Chapter 19
Herpes Simplex Keratitis
DENIS M. O'DAY
Main Menu   Table Of Contents

Search

HERPES SIMPLEX VIRUS
HERPES SIMPLEX VIRUS INFECTION
PRIMARY HERPES
RECURRENT HERPES SIMPLEX
COMPLICATIONS
REFERENCES

Infection of the cornea with Herpesvirus hominis can present the ophthalmologist with a number of challenging and difficult problems. Much of what is known of the virus and its relationship to humans, its natural host, has been accumulated as a result of intensive research in the fields of virology and immunology. Gaps in our knowledge still exist and as these gaps narrow, our principles and methods of treatment will change.

In Western countries, infection with herpesvirus is almost universal. By early adult life, neutralizing antibodies are present in up to 90% of the population. Peaks of primary infections occur during infancy and adolescence, but sporadic cases are seen in the neonatal period and throughout adult life. In the majority, the primary infection is subclinical or goes undiagnosed. The disease usually runs a self-limited course but occasionally has a fatal outcome. With healing of the primary infection, the body is apparently free of disease; however, the virus has not been eliminated. Instead, having established a foothold, it persists permanently in an almost perfect symbiotic relationship that is marred by recurrent disease when the virus is reactivated from its apparent latent state.

Primary ocular herpes usually occurs as an acute follicular conjunctivitis with regional lymphadenitis and usually with vesicular ulcerative blepharitis. Most patients also have an epithelial keratitis, which persists somewhat longer than the conjunctivitis. Only rarely is there significant stromal involvement.

Recurrent episodes are a different problem. In these, the cornea is the principal target tissue. Males are infected twice as often as females, and attacks, although occurring all year, tend to be more frequent in autumn and winter. The most common form is the morphologically characteristic epithelial keratitis (dendritic, geographic, or punctate). Initially, there may be no serious sequelae to infection, but with repeated attacks, stromal keratitis, and associated uveitis may appear. Alternatively, disciform keratitis or other more heavily infiltrated stromal keratitis may develop without apparent preceding epithelial herpetic keratitis. When stromal keratitis supervenes, permanent structural damage to the cornea and to the rest of the eye exacts a heavy toll on vision. It is this effect, coupled with chronicity and resistance to treatment, that makes herpes simplex one of the most important viruses to affect the eye.

Back to Top
HERPES SIMPLEX VIRUS

MORPHOLOGY

Herpes simplex virus (HSV) is a member of the Herpesviridae family. The virion is 180 nm in diameter. It is composed of four principal components: the core, the capsid, the tegument, and the envelope (Fig. 1).

Fig. 1 Schematic morphology of herpes simplex virus. (Published courtesy of Liesegang TJ: Biology and molecular aspects of herpes simplex and varicella-zoster virus infections. Ophthalmology 99: 781, 1992)

Core

The viral core contains double-stranded DNA used for viral replication. The viral genome has a molecular weight of 100 × 10,1,2 large enough to encode approximately 70 proteins and 72 genes.3 The viral DNA molecule is arranged as a double helix composed of two chains of repeating units of deoxyribose and phosphate, with purine and pyrimidine bases extending sideways from the sugar. The purine bases are guanine and adenine, whereas the pyrimidine are cytosine and thymine. The chains are linked together by the pairing of protruding bases to form the double helix. All the information required for virus replication is inscribed on the DNA molecule in a code constructed according to the order of repetition of the four bases. The physical form of the DNA of the virion in the replicating and latent virus is different. In the virion form of the virus, the DNA is linear but after infecting a cell it becomes circular. The viral DNA contains several classes of genes that encode regulatory proteins, structural proteins, and enzymes that are spread in a highly regulated fashion during the replicative cycle.4 Latency-associated transcripts (LATs) represent limited transcription of viral DNA during latency and serve as a marker for latently infected cells.3

Capsid

The viral DNA is enclosed within a protein shell with an icosahedral shape called a capsid. The capsid is composed of 162 five- or six-sided subunits called capsomeres.3 In addition to protecting the viral genome, the capsid allows entry of the viral DNA into the host cell.

