  Wegener's granulomatosis
  Lymphomatoid granulomatosis
  Idiopathic midline destructive disease (polymorphic reticulosis)
  Atypical Cogan's syndrome (necrotizing vasculitis, hearing loss, vertigo, orbital inflammation)
  Churg-Strauss syndrome (allergic granulomatosis and angiitis)
  Granulomatous disease
  Sarcoidosis
  Erdheim-Chester disease (systemic xanthogranulomatosis)
  Juvenile xanthogranuloma
  Pseudorheumatoid nodules
  Necrobiotic xanthogranuloma
  Nonsuppurative nodular panniculitis (Weber-Christian disease)
  Multifocal fibrosclerosis
  Sjogren's syndrome
  Angiolymphoid hyperplasia with eosinophilia (Kimura's disease)


 

The inflammatory processes that are the subject of this chapter are for the most part immunogenic and, in general, are idiopathic.3–5 The primary exception to this is reactive orbital inflammation secondary to a retained foreign body, nonresorbing blood products, a ruptured dermoid cyst, amyloid deposition, sinusitis, and giant cell reparative granuloma. However, these represent a very small proportion of orbital inflammatory lesions. Of the idiopathic causes of localized orbital inflammation, inflammatory orbital “pseudotumor” comprises the largest group of nonthyroid noninfectious orbital disease and may constitute between 5% and 8% of all orbital lesions.3,4 A separate group of primarily idiopathic inflammatory orbital disease are those associated with systemic manifestations.3 Many of these are vasculitic, in particular, those associated with collagen vascular diseases and necrotizing granulomatous processes such as Wegener's granulomatosis and idiopathic midline destructive disease. Most of the remaining fall into a group of granulomatous processes of which sarcoidosis is by far the most common.

Orbital inflammation manifests itself in a variety of ways depending on the acuteness of the disease process. Orbital cellulitis and idiopathic inflammatory “pseudotumor” are most often associated with acute symptomatology, while sarcoidosis demonstrates a more chronic pattern of symptoms. In acute inflammation, symptoms develop over several hours to days. There is usually pain, proptosis, periorbital edema, tenseness, erythema, and conjunctival injection and chemosis. Eyelid ptosis is present secondary to edema. The extraocular motility may be compromised because of either orbital swelling or direct involvement of the extraocular muscle. Visual acuity may be reduced owing to corneal exposure and drying or involvement of the optic nerve through either inflammation or pressure by the surrounding orbital structures. Intraocular inflammation including both uveitis and vitreitis as well as retinal detachment and papillitis may also be present. Patients may also demonstrate malaise and lassitude. In addition to infectious processes and idiopathic inflammation, aggressive neoplastic diseases such as rhabdomyosarcoma, chloroma, and metastatic tumors as well as acute hemorrhage into a lymphangioma must also be considered in the differential diagnosis of these findings.

Symptoms and findings associated with subacute inflammation make up the vast majority of manifestations associated with orbital inflammatory disease.3–7 These types of symptoms are usually seen in thyroid-related orbitopathy but are also found in idiopathic orbital inflammation, especially myositis and dacryoadenitis, Wegener's granulomatosis and other vasculitic processes, chronic infections (particularly those associated with fungi and parasites), and primary or secondary orbital malignancies. In general, subacute processes either may slowly progress over several weeks or months or may have a course that undergoes cycles of progression and remission while worsening. Pain may be present but is usually not as severe as that seen in acute inflammation and may be remitting. As with acute inflammatory processes, proptosis, motility disturbances, edema, and injection of the eyelids and conjunctiva are all seen in patients with subacute inflammation. Visual loss and optic disc edema may occur secondary to optic nerve involvement.

Chronic inflammatory orbital disease is usually not associated with significant symptomatology early in its course although, over the course of the disease process, proptosis, extraocular motility disturbances, and edema of the eyelids and conjunctiva will occur.3–7 Pain is not usually a feature of chronic inflammation but may occur in sclerosing forms of orbital inflammation. Underlying these findings is a chronic infiltration of the orbital tissues or simply a slowly progressive mass effect. Sarcoidosis, lymphoproliferative and neoplastic processes, thyroid-related orbitopathy, collagen vascular disease, amyloidosis, and reactive granulomatous processes (e.g., cholesterol granuloma and ruptured dermoid cyst) should all be considered in the differential diagnosis.

Back to Top
IDIOPATHIC ORBITAL INFLAMMATION (INFLAMMATORY “PSEUDOTUMOR”) AND RELATED LOCALIZED INFLAMMATORY CONDITIONS
Idiopathic orbital inflammation is the most commonly reported process associated with orbital inflammatory symptomatology.3–7 This is a localized disease process without systemic manifestations. It exists in many variations, the most common of which is known as idiopathic inflammatory “pseudotumor.”4,5In 1930 Birch-Hirschfeld first used the term pseudotumorto describe orbital inflammation that was associated with proptosis and appeared to be caused by a neoplasm.8 He described three different types of “pseudotumor”: (1) proptosis that at the time of surgery demonstrates no associated orbital mass but that is accompanied by orbital tissue that when biopsied shows nonspecific chronic inflammation, (2) proptosis that at the time of surgery demonstrates an orbital mass that when biopsied shows nonspecific chronic inflammation, and (3) proptosis that resolves spontaneously without surgical intervention. However, this does not describe the entire spectrum of manifestations associated with idiopathic orbital inflammation. When specific orbital structures are involved, it can be described as myositis, dacryoadenitis, tenonitis, scleritis, trochleitis, or perioptic neuritis.4,7,9–16 When the superior orbital fissure and cavernous sinus alone are involved, it is called the Tolosa-Hunt syndrome.17–19 In addition to manifesting as a specific distinct tumorous mass located either intraconally or extraconally, it can also appear as a diffuse orbital inflammation and may on occasion spread intracranially, cause bony orbital destruction, and, rarely, extend into adjacent sinus cavities.5,20–25

An important characteristic of all idiopathic inflammatory orbital disease is that no systemic or local cause for the inflammatory response can be identified. In this regard it is a diagnosis of exclusion. The main considerations in the differential diagnosis of this entity are neoplastic processes; thyroid-related orbitopathy; infectious entities such as syphilis, tuberculosis, parasitic infestations, and fungal infections; sarcoidosis; amyloidosis; and various vasculitides, including Wegener's granulomatosis and polyarteritis nodosa. What remains is a chronic nonspecific inflammatory reaction that is distinctly polymorphic and localized to the orbit. This infiltrate consists of lymphocytes, plasma cells, fibroblasts, macrophages, occasional neutrophils, eosinophils, and epithelial cells; rare granuloma formation and lymphoid follicles; and collagen deposition.3,4,6 The number and composition of these elements may differ with the acuteness or chronicity of the inflammatory process. Similar localized idiopathic inflammatory reactions have been identified in other body tissues including the liver, lung, and skin.26–31

Epidemiology

As already noted, idiopathic orbital inflammation comprises about 6% of all orbital lesions in various series. The incidence of this process appears to be equal between males and females and has no racial preference.1Although it is most common in the third through fifth decades of life, it has been reported in children as well as older adults.32–34 It tends to be unilateral, although bilateral disease has been reported, and it may even alternate between one orbit and the other.1,35,36Resistant and recurrent disease occasionally occurs despite appropriate management.

Ocular and Systemic Manifestations

The manifestations of idiopathic orbital inflammation vary depending on which orbital structures are involved (Figs. 1 THROUGH 4).3–7 The most common features of this process are pain and proptosis. These symptoms develop rapidly, usually within hours to days, although in some cases they may develop over several weeks. In addition, generally there is chemosis and conjunctival injection often over the extraocular muscle insertions, as well as eyelid edema and ptosis. However, these findings are not always present and painless, quiet proptosis may occur. Proptosis may not be present in instances of dacryoadenitis.5,11 Instead, eyelid edema and a palpable painful mass in the lateral eyelid may be present. Diplopia and painful disturbances of ocular motility are usually present in the diffuse form of the disease, the superior orbital fissure syndrome, or in myositis but are less common in cases of localized “pseudotumor.” Visual loss is unusual but may be associated with intraocular inflammation as well as perineuritis of the optic nerve. Nonspecific constitutional symptoms of malaise and fatigue may also be associated with these various orbital symptoms.26

Fig. 1. A. A 36-year-old woman presented with right-sided pain and proptosis occurring over a several-day period. Externally the eye is quiet and does not appear inflamed. The patient had no complaints of diplopia or other visual disturbances. Tissue obtained at biopsy demonstrated idiopathic orbital inflammation. B. Axial CT image from the same patient demonstrates bilateral orbital masses located laterally in the orbits. Note that masses are ill defined and do not appear to have a capsule. The masses are molded to the bony orbital walls without evidence of any bony irregularities. C. Coronal CT image from the patient again shows the presence of bilateral orbital masses apparently involving the lateral rectus muscles.

Fig. 2. A 54-year-old woman presented with acute orbital inflammation demonstrating significant proptosis and inflammatory signs involving the right orbit. In addition to severe pain, the patient had diplopia secondary to orbital edema and inflammation.

Fig. 3. A. A 62-year-old woman presented with diplopia and minimal right-sided proptosis. B. Enlarged lateral rectus muscle is visible subconjunctivally. C. Axial CT image confirms myositis involving the lateral rectus muscle. Note that the muscle as well as its tendon are involved in the inflammatory process in contrast to muscle involvement in thyroid-related orbital disease. D. T1-weighted MRI image demonstrating myositis involving the lateral rectus muscle. In this case the muscle belly is enlarged but the tendon appears relatively unaffected. E. T2 weighted MRI image of orbital myositis showing little difference in appearance of muscle between T1- and T2-weighted images.

Fig. 4. A and B. Gross specimen of old, burned out, involuted granuloma from a patient with idiopathic orbital inflammation. Note lack of vascularity.

ACUTE ANTERIOR ORBITAL INFLAMMATION. This entity is characterized by inflammation of the globe, in particular the sclera and Tenon's capsule, and the surrounding orbital tissues.3,5,6,37 The process may either be acute or subacute but is usually associated with decreased vision due either to uveitis with or without an associated exudative retinal detachment or to papillitis and perineuritis.38 Chemosis, conjunctival injection (especially involving the episcleral vessels), eyelid edema, and acute pain radiating to the temple are also features of this process. Rarely there may be anterior segment cell and flare and even a sterile hypopyon. The differential diagnosis of anterior orbital inflammation includes orbital cellulitis, rupture of a dermoid cyst, a hemorrhagic episode associated with a lymphangioma, localized scleritis and uveitis, collagen vascular disease, rhabdomyosarcoma, or leukemic orbital infiltration.3,6

A type of uveal effusion syndrome may be present in association with anterior orbital inflammation.6,39,40 This often occurs in young males and is associated with exudative retinal detachment. Also present may be a diffuse and nodular choroidal swelling, thickened sclera, and retinal folds in addition to the accumulation of fluid between the sclera and choroid. Wegener's granulomatosis can be associated with similar findings.41,42 Hypertrophy and hyperplasia of the retinal pigment epithelium may also be present. This may mimic involvement of the choroid with melanoma, metastatic disease, or lymphoma.idiopathic orbital inflammation.The symptoms associated with this entity are similar but more severe than those seen with anterior orbital inflammation.4–6 Visual loss due to papillitis and exudative retinal detachment, proptosis, and soft tissue inflammatory signs are present and are often more severe than in anterior orbital inflammation. In addition, it is associated with diplopia and limitation of extraocular motility. All tissues of the orbit are involved, including the fat, muscles, globe, and optic nerve. Rarely the inflammatory process may erode through bone and extend into the adjacent sinus cavities.3,20,21 Neoplastic processes, sarcoidosis, and orbital cellulitis are part of the differential diagnosis.

FOCAL IDIOPATHIC ORBITAL “PSEUDOTUMOR.” Localized inflammatory processes within the orbit often present as solitary neoplastic processes.4–6 These are characterized by proptosis with or without signs of acute inflammation.Diplopia may be present if there is also muscle involvement or due to surrounding edema. This process is often subacute as opposed to anterior orbital inflammation. Neoplastic disease again represents the most important diagnosis to exclude when considering these findings.

ORBITAL APEX AND SUPERIOR ORBITAL FISSURE INFLAMMATORY SYNDROME. Idiopathic inflammation involving the orbital apex is associated with marked restriction of ocular motility as well as pain and minimal proptosis.18,22,43–47 The pain is present behind the globe and is boring and persistent. There is often little evidence of obvious inflammatory signs such as eyelid edema, chemosis, and conjunctival injection. Decreased vision and an afferent pupillary defect are frequently present due either to the presence of perineuritis or to compression of the nerve by the surrounding edema. Computed tomography (CT) of the orbit will demonstrate a diffuse inflammatory process in the posterior orbit with extension into the adjacent orbital fat. The inflammation may be noted to extend forward along the optic nerve and extraocular muscles or posteriorly through the superior orbital fissure.3,20

The Tolosa-Hunt syndrome is a specific form of apical idiopathic orbital inflammation involving the superior orbital fissure and the cavernous sinus.17,43–52 It is acute in onset and often progresses rapidly. Although usually unilateral, it may be bilateral. There is involvement of all the structures traveling through the fissure, including the third, fourth, and sixth cranial nerves and the first division of the trigeminal nerve with hypesthesia of the upper eyelid, forehead, and scalp as well as the optic nerve. Patients with this syndrome experience headache and pain that is constant, deep, and boring.45,53 Compromise of the superior orbital vein will result in edema of the eyelids and chemosis.52,54 The sympathetic innervation to the pupil may also be affected, resulting in pupillary dilatation and decreased pupillary motility. The inflammatory process appears to begin in the cavernous sinus and extend anteriorly. This accounts for the occasional involvement of the second division of the trigeminal nerve, which travels through the foramen rotundum and the inferior orbital fissure, and of the optic nerve, which is adjacent to the inflamed orbital apical structures. Although generally diffuse, this syndrome has been reported to occur in association with a discrete orbital mass.50

There are a number of diagnoses that must be considered in the evaluation of apical inflammation and the Tolosa-Hunt syndrome. These include trauma with or without hemorrhage, aneurysms and tumors within the cavernous sinus, parasellar neoplasms, metastatic disease, meningioma, and spread of adjacent sinus neoplasia. Magnetic resonance imaging (MRI) of the cavernous sinus and, in some cases, orbital venography and fine-needle biopsy of the cavernous sinus may be quite beneficial in evaluating the patient with symptoms associated with multiple cranial nerve palsies.18,54–58

ORBITAL MITOSIS. This entity is characterized by the sudden onset of painful ocular motility, diplopia, and conjunctival injection usually focally located over the involved muscle (see Fig. 3).5,7,9,10,14,15,59,60 There may also be eyelid edema and ptosis and proptosis.36,61,62 More than one muscle may be involved, although this is less common than single muscle involvement.63 The process may be recurrent despite adequate treatment.64 Inflammation of the trochlea is associated with pain on palpation in this area.16 Forced duction testing is usually positive. The most common muscles to be involved in this process are the superior and medial rectus muscles.

The most important differential diagnoses are thyroid-related orbitopathy and metastatic spread to an extraocular muscle. In both of these entities the extraocular muscles are involved only in the area of the muscle belly.65,66 In contrast, the entire muscle and tendon are usually involved in idiopathic orbital inflammation.65–68 There may also be some spread of the inflammatory process to the adjacent fat. In addition, myositis is almost always painful while thyroid-related orbitopathy with extraocular muscle involvement is usually not associated with pain. Thyroid-related orbitopathy is often accompanied by other signs such as eyelid retraction and lagophthalmos as well as abnormal thyroid function tests. Other diseases to be considered in the differential diagnosis include trichinosis, myasthenia gravis, and arteriovenous malformations. Trichinosis is usually associated with skin changes, myasthenia gravis is not associated with inflammation and responds to edrophonium, and arteriovenous malformations can usually be identified on CT evaluation when contrast medium is used. Orbital myositis has also been described after upper respiratory tract infections and in association with collagen vascular diseases, myocarditis, and polyarteritis nodosa.10,63,69,70

ORBITAL ANGIITIS. Nonspecific inflammation of the orbital arteries and arterioles similar to that seen in connective tissue diseases but without any systemic associations has been termed orbital vasculitis.1,4,6,7,71 In this condition there is acute inflammation involving the small vessels of the orbit, including capillaries, precapillary arterioles, and postcapillary venules, and adjacent connective tissue and muscle. There is usually perivascular hemorrhage from vessel wall necrosis and destruction. The inflammatory infiltrate is polymorphic, consisting of lymphocytes, plasma cells, monocytes, and neutrophils. Patients present with nonspecific acute inflammatory symptoms and signs, including pain, eyelid edema and ptosis, and chemosis and conjunctival injection. Proptosis is present in approximately 50% of patients. Although this condition is usually treated with corticosteroids, patients with resistant disease may require radiation or cyclophosphamide.6

ORBITAL THROMBOPHLEBITES. Idiopathic inflammation of the orbital veins is associated with acute pain, chemosis, ocular motility disturbances, and decreased vision.3 These findings may be reminiscent of the Tolosa-Hunt syndrome.53,72 Thrombosis of the central retinal artery has been reported.73 Spontaneous orbital hemorrhage may occur, although no coagulation abnormalities are present.74 Although this condition is localized to the orbit, systemic associations have been described, including fatigue, cold extremities, gastrointestinal symptoms, vertigo, arthralgias, and memory impairment.75 The orbital pain experienced by these patients is unilateral and boring in character. It is worsened by eye movement and exposure to cold temperatures and is difficult to ameliorate with analgesics.75 Orbital phlebography has been used to study the venous abnormalities seen in this condition,53,75 which may be associated with a variety of systemic diseases, including typhus, parasitic infestations, mucormycosis, polyarteritis nodosa, and connective tissue diseases.

As in orbital angiitis, microscopic evaluation of tissue from orbital thrombophlebitis demonstrates an inflammatory reaction centered around blood vessels, in this case the orbital veins. This inflammation is segmental and may be associated with thrombosis. The walls of these veins may show evidence of infiltration with both neutrophils and lymphocytes without any granulomatous inflammation. As the inflammation subsides, fibrous tissue replaces the smooth muscle in the vessel walls.3 This fibrosis may extend into the surrounding orbital fat.

DACRYOADENITIS. In dacryoadenitis the lacrimal gland is enlarged and can be easily palpated in the superior lateral aspect of the orbit.4,6,11,76 It is usually tender and unilateral, although this is not always the case. The enlarged lacrimal gland will result in an “S”-shaped curve to the upper eyelid; and, if the gland is large enough, the globe will be pushed down and medially as well as forward. Bilateral involvement should suggest the presence of a systemic disease such as sarcoidosis, lymphoma, Sjögren's syndrome, and malnutrition; metabolic derangement such as diabetes mellitus and cystic fibrosis; or drugs such as thiouracil. However, these diseases may also be associated with unilateral lacrimal gland enlargement. Viral and bacterial infections occasionally result in dacryoadenitis as well. Chronic lacrimal gland inflammation can also occur after irradiation of the lateral orbit.

It is important to differentiate neoplastic processes involving the lacrimal gland from inflammation. On CT, dacryoadenitis tends to show the gland to be enlarged in a oblong configuration from anterior to posterior as well as vertically with molding of the gland to the globe, inflammation of the adjacent tissue, and no erosion of the neighboring bony structures.3,6,11 Neoplastic processes are often more nodular and rounded and may be associated with bony erosion. However, biopsy of the gland is often needed to differentiate between the various causes of lacrimal gland enlargement.

