Chapter 7
Follicular Conjunctivitis
RUBY LAGNADO, AMAR ALWITRY and HARMINDER SINGH DUA
Main Menu   Table Of Contents

Search

DEFINITIONS
MICROANATOMY OF THE FOLLICLE
FOLLICULOSIS
ADENOVIRUSES
PHARYNGOCONJUNCTIVAL FEVER
RNA VIRUSES
TOGAVIRIDAE
PICORNOVIRIDAE
POXVIRIDAE
ORTHOMYXOVIRIDAE
HERPES SIMPLEX
EPSTEIN-BARR
ADULT INCLUSION CONJUNCTIVITIS
NEONATAL INCLUSION CONJUNCTIVITIS
CHRONIC FOLLICULAR CONJUNCTIVITIS
CHLAMYDIA TRACHOMATIS
PSITTACOSIS
MORAXELLA
PARINAUD'S OCULOGLANDULAR SYNDROME
LYME DISEASE
OCULAR MEDICAMENTOSA/TOXIC FOLLICULAR CONJUNCTIVITIS
MOLLUSCUM CONTAGIOSUM
ADENOVIRUS
AXENFELD'S CHRONIC FOLLICULAR CONJUNCTIVITIS
CHRONIC FOLLICULAR CONJUNCTIVITIS OF THYGESON
ROSACEA BLEPHAROCONJUNCTIVITIS
LABORATORY DIAGNOSIS
REFERENCES

DEFINITIONS

FOLLICLES

A follicle is a nonspecific conjunctival response to chronic irritation: mechanical, chemical, or microbial. After the first few weeks of life, lymphoid tissue becomes evident in the human conjunctiva, with a diffuse and indiscriminate distribution. Under the influence of chronic irritation or stimulation, the lymphocytes increase and aggregate into follicles resembling in structure and function lymph nodes or the solitary lymphatic patches of the intestine.1,2

Clinically, follicles are yellowish to grayish white, discrete, round elevations of the conjunctiva. The central part of the follicle is avascular, but dilated blood vessels may surround the base and sweep up from the base over the convexity (Figs. 1 and 2). Follicles are 0.2 to 2 mm in size, although larger follicles may be seen, particularly in chlamydial disease.3

Fig. 1. Nonspecific follicular conjunctivitis demonstrating the classical appearance of follicles in the inferior fornix. (Courtesy of Peter R. Laibson, MD.)

Fig. 2. Follicular conjunctival reaction in the inferior fornix.

Follicles on the superior tarsal conjunctiva are well defined as a result of the close adherence of the tarsus to the epithelial mucosal tissues. They are also seen in the conjunctival fornices, where they are less regularly spaced and tend to be larger. Conjunctival follicles do not appear in the neonatal period because the lymphoid system is immature, and they are less apparent in children under the age of 2. Follicles histologically consist of lymphoid germinal centers with fibroblasts in the center. T cells occupy the periphery and B cells the center of the infiltrates.4

PAPILLAE

Follicles are often clinically confused with conjunctival papillae (Fig. 3). Papillae are vascular changes most prominent on the palpebral conjunctiva, where fibrous septa anchor the conjunctiva to the underlying tarsus. In contrast to follicles, they have a dilated vascular core surrounded by edema and a mixed inflammatory infiltrate producing raised elevations of the conjunctival epithelium. They are nonspecific signs of conjunctival inflammation, most commonly associated with allergic or bacterial conjunctivitis.

Fig. 3. Papillary conjunctivitis. Numerous fleshy injected papillae appear on the upper tarsus.

FOLLICULAR CONJUNCTIVITIS

Follicular conjunctivitis is not a specific disease entity but a connotation for a large number of conditions of varying etiologies that have follicles as a predominant pathologic and clinical manifestation.

Back to Top
MICROANATOMY OF THE FOLLICLE
Histologically, the structures of follicles are very similar, regardless of the inciting agent. The characteristic feature is a dense, localized infiltration of the subepithelial tissues by large mononuclear lymphocytes. The larger central mass is surrounded by smaller lymphocytes that frequently form secondary nodules. Other cells, such as plasma cells and polymorphonuclear cells, may appear in certain conditions. The cells of the follicle are supported by a loose and ill-defined reticulum that blends with the surrounding connective tissue. There is no true capsule, but in certain conditions, especially trachoma, a dense, surrounding sheet of connective tissue appears with increasing cicatrization.1,2 Initially, there are prominent lymphatics packed with mononuclear cells and a network of blood vessels surrounding a follicle. Later, endothelial lined spaces may develop and extend toward the center of the follicle.
Back to Top
FOLLICULOSIS
Folliculosis of childhood is not pathologic, but is a physiologic change of childhood and adolescence in which follicles are prominent in the fornix and decrease toward the lid margin (Figs. 4 and 5). There are no associated signs of inflammation, and the condition is analogous to the lymphoid hyperplasia of tonsils in children. Clinically insignificant follicles are seen frequently on the upper border of the tarsus, whereas follicles present in the central portion of the upper tarsal plate tend to suggest an underlying pathologic process.

Fig. 4. Nonspecific follicular hypertrophy in an asymptomatic young adult. (Courtesy of Peter R. Laibson, MD.)

Fig. 5. Benign lymphoid hyperplasia. (Courtesy of Peter R. Laibson, MD.)

Back to Top
ADENOVIRUSES

PATHOPHYSIOLOGY AND TAXONOMY

Adenoviruses are double-stranded DNA viruses surrounded by a nonenveloped polypeptide icosahedral capsid with glycoprotein projections. They were first detected in 1953 as a latent virus in surgically removed adenoidal tissue from asymptomatic children.5 There are at least 51 serotypes of adenovirus,6 and they have been classified into six species, A to F, on the basis of their hemagglutination properties and biophysical and biochemical criteria.7 Adenoviruses are a common cause of a variety of human illnesses, accounting for approximately 10% of all febrile illnesses in infants and 5% of all such illnesses in children.8 Most of the keratoconjunctivitis and all of the epidemic keratoconjunctivitis types are caused by species D. The nine most recently described serotypes all belong to species D and were first isolated from human immunodeficiency virus (HIV)-infected patients.

OCULAR ADENOVIRAL INFECTION

Ocular adenoviral infections have a variety of clinical presentations; the two most common forms are epidemic keratoconjunctivitis (EKC) and pharyngoconjunctival fever (PCF). Both are characterized by a marked follicular response.

Two less common manifestations are recurrent conjunctivitis and chronic papillary conjunctivitis. The different syndromes tend to be caused by distinct serotypes, although the features do overlap. Ad 3 and Ad 4 are the most common pathogens that cause sporadic keratoconjunctivitis and PCF. Ad 8, 19, and 37 have been implicated in sporadic cases as well as outbreaks of severe EKC.9–11 Although an epidemic due to both types 8 and 19 has been reported, most disease is due to a single serotype.

EPIDEMIC KERATOCONJUNCTIVITIS

The clinical features of adenoviral keratoconjunctivitis were first described by Fuchs12 in 1889, but it was not until 1955 that adenovirus was identified as the cause of the disease.13 EKC has a wide spectrum of duration and intensity of symptoms. After an incubation period of 2 to 14 days, symptoms begin in one eye; symptoms develop in the second eye 2 to 4 days later. Signs include conjunctival hyperemia and chemosis, intense tearing, and swelling of the conjunctival plica. Ipsilateral preauricular lymphadenopathy is found in many patients. The corneal involvement helps distinguish it from other causes of viral conjunctivitis (Figs. 6 and 7).

Fig. 6. Adenoviral epidemic keratoconjunctivitis. The presence of conjunctival follicles in association with the focal epithelial keratitis of the cornea aid in the diagnosis. (Courtesy of Jose Gomes, MD.)

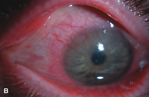
Fig. 7. A. Adenoviral follicular conjunctivitis with no evidence of corneal involvement. B. Adenoviral hemorrhagic follicular conjunctivitis showing a follicular reaction in association with localized areas of subconjunctival hemorrhage. (Courtesy of Peter R. Laibson, MD.)

Corneal subepithelial opacities develop approximately 2 to 4 days after the onset of symptoms. These may stain with fluoroscein and may persist for 2 to 3 weeks. About a week after the onset of symptoms, larger nummular lesions develop. These have irregular, raised borders and a central ulceration that stains with fluorescein. At 2 weeks, the subepithelial infiltrates (SEIs) begin to appear. Focal biopsies have shown these infiltrates to consist of lymphocytes, histiocytes, and fibroblasts accompanied by a disruption of the collagen fiber of Bowman's layer.14,15 The nummular opacities are thought to represent persisting viral replication in subepithelial keratocytes, triggering a host reaction. The immune basis is supported by the clinical observation that the opacities usually resolve with topical steroids but recur when the steroids are discontinued.16 Rarely, these nummular opacities or infiltrates may impair visual function and may persist for months or years. Usually, the conjunctival inflammation and epithelial disease resolve in 10 to 16 days but may last a month. The follicles and lymphadenopathy resolve more gradually in 2 to 4 weeks; however, the SEIs may persist for many months. EKC is also the commonest cause of viral membranous or pseudomembranous conjunctivitis (Fig. 8).

Fig. 8. A. Adenoviral epidemic keratoconjunctivitis demonstrating the presence of a pseudomembrane in the inferior fornix in association with a follicular response. B. Adenoviral epidemic keratoconjunctivitis showing the classical subepithelial corneal infiltrates.

Management

Currently, there is no specific antiviral therapy available to treat adenoviral keratoconjunctivitis. Cidofovir, or HPMPC, is a broad-spectrum antiviral agent17 that was shown to have significant antiviral activity, reducing viral shedding in rabbits with adenoviral conjunctivitis.18 In humans, cidofovir 1% was shown to lower the frequency of severe corneal opacities, but its clinical use four to 10 times daily is limited by local toxicity.19 The mainstay of treatment is symptomatic in mild cases. In more severe cases, topical corticosteroids are useful where there are SEIs in the visual axis. Topical steroids should otherwise be used with caution in follicular conjunctivitis because herpetic conjunctivitis can occur without corneal involvement. If low-dose steroids are used, they may need to be gradually tapered over months to prevent recurrence.