Tegument

A region of amorphous protein called the tegument lies between the capsid and the outer envelope. Tegument proteins, in association with cellular factors, play a role in inducing transcription of viral proteins5 and modulate host protein production.3

Outer Envelope

An essential component of the infective particle is the outer envelope. The envelope is composed of lipoproteins, carbohydrates, and lipids that have been derived from the host cell and have been modified by the viral protein.3,4 Embedded within the envelope and projecting from the external surface are glycoprotein subunits called peptomers, which play a role in viral attachment and penetration into the host cell.2,3

PATHOGENICITY

The virus shows a tropism for human tissues of ectodermal origin. In addition to the ocular infection and the well-known skin and mucous membrane lesions, herpes is responsible for a meningoencephalitis and has been associated with trigeminal neuralgia. In disseminated infections, it may replicate in liver, adrenal, and lung parenchyma.

REPLICATIVE CYCLE

HSV is an obligate intracellular parasite. Although it contains the genetic material necessary to induce its own replication, it does not have the metabolic machinery necessary for biomolecular synthesis. It enters the host cell and uses the host cell metabolic pathways, often causing destruction of the host cell. The replicative cycle has three phases: entry, eclipse, and envelopment and release.

Entry Phase

The host cell and the virus come in contact and bind by means of specific cell surface glycosaminoglycans, principally heparan sulfate.2,6 Lytic genes are expressed, and the virus enters the cell fusion of the virion envelope with the cell's plasma membrane. It then penetrates the host cell cytoplasm in a pinocytotic vesicle, where the envelope is removed. Enzymatic digestion results in uncoating of the capsid. The bare viral capsid moves to the host cell nuclear pore, where it is disassembled and the viral DNA released.

Eclipse Phase

The eclipse phase of the replicative cycle is characterized by intense molecular activity within the host cell nucleus and loss of recognizable viral morphology. The viral DNA unwinds and is transcribed by messenger RNA, which in turn directs viral protein synthesis within the ribosome. Enzymes, structural proteins, and regulatory proteins are produced. Most of the proteins are returned to the nucleus. DNA replication and capsid reassembly occur there.

Envelopment and Release

Within 6 hours of entry, fully enveloped particles are detectable in the cells. The new viral particle is enclosed by the envelope, which is primarily derived from a nuclear membrane as it leaves the nucleus and enters the cytoplasm. The mature infected virus negotiates the cell membrane by a process of reverse phagocytosis to reach the extra cellular space. The cycle is now complete.7

SEROTYPES

On the basis of site of isolation from the body and cell culture characteristics, two types of herpes simplex virus can be distinguished. HSV-1 characteristically produces oral, facial, and ocular lesions. It is responsible for 85% of ocular isolates. HSV-2 serotype has conventionally been associated with the sexually transmitted form of the disease. It is responsible for ocular disease in neonatal herpes simplex keratitis but in only minority of adult ocular infections. Simultaneous keratitis infection with both HSV-1 and HSV-2 has been described in a patient with acquired immune deficiency syndrome (AIDS).8

Back to Top
HERPES SIMPLEX VIRUS INFECTION

EPIDEMIOLOGY

Humans are the only natural host of HSV, although experimental infection can be produced in a variety of animals, including rabbits, mice, and primates. Persons infected with the virus constitute the sole reservoir of infection. Humans are extremely susceptible to infections with Herpesvirus. Given this highly susceptible host, poor sanitary conditions and overcrowding greatly predispose to infection. Studies of the presence of neutralizing and complement-fixing antibody within different socioeconomic groups as an index of infection have underlined this relationship. In the lower socioeconomic groups in the United States, 80% of individuals have antibodies. This contrasts with 50% of those more economically advantaged.9 As standards of living increase, an increase in the number of susceptible adults can be anticipated, with a subsequent increase in the incidence of adult primary herpes simplex.

Transmission of HSV-1, which is responsible for the vast majority of facial and ocular herpetic infections, occurs either from direct contact or via contaminated secretions. It has been shown that virus particles are shed intermittently or chronically in tears,11 saliva,12 and respiratory secretions,13 as well as from the genital tract in the absence of overt disease.

