Chapter 7
Pathologic Correlates in Ophthalmoscopy
VITALIANO B. BERNARDINO, JR., ALEXANDER R. GAUDIO and EDWARD A. JAEGER
Main Menu   Table Of Contents

Search

THE NORMAL FUNDUS
COLOR CHANGES IN THE FUNDUS
THE PERIPHERAL FUNDUS
ACKNOWLEDGMENTS
REFERENCES

There are important reasons for learning the pathologic correlates in ophthalmoscopy. Knowing why lesions appear as they do facilitates interpreting the clinical information into the pathologic substrate and lead to a diagnosis. Also, knowing the basis for the appearance of a lesion may lead to an explanation of its origin (pathogenesis).

Before considering the effect that pathologic changes may have on the normal appearance of the retina, it is useful to review briefly the anatomical basis for the appearance of the “normal” fundus.

Back to Top
THE NORMAL FUNDUS
Just as individual variations in skin color may be related to pigmentation (melanin and carotene) and blood flow, the color of the normal fundus is related to the degree of pigmentation in the retinal pigment epithelium and choroid, together with the choroidal blood flow.

Consider the variation in pigmentation and choroidal blood flow. In one extreme, the albino, the fundus has a bright orange color because the pigment epithelium contributes little to fundus color in this condition. At the opposite extreme is the patient with congenital melanosis oculi such as seen with nevus of Ota. In this condition, the density of normal choroidal melanocytes masks much of the orange color of the choroid and changes the general fundus color to a gray-orange. If the choroid and pigment epithelium were absent focally, the observer would be looking through transparent retinal tissue at the sclera, which is white. This is the basis for the ophthalmoscopic appearance of a coloboma (Fig. 1). With the exception of the macula, in which xanthophyll pigment may impart a yellow color, the normal neurosensory retina is transparent. Despite this transparency, when the retina is focally absent, the orange color of the underlying choroid is enhanced. This color contrast may aid the ophthalmoscopic detection of retinal breaks (Fig. 2). Nevertheless, remember that the normal retina does not contribute color to the fundus. In fact, a loss of retinal transparency or the acquisition of color by neurosensory retinal tissue is indicative of a pathologic change.

Fig. 1. Fundus photograph of coloboma. The retinal pigment epithelium and choroid are focally absent. The retinal vessels are visible, although the retina is transparent.

Fig. 2. Fundus photograph of a retinal tear. The pigment epithelium and choroid visible through the retinal break have an orange-red color. The retina surrounding the tear has lost its transparency because of edema and underlying fluid.

Reflection from the surface of the retina during ophthalmoscopy is attributable to the presence of a normal internal limiting membrane, a true basement membrane, secreted by the Müller cells. Loss of this reflection may indicate pathologic changes at the level of this structure (Fig. 3), such as a preretinal membrane (see Fig. 3). The color of normal retinal blood vessels depends on the composition of the blood column and the transparency of the blood vessel wall. The color of the normal vessels is altered in states of poor oxygenation (pulmonary diseases), extremely elevated lipid levels (lipemia retinalis) (Fig. 4), or opacification of the blood vessel wall, as seen in arteriolosclerosis (Figs. 5 and 6).

Fig. 3. A. Section through the macula demonstrating a preretinal membrane. B. Fundus photograph of preretinal membrane (epimacular membrane, epimacular fibrosis, macular pucker, macular wrinkle).

Fig. 4. Cream-colored artery and vein in a patient with an extremely high blood lipid level (lipemia retinalis).

Fig. 5. Section of retina demonstrating marked thickening of the arteriolar (A) wall as seen in arteriolosclerosis. Notice the compression of the adjacent venule (V).

Fig. 6. Fundus photograph of opacified blood vessel (arteriolosclerosis) in the region of a previous branch retinal vein occlusion. Notice the neovascular tuft at the bifurcation.

The pink color of the normal optic nerve head is reflective of the vascular supply to the surface of the disc. Loss of the vascularity or replacement of the neural tissue by opaque glial tissue alters the color of the disc (Fig. 7). Anatomical variations in the retina alter the appearance of lesions, in particular, the macula and the retinal periphery. The macular cytoarchitecture differs in that the ganglion cell layer and nerve fiber layers are displaced centrifugally from the fovea. Therefore, on ophthalmoscopic examination, conditions that affect these layers are not apparent in the fovea. Tay-Sachs disease involves the accumulation of storage material by ganglion cells. Since these cells are not present in the fovea and the presence of the storage material opacifies the normally transparent retinal tissue, the retina surrounding the fovea is opacified, but the fovea transmits the normal choroidal color (red), accounting for the presence of the “cherry-red spot” in this condition. Notice that the opacification (white appearance) of the perifoveal retina is not seen beyond the macula. The reduced concentration of ganglion cells in the extramacular retina explains the focal nature of this retinal opacification (Fig. 8). The oblique orientation of the outer plexiform layer (connection of rods and cones to the bipolar layer) in the macula explains the appearance of several lesions. Cyst-like spaces may occur at the level of the outer plexiform layer of the macula (Henle's layer) as the result of the accumulation of fluid or the hydropic swelling of Müller cells with subsequent disruption and the formation of the spaces.1,2 These cyst-like spaces (they are not lined by an epithelium and are therefore not designated as true cysts) are oriented along the plane of Henle's layer and appear to originate from a central zone (Fig. 9), like the petals of a flower. The fluorescein angiographic appearance of cystoid macular edema is frequently described as having a petaloid pattern3 (Fig. 10).

Fig. 7. Fundus photomicrograph of optic atrophy. The disc has lost its pink color because of loss of vascularity and replacement of neural tissue by opaque glial tissue.

Fig. 8. Fundus photograph of “cherry-red spot” in a patient with central retinal artery occlusion. The perifoveal edema (white opacification) does not extend beyond the macula because of the reduced concentration of ganglion cells in the extramacular retina. Marked pallor of the optic disc is present.

Fig. 9. Section through the fovea and macula demonstrating cystoid macular edema. Cyst-like spaces are present in the outer plexiform layer. (Courtesy of Ralph C. Eagle Jr, MD, Philadelphia, PA)

Fig. 10. Fluorescein angiographic appearance of cystoid macular edema described as having a “petaloid pattern.”

Notice that in the fovea, the obliquely oriented outer plexiform layer lies superficially, since the ganglion cell layer and nerve fiber layer are centrifugally displaced in this region. Therefore, typical nerve fiber layer hemorrhages (flame-shaped hemorrhages) are not seen in the fovea.

The modifications of the retinal cytoarchitecture in the macula also affect the appearance of exudates and early retinal necrosis in this region.

Back to Top
COLOR CHANGES IN THE FUNDUS
Color changes in the fundus indicative of possible disease include the following: (1) white, (2) gray opacification, (3) yellow, (4) black, and (5) red. The region of the retina involved affects the color and the shape of the hemorrhage. Fresh hemorrhage on the retinal surface appears bright red, whereas fresh hemorrhage beneath the retinal pigment epithelium seems much darker.