Laboratory and Imaging Findings

The most important ancillary studies to be performed in evaluating idiopathic orbital inflammation are orbital ultrasonography and CT (see Figs. 1 AND 3).3–6,11,49,77–80 Ultrasonography is helpful for demonstrating exudative retinal detachment, edema in Tenon's fascia, enlargement and “doubling” of the optic nerve shadow (the “T” sign), enlargement of the extraocular muscles, and the presence of a distinct orbital mass.4,77,81,82 CT may be more useful in establishing the diagnosis.18,20,65,67 As with ultrasonography it will demonstrate the extent of anterior orbital involvement, including thickening of the posterior sclera and retinal detachment, but it is more useful in demonstrating the entire extent of the extraocular muscle, optic nerve, posterior orbit, and involvement of the cavernous sinus. In addition, it will show if there is any associated sinus disease or bony erosion that would suggest a neoplastic process or one of the necrotizing vasculitides such as Wegener's granulomatosis. Testing for anticytoplasmic autoantibodies, which are highly specific for Wegener's granulomatosis, will also help to differentiate this entity from idiopathic causes of scleritis and idiopathic orbital inflammation.83

Other studies that may be useful include MRI, orbital venography, cerebrospinal fluid analysis, and measurement of the erythrocyte sedimentation rate.6,58,84 MRI is certainly helpful for clarifying the extent of any intracranial disease. It may also be helpful for differentiating focal orbital inflammation masquerading as a tumor of the orbit, extraocular muscles, or lacrimal gland from a true neoplastic process. Orbital venography may be helpful in demonstrating vascular deformities that are seen in the Tolosa-Hunt syndrome and occasionally in other forms of inflammatory orbital inflammation.58 The erythrocyte sedimentation rate may be elevated in cases of orbital inflammation, but this should bring to mind the possibility of a concurrent systemic disease such as one of the collagen vascular diseases. Cerebrospinal fluid pleocytosis due to meningeal irritation has also been reported.6 Gallium scanning has also been used to image orbital “pseudotumor” to differentiate it from other entities involving the orbit.85

One of the most important diagnostic aids in the evaluation of idiopathic orbital inflammation is the use of a trial of high-dose corticosteroids.4,7,78 This disease is almost always exquisitely responsive to systemic corticosteroids. An 80-mg daily oral dose for a week will usually result in significant improvement or complete resolution of the inflammatory process. If this does not occur, consideration must be given to other diagnoses and orbital biopsy should be performed to obtain a tissue specimen.4,56,78,86

Histopathology

In general, idiopathic orbital inflammation is polymorphic (Figs. 5 AND 6).3,6,7,33,87,88 The cellular response seen in this disease consists of lymphocytes, plasma cells, macrophages, histiocytes, occasional neutrophils and eosinophils, epithelioid cells, and fibroblasts. These are present in varying numbers, depending on the chronicity of the inflammatory process. Intranuclear Dutcher bodies and intracytoplasmic Russell bodies may be present within many of the plasma cells since they actively participate in the inflammatory response. Children tend to have a significant number of eosinophils in their biopsy specimen. Lipogranulomatous inflammation with fat necrosis may also be present. However, the presence of noncaseating granulomas is relatively uncommon.89 This is often associated with foreign body giant cells that are responding to the release of lipid. Perivascular lymphocytic cuffing and capillary proliferation are quite common.3 Occasionally, lymphoid follicles may also be seen.

Fig. 5. Section from globe removed (in era before corticosteroid therapy) because inflammatory process had progressed inexorably to dense scar formation with resultant painful eye. Note dense ligneous tissue above globe has fused with sclera (H&E, ×4).

Fig. 6. Histopathologic sections demonstrating the various pathologic findings associated with idiopathic orbital inflammation. Most commonly these include lymphoid follicles, granulomas, collagen deposition, and a diffuse mixed inflammatory cell infiltrate. The normal tissue architecture is frequently disrupted by these changes. A. Many lymphoid follicles are scattered throughout orbital tissue (H&E, × 63). B. Cells of follicular center are lighter and larger than mantle of mature lymphocytes that surround the germinal zone (H&E, ×160). C. Lacrimal gland elements have undergone atrophy in advanced example of idiopathic dacryoadenitis. Fibrosis and lymphocytes have replaced a considerable amount of gland parenchyma (H&E, ×94). D. Myositis in which lymphocytes are loosely aggregated below center and infiltrate between extraocular muscle fibers (H&E, ×160). E. Cuffing of small vessels by mature lymphocytes. Note loose edematous interstitium between disrupted muscle fibers (H&E, ×240). F. Progressive fibrosis of retrobulbar fat (H&E, ×25).

Vasculitis is a very unusual feature of idiopathic orbital inflammation.3,48 When this is present there is destruction of the muscularis layer of the orbital vessels by lymphocytes and neutrophils as well as eosinophilic infiltration. There is also focal vascular necrosis with leukocytoclasis or collections of debris from degenerated neutrophils.3,4 When it appears that a vasculitis is present, consideration must be given to a diagnosis of polyarteritis nodosa, Wegener's granulomatosis, or one of the collagen vascular diseases.

With progression of the disease process there is increased fibrosis and collagen deposition, which separates the various inflammatory elements. There is also an associated thickening of the connective tissue within the extraocular muscles. With chronicity there will be actual loss of muscle tissue and its replacement with connective tissue. In the lacrimal gland there is hyperplasia of the periductal and periacinar connective tissue. As this progresses, there will be actual destruction of the lacrimal acini.76 In the sclerosing types of idiopathic orbital inflammation there is extensive fibrosis surrounding and replacing all normal orbital tissues.76,90,91 Only a minimal cellular response is present in such instances. At times this connective tissue reaction may be so dense as to have the consistency of cartilage.

It is important to differentiate between idiopathic orbital inflammation and lymphoma or its precursors.92 Lymphoid follicles, a polymorphic infiltrate, and the absence of monoclonality are essential aspects of idiopathic orbital inflammation.93 By contrast, lymphomas and reactive lymphoid hyperplasia tend to be monomorphic, without lymphoid follicle, and monoclonal. Capillary proliferation is not common in lymphomas nor is the presence of histiocytes and macrophages.

Treatment

It may be possible to treat some forms of orbital inflammation with nonsteroidal anti-inflammatory agents such as indomethacin.94 However, this type of therapy has not been well studied in the management of this disease process. In general, idiopathic inflammation of the orbit is quite sensitive to corticosteroids.3,4,7,15,78,95 Prednisone in an oral dose of 80 to 100 mg will usually result in a marked improvement in symptomatology within 2 to 3 days after institution. In fact, this is one method for making the diagnosis of this disease. Corticosteroids should be continued for 2 to 3 weeks, and then the dosage should be slowly tapered over an additional 3 weeks. Failure to do this will result in recurrence of the orbital inflammation. It is important to determine before beginning corticosteroid treatment if a patient has ulcers, any systemic infectious processes especially fungal disease, tuberculosis, and amebiasis, a recent myocardial infarction, or diabetes mellitus since the use of corticosteroids in these instances may result in significant exacerbation of the preexisting systemic disease.

Although in the vast majority of cases corticosteroids are curative, a small number of patients will either have recurrence of their disease process or fail to adequately respond to this treatment. In the former group, a second course of corticosteroids can be instituted over a longer period of time and with a much prolonged taper. In the latter group, immunosuppressive therapy with cyclophosphamide or radiotherapy can be considered.4,6,78,96 The greater the amount of fibrosis that is present within the orbit, the less responsive the inflammatory process is to steroid administration.4,15,90,97 It is important to biopsy all apparently inflammatory orbital lesions that fail to respond adequately to a course of corticosteroids to eliminate other lesions that may appear to be inflammatory.4,78

When radiotherapy is administered to lesions that have failed corticosteroid treatment, the usual dosage is 20 Gy given in divided doses over a 2- to 3-week period.98–100 This is similar to the dosage used in lymphoid tumors, and it may be that a refractory orbital inflammatory lesion is in reality a misdiagnosed lymphoid tumor.3 In rare instances of sclerosing “pseudotumor” there may be a less than optimum response even to radiation.101 In these cases and in cases of vasculitis, immunosuppressive therapy with cyclophosphamide can be tried. It is important to consider fibrous histiocytoma as a possible diagnosis in very refractory cases of sclerosing “pseudotumor.”3,4,78,101 It is extremely unusual for a patient to be totally unresponsive to all treatment modalities. However, if there is persistent debilitating pain and loss of vision, orbital exenteration can be carried out as a last resort. Trigeminal ganglion blocks with glycerin can also be tried for pain control, although this should only be performed by a physician experienced in this procedure.

Back to Top
OTHER LOCALIZED IDIOPATHIC ORBITAL INFLAMMATORY PROCESSES

NODULAR FASCIITIS

Nodular or pseudosarcomatous fasciitis, while not usually considered part of the spectrum of idiopathic orbital inflammation, represents a localized inflammatory disease of idiopathic origin. It appears to be a reactive process involving a proliferation of immature connective tissue elements along with acute and chronic inflammatory foci (Fig. 7).102–106 This entity has been reported periorbitally in the eyelid as well as in the epibulbar tissue. It may also occur in the anterior or deep orbit. It appears as a rapidly growing mass arising over several weeks or months. It may or may not be associated with pain. At surgery, the lesion appears fairly well demarcated and slightly reddish.

Fig. 7. Fasciitis. A. “Pseudosarcomatous” reactive inflammatory condition is composed predominantly of a loose arrangement of fibroblasts with scattered chronic inflammatory cells (H&E, ×240). B. Conspicuous hemosiderin-laden macrophages are seen in center of photomicrograph. The presence of abundant numbers of capillaries in the inflammatory tissue results in hemorrhage and the presence of blood breakdown products (H&E, ×240).

Histopathology

Microscopically there is a proliferation of immature and active-appearing fibroblasts within the orbital fascial planes.102–106 These fibroblasts may be loosely connected with occasional myxoid foci interposed. Slits often appear between the fibroblasts, which appear to be quite plump and have basophilic cytoplasm. There may be rare mitoses among these cells. Only a minimal amount of collagen deposition is present. The appearance of a gradient from immature fibroblastic elements to more mature fibroblasts is characteristic of this lesion. Also associated with this process is acute and chronic inflammatory cells, capillary and endothelial cell proliferation, and occasional giant cells. Occasionally elements of this inflammatory process can be seen to invade surrounding muscle fibers and orbital fat. The proliferating capillaries are friable and bleed. When this occurs, hemosiderin-laden macrophages can be identified in the tissue. Electron microscopic evaluation of the cells present in this process shows that most are myofibroblasts. These are cells containing rough endoplasmic reticulum and no basement membrane like fibroblasts but also cytoplasmic actin filaments with fusiform densities like smooth muscle cells.3

Treatment

Although this process often appears to be malignant, especially with its rapid growth and the immature appearance of the fibroblasts that are present, it is a benign inflammatory condition. Fibrosarcoma does not usually have an significant inflammatory component, nor does it demonstrate both immature and mature tissue elements. Rhabdomyosarcoma is a consideration when this lesion is present in a child. Myositis is also a possible member of the differential diagnosis, although this entity is more confined to the muscle tissue than the fascial planes. The treatment of nodular fasciitis is local surgical excision, which usually proves to be curative.

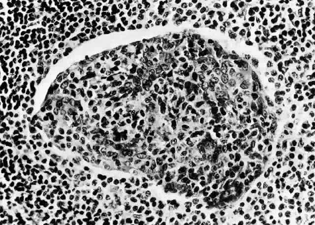
BENIGN LYMPHOEPITHELIAL LESION

Lacrimal gland enlargement in the absence of systemic disease without dry eye symptomatology has been termed benign lymphoepithelial lesion.3,107 Previously this entity was known as Mikulicz's syndrome or disease. However, due to confusion as to the exact definition of these terms, they have been abandoned. Histologically this condition is characterized by sheets of lymphocytes and plasma cells that replace the normal acinar and ductular structure of the gland (Fig. 8). Lymphoid follicles may be present. The remaining ductular elements may proliferate to form solid nests of cells outlined by excessive basement membrane production. Hyalinization may sometimes occur within these ductular remains. The cells within these nests are for the most part epithelial elements of the ducts. These structures are commonly called myoepithelial islands because of the incorrect belief that normal ducts have myoepithelial cells present in their wall. This has been disproved on electron microscopic evaluation.108 On superficial examination these formations may resemble lymphoid follicles. The presence of these ductular nests helps to differentiate this disorder from lymphomatous involvement of the gland, which is not associated with these structures. From one third to one half of patients with Sjögren's syndrome may have similar nests of ductular elements. The difference between benign lymphoepithelial lesion and idiopathic orbital inflammation (inflammatory “pseudotumor”) involving the lacrimal gland is based on the more monomorphic infiltrate seen in benign lymphoepithelial lesion in contrast to the relatively more polymorphic infiltrate seen in “pseudotumor.” In addition, “pseudotumor” contains more plasma cells and fibrotic tissue and is associated with lymphoid follicles with active germinal centers. Finally, the lacrimal gland capsule is usually preserved in benign lymphoepithelial lesion in contrast to inflammatory “pseudotumor,” which is a more destructive process.

Fig. 8. Epimyoepithelial island is composed of cytologically benign cells that have retracted from surrounding inflammatory infiltrate. Island is indicative of an inflammatory disorder and weighs heavily against interpreting lymphocytic infiltrate as lymphoma (H&E, 76% of ×320).

Back to Top
REACTIVE ORBITAL INFLAMMATION

AMYLOIDOSIS

Amyloidosis is a disease process characterized by the deposition of amorphous hyaline material in various body tissues, including nerves, blood vessels, muscles, skin, spleen, adrenal glands, liver, heart, tongue, and orbit (Fig. 9).109 Two types of primary amyloidosis have been identified. One is a localized process restricted to the ocular and orbital structures without systemic manifestations.3,110–115 The second is characterized by ocular as well as systemic deposition of amyloid.3,116 This may also occur in a familial form with amyloid infiltrating the heart, peripheral nerves, and blood vessels.3 Retinal deposits occur owing to extension of the amyloid from the retinal vasculature, and infiltration of the trabecular meshwork can result in glaucoma. Secondary amyloidosis occurs as part of a variety of chronic disease entities, including tuberculosis, rheumatoid arthritis, leprosy, osteomyelitis, multiple myeloma and other plasma cell dyscrasias, and, occasionally, lymphoma.3 A systemic evaluation for these conditions should be performed in any patient presenting with amyloidosis.

Fig. 9. Amyloidosis. A. Recurrent conjunctival vegetations with mild chronic inflammation and tremendous amyloid content. B. Amorphous intercellular material has replaced most of the lacrimal gland, with few glandular units surviving. There is an infiltrate of chronic inflammatory cells, many of which are plasma cells (H&E, 74% of ×240). C. Amorphous eosinophilic material, giant cell, epithelioid cells, and fragments of needle-like particles, which have elicited foreign body reaction, are shown. The condition is termed tissue proteinosis (H&E, ×240). D. Electron micrograph from a case of lacrimal gland amyloidosis shows a surviving cell, its identity unascertainable, with cytoplasmic filaments and profiles of rough endoplasmic reticulum, surrounded on right by amyloid fibrils and on left by collagen. There is an osmiophilic inclusion at the bottom left of the cell. In the lower panel, amyloid material is seen as slender (10 nm wide) nonbranching fibrils (Top, ×8000; bottom, ×25,000). E. Osmiophilic material with crystalline substructure (shown in inset) is being engulfed by degenerating giant cells and macrophages, which have abundant cytoplasmic filaments (F). It is possible that intracytoplasmic filaments, many of which may have been extended into the intercellular space after dissolution of cell membranes, are responsible for borderline amyloid stain. Lattice-like material is proteinaceous, with resemblance to crystallized immunoglobulin (×5,000; inset, ×60,000).

Symptomatology and clinical findings associated with this disease process depend on the tissues that are invaded by the amyloid. Most lesions hemorrhage quite easily owing to vascular infiltration. Patients can present with periorbital or subconjunctival hemorrhage. Loss of extraocular motility and ptosis from muscle involvement, vitreous opacities and retinal deposits secondary to intraocular infiltration, and pupillary abnormalities from deposits in the cervical lymph nodes can occur.110,117–119 Ocular involvement in secondary amyloidosis is unusual. However, the presence of waxy yellow skin nodules that bleed with only slight trauma is characteristic of systemic amyloidosis. Congestive heart failure, gastrointestinal motility disturbances and malabsorption, hepatosplenomegaly, and proteinuria and the nephrotic syndrome occur with systemic involvement of the associated organ systems.

Localized amyloid deposits in ocular disease can occur in any portion of the orbit and globe. Systemic disease is not usually associated with conjunctival, lacrimal gland, or orbital amyloid deposition.110,112,118,120 This is in contrast to skin deposition, which is usually associated with systemic amyloid. Pseudoptosis may be present owing to a mass effect, although deposition in Müller's muscle and the levator aponeurosis is also a cause of ptosis.113,117 Deposits palpated through the eyelid feel somewhat cystic in contrast to the more superficial infiltrates, which appear as friable excrescences or nodules protruding from the conjunctiva. Lacrimal gland enlargement and proptosis can also occur as a result of localized amyloid deposition.110 Orbital and extraocular amyloid is not associated with pain. Vision is only rarely affected, usually from optic nerve infiltration.121 Double vision may occur when there is amyloid deposition within the extraocular muscles.119,122

Histopathology

Amyloid deposits appear as paucicellular hyalinized amorphous material. A surrounding granulomatous response similar to that of a foreign body is present in reaction to this material.3,123 Scattered elongated fibroblasts and plasma cells are also present throughout the infiltrating material. Perivascular infiltration is characteristic of this process. Amyloid deposits are eosinophilic on routine hematoxylin and eosin staining, appearing similar to extensive collagen deposition. These deposits also stain positively with periodic acid-Schiff, Congo red, crystal violet (which shows metachromasia), and thioflavin T. The material is birefringent and dichroic when viewed by polarization microscopy.

When amyloid is examined by electron microscopy, nonbranching thin fibrils with a distinct periodicity are seen.109 Antibodies against immunoglobulin fragments may react with localized amyloid deposits. Monoclonal staining of lymphocytes and plasma cells seen in association with amyloid deposits may occur.124

A wide variety of proteins are present in amyloid deposits. These proteins differ between individuals presenting with this disorder and between different forms of the disease. It appears that a circulating protein is converted when phagocytized into fibrils that, when coalesced, form amyloid deposits.123,125 Protein AL is present in patients with multiple myeloma and in primary systemic amyloidosis.123 This protein consists of complete Κ or λ chains with or without N-terminal fragments from these light chains. Bence Jones protein from patients with multiple myeloma may be modified to form protein AL. Protein AA is part of amyloid deposits associated with inflammation.126 This protein may be a breakdown product of protein SAA, which is produced by hepatocytes. Protein SAA is an acute-phase reactant that shows markedly elevated levels in chronic infections and idiopathic inflammation. Other proteins that have been isolated in cases of amyloid include protein AP, normally found in plasma; protein AFp, related to prealbumin; and protein AEt, related to calcitonin.3,125

GIANT CELL REPARATIVE GRANULOMA

Giant cell reparative granuloma is an idiopathic inflammatory intraosseous tumor that rarely occurs in the orbit.127–129 It usually involves the maxilla and orbital floor and the mandible. Young persons are most often affected. Trauma is frequently associated with the occurrence of this tumor, which is characterized by the presence of multinucleated giant cells within a stromal matrix of spindle cells. In addition to inflammatory cells there is hemorrhage and vascular proliferation within the tumor. The differential diagnosis of this lesion includes the brown tumor of hypoparathyroidism, true giant cell tumors, malignant giant cell soft tissue tumors, and aneurysmal bone cysts. In brown tumor there is a hyperfunctioning parathyroid gland with increased calcium and parathormone levels.130,131 This tumor may also occur in association with secondary hyperparathyroidism from metabolic derangement, as is seen in chronic renal failure. In true giant cell tumors there is an even distribution of these multinucleated cells throughout the surrounding spindle cells.3 This contrasts to the zonal arrangement of giant cells found in giant cell reparative granuloma and brown tumor. In these zonal areas, giant cells surround foci of hemorrhage and inflammation. Malignant giant cell tumor of soft parts is multinodular and contains very large multinucleated giant cells with stromal anaplasia, areas of fibrosarcoma, and osteoblastic transformation.132 Finally, aneurysmal bone cysts have giant cells and reactive bone formation similar to brown tumor and other giant cell tumors.3 However, the characteristic feature of this entity is the presence of a non-endothelial-lined cavity. The treatment of all giant cell tumors involving bone is curettage and excision of all abnormal bony elements.