Mechanisms of spread from the portal of entry are not known precisely, but a viremia appears likely and has been demonstrated in severe conditions on a number of occasions. The incubation period of HSV-1 is 3 to 9 days.14 The overwhelming majority of primary infections occur in infancy and adolescence, but sporadic cases of primary infection occur among susceptible individuals throughout adult life. The primary infection is subclinical in 85% to 90% of cases.15 A positive titer of serum-neutralizing antibodies is noted by 1 week after the primary infection. The titer then diminishes but remains positive throughout life. Complement-fixing antibody follows a similar pattern but is more variable during asymptomatic periods. Occasionally, primary HSV-1 is ocular and causes lid vesicles, ulcerative blepharitis, keratitis, and conjunctivitis.

Infected persons become carriers of the disease by transneuronal spread of the virus into the neural ganglia. The virus persists there in a quiescent state called latency that may be interrupted by periods of localized recurrence. A variety of endogenous and exogenous stimuli, such as strong sunlight, fever, menstruation, and psychiatric disturbances can serve as triggers of reactivation. In addition, reactivation in the cornea can be precipitated by local factors, one of which has been shown to be exposure to excimer laser irradiation during refractive surgery.

Ocular herpetic involvement is less common than systemic infection. Projections from a prevalence study in the northern United States to the whole country suggest a total of approximately 20,000 new cases per year and 400,000 with a diagnosis of ocular herpes simplex.18

Herpes simplex infection is the most common cause of corneal blindness in developed countries.

An initial episode of HSV-1 epithelial keratitis has a 25% recurrence risk within 2 years. A second episode has a 43% recurrence risk.13 Recurrence occurs in the eye originally infected in the majority of cases, although involvement is bilateral in approximately 11% of cases.3

PATHOGENESIS AND LATENCY

The pathogenesis of human herpes simplex ocular infection exhibits two critical features: complexity and diversity. This is demonstrated in the marked differences in pathogenesis between primary and recurrent ocular disease. It is also apparent in the many different forms of ocular disease that result from the complex interplay of viral replication, host defense systems, and tissue reparative responses. Further confusion arises for the ophthalmologist in the management of herpetic eye disease: appropriate therapy for one clinical form of disease may be absolutely contraindicated in another clinical form.

The natural history of HSV-1 infections in humans is generally characterized by an initiating childhood infection, which may present as a nonspecific upper respiratory infection or may be totally asymptomatic. Goodpasture20 in 1929 and subsequently others21,22 postulated that the virus gained access to the central nervous system during the primary infection by moving centripetally along sensory nerves to the sensory ganglia. In 1973, Cook and Stevens24 confirmed the concept of retrograde axonal transport and latency in ganglia.

The process leading to latency is now understood to occur in three stages: Entry, Spread and Establishment of latency. Entry defines the time of the primary infection. Spread is the phase during which the virus moves to the terminal axons of the sensory neurons and then, by retrograde axonal transport to the neuronal cell bodies in sensory and autonomic ganglia where there may be further viral replication. In the final stage, Establishment of latency, lytic gene expression is suppressed and virions cannot be detected. However, the viral genome persists in the neuron.

Under the influence of various stimuli, control of latency breaks down and viral replication begins again in the ganglia with spread to peripheral sites where replication may also occur.25

The mechanisms by which the virus maintains latency and is ultimately altered to cause recurrent disease are only partially understood. While in the latent state, viral gene expression is suppressed almost totally. Viral structural component and infectious viral particles are not produced, although virus can be detected by cell culture explantation techniques. However, viral RNA molecules called LATs3,5,26 are transcribed. The LATs serve as useful markers for latent HSV infection. LATs may play a role in reactivation.

There is also evidence to suggest that latent infection can occur at ocular sites such as endothelial cells or keratocytes.27–30 This has raised the question of whether extraganglionic latency occurs within the cornea. HSV-1 DNA sequences have been identified in some human corneas that do not have any history of herpetic eye disease5,27; however, the existence of corneal latency has not been firmly established. The possibility of corneal latency has important clinical ramifications for it would allow for viral reactivation and replication within the cornea without ganglionic HSV reactivation.