A hemorrhage in the nerve fiber layer (Fig. 11A) dissects along the plane of the layer parallel to the orientation of the internal limiting membrane (see Fig. 11B). A hemorrhage located between the retinal pigment epithelium and Bruch's membrane also spreads in a plane parallel to the orientation of the membrane (Fig. 12). However, its extent is limited by the adhesion of the pigment epithelium to Bruch's membrane, in contrast to a nerve fiber layer hemorrhage, where no such delineating structure is present. Therefore, a fresh nerve fiber layer hemorrhage appears bright red and has feathery borders, whereas a subpigment epithelial hemorrhage appears brown-black and has sharp borders (Fig. 13).

Fig. 11. A. Section of retina with hemorrhage in the nerve fiber layer (between the two large arrows). Notice that the limits of the hemorrhage are not clearly defined, since scattered red blood cells can be seen to the right of the right-hand large arrow. This histologic picture corresponds to a clinically observed fame-shaped hemorrhage with an indistinct border. The detached posterior hyaloid is marked by four small arrows. B. Fundus photograph of nerve fiber layer hemorrhage. They are oriented parallel to the plane of the internal limiting membrane. Because of their dispersal within the ganglion cell layer, the borders are “feathery” (flame shaped).

Fig. 12. Section of the eye showing subretinal hemorrhage. (Courtesy of Ralph C. Eagle Jr, MD, Philadelphia, PA)

Fig. 13. A. Fundus photograph of a subpigment epithelium hemorrhage superotemporal to the disc secondary to a macroaneurysm. Notice its dark color and sharp border. The central portion of the hemorrhage has extended through the sensory retinal to the subinternal limiting membrane area. B. Fluorescein angiography showing the retinal vessels overlying the deep hemorrhage but obscured by the central extension anteriorly. (B, courtesy of William Tasman, MD, Philadelphia, PA)

The color of emboli in the retinal vasculature facilitates the identification of their composition and their origin. White emboli are of composed of calcium, and their source may be either a calcified cardiac valve or calcified atheromatous plaque. Cholesterol and lipid emboli, most likely from noncalcified atheromatous plaques in the carotids, appear yellow (Hollenhorst plaque) (Fig. 14). The more evanescent platelet emboli are gray-white.

Fig. 14. Hollenhorst plaque lodged at the bifurcation of a cilioretinal artery.

WHITE CHANGES IN THE FUNDUS

Fibrous connective tissue appears white because of its collagen content. It is not difficult to remember this relation, since the sclera is white. The white appearance of a retinal choroidal coloboma, as an example of collagen accounting for a white fundus appearance, already has been cited. The temporal disc crescent seen in myopia is another example of the ophthalmoscopist viewing the sclera directly (Fig. 15). In some cases of myopia, the pigment epithelium and choroid are stretched to the point that they do not approximate the temporal margin of the disc. The normally transparent retina does not contribute to the color of this crescent. The black rim of the crescent is the contribution of the retinal pigment epithelium.

Fig. 15. “Myopic crescent” in a patient with 9 diopters of myopia.

Fibrous tissue may originate from the choroid and proliferate through breaks in Bruch's membrane into the subpigment epithelial or subretinal spaces,4 hence the white appearance of disciform macular degeneration (Fig. 16). Fibrous tissue also may originate from fibroblasts located in the adventitia of retinal vessels and may contribute to the white appearance of vascularized membranes (Fig. 17A), such as those seen in proliferative diabetic retinopathy (see Fig. 17B) or arterioles after vascular occlusion (see Fig. 6). The accretion of collagen in the wall of the vessel in arteriolosclerosis may thicken the vessel wall (see Fig. 5) and alter the color of the blood column to a copper or silver color. Injury to the pigment epithelium results in scar formation (Fig. 18). Collagen deposition from pigment epithelium metaplasia may be identified by the presence of pigment within a scar (Fig. 19). Injured nonpigmented epithelium may undergo similar fibrous metaplasia and may contribute to the formation of membranes such as cyclitic membranes in the region of the ciliary body.

Fig. 16. Fundus photograph of a disciform macular scar, white because of fibrosis and atrophy of the pigment epithelium. A broad, C-shaped, fresh hemorrhage within the sensory retina surrounds it.

Fig. 17. A. A histologic section stained with H & E demonstrating vascularized membranes on the disc and retina. Tractional retinal detachment is present. Notice the subretinal fluid (amorphous eosinophilic material). B. Fundus photograph of fibrous tissue emanating from the disc in patient with proliferative diabetic retinopathy. The disc is pale; the macula is edematous with exudate. Pigmented laser spots are visible temporally.

Fig. 18. Fundus photograph of pigmented scar secondary to retinal pigment epithelial hyperplasia induced by injury.

Fig. 19. Histologic section demonstrating response of the pigment epithelium to injury. The sclera is at the bottom the micrograph; the choroid (c) contains scattered red blood cells and is edematous. The vitreous (v) also contains hemorrhage. Locate the pigment epithelium (short arrows) at the left third of the micrograph and notice the ribbons of pigment epithelium that proliferate into the membrane, partially formed by fibrous tissue (F). Bone (long arrow) also is present and probably was deposited by metaplastic pigment epithelium.

Finally, fibrous tissue may enter the eye through a perforating wound. The sclera does not heal itself by proliferating and bridging a dehiscence. Instead, healing is achieved by tissue from the episclera and the choroid. Occasionally, episcleral tissue enters the eye as a fibrous ingrowth and may be seen even at the site of surgical scleral wounds, such as sclerotomy portals for pars plana vitrectomy (Fig. 20).

Fig. 20. Histologic section of a vitrectomy wound in the pars plana region. The wound is traced from the lower left of the illustration to the zone of focal fibrous ingrowth (arrowhead). Suture material (s) is located on each side of the wound tract.

Gliosis is akin to fibrosis as a mechanism of repair. Repair in tissues of the central nervous system is accomplished by gliosis. Since the neurosensory retina originates embryologically from an outpouching of the central nervous system, repair within the retina is accomplished by gliosis. The Müller cell, thought to be responsible for this repair, also may migrate through a break in the internal limiting membrane and contribute to the formation of preretinal membranes. It also may migrate into the retroretinal space to contribute to membranes in this area. Glial membranes, if thin, may be transparent, but abundant glial tissue may have a white color.

In nonglaucomatous optic atrophy, such as the change that occurs after an infarct of the optic nerve (i.e., arteritic or nonarteritic optic neuropathy), the loss of tissue substance is accompanied by the proliferation of glial tissue. The combination of gliosis and a decrease in the vascular supply to the nerve head accounts for the whiteness of the disc (see Fig. 7). The pathologic correlate of the “waxy pallor” of the disc in retinitis pigmentosa is similarly attributable to decreased vascular supply and gliosis.5

Occasionally, gliosis and fibrosis occur together. Preretinal membranes may be composed entirely of glial cells (Müller cell derivatives) or may involve the proliferation of retinal pigment epithelial cells and glial cells, especially in the presence of a retinal break, which allows the pigment epithelial cells access to the preretinal space. Frequently, cells with ultrastructural features of both fibroblasts and smooth muscle cells, myofibroblasts, may be found in preretinal and subretinal membranes.6 These cells are thought to originate from pigment epithelial cells. The myofibroblasts are capable of secreting collagen as well as contracting, accounting for the wrinkling of the internal limiting membrane, as seen in “macular pucker” and proliferative vitreoretinopathy. Myofibroblasts also have been implicated in the contraction of iris neovascular membranes (ectropion uveae), cyclitic membranes, and the organization of intraocular hemorrhage.7

The white “snow bank” seen on the inferior pars plana and retinal periphery in chronic pars planitis represents organization of inflammatory protein and cells with contributions from glial cells as well as fibroblasts (presumably derived from nonpigmented ciliary epithelium).8 Organization of old vitreous hemorrhage also may appear white for similar reasons.