OTHER REACTIVE ORBITAL INFLAMMATIONS

Retained orbital foreign bodies, especially vegetable matter and other organic substances, can result in chronic orbital inflammation, including pain, proptosis, chemosis, and periorbital edema.133,134 Chronic discharge, erythema, and fistulous tracts can also occur. Foreign body granuloma formation as well as areas of acute inflammation are characteristic of this process. CT and MRI are helpful in locating the offending foreign body.

Ruptured dermoid and hematic cysts, orbital hemorrhage, and cholesterol granulomas can also elicit an acute granulomatous inflammatory process.133,135–139 These ruptures usually occur secondary to trauma, although hematic cysts may rupture spontaneously. Ruptured dermoid cysts show cholesterol crystals and cyst wall remnants surrounded by the granulomatous inflammatory response. Ruptured hematic cysts are associated with hemosiderin deposition, macrophages, and fibrous capsule formation around blood breakdown products.

Pain, proptosis, periorbital edema and erythema, chemosis, and extraocular motility disturbances can occur as an inflammatory reaction to acute sinusitis.140–143 Patients will also manifest symptoms of sinusitis, including sinus pain and congestion of the nasal passages, as well as systemic symptoms of fever, malaise, and distress. Orbital infection is not present. Obstruction of the venous outflow from the orbit and sinuses adds further to the increasing orbital edema. In severe cases, visual loss from optic nerve compression or corneal drying and exposure can occur. CT of the orbits and sinus cavities is an essential part of the evaluation of this complex of symptoms to eliminate other causes of acute orbital inflammation. Successful treatment is predicated on aggressive antibiotic and surgical management of the underlying sinus infection.

Back to Top
ORBITAL INFLAMMATION ASSOCIATED WITH SYSTEMIC DISEASE AND VASCULITIS

WEGENER'S GRANULOMATOSIS

Wegener's granulomatosis is characterized by inflammatory lesions of the upper respiratory tract, lower respiratory tract, the kidneys, and, to varying degrees, generalized small vasculitis of other structures, including the eye (Figs. 10 AND 11). The definitive diagnosis is confirmed by biopsy. A limited form of the disease has been described that spares the kidneys.

Fig. 10. A. This 68-year-old woman presented with acute orbital inflammation, pain, and diplopia. Clinical evaluation demonstrated a medial orbital mass. Biopsy of the orbital mass demonstrated significant vasculitic and granulomatous changes believed to be consistent with Wegener's granulomatosis. No systemic disease was present. B. Appearance of same patient after treatment with prednisone and cyclophosphamide demonstrating complete resolution of the inflammatory process.

Fig. 11. A. This 31-year-old man has had Wegener's granulomatosis for 2 years. His disease process is stable on chronic corticosteroid therapy. He has no evidence of systemic disease. Note right-sided proptosis and hyperglobus. B. Profile of same patient demonstrating collapse of nasal bridge from bony destruction secondary to Wegener's granulomatosis. Note presence of swelling in lower eyelid. C. Axial CT image from the same patient demonstrating significant bilateral disease and bony destruction. Despite the extent of the orbital process on the right, the patient does not have diplopia. D. Coronal CT image showing destruction of medial orbital walls, vomer, and orbital septum. E. Pulmonary biopsy specimen from patient with orbital signs contains an almost obliterated vessel to right of center and scattered giant cells on left (H&E, ×160).

Ocular manifestations include orbital inflammation, scleritis, keratitis, and uveitis. The ocular involvement can occur from extension of sinus and nasal lesions or from focal small vessel vasculitis.

Epidemiology

Wegener's granulomatosis is an uncommon disease but is increasingly recognized in recent literature. In a 1957 review of the literature, Straatsma identified 29 cases.144 Between 1957 and 1977 an additional 342 cases were revealed.41 Additional series have been reported subsequently.42,145–147

Eye involvement occurs in 30% to 50% of cases.41,42,144,148 Ocular manifestations may be the presenting or sole manifestation in some patients.41,42,145,149 Orbital involvement with proptosis is the most commonly recognized eye finding in patients with the generalized form of the disease.41,148 It is uncertain whether the ocular findings or prognosis differs between the limited and generalized forms of the disease over long-term follow-up.

The disease is slightly more common in males than females.42,147 The most common age at presentation is in the fourth and fifth decades,148 although Wegener's granulomatosis has been described in children146,150 and the elderly.146,151

Systemic Manifestations

Upper respiratory tract signs and symptoms are a common early manifestation of Wegener's granulomatosis and include nasal obstruction, serosanguineous discharge from the nose, lesions of the mucosa, sinusitis, and serous otitis media. As the disease progresses, nasal septal perforations and saddle-nose deformity occur. Focal involvement of small vessels can affect the middle ear, cochlea, larynx, trachea, and throat.42,152 Oral ulcers, gingivitis, and alveolar bone involvement may occur, but perforation of soft or hard palate should raise the suspicion of other causes of midline granuloma.148 Complaints of weakness, malaise, weight loss, or arthralgias often accompany the respiratory involvement. The maxillary sinus is the most commonly involved sinus,42,152 and thickening of the maxillary antrum is reported to be one of the earliest radiologic signs.

Symptoms of lung involvement include cough, dyspnea, chest pain, and hemoptysis.42,148 Lung involvement may be symptomatic in one third to one half of patients, but further evaluation demonstrates involvement in almost all patients.42,147,148 Classic radiologic findings are multiple bilateral nodular infiltrates, which tend to cavitate,147 but findings may vary from poorly defined infiltrates to solitary lesions.42,152 Hilar adenopathy and pulmonary calcifications are rare.147

Renal involvement is a late event and is frequently the cause of death in patients who are not successfully treated.42,152 The limited form of the disease is distinguished by the absence of renal involvement.146,153 Because of the lack of renal involvement, the limited form of the disease has a lower mortality rate.

Nervous system involvement includes peripheral and cranial neuropathy. The fifth and seventh cranial nerves are the most frequently affected,42,147 and this involvement can be bilateral.42 Involvement of the middle ear may account in part for the involvement of the seventh cranial nerve.42 Involvement of the meninges and brain may occur as a result of focal vasculitis and contiguous spread from the upper respiratory tract.

Generalized small vessel vasculitis may have manifestations on a variety of organ systems. In 40 to 50% of patients, skin lesions will eventually develop.147 These may be ecchymotic, ulcerative, or in the form of subcutaneous nodules.42 Ulcerative lesions are the most common and may become chronic.42,148 Subcutaneous nodules are rare.152 Histology shows necrotizing vasculitis with thrombosis.154

Pericarditis, myocarditis, and coronary arteritis may occur. These findings may be subclinical, which may explain the absence of cardiac findings in some series.42,147 As many as two thirds of patients will complain about arthralgias or demonstrate arthritis.147 The arthritis is nondestructive. The joint symptoms often wax and wane with the course of the disease at other sites.

Ocular Manifestations

Ocular involvement of Wegener's granulomatosis occurs as a result of contiguous spread from the upper respiratory tract and from focal small vessel vasculitis involving ocular structures. Proptosis, orbital pain, limitation of extraocular movement, and periocular edema suggest orbital involvement. The orbital presentation may be identical to that of idiopathic orbital pseudotumor except that bilateral presentation is more frequent in Wegener's granulomatosis and other vasculitides.3

Orbital involvement may be the initial or presenting manifestation of the disease or may follow known upper respiratory tract and sinus involvement. In severe cases optic nerve compression, optic disc edema, retinal vascular congestion, and exposure keratopathy may occur. The optic nerve may also be directly involved by the vasculitic process. Orbital cellulitis may occur in association with sinusitis.42 The orbital inflammation may be rapidly progressive, requiring surgical decompression in addition to systemic therapy.42 However, the surgical intervention has also been associated with flare of the disease and healing difficulties because of active vasculitis. As a general rule, surgery should be avoided until the inflammatory process is brought under control by aggressive medical treatment.

Unlike orbital involvement, nasal and lacrimal duct destruction are a late manifestation of Wegener's granulomatosis.155 The manifestations include epiphora and recurrent dacryocystitis. The obstruction is often attributable to nasal lacrimal duct involvement in patients with nasal inflammation.42 The nasal lacrimal obstruction can be treated surgically, but surgery should only be considered after aggressive medical therapy has brought the systemic disease under control. Surgery in the presence of active nasal or sinus diseases is doomed to failure.155

Optic nerve involvement can occur in association with orbital disease or without any evidence of contiguous orbital inflammation.3,155 Those patients without contiguous orbital inflammation present with inferior visual field defects, edema of the disc, and later pallor.3,155

In addition to the orbital and lacrimal structures the anterior segment is frequently involved by a small vessel vasculitis. Anterior manifestations include conjunctivitis, episcleritis, anterior and posterior scleritis, and keratitis.41,42,144,145,156,157 In its most severe form, necrotizing scleritis or peripheral ulcerative keratitis, with or without perforation, may occur. Bilateral involvement is not uncommon. As with orbital involvement, aggressive systemic medical treatment is imperative. Temporizing measures include corneal gluing, conjunctival recession, and corticosteroids. The anterior segment features may be the presenting or sole manifestations of the disease.83,145

Retinitis with hemorrhages, edema, cotton-wool spots, and choroidal thickening can be seen even in the absence of end-stage renal disease or contiguous orbital involvement.42 Uveitis has also been reported. The findings are sometimes suggestive of pars planitis.42

Laboratory Findings

Wegener's granulomatosis is a biopsy diagnosis. However, even in patients with a well-documented diagnosis of Wegener's granulomatosis, orbital biopsy may not demonstrate the classic features of vasculitis, granulomatis inflammation, and tissue necrosis in as many as 50% of cases.83 Orbital biopsy has also been associated with recurrence of orbital inflammation.3 Biopsy of a nasal lesion is more likely to demonstrate granulomatous inflammation with giant cells than an orbital biopsy from the same patient.83 A thorough search for other lesions and the gathering of ancillary laboratory and imaging studies is imperative before proceeding with orbital biopsy. Consultation with other specialists is highly advisable.

The presence of antineutrophil cytoplasmic antibodies (ANCA) is proving to be a sensitive and specific laboratory test for Wegener's granulomatosis. The serum titer of these antibodies increases with disease activity.158 A subset of these antibodies, referred to as C-ANCA, has proven to be very specific for Wegener's granulomatosis, while P-ANCA may also be present in polyarteritis nodosa, Churg-Strauss syndrome, and other closely related vasculitides.158 In patients with the limited form of Wegener's granulomatosis with scleritis as the presenting sign, ANCA correlated well with biopsy findings.83,145

Imaging studies of the sinus and orbits are important to determine the extent of involvement and to follow the progress of treatment. One of the earliest radiologic signs for sinus involvement is said to occur in the area of the maxillary antrum.42

Differential Diagnosis

Wegener's granulomatosis involving the orbit must be distinguished from other vasculitic and granulomatous diseases. Polyarteritis nodosa usually does not involve the lung but can be difficult to distinguish from Wegener's granulomatosis. Orbital lymphoproliferative diseases also need to be considered. Lymphomatoid granulomatosis and polymorphic reticulosis are now regarded as malignant lymphoproliferative disorders. Infectious diseases such as syphilis, tuberculosis, and fungi may present as granulomatous orbital disease without primary vasculitis. Culture and special stains of biopsy material in conjunction with careful systemic history, physical examination, and laboratory workup will eliminate these possibilities. Sarcoidosis may involve the orbit but is not accompanied by a primary vasculitis and may be distinguished by its other accompanying systemic manifestations. Lethal midline granuloma is not a single disease but is attributable to any of a number of midfacial destructive entities, including those in the differential diagnosis.159

Treatment

Systemic immunosuppressive therapy with combination of cyclophosphamide and prednisone has vastly improved the prognosis for patients with generalized Wegener's granulomatosis. Untreated, generalized disease has a mean survival rate of 5 months and a 90% mortality rate over 2 years.148 Corticosteroids alone do not substantially improve this prognosis even though they may induce a temporary remission.

Cyclophosphamide should only be administered by a physician experienced in its use. Patient and physician alike need to be aware that the side effects of this agent include a potentially fatal granulocytopenia. Systemic corticosteroids and local measures have an important role in temporizing the features of the disease while cyclophosphamide therapy is initiated. The need for multispecialty involvement in diagnosis and therapy cannot be overemphasized.

A role for trimethoprim-sulfamethoxazole and plasmapheresis has been suggested, but the efficacy of this combined regimen is unproven.160

LYMPHOMATOID GRANULOMATOSIS AND POLYMORPHIC RETICULOSIS

Lymphomatoid granulomatosis was first described by Liebow and associates161 as a vasculitic disorder predominantly involving the lung. It has been grouped with Wegener's granulomatosis and allergic angiitis and granulomatosis (Churg-Strauss syndrome) as one of the respiratory vasculitic diseases.162 Because it has been so widely described in earlier literature as a true vasculitis, it is included here. It is now regarded as a lymphoproliferative disorder.

Epidemiology

The first symptoms commonly appear in the fifth or sixth decade,163,164 although the condition has been reported in children.163,165 There is a slight male predominance.163,164,166 The disease is uncommon, with fewer than 200 cases reported in the literature by 1980.163,167 However, it is increasingly being recognized in patients with the acquired immunodeficiency syndrome168–170 or other immunosuppressive disorders.171

Systemic Manifestations

The clinical presentation is characterized by respiratory symptoms, including cough and dyspnea, and constitutional symptoms of fever, malaise, and weight loss. Of the extrapulmonary manifestations, skin and neurologic involvement are most common. Cutaneous involvement occurs in approximately 40% of patients163,167,172 and most commonly consists of scattered nodules or of ulcers on the face or extremities.173 Up to 30% of patients have neurologic involvement, which includes central nervous system signs and symptoms, cranial nerve palsies, and peripheral neuropathy. Visceral involvement is also reported.

Polymorphic reticulosis, which has been described as a destructive process of the midface,174,175 is now regarded as the part of the same pathologic process as lymphomatoid granulomatosis.159,175–177 Lymphomatoid granulomatosis involving the upper respiratory tract continues to be referred to as polymorphic reticulosis by some authors. The nose, sinuses, pharynx, and palate may be affected.

Ocular Manifestations

Intraocular involvement in lymphomatoid granulomatosis is uncommon. Uveitis,167 retinal vasculitis and vitreitis,178 choroiditis,165 and scleritis147,179 have been reported. Patients with cranial nerve palsies can, as expected, have ocular manifestations, including strabismus and ptosis. Periocular involvement by midfacial disease can present as periorbital edema,180 proptosis, involvement of the skin of the lid and brow,181 orbital infiltrate, ophthalmoplegia, vascular occlusion, and sudden blindness.179

Laboratory Findings

The diagnosis is made by biopsy of an affected organ. The histology has been characterized as angiocentric and angiodestructive with a triad of features: (1) a polymorphic infiltrate of lymphoid and plasma cells, (2) location of the infiltrate around arteries and veins with transmural involvement of the vessel walls by lymphocytes, and (3) necrosis in the center of the lymphoid nodules.161 The presence of necrosis and difficulty delineating the polymorphic nature of the infiltrate can make histologic diagnosis problematic. Immunocytochemical staining and studies of gene rearrangement by Southern blot analysis can be used to evaluate the cell lineage of the lymphoid infiltrates and to demonstrate its polymorphic nature.

Other laboratory testing is based on the organ system involved. Because lung involvement is common, a chest roentgenogram should be obtained. The typical finding include bilateral, nodular densities in the lower lung fields. Pleural effusion, cavitation, or infiltration may also be present.163

Pathogenesis

Lymphomatoid granulomatosis is now widely accepted as a lymphoproliferative disease, and most researchers now accept that it is a type of malignant lymphoma.164 The majority of cases have been of T-cell origin and fall in the category of extranodal, peripheral T-cell lymphomas.164

Some cases have been classified as B-cell in origin,170,182 but controversy persists.183 It is clear that several different types of lymphomas affect the midface.184 The possibility of a role for Epstein-Barr virus in the pathogenesis of lymphomatoid granulomatosis has been raised.170,185

Differential Diagnosis

The differential diagnosis for lymphomatoid granulomatosis includes other lymphomas, Wegener's granulomatosis, and the wide variety of disorders that present clinically as lethal midline granuloma.

Treatment

If the disorder is untreated, the prognosis for lymphomatoid granulomatosis is bleak. Treatment strategies have included radiation therapy, chemotherapy, and corticosteroids. Evaluation of the various regimens is difficult because of the diagnostic difficulties and heterogeneity of patients treated.184 Five-year survival with a variety of treatment regimens appears to be about 50%.

LETHAL MIDLINE GRANULOMA

The term lethal midline granuloma has been used to describe a clinical condition that is characterized by progressive destruction of midfacial tissues, with inflammation and necrosis.186,187 Older literature tends to regard this as a specific diagnostic entity, while more recently the term has been reserved to describe a clinical condition of midfacial destruction that can result from a number of disease entities.159,177 The differential diagnosis includes lymphomas (including polymorphic reticulosis), carcinomas (basal cell, squamous cell, adenocystic, and nasopharyngeal), infectious diseases (syphilis, tuberculosis, leprosy, fungal infection, and infections secondary to primary midfacial lesions), Wegener's granulomatosis, sarcoidosis, cocaine abuse, and other entities.159,177,188 Even this differential diagnosis has been the subject of controversy.177,189,190

To confuse the picture further, the term midline malignant reticulosis also appears in the literature. Some authors have considered this to be synonymous with polymorphic reticulosis, while others use it as a synonym for lethal midline granuloma.180 The term idiopathic midline destructive disease should probably be reserved for use as a diagnosis of exclusion.177,189,190

POLYARTERITIS NODOSA

Polyarteritis nodosa is a vasculitic disease of medium-sized and small blood vessels whose description is attributed to von Rokitansky and to Kussmaul and Maier.191,192 The blood vessels of the kidney, bowel, skin, muscle, heart, nervous system, and eye may be involved (Fig. 12), but unlike Wegener's granulomatosis and lymphomatoid granulomatosis, the pulmonary vessels are usually spared.

Fig. 12. Polyarteritis nodosa. Mesenteric artery from patient with exophthalmos manifests massive mural inflammation with necrosis of muscularis (H&E, ×208).

Epidemiology

Because polyarteritis is uncommon, epidemiologic characteristics can only be based on retrospective reviews and summary data. Mean age at onset of symptoms is estimated to occur at age 45,193 but the age range is broad.194 There is a male predominance of between 2:1 and 4:1.3,193,194

Systemic Manifestations

Systemic involvement is protean.193 Constitutional symptoms include weakness, malaise, weight loss, and fever. Seventy to 80% of patients have renal vascular involvement.193,194 Although it does not usually have early symptoms,193,194 it can be severe, leading to malignant hypertension, renal failure, and death if untreated. Arthralgias, myalgias, and arthritis occur in 64% of patients and are probably due to vascular involvement in the muscles and immune complex-mediated joint disease.193 Gastrointestinal features include nausea, vomiting, and abdominal pain. All segments of the alimentary canal can be involved, as well as the gallbladder and pancreas. Bowel ischemia and vasculitis may result in life-threatening gastrointestinal hemorrhage or bowel perforation.193 Both peripheral and central nervous systems can be involved. Multiple peripheral nerves, both motor and sensory, may be involved simultaneously.194 Stroke, altered mental state, and seizure are the most common central signs.193,194 Subarachnoid hemorrhage has been reported. Ischemia and infarction of skin may present as nodules, ulcers, gangrene, urticaria, or a characteristic reticular pattern (livedo reticularis).195 Testicular involvement is manifested by pain or tenderness.196 Liver and cardiac involvement are commonly found at autopsy.193 Unlike in Wegener's granulomatosis, the lungs are rarely involved.