Recurrent clinical disease apparently occurs when local host defenses in the eye are unable to control the virus, or there is a break in the epithelial barrier function. It is clear that recurrent clinical disease occurs despite systemic humoral and cell-mediated immunity against the virus.

Interactions

Strain variations in HSV appear to affect reactivation. Certain strains are associated with high recurrence rates.31 Genetic differences among strains appear to affect the clinical manifestations of infection, including the morphology of an epithelial dendrite. Certain strains are more likely to produce stromal disease and this has been correlated with the amount of glycoprotein produced during infection.32,33 The impact of corticosteroids on the course of the epithelial infection also appears to be strain related.34 Corticosteroids may lead to an increased duration of herpetic disease by interrupting the immune system, but it is unlikely that they induce viral reactivation.

The host response to the virus plays a role in the disease process. However, the importance of individual host differences in determining the course of infection is unclear. For unknown reasons, herpetic infection does appear to be more common in patients with atopic disease.15

MANAGEMENT

Treatment of herpes simplex keratitis should be tailored according to the clinical form of herpetic disease that is present. Purely epithelial herpes simplex keratitis is typically managed with topical antiviral agents with or without debridement. The management of stromal and disciform endotheliitis is more complex and usually involves both antiviral and anti-inflammatory measures. Surgery may be necessary in more severe forms of this disease. Specific therapy for each of these entities is discussed in detail in the following sections.

In general, a rational approach to therapy for ocular herpes simplex disease should include:

  1. Minimize permanent ocular damage from each recurrent episode.
  2. Avoid iatrogenic disease.
  3. Counter the socioeconomic effects of a chronic debilitating disorder.

Such an approach is possible only if the ophthalmologist maintains a clear perspective of the chronic, recurring, progressive course of this disease. The nature of herpetic keratitis is such that these aims are often in conflict. The topical antiviral agents used are inherently toxic and the vigilance needed to manage the patient carefully for protracted periods of time is demanding, as well as potentially socially and economically crippling. Only currently established methods of treatment are included here. Controversial therapies and drugs, given the experimental stage of development, are not discussed.

Antiviral Measures

MECHANICAL DEBRIDEMENT

At one point, mechanical debridement was the only effective means of treating epithelial herpes. Even with the advent of antiviral agents, it remains a useful, safe, and sometimes preferred alternative.35 The removal of virus-replicating epithelium abolishes the source of infection for other cells and eliminates an antigenic stimulus to inflammation in the adjacent stroma.

Debridement should be performed at the slit lamp or operating microscope, with the use of topical anesthesia. Controlled removal of the lesion is best achieved by gentle debridement along the margins of the epithelial ulcer with a tightly rolled cotton-tipped applicator. With this technique, known as minimal wiping debridement, the virus-infected cells are removed while healthy epithelium is left intact.36 Sharp knife blades should not be used because of the risk of creating a portal of entry into the stroma through damage to underlying Bowman's layer. Recrudescence of viral replication occasionally occurs and can be treated by repeat debridement or administration of an antiviral agent. Chemical virucidal agents, such as phenol 10%, have been advocated to sterilize the freshly debrided ulcer margins but are unnecessary. Scrubbing the bare surface is injurious, and iodine is damaging, especially to diseased corneal stroma.

CHEMOTHERAPY.

Idoxuridine (IDU), the first antiviral drug to become available for topical ophthalmic use, is a substituted pyrimidine nucleoside that resembles thymidine (Fig. 2).It is phosphorylated to the nucleotide and incorporated into the DNA of all cells, where it interferes with DNA interactions.

Fig. 2 Chemical structures of A thymidine, B Idoxuridine, C vidarabine, and D acyclovir.

Disadvantages include poor corneal penetration,37 lack of selectivity for virus-infected cells, and toxicity. In the majority of patients, the earliest signs of toxicity are recognizable after 2 weeks of therapy. These include punctate keratoplasty, burning, injection, irritation, lacrimation, hypersensitivity, and punctal stenosis (Table 1).