Adenovirus is highly contagious, and measures to limit the spread of infection should be taken. Spread is by person-to-person contact, contaminated ophthalmic instruments, or swimming water. Transmission in ophthalmology clinics has been well reported, most frequently as a result of applanation tonometry; however, slit lamp examination and application of eye drops may also result in spread,20–22 emphasizing the need for adherence to strict hand-washing protocols. Adenoviruses are highly stable and resistant to solvents; however, they are deactivated by hypochlorite solution. The live virus has been found to survive as long as 35 days on plastic surfaces.23 Patients should avoid touching their eyelids and wash their hands frequently. It has been reported that nearly 50% of patients with adenoviral conjunctivitis carry it on their hands.22 Although most patients are culture negative 7 to 10 days after the onset of symptoms,24 positive cultures have been reported for up to 12 months after infection.25 Infected children should be advised to stay at home for 1 week. In the setting of hospital outbreaks, it is essential to implement strict procedures to reduce transmission, and infected personnel should remain off work for 2 weeks.

Conjunctival adenovirus infection is highly contagious and occurs worldwide sporadically and epidemically. Although not permanently blinding, adenoviral ocular infection remains the most common ocular viral infection worldwide. The social and economic cost of community epidemics is high.26

Back to Top
PHARYNGOCONJUNCTIVAL FEVER
Adenoviruses also produce the classic triad of fever, pharyngitis, and acute follicular conjunctivitis in PCF. PCF occurs more commonly in children, is caused by serotypes 3 and 7, and is spread by respiratory secretions. The symptoms are similar to EKC, with tearing and foreign body sensation that is initially unilateral. The follicular conjunctivitis produces a watery discharge with associated preauricular or submandibular lymphadenopathy and occasional petechial hemorrhages. Although corneal involvement is not a key feature, there is occasionally a punctate keratitis; however, SEIs are rare. PCF is a self-limiting condition that varies in severity and may last from 4 days to 2 weeks. The virus remains in the conjunctiva for 2 weeks, but fecal excretion can last a month.27 Treatment is symptomatic, and topical steroids are rarely needed.
Back to Top
RNA VIRUSES

PARAMYXOVIRUSES

Measles—Rubeola

The measles (rubeola) virus causes photophobia, an acute catarrhal papillary conjunctivitis, superficial punctate keratitis, superficial pannus, and occasionally Koplick's spots on the conjunctiva and caruncle.28 Rarely, an immune interstitial keratitis may occur. In a healthy individual, the disease usually resolves with no ocular sequelae. However, in debilitated individuals, particularly those who are vitamin A deficient, it can progress to severe keratitis and keratomalacia.29,30 Herpes simplex virus (HSV) infection also may affect children with measles and may be responsible for one-fifth of their corneal ulcers.30

Mumps

Conjunctivitis is a common manifestation of mumps characterized by dilatation of the conjunctival and episcleral vessels without marked secretion, and sometimes by chemosis of the bulbar conjunctiva.31 It is self-limiting and resolves spontaneously. A follicular conjunctivitis is not typical but was reported once in the literature.32 The other common ocular features are dacryoadenitis and punctate keratitis followed by interstitial keratitis.

Newcastle Disease

Newcastle disease virus causes respiratory infections in poultry; in humans, the virus and the vaccine cause a limited infection. It is unique in causing a unilateral follicular conjunctivitis with mild tearing and preauricular adenopathy. Rarely, there is a transient, fine, superficial keratitis in the first week.33 Newcastle disease normally occurs by direct inoculation during processing of infected birds by poultry workers and veterinarians. The disease is self-limiting and does not require therapy.

Back to Top
TOGAVIRIDAE
Childhood rubella is often accompanied by a catarrhal conjunctivitis and sometimes a mild follicular conjunctivitis. Rarely, there may be a mild superficial punctate keratitis that does not lead to permanent corneal disease.34
Back to Top
PICORNOVIRIDAE

ACUTE HEMORRHAGIC CONJUNCTIVITIS

Acute hemorrhagic conjunctivitis (AHC) has affected millions of people since it first appeared in Ghana in 1969. Large epidemics have occurred in Africa and Asia, and it was first reported in the Western Hemisphere in 1981 in Brazil.35

The major causative agents are enterovirus 70 (EV-70) and coxsackievirus type 24 (CA-24). Adenovirus types 8, 19, and 37 have also recently been recognized as causes of hemorrhagic conjunctivitis, and this may herald a new stage in the evolution of these viruses.36 The clinical features of AHC caused by EV-70 have, in more recent epidemics, been reported to be milder, with a maintained high transmission rate that may be due to biological transformation of EV-70.37Apart from conjunctival secretions, respiratory and oral transmission of coxsackievirus CA-24 variant would explain the rapid and extensive spread of AHC during an outbreak.38

The disease is characterized by a short incubation period and sudden onset of lacrimation, lid swelling, itching, foreign body sensation, and periorbital pain, which rapidly become bilateral. The common signs are papillary conjunctivitis with a minor follicular response; subconjunctival hemorrhages, which are more pronounced temporally; a fine punctate epithelial keratitis; and preauricular adenopathy. The hemorrhages are petechial at first but rapidly become confluent. Subepithelial opacities and erosions are rare, and the conjunctivitis resolves within 4 to 6 days, although the hemorrhages may take longer. Respiratory and gastrointestinal involvement may occur.39 More rarely, neurologic complications, including Guillain-Barré syndrome and Bell's palsy, may develop.40 Corneal superinfection may occur after AHC, and use of topical steroids may predispose an already compromised cornea to develop microbial keratitis. Folk remedies, such as the use of human urine on the eye, have also resulted in gonococcal ophthalmia.41

Back to Top
POXVIRIDAE

PARAPOXVIRUS

Orf virus is a member of the paravaccinia group of DNA viruses that cause a contagious pustular dermatitis, predominantly in sheep and goats.42 It occasionally affects humans, commonly causing lesions of the hand. Ocular infection is unusual; however, it was reported in a farmwife who developed a raised ulcerated lesion at the inner canthus, follicular conjunctivitis, and lymphadenopathy after handling sheep.43 This may have been as a result of direct finger inoculation occurring while she carried an infected lamb. Treatment in this case was with idoxuridine 0.5% for the eye, with resolution in 3 weeks. Blindness has been reported in human orf infection, possibly because of secondary bacterial infection.44

Back to Top
ORTHOMYXOVIRIDAE
The orthomyxoviruses include the influenza virus, which can cause an acute follicular conjunctivitis with mucopurulent discharge.
Back to Top
HERPES SIMPLEX
Primary herpes simplex infection is frequently associated with a vesicular lesion on the lid margin, a clinical feature that aids diagnosis. It typically occurs in children and may have associated upper respiratory symptoms and stomatitis. Half of all primary HSV infections involving the lid margin will develop corneal epithelial manifestations ranging from fine punctate epithelial staining to dendritic ulceration.45 In primary herpetic eye disease, the ulceration is more commonly fine microdendrites involving the cornea and conjunctiva, unlike the prominent dendrites in recurrent disease.

It has been reported that the incidence of HSV ocular infection presenting as acute follicular conjunctivitis in the absence of corneal or lid signs in cases of clinically diagnosed epidemic keratoconjunctivitis is 1.4% to 7%.46 There is no significant difference in clinical features between primary and recurrent HSV conjunctivitis.47 The clinical features of HSV conjunctivitis are those of a moderate follicular conjunctivitis, sometimes with preauricular node swelling and upper respiratory tract signs. There are rarely corneal changes, and it is bilateral in 13% of cases.47 It has a mean duration of 8 days. The low rate of bilateral disease and the short duration may help discriminate HSV from adenoviral conjunctivitis as clinically differentiating the two disease entities is extremely difficult, particularly in the early stages.

Most herpetic infections of the eye are caused by human herpesvirus type 1 (oral); however, type 2 (genital) may occur in the newborn and adults after oral–genital inoculation. Neonates who develop herpes simplex primary conjunctivitis should receive intravenous treatment with acyclovir in addition to topical treatment.

The Herpetic Eye Disease Study (HEDS) assessed whether long-term prophylactic treatment with acyclovir would prevent recurrence of ocular herpetic disease.48 This was a prospective randomized, multicenter trial, and although it did not primarily address herpetic conjunctivitis, its findings did suggest that the use of 800 mg (or 400 mg b.i.d) oral acyclovir daily over a year reduced the recurrence of ocular herpetic disease.

Back to Top
EPSTEIN-BARR
Epstein-Barr virus (EBV), a ubiquitous DNA herpesvirus, is the most common causative agent of infectious mononucleosis syndrome. Ocular manifestations include a follicular or membranous conjunctivitis with or without subconjunctival hemorrhages. Discrete granular subepithelial infiltrates may be seen, with overlying punctate epithelial keratitis.49 The treatment of EBV-associated ocular disease is not defined because of the small number of documented cases. Other ocular complications include uveitis, choroiditis, retinitis, papillitis, and ophthalmoplegia.
Back to Top
ADULT INCLUSION CONJUNCTIVITIS
Chlamydia trachomatis is an obligate intracellular bacterium that can cause several different conjunctivitis syndromes, varying in nature according to which serotype is involved. Serotypes A to C are responsible for trachoma and are discussed in the section on chronic conjunctivitis.