Ocular Manifestations

Ocular blood vessels may be primarily affected by vasculitis or may demonstrate the secondary effects of severe hypertension that accompanies renal involvement. The choroidal, posterior ciliary, and retinal vessels are most frequently affected.3 As in other organs, retinal vasculitis results in vascular occlusion or aneurysm. Choroiditis, scleritis, peripheral ulcerative keratitis, conjunctival vasculitis, and uveitis also occur.156,197–200 Orbital involvement can present as exophthalmos201–203 and may be the initial sign of polyarteritis nodosa.204 The extraocular muscles and optic nerves may be involved.3 It has been suggested that the orbital inflammation may be contiguous with adjacent sinusitis.205 The presence of bilateral orbital pseudotumor suggests a systemic disease, and polyarteritis nodosa must be considered.

Laboratory Findings

The diagnosis of polyarteritis nodosa is based on the presence of typical signs and symptoms, plus laboratory evaluation. A formal system of criteria has been proposed.196 Using this system, rheumatoid arthritis, systemic lupus erythematosus, and Wegener's granulomatosis should first be considered, and one of these diagnoses confirmed, if appropriate, based on clinical and laboratory findings. If the criteria for these diagnoses are not met, it is suggested that evaluation of 10 variables, any 3 of which are positive, yields a diagnosis of polyarteritis nodosa with a sensitivity and specificity of greater than 80%. The criteria include weight loss, livedo reticulosis, testicular pain, muscle pain or weakness, mononeuropathy or polyneuropathy, increased diastolic blood pressure, elevated blood urea nitrogen or creatinine levels, or antibody or antigen to hepatitis B.

The remaining two criteria are angiographic findings and biopsy findings from an affected organ system. Angiography demonstrates aneurysms or occlusions of vessels. Muscle, nerve, testicle, liver, kidney, and skin may be biopsied and examined for granulocytic and/or mononuclear involvement of the wall of small and medium-sized muscular arteries.193,206–208

Because lesions are segmental and may scar as they become chronic, orbital biopsy may not demonstrate classic lesions of polyarteritis nodosa with full-thickness involvement of the small and medium-sized arteries, fibrinoid necrosis, and edema. Nonetheless, perivascular inflammation without inflammation elsewhere on the biopsy specimen and the presence of eosinophils are suggestive findings. Granulomatous changes and the presence of giant cells are not characteristic and should raise the possibility of alternate diagnoses.3

Pathogenesis

Polyarteritis nodosa appears to be the result of deposition of antigen-antibody complexes and complement in vessel walls with inflammatory changes involving the full thickness of the vessel. In some cases, the antigen-antibody complexes have been composed of hepatitis B surface antigen and complement-fixing antibody against this antigen. Association with other infectious agents has also been suggested.193

Differential Diagnosis

The differential diagnosis for polyarteritis includes other vasculitic disease: Wegener's granulomatosis, giant cell arteritis, Takayasu's arteritis, and Churg-Strauss syndrome. Of these, Wegener's granulomatosis most commonly involves the orbit and should be considered in a patient who presents with pseudotumor. Giant cell arteritis may involve the posterior ciliary vessels but can usually be distinguished by its clinical presentation. Takayasu's arteritis and Churg-Strauss syndrome rarely present as orbital signs and symptoms.

Treatment

If untreated, polyarteritis nodosa is almost uniformly fatal. Corticosteroids may induce partial remission in some cases.209 Systemic chemotherapy with a cytotoxic agent such as cyclophosphamide is considered the treatment of choice.210 Plasma exchange may have a role in the treatment of polyarteritis, especially in those who show evidence of hepatitis B infection.208

ALLERGIC ANGIITIS AND GRANULOMATOSIS (CHURG-STRAUSS SYNDROME)

Allergic angiitis and granulomatosis is often considered as part of the polyarteritis nodosa family of diseases.211 The unique feature of allergic angiitis and granulomatosis is asthma, which is followed, sometimes years later, by a multisystem vasculitis.

Epidemiology

The mean age at onset of systemic symptoms is 44 years, and there is a male to female ratio of 1.3:1.193

Systemic Manifestations

Systemic symptoms include pulmonary signs and symptoms in almost all patients. The pulmonary symptoms are often the presenting sign. In addition to asthmatic symptoms, nodular or patchy infiltrates or diffuse interstitial disease may be present on the chest roentgenogram. Involvement of other organ systems occurs a mean of 2 years after pulmonary symptoms (range, 0 to 30 years).193 Skin nodules and purpura occur as in classic polyarteritis nodosa. Livedo reticularis is less common. Inflammatory bowel lesions, with bleeding, occur in 40% of patients. Peripheral neuropathies, central nervous system involvement, coronary vasculitis, and renal involvement also occur, although renal involvement is less common than in classic polyarteritis nodosa.

Ocular Manifestations

Vasculitic lesions of allergic angiitis and granulomatosis often involve vessels of the eye itself and manifest as uveitis. Iris, ciliary body, retina, choroid, and sclera may be involved.211–213 Granulomas of the eyelids and conjunctiva have been observed, sometimes in an apparently limited form of the disease.214–216

Laboratory Findings

Laboratory findings are similar to those in polyarteritis nodosa. However, in allergic angiitis and granulomatosis, peripheral eosinophil counts of greater than 1000/mm3 occur at some time during the disease in 85% of patients. Most patients have abnormal chest roentgenograms, and transient infiltrates are common.

Segmental lesions of small and intermediate-sized arteries are identical to those of classic polyarteritis nodosa. Veins, venules, and arterioles may also be affected. In addition, eosinophilic infiltrates and granulomas are seen and are a common histopathologic feature of skin lesions even in the absence of vasculitis.

Pathogenesis

The lesions of allergic angiitis are immune complex mediated (type III hypersensitivity), and allergens have been implicated as triggering the disease.

Differential Diagnosis

Diagnosis is established by biopsy of a symptomatic organ system. Lung, muscle, and skin are potential sites. The differential diagnosis includes classic polyarteritis nodosa, Wegener's granulomatosis, sarcoidosis, and aspergillosis. Unlike classic polyarteritis nodosa there is frequent involvement of the pulmonary vessels, with eosinophilic tissue infiltrates. The clinical findings of severe asthma and peripheral blood eosinophilia also help to distinguish the two entities.

Treatment

If untreated, the 5-year survival rate is 4%.217 Pulmonary, cardiac and renal lesions are common causes of death. With corticosteroid treatment, the 5-year survival rate improves to 50% to 60%. As in classic polyarteritic nodosa, chemotherapeutic agents can induce remission and have prevented relapse over a period of 10 years.208

TEMPORAL ARTERITIS

Temporal arteritis is well known to ophthalmologists because of its dramatic ocular presentation. It is a systemic disease that affects medium and large muscular arteries, primarily in the head, hence the alternate name cranial arteritis.218 The term giant cell arteritis is used by some authors to describe temporal arteritis, but Takayasu's arteritis, which occurs in young women and affects primarily the aortic arch, also is an arteritis with giant cells on histology and may properly be considered one of the giant cell arteritides.218 Takayasu's arteritis presents as transient, position-dependent visual loss and retinal changes that are caused by ischemia, but orbital disease is not a characteristic finding.

The incidence of temporal arteritis increases with age, with a dramatic increase in the very elderly.219 Even though more than 95% of cases occur in patients older than 50 years, age alone is not sufficient to rule out this diagnosis.218 Average age at onset of first symptoms is 70 years.218 There is a female predominance of 3:1.220

Systemic Manifestations

The systemic symptoms of temporal arteritis include headache or head tenderness, malaise, fatigue, fever, jaw claudication, polymyalgia rheumatica (characterized by proximal muscle weakness or pain), and arthralgias. Loss of the temporal artery pulse, tenderness over the artery, or an abnormality detected by palpation of the artery may occur, but the diagnosis should be considered even in the absence of these signs. Because many of the systemic symptoms are nonspecific, this diagnosis is often not considered until ocular symptoms are present.

Ocular Manifestations

Vision loss is the most prominent ocular symptom and is associated with ischemic optic neuropathy or occlusion of the ophthalmic artery or the central retinal or branch retinal arteries. Signs of anterior ischemia including uveitis, low intraocular pressure, rubeosis, corneal edema, episcleritis, scleritis, and cataract may occur.220,221 Of relevance to the ophthalmic plastic surgeon is that diplopia, ptosis, and periorbital pain may also occur.221 Ophthalmoplegia that results from ischemia of the extraocular muscles may also occur in a minority of cases.221 Orbital involvement usually does not present as proptosis.

Laboratory Findings

Laboratory findings include a dramatically elevated erythrocyte sedimentation rate. Mild anemia and elevated liver enzyme levels may be present.218,221 The diagnosis is confirmed by biopsy, most often of the temporal artery, which shows segmental involvement of the media with a predominantly mononuclear infiltrate with multinucleated giant cells and disruption of the internal elastic lamina (Fig. 13).3,218,221 Orbital biopsy may demonstrate involvement of the long or short posterior ciliary arteries3,218,221 and ischemic lesions of the extraocular muscles.221,222 Because the temporal artery lesions may be segmentally involved (so-called skip lesions or skip areas),206,207,223 harvesting of an adequate biopsy specimen and careful histologic examination along the entire length of the specimen will increase the diagnostic yield. Some researchers believe bilateral biopsy may be indicated in some circumstances to firmly establish the diagnosis, given the significant complications of high-dose, long-term corticosteroid therapy.

Fig. 13. Temporal arteritis. Temporal artery biopsy specimen shows subintimal fibrous proliferation, lymphocytic infiltration, and, most important, scattered giant cells in the muscularis. Similar changes can occur in the posterior ciliary arteries and ophthalmic, central retinal, and cerebral arteries (H&E, ×63).

Treatment

The treatment of temporal arteritis is high-dose corticosteroids.221 Because the second eye may become involved within days to weeks, and the active inflammatory findings do not revert immediately, treatment should be begun immediately even if the biopsy must be delayed. Efficacy of treatment is guided by relief of symptoms and normalization of the sedimentation rate.

Other vasculitic diseases (e.g., polyarteritis nodosa) should be considered if the biopsy specimen demonstrates vasculitis without giant cells.218

SJÖGREN'S SYNDROME

Sjögren's syndrome is defined as consisting of any two of the following three conditions: keratoconjunctivitis sicca, xerostomia, and autoimmune disease.224 Sicca syndrome is the combination of xerostomia and keratoconjunctivitis sicca without autoimmune disease.225 Over a period of years a significant portion of patients with sicca syndrome alone progress to develop a systemic autoimmune disease. Sjögren's syndrome usually develops in persons between 30 and 60 years of age. Women are more often affected than men by a ratio of 9:1. Autoimmune diseases reported to be associated with Sjögren's syndrome include rheumatoid arthritis, Hashimoto's thyroiditis, scleroderma, systemic lupus erythematosus, polymyositis, vasculitis, mixed connective tissue disease, autoimmune liver disease, and hemolytic anemia.226

Clinical Manifestations

Patients with keratoconjunctivitis sicca complain of progressive and unremitting symptoms of ocular irritation and dry eyes.227,228 There is increased mucus secretion, conjunctival injection, photophobia, and irritative blepharospasm. Blurred vision is a frequent complaint owing to the increased mucus and corneal epitheliopathy. Clinically, filamentary keratitis, punctate epithelial staining, and thick mucus secretions are present. The conjunctiva often demonstrates a follicular response, and there may be increased meibomian gland discharge. There is positive rose bengal staining of the conjunctiva and cornea.229 The tear break-up time is reduced, and Schirmer tear testing with and without anesthesia demonstrates a marked decrease in the aqueous portion of the tear film.229 Palpation of the lacrimal glands occasionally demonstrates mild enlargement. The glands are usually not painful to palpation. However, dacryoadenitis should be considered in the differential diagnosis of this spectrum of clinical symptoms and signs.

Xerostomia results in difficulty chewing and swallowing and in decreased taste.230–232 Oral mucosal ulcers and mucosal thinning and ulcers involving the tongue can occur.233 Increased mucus and drying of the oral pharynx causes hoarseness.234 Respiratory mucosal involvement causes epistaxis, decreased smell, and recurrent bronchitis.235 Clinically, the oral mucosa appears atrophic, dry, and pale. The parotid glands are enlarged in up to 50% of patients. Additional findings include drying of other mucosa-lined areas, such as the vagina, external ear canal, and stomach, and dry scaly skin with telangiectatic changes.236,237

As already noted, patients with Sjögren's syndrome have evidence of a variety of autoimmune conditions.238,239 In addition there is an increased incidence of extrasalivary pseudolymphoma and lymphoreticular neoplasia in this group of patients.240 Raynaud's phenomena, hyperviscosity syndrome, hypergammaglobulinemic purpura, leukopenia, hypergammaglobulinemia, renal tubular defects, glomerulonephritis, and peripheral neuropathies involving the sensory nerves and the cranial nerves, particularly the trigeminal nerve, may also occur.241–243 Decreased corneal sensation increases the risks of corneal ulceration and perforation in this group of patients. Twenty percent of patients with Sjögren's syndrome demonstrate central nervous system complications that are also strongly associated with the presence of peripheral vasculitis.241,243,244

Histopathology

Pathology lacrimal and salivary gland tissue demonstrates progressive atrophy of the acini due to lymphocyte and plasma cell infiltration.227,245,246 Lymphoid follicles with or without germinal centers may be present. There is increased fibrosis within the glandular stroma. This can progress to completely obliterate the normal glandular structure. Proliferation of acellular hyalinized collagen also occurs. As in benign lymphoepithelial lesion of the lacrimal gland, myoepithelial islands are present owing to proliferation of residual ductular elements.

In addition to a decreased aqueous tear volume there is a concomitant decrease in the lysozyme content and an increase in the IgG content of the tears. Measurement of tear lysozyme may help to differentiate Sjögren's syndrome from other conditions, such as sarcoidosis, that can involve the lacrimal and salivary glands. The lymphocytic infiltration appears to be composed of cytotoxic T cells, and this, combined with the presence of autoantibodies against a wide variety of parenchymal organs, including gastric parietal cells and thyroid tissue, as well as antibodies to salivary duct cells, may be responsible for the systemic and localized findings in this condition. Rheumatoid factor is present in about 75% of patients with Sjögren's syndrome even when symptoms of arthritis are absent.227,247,248 Antinuclear antibodies are present in about 70% of patients, and a positive LE cell test occurs in about 25% of patients.249 Two antinuclear antibodies, SS-A and SS-B, are usually associated with Sjögren's syndrome.241,247,250,251 SS-B antibodies are found in up to 70% of patients and are fairly specific for the diagnosis of this disease. SS-A antibodies are found in up to 14% of patients. There is a high incidence of antibodies against Epstein-Barr virus nuclear antigen and HLA-Dw3 as well.252

Differential Diagnosis

A variety of diseases result in lacrimal gland inflammation. Benign lymphoepithelial lesion can occur either as part of Sjögren's syndrome or alone. This is basically a process that is localized to the lacrimal glands and is manifested by lacrimal gland enlargement without systemic symptomatology. Sarcoidosis, lymphoma and pseudolymphoma, idiopathic lacrimal gland inflammation (pseudotumor), tuberculosis, syphilis, and other causes of dacryoadenitis are part of the differential diagnosis of Sjögren's syndrome.

Treatment

Sjögren's syndrome is relatively resistant to systemic treatment with corticosteroids, although these agents can be combined with other immunosuppressive agents when there is significant systemic disease.242,253,254 Local therapy with tear and salivary supplements is the mainstay of treatment.228,255 This usually includes ointment preparations as well as viscous tear supplements and punctal occlusion.255 Radiotherapy is not indicated owing to the already high incidence of lacrimal gland lymphoreticular neoplasia associated with this disease.

ANGIOLYMPHOID HYPERPLASIA WITH EOSINOPHILIA (KIMURA'S DISEASE)

An idiopathic inflammation of the skin, angiolymphoid hyperplasia with eosinophilia most often involves the head and neck but has been rarely reported to cause proptosis as well as periorbital subcutaneous nodules.256–261The orbital disease affects individuals between the third and sixth decades and is more common in men. The disease appears to be more common in Asians. In addition to subcutaneous and orbital nodules, patients demonstrate eosinophilia of the peripheral blood, increased serum IgE, and deposits of IgE in the glomeruli. Bronchial asthma is also common in these patients.

Examination of the lesions found in this condition demonstrate relatively well-circumscribed masses. Since there is a proliferation of small blood vessels within the lesion, they generally appear to be red or tan-brown and will bleed vigorously during surgical excision. The lesions tend to be nodular and usually measure 1 to 3 mm in diameter. However, there may also be diffuse involvement of the orbit.

Histopathology

Histopathologically, there is a proliferation of vascular tissue, predominantly capillaries and venules, although arterioles and other vessels may also be seen within these lesions.256,260,261 Generally, the proliferated vascular channels are lined with very plump endothelial cells that have eosinophilic cytoplasm. They may project into the vessel lumen, or they may form pseudolumina owing to the presence of large cytoplasmic vacuoles. These endothelial cells contain folded nuclei and are vesicular. Immature vascular elements can be seen in association with adjacent normal arteries, indicating that the lesion may develop from normal vascular structures. Scattered within the vascular stroma is a mixed population of inflammatory cells, including large numbers of eosinophils as well as plasma cells, lymphocytes, and mast cells. Germinal centers may be present, and the lymphoid tissue may extend into the surrounding areas of relatively normal tissue. In addition, there may be intramural extension of the inflammatory response with necrosis of vessel walls. This is associated with mucopolysaccharide deposition. Extensive fibrosis, frank tissue necrosis, and mitotic activity usually do not occur in this condition.

Differential Diagnosis

Other entities that should be considered as part of the differential diagnosis of this condition include angiosarcoma, Wegener's granulomatosis, and Churg-Strauss syndrome. Of these conditions, angiosarcoma is most similar to angiolymphoid hyperplasia. In contrast to the latter condition, angiosarcoma is associated with marked mitotic activity and no significant eosinophilic infiltrate or lymphoid hyperplasia.

Treatment

The treatment of angiolymphoid hyperplasia is complete surgical excision.256 Radiotherapy and the use of corticosteroids have not been shown to be of significant benefit but may be successful in selected cases.257In cases in which surgical excision is difficult, these treatment modalities as well as the use of antineoplastic agents may be of benefit.

Back to Top
ORBITAL INFLAMMATION AND VASCULITIS ASSOCIATED WITH CONNECTIVE TISSUE DISEASE
Systemic vasculitis can be associated with any connective tissue disease. It is most common with systemic lupus erythematosus, dermatomyositis, and rheumatoid arthritis.10,262–265 In all these conditions the orbital vasculitis involves the small vessels within the skeletal muscle and adjacent connective tissue. Capillaries, precapillary arterioles, and postcapillary venules are infiltrated with a mixture of neutrophils and nuclear dust.4 There are fibrinoid changes within the vessel walls with necrosis and hemorrhage and replacement of the surrounding tissues with connective tissue. Panniculitis is a rare occurrence in association with these vasculitic changes but has been reported in association with systemic lupus erythematosus.266–269

Patients with systemic vasculitis present with nonacute and subacute orbital inflammatory response characterized by eyelid edema, ptosis, chemosis, conjunctival injection, conjunctival nodules, and dull persistent discomfort and pain. Proptosis is present in 50% of cases.263,270 Decreased vision occurs when the inflammatory response involves the optic nerve or retina. In most instances there is a positive response to oral corticosteroids.271–273 However, occasionally, it may be necessary to use antineoplastic drugs such as cyclophosphamide to control the disease process.272–274

SYSTEMIC LUPUS ERYTHEMATOSUS

Systemic lupus erythematosus is a relapsing inflammatory condition involving the joints, skin, kidney, and cardiovascular system.263,264,275 Females are affected nine times more often than males. Affected individuals most often range between 20 and 40 years of age. Antinuclear antibodies are invariably present in this condition, although they may also be present in other connective tissue diseases. Antibodies against double-stranded DNA are pathognomonic for this disease. Twenty percent of patients have a positive LE cell test. Orbital involvement is less common than ocular involvement, which is characterized by retinal vasculitis with hemorrhages and cotton-wool spots. Skin biopsy specimens show IgG deposition at the dermoepidermal junction.