 

TABLE 1. IDU Toxicity*


RegionSigns
 Fine punctate keratopathy
CorneaCorneal filaments
 Retardation of epithelial healing
 Indolent ulceration
 Superficial vascularization (late)
 Superficial stromal opacification
ConjunctivaChemosis
 Congestion
 Perilimbal edema
 Perilimbal filaments
 Punctate staining with rose bengal
 Follicles in lower tarsus
Lid marginPunctal edema → occlusion (may be irreversible)
 Edema of orifices of meibomian glands
LidsPtosis

*Other currently available antiviral agents exhibit similar toxicities, although trifluridine is less toxic than IDU or vidarabine; contact allergy to each of these drugs is also possible.
IDU, idoxuridine.

 

Vidarabine, first synthesized in the early 1960s, is a purine nucleoside analogue with in vitro activity against Herpesvirus and certain other DNA viruses. Cellular enzymes convert vidarabine to the triphosphate form, which acts as a competitive inhibitor of DNA polymerase. Corneal penetration is poor but better than that of IDU. Because vidarabine does not selectively inhibit virally induced enzymes, there is potential for cellular toxicity. It is probably less toxic than IDU. Vidarabine is available as a 3% ophthalmic ointment, and the usual dose is five times per day. Collaborative studies have indicated that vidarabine is effective in the therapy of epithelial herpetic disease.38 As with IDU, resistant strains exist, but cross-resistance has not been observed. Hypertrophic epithelial changes similar to those seen with IDU occur, and some hypersensitivity reactions have been reported.

Trifluridine, a thymidine analogue that inhibits thymidylate synthetase, is incorporated in both viral and cellular DNA. It is semi selective, interfering with viral metabolism in preference to normal cellular metabolism, and is thus less toxic than IDU. Trifluridine is 10 times more soluble in water than IDU and is available as a 1% drop. Studies have shown the healing time for active epithelial ulcers to be better than that with IDU and comparable to that with vidarabine.12 When used in higher doses for prolonged periods of time, toxicity does develop, producing changes similar to those seen with IDU, although not as severe.

Acyclovir is an acyclic analogue of guanosine and is the prototype of the generation of specific antiviral drugs that are activated by a viral thymidine kinase to become potent inhibitors of viral DNA polymerase. The selectivity of acyclovir for virus-infected cells is approximately 200 times that for normal cells. Its antiviral spectrum is limited to the herpes group and excludes vaccinia, adenovirus, and RNA viruses.39 Acyclovir is available in the United States in oral and intravenous forms, and as a topical dermatologic ointment. Topical 3% acyclovir ointment for ophthalmic use (not commercially available in United States) can penetrate the cornea to reach the anterior chamber.40,41 It has been shown to be effective in the treatment of HSV epithelial keratitis.40,41

Oral acyclovir in a dosage of 400 mg five times per day results in therapeutic levels in the aqueous42 and tear fluid.43,44

In a recent analysis of 97 randomized treatment trials for herpes simplex epithelial keratitis comparing the efficacy of topical or oral antiviral agents with or without debridement, Wilhelmus45 concluded that vidarabine, trifluridine and acyclovir are effective and nearly equivalent. In contrast to treatment with idoxuridine, treatment with vidarabine, trifluridine or acyclovir resulted in a significantly greater proportion healing in one week. The combination of a nucleoside and debridement seemed to hasten healing.45

Valcyclovir is the L-valyl ester prodrug of acyclovir with enhanced bioavailability and significantly greater plasma concentrations of acyclovir than can be achieved with oral acyclovir.46 Although there are reports of animal studies, no case series or controlled trials have been published.

Anti-inflammatory Measures

Administration of topical corticosteroid is contraindicated in the treatment of herpes simplex epithelial keratitis. In the management of HSV stromal and disciform endotheliitis, topical corticosteroid therapy combined with prophylactic antiviral cover is a typical form of treatment. Controversial aspects of corticosteroid therapy is discussed in detail below.

It is logical to limit inflammatory response in the cornea, because this is largely responsible for the destructive effects of herpetic infections. This inflammation has an immunologic basis and might therefore be combated by systemic and local immunosuppressive measures. For herpetic disease, the disadvantages and the dangers of systemic immunosuppressive therapy make its use undesirable.