Serotypes D to K of C. trachomatis cause an acute follicular conjunctivitis with a mucopurulent discharge. Historically, the diagnosis was made after visualization of chlamydial inclusion bodies on the conjunctival smears, thus giving the disease its name. These trachomata are transmitted sexually, may be asymptomatic, and may involve multiple sites simultaneously. Transmission is through direct contact of the eye with infected genital or urinary secretions.50,51 Indirect transmission can occur in poorly chlorinated swimming pools.52 Eye-to-eye transmission is probably more common than previously thought.53

Adult inclusion conjunctivitis (AIC) is more common in developed countries in the young and sexually active; it occurs within 2 to 3 months after the patient has a new sexual partner. The serious nonocular complications of chlamydial infection, such as epididymitis and salpingitis, make it an important diagnosis to establish and treat. Chlamydia has been reported to be the cause of a follicular conjunctivitis in adults in 5% to 18% of conjunctivitis.54 Approximately 40% to 50% of men with nongonococcal urethritis and 70% of their partners are infected with C. trachomatis,49 although 25% of the females are asymptomatic.55

Serotypes D to K produce a syndrome clinically distinct from trachoma and do not cause permanent visual loss. It is not clear why AIC is more benign, but reasons may include a lack of re-exposure to the agent, the patient's age at initial infection, and a lower innate pathogenicity of the organism.

CLINICAL FEATURES

The disease affects initially one eye, 1 to 2 weeks after exposure to the organism. The symptoms may be acute or subacute, with redness, irritation, and a mucopurulent discharge. A palpable, nontender preauricular node may develop, but there are no systemic symptoms. Most of the conjunctival findings are located inferiorly, with a predominantly follicular reaction also associated with some degree of papillary reaction (Fig. 9). Limbal swelling is also often present.

Fig. 9. A. Acute adult inclusion follicular conjunctivitis. Large follicles are evident on the upper tarsus. B. Acute adult inclusion follicular conjunctivitis in a young man initially misdiagnosed, resulting in chronic inflammation and marked superior corneal vascularization.

Pseudomembranes do not occur, and conjunctival scarring, if it does occur, is minimal. In the second week, the cornea may have a mild or moderate superficial punctate keratitis that may be fine or coarse. Later in the infection, peripheral epithelial or subepithelial infiltrates may occur, which have an intact epithelium. Occasionally, iritis will occur in the later stages and, rarely, Reiter's syndrome. A superficial micropannus may develop in those who had subepithelial infiltrates, but there is no frank corneal scarring.

DIAGNOSIS

After a detailed history and clinical examination a fluorescent monoclonal antibody test is the most sensitive method of rapid diagnosis.56 Giemsa-stained conjunctival smears looking for perinuclear inclusion bodies have a high false-negative rate57 (Fig. 10). In recent years, polymerase chain reaction (PCR) assay has become more widely used as an effective diagnostic tool to accurately detect the presence of chlamydial material in ocular specimens (see section on laboratory diagnosis).

Fig. 10. Intracytoplasmic inclusions in a conjunctival epithelial cell (Giemsa stain). Such inclusions can be found easily in newborns with inclusion conjunctivitis but are less common in older children and adults with inclusion conjunctivitis and trachoma. These inclusions are in cytoplasm and consist of individual elementary bodies (the small infective forms) or larger initial bodies (the intracellular replicative forms).

TREATMENT

Patients and their partners should be screened for nonocular chlamydial infection and for other venereal diseases. Systemic treatment is mandatory. The recommended treatment for chlamydial infection is azithromycin 1 g as a single daily dose for 7 days, or doxycycline 100 mg twice daily for 7 days. Alternative regimes are erythromycin 500 mg four times a day for 7 days, or ofloxacin 300 mg twice a day for 7 days.58

Back to Top
NEONATAL INCLUSION CONJUNCTIVITIS
Neonatal inclusion conjunctivitis (NIC) is caused by Chlamydia serovars D to K and is the most common cause of infectious neonatal conjunctivitis worldwide.57 It is transmitted through infected genital secretions during passage through the birth canal. The frequency of genital chlamydial infection in women from developed countries may be 2% to 8%,59 increasing with lower socioeconomic status. Thirty percent to 40% of untreated women will have babies affected with NIC, and 10% to 20% will develop chlamydial pneumonitis.60

Acute conjunctivitis with purulent discharge develops 5 to 12 days after birth. This may manifest earlier if there is premature rupture of membranes. The infection may initially be unilateral, with a papillary reaction, as the immune system is too immature to cause a follicular reaction, and there is no preauricular lymphadenopathy. Pseudomembranes occur in more severe cases as does corneal scarring and neovascularization. Diagnosis is based on laboratory tests. Giemsa-stained inclusion bodies may often be seen, unlike in AIC. Monoclonal fluorescent antibody staining should also be done to assist in the rapid diagnosis. Although McCoy cell culture may be used as a diagnostic tool, the advent of PCR techniques has enabled rapid and accurate diagnosis.61

About half of neonates with chlamydial pneumonitis have had NIC.62 Treatment is oral erythromycin syrup 50 mg/kg per day in two to four divided doses for 14 days. The mother also requires systemic treatment. Tetracycline is contraindicated for the baby or for the mother if she is breast-feeding. Neonatal ocular prophylaxis with silver nitrate or antibiotic ointments does not prevent perinatal transmission of C. trachomatisfrom mother to infant; however, these agents do prevent gonococcal ophthalmia.

Back to Top
CHRONIC FOLLICULAR CONJUNCTIVITIS
Follicular conjunctivitis that lasts for more than 16 days is considered chronic and may persist for months to years. The causes of chronic follicular conjunctivitis are listed in Table 1.

 

Table 1. Diagnostic Features of Chronic Follicular Conjunctivitis


SyndromeOnsetConjunctivaCorneaEpidemiologyCytology
TrachomaInsidiousFollicles on tarsus and elsewhere; linear and stellate scarsVascular pannus develops early; epithelial keratitis; marginalEndemic to certain geographic regions and particular ethnic groupsLymphocytes; polymorphonuclear leukocytes; Leber cells; follicle cells
Inclusion conjunctivitis (adult)AcuteProminent follicles involving whole conjunctiva including tarsus; scarring uncommon; mucopurulent dischargePannus may develop after severe epithelial keratitis; marginal and central inflammatory infiltratesOccurs in sexually active young adults (18–30 years old), usually within 1 or 2 months after contact with a new partnerPolymorphonuclear leukocytes; inclusions are not abundant
Toxic follicular/ocular medicamentosaInsidious, usually after prolonged exposure to eye dropsLike trachoma; conjunctival scarring persisting more than 6 months; reversible occlusion of the punctumEpithelial edema in severe cases and probably pannus In patients treated with eye medications (e.g., glaucoma medication) for long periods of timeNonspecific
Toxic follicular (molluscum contagiosum)Insidious or asymptomaticLike trachomaPannus often prominentOften in adolescents and young adults with molluscum contagiosum on other parts of the body as well as eyelidsNonspecific
Axenfeld'sAsymptomaticTarsal follicles more prominentNo keratitis or pannusChildren in boarding schools or orphanages Not known
MoraxellaSubacuteTarsal follicles; moderate discharge; blepharitisOccasional marginal infiltrateAdolescentsDiplobacilli in smears and cultures
RosaceaChronicTarsal follicles; meibomianitis and lid telangiectasisOccasional pannus; rare perforationAdolescents and adultsStaphylococcus aureus in cultures

 

Back to Top
CHLAMYDIA TRACHOMATIS
Trachoma is an ancient disease and remains the most common cause of chronic follicular conjunctivitis, and the foremost cause of blindness worldwide after cataract.63 It is the most common cause of preventable blindness. Trachoma was described in the Egyptian Ebers papyrus in 1900 BC and remains endemic to that country. It was endemic in Europe into the 20th century. Would-be immigrants to the United States were screened for trachoma on arrival at Ellis Island, and those with the characteristic follicles were turned away.

Trachoma has disappeared from Western Europe and North America as a result of improved living conditions. However, trachoma continues to affect 150 million people in 48 countries, of which 6 million are blind.63 In areas where trachoma is constantly present at high prevalence, active disease is found in more than 50% of preschool children. As many as 75% of women and 50% of men over the age of 45 may show signs of scarring disease.64 Infected children are the major reservoir for trachomatous infection in a community.65,66 The prevalence of active trachoma decreases with increasing age, with less than 5% of adults showing signs of active disease. Although similar rates of active disease are observed in male and female children, the later sequelae of trichiasis, entropion and corneal opacification are more common in women than men.67 This is probably related to the close contact of women with children who are suffering from the active disease.

In endemic areas, trachoma is directly transmitted from person to person through ocular secretions.68 Flies also act as vectors by feeding on these ocular secretions.65,66 Children with trachoma in endemic areas have C. trachomatisin the upper respiratory tract and gastrointestinal tract, so it may also be transmitted by droplet or fecal contamination.

PATHOGENESIS

C. trachomatisis an obligate intracellular organism that more closely resembles bacteria than viruses. They contain DNA and RNA, possess a cell wall, and are treatable with tetracycline, erythromycin, and sulfonamides. Acute infection with C. trachomatisimmunotypes A, B, Ba, or C is usually self-limiting with few long-term sequelae. Repeated exposure leads to conjunctival cicatrization and corneal scarring.69 Both humoral and cell-mediated immune responses to infection occur.70 The early formation of follicles that regress is followed by prolonged papillary hypertrophy of the conjunctival epithelium and deposition of subepithelial connective tissue, which contains a diffuse infiltration of lymphocytes and plasma cells. Antichlamydial antibodies can neutralize Chlamydiae, block attachment and internalization of the organism, and produce partial immunity. It may be that the T lymphocytes and cell-mediated immunity are responsible for the conjunctival scarring.

Alterations in the extracellular matrix components and collagen metabolism occur in the conjunctival tissue, with new collagen type V formation in active trachoma and scarred trachoma. The conjunctival tissue from patients with active trachoma contains an increased amount of collagen types I, II, and IV. Scarred trachoma is characterized by a marked increase in basement membrane collagen IV and a marked decrease in types I and III.