POLYMYOSITIS AND DERMATOMYOSITIS

Dermatomyositis is only rarely associated with orbital inflammation.88,276 It is an idiopathic inflammatory myopathy. Proptosis and extraocular motility disturbances occur due to the acute myopathy. Eyelid edema and erythema are nonspecific manifestations of the orbital inflammatory process.

COGAN'S SYNDROME

Cogan's syndrome in its atypical form can be associated with orbital inflammation secondary to vasculitis.273,277–281 It may be bilateral or unilateral. This form of the disease is not necessarily associated with any corneal pathology. Rather there is hearing loss, vertigo, tinnitus, scleritis, chemosis and conjunctival injection, mild iritis, eyelid edema, and proptosis. Painful interstitial keratitis may develop after orbital inflammation occurs. Auditory-vestibular symptomatology may occur before or after orbital symptoms and may be the most severe aspect of the disease.272,277 In addition to these features the disease can be associated with severe and possibly life-threatening systemic necrotizing vasculitis involving the gastrointestinal tract, kidneys, and cardiovascular system.273,277,278,282 Approximately 25% of patients also have findings consistent with polyarteritis nodosa.277,283

Back to Top
ORBITAL INFLAMMATION ASSOCIATED WITH SYSTEMIC DISEASE AND PANNICULITIS

NONSUPPURATIVE NODULAR PANNICULITIS (WEBER-CHRISTIAN DISEASE)

Nonsuppurative nodular panniculitis is characterized by nodular inflammation of subcutaneous fat associated with relapsing fevers, generalized weakness, arthritis, and myalgias.284–286 It is more common in middle-aged females, and lesions occur most commonly in the lower extremities. Corneal ulcers, exophthalmos, subconjunctival nodules, episcleritis, and uveitis may be associated with this disease process.287 Heparin has been used to treat the inflammatory intraocular manifestations of this condition.

Laboratory Findings

Laboratory features include an elevated sedimentation rate, anemia, leukopenia, and hypocomplementemia. During times of active symptomatology often there will be evidence of circulating 7S IgM or immune complexes. Death occasionally occurs due to hemorrhage and severe inflammation, with involvement of the heart, mesenteric fat, and viscera. Other diseases, including erythema nodosum, systemic lupus erythematosus, hypergammaglobulinemia, acute myelogenous leukemia, rheumatoid arthritis, sarcoidosis, and acalculous cholecystitis, may occur in patients with nonsuppurative nodular panniculitis. Intensive anti-inflammatory and antineoplastic therapy is necessary to manage this disease.

Histopathology

Histopathologically there is evidence of an acute inflammatory response in the fat associated with vasculitis, necrosis, and fat atrophy. Lipid-laden macrophages are common. There may be considerable fibrosis present due to recurrent inflammation.

Diagnosis of this condition is based on its multifocality associated with a decreased lipoprotein lipase level. Diabetes, dermatomyositis, pancreatitis, rheumatoid arthritis, and high levels of bromide and iodide may be associated with fat atrophy. These entities usually are not associated with involvement of the orbital fat. Localized inflammation of the orbit as well as a lipogranulomatous response occurs with rupture of an orbital dermoid. However, the absence of systemic symptoms differentiates this from nonsuppurative nodular panniculitis.

Back to Top
GRANULOMATOUS ORBITAL INFLAMMATION ASSOCIATED WITH SYSTEMIC DISEASE

SARCOIDOSIS

Sarcoidosis is a multisystem granulomatous disorder of unknown etiology characterized by the presence of noncaseating granulomas in affected tissues. Sarcoidosis most commonly affects the lungs, eyes (Fig. 14), and skin. The overall prognosis is usually favorable with a mortality rate of 1% to 5%; many patients recover with little or no residual effects. The term sarcoid was first introduced by Boeck because of the histologic appearance of the skin lesions resembling sarcoma.288

Fig. 14. A. A 28-year-old woman has bilateral lacrimal gland enlargement due to sarcoidosis. B. Axial CT image demonstrates bilateral lacrimal gland and orbital involvement in sarcoidosis. Note that orbital masses conform to bony orbital contour and are not associated with bony destruction. C. Coronal CT image of orbital sarcoidosis. D. T2-weighted MRI image of orbital sarcoid. Orbital masses appear black in this image. Orbital tissue is displaced medially. E. Noncaseating granuloma of orbital tissue. Sarcoid-type granuloma contains spindle-shaped and epithelioid cells, lymphocytes, and giant cells. Typical sarcoid granulomas are usually tightly formed, sharply delimited, and “naked” of a lymphocytic rim (H&E, ×375).

Epidemiology

Epidemiologic studies of sarcoidosis are hampered by the lack of a standardized case definition. Sarcoidosis is more common in young adults 20 to 40 years old.288–290 It is unusual before age 16 and after 70 years of age but may be more severe in older patients. Pediatric sarcoidosis is relatively rare and is divided into two subsets based on the age at onset.291 Females are involved two to three times more than males.288–290 Familial associations have been reported.292–294 Black Americans are more likely to develop sarcoidosis than white Americans, and they also more often develop ocular disease.288–296 In the United States, sarcoidosis is more prevalent in residents of the south Atlantic and south central states.288–290 Worldwide, sarcoidosis is more common in rural areas.288–290 An association with HLA-B8 and HLA-A1 has been reported.297,298

Ocular Manifestations

Twenty five to 50% of patients with sarcoidosis develop ocular manifestations, and 3% to 7% of patients with uveitis may have systemic sarcoidosis.295,299 Ocular findings may be the presenting manifestation of sarcoidosis.299 Up to 12.5% of patients with ocular sarcoidosis may go blind from secondary glaucoma, cataract, retinal destruction, fundus neovascularization, optic nerve damage, and corneal band keratopathy; another 12.5% become visually handicapped.295,299–301

Bilateral, recurrent, anterior granulomatous uveitis is the most common ocular manifestation of sarcoidosis.296,299,301–303 The onset is typically insidious and painless; less commonly it is acute and symptomatic. Granulomas in the eyelids, lacrimal glands, and conjunctiva may be easily accessible for diagnostic biopsies.295,296,301–304 Granulomas may also be found in the iris, retina, and choroid.295,296,301–305 Choroidal granulomas may occur in the absence of other signs of ocular inflammation.306

Posterior segment inflammation occurs in up to 25% of patients with ocular sarcoidosis.300 Vitreous inflammation (snow banking and string of pearls), retinal hemorrhages, perivascular infiltrates (candle wax drippings), macular edema, and retinal and choroidal granulomas may be seen.296,300,302–305 Retinal, subretinal, and disc neovascularization may develop and herald a worse visual prognosis.300,305,307 Optic nerve involvement, in the form of optic neuritis, papillitis, disc swelling, or true papilledema, may develop secondary to severe uveitis or direct optic nerve inflammation and often accompanies neurosarcoidosis.296,300–305,308,309

Orbit involvement typically consists of painless, bilateral enlargement of the lacrimal glands.310 This may lead to granulomatous dacryoadenitis in 7% to 26% of patients and may accompany parotid gland enlargement (Mikulicz's syndrome).301 Granulomatous inflammation of the orbit is rare and may lead to proptosis.311 Granulomatous inflammation of the extraocular muscles is similarly rare but may lead to diplopia, which could be the presenting sign of systemic sarcoidosis.

Systemic Manifestations

Granulomatous inflammation may develop in any organ but has a predilection to affect the lungs and thoracic lymph nodes.288–290 The onset may be insidious or acute and may be subclinical. The prognosis is generally more favorable in patients with an acute onset. The lungs are involved in 90% of patients with sarcoidosis.288 Lung involvement is divided into three stages based on radiologic criteria.289 Most commonly, hilar lymphadenopathy and/or interstitial infiltrates are noted. Symptoms of lung involvement include cough, wheezing, and hemoptysis.288 Dyspnea is usually a late symptom and heralds a worse prognosis. Lymphatic involvement includes hilar adenopathy and hepatosplenomegaly. Skin involvement in the form of erythema nodosum, which is a subcutaneous hypersensitivity reaction that is tender and self limited, or of nontender granulomatous nodules is common.289 Acute arthritis may develop mimicking rheumatoid arthritis; chronic arthritis is less common.312 Other organ involvement includes the kidneys, skeletal muscles, bones, and central and peripheral nervous systems.288,289 Neurosarcoidosis consisting of facial nerve palsies, disc edema, peripheral neuropathy, myopathy, or meningitis may develop.

Immunohistopathology

Sarcoidosis is characterized by the presence of noncaseating granulomas in involved organs. These granulomas are not specific for sarcoidosis, however, and may be seen in other granulomatous diseases such as certain infections, neoplastic diseases, immunologic diseases such as systemic lupus erythematosus and Wegener's granulomatosis, and reactions to irritants such as beryllium.290,313 Granulomas may also be found in organs free of active disease.290 The granulomas found in sarcoidosis consist of focal collections of mononuclear cells (epithelioid cells, macrophages, and multinucleated giant cells) surrounded by activated T lymphocytes mostly of the T-helper subset.290 Granuloma formation may be triggered by unknown antigens, infectious agents, or immune complexes.288

The immune system in a patient with sarcoidosis may best be characterized as that of heightened cellular immune processes at sites of disease contrasted to generalized anergy.288,290,313 Systemic humoral immunity may be nonspecifically exaggerated with increased production of all classes of immunoglobulins, including autoantibodies. Conversely, systemic T-helper cell levels and functions may be suppressed. Circulating immune complexes have also been described.288,290 T lymphocytes from lung tissue may secrete a chemotactic factor for monocytes and interleukin-2.173,175,312,314 The above findings support an immune etiology for sarcoidois.288,290,301,312

Gass and Olson309 reported epithelioid and giant cells in the vitreous, retina, and retinal pigment epithelium in a patient with sarcoidosis. The choroid was notably free of epithelioid cells, however. The optic nerve head was invaded by granulomas, and localized areas of optic nerve tissue destruction were noted. Chan and associates315 described T-helper cells in and around granulomas. Within the granulomas, macrophages, T cells, and epithelioid cells showed interleukin-2 receptors and were capable of releasing interferon gamma. Class 2 HLA antigens were diffusely distributed. In contrast, the choroid was mostly spared from inflammation. Barth and colleagues316 isolated an acid-fast organism from the aqueous humor of a patient with ocular sarcoidosis.

Diagnosis

A clinical impression of sarcoidosis should prompt an appropriate workup, including laboratory and radiologic tests and histopathologic confirmation.310,313 Unfortunately, absolute diagnostic criteria for sarcoidosis are lacking.288 Many investigators rely on the demonstration of typical noncaseating granulomas in affected tissues for definitive diagnosis.301,310,312,313 One should consider the most accessible tissues, such as skin, lymph nodes, conjunctiva, and lacrimal gland, as potential biopsy sites.313 Transbronchial or open-lung biopsies may be attempted if necessary. The yield of conjunctival and lacrimal gland biopsies increases significantly in the presence of detectable conjunctival or eyelid nodules or granulomas and enlarged lacrimal glands, especially if guided by a positive gallium-67 scan and in patients with proven sarcoidosis.317–321

Chest roentgenograms are the most widely used diagnostic tests for sarcoidosis and may show bilateral hilar adenopathy with or without parenchymal involvement.288,313 A gallium-67 scan of the lung and head is especially helpful when the chest roentgenogram is negative but is not specific for sarcoid.313 Pulmonary function tests are useful for characterizing disease activity and the extent of lung involvement and may be abnormal before the onset of radiologic changes.313 Ancillary evidence includes elevated serum angiotensin converting enzyme (ACE) levels. The sources of ACE in sarcoidosis are epithelioid cells and monocytes.288,310,313 Although not specific, ACE levels may be elevated in 60% to 90% of patients with active sarcoidosis and may be useful in evaluating response to therapy and monitoring recurrences since ACE serum levels reflect the total body mass of ACE-producing granulomas. It may be difficult to interpret ACE levels in children owing to the normally high levels of the enzyme in the pediatric age group.291 Anergic responses to common antigens by skin testing are typical in sarcoidosis and reflect the generalized state of cellular unresponsiveness.290,310,312 Elevated levels of serum and urine calcium secondary to increased sensitivity to, or levels of, vitamin D and elevated lysozyme levels may also be found.310,313 Autoantibodies, such as rheumatoid factor and antinuclear antibody levels, and circulating immune complexes may be present.288,290,310,312 Negative results of these tests do not negate a diagnosis of sarcoidosis.

The Kveim test is now rarely used since the testing agent has to be prepared from tissue obtained from an individual with sarcoidosis and is not commercially available.288,302 Furthermore, the test needs 6 weeks to interpret and transmission of infectious agents may be possible.

Differential Diagnosis

The differential diagnosis of sarcoidosis depends on the organ system involved and generally includes other granulomatous diseases, such as infections including tuberculosis, histoplasmosis, and coccidioidomycosis; connective tissue diseases such as Wegener's granulomatosis; and exposure to irritants such as beryllium and talc.290,312 The anterior and posterior segment manifestations of sarcoidosis must be differentiated from other causes of granulomatous uveitis, vasculitis, and pars planitis, such as tuberculosis and syphilis.303,305 Fundus neovascularization may resemble proliferative diabetic retinopathy. Lacrimal gland enlargement may occur in neoplastic diseases such as lymphomas, immune complex-mediated diseases such as Sjögren's syndrome, and inflammatory diseases such as pseudotumor. These conditions can be excluded and a diagnosis of sarcoidosis established by following the diagnostic procedures suggested earlier.

Treatment

The prognosis of systemic sarcoidosis is generally favorable; many patients may not require systemic therapy.288–290 Corticosteroids are the mainstay of treatment in sarcoidosis.288–302,312,322 Chloroquine and hydroxychloroquine have also been used to treat chronic lung disease.302 Case reports have also suggested a possible role for cyclosporine in the treatment of pulmonary and central nervous system sarcoidosis.312,323 Topical corticosteroids and cycloplegics may suffice to treat anterior uveitis.296,303–305 Posterior segment inflammation and inflammation of the orbit, lacrimal glands, and extraocular muscles usually respond to systemic corticosteroids. Surgical intervention may be attempted in cases of visually significant cataracts and uncontrolled glaucoma.305 Increased ocular inflammation is common postoperatively. Retinal and disc new vessels may respond to corticosteroids; subretinal new vessels may require laser therapy, however.305

SYSTEMIC XANTHOGRANULOMATOSIS (ERDHEIM-CHESTER DISEASE)

Systemic xanthogranulomatosis is a systemic granulomatosis occurring in adults.324,325 Although usually occurring in the eyelids, it may involve the orbit either unilaterally or bilaterally. Orbital lesions are associated with retinal striae, optic disc edema and atrophy, ophthalmoplegia, thinned eyelid skin, and eyelid xanthelasmas. The skin lesions are usually indurated, in contrast to ordinary xanthelasmas. Xanthomatous involvement of the long bones can be associated with fistulous tracts to the skin and may appear as either lytic or sclerotic lesions. Pulmonary involvement results in pulmonary effusion, and there may also be cardiac decompensation with pleural effusion and kidney and retroperitoneal disease. Non-Hodgkin's lymphoma may occur in association with this disease. Significant systemic involvement often results in death.

Histopathologic examination of the involved tissues demonstrates sheets of xanthoma cells associated with fibrosis and a mixed inflammatory response consisting of lymphocytes, plasma cells, and macrophages. Xanthoma cells are histocytes containing large amounts of ingested lipid. Touton giant cells are characteristically present. Treatment consists of systemic corticosteroids and possibly antineoplastic agents.

JUVENILE XANTHOGRANULOMA

This condition most often involves the iris and is associated with hyphema.326–329 Limbal lesions have also been reported.330,331 It may also occur in the retina, choroid, and optic nerve.332 Orbital lesions are distinctly unusual, especially in adults.333–336 Typically appearing yellow nodules are present in the eyelids as well as hairy areas of the body.337 Histologically there is the characteristic Touton giant cell surrounded by a polymorphous cellular response consisting of histiocytes, lymphocytes, plasma cells, and eosinophils.334 Unlike systemic xanthogranulomatosis, visceral involvement is quite unusual. Although usually occurring in children, lesions similar to those in juvenile xanthogranuloma occasionally occur in adults.333 The disorder can also appear as a solitary eyelid mass.338 It is very responsive to corticosteroids or low doses of radiation.334,339

PSEUDORHEUMATOID NODULES

Pseudorheumatoid nodules are focal lesions occurring in the orbit and periorbital areas as well as subdermally in other areas.340–344 There is no evidence of rheumatoid arthritis or rheumatic fever. Children are most often affected, although occasionally adults may present with these lesions.340 Histopathologic examination demonstrates stellate areas of collagen necrosis surrounded by pallisading epithelial histiocytes and multinucleated giant cells.341,345 Fibrinoid necrosis is not present in the center of these lesions. Lymphocytes and plasma cells may also be present in the surrounding areas. There may be areas of endothelial proliferation suggestive of a focal arteritis. Although some lesions may spontaneously regress, treatment usually consists of the surgical excision of the most prominent lesions.341

NECROBIOTIC XANTHOGRANULOMA

In necrobiotic xanthogranuloma multiple indurated subcutaneous xanthomatous nodules occur in association with systemic monoclonal gammopathy and plasma cell dyscrasia.346–348 Xanthogranulomas may be present periorbitally, in the orbit, or subconjunctivally.349–351 Episcleritis, scleritis, uveitis, and keratitis may also occur.349 Patients are usually in their fifth to seventh decades. Clinically the orbital lesions appear to be waxy, erythematous, and firm.347 Histopathologically there is a zonular granulomatous inflammatory infiltrate associated with Touton giant cells, xanthoma cells, and surrounding necrobiosis.347,352 The patient's age, the presence of necrobiosis, and the association of a monoclonal gammopathy differentiate this disease from juvenile xanthogranuloma. Serum protein immunoelectrophoresis is helpful in demonstrating the gammopathies occurring in this entity.348,347 Treatment consists of antineoplastic agents and corticosteroids used in treating systemic lymphoproliferative disorders and intralesional injections of triamcinolone.346,347,349,352 Focal radiation may also be useful.353

Back to Top
IDIOPATHIC ORBITAL INFLAMMATION ASSOCIATED WITH SYSTEMIC FIBROSCLEROSIS

MULTIFOCAL FIBROSCLEROSIS

Idiopathic fibrosis involving a variety of body structures can occur in association with a low-grade orbital inflammation.354–357 Systemic symptoms depend on the body structures that are involved in the fibrosclerosing process. Retroperitoneal and mediastinal fibrosis, sclerosing cholangitis, and fibrosclerosis of the thyroid gland (Riedel's struma) are all associated with this disease process.354,358 Fibrosclerosis of the thyroid gland differs from Hashimoto's thyroiditis in that the former is associated with complete destruction of all elements of the thyroid gland, replacing it with chronic inflammatory cells and a dense fibrosclerotic infiltrate that can extend to involve the muscular structures in the neck, while the latter is associated with maintenance of the lobular architecture of the thyroid gland despite the presence of an inflammatory response with no extension of the disease process beyond the capsule of the gland. Retroperitoneal fibrosis may be associated with ureteral obstruction and uremia.359 Obstructive jaundice occurs in association with sclerosing cholangitis.358 Orbital involvement may be unilateral or bilateral.354,355,359 There is proptosis due to the deposition of dense hyalinized collagen and scattered fibroblasts. This is a paucicellular lesion without evidence of lymphoid follicles or lipid-laden histiocytes. The management of this condition includes corticosteroids and radiation. However, the extensive fibrosclerotic changes are relatively unresponsive to these therapeutic modalities. Surgery may be indicated to correct obstructions of the ureter and biliary system.