Corticosteroids can modify the immune response in a number of ways. Applied locally in the cornea, their effect seems to be chiefly on the efferent arc, possibly inhibiting chemotaxis and degranulation of polymorphonuclear leukocytes. Although they also inhibit local antibody production to some degree, their influence on the afferent arc and central responses is probably less important. Corticosteroids appear to have more effect on hypersensitivity reactions mediated by humoral antibody than by cell-mediated immunity, although their action in controlling corneal allograft reactions suggests that they may block such reactions by causing destruction of sensitized lymphocytes.

Steroids are associated with a number of complications that tend to diminish their effectiveness and at times prohibit their use:

  1. Enhancement of viral replication. Steroids clearly foster Herpesvirus replication in the corneal epithelium once this has been initiated. For this reason they must never be used in the treatment of epithelial herpes. The demonstration of replicating virus in corneal stroma and deeper ocular tissues by electron microscopy suggests that steroids may also enhance virus replication in these tissues. There is as yet no conclusive evidence of this, and experiments in animals have yielded conflicting results.47 Nevertheless, in the absence of an antiviral agent that can effectively penetrate the corneal stroma, the possibility of enhancement of virus replication must cause concern.
  2. Secondary infection. The immunosuppressive effects of steroids may allow bacteria and fungi to proliferate in the absence of specific therapy.
  3. Elevation of intraocular pressure. Prolonged administration produces an elevation in intraocular pressure in some patients. In our experience, the latent period before the pressure begins to rise can be quite variable and may be prolonged. The effects of an unrecognized pressure elevation in an already diseased eye are devastating.
  4. Cataract formation. Posterior subcapsular cataracts that may progress to complete lens opacities have been associated with systemic steroids. However, prolonged local administration is also a risk factor for cataract.
  5. In the presence of an inflammatory stimulus such as residual herpes simplex antigen, a rebound in the inflammatory response almost invariably follows the cessation or too rapid reduction in the topical steroid therapy. As a consequence of the removal of steroid, immature leucocytes proliferate and produce antibody in large amounts. Antibody complexes with antigen and the resulting inflammatory cascade leads to invasion of the cornea by a new wave of polymorphonuclear leucocytes. This inflammatory rebound may lead to rapid deepening of corneal ulceration and perforation. Clinically, the exacerbation in corneal inflammation may be mistaken for deteriorating underlying disease.48

It is clear that steroids are dangerous preparations in inexperienced hands because they introduce new hazards to an already complex and difficult situation. Nevertheless, they are the only effective anti-inflammatory agent available. It is mandatory that the clinician be constantly aware of these hazards. The haphazard administration of steroids in poorly monitored patients contributes significantly to the disastrous sequelae of this disease.

Back to Top
PRIMARY HERPES

CLINICAL MANIFESTATIONS

Primary ocular herpes is predominantly a disease of infants and young adults, but it can occur sporadically at all ages. Neonatal infection is caused by HSV-2 in approximately 80% of cases. The scant emphasis that primary herpetic infection has received in the literature is regrettable in view of its importance as a cause of follicular conjunctivitis or keratoconjunctivitis.11 These conditions remain largely unrecognized, therefore, affected patients may be exposed unwittingly to the hazards of corticosteroid administration.

Although this section is principally concerned with the keratitis that often follows primary follicular conjunctivitis, it would be unrealistic to consider it as an entity distinct from the primary syndrome. Symptoms of infection appear 2 to 12 days after contact with an infected individual (although not necessarily one with an active lesion). In contrast to the recurrent form of the disease, there is mild malaise and fever, indicating a constitutional illness. Conjunctival injection, irritability and watery discharge are typically unilateral and rarely severe. The patient or parents, whose chief concern may be the skin lesions adjacent to the eye, may not even mention the ocular disease.

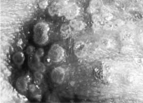
The follicular conjunctivitis of primary herpes is associated with a regional adenitis. Typically, the ipsilateral preauricular lymph node is slightly enlarged and a little tender. Swollen lids and a primary skin lesion are often readily apparent (Figs. 3 and 4), but on occasion only a careful search will reveal the single or grouped vesicles of crusted ulcers (Figs. 5 and 6) hidden among the lashes or in the intermarginal strip. Similar lesions may be located elsewhere on the face or at the mucocutaneous junction of the mouth, in the nose, or on the trunk, and they may be easily missed unless a specific search is made. In nearly one fourth of cases, no cutaneous lesions are present.35 The conjunctiva is injected and edematous. Follicles develop, especially in the fornices, and extend to the tarsal areas (Fig. 7);they rarely occur at the limbus. Small subconjunctival ecchymoses are not uncommon and phylectenule-like lesions may develop on the globe (Fig. 8).