CLINICAL FEATURES

The onset and severity of symptoms vary, and in young children, the condition may be entirely subclinical. Acute infectious trachoma causes bilateral, follicular, nonpurulent conjunctivitis 5 days after inoculation52 that may be associated with a tender preauricular lymph node. After 2 to 3 weeks, follicles appear on the superior tarsal conjunctiva and superior limbus. It is not known how long individuals are infectious. There are usually no associated systemic symptoms, although it may sometimes be accompanied by rhinitis, upper respiratory tract infection, or preauricular adenopathy.71 Repeated infection results in conjunctival scarring, cicatricial entropion, and trichiasis, with risk of blinding corneal ulceration. The dry eyes, scarred tear ducts, keratinization of the conjunctiva, and distortion of the lid margin also contribute to the cornea being susceptible to damage. Trichiasis carries an eightfold risk for corneal opacity.72 In countries where the prevalence of active trachomatous infection is higher, such as Tanzania, the progression rate from conjunctival scarring to trichiasis and then corneal opacity is more rapid than in countries, such as the Gambia, where active trachoma is declining.73–75

WORLD HEALTH ORGANIZATION CLASSIFICATION FOR ACUTE TRACHOMA

In the World Health Organization (WHO) grading system for acute trachoma, grade TF (trachoma follicles) represents mild trachoma with the presence of five or more follicles in the upper tarsal conjunctiva of at least 0.5 mm diameter (Fig. 11). Grade TI (trachoma inflammation) describes a more severe trachoma with pronounced inflammatory thickening of the upper tarsal conjunctiva that obscures more than half of the normal deep vessels (Fig. 12). Repeated infections cause scarring trachoma (grade TS) in which the upper eyelid is shortened and distorted causing entropion and trichiasis (grade TT), which abrades the eye. Blindness results from progressive corneal opacification (grade CO), which is related to the degree of entropion or trichiasis (Fig. 13).

Fig. 11. Early chlamydial follicular conjunctivitis with early follicular reaction in the inferior fornix. (Courtesy of Peter R. Laibson, MD.)

Fig. 12. Trachomatous inflammation (grade TI). Follicles are seen on the palpebral conjunctiva associated with the presence of scarring. (Courtesy of Jose Gomes, MD.)

Fig. 13. Significant visually disabling scarring and ectasia of the cornea as a result of chronic trachoma (grade CO) (Courtesy of Jose Gomes, MD.)

According to the WHO, the diagnosis of trachoma requires at least two of the following signs: superior tarsal follicles, limbal follicles or Herbert's pits, typical conjunctival scarring, or vascular pannus. Herbert's pits are necrosed limbal follicles; they are the only sign unique to trachoma, but they do not occur in every case (Fig. 14). Early pannus formation is a good predictor for severe conjunctival scarring later in the disease.76

Fig. 14. Herbert's pits representing necrosed limbal follicles. (Courtesy of Jose Gomes, MD.)

Corneal vascularization occurs in response to the marginal corneal infiltration and is more extensive at the superior limbus. It should be remembered that other corneal diseases, such as Salzmann nodular degeneration or bacterial corneal ulcers may occur in patients with trachoma. The risk of these conditions and subsequent complications, such as perforation or scarring, is increased due to the presence of trichiasis, entropion, and the chronic dry eye state. Patients with vernal catarrh who contract trachoma may develop severe corneal complications.

The diagnosis of trachoma can be confirmed by conjunctival cytology77; however, Giemsa staining has been superseded by fluorescent monoclonal antibody staining. PCR analysis is accurate but expensive for diagnosis.

A previous history of trachoma does not confer immunity to recurrent disease and whole-organism vaccines are ineffective, so other strategies for trachoma control are required.78 The WHO is promoting the Global Elimination of Trachoma (GET) by the year 2020 and has adopted the SAFE strategy—Surgery for entropion and trichiasis, Antibiotic treatment for active infection, and the promotion of both Facial cleanliness and Environmental improvement to reduce transmission—to achieve this goal.

RISK FACTORS

Poverty, excessive distance to water, small amounts of water used by the household, the presence of flies, and poor hygiene are risk factors for trachoma.79,80 Active trachoma is associated with young age and close contact between people. Discharge from the eyes and nose may be a source of reinfection.81 It is likely that host factors also play a role in a person's susceptibility to C. trachomatis disease.82

HEALTH EDUCATION

Interventions to prevent scarring trachoma by reducing active infection include promotion of facial washing. It has been shown that it is possible to increase facial cleanliness through education even where there is a water shortage.83 Trachoma transmission by flies could be reduced by encouraging the use of latrines and also by insecticides.

MEDICAL TREATMENT

Historically, sulfonamides were found to be effective in controlling trachoma; however, they caused unacceptable side effects in a few cases and thus had to be discontinued.84 Topical tetracycline ointment was shown to be effective in individual cases when applied once daily for 6 weeks or for 5 days a month for 6 months. However, poor compliance and rapid reinfection when only individual cases were treated meant that this was not successful at the community level.85,86 Treatment with azithromycin as a single oral dose (20 mg/kg) is safe and has been shown to be at least as effective as 6 weeks of supervised tetracycline ointment.87 This has been a major advance, and in 1998, a new international initiative was launched by the Edna McConnell Clark Foundation and Pfizer Inc, in collaboration with the WHO, in which the drug is provided free to national trachoma control programs in selected countries.

Azithromycin is a key component of SAFE and is more successful in curing chlamydia and improving clinical outcome, with the added advantage of ease of treatment. It has been recommended that in areas where trachoma is moderately prevalent (more than 35% of children affected), treatment should be undertaken annually; but in hyperendemic areas (more than 50% of children affected), it should be given biannually.88 However, azithromycin-resistant pneumococci have been isolated from the nasopharynx of children after two mass treatments, suggesting the need to monitor resistance.89

SURGICAL TREATMENT

Preventing blindness from trachoma, even when transmission is stopped, still requires surgery for the irreversible scarring and trichiasis affecting large numbers of the already exposed population. The operation of choice for trachomatous trichiasis is bilamellar tarsal rotation.90 It is important that this surgery is done before corneal scarring has started to develop, and earlier uptake of surgery requires health education.91

To prevent blinding trachoma, it will not be necessary to eradicate ocular chlamydial infection, but only to reduce the frequency of reinfection in endemic populations to such an extent that severe conjunctival scarring, leading to trichiasis and corneal scarring with subsequent visual loss, is prevented.92

Back to Top
PSITTACOSIS
It had been previously thought that only the chlamydial agents causing trachoma and inclusion conjunctivitis could produce follicular conjunctivitis in man. However, in 1968, there was a report of a laboratory technician involved in research with Bedsonia who developed follicular conjunctivitis proven by conjunctival scrapings to be caused by Chlamydia psittaci.93

Since then, it has been shown that ocular infections with C. psittaci and C. pneumoniae may be more common than previously recognized. PCR species-specific tests are used to further identify chlamydial antigens in patients with chronic conjunctivitis in whom direct fluorescent antibody tests were positive.94 In patients with nontrachomatous chlamydial infection, a short course of oral antibiotics is inadequate.

Back to Top
MORAXELLA
Moraxella lacunata usually produces angular blepharitis but can also cause chronic follicular conjunctivitis with follicles on the upper tarsal plate, and keratitis. It may be associated with preauricular lymphadenopathy. M. lacunata may be incorrectly diagnosed as epidemic keratoconjunctivitis, herpes simplex, or chlamydial infection.95 It can be identified on scraping as large diplobacilli or by culture on blood agar. It is treated with topical tetracycline or erythromycin.
Back to Top
PARINAUD'S OCULOGLANDULAR SYNDROME
Cat-scratch disease is caused by Bartonella species and mainly affects children and young adults. Most patients develop regional lymphadenopathy preceded by an erythematous papule at the site of inoculation. Bartonella henselae lives on cats and their fleas and may be transmitted to humans by a scratch or bite.

Bartonellainfection of the eye was first described by Henri Parinaud in 1889, when he reported three patients with chronic fever, regional lymphadenopathy and follicular conjunctivitis (Fig. 15).96 Subsequent reports noted the history of cat exposure in some patients, and the syndrome became known as Parinaud's oculoglandular syndrome.

Fig. 15. Follicular conjunctivitis due to cat-scratch disease. (Courtesy of Jose Gomes, MD.)

Parinaud's oculoglandular syndrome is the most common ocular complication of cat-scratch disease, affecting approximately 5% of symptomatic patients.97 It is characterized by unilateral granulomatous follicular conjunctivitis with tender regional lymphadenopathy affecting the preauricular, submandibular, or cervical regions. Conjunctival lesions may ulcerate and usually resolve within several weeks, but the lymphadenopathy may take several months to clear. Other ocular manifestations of cat-scratch disease include neuroretinitis with macular star formation, multifocal retinochoroiditis with panuveitis, branch retinal artery occlusion, serous macular detachment, and papillitis with peripapillary retinal detachment.98

DIAGNOSIS

The classic clinical diagnosis of cat-scratch disease requires that at least three of four criteria be met: a history of traumatic cat exposure, a positive skin test in response to cat-scratch disease antigen, characteristic lymph node lesions, and negative laboratory investigations for unexplained lymphadenopathy. The immunosuppressed are more vulnerable to cat-scratch disease from their pets, and systemic dissemination is more likely.99

INVESTIGATION

Investigation now depends predominantly on serology testing, but these results can be inconclusive because of several different serotypes leading to antigenic variability.100 Conjunctival biopsies and PCR molecular techniques can be valuable diagnostic tools for lymph node aspirate.

TREATMENT

Mild disease is self-limiting and does not require antibiotic treatment. Severe disease is treated with rifampicin, ciprofloxacin, trimethoprim, sulfamethoxazole, and gentamicin.101

Back to Top
LYME DISEASE
Ocular findings in Lyme disease were first noted in the original observations of Steere and colleagues102 in 1977. Animal studies have shown that the Lyme spirochete invades the eye early and may remain dormant. Nonspecific follicular conjunctivitis may occur in up to 10% of patients during the flulike illness of Lyme disease.102,103 The conjunctivitis is usually self-resolving and does not lead to long-term sequelae. Associated episcleritis, photophobia, and subconjunctival hemorrhages have been noted.103 Other ocular manifestations of the disease include keratitis, which is most common within a few months of the onset of disease. This may be nummular with nonstaining opacities, or it may be interstitial with keratouveitis, neovascularization, scarring, and corneal edema. The corneal effects are likely to be secondary to a delayed hypersensitivity response to the Borrelia burgdorferi antigen.104

Inflammatory syndromes, such as vitritis and uveitis, may occur. Neuro-ophthalmic manifestations include neuroretinitis, multiple cranial nerve palsies, optic atrophy, and disc edema. In endemic areas, Lyme disease may be responsible for 25% of new-onset seventh nerve palsy.