Back to Top
REFERENCES

1. Rootman J: Frequency and differential diagnosis of orbital disease. In Rootman J (ed): Diseases of the Orbit, pp 119–139. Philadelphia, JB Lippincott, 1988

2. Kennedy R: An evaluation of 820 orbit cases. Trans Am Ophthalmol Soc 82:134, 1984

3. Jakobiec FA, Font RL: Orbit. In Spencer WH (ed): Ophthalmic Pathology, 3rd ed, vol 3, chap 12. Philadelphia, WB Saunders, 1986

4. Kennerdell JS, Dresner SC: The nonspecific orbital inflammatory syndromes. Surv Ophthalmol 29:93, 1984

5. Nugent RA, Rootman J, Robertson WD et al: Acute orbital pseudotumors: Classification and CT features. AJR 137:957, 1981

6. Rootman J, Robertson W, Lapointe JS: Inflammatory diseases. In Rootman J (ed): Diseases of the Orbit: A Multidisciplinary Approach, pp 143–204. Philadelphia, JB Lippincott, 1988

7. Jakobiec F: Orbital inflammations and lymphoid tumors. Trans New Orleans Acad Ophthalmol 30:52, 1982

8. Birch-Hirschfeld A: Die Krankheiten der Orbita. In Graefe A, Saemisch T (eds): Handbuch der Gesamten Augenheilkunden, vol 9, part 1. Berlin, Julius Springer, 1930

9. Bullen C, Younge B: Chronic orbital myositis. Arch Ophthalmol 100:1749, 1982

10. Grimson BS, Simons KB: Orbital inflammation, myositis, and systemic lupus erythematosus. Arch Ophthalmol 101:736, 1983

11. Jakobiec FA, Yeo JH, Trokel SL et al: Combined clinical and computed tomographic diagnosis of lacrimal fossa lesions. Am J Ophthalmol 94:785, 1982

12. Rush J, Kennerdell J, Donin J: Acute periscleritis: A variant of idiopathic orbital inflammation. Orbit 1:221, 1982

13. Rootman J, Nugent R: The classification and management of acute orbital pseudotumors. Ophthalmology 89:1040, 1982

14. Slavin M, Glaser J: Idiopathic orbital myositis. Arch Ophthalmol 100:1261, 1982

15. Weinstein GS, Dresner SC, Slamovits TL, Kennerdell JS: Acute and subacute orbital myositis. Am J Ophthalmol 96:209, 1983

16. Tychsen L, Tse DT, Ossoinig K, Anderson RL: Trochleitis with superior oblique myositis. Ophthalmology 91:1075, 1984

17. Aron-Rosa D, Doyon D, Salamon G, Michotey P: Tolosa-Hunt syndrome. Ann Ophthalmol 10:1161, 1978

18. Hallpike JF: Superior orbital fissure syndrome: Some clinical and radiological observations. J Neurol Neurosurg Psychiatry 36:486, 1973

19. Lakke J: Superior orbital fissure syndrome: Report of a case caused by local pachymeningitis. Arch Neurol 7:289, 1962

20. Edwards M, Zanel D, Gilkor R, Muller J: Invasive orbital pseudotumor: CT demonstration of extension beyond orbit. Neuroradiology 23:215, 1982

21. Eshaghian J, Anderson R: Sinus involvement in inflammatory orbital pseudotumor. Arch Ophthalmol 99:113, 1981

22. Kaye AH, Hahn JF, Craciun A et al: Intracranial extension of inflammatory pseudotumor of the orbit: Case report. J Neurosurg 60:625, 1984

23. Nishi T, Saito Y, Watanabe K, Uozumi T: Intracranial extension of an orbital pseudotumor accompanied by internal carotid artery occlusion: Case report. Neurol Med Chir 32:758, 1992

24. Noble SC, Chandler WF, Lloyd RV: Intracranial extension of orbital pseudotumor: A case report. Neurosurgery 18:798, 1986

25. Frohman LP, Kupersmith MJ, Lang J et al: Intracranial extension and bone destruction in orbital pseudotumor. Arch Ophthalmol 104:380, 1986

26. Perrone T, De Wolf-Peeters C, Frizzera G: Inflammatory pseudotumor of lymph nodes: A distinctive pattern of nodal reaction. Am J Surg Pathol 12:351, 1988

27. Randin JP, Merot Y, Anani P, Waridel D: Inflammatory pseudotumor of the lung: A propos of a case. Schweiz Med Wochenschr 111:596, 1981

28. Paineau J, Gaillard F, Visset J: Inflammatory pseudotumor of the liver: Unusual course of an unrecognized abscess? Apropos of a case. J Chir 120:529, 1983

29. Salzstein S: Extranodal malignant lymphoma and pseudolymphomas. In Sommer S (ed): Pathology Annual, p 159. New York, Appleton-Century-Crofts, 1969

30. Brooks J, Enterline H: Gastric pseudolymphoma: Its three subtypes and relation to lymphoma. Cancer 51:476, 1983

31. Caro WA, Helwig HB: Cutaneous lymphoid hyperplasia. Cancer 24:487, 1969

32. Jakobiec F, Mottow L: Pediatric orbital pseudotumor. In Jakobiec F (ed): Ocular and Adnexal Tumors, pp 644–658. Birmingham, AL, Aesculapius, 1978

33. Mottow-Lippa L, Jakobiec F, Smith M: Idiopathic inflammatory orbital pseudotumor in childhood: II. Results of diagnostic tests and biopsies. Ophthalmology 88:565, 1981

34. Mottow-Lippa L, Jakobiec F: Idiopathic inflammatory orbital pseudotumor in childhood: I. Clinical characteristics. Arch Ophthalmol 96:1410, 1978

35. Grimson BS, Cohen KL, Peiffer RL, Bouldin TW: Isolated, bilateral orbital mass lesions during childhood. J Pediatr Ophthalmol Strabismus 19:42, 1982

36. Keane JR: Alternating proptosis: A case report of acute orbital myositis defined by the computerized tomographic scan. Arch Neurol 34:642, 1977

37. Hatsuda TA, Tanaka J: Bilateral necrotizing scleritis. Am J Ophthalmol 86:710, 1978

38. Spoor TC, Hartel WC: Orbital myositis. J Clin Neuroophthalmol 3:67, 1983

39. Green WR: Uveal tract. In Spencer W (ed): Ophthalmic Pathology, vol 3, pp 1776–1791. Philadelphia, WB Saunders, 1986

40. Schepens C, Brockhurst R: Uveal effusion: I. Clinical picture. Arch Ophthalmol 70:189, 1963

41. Haynes BF, Fishman ML, Fauci AS, Wolff SM: The ocular manifestations of Wegener's granulomatosis: Fifteen years experience and review of the literature. Am J Med 63:131, 1977

42. Bullen CL, Liesegang TJ, McDonald TJ, DeRemee RA: Ocular complications of Wegener's granulomatosis. Ophthalmology 90:279, 1983

43. Fowler T, Earl C, McAllister V, McDonald W: Tolosa-Hunt syndrome. Br J Ophthalmol 59:149, 1975

44. Hunt W: Tolosa-Hunt syndrome: One cause of painful ophthalmoplegia. J Neurosurg 44:544, 1976

45. Kline L: Tolosa-Hunt syndrome. Surv Ophthalmol 27:79, 1982

46. Lenzi GL, Fieschi C: Superior orbital fissure syndrome: Review of 130 cases. Eur Neurol 16:23, 1977

47. Dornan TL, Espir ML, Gale EA et al: Remittent painful ophthalmoplegia: The Tolosa-Hunt syndrome? A report of seven cases and review of the literature. J Neurol Neurosurg Psychiatry 42:270, 1979

48. Campbell RJ, Okazaki H: Painful ophthalmoplegia (Tolosa-Hunt variant): Autopsy findings in a patient with necrotizing intracavernous carotid vasculitis and inflammatory disease of the orbit. Mayo Clin Proc 62:520, 1987

49. Goto Y, Hosokawa S, Goto I et al: Abnormality in the cavernous sinus in three patients with Tolosa-Hunt syndrome: MRI and CT findings. J Neurol Neurosurg Psychiatry 53:231, 1990

50. Rosenbaum DH, Davis MJ, Song IS: The syndrome of painful ophthalmoplegia: A case with intraorbital mass and hypervascularity. Arch Neurol 36:41, 1979

51. Andersson BI: Unusual course of painful ophthalmoplegia: Report of a case. Acta Ophthalmol 58:841, 1980

52. Spirn FH, Wolintz AH, Tenner MS, Gombos GM: Tolosa-Hunt syndrome. Ann Ophthalmol 7:1087, 1975

53. Hannerz J, Ericson K, Bergstrand G: A new etiology for visual impairment and chronic headache: The Tolosa-Hunt syndrome may be only one manifestation of venous vasculitis. Cephalalgia 6:59, 1986

54. Muhletaler CA, Gerlock A Jr: Orbital venography in painful ophthalmoplegia (Tolosa-Hunt syndrome). AJR 133:31, 1979

55. Hannerz J: Orbital phlebography and signs of inflammation in episodic and chronic cluster headache. Headache 31:540, 1991

56. Rowed DW, Kassel EE, Lewis AJ: Transorbital intracavernous needle biopsy in painful ophthalmoplegia: Case report. J Neurosurg 62:776, 1985

57. Sondheimer FK, Knapp J: Angiographic findings in the Tolosa-Hunt syndrome: Painful ophthalmoplegia. Radiology 106:105, 1973

58. Wilner HI, Gupta KL, Kelly JK: Orbital pseudotumor: Association of orbital vein deformities and myositis. Am J Neuroradiol 1:305, 1980

59. Ross WH: Myositic pseudotumour of the orbit. Can J Ophthalmol 18:199, 1983

60. Hankey GJ, Silbert PL, Edis RH, Nicoll AM: Orbital myositis: A study of six cases. Aust NZ J Med 17:585, 1987

61. Goldberg L, Tao A, Romano P: Severe exophthalmos secondary to orbital myopathy not due to Graves' disease. Br J Ophthalmol 66:392, 1982

62. Wesley RE, Cheij G, Bond JB, Davis WG: Orbital pseudotumor of the levator muscle. Ophthalmic Plast Reconstr Surg 2:139, 1986

63. Klein BR, Hedges TR III, Dayal Y, Adelman LS: Orbital myositis and giant cell myocarditis. Neurology 39:988, 1989

64. Ludwig I, Tomsak RL: Acute recurrent orbital myositis. J Clin Neuroophthalmol 3:41, 1983

65. Trokel S, Hilal S: Recognition and differential diagnosis of enlarged extraocular muscles in computed tomography. Am J Ophthalmol 87:503, 1979

66. Trokel S, Jakobiec F: Correlation of CT scanning and pathologic features of ophthalmic Graves' disease. Ophthalmology 88:553, 1981

67. Dresner SC, Rothfus WE, Slamovits TL et al: Computed tomography of orbital myositis. AJR 143:671, 1984

68. Rothfus WE, Curtin HD: Extraocular muscle enlargement: A CT review. Radiology 151:677, 1984

69. Purcell J Jr, Taulbee WA: Orbital myositis after upper respiratory tract infection. Arch Ophthalmol 99:437, 1981

70. Casteels I et al: Orbital myositis following an upper respiratory tract infection: Contribution of high resolution CT and MRI. J Belge Radiol 74:45, 1991

71. Harcourt R: Orbital granulomata associated with widespread angiitis. Br J Ophthalmol 48:673, 1964

72. Hannerz J, Greitz D, Hansson P, Ericson K: SUNCT may be another manifestation of orbital venous vasculitis. Headache 32:384, 1992

73. Zimmerman L, Rodgers J: Idiopathic thrombophlebitis of orbital veins simulating primary tumor of orbit. Trans Am Acad Ophthalmol Otolaryngol 6:609, 1957

74. Hannerz J, Blomback M: Coagulation factors in orbital venous vasculitis. Cephalalgia 10:83, 1990

75. Hannerz J: Systemic symptoms associated with orbital venous vasculitis. Cephalalgia 8:255, 1988

76. Margo CE, Naugle T Jr, Karcioglu ZA: Ectopic lacrimal gland tissue of the orbit and sclerosing dacryoadenitis. Ophthalmic Surg 16:178, 1985

77. Harr D, Quencer R, Abrams G: Computed tomography and ultrasound in the evaluation of orbital infection and pseudotumor. Radiology 142:395, 1982

78. Mauriello J Jr, Flanagan JC: Management of orbital inflammatory disease: A protocol. Surv Ophthalmol 29:104, 1984

79. Curtin HD: Pseudotumor. Radiol Clin North Am 25:583, 1987

80. Hurwitz BS, Citrin CM: Use of computerized axial tomography (CAT scan) in evaluating therapy of orbital pseudotumor. Ann Ophthalmol 11:217, 1979

81. Kenney AH, Hafner JN: Ultrasonic evidence of inflammatory thickening and fluid collection within the retrobulbar fascia: The T sign. Ann Ophthalmol 9:1557, 1977

82. Byrne SF, Green RL: Ultrasound of the Eye and Orbit, pp 283–287. St. Louis, Mosby-Year Book, 1992

83. Kalina PH, Lie JT, Campbell RJ, Garrity JA: Diagnostic value and limitations of orbital biopsy in Wegener's granulomatosis. Ophthalmology 99:120, 1992

84. Dua HS, Smith FW, Singh AK, Forrester JV: Diagnosis of orbital myositis by nuclear magnetic resonance imaging. Br J Ophthalmol 71:54, 1987

85. Jaikishen P, Bateman JL, Shreeve WW: Orbital pseudotumor imaged with Ga-67 citrate. Clin Nucl Med 14:838, 1989

86. Wesley RE, Cooper J, Litchford DW: Orbital inflammatory pseudotumor associated with multifocal systemic neoplastic immunoincompetence. Ann Ophthalmol 20:150, 1988

87. Chavis R, Garner A, Wright J: Inflammatory orbital pseudotumor: A clinicopathologic study. Arch Ophthalmol 96:1817, 1978

88. Garner A: Pathology of “pseudotumours” of the orbit: A review. J Clin Pathol 26:639, 1973

89. Satorre J et al: Orbital lesions with granulomatous inflammation. Can J Ophthalmol 26:174, 1991

90. Kennerdell JS: The management of sclerosing nonspecific orbital inflammation. Ophthalmic Surg 22:512, 1991

91. Abramovitz J, Kasdon D, Satala F et al: Sclerosing orbital pseudotumor. Neurosurgery 12:463, 1983

92. Garner A, Rahi AH, Wright JE: Lymphoproliferative disorders of the orbit: An immunological approach to diagnosis and pathogenesis. Br J Ophthalmol 67:561, 1983

93. Jakobiec FA, Iwamoto T, Knowles DM II: Ocular adnexal lymphoid tumors: Correlative ultrastructural and immunologic marker studies. Arch Ophthalmol 100:84, 1982

94. Noble AG, Tripathi RC, Levine RA: Indomethacin for the treatment of idiopathic orbital myositis. Am J Ophthalmol 108:336, 1989

95. Leone CR Jr, Lloyd WC III: Treatment protocol for orbital inflammatory disease. Ophthalmology 92:1325, 1977

96. Bielory L, Frohman LP: Low-dose cyclosporine therapy of granulomatous optic neuropathy and orbitopathy. Ophthalmology 98:173, 1991

97. Osher RH, Schatz NJ, Duane TD: Acquired orbital retraction syndrome. Arch Ophthalmol 98:1798, 1980

98. Donaldson SS, McDougall IR, Egbert PR et al: Treatment of orbital pseudotumor (idiopathic inflammation) by radiation therapy. Int J Radiat Oncol Biol Phys 6:79, 1980

99. Kennerdell JS, Johnson BL, Deutsch M: Radiation treatment of orbital lymphoid hyperplasia. Ophthalmology 86:942, 1979

100. Orcutt JC, Garner A, Henk JM, Wright JE: Treatment of idiopathic inflammatory orbital pseudotumours by radiotherapy. Br J Ophthalmol 67:570, 1983

101. Clay C, Bilaniuk L, Vignaud J: Preliminary report on a new type of therapy. Neuro-Ophthalmology 1:101, 1980

102. Font R, Zimmerman L: Nodular fasciitis of the eye and adnexa: A report of 10 cases. Arch Ophthalmol 75:475, 1966

103. Levitt J, deVeer J, Oguzhan M: Orbital nodular fasciitis. Arch Ophthalmol 81:235, 1969

104. Meacham C: Pseudosarcomatous fasciitis. Am J Ophthalmol 77:747, 1974

105. Perry RH, Ramani PS, McAllister V et al: Nodular fasciitis causing unilateral proptosis. Br J Ophthalmol 59:404, 1975

106. Tolls R, Mohr S, Spencer W: Benign nodular fasciitis originating in Tenon's capsule. Arch Ophthalmol 75:482, 1966

107. Font R, Yanoff M, Zimmerman L: Benign lymphoepithelial lesion of the lacrimal gland and its relationship to Sjögren's syndrome. Am J Clin Pathol 48:365, 1967

108. Saku T, Okabe HL: Immune histochemical and ultrastructural demonstration of keratin in epimyoepithelial bloods of autoimmune sialadenitis in man. Arch Oral Biol 9:687, 1984

109. Knowles DM II, Jakobiec FA, Rosen M, Howard G: Amyloidosis of the orbit and adnexae. Surv Ophthalmol 19:367, 1975

110. Cohen MM, Lessell S: Amyloid tumor of the orbit. Neuroradiology 18:157, 1979

111. Simpson GT II, Strong MS, Skinner M, Cohen AS: Localized amyloidosis of the head and neck and upper aerodigestive and lower respiratory tracts. Ann Otol Rhinol Laryngol 93:374, 1984

112. Raab EL: Intraorbital amyloid. Br J Ophthalmol 54:445, 1970

113. Howard GM. Amyloid tumours of the orbit. Br J Ophthalmol 50:421. 1966

114. Gean-Marton AD, Kirsch CF, Vezina LG, Weber AL: Focal amyloidosis of the head and neck: Evaluation with CT and MR imaging. Radiology 181:521, 1991

115. Nehen JH: Primary localized orbital amyloidosis. Acta Ophthalmol 57:287, 1979

116. Kaiser-Kupfer MI, McAdam KP, Kuwabara T: Localized amyloidosis of the orbit and upper respiratory tract. Am J Ophthalmol 84:721, 1977

117. Liesegang T: Amyloid infiltration of the levator palpebrae superioris muscle: Case report. Ann Ophthalmol 15:610, 1983

118. Savino PJ, Schatz NJ, Rodrigues MM: Orbital amyloidosis. Can J Ophthalmol 11:252, 1976

119. Erie JC, Garrity JA, Norman ME: Orbital amyloidosis involving the extraocular muscles. Arch Ophthalmol 107:1428, 1989

120. Levine MR, Buckman G: Primary localized orbital amyloidosis. Ann Ophthalmol 18:165, 1986

121. Finlay KR, Rootman J, Dimmick J: Optic neuropathy in primary orbital amyloidosis. Can J Ophthalmol 15:189, 1980

122. Holmstrom GE, Nyman KG: Primary orbital amyloidosis localised to an extraocular muscle. Br J Ophthalmol 71:32, 1987

123. Kyle A, Grepp P: Amyloidosis (AL): Clinical and laboratory features in 229 cases. Mayo Clin Proc 58:665, 1983

124. Lucas D, Knox F, Davies S: Apparent monoclonal origin of lymphocytes and plasma cells infiltrating ocular adnexal amyloid deposits: Report of 2 cases. Br J Ophthalmol 66:600, 1982