Fig. 3 Child with primary ocular herpes. (Courtesy of Dr. S. Darougar)

Fig. 4 Primary herpetic blepharoconjunctivitis in an adult.

Fig. 5 Herpetic ulcer on lid margin in a patient with primary herpes. (Courtesy of Dr. S. Darougar)

Fig. 6 Umbilicated primary herpetic lesions at the inner canthal area. (Courtesy of Dr. S. Darougar)

Fig. 7 Acute follicular conjunctivitis in primary herpetic infection: A Upper tarsus, B Upper fornix, C Lower fornix. (Courtesy of Dr. S. Darougar)

Fig. 8 Chemosis and ecchymosis of bulbar conjunctiva. (Courtesy of Dr. S. Darougar)

Within 2 weeks, approximately half of these patients develop corneal lesions associated with only relatively minor symptoms: a little grittiness, photophobia, and blurring of vision. Initially these lesions are epithelial and present a variety of appearances.

A fine punctate epithelial keratitis, consisting of tiny white flecks in the superficial layers that stain poorly with fluorescein and variably with rose bengal, may be present. These are transient spots, only rarely progressing to larger lesions. As the flecks desquamate, fluorescein stains the flecks more intensively during the healing stages.

A coarse punctate epithelial keratitis presenting a variety of shapes (circles, ovals, irregular elongated areas, and stellate figures) may appear. Any of these lesions may progress to macroscopic dendritic figures. They consist of slightly raised, closed clusters of opaque epithelial cells, those in the periphery often being the most regularly arranged. These swollen white cells stain well with rose bengal but poorly with fluorescein. Typical herpetic intranuclear inclusions can be demonstrated in these cells (Fig. 9).Initially, there is no stromal reaction, but within 2 to 3 weeks, and sooner if the lesions are peripheral (and regardless of epithelial healing), subepithelial infiltrates appear.35

Fig. 9 Corneal epithelial cells stained in vivo with rose bengal in a child with coarse punctate corneal epithelial lesions of primary Herpesvirus infection. The cells were subsequently removed and counterstained with hematoxylin. Many stained cells are swollen and show eosinophilic intranuclear inclusions with margination of chromatin.

DIAGNOSIS AND DIFFERENTIAL DIAGNOSIS

The diagnosis can be made on clinical grounds alone in patients with typical cutaneous lid lesions or typical herpetic corneal lesions. In the absence of such lesions (approximately one fourth of all patients with primary herpetic conjunctivitis), laboratory investigations are essential for diagnosis. The differential diagnosis includes:

  1. Keratitis with lid lesions: zoster, chickenpox, molluscum contagiosum, and ulcerative blepharitis with keratitis caused by staphylococcal infection.
  2. Keratitis without lid lesions: vaccinia, adenoviral infections (types 3, 7, and 8 and 19), chlamydial infections, herpes zoster and Epstein-Barr keratitis.

LABORATORY INVESTIGATIONS

In most cases, laboratory confirmation of the clinical diagnosis is unnecessary. In the remainder, an attempt should be made to isolate the virus from untreated active lesions in skin and cornea and from the conjunctiva. Positive cultures may take from 2 to 5 days to develop.

Typical viral multinucleate giant cells may be demonstrated in Giemsa-stained scrapings of the base of cutaneous lesions on the lid. These are also seen in varicella or zoster.

The appearance of neutralizing and complement-fixing antibodies a week after the onset, followed by a rising titer for the next few weeks, is useful confirmatory evidence. The cytology of cornea and conjunctival scrapings is useful in conjunction with antibody levels but is not diagnostic.

MANAGEMENT

Therapy must be directed toward the elimination of virus from the cornea and adjacent skin lesions. It is essential that lid vesicles and ulcers be