Myelin appears white (the difference between white and gray matter in the central nervous system is myelin produced by oligodendroglia). Normally, myelinization of the optic nerve axons proceeds centrifugally from the nervous system and halts at the level of the lamina scleralis. Recall that the axons of the optic nerve constitute the nerve fiber layer of the retina and that the cell bodies of these axons reside in the ganglion cell layer of the retina. Therefore, myelinated nerve fibers in the retina have a superficial appearance ophthalmoscopically because of their location in the nerve fiber layer. Their white appearance results from myelin. They frequently have feathery edges because the myelinization does not halt abruptly (Fig. 21).

Fig. 21. Myelination of the nerve fibers extending beyond the disc. Notice the feathery edges to the termination of the myelin. (Courtesy of William Tasman, MD, Philadelphia, PA)

Cotton-wool spots represent focal retinal infarcts at the level of the nerve fiber layer. They result from ischemia-induced transection of the axons of this layer. If axoplasmic transport continues to the point of interruption, the material transported will accumulate at the zone of transection in bulbous microscopic swellings, which, to early microscopists, resembled cells and were called “cytoid [cell-like] bodies” (Fig. 22).

Fig. 22. Histologic section demonstrating retinal nerve fiber layer infarct. The red dots within the infarct zone are bulbous swellings of nerve fiber axons called “cytoid (cell-like) bodies.” The entire infarcted zone is the histologic counterpart of the clinical cotton-wool spot. (Courtesy of Ralph C. Eagle Jr, MD, Philadelphia, PA)

Cotton-wool spots are observed mainly in the posterior pole of the retina (Fig.23) The reason for this geographic restriction is not clear. Occlusion of the most superficial radially oriented peripapillary capillaries (confined in distribution to the posterior pole) has been implicated in the pathogenesis of cotton-wool spots.9 It is also possible that nerve fiber infarcts in the periphery are not visualized because there is insufficient inspissated axoplasmic material in this location.

Fig. 23. Multiple cotton-wool spots along with retinal hemorrhages in a superior temporal branch retinal vein occlusion.

Necrotic retina has a white appearance. Necrosis may result from a variety of inflammatory conditions, including viral, fungal, and protozoal (Toxoplasma) retinitis. Each type of retinitis appears, in part, as a white retinal lesion. Cytomegalovirus retinitis (Fig. 24) resembles a pizza pie with an admixture of white (retinal inflammation) and red (hemorrhage) colors (Fig. 25). The retinal abscesses of fungal retinitis are white. Likewise, the satellite lesion of retinochoroiditis caused by active Toxoplasma (the choroidal inflammation is merely in response to the primary retinal infection) is white (Fig. 26). The white appearance of a lesion from inactive Toxoplasma results from the destruction of neurosensory retina, retinal pigment epithelium, and choroid to permit a direct view of the sclera (Fig. 27). Necrosis in retinal-derived neoplasms is white; the appearance of regressed (necrotic) retinoblastoma often is described as “cottage cheese.”10

Fig. 24. A. Histologic section of cytomegalic inclusion retinitis. The characteristic inclusions cannot be seen at this magnification. Compare the appearance of viable healthy retina (left of arrow) with necrotic retina (right of arrow). The admixture of necrotic retina (clinically white) with hemorrhage (clinically red) accounts for the ophthalmoscopic appearance of this entity. B. Cytomegalovirus retinitis. Histologic section of sensory retina demonstrating massive necrosis involving all layers. (Courtesy of Ralph C. Eagle Jr, MD, Philadelphia, PA)

Fig. 25. Fundus photograph of cytomegalovirus retinitis with the classic admixture of retinal infection (white) and hemorrhage, giving the so-called “pizza-pie” appearance.

Fig. 26. Fundus photograph of toxoplasmosis chorioretinitis scar with white (active) satellite lesion.

Fig. 27. Fundus photographs of quiescent toxoplasmosis chorioretinitis scar. The white center is the result of destruction of the neurosensory retina, retinal pigment epithelium, and choroid, leaving only the sclera in view.

Occasionally, accumulations of inflammatory cells may appear white even in the absence of necrosis. Sheathing around retinal vessels (including the “candle wax drippings” seen in retinal sarcoid) represents a perivascular accumulation of inflammatory cells. Roth spots, which are white-centered hemorrhages, as seen in patients with bacterial endocarditis, are thought to represent the abscess within the hemorrhage. White-centered hemorrhages may occur in other conditions, and the explanation for the white center ranges from accumulations of leukemic cells to cytoid bodies. Duane and associates found fibrin and platelet aggregates in several patients with white-centered hemorrhages of various etiologies.11 Granulomatous inflammatory deposits often appear yellow to yellow-white, the clinical appearance of the Dalen-Fuchs nodule of sympathetic ophthalmia.

Structures in the fundus may calcify, but the resultant white changes typical of calcium may be difficult to discern ophthalmoscopically because of the location of the calcium, viz., drusen of the optic nerve head. These calcific concretions are buried within the substance of the optic nerve head, usually anterior to the lamina scleralis (Fig. 28). They are covered by axonal and glial tissue together with the vascular supply of the nerve head. They are recognizable because of distortions in the shape of the disc, not the characteristic white color of the calcified lesion (Fig. 29). Drusen of the optic nerve head must not be confused clinically with papilledema (Figs. 30 and 31), with so-called “giant drusen,” which are glial hamartomata, or with drusen of the pigment epithelium, which are deposits of basement membrane material between the pigment epithelium and Bruch's membrane.

Fig. 28. Photomicrograph of drusen of the optic nerve head. Calcium (c) is deposited in the nerve anterior to the lamina scleralis. The optic nerve in this case is markedly atrophic. The retina to the left of the nerve is artifactually detached and missing from the plane of the section.

Fig. 29. Drusen of the optic disc.

Fig. 30. A. Photomicrograph of an optic disc with papilledema. There is edema of the disc surface, some engorgement of the vessels, and lateral displacement of the photoreceptor elements, which results in enlargement of the blind spot in papilledema. B. Early papilledema in a patient with pseudotumor cerebri. The disc margin is blurred, the surface slightly elevated, and a small hemorrhage is present superiorly. (A, courtesy of Ralph C. Eagle Jr, MD, Philadelphia, PA)

Fig. 31. Fundus photo of pseudopapilledema. The disc margin is blurred with slight elevation of the disc surface in a 16-year-old hyperopic boy followed for 10 years without change.