125. Glenner G: Amyloid deposits and amyloidosis. The B-fibrilloses (in two parts). N Engl J Med 302:1283, 1333, 1980

126. Maury C, Wegelius O: Pathogenesis of AA amyloidosis (editorial). Acta Med Scand 215:289, 1984

127. Sood GC, Malik SR, Gupta DK, Kakar PK: Reparative granuloma of the orbit causing unilateral proptosis. Am J Ophthalmol 63:524, 1967

128. Sebag J, Chapman P, Truman J, Riemersma RR: Giant cell granuloma of the orbit with intracranial extension. Neurosurgery 16:75, 1985

129. Hoopes PC, Anderson RL, Blodi FC: Giant cell (reparative) granuloma of the orbit. Ophthalmology 88:1361, 1981

130. Naiman J, Green WR, d'Heurle D et al: Brown tumor of the orbit associated with primary hyperparathyroidism. Am J Ophthalmol 90:565, 1980

131. Parrish CM, O'Day DM: Brown tumor of the orbit: Case report and review of the literature. Arch Ophthalmol 104:1199, 1986

132. Guccion JG, Enzinger FM: Malignant giant cell tumor of soft parts: An analysis of 32 cases. Cancer 29:1518, 1972

133. O'Sullivan RM, Nugent RA, Satorre J, Rootman J: Granulomatous orbital lesions: Computed tomographic features. Can Assoc Radiol J 43:349, 1992

134. Sen DK: Orbital granuloma projecting through the upper fornix with a retained foreign body (record of an unusual case). Eye Ear Nose Throat Mon 51:467, 1972

135. Reifler DM, Leder D, Rexford T: Orbital hemorrhage and eyelid ecchymosis in acute orbital myositis. Am J Ophthalmol 107:111, 1989

136. Wolter JR, Fralick FB, Tanton JH: Late results of orbital hemorrhage simulating orbital neoplasm: A false aneurysm and a blood cyst with foreign body granuloma of the orbit. Am J Ophthalmol 62:528, 1966

137. Parke DW II, Font RL, Boniuk M, McCrary JA III: “Cholesteatoma” of the orbit. Arch Ophthalmol 100:612, 1982

138. Raflo GT, Hurwitz JJ: Lipid granuloma of the frontal bone presenting as a space-occupying lesion of the orbit. Can J Ophthalmol 16:153, 1981

139. Bergin DJ, McCord CD, Dutton JJ, Garrett SN: Chronic hematic cyst of the orbit. Ophthalmic Plast Reconstr Surg 4:31, 1988

140. Goldberg RA et al: Orbital inflammation and optic neuropathies associated with chronic sinusitis of intranasal cocaine abuse: Possible role of contiguous inflammation. Arch Ophthalmol 107:831, 1989

141. Weber A, Mikulis D: Inflammatory disorders of the paraorbital sinuses and their complications. Radiol Clin North Am 25:615, 1987

142. Chawla HS, Goodwin JA, Ticho BH, Feist RM: Orbital and sinus inflammation with secondary optic neuropathy. Ann Ophthalmol 23:231, 1991

143. Kronschnabel EF: Orbital apex syndrome due to sinus infection. Laryngoscope 84:353, 1974

144. Straatsma B: Ocular manifestations of Wegener's granulomatosis. Am J Ophthalmol 44:789, 1957

145. Soukiasian S, Foster C, Niles J, Raizman M: Diagnostic value of antineutrophil cytoplasmic antibodies in scleritis associated with Wegener's granulomatosis. Ophthalmology 99:125, 1983

146. Spalton D, Graham E, Page N, Sanders M: Ocular changes in limited forms of Wegener's granulomatosis. Br J Ophthalmol 65:553, 1981

147. Fauci A, Haynes B, Costa J et al: Lymphomatoid granulomatosis: Prospective clinical and therapeutic experience over 10 years. N Engl J Med 306:68, 1982

148. Cupps T, Fauci A: Wegener's granulomatosis. In Smith L (ed): Major Problems in Internal Medicine, vol XXI, pp 72–87. Philadelphia, WB Saunders 1981

149. Kalina PH, Garrity JA, Herman DC et al: Role of testing for anticytoplasmic autoantibodies in the differential diagnosis of scleritis and orbital pseudotumor. Mayo Clin Proc 65:1110, 1990

150. Allen J, France T: Pseudotumor as the presenting sign of Wegener's granulomatosis in a child. J Pediatr Ophthalmol 14:158, 1977

151. Liliequist B, Link H: Wegener's granulomatosis: Report of a case. Angiology 19:215, 1968

152. Fauci A, Wolff S: Wegener's granulomatosis: Studies in eighteen patients and a review of the literature. Medicine 52:535, 1973

153. Cassan SM, Divertie MB, Hollenhorst RW, Harrison E Jr: Pseudotumor of the orbit and limited Wegener's granulomatosis. Ann Intern Med 72:687, 1970

154. Kay C, McCrary J: Multiple cranial nerve palsies in late metastasis of midline malignant reticulosis. Am J Ophthalmol 88:1087, 1979

155. Hardwig P, Bartley G, Garrity J: Surgical management of nasolacrimal duct obstruction in patients with Wegener's granulomatosis. Ophthalmology 99:133, 1992

156. Cogan D: Corneoslceral lesions in periarteritis nodosa and Wegener's granulomatosis. Trans Am Ophthalmol Soc 53:321, 1965

157. Brubaker R, Font R, Shepherd E: Granulomatous sclerouveitis: Regression of ocular lesions with cyclophosphamide and prednisone. Arch Ophthalmol 86:517, 1971

158. Specks U, Wheatley C, McDonald T et al: Anticytoplasmic autoantibodies in the diagnosis and follow-up of Wegener's granulomatosis. Mayo Clin Proc 64:28, 1989

159. Seidman J: Case records of the Massachusetts General Hspital: Case 2-1990 (letter; comment). N Engl J Med 324:1371, 1991

160. Leavitt R, Fauci A: Wegener's granulomatosis and other systemic granulomatous conditions. Curr Opin Rheumatol 2:55, 1990

161. Liebow AA, Carrington CR, Friedman PJ: Lymphomatoid granulomatosis. Hum Pathol 3:457, 1972

162. DeRemee R, Weiland L, McDonald T: Respiratory vasculitis. Mayo Clin Proc 55:492, 1980

163. Cupps T, Fauci A: Lymphomatoid granulomatosis. In Smith L (ed): Major Problems in Internal Medicine, vol XXI, pp 88–98. Philadelphia, WB Saunders, 1981

164. Myers J: Lymphomatoid granulomatosis: Past, present, future? Mayo Clin Proc 65:274, 1990

165. Pearson A, Craft A, Howe J: Choroidal involvement in lymphomatoid granulomatosis. Br J Ophthalmol 75:688, 1991

166. Pisani RJ, DeRemee RA: Clinical implications of the histopathologic diagnosis of. Mayo Clin Proc 65:151, 1990

167. Katzenstein A, Carrington C, Liebow A: Lymphomatoid granulomatosis: A clinicopathologic study of 152 cases. Cancer 43:360, 1979

168. Colby T: Central nervous system lymphomatoid granulomatosis in AIDS? Hum Pathol 20:361, 1989

169. Anders K, Latta H, Chang BS et al: Lymphomatoid granulomatosis and malignant lymphoma of the central nervous system in the acquired immunodeficiency syndrome. Hum Pathol 20:326, 1989

170. Mittal K, Neri A, Feiner H et al: Lymphomatoid granulomatosis in the acquired immunodeficiency syndrome. Cancer 65:1343, 1990

171. Najjar T, Gadol C, Khan M: Immune deficiency with polymorphic reticulosis. Oral Surg Oral Med Oral Pathol 67:322, 1989

172. Fauci A, Haynes B, Katz P, Wolf S: Wegener's granulomatosis: Prospective clinical and therapeutic experience with 85 patients for 21 years. Ann Intern Med 98:76, 1983

173. Carlson K, Gibson L: Cutaneous signs of lymphomatoid granulomatosis. Arch Dermatol 127:1693, 1991

174. Eichel B, Harrison E, Devine K et al: Primary lymphoma of the nose including a relationship to lethal midline granuloma. Am J Surg 112:597, 1966

175. McDonald TJ, DeRemee RA, Harrison E Jr et al: The protean clinical features of polymorphic reticulosis (lethal midline granuloma). Laryngoscope 86:936, 1976

176. Gaulard P, Henni T, Marolleau JP et al: Lethal midline granuloma (polymorphic reticulosis) and lymphomatoid granulomatosis: Evidence for a monoclonal T-cell lymphoproliferative disorder. Cancer 62:705, 1988

177. Kornblut AD: Case records of the Massachusetts General Hospital: Weekly clinicopathological exercises: Case 2-1990: Current concepts of the lethal midline granuloma syndrome (letter; comment). N Engl J Med 322:116, 1990

178. Robin JB, Schanzlin DJ, Meisler DM et al: Ocular involvement in the respiratory vasculitides. Surv Ophthalmol 30:127, 1985

179. McKay D, Ell J, Williams R, Taylor F: Lymphomatoid granulomatosis presenting as sudden blindness. Aust NZ J Ophthalmol 182:215, 1990

180. Whittaker S, Foroni L, Luzzatto L et al: Lymphomatoid granulomatosis: Evidence of a clonal T-cell origin and an association with lethal midline granuloma. Q J Med 68:645, 1988

181. Font RL, Rosenbaum PS, Smith J Jr: Lymphomatoid granulomatosis of eyelid and brow with progression to lymphoma. J Am Acad Dermatol 23:334, 1990

182. Lin-Greenberg A, Villacin A, Moussa G: Lymphomatoid granulomatosis presenting as ultrodestructive gastrointestinal tract lesions in patients with human immunodeficiency virus infection. Arch Intern Med 150:2581, 1990

183. Gold J, Castella A: Polymorphic reticulosis: T- or B-cell malignancy. Laryngoscope 99:989, 1989

184. Ratech H, Burke J, Blayney D et al: A clinicopathologic study of malignant lymphomas of the nose, paranasal sinus, hard palate, including cases of lethal midline granuloma. Cancer 64:2525, 1989

185. Harabuchi Y, Yamanaka N, Kataura A et al: Epstein-Barr virus in nasal T-cell lymphomas in patients with lethal midline granuloma. Lancet 335:128, 1990

186. Stewart J: Progressive lethal granulomatosis ulceration of the nose. J Laryngol Otol 48:675, 1933

187. Spear G, Walker WG Jr: Lethal midline granuloma (granuloma gangrenescens) at autopsy. Bull Johns Hopkins Hosp 99:313, 1956

188. Daggett RB, Haghighi P, Terkeltaub RA: Nasal cocaine abuse causing an aggressive midline intranasal and pharyngeal destructive process mimicking midline reticulosis and limited Wegener's granulomatosis. J Rheumatol 17:838, 1990

189. Pickens JP, Modica L: Current concepts of the lethal midline granuloma syndrome (see comments). Otolaryngol Head Neck Surg 100:623, 1989

190. Kornblut A: Current concepts of the lethal midline granuloma syndrome. Otolaryngol Head Neck Surg 102:201, 1990

191. von Rokitansky C: Ueger einige der wichtigsten Krankheitin der Arterien. Denkscher Akad Wissensch 4:49, 1852

192. Kussmaul A, Maier K: Uber eine bisher nicht beschriebene eigenthumliche Arterienerkrankung (periarteritis nodosa), die mit Morbus Brightii un rapid fortschreitender allgemeiner Muskellahmung einhergeht. Dtsch Arch Klin Med 1:484, 1866

193. Cupps T, Fauci A: Systemic necrotizing vasculitis of the polyarteritis nodosa group. In Smith L (ed): Major Problems in Internal Medicine, vol XXI, pp 26–49. Philadelphia, WB Saunders, 1981

194. Frohnert P, Sheps S: Long-term follow-up study of periarteritis nodosa. Am J Med 43:8, 1967

195. Moreland LW, Ball GV: Cutaneous polyarteritis nodosa. Am J Med 88:426, 1990

196. Lightfoot R Jr, Michel BA, Bloch DA et al: The American College of Rheumatology 1990 criteria for the classification of polyarteritis nodosa. Arthritis Rheum 33:1088, 1990

197. Goldsmith J: Periarteritis nodosa with involvement of the choroidal and retinal arteries. Am J Ophthalmol 29:435, 1946

198. Moore JG, Sevel D: Corneoscleral ulceration in periarteritis nodosa. Br J Ophthalmol 50:651, 1966

199. Harbert F, McPherson S: Scleral necrosis in polyarteritis nodosa. Am J Ophthalmol 30:727, 1947

200. Purcell J Jr, Birkenkamp R, Tsai CC: Conjunctival lesions in periarteritis nodosa: A clinical and immunopathologic study. Arch Ophthalmol 102:736, 1984

201. Koike R, Yamada M, Matsunaga T et al: Polyarteritis nodosa (PN) complicated with unilateral exophthalmos. Intern Med 32:232, 1993

202. Wien SV, Merz E: Exophthalmos secondary to periarteritis nodosa. Am J Ophthalmol 56:204, 1963

203. Ishida K, Yokota T, Wada Y et al: Unilateral facial swelling and exophthalmos in a patient with polyarteritis nodosa. Intern Med 31:500, 1992

204. Hope-Robertson W: Pseudo-tumor of the orbit as a presenting sign in periarteritis nodosa. Trans Ophthalmol Soc NZ 8:56, 1956

205. Walton E: Pseudotumor of the orbit and polyarteritis nodosa. J Clin Pathol 12:419, 1959

206. Albert DA, Rimon D, Silverstein MD: The diagnosis of polyarteritis nodosa: I. A literature-based decision analysis approach. Arthritis Rheum 31:1117, 1988

207. Albert DA, Silverstein MD, Paunicka K et al: The diagnosis of polyarteritis nodosa: II. Empirical verification of a decision analysis model. Arthritis Rheum 31:1128, 1988

208. Guillevin L, Jarrousse B, Lok C et al: Long-term follow-up after treatment of polyarteritis nodosa and Churg-Strauss angiitis with comparison of steroids, plasma exchange and cyclophosphamide to steroids and plasma exchange: A prospective randomized trial of 71 patients. The Cooperative Study Group for Polyarteritis Nodosa (see comments). J Rheumatol 18:567, 1991

209. Alloway JA, Cupps TR: High dose methylprednisolone for retroorbital Wegener's granulomatosis. J Rheumatol 20:752, 1993

210. Bagegni A, Lyness RW, Johnston PB, Douglas JF: Visual recovery in orbital vasculitis. Br J Ophthalmol 72:737, 1988

211. Churg J, Strauss L: Allergic granulomatosis, allergic angiitis, and periarteritis nodosa. Am J Pathol 27:277, 1951

212. Cury D, Breakey A, Payne F: Allergic granulomatous angiitis associated with uveoscleritis and papilledema. Arch Ophthalmol 55:261, 1966

213. Chumbley LC, Harrison E Jr, DeRemee RA: Allergic granulomatosis and angiitis (Churg-Strauss syndrome): Report and analysis of 30 cases. Mayo Clin Proc 52:477, 1977

214. Ashton N, Cook C: Allergic granulomatous nodules of the eyelid and conjunctiva: The XXXV Edward Jackson Memorial Lecture. Am J Ophthalmol 87:1, 1979

215. Meisler DM, Stock EL, Wertz RD et al: Conjunctival inflammation and amyloidosis in allergic granulomatosis and angiitis (Churg-Strauss syndrome). Am J Ophthalmol 91:216, 1981

216. Nissim F, Von der Valde J, Czernobilsky B: A limited form of Churg-Strauss syndrome: Ocular and cutaneous manifestations. Arch Pathol Lab Med 106:305, 1982

217. Rose G, Spencer H: Polyarteritis nodosa. Q J Med 26:43, 1957

218. Cupps T, Fauci A: Giant cell arteritides. In Smith L (ed): Major Problems in Internal Medicine, vol XXI, pp 99–115. Philadelphia, WB Saunders, 1981

219. Hauser WA, Ferguson RH, Holley KE, Kurland LT: Temporal arteritis in Rochester, Minnesota, 1951 to 1967. Mayo Clin Proc 46:597, 1971

220. Glaser J: Topical diagnosis: Prechiasmal visual pathways. In Tasman W, Jaeger E (eds): Duane's Clinical Ophthalmology, vol 2, chap 5. Philadelphia, JB Lippincott, 1989

221. Miller N: Walsh and Hoyt's Clinical Neuro-Ophthalmology, pp 2601–2627. Baltimore, Williams & Wilkins, 1991

222. Barricks ME, Traviesa DB, Glaser JS, Levy IS: Ophthalmoplegia in cranial arteritis. Brain 100:209, 1977

223. Klein RG, Campbell RJ, Hunder GG, Carney JA: Skip lesions in temporal arteritis. Mayo Clin Proc 51:504, 1976

224. Talal N. Sjögren's syndrome: Historical overview and clinical spectrum of disease. Rheum Dis Clin North Am 18:507, 1992

225. Baum J: Clinical manifestations of dry eye states. Trans Ophthalmol Soc UK 104:415, 1985

226. Maddison PJ: Dry eyes: Autoimmunity and relationship to other systemic disease. Trans Ophthalmol Soc UK 104:458, 1985

227. Fox RI, Chan EK, Kang HI: Laboratory evaluation of patients with Sjögren's syndrome. Clin Biochem 25:213, 1992

228. Friedlaender MH: Ocular manifestations of Sjögren's syndrome: Keratoconjunctivitis sicca. Rheum Dis Clin North Am 18:591, 1992

229. Van Bijsterveld OP: Diagnosis and differential diagnosis of keratoconjunctivitis sicca associated with tear gland degeneration. Clin Exp Rheumatol 5:3, 1990

230. Sreebny LM, Valdini A: Xerostomia: A neglected symptom. Arch Intern Med 147:1333, 1987

231. Schiodt M, Thorn J: Criteria for the salivary component of Sjögren's syndrome: A review. Clin Exp Rheumatol 7:119, 1989

232. Scully C: Oral parameters in the diagnosis of Sjögren's syndrome. Clin Exp Rheumatol 7:113, 1989

233. Daniels TE, Fox PC: Salivary and oral components of Sjögren's syndrome. Rheum Dis Clin North Am 18:571, 1992

234. Kelly CA, Griffiths ID: Major upper airways obstruction associated with Sjögren's syndrome: A case report and literature review. Br J Rheumatol 28:543, 1989

235. Wiedemann HP, Matthay RA: Pulmonary manifestations of the collagen vascular diseases. Clin Chest Med 10:677, 1989

236. Constantopoulos SH, Tsianos EV, Moutsopoulos HM: Pulmonary and gastrointestinal manifestations of Sjögren's syndrome. Rheum Dis Clin North Am 18:617, 1992

237. Provost TT, Watson R: Cutaneous manifestations of Sjögren's syndrome. Rheum Dis Clin North Am 18:609, 1992

238. Moutsopoulos HM, Youinou P: New developments in Sjögren's syndrome. Curr Opin Rheumatol 3:815, 1991

239. Kater L, de Wilde PC: New developments in Sjögren's syndrome. Curr Opin Rheumatol 1992; 4:657-65.

240. Rosenthal DS, Harris NL, Mueller PR et al: Generalized lymphadenopathy with a palatal lesion associated with Sjögren's syndrome. N Engl J Med 305:153, 1981

241. Alexander E, Provost TT: Sjögren's syndrome: Association of cutaneous vasculitis with central nervous system disease. Arch Dermatol 123:801, 1987