Back to Top
OCULAR MEDICAMENTOSA/TOXIC FOLLICULAR CONJUNCTIVITIS
Follicular conjunctivitis may occur as a response of the ocular surface to the toxicity of compounds, drugs, or their preservatives, that are frequently instilled into the conjunctival sac (Fig. 16). The response is mediated via destabilization of the tear film or a direct toxic effect on the surface epithelium. Toxicity is defined as damage to structures or disturbance of function over and above an agent's therapeutic effect.

Fig. 16. Toxic follicular conjunctivitis resulting from administration of glaucoma drops containing preservative.

Several agents are capable of producing signs and symptoms of ocular medicamentosa. The agents may be prescribed (iatrogenic) or self-instilled (inflicted). The effect may be caused by the drug, its solvent or vehicle, or the preservative used. Toxic follicular reactions with or without inflammation have been described with atropine, miotics, epinephrine, some antiglaucoma medications, and antivirals. Such a reaction is probably the result of the mitogenic effect of the agents.105 Chronic disease, such as glaucoma and dry eye states are associated with high risk for toxicity. Brimonidine was reported to have an incidence of follicular conjunctivitis of 9.6% in treated patients.106

Other conjunctival manifestations of toxicity include cicatrization and papillary reaction. Associated corneal involvement may be significant. Features include punctate keratopathy; coarse, focal keratopathy; pseudodentrites; filamentary keratitis; persistent epithelial defects; and band keratopathy.

The diagnosis is based on clinical features, a high index of suspicion, multiple drug usage, and frequent instillation. Increased symptoms of stinging on instillation of the drug may indicate toxicity, as may an initial improvement of symptoms of the underlying condition followed by worsening of symptoms on continued usage. Rose bengal staining helps in identifying early signs of corneal and conjunctival toxicity. A favorable response to withdrawal of drug(s) or substitution with preservative-free preparations is also a strong indicator of toxicity.

Treatment includes cessation of drug use where possible or substitution with an alternative or preservative-free preparation. The period to resolution of symptoms and clinical signs after cessation or substitution of the offending drug may vary from a few days to a few months.107

Back to Top
MOLLUSCUM CONTAGIOSUM
Molluscum contagiosum is the most common poxviral pathogen in humans since the eradication of smallpox. It causes umbilicated warty growths 2 to 3 mm in diameter on the lid margins (Fig. 17). The shedding of live virus into the conjunctival fornix causes follicular conjunctivitis with punctate keratitis; if left untreated, corneal pannus may develop.108 These responses are most likely a toxic reaction to the viral particles. The disease is spread by close personal contact and sexual activity. Treatment is by excision or cryotherapy.

Fig. 17. Classical appearance of conjunctival follicles in a case of molluscum contagiosum. A warty umbilicated lesion is clearly visible on the lower lid margin.

Back to Top
ADENOVIRUS
Although predominantly related to acute disease, rarely adenovirus conjunctivitis runs a chronic course109 or can be intermittent and remitting, with no symptoms between episodes.110 Chronic disease follows acute follicular conjunctivitis when the typical conjunctival follicles are replaced with a papillary reaction.
Back to Top
AXENFELD'S CHRONIC FOLLICULAR CONJUNCTIVITIS
Axenfeld's chronic follicular conjunctivitis, or orphan's conjunctivitis, was originally described in orphanages in France and has occurred from time to time in boarding schools. This is a mild asymptomatic disease without significant keratitis. Axenfeld's assistant, Victor Morax, inoculated himself with scrapings from an infected child and developed follicular conjunctivitis after an incubation period of 10 days; his disease was relatively severe at onset, and persisted for 2 years. Because this syndrome is similar to the mild trachoma once seen in American Indian boarding schools, it may have been mild trachoma.

Axenfeld's conjunctivitis has an insidious onset and is accompanied by a scanty discharge in which mononuclear cells (lymphocytes) predominate. The follicles involve the entire conjunctiva, including the upper tarsal plate, but are firm and do not break up when pressure is applied. The cornea is not involved, and probably for this reason, the disease is asymptomatic.

Because Axenfeld's chronic follicular conjunctivitis is not associated with florid corneal involvement and does not produce conjunctival scarring, it has been classified as a disease entity separate from trachoma. Most of the observations on Axenfeld's follicular conjunctivitis were made before the slit lamp was widely used, and it is likely that small degrees of keratitis and pannus may have been overlooked. Moreover, in mild trachoma, a chlamydial agent is rarely demonstrated and the disease produces little, if any, scarring. Therefore, it is possible that Axenfeld's conjunctivitis is a mild form of trachoma that runs a self-limiting course under the relatively hygienic conditions of a children's institution. In such cases, a regular course of trachoma therapy with oral tetracycline or erythromycin should be administered.

Back to Top
CHRONIC FOLLICULAR CONJUNCTIVITIS OF THYGESON
Chronic follicular conjunctivitis of Thygeson, originally described in a group of high-school children suffering from chronic follicular conjunctivitis in California, lasts 6 to 8 months and is accompanied by mild keratitis, which was felt to distinguish it from the trachoma that was present in the same population. As with Axenfeld's conjunctivitis, the possibility of chlamydial infection must be ruled out by modern diagnostic techniques.

The entity is characterized by the following findings:

  1. follicular hypertrophy most marked in the fornices but occasionally involving the tarsal plate
  2. punctate epithelial keratitis superiorly
  3. moderate exudates in the conjunctiva
  4. foreign-body sensation and photophobia
  5. subacute or insidious onset
  6. duration of 4 to 5 months
  7. no secondary bacterial infection
  8. occasional micropannus formation
  9. spontaneous remission without conjunctival or corneal scars

This epidemic occurred in a suburban high school in which some trachoma cases were found in the Mexican American students; moreover, most of the cases involved girls who had been trading eye cosmetics. There is the possibility that this may also represent a particularly mild form of trachoma.

Back to Top
ROSACEA BLEPHAROCONJUNCTIVITIS
Chronic rosacea blepharoconjunctivitis occurs in patients with varying degrees of cutaneous acne rosacea, a syndrome characterized by pustules, erythema, telangiectasia, rhinophyma, and a predisposition to blushing or sunburn. There are no comedones, or blackheads, distinguishing this condition from acne vulgaris. Patients occasionally develop corneal scarring, neovascularization, and, rarely, corneal perforation. Chronic follicular conjunctivitis, associated with keratitis and vascular pannus, occurs in some patients. The follicles may be a toxic reaction to staphylococcal antigens or abnormal sebaceous material. Management is based on treating the lid margin with scrubbing and locally applied antibiotics. Oral tetracyclines, including doxycycline, and erythromycin are effective in controlling the eye disease, but both the dermatitis and ocular symptoms may recur within 6 weeks of stopping systemic antibiotics.
Back to Top
LABORATORY DIAGNOSIS
In view of the vast number of potential etiological factors responsible for follicular conjunctivitis, laboratory investigations are essential to establish a specific diagnosis. It is important that the clinician undertake a systematic approach to investigation, particularly when faced with a case of unresponsive, atypical, or chronic follicular conjunctivitis. In patients with follicular conjunctivitis, cultures for viruses, bacteria, and chlamydia may be important in identifying specific syndromes or specific organisms, thereby facilitating targeted treatment.

CYTOLOGY

Conjunctival cytology remains a rapid, versatile, and cost-effective means to assist in the diagnosis of follicular conjunctivitis and other inflammatory ocular diseases.111–113 Specimens for cytology are best obtained from the conjunctiva, particularly the upper tarsus, with a sterile spatula following topical anesthesia. Care must be taken to ensure no cross-infection of eyes during the procedure. An adequate specimen should contain visible material when smeared on a glass slide.

Specimens for Giemsa and immunofluorescent staining are air dried before fixation. Giemsa staining reveals cellular morphology and microbial agents, whereas Gram's stain is useful for confirming the presence and identifying the general characteristics of microbial pathogens. Inflammatory cells in smears are suggestive of the underlying disease process: Bacterial infections are characterized by an abundance of polymorphonuclear cells, viral infections by a predominance of lymphocytes, and chlamydial infections by a mixture of both these types, often accompanied by Leber cells (macrophages), plasma cells, or immature lymphocytes (“follicle cells”). Intraepithelial cytoplasmic inclusion bodies are easily visualized and are diagnostic of chlamydial infection. In membranous conjunctivitis, large numbers of polymorphonuclear leukocytes are found, regardless of the etiology. Cytology is also useful to identify dysplasia and keratinization of the ocular surface.

SEROLOGY

Serologic evaluation may be helpful in the identification of infection. For acute infections, a comparison of acute and convalescent specimens showing a fourfold increase in antibody titer is suggestive of recent infection with a particular agent. In many circumstances, however, high endemicity of the suspected pathogen precludes useful interpretation of results; for example, because positive herpes simplex and chlamydial titers are extremely common in the general population, they usually cannot be used to identify ocular infections in individual patients.

CULTURE

Conjunctival culture remains the mainstay of laboratory investigation of follicular conjunctivitis. Samples are easily obtained by minimally invasive techniques, the costs are low, and availability is high. Swabs should be taken with a vigorous stroke through both inferior fornices, swabbing the least affected eye first. Topical anesthetics do not adversely affect viral or chlamydial cultures; however, preservatives present in certain eye drops may interfere with the recovery of bacteria and so should be avoided.