It is difficult to visualize calcification at the level of Bruch's membrane unless there is a focal disturbance in the distribution of melanin in the overlying pigmented epithelium. For example, the calcification of Bruch's membrane that occurs with age is not visible ophthalmoscopically when the pigment epithelium is intact. Parenthetically, it would be advantageous to detect this calcification because the brittleness that it induces in Bruch's membrane often leads to breaks in this barrier, creating an access path to the subretinal space by choroidal neovascular membranes in the pathogenesis of exudative (wet) macular degeneration.4

In the case of retinal pigment epithelial drusen, the presence of basement membrane material (the substance of the drusen) atop Bruch's membrane attenuates the overlying pigmented epithelium (Fig. 32), thinning out the normal distribution of melanin in these cells. Usually, these basement membrane deposits appear yellow-white (Fig. 33), but when they calcify, they may appear ophthalmoscopically as white, elevated dots.

Fig. 32. Photomicrograph of a druse of the pigment epithelium. Notice the attenuation of the overlying pigment epithelium. (Courtesy of Ralph C. Eagle Jr, MD, Philadelphia, PA)

Fig. 33. Discrete and confluent drusen of the macula.

GRAY-WHITE OPACIFICATION OF THE RETINA

Transparent tissue, such as cornea or retina, when edematous, appears gray-white. A typical example is the macular edema in diabetes, the leading cause of visual impairment in diabetic patients (Fig. 34). Technically, the term edema refers to the extracellular accumulation of fluid.

Fig. 34. A. Fundus photomicrograph of macular edema in a diabetic. Yellow-white edema residues (hard exudates) and a few paramacular hemorrhages are present. B. Multiple microaneurysms are present on fluorescein angiography.

Intracellular accumulation of fluid is designated by many as “hydropic degeneration.” When a cell is about to die, there is a disturbance at the level of the plasmalemma that renders the cell incapable of separating the intracellular environment from the extracellular environment. There is an influx of ions and fluid into the cell. Acute ischemia of the retina, as reflected clinically by a central retinal artery occlusion (Fig. 35), is seen ophthalmoscopically as a gray-white opacification of the retina and likely reflects this metabolic disturbance.

Fig. 35. Acute central retinal artery occlusion demonstrating generalized opacification of the retina in the posterior pole except for the “cherry-red spot” fovea and a small area of “normal” retina adjacent to the disc supplied by a small cilioretinal artery.

Gray-white macular opacification may result from various pathogenetic mechanisms, to which allusions have been made previously: (1) storage diseases, such as Tay-Sachs disease (accumulation of storage material in the ganglion cell layer); (2) accumulation of extracellular fluid (as in diabetic retinopathy); and (3) early retinal necrosis (as in acute central retinal artery occlusion). Notice that each of these entities has a different pathologic basis yet their ophthalmoscopic presentation is similar.

Sometimes, even within a single clinicopathologic setting, a change within the fundus may be explained by various mechanisms. For example, after blunt trauma to the eye, the macula may undergo transient gray-white opacification (Fig. 36) referred to as commotio retinae (also known as Berlin's edema). The gray-white appearance of commotio retinae is explained by a disruption at the cellular level of the photoreceptors.12 Presumably, as this disruption is reversed, the opacification resolves. This explanation accounts for the clinical course of patients with commotio retinae who show resolution of the fundus abnormality. Although this theory has gained support, it does not explain completely the appearance of a macular cyst or hole as possible sequelae of commotio retinae (Fig. 37). An older theory explained the gray-white appearance of commotio retinae on the basis of transient vascular incompetence leading to the accumulation of extracellular fluid in the macula (macular edema). According to the “edema” theory, as the fluid was resorbed, the gray-white opacification resolved. Although this edema theory has been largely discredited,12 it offers an explanation for the development of a macular cyst or hole after commotio retinae. Also, perhaps the same mechanism of Müller cell damage that results in the lesion of cystoid macular edema1,2 may operate in some cases of blunt trauma to the eye and thus explain the formation of a macular cyst or hole after commotio retinae. Finally, it is possible that multiple pathogenetic mechanisms contribute to the appearance of commotio retinae, depending on the violence of the blunt injury to the eye (i.e., in milder blunt trauma, there is only photoreceptor damage and the gray-white opacification resolves, whereas in more severe trauma, there is true macular edema, Müller cell damage, or both, which may lead to macular cyst or hole formation).

Fig. 36. Fundus photo of macular edema secondary to blunt trauma to the globe. This is known as Berlin's edema or commotio retinae. (Courtesy of William Tasman, MD, Philadelphia, PA)

Fig. 37. Fundus photograph of traumatic macular hole. Notice the choroidal ruptures and the pigment disturbance. The patient's VA has remained 20/40 for 11 years.

YELLOW CHANGES IN THE FUNDUS

The accumulation of lipid usually accounts for yellow deposits in the fundus. Lipid may be derived from degenerated cells such as senescent erythrocytes or from exudation. In the case of hemorrhage, the plasmalemma of red blood cells frequently contributes to the formation of cholesterol deposits, leading to the clinically observed condition of cholesterolosis bulbi. The cholesterol crystals may be seen in the vitreous by ophthalmoscopic examination or in the anterior chamber by slit-lamp examination (Figs. 38 and 39). (Parenthetically, another byproduct of cell membrane degradation can accumulate in the retinal pigment epithelium and appear orange. Lipofuscin results from the accumulation of “residual bodies,” the residua of phagolysosomes that have digested intracellular debris. This orange color may be seen over the surface of choroidal nevi and especially melanoma.13)

Fig. 38. Slit-lamp photograph of cholesterol crystals (cholesterolosis bulbi) in anterior chamber. Similar crystals may be seen in the vitreous.

Fig. 39. Photomicrograph of cholesterol crystals filling the anterior chamber. The crystals showed birefringence with polarized light and stained positive with Schultz' method for cholesterol.

Transudation and exudation imply vascular leakage. A transudate consists of serum and has a low concentration of proteins and lipoproteins. Transudation occurs when there is an imbalance in Starling's factors (the intravascular pressure, the tissue turgor, and osmolarity of the intravascular and tissue spaces). Exudation occurs when there is damage to the vessel, allowing nonselective escape of plasma components such as higher molecular weight proteins and lipoproteins. Therefore, whenever exudate is seen ophthalmoscopically, the examiner should be prepared to attribute this finding to specific vascular abnormality.

Exudates appear yellow or yellow-white, depending on the amount of lipid present. When exudates are observed ophthalmoscopically over time, they frequently appear to lose the yellow component as the content of lipid in the deposit diminishes. Exudates are removed by vascular resorption or by phagocytosis.

Exudates tend to accumulate in the outer plexiform layer. Since this layer is oriented perpendicularly to the internal limiting membrane, small exudates assume a cylindrical shape in three dimensions. When small exudates are viewed ophthalmoscopically, they appear round because the cylinder is being viewed in a cross-section. Usually, these small exudates can be distinguished from cotton-wool spots (which are not exudates but are nerve fiber layer infarcts) by location, shape, and color; nerve fiber layer infarcts occupy a more superficial location, tend to have less distinct edges, and are more white than yellow.

The amount and geographic location of the exudate may alter the appearance of the lesion. Larger exudates appear more globoid (Fig. 40A) than the smaller exudates described earlier. Exudates that accumulate in the macula still may occupy the outer plexiform layer, but because this layer is oriented obliquely (see Fig. 40B), the examiner sees the cylindrical accumulations in profile rather than in cross-section. These exudates resemble the spokes of a wheel radiating from a central hub or the spokes of light radiating from a star (“macular star”) (Fig. 41).