242. Khan MA, Akhtar M, Taher SM: Membranoproliferative glomerulonephritis in a patient with primary Sjögren's syndrome: Report of a case with review of the literature. Am J Nephrol 8:235, 1988

243. Alexander E: Central nervous system disease in Sjögren's syndrome: New insights into immunopathogenesis. Rheum Dis Clin North Am 18:637, 1992

244. Sigal LH: The neurologic presentation of vasculitic and rheumatologic syndromes: A review. Medicine 66:157, 1987

245. Cleary KR, Batsakis JG: Biopsy of the lip and Sjögren's syndrome. Ann Otol Rhinol Laryngol 99:323, 1990

246. Daniels TE: Salivary histopathology in diagnosis of Sjögren's syndrome. Scand J Rheumatol Suppl 61:36, 1986

247. Carsons S: Newer laboratory parameters for the diagnosis of rheumatic disease. Am J Med 85:34, 1988

248. Chan EK, Andrade LE: Antinuclear antibodies in Sjögren's syndrome. Rheum Dis Clin North Am 18:551, 1992

249. Nakamura RM, Tan EM: Recent advances in laboratory tests and the significance of autoantibodies to nuclear antigens in systemic rheumatic diseases. Clin Lab Med 6:41, 1986

250. Arnett FC, Goldstein R, Duvic M, Reveille JD: Major histocompatibility complex genes in systemic lupus erythematosus, Sjögren's syndrome, and polymyositis. Am J Med 85:38, 1988

251. Reveille JD, Arnett FC: The immunogenetics of Sjögren's syndrome. Rheum Dis Clin North Am 18:539, 1992

252. Fox RI, Kang HI: Pathogenesis of Sjögren's syndrome. Rheum Dis Clin North Am 18:517, 1992

253. Gardiner P: Primary Sjögren's syndrome. Baillieres Clin Rheumatol 7:59, 1993

254. Provost TT, Vasily D, Alexander E: Sjögren's syndrome. Cutaneous, immunologic, and nervous system manifestations. Neurol Clin 5:405, 1987

255. Lemp MA: Recent developments in dry eye management. Ophthalmology 94:1299, 1987

256. Hidayat AA, Cameron JD, Font RL, Zimmerman LE: Angiolymphoid hyperplasia with eosinophilia (Kimura's disease) of the orbit and ocular adnexa. Am J Ophthalmol 96:176, 1983

257. Sheren SB, Custer PL, Smith ME: Angiolymphoid hyperplasia with eosinophilia of the orbit associated with obstructive airway disease. Am J Ophthalmol 108:167, 1989

258. Smith DL, Kincaid MC, Nicolitz E: Angiolymphoid hyperplasia with eosinophilia (Kimura's disease) of the orbit. Arch Ophthalmol 106:793, 1988

259. Fu KK: Orbital Kimura's disease. J R Soc Med 86:234, 1993

260. Francis IC, Kappagoda MB, Smith J, Kneale K: Kimura's disease of the orbit. Ophthalmic Plast Reconstr Surg 4:235, 1988

261. Archer KF, Hurwitz JJ, Heathcote G: Orbital angiolymphoid hyperplasia with eosinophilia: Presentation as chalazion. Ophthalmic Plast Reconstr Surg 7:208, 1991

262. Feinfield RE, Hesse RJ, Rosenberg SA: Orbital inflammatory disease associated with systemic lupus erythematosus. South Med J 84:98, 1991

263. Brenner EH, Shock JP: Proptosis secondary to systemic lupus erythematosus. Arch Ophthalmol 91:81, 1974

264. Magee KL, Hymes SR, Rapini RP et al: Lupus erythematosus profundus with periorbital swelling and proptosis. J Am Acad Dermatol 24:288, 1991

265. Kennedy AC, McGavin DD: Rheumatoid scleritis producing exophthalmos. Br J Clin Pract 29:73, 1975

266. Jordan DR, McDonald H, Olberg B et al: Orbital panniculitis as the initial manifestation of systemic lupus erythematosus. Ophthalmic Plast Reconstr Surg 9:71, 1993

267. Nowinski T, Bernardino V, Naidoff M, Parrish R: Ocular involvement in lupus erythematosus profundus (panniculitis). Ophthalmology 89:1149, 1982

268. Winkelmann RK: Panniculitis in connective tissue disease. Arch Dermatol 119:336, 1983

269. Alegre VA, Winkelmann RK: Histiocytic cytophagic panniculitis (see comments). J Am Acad Dermatol 20:177, 1989

270. Bankhurst AD, Carlow TJ, Reidy RW: Exophthalmos in systemic lupus erythematosus. Ann Ophthalmol 16:669, 1984

271. Haynes BF, Pikus A, Kaiser-Kupfer M, Fauci AS: Successful treatment of sudden hearing loss in Cogan's syndrome with corticosteroids. Arthritis Rheum 24:501, 1981

272. Vollertsen RS, McDonald TJ, Younge BR et al: Cogan's syndrome: 18 cases and a review of the literature. Mayo Clin Proc 61:344, 1986

273. Haynes BF, Kaiser-Kupfer MI, Mason P, Fauci AS: Cogan syndrome: Studies in thirteen patients, long-term follow-up, and a review of the literature. Medicine 59:426, 1980

274. Allen NB, Cox CC, Cobo M et al: Use of immunosuppressive agents in the treatment of severe ocular and vascular manifestations of Cogan's syndrome. Am J Med 88:296, 1990

275. Gray RE, Jenkins EA, Hall MA et al: Recurrent acute proptosis in atypical systemic lupus erythematosus. Clin Rheumatol 8:528, 1989

276. Kattah JC, Zimmerman LE, Kolsky MP et al: Bilateral orbital involvement in fatal giant cell polymyositis. Ophthalmology 97:520, 1990

277. Cheson BD, Bluming AZ, Alroy J: Cogan's syndrome: A systemic vasculitis. Am J Med 60:549, 1976

278. Cochrane AD, Tatoulis J: Cogan's syndrome with aortitis, aortic regurgitation, and aortic arch vessel stenoses. Ann Thorac Surg 52:1166, 1991

279. McDonald TJ, Vollertsen RS, Younge BR: Cogan's syndrome: Audiovestibular involvement and prognosis in 18 patients. Laryngoscope 95:650, 1985

280. Vollertsen RS: Vasculitis and Cogan's syndrome. Rheum Dis Clin North Am 16:433, 1990

281. Bicknell JM, Holland JV: Neurologic manifestations of Cogan syndrome. Neurology 28:278, 1978

282. LaRaja RD: Cogan syndrome associated with mesenteric vascular insufficiency. Arch Surg 111:1028, 1976

283. Gilbert WS, Talbot FJ: Cogan's syndrome: Signs of periarteritis nodosa and cerebral venous sinus thrombosis. Arch Ophthalmol 82:633, 1969

284. Ishida T, Nakamura H, Hori S et al: Acalculous cholecystitis (panniculitis) associated with Weber-Christian disease. Clin Imaging 17:56, 1993

285. Allen-Mersh TG: Weber-Christian panniculitis and auto-immune disease: A case report. J Clin Pathol 29:144, 1976

286. Panush RS, Yonker RA, Dlesk A et al: Weber-Christian disease: Analysis of 15 cases and review of the literature. Medicine 64:181, 1986

287. Frayer WC, Wise RT, Tsaltas TT: Ocular and adnexal changes associated with relapsing febrile non-suppurative panniculitis (Weber-Christian disease). Trans Am Ophthalmol Soc 66:233, 1968

288. Bresnitz E, Strom B: Epidemiology of sarcoidosis. Epidemiol Rev 5:124, 1983

289. Siltzbach LE, James DG, Neville E et al: Course and prognosis of sarcoidosis around the world. Am J Med 57:847, 1974

290. Thomas P, Hunninghake G: Current concepts of the pathogenesis of sarcoidosis. Am Rev Respir Dis 135:747, 1987

291. Hoover DL, Khan JA, Giangiacomo J: Pediatric ocular sarcoidosis. Surv Ophthalmol 30:215, 1986

292. Headings VE, Weston D, Young R Jr, Hackney R Jr: Familial sarcoidosis with multiple occurrences in eleven families: A possible mechanism of inheritance. Ann NY Acad Sci 278:377, 1976

293. Sharma OP, Neville E, Walker AN, James DG: Familial sarcoidosis: A possible genetic influence. Ann NY Acad Sci 278:386, 1976

294. Kavanaugh AF, Andrew SL, Cooper B et al: Familial associations in sarcoidosis: A report to the Research Committee of the British Thoracic and Tuberculosis Association: Cyclosporine therapy of central nervous system sarcoidosis (letter). Tubercle 54:87, 1973

295. Jabs DA, Johns CJ: Ocular involvement in chronic sarcoidosis. Am J Ophthalmol 102:297, 1986

296. Obenauf CD, Shaw HE, Sydnor CF, Klintworth GK: Sarcoidosis and its ophthalmic manifestations. Am J Ophthalmol 86:648, 1978

297. Brewerton DA, Cockburn C, James DC et al: HLA antigens in sarcoidosis. Clin Exp Immunol 27:227, 1977

298. Olenchock SA, Heise ER, Marx JJ Jr et al: HLA-B8 in sarcoidosis. Ann Allergy 47:151, 1981

299. Foster C: Ocular manifestations of sarcoidosis preceding systemic manifestations. In Grassi C, Rizzato G, Pozzi E (eds): Sarcoidosis and Other Granulomatous Diseases, pp 177–181. New York, Elsevier Science Publishers, 1988

300. Spalton DJ, Sanders MD: Fundus changes in histologically confirmed sarcoidosis. Br J Ophthalmol 65:348, 1981

301. Klintworth G: Sarcoidosis. In Gold D, Weingeist T (eds): The Eye in Systemic Disease, pp 289–293. Phildelphia, JB Lippincott, 1990

302. James DG, Neville E, Langley DA: Ocular sarcoidosis. Trans Ophthalmol Soc UK 96:133, 1976

303. Smith R, Nozik R: Sarcoidosis. In Smith R, Nozik R (eds): Uveitis: A Clinical Approach to Diagnosis and Management, pp 161–163. Baltimore: Williams & Wilkins, 1983

304. O'Connor G: Endogenous uveitis: Sarcoidosis. In Kraus-Mackiw E, O'Connor G (eds): Uveitis: Pathophysiology and Therapy, pp 93–97. New York, Thieme Medical, 1986

305. Nussenblatt R, Palestine A: Sarcoidosis. In Nussenblatt R, Palestine A (eds): Uveitis: Fundamentals and Clinical Practice, pp 198–211. Chicago, Year Book Medical Publishers, 1989

306. Campo RV, Aaberg TM: Choroidal granuloma in sarcoidosis. Am J Ophthalmol 97:419, 1984

307. Gragoudas ES, Regan CD: Peripapillary subretinal neovascularization in presumed sarcoidosis. Arch Ophthalmol 99:1194, 1981

308. Beardsley TL, Brown SV, Sydnor CF et al: Eleven cases of sarcoidosis of the optic nerve. Am J Ophthalmol 97:62, 1984

309. Gass JD, Olson CL: Sarcoidosis with optic nerve and retinal involvement. Arch Ophthalmol 94:945, 1976

310. Lamkin JC, Raizman MB: Update on laboratory tests for diagnosis of orbital disease. Int Ophthalmol Clin 32:27, 1992

311. Collison JM, Miller NR, Green WR: Involvement of orbital tissues by sarcoid. Am J Ophthalmol 102:302, 1986

312. Spillberg I: Sarcoidosis. In Schumacher H, Klippel J, Robinson D (eds): Primer on the Rheumatic Diseases, pp 190–192. Atlanta, Arthritis Foundation, 1988

313. Weinreb RN, Tessler H: Laboratory diagnosis of ophthalmic sarcoidosis. Surv Ophthalmol 28:653, 1984

314. Hunninghake GW, Bedell GN, Zavala DC et al: Role of interleukin-2 release by lung T-cells in active pulmonary sarcoidosis. Am Rev Respir Dis 128:634, 1983

315. Chan CC, Wetzig RP, Palestine AG et al: Immunohistopathology of ocular sarcoidosis: Report of a case and discussion of immunopathogenesis. Arch Ophthalmol 105:1398, 1987

316. Barth C, Judge M, Mattman L, Hessburg P: Isolation of an acid-fast organism from the aqueous humor in a case of sarcoidosis. Henry Ford Hosp Med J 27:127, 1979

317. Nichols CW, Eagle R Jr, Yanoff M, Menocal NG: Conjunctival biopsy as an aid in the evaluation of the patient with suspected sarcoidosis. Ophthalmology 87:287, 1980

318. Merritt JC, Lipper SL, Peiffer RL, Hale LM: Conjunctival biopsy in sarcoidosis. J Natl Med Assoc 72:347, 1980

319. Merritt JC, Ross G, Avery A: Conjunctival biopsy in sarcoidosis: 4 year NCMH experience. NC Med J 44:636, 1983

320. Weinreb RN: Diagnosing sarcoidosis by transconjunctival biopsy of the lacrimal gland. Am J Ophthalmol 97:573, 1984

321. Karcioglu ZA, Brear R: Conjunctival biopsy in sarcoidosis. Am J Ophthalmol 99:68, 1985

322. Baughman RP, Ploysongsang Y, Roberts RD, Srivastava L: Effects of sarcoid and steroids on angiotensin-converting enzyme. Am Rev Respir Dis 128:631, 1983

323. Kavanaugh AF, Andrew SL, Cooper B et al: Cyclosporine therapy of central nervous system sarcoidosis (letter). Am J Med 82:387, 1987

324. Alper MG, Zimmerman LE, Piana FG: Orbital manifestations of Erdheim-Chester disease. Trans Am Ophthalmol Soc 81:64, 1983

325. Shields JA, Karcioglu ZA, Shields CL et al: Orbital and eyelid involvement with Erdheim-Chester disease: A report of two cases. Arch Ophthalmol 109:850, 1991

326. Murdoch IA, Dos Anjos R, Parsons JM, Calver DM: Spontaneous hyphaema in childhood. Eur J Pediatr 150:717, 1991

327. MacLeod PM: Juvenile xanthogranuloma of the iris managed with superficial radiotherapy. Clin Radiol 37:295, 1986

328. Casteels I, Olver J, Malone M, Taylor D: Early treatment of juvenile xanthogranuloma of the iris with subconjunctival steroids. Br J Ophthalmol 77:57, 1993

329. Harley RD, Romayananda N, Chan GH: Juvenile xanthogranuloma. J Pediatr Ophthalmol Strabismus 19:33, 1982

330. Lewis JR, Drummond GT, Mielke BW et al: Juvenile xanthogranuloma of the corneoscleral limbus. Can J Ophthalmol 25:351, 1990

331. Kaufmann JG, Driebe W Jr, Hamed LM, Margo CE: Juvenile xanthogranuloma of the corneoscleral limbus. Ophthalmic Surg 24:428, 1993

332. Wertz FD, Zimmerman LE, McKeown CA et al: Juvenile xanthogranuloma of the optic nerve, disc, retina, and choroid. Ophthalmology 89:1331, 1982

333. Rouhiainen H, Nerdrum K, Puustjarvi T, Kosma VM: Xanthogranuloma juvenile: A rare cause of orbital swelling in adulthood. Ophthalmologica 204:162, 1992

334. Shields CL, Shields JA, Buchanon HW: Solitary orbital involvement with juvenile xanthogranuloma. Arch Ophthalmol 108:1587, 1990

335. Gaynes PM, Cohen GS: Juvenile xanthogranuloma of the orbit. Am J Ophthalmol 63:755, 1967

336. Sanders TE: Infantile xanthogranuloma of the orbit: A report of three cases. Am J Ophthalmol 61:1299, 1966

337. Cadera W, Silver MM, Burt L: Juvenile xanthogranuloma. Can J Ophthalmol 18:169, 1983

338. Schwartz TL, Carter KD, Judisch GF et al: Congenital macronodular juvenile xanthogranuloma of the eyelid. Ophthalmology 98:1230, 1991

339. Fischbach J, Sause W: Radiation therapy in the management of ocular juvenile xanthogranuloma. Int J Radiat Oncol Biol Phys 8:959, 1982

340. Ross MJ, Cohen KL, Peiffer R Jr, Grimson BS: Episcleral and orbital pseudorheumatoid nodules. Arch Ophthalmol 101:418, 1983

341. Lawton AW, Karesh JW: Periocular granuloma annulare. Surv Ophthalmol 31:285, 1987

342. Choi KH, Wilbur AC, Duvall J et al: Orbital pseudorheumatoid nodule. AJNR 6:828, 1985

343. Cousin GC: Granuloma annulare of the supra-orbital region: A case report. Br J Oral Maxillofac Surg 29:347, 1991

344. Ferry AP: Subcutaneous granuloma annulare (“pseudorheumatoid nodule”) of the eyebrow. J Pediatr Ophthalmol 14:154, 1977

345. Floyd BB, Brown B, Isaacs H, Minckler DS: Pseudorheumatoid nodule involving the orbit. Arch Ophthalmol 100:1478, 1982

346. Rose GE, Patel BC, Garner A, Wright JE: Orbital xanthogranuloma in adults. Br J Ophthalmol 75:680, 1991

347. Finan MC, Winkelmann RK: Necrobiotic xanthogranuloma with paraproteinemia: A review of 22 cases. Medicine 65:376, 1986

348. Bullock JD, Bartley GB, Campbell RJ et al: Necrobiotic xanthogranuloma with paraproteinemia: Case report and a pathogenetic theory. Ophthalmology 93:1233, 1986

349. Cornblath WT, Dotan SA, Trobe JD, Headington JT: Varied clinical spectrum of necrobiotic xanthogranuloma. Ophthalmology 99:103, 1992

350. Luck J, Layton A, Noble BA: Necrobiotic xanthogranuloma with orbital involvement. J R Soc Med 85:357, 1992

351. Bullock JD, Bartley GB, Campbell RJ et al: Necrobiotic xanthogranuloma with paraproteinemia: Case report and a pathogenetic theory. Trans Am Ophthalmol Soc 84:342, 1986

352. Plotnick H, Taniguchi Y, Hashimoto K et al: Periorbital necrobiotic xanthogranuloma and stage I multiple myeloma: Ultrastructure and response to pulsed dexamethasone documented by magnetic resonance imaging. J Am Acad Dermatol 25:373, 1991

353. Char DH, LeBoit PE, Ljung BM, Wara W: Radiation therapy for ocular necrobiotic xanthogranuloma (letter). Arch Ophthalmol 105:174, 1987

354. Schonder AA, Clift RC, Brophy JW, Dane LW: Bilateral recurrent orbital inflammation associated with retroperitoneal fibrosclerosis. Br J Ophthalmol 69:783, 1985

355. Fruh D, Jaeger W, Kafer O: Orbital involvement in retroperitoneal fibrosis (morbus Ormond). Mod Probl Ophthalmol 14:651, 1975

356. Levine MR, Kaye L, Mair S, Bates J: Multifocal fibrosclerosis: Report of a case of bilateral idiopathic sclerosing pseudotumor and retroperitoneal fibrosis. Arch Ophthalmol 111:841, 1993

357. Berger JR, Snodgrass S, Glaser J et al: Multifocal fibrosclerosis with hypertrophic intracranial pachymeningitis. Neurology 39:1345, 1989

358. Comings DE, Skubi KB, Van Eyes J, Motulsky AG: Familial multifocal fibrosclerosis: Findings suggesting that retroperitoneal fibrosis, mediastinal fibrosis, sclerosing cholangitis, Riedel's thyroiditis, and pseudotumor of the orbit may be different manifestations of a single disease. Ann Intern Med 66:884, 1967

359. Richards AB, Shalka HW, Roberts FJ, Flint A: Pseudotumor of the orbit and retroperitoneal fibrosis: A form of multifocal fibrosclerosis. Arch Ophthalmol 98:1617, 1980

Back to Top