Bacterial Cultures

The common bacterial pathogens responsible for conjunctivitis include Staphylococcus aureus, Streptococcus pneumoniae, Haemophilus sp and Neisseria sp. Immediate inoculation of the ocular swab directly onto solid media (e.g., blood agar plate) provides the best chance of isolating most aerobic bacteria found on the lids and conjunctiva. Chocolate agar is required to grow Neisseria or Haemophilus sp.

Viruses

Isolation procedures for viruses require consultation with the local laboratory prior to taking the specimen. For many viruses, Dacron or calcium alginate–tipped swabs should be placed in refrigerated transport media immediately after procurement and transported to the laboratory within 24 hours for viral isolation in cell cultures. Yields decrease rapidly after 24 hours and also with specimen freezing. The physician must indicate to the laboratory which viruses are suspected and document the specimen site, thereby allowing the laboratory to select the best cell lines to inoculate.114

Chlamydia

McCoy cell culture has been used to good effect for many years in the laboratory diagnosis of chlamydial conjunctivitis.115 Recently, however, newer nonculture tests have become widely available and are less expensive, with similar or better diagnostic sensitivities and specificities.

Other methods used to identify chlamydial infection include immunofluorescent staining of smears, enzyme-linked immunoassay, measurement of tear and serum antibodies, and immunofluorescence.116–122

ENZYME IMMUNOASSAY

Enzyme immunoassay kits that employ monoclonal antibodies to adenovirus group-reactive antigens are now widely available and are being used for the diagnosis of ocular infections.123 They involve the placement of conjunctival swab material into contact with adenovirus-specific monoclonal antibodies (usually in special wells) with subsequent exposure to adenovirus monoclonal conjugate antibody.124 These tests are relatively cheap and have been shown to have a sensitivity of 56% when applied within 1 week of onset of symptoms, decreasing to 25% specificity when used thereafter, up to a limit of 11 days. Results are available within 2 hours; however, recent work on immunochromatography may give comparable results within 10 minutes.125

Enzyme-linked immunoassays directed toward chlamydial antigens have been shown to be effective in the diagnosis of both chronic (trachomatous) and acute follicular chlamydial disease.126

Numerous diagnostic kits have also been made available for the diagnosis of herpes simplex infection, HIV, and Lyme disease.127,128

POLYMERASE CHAIN REACTION

Polymerase chain reaction assay is a procedure in which segments of DNA or RNA are amplified by the use of flanking oligonucleotides called primers and repeated cycles of amplification with DNA polymerase. The initial step is heating in order to separate the DNA into single strands. Each strand is annealed with complementary target DNA sequences or primers and extended by the action of DNA polymerase. The amount of DNA material is doubled with each cycle, and often 30 cycles are undertaken to obtain enough material for further analysis. This process allows isolation and identification of minute amounts of pathogenic material. In the past, PCR has been prohibitively expensive; however, in recent years, it has become more widely available and costs have decreased. DNA amplification is rapidly becoming the gold standard for diagnosis of infective processes.

PCR kits designed for the detection of C. trachomatis, such as the Amplicor (Roche Diagnostic Systems, Branchburg, NJ), are becoming widely available and are generally superior to culture techniques of diagnosis.129,130 PCR has been shown to be both sensitive and specific when used for the diagnosis of trachoma or for analysis of conjunctival swabs in acute chlamydial conjunctivitis. The sensitivity, specificity, and positive and negative predictive values of PCR compared with culture for conjunctival specimens have been reported to be as high as 92.3%, 100%, 100%, and 98.4%, respectively.131,132 Subjects without clinical signs of infection who are PCR positive for chlamydia are more likely to develop acquired signs of disease within the next 6 months.133 It is a technique capable of detecting as few as 100 plasmid copies (10 elementary bodies) of C. trachomatis134 and has also been utilized for detection of Chlamydia in the nasopharynx of infected children and the urine of their mothers.131

Rapid identification of adenovirus by PCR is possible,135–141 and it has been advocated that it could replace antigen detection and virus isolation as the initial test for adenoviruses in conjunctival swabs, with cell culture being retained only for adenovirus serotyping in PCR-positive specimens and for other viruses, such as herpes simplex.135 Sensitivities of 100% and specificity of 97% have been reported, making it a superior diagnostic technique when compared with immunoassay techniques.136

PCR testing has a more uncertain role in the diagnosis of herpetic conjunctivitis. Herpesviruses may be identified successfully in conjunctival swabs and from tears.142,143 For typical presentations of ocular HSV disease, clinical examination has been shown to be as accurate as PCR. However, for atypical presentations of ocular HSV disease, PCR has been more accurate in detecting HSV infection than the clinical examination, and it thus remains a useful tool in such situations.144

PCR testing has been shown to be of value in the analysis of ocular specimens and has been used to identify a number of infective organisms from patients with follicular conjunctivitis. As it becomes cheaper and more widely available, its role will inevitably increase. At present, it is certainly useful in cases of chronic, atypical, or unresponsive follicular conjunctivitis.

Back to Top
REFERENCES

1. Duke-Elder S: System of Ophthalmology: Diseases of the Outer Eye. Vol 8, part 1. Diseases of the Conjunctiva and Associated Diseases of the Corneal Epithelium. London, Henry Kimpton, 1965

2. Yanoff M, Fine BS: Conjunctiva. In: Ocular Pathology: A Text and Atlas. Philadelphia, Lippincott and Co., 1989

3. Chandler JW, Gillettte TE: Immunologic defense mechanisms of the ocular surface. Ophthalmology 90:585, 1983

4. Belfort R Jr, Mendes NF: Identification of T and B lymphocytes in the human conjunctiva and lacrimal gland in ocular disease. Br J Ophthalmol 64:217, 1980

5. Rowe WP, Huebner RJ, Gilmore LK, et al: Isolation of a cytopathogenic agent from human adenoids undergoing spontaneous degeneration in tissue culture. Proc Soc Exp Soc Med 84:570, 1953

6. De Jong JC, Wermenbol AG, Verweij-Uijterwal MW, et al: Adenoviruses from human immunodeficiency virus–infected individuals including 2 strains that represent new candidate serotypes Ad50 and Ad51 of species B1 and D respectively. J Clin Microbiol 37:3940, 1999

7. Toogod CI, Murali R, Bennett RM, et al: The adenovirus type 40 hexon: sequence predicted structure and relationship to other adenovirus hexons. J Gen Virol 70:3203, 1989

8. Fox JP, Hall CE, Cooney MK: The Seattle virus watch. Observations of adenovirus infections. Am J Epidemiol 105:362, 1977

9. Jernigan JA, Lowry FG, Hayden SA, et al: Adenovirus type 8 epidemic keratoconjunctivitis in an eye clinic: risk factors and control. J Infect Dis 167:1307, 1993

10. Nauheim RC, Romanowski T, Araullo-Cruz RP, et al: Prolonged recoverability of dessicated adenovirus type 19 from various surfaces. Ophthalmology 97:1450, 1990

11. Warren D, Nelson JA, Farrar E, et al: A large outbreak of epidemic keratoconjunctivitis: problems in controlling nosocomial spread. J Infect Dis 160:938, 1989

12. Fuchs E. Keratitis puncta superficialis. Wien Klin Wochenschr 44:837, 1889

13. , Jawetz E, Kimura SJ, Hanna L, et al: New type of APC virus from epidemic keratoconjunctivitis. Science 122:1190, 1955

14. Lund OE, Stefani FH: Corneal histology after epidemic keratoconjunctivitis. Arch Ophthalmol 96:2085, 1978

15. Gunther R: Pathologisch-anatomischer Befund einer Hornhaut bei Keratitis epidemica. Klin Monatsbl Augenheilkd 103:309, 1939

16. Sundmacher R, Engelskirchen U: Zum Problem der rezidevierenden und persistierenden Nummuli nach Keratoconjunctivitis epidemica. Klin Monatsbl Augenheilkd 198:550, 1991

17. De Clercq E: Therapeutic potential of HPMPC as an antiviral drug. Rev Med Virol 3:85, 1993

18. Gordon YJ, Romanowski EG, Araullo-Cruz T: Topical HPMPC inhibits adenovirus type 5 in the New Zealand rabbit ocular replication model. Invest Ophthalmol Vis Sci 35:4135, 1994

19. Hillenkamp J, Reinhard T, Ross RS, et al: The effects of cidofovir 1% with and without cyclosporin A 1% as a topical treatment of acute keratoconjunctivitis: a controlled clinical pilot study. Ophthalmology 109:845, 2002

20. Dawson CR, Darrell R: Infections due to adenovirus type 8 in the United States. An outbreak of epidemic keratoconjunctivitis originating in a physician's office. N Eng J Med 268:1031, 1963

21. Ford E, Nelson KE, Warren D: Epidemiology of epidemic keratoconjunctivitis. Epidemiol Rev 9:244, 1987

22. Azar MJ, Dhaliwal DK, Bower KS, et al: Possible consequences of shaking hands with your patients with epidemic keratoconjunctivitis. Am J Ophthalmol 121:711, 1996

23. Nauheim RC, Romanowski T, Araullo-Cruz RP, et al: Prolonged recoverability of desiccated adenovirus type 19 form various surfaces. Ophthalmology 97:1450, 1990

24. Dawson CR, Hanna L, Wood TR, et al: Adenovirus type 8 keratoconjunctivitis in the United States. Am J Ophthalmol 69:473, 1970

25. Darougar S, Quinlan MP, Gibson JA, et al: Epidemic keratoconjunctivitis and chronic papillary conjunctivitis in London due to adenovirus type 19. Br J Ophthalmol 61:76, 1977

26. Ford E, Nelson KE, Warren D: Epidemiology of epidemic keratoconjunctivitis. Epidemiol Rev 9:244, 1987

27. D'Angelo LJ, Hierholzer JC, Keenlyside RA, et al: Pharyngoconjunctival fever caused by adenovirus type 4: report of a swimming pool–related outbreak with recovery of virus from pool water. J Infect Dis 140:42, 1979

28. Deckard PS, Bergstrom TJ: Rubeola keratitis. Ophthalmology 88:810, 1981

29. Sandford-Smith JH, Whittle HC: Corneal ulceration following measles in Nigerian children. Br J Ophthalmol 63:720, 1979