Fig. 40. A. Fundus photo demonstrating large globular exudates in the outer plexiform layer. B. Photomicrograph of exudate in the macula. Notice the oblique orientation of the fibers of the outer plexiform layer. (A, courtesy of Ralph C. Eagle Jr, MD, Philadelphia, PA)

Fig. 41. Edema residues (hard exudates) in the form of a macular star in a patient with severe hypertension secondary to renal disease.

Whereas the presence of an exudate demands a search for vascular pathologic changes, the shape of the exudate may help to localize the vascular abnormality. A star-shaped macular exudate may result from local vascular disturbances such as hypertensive retinopathy. If the lipid accumulation in the macula is abundant, the exudates may appear globular and may be arranged in a circinate or garland-like pattern. Macular exudates may accumulate not only because of local vascular abnormality, but also as a result of a vascular lesion in the retinal periphery, such as the vascular retinal lesions of Von Hippel (Fig. 42) or Coats (Fig. 43), inflammation in the optic nerve head, or hypertensive retinopathy (Fig. 44).

Fig. 42. Fundus photograph of Von Hippel lesion. Notice the dilated, tortuous vessels leading to and from the tumor and the exudate just visible in the macular region at the bottom of the photo.

Fig. 43. Fundus photograph of Coats' disease. Dense exudate is present in the posterior pole. The peripheral lesions, the source of the exudates, are not visible in the photograph.

Fig. 44. Fundus photograph of hypertensive retinopathy, grade IV. The disc is swollen with surrounding “splinter” hemorrhages. The arterioles are narrowed throughout, the circumpapillary retina is edematous, and macular exudates are present.

When an exudate is present in a ring configuration outside of the macula, the vascular disease is most commonly found within the ring. Retinal macroaneurysm is an example (Fig. 45) of a focal retinal vascular lesion surrounded frequently by exudate.

Fig. 45. Fundus photograph of circinate exudate. Notice the macroaneurysm at the center of the exudate ring.

BLACK CHANGES IN THE FUNDUS

Black changes in the fundus usually are the result of changes occurring in the retinal pigment epithelium, which is capable of a variety of responses to injury. It may lose pigment, enlarge and gain pigment (hypertrophy), or replicate (hyperplasia). It also may undergo change to another type of adult tissue such as fibrous tissue or bone (metaplasia) (see Fig. 19).

The attenuation of the pigment epithelium overlying drusen is an example of relative loss of pigment by the cell, better revealing the appearance of the basement membrane accumulation that represents the lesion. Another example of pigment loss is seen in the “salt and pepper” fundus of congenital rubella, in which focal patches of retinal pigment epithelial hypopigmentation (salt) alternate with hyperpigmentation (pepper)14 (Fig. 46).

Fig. 46. Fundus photograph of rubella retinopathy. Notice the fine “salt and pepper” pattern resulting from pigment loss and microclumping. Despite extensive pigmentary changes, the visual acuity and electroretinogram may be within normal limits.

The accumulation of additional pigmentation by the pigment epithelium frequently is accompanied by enlargement of the cell. This alteration may be seen as a normal anatomical variant in the macula, in which the pigment epithelium is taller and more pigmented than in other retinal zones. The physiologic hypertrophy of the macula accounts for some darkening of the fundus color in this area.

A similar response is seen in congenital hypertrophy of the pigment epithelium15 (Fig. 47). The hypertrophy may be so prominent as to impart a jet black appearance to the fundus focally. Congenital hypertrophy of the pigment epithelium may be mistaken clinically for choroidal nevi and melanomas, but the two groups of lesions are distinct ophthalmoscopically. Congenital hypertrophy appears jet black, whereas choroidal melanocytic lesions appear slate gray to brown-black (Fig. 48). In addition, the pigmentation within congenital hypertrophy of the pigment epithelium may not be uniform, accounting for focal “lacunae” of “depigmentation.” Also, the borders of the congenital pigment epithelial hypertrophy frequently are distinct and scalloped. Grouped pigmentation of the fundus (“bear tracks”) is another manifestation of hypertrophy of the pigment epithelium.16

Fig. 47. Fundus photograph of congenital hypertrophy of the pigment epithelium. Notice the sharp delineation of the lesion and its jet black color.

Fig. 48. Fundus photograph of choroidal melanocytic lesion. Notice its slate gray color, which differentiates it from the jet black congenital hypertrophy of the pigment epithelium.

Notice that all of the examples of hypertrophy of the retinal pigment epithelium cited earlier refer to conditions present at birth. Since the retinal pigment epithelial cells are dopa-negative postnatally, it is doubtful that they synthesize additional pigment in adulthood.17

When injury induces pigment epithelial hyperplasia, tight adhesions may be formed between this layer and the neurosensory retina. The black demarcation lines seen in detachments of the neurosensory retina is an example of this type of pigment epithelial response (Fig. 49). The seal thus created tends not be as tight as one created therapeutically when performing retinopexy, and the detachment is more likely to advance beyond the demarcation line.

Fig. 49. Fundus photograph of a demarcation line, the result of pigment epithelial hyperplasia “walling off” a neurosensory detachment.

Clumps of black pigmentation may also be seen in chorioretinal scars. The lesion of quiescent toxoplasmosis may appear white centrally (bare sclera) but may be rimmed by clumps of black pigmentation, reflecting the response of the pigment epithelium to prior inflammation or trauma (see Figs. 19 and 37). Another example of pigment epithelial response to injury is seen in the ophthalmoscopic appearance of some photocoagulation spots. Whereas the heat generated by the laser may destroy the cells focally, pigment epithelium adjacent to the treatment zone frequently responds by hyperplasia. Destruction of the pigment epithelium may result in dispersion of melanin, which is taken up by other pigment epithelial cells or macrophages, thus imparting a black color to the edge of the injured zone.

When the pigment epithelium responds by hyperplasia, it deposits basement membrane and frequently deposits collagen (metaplasia). Thus, pigment epithelial hyperplasia, often accompanied by metaplasia, may result in a lesion that is mildly elevated. The bone that appears in phthisical globes is presumed to be derived from metaplastic pigmented epithelium.

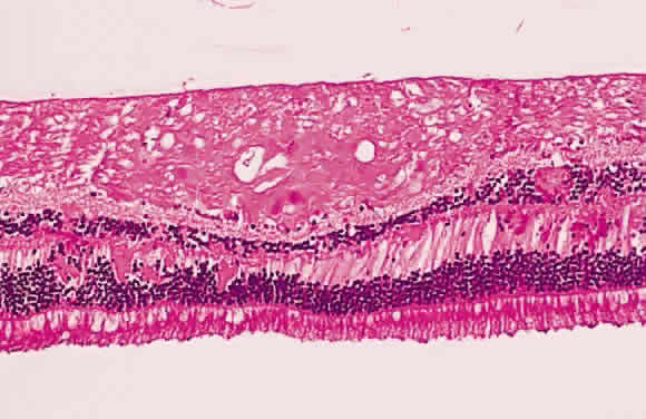
Pigment epithelial melanin may accumulate within the retina, especially around retinal vessels (Fig. 50). Because the small retinal vessels branch frequently, the pigment appears to have the “bone-corpuscular” appearance typically seen in retinitis pigmentosa (Fig. 51) but also after blunt ocular trauma and intraocular inflammation.

Fig. 50. Photomicrograph of primary retinitis pigmentosa demonstrating pigment accumulation surrounding a superficial blood vessel and absence of the rods and cones in the posterior retinal layers. (Courtesy of Ralph C. Eagle Jr, MD, Philadelphia, PA)

Fig. 51. A. Fundus photograph of retinitis pigmentosa with bone spicule pigmentation. The “bone-corpuscular” appearance is the result of pigment epithelial melanin accumulation around the small retinal vessel branches. B. Advanced retinitis pigmentosa. There is marked pigment clumping along with waxy pallor of the disc and attenuated arterioles.

RED CHANGES IN THE FUNDUS

Red lesions in the fundus indicate the presence of blood or abnormal blood vessels in an abnormal location. The blood may be intravascular, implying a vascular pathologic process, or extravascular, as in hemorrhage.

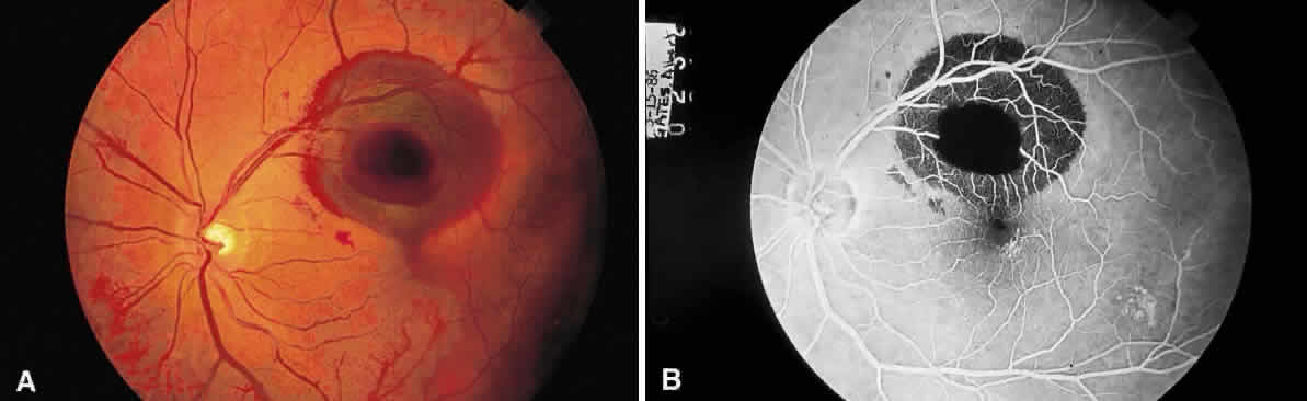
Microaneurysms, such as those seen in diabetic retinopathy (Fig. 52), are reflective of vascular abnormality, which has been demonstrated histologically using trypsin-digestion techniques (Fig. 53). Notice that many microaneurysms measure less than 60 μm in diameter. Since the maximum resolving power of the direct ophthalmoscope is 60 μm, many of the small red dots observed in the fundus are not microaneurysms but microhemorrhages. In fact, alterations in vascular permeability are seen early in background diabetic retinopathy, and the microaneurysms frequently leak fluorescein during angiographic studies. Therefore, fluorescein angiography may be a more sensitive technique for the detection of microaneurysms than is direct fundus observation.18

Fig. 52. A. Fundus photograph of nonproliferative diabetic retinopathy. Notice the dilated veins, the small exudate clusters, the ischemic infarct (cotton-wool spot), and the numerous microaneurysms and small hemorrhages. B. Mid-venous phase fluorescein angiogram of the same eye. Notice the focal area of nonperfusion in the superior temporal arcade (ischemic areas), the fluorescing microaneurysms, and the hemorrhages, which appear dark in contrast to the background fluorescence. (Courtesy of William Tasman, MD, Philadelphia, PA)

Fig. 53. Trypsin digest of the retinal capillary circulation demonstrating microaneurysm formation. (Courtesy of Ralph C. Eagle Jr, MD, Philadelphia, PA)

The term retinal neovascularization refers to new vessels originating within the retina that have broken through the internal limiting membrane. In early retinal neovascularization, the vessels do not invade the vitreous but lie between the internal limiting membrane and the hyaloid face (Fig. 54). These new vessels are fragile and prone to rupture and bleed. The blood may remain localized between the retina and the hyaloid (preretinal or subhyaloid hemorrhage), but with time, many of these hemorrhages break through into the vitreous itself (Fig. 55).

Fig. 54. Photomicrograph of retinal neovascularization. A tuft of new vessels is seen anterior to the plane of the internal limiting membrane. The detached vitreous contains old hemorrhage. (Courtesy of Ralph C. Eagle Jr, MD, Philadelphia, PA)

Fig. 55. Fundus photograph of early proliferative diabetic retinopathy. The new vessels have not invaded the vitreous, and the hemorrhage has remained between the retina and the hyaloid (preretinal/subhyaloid). Notice the vascular loops and vascular duplication.

When new vascular tissue invades the vitreous, the resulting hemorrhage, secondary to vitreous traction on the fronds, tends to be more extensive. The ophthalmoscopic appearance of vitreous hemorrhage depends on the amount of blood present and its duration. If a small amount of blood is present, the view of the fundus may be only slightly clouded and red tinged. In massive acute hemorrhage, the view of the fundus is obscured by bright red blood. With time, the blood may settle to the inferior portion of the eye. If there is no additional hemorrhage, sequential color changes may be observed in the vitreous. Since the red blood cell has a finite life span, the cell eventually loses its metabolic apparatus and its shape as a biconcave disc. With the plasmalemma no longer intact, hemoglobin may seep out of the cells. The erythrocytes no longer appear red but rather khaki or tan. These are ghost erythrocytes or ghost cells (Fig. 56). They begin to appear within 2 weeks after vitreous hemorrhage and may be mistaken for inflammatory cells by vitreous biomicroscopic examination. Ghost cells remain confined to the vitreous unless the anterior hyaloid has been disrupted, in which case they invade the anterior chamber and clog the trabecular meshwork. The result is a secondary open-angle glaucoma (“ghost cell glaucoma”).19

Fig. 56. Photomicrograph of a Millipore filter preparation of a vitrectomy specimen taken from a patient with a vitreous hemorrhage of greater than 2 weeks' duration. Numerous ghost erythrocytes are present. The dark dots just inside the red cell membrane represent Heinz bodies.