30. Foster A, Sommer A: Corneal ulceration, measles and childhood blindness in Tanzania. Br J Ophthalmol 71:331, 1987

31. Riffenburgh RS: Ocular manifestations of mumps. Arch Ophthal 66:739, 1961

32. Meyer RF, Sullivan JH Oh JO: Mumps conjunctivitis. Am J Ophthalmol 78:1022, 1974

33. Hales RH, Ostler BH: Newcastle disease conjunctivitis with subepithelial infiltrates. Br J Ophthalmol 57:694, 1973

34. Hara J, Fujimoto F, Ishibashi T, et al: Ocular manifestations of the 1976 rubella epidemic in Japan. Am J Ophthalmol 87:642, 1979

35. WHO Weekly Epidemiological Record56:293, 1981

36. Chang CH, Sheu MM, Lin KH, et al: Hemorrhagic viral keratoconjunctivitis in Taiwan caused by adenovirus types 19 and 37: application of polymerase chain reaction-restriction fragment length polymorphism in detecting adenovirus genotypes. Cornea 20:295, 2001

37. Uchio E, Yamazaki K, Ishikawa H, et al: An epidemic of acute haemorrhagic conjunctivitis caused by enterovirus 70 in Okinawa, Japan, in 1994. Graefes Arch Clin Exp Ophthalmol 237:568, 1999

38. Yin-Murphy M, Goh KT, Phoon MC, et al: A recent epidemic of acute hemorrhagic conjunctivitis. Am J Ophthalmol 116:212, 1993

39. Whitcher JP, Schmidt NJ, Mabrouk R, et al: Acute hemorrhagic conjunctivitis in Tunisia. Report of viral isolations. Arch Ophthalmol 94:51, 1976

40. Chopra A, Rana PV, Narayanaswamy AS, et al: Neurological complications following acute viral conjunctivitis: a new profile. Trop Geogr Med 38:197, 1986

41. Alphonso E, Friedland B, Hupp S, et al: Neisseria gonorrhoea conjunctivitis: an outbreak during an epidemic of acute hemorrhagic conjunctivitis. JAMA 250:794, 1983

42. Falk ES: Parapoxvirus infection of reindeer and musk ox associated with unusual human infection. Br J Dermatol 99:647, 1978

43. Freeman G, Bron AJ, Juel-Jensen B: Ocular infection with orf virus. Am J Ophthalmol 97:601, 1984

44. Moore RM Jr: Human Orf in the United States. J Infect Dis 127:731, 1973

45. Glasser DB, Hyndiuk RA: Herpes simplex keratitis. In Tabbara KF, Hyndiuk RA (eds): Infections of the Eye. Boston, Little Brown, 1986

46. Harding SP, Mallinson H, Smith JL, et al: Adult follicular conjunctivitis and neonatal ophthalmia in a Liverpool eye hospital 1980-84. Eye 1:512, 1987

47. Uchio E, Takeuchi S, Hoh N, et al: Clinical and epidemiological features of acute follicular conjunctivitis with special reference to that caused by herpes simplex virus type 1. Br J Ophthalmol 84:968, 2000

48. Herpetic Eye Disease Study Group: Acyclovir for the prevention of recurrent herpes simplex virus eye disease. N Engl J Med 339:300, 1998

49. Matoba AY, Jones DB: Corneal subepithelial infiltrates associated with systemic Epstein-Barr viral infection. Ophthalmology 94:1669, 1987

50. Ostler HB: Oculogenital disease. Surv Ophthalmol 20:233, 1976

51. Schachter J: Chlamdial infection. N Eng J Med 298:428, 1978

52. Whitcher JP: Chlamydial diseases. In Smolin G, Thoft RA (eds): The Cornea: Scientific Foundations and Clinical Practice.2nd ed. Boston, Little Brown, 1981

53. Ronnerstam R, Persson K, Hansson H, et al: Prevalence of chlamydial eye infection in patients attending an eye clinic, a VD clinic and in healthy persons. Br J Ophthalmol 69:385, 1985

54. Viswalingham ND, Wishart MS, Woodland RM: Adult chlamydia ophthalmia. Br Med Bull 93:123,1983

55. Brunham RC, Paavonen J, Stevens CE, et al: Mucopurulent cervicitis—the ignored counterpart in women of urethritis in men. N Eng J Med 311:1, 1984

56. Potts MJ, Paul ID, Roome AP, et al: Rapid diagnosis of Chlamydia trachomatis infection in patients attending an ophthalmic casualty department. Br J Ophthalmol 70:677, 1986

57. Schachter J, Dawson CR: Human Chlamydial Infections. Littleton, MA, PSG,1978

58. Centers for Disease Control and Prevention: 1998 guidelines for treatment of sexually transmitted diseases. MMWR Recomm Rep 47:1, 1998

59. Francois P, Rouhan D, Hirtz P, et al: Chlamydia trachomatis en pediatrie. Pediatrie 43:101, 1988

60. Harrison HR, English MG, Lee CK, et al: Chlamydia trachomatis infant pneumonitis: comparison with matched controls and other infant pneumonitis. N Engl J Med 298:702, 1978

61. Talley AR, Garcia-Ferrer F, Laycock KA, et al: Comparative diagnosis of neonatal chlamydial conjunctivitis by polymerase chain reaction and McCoy cell culture. Am J Ophthalmol 117:50, 1994

62. Beem MO, Saxon EM: Respiratory tract colonization and a distinctive pneumonia syndrome in infants infected with Chlamydia trachomatis. N Eng J Med 298:306, 1978

63. Thylefors B, Negrel AD, Pararajasegaram R, Dadzie KY: Global data on blindness. Bull World Health Organ 73:115, 1995

64. Courtright P, Sheppard J, Schachter J, et al: Trachoma and blindness in the Nile Delta: current patterns and projections for the future in the rural Egyptian population. Br J Ophthalmol 73:536, 1989

65. Dawson CR, Daghfous T, Messadi M, et al: Severe endemic trachoma in Tunisia. Br J Ophthalmol 60:245, 1976

66. Jones BR: The prevention of blindness from trachoma. Trans Ophthalmol Soc UK 95:16, 1975

67. West S, Munoz B, Lynch M, et al: Impact of face washing on trachoma in Kongwa, Tanzania. Lancet 345:155, 1995

68. Treharne JD: The community epidemiology of trachoma. Rev Infect Dis 7:760, 1985

69. Grayston JT, Wang S: New knowledge of chlamydiae and the diseases they cause. J Infect Dis 132:87, 1975

70. Abuel-Asrar AM, Gebose K, Missotten L: Immunology of trachomatous conjunctivitis. Bull Soc Belge Ophtalmol 280:73, 2001

71. Darougar S, Jones BR: Trachoma. Br Med Bull 39:117, 1983

72. Bowman RJ, Jatta B, Charn B, et al: Natural history of trachomatous scarring in the Gambia: results of a 12-year longitudinal followup. Ophthalmology 108:2219, 2001

73. Munoz B, Bobo L, Mkocha H, et al: Incidence of trichiasis in a cohort of women with and without scarring. Int J Epidemiol 28:1167, 1999

74. Munoz B, Aron J, Turner V, et al: Incidence estimates of late stages of trachoma among women in a hyperendemic area of central Tanzania. Trop Med Int Health 2:1030, 1997

75. Dolin PJ, Faal H, Johnson GJ, et al: Trachoma in the Gambia. Br J Ophthalmol 82:930, 1998

76. Dawson CR, Juster R, Marx R, et al: Limbal disease in trachoma and other ocular chlamydial infections: risk factors for corneal vascularisation. Eye 3:204, 1989

77. Halberstaedter L, Von Prowazek S: Sur Aetiologie das Trachome. Dtsch Med Wochenschr 33:1285, 1907

78. Taylor HR, Fitch CP, Murillo-Lopez F, et al: The diagnosis and treatment of chlamydial conjunctivitis. Int Ophthalmol 12:95, 1988

79. Marx R: Social factors and trachoma: a review of the literature. Soc Sci Med 29:23, 1989

80. Mabey DCW, Bailey RL, Hutin YJF: The epidemiology and pathogenesis of trachoma. Rev Med Microbiol 3:112, 1992

81. Bobo L, Munoz B, Viscidi R, et al: Diagnosis of Chlamydia trachomatis eye infection in Tanzania by polymerase chain reaction/enzyme immunoassay. Lancet 338:847, 1991

82. Mahdi OS: Impact of host genetics on susceptibility to human Chlamydia trachomatis disease. Br J Biomed Sci 59:128, 2002

83. West S, Munoz B, Lynch M, et al: Impact of face washing on trachoma in Kongwa, Tanzania. Lancet 345:155, 1995

84. Dawson CR, Hanna L, Wood TR, et al: Controlled trials with trisulfapyrimidines in the treatment of chronic trachoma. J Infect Dis 119:581, 1969

85. Dawson CR, Daghfous T, Hoshiwara I, et al: Trachoma therapy with topical tetracycline and oral erythromycin: a comparative trial. Bull World Health Organ 60:347, 1982

86. Darougar S, Jones BR, Viswalingam N, et al: Topical therapy of hyperendemic trachoma with rifampacin, oxytetracycline or spiramycin eye ointment. Br J Ophthalmol 64:37, 1980

87. Schachter J, West SK, Mabey D, et al: Azithromycin in control of trachoma. Lancet 354:6301999

88. Lietman T, Porco T, Dawson C, et al: Global elimination of trachoma: how frequently should we administer mass chemotherapy?Nat Med 5:492, 1999

89. Fry AM, Jha HC, Lietman TM, et al: Adverse and beneficial secondary effects of mass treatment with azithromycin to eliminate blindness due to trachoma in Nepal. Clin Infect Dis 35:395, 2002

90. Reacher MH, Munoz B, Alghassany A, et al: A controlled trial of surgery for trichiasis of the upper lid. Arch Ophthalmol 110:667, 1992