The example of vitreous hemorrhage illustrates the color changes that may occur with time in any intraocular hemorrhage. To further emphasize this point, the blood settled inferiorly may become organized and eventually appear white. Additionally, with repeated vitreous hemorrhages, enough iron may be deposited within the eye to result in ocular hemosiderosis, similar to a retained iron intraocular foreign body. The iron may be deposited in the retina, imparting a brown tint to this otherwise transparent and colorless tissue. Likewise, an old intraretinal hemorrhage may appear brown because of the presence of hemosiderin within it. Occasionally, intraretinal hemosiderin appears granular. These deposits are thought to account for the refractile bodies seen in the sunburst lesion of sickle cell retinopathy.20

The location of the hemorrhage also may affect is ophthalmoscopic appearance. Fresh hemorrhage between the retinal pigment epithelium and Bruch's membrane may appear brown or red-black, in contrast with the bright red color seen in fresh hemorrhages anterior to the pigment epithelium (see Fig. 13A). The location of hemorrhages within the retina also accounts for the shape of the lesion. Blood that accumulates between the nerve fiber layer and the internal limiting membrane (subinternal limiting membrane hemorrhage) (Fig. 57) assumes a shape defined by gravity, meniscus or boat-shaped, when the patient is upright (Fig. 58). The name subinternal limiting membrane hemorrhage is technically ambiguous, since a hemorrhage in the outer plexiform layer also is below (sub) the internal limiting membrane.

Fig. 57. Photomicrograph of a hemorrhage present just beneath the internal limiting membrane. The hemorrhage is delimited on the photomicrograph by arrows.

Fig. 58. Hemorrhage located just beneath the internal limiting membrane with the patient in the upright position. The retinal vessels are visible on the surface of the layered hemorrhage.

The shape of other retinal hemorrhages depends on the layer of the retina affected. The hemorrhage spreads along the plane defined by the orientation of retinal structures. Thus, a hemorrhage within the nerve fiber layer is oriented in the direction of the nerve fibers, parallel to the internal limiting membrane (seeFig. 11A) and is seen in the posterior pole as a flame-shaped hemorrhage (see Fig. 11B). In the retinal periphery, however, nerve fiber layer hemorrhages are not flame shaped but appear ophthalmoscopically as dots or blots. The explanation of this phenomenon also is related to the orientation of the nerve fiber layer. In the retinal periphery, the nerve fibers become separated and are oriented so as to form a network of round or polygonal spaces between the fibers, whereas in the posterior pole, the tight fascicular orientation of the fibers forms potential trough-like planes.

The orientation of the processes of retinal cells deep to the nerve fiber layer is perpendicular to the plane of the internal limiting membrane. Therefore, hemorrhages in the deeper (or outermost) retinal layer are oriented in a cylindrical column. The ophthalmoscopist views a cross-section of this column (the cylinder end-on) and sees a dot or blot hemorrhage (see Fig. 23).

Back to Top
THE PERIPHERAL FUNDUS
For this discussion, the peripheral retina is defined as the zone anterior to the ampullae of the vortex veins. Whereas there are lesions of the retinal periphery that are distinctive and do not appear in the posterior pole, many of the lesion of the posterior pole affect the peripheral retina. For example, lesions histopathologically identical to retinal pigment epithelial drusen may be found in the area of the dentate processes of the ora serrata. When these lesions have a linear arrangement in this area, they may resemble ophthalmoscopically a “string of pearls.”21 Curiously, these ora serrata pearls may break loose from their underlying attachments and may float free in the vitreous. Other pathologic processes that affect the posterior pole may appear clinically different in the retinal periphery. As previously mentioned, alterations in retinal microarchitecture may account for the ophthalmoscopic appearance of nerve fiber layer infarcts and hemorrhages in the periphery.

Among the ophthalmoscopically observed conditions peculiar to the retinal periphery are the phenomena of “white-with-pressure” and “whitewithout-pressure.”22 White-with-pressure may be observed in the retinal periphery during scleral depression. The retina overlying the scleral indentation transiently opacifies; this opacification resolves when the external pressure on the scleral is released. The pathophysiologic explanation for the phenomenon of white-with-pressure is not clear. On the other hand, white-without-pressure does have a pathophysiologic explanation. In white-without-pressure, the retina also appears to be opacified, but the opacification is unrelated to external pressure on the scleral. White-without-pressure may have poorly defined or sharp borders, delineating the posterior edge of the vitreous base. It is seen commonly in elderly patients, adjacent to the ora serrata, and most commonly in darkly pigmented patients and in Asians, especially those who are myopic.

Three distinctive retinal degenerations occur frequently in the periphery: peripheral cystoid degeneration, lattice degeneration, and paving stone degeneration.

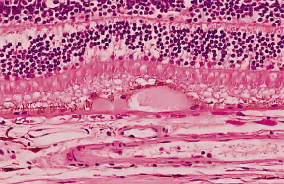
Typical cystoid degeneration involves the formation of cyst-like spaces at the level of the outer plexiform layer (Blessig-Iwanoff cysts) (Fig. 59). These are common lesions, present in most persons from the first decade of life. These “cysts” appear to become more numerous with age. Coalescence of these cysts may result in “senile” retinoschisis.23 Reticular cystoid degeneration involves a disruption at the level of the nerve fiber layer. It is located frequently just posterior to the area of typical cystoid degeneration. A network of fine, branching blood vessels is seen commonly over the surface of reticular cystoid degeneration.

Fig. 59. A. Typical cystoid degeneration of the peripheral retina with cyst-like spaces in the outer plexiform layer (Blessig-Iwanoff cysts). These cysts sometimes coalesce, and the inner layer breaks down to form a hole. B. Peripheral cystoid degeneration with atrophic holes. (A, courtesy of Ralph C. Eagle Jr, MD, Philadelphia, PA. B, courtesy of William Tasman, MD, Philadelphia, PA).

Degenerative or senile retinoschisis involves a splitting of the retina at the level of the outer plexiform layer for a distance of at least one disc diameter. As seen ophthalmoscopically, degenerative retinoschisis frequently has a “beaten metal” appearance, and fine, white dots may be seen within the cavity. These dots are thought to represent columns of Müller cells that have been stretched to the point of rupture: the clinically observed dots are Müller cell remnants that remain adherent to the internal limiting membrane. These Müller columns are believed to be responsible for the unevenness of the outer schisis surface; the inner surface is typically smooth. Large holes in the outer wall of the schisis cavity (by convention, “outer” refers to the scleral side of a retinal lesion whereas “inner” refers to the vitreous side of the retina) are frequently observed (Fig. 60), although smaller inner layer holes are less common. The presence of holes in both the inner and outer walls of a schisis cavity creates a pathway from the vitreous to the subretinal space, and a rhegmatogenous retinal detachment may develop.

Fig. 60. A. Photomicrograph of a retinoschisis cavity with a hole in the outer layer (OL). The inner layer (IL) is intact. Typical peripheral cystoid degeneration is present (arrow). B. Outer wall holes in a patient with senile retinoschisis. Notice the pocked marked appearance of the outer wall layer peripheral to the holes. (B, courtesy of William Benson, Philadelphia, PA, Wills Eye Atlas of Ophthalmology. Lippincott-Raven Fig 4-58, 1996)

In retinal lattice degeneration, there is thinning of the inner retinal layers with loss of the internal limiting membrane. These changes are associated with liquefaction of the overlying vitreous. In addition, strong vitreoretinal adhesions are present at the edges of the lattice lesion (Fig. 61A). These adhesions are important because in the event of a posterior vitreous detachment, traction on the posterior edge of the lattice lesion may result in a tear (see Fig. 61B). The fluid behind the detached vitreous may gain access to the subretinal space through the retinal break and lead to separation of the neurosensory retina from the pigment epithelium, the process known as retinal detachment. Atrophic retinal holes may appear in the thinned zone of retina, but these small asymptomatic holes do not carry the same ominous prognostic implications for retinal detachment as the retinal tears.

Fig. 61. (continued) B. Small retinal tear posterior to an area of lattice degeneration. C. Clinical photo of an area of circumferentially oriented lattice degeneration. D. Photomicrograph of primary retinitis pigmentosa. The arrows mark the plane of Bruch's membrane. The photoreceptor elements are missing. Pigment is accumulated around retinal vessels (c, choroid). (B and C, courtesy of William Tasman, MD, Philadelphia, PA).

Ophthalmoscopically, retinal lattice degeneration appears as punched-out lesions located between the ora serrata and the equator. The lesions may be oriented either equatorially or radially and may be pigmented (so-called “pigmented lattice”) (see Fig. 61C). The name is derived from the presence of white lines criss-crossing within the thinned retina (see Fig. 61D). The lines seen clinically are blood vessels with hyalinized walls. The vessels are patent, an observation that can be confirmed clinically by fluorescein angiography. These lines, however, are not present in every case, so that clinical recognition of retinal lattice degeneration often is based on the clinical context of retinal thinning and geographic location.

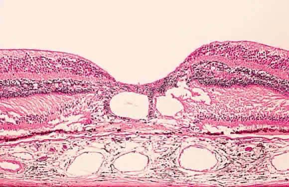
In contrast to lattice degeneration, which affects the inner retinal layers, paving stone degeneration (cobblestone degeneration, peripheral chorioretinal degeneration) affects the outer retinal layers.24 Ophthalmoscopically, paving stone lesions appear as well-demarcated concave zones of depigmentation (Fig. 62A and B). Frequently, the depigmentation is so marked that the larger, outermost choroidal vessels may be seen running through the lesion. The lesions usually are located just posterior to the ora serrata. These depigmented zones may appear individually or may coalesce into larger lesions that demonstrate a scalloped border with pigmented edges.

Fig. 62. A. Paving stones just anterior to the ora serrata. (William Benson: Wills Eye Atlas of Ophthalmology, Fig. 4-58. Philadelphia, Lippincott-Raven, 1996) B. Photograph of the calottes of an autopsy eye showing paving stone degeneration. C. Photomicrograph of paving stone degeneration. The vitreous (v) and choroid (c) are marked for orientation. The retina is detached by an artifact, except in the zone of the paving stone lesion. Notice that the photoreceptors are present to either side of the lesion but not within the lesion. The pigment epithelium also is absent in the area of the lesion. The ophthalmoscopist therefore looks through transparent retina onto choroid and sclera, which accounts for the color of the paving stone lesion.

Histologically, there is loss of the outer retinal layers, including the retinal pigment epithelium (see Fig. 62C). The loss of pigment epithelium accounts for the color of the lesion and permits the larger choroidal vessels to be viewed ophthalmoscopically. The thinned neurosensory retina is firmly adherent to underlying Bruch's membrane and to the reactive pigment epithelium at the margins of the lesion. The pigment epithelial changes account for the clinically observed black border of these zones. Unlike retinal lattice degeneration, there is no change in the overlying vitreous and no pathogenic relation to retinal detachment. In fact, the histopathologic appearance of paving stone degeneration resembles the chorio-retinal adhesion seen after therapeutic cryopexy. The forward advance of a retinal detachment does not extend beyond the posterior edge of a paving stone lesion.

Back to Top
ACKNOWLEDGMENTS
The authors and editor gratefully acknowledge the contributions of authors of this chapter in previous editions: J. Brooks Crawford, MD, San Francisco, CA, and Robert Folberg, MD, Iowa City, IA. Some of the text and illustrations in previous editions have been used in this revision.
Back to Top
REFERENCES

1. Tso MOM: Pathology of cystoid macular edema. Ophthalmology 89:902, 1982

2. Fine BS, Brucker AJ: Macular edema and cystoid macular edema. Am J Ophthalmol 91:559, 1981

3. Morse PH: Vitreoretinal Diseases, p 70. Chicago, Yearbook Medical Publishers, 1979

4. Green WR, Key SN: Senile macular degeneration: A histopathologic study. Trans Am Ophthalmol Soc 75:180, 1977

5. Zamier RB: Ultrastructure of the preretinal membrane in retinitis pigmentosa. Invest Ophthalmol Vis Sci 21:227, 1981

6. Kampik A, Green WR, Michels RG et al: Ultrastructural features of progressive epiretinal membrane removed by vitreous surgery. Am J Ophthalmol 90:797, 1980

7. Folberg R, Hidayat AH, Mauriello JA: The role of the myofibroblast in human ocular pathology. Invest Ophthalmol Vis Sci 20(suppl):9, 1981

8. Pederson JE, Kenyon KR, Green WR et al: Pathology of pars planitis. Am J Ophthalmol 86:762, 1978

9. Wise GN, Dollerey CT, Henkind P: The Retinal Circulation, p 30. New York, Harper & Row, 1971

10. Reese AB: Tumors of the Eye, ed 3, p 112. New York, Harper & Row, 1976

11. Duane TD, Osher RN, Green WR: White centered hemorrhages: Their significance. Ophthalmology 87:66, 1980

12. Sipprly JO, Quigley HA, Gass JDM: Traumatic retinopathy in primates: The explanation of commotio retinae. Arch Ophthalmol 96:2267, 1978

13. Shields JA, Rodrigues MM, Sarin LK et al: Lipofuscin pigment over benign and malignant choroidal tumors. Trans Am Acad Ophthalmol Otolaryngol 81:871, 1971

14. Yanoff M: The retina in rubella. In Tasman W (ed): Retinal Diseases in Children, pp 223–232. New York, Harper & Row, 1971

15. Purcell JJ, Shields JA: Hypertrophy with hyperpigmentation of the retinal pigment epithelium. Arch Ophthalmol 93: 1122, 1975

16. Shields JA, Tso MOM: Congenital grouped pigmentation of the retina. Arch Ophthalmol 87:66, 1980

17. Miyamato M, Fitzpatrick TB: On the nature of the pigment in the retinal pigment epithelium. Science 155:477, 1967

18. Urrets-Zavalia A: Diabetic Retinopathy, pp 7, 23. New York, Masson, 1979

19. Campbell DG, Simmons RJ, Grant WM: Ghost cells as a cause of glaucoma. Ophthalmology 81:441, 1976

20. Romayananda N, Goldberg ME, Green WR: Histopathology of sickle cell retinopathy. Trans Am Acad Ophthalmol Otolaryngol 77:809, 1967

21. Lonn LI, Smith TR: Ora serrata pearls. Arch Ophthalmol 77:809, 1967

22. Schepens CL: Round table discussion. In Symposium on Retina and Retinal Surgery, New Orleans Academy of Ophthalmology, pp 368–369. St Louis, CV Mosby, 1969

23. Foos RY: Senile retinoschisis: Relationship to cystoid degeneration. Trans Am Acad Ophthalmol 74:33, 1970

24. O'Malley P, Allen RA, Straatsma BR et al: Paving stone degeneration of the retina. Arch Ophthalmol 74:33, 1970

Back to Top