91. Bowman RJC, Faal H, Jatta B, et al: Longitudinal study of trachomatous trichiasis in the Gambia: barriers to acceptance of surgery. Invest Ophthalmol Vis Sci 43:936, 2002

92. Mabey D, Bailey R: Eradication of trachoma worldwide. Br J Ophthalmol 83:1261, 1999

93. Schachter J, Arnstein P, Dawson CR, et al: Human follicular conjunctivitis caused by infection with a psittacosis agent. Proc Soc Exp Biol Med 127:292, 1968

94. Lietman T, Brooks D, Moncada J, et al: Chronic follicular conjunctivitis associated with Chlamydia psittaci or Chlamydia pneumoniae. Clin Infect Dis 26:1335, 1998

95. Kowalski RP, Harwick JC: Incidence of Moraxellaconjunctivitis infection. Am J Ophthalmol 101:437, 1986

96. Parinaud H: Conjunctivite infectieuse araissant transmise a l'homme par les animaux. Bull Xoc Ophtalmol Paris 2:29, 1889

97. Carithers HA: Cat-scratch disease: an overview based on a study of 1200 patients. Am J Dis Child 139:1124, 1985

98. Cunnigham ET, Keohler JE: Ocular bartonellosis. Am J Ophthalmol 130:340, 2000

99. Madu AA, Mayers M: Ocular manifestation of systemic infections. Curr Opin Ophthalmol 6:88, 1995

100. Labalett P, Bermond D, Vedes V, et al: Cat-scratch disease neuroretinitis diagnosed by a PCR approach. Arch Ophthalmol 132:575, 2001

101. Margileth AM: Antibiotic therapy for cat-scratch disease: clinical study of therapeutic outcome in 268 patients and a review of the literature. Pediatr Infect Dis J 11:474, 1992

102. Steere AC, Malawista SE, Snydman DR, et al: Lyme arthritis: an epidemic of oligoarticular arthritis in children and adults in three Connecticut communities. Arthritis Rheum 20:7, 1977

103. Mombaerts IM, Maudgal PC, Knockaert D: Bilateral follicular conjunctivitis as a manifestation of Lyme disease. Am J Ophthalmol 112:96, 1991

104. Orlin SE, Lauffer JL: Lyme disease keratitis. Am J Ophthal 107:678, 1988

105. Fiore PM, Jacobs IH, Goldberg DB: Drug-induced pemphigoid. A spectrum of diseases. Arch Ophthalmol 105:1660, 1987

106. Adkins JC, Balfour JA: Brimonidine: a review of its pharmacological properties and clinical potential in the management of open-angle glaucoma and ocular hypertension. Drugs Aging 12:225, 1998

107. Wilson FM: Adverse external ocular effects of topical ophthalmic therapy: an epidemiological, laboratory and clinical study. Trans Am Ophthalmol Soc 81:854, 1983

108. Curtin BJ, Theodore FH: Ocular molluscum contagiosum. Am J Ophthalmol 39:302, 1955

109. Pettit TH, Holland GM: Chronic keratoconjunctivitis associated with ocular adenoviral infection. Am J Ophthalmol 88:748, 1979

110. Darougar S, Quinlan MP, Gibson JA, et al: Epidemic keratoconjunctivitis and chronic papillary conjunctivitis in London due to adenovirus type 19. Br J Ophthalmol 61:76, 1977

111. Stenson S: Cytologic diagnosis. In: Laboratory Diagnosis in Ophthalmology. New York, Macmillan, 1987

112. Kobayashi TK, Sato S, Tsubota K, et al: Cytological evaluation of adenoviral follicular conjunctivitis by cytobrush. Ophthalmologica 202:156, 1991

113. Cvenkel B, Globocnik M: Conjunctival scrapings and impression cytology in chronic conjunctivitis. Correlation with microbiology. Eur J Ophthalmol 7:19, 1997

114. Drew WL, Stevens GR: How your laboratory should perform viral studies: isolation and identification of commonly encountered viruses. Lab Med 11:14, 1980

115. Madhavan HN, Rao SK, Natarajan K, et al: Evaluation of laboratory tests for diagnosis of chlamydial infections in conjunctival specimens. Indian J Med Res 100:5, 1994

116. Schachter J, Moncada I, Dawson CR, et al: Nonculture methods for diagnosing chlamydial infection in trachoma: a clue to the pathogenesis of the disease?J Infect Dis 158:1347, 1988

117. Horn JE, Quinn T, Hammer ML, et al: Use of nucleic acid probes for the detection of sexually transmitted agents. Diagn Microbiol Infect Dis 34(suppl):101, 1986

118. Horn JE, Hammer ML, Falkow S, et al: Detection of Chlamydia trachomatis in tissue culture and cervical scrapings by in situ DNA hybridization. J Infect Dis 153:1155, 1986

119. Lee SF, Pepose JS: Sandwich enzyme immunoassay and latex agglutination test for herpes simplex keratitis. J Clin Microbiol 28:785, 1990

120. Rao NA: A laboratory approach to rapid diagnosis of ocular infections and prospects for the future. Am J Ophthalmol 107:283, 1989

121. Baveja UK, Hiranandani MK, Talwar P, et al: Laboratory techniques for diagnosis of chlamydial infections of the eye. J Commun Dis 29:247, 1997

122. Numazaki K, Chiba S, Aoki K: Evaluation of serological tests for screening of chlamydial eye diseases. In Vivo 13:235, 1999

123. Wiley L, Springer D, Kowalski RP, et al: Rapid diagnostic test for ocular adenovirus. Ophthalmology 95:431, 1988

124. Bryden AS, Bertrand J: Diagnosis of adenovirus conjunctivitis by enzyme immunoassay. Br J Biomed Sci 53:182, 1996

125. Uchio E, Aoki K, Saitoh W, et al: Rapid diagnosis of adenoviral conjunctivitis on conjunctival swabs by 10-minute immunochromatography. Ophthalmology 104:1294, 1997

126. Zhang W, Wu Y, Zhao J: Rapid diagnosis and treatment of chlamydial conjunctivitis. Chin Med J (Engl) 108:138, 1995

127. Kowalski RP, Gordon YJ, Romanowski EG, et al: A comparison of enzyme immunoassay and polymerase chain reaction with the clinical examination for diagnosing ocular herpetic disease. Ophthalmology 100:530, 1993

128. Bersudsky V, Rehany U, Tendler Y, et al: Diagnosis of chlamydial infection by direct enzyme-linked immunoassay and polymerase chain reaction in patients with acute follicular conjunctivitis. Graefes Arch Clin Exp Ophthalmol 237:617, 1999

129. Talley AR, Garcia-Ferrer F, Laycock KA, et al: Comparative diagnosis of neonatal chlamydial conjunctivitis by polymerase chain reaction and McCoy cell culture. Am J Ophthalmol 117:50, 1994

130. Talley AR, Garcia-Ferrer F, Laycock KA, et al: The use of polymerase chain reaction for the detection of chlamydial keratoconjunctivitis. Am J Ophthalmol 114:685, 1992

131. Hammerschlag MR, Roblin PM, Gelling M, et al: Use of polymerase chain reaction for the detection of Chlamydia trachomatis in ocular and nasopharyngeal specimens from infants with conjunctivitis. Pediatr Infect Dis J 16:293, 1997

132. Kowalski RP, Uhrin M, Karenchak LM, et al: Evaluation of the polymerase chain reaction test for detecting chlamydial DNA in adult chlamydial conjunctivitis. Ophthalmology 102:1016, 1995

133. Bailey RL, Hampton TJ, Hayes LJ, et al: Polymerase chain reaction for the detection of ocular chlamydial infection in trachoma-endemic communities. J Infect Dis 170:709, 1994

134. Elnifro EM, Storey CC, Morris DJ, et al: Polymerase chain reaction for detection of Chlamydia trachomatis in conjunctivalswabs. Br J Ophthalmol 81:497, 1997

135. Morris DJ, Bailey AS, Cooper RJ, et al: Polymerase chain reaction for rapid detection of ocular adenovirus infection. J Med Virol 46:126, 1995

136. Kinchington PR, Turse SE, Kowalski RP, et al: Use of polymerase chain amplification reaction for the detection of adenoviruses in ocular swab specimens. Invest Ophthalmol Vis Sci 35:4126, 1994

137. Pring-Akerblom P, Trijssenaar FE, Adrian T, et al: Multiplex polymerase chain reaction for subgenus-specific detection of human adenoviruses in clinical samples. Med Virol 58:87, 1999

138. Dalapathy S, Lily TK, Roy S, et al: Development and use of nested polymerase chain reaction (PCR) for the detection of adenovirus from conjunctivitis specimens. J Clin Virol 11:77, 1998

139. Takeuchi S, Itoh N, Uchio E, et al: Serotyping of adenoviruses on conjunctival scrapings by PCR and sequence analysis. J Clin Microbiol 37:1839, 1999

140. Cooper RJ, Yeo AC, Bailey AS, et al: Adenovirus polymerase chain reaction assay for rapid diagnosis of conjunctivitis. Invest Ophthalmol Vis Sci 40:90, 1999

141. Saitoh-Inagawa W, Oshima A, Aoki K, et al: Rapid diagnosis of adenoviral conjunctivitis by PCR and restriction fragment length polymorphism analysis. J Clin Microbiol 34:2113, 1996

142. Robert PY, Traccard I, Adenis JP, et al: Multiplex detection of herpesviruses in tear fluid using the “stair primers” PCR method: prospective study of 93 patients. J Med Virol 66:506, 2002

143. Hidalgo F, Melon S, de Ona M, et al: Diagnosis of herpetic keratoconjunctivitis by nested polymerase chain reaction in human tear film. Eur J Clin Microbiol Infect Dis 17:120, 1998

144. Kowalski RP, Gordon YJ, Romanowski EG, et al: A comparison of enzyme immunoassay and polymerase chain reaction with the clinical examination for diagnosing ocular herpetic disease. Ophthalmology 100:530, 1993

Back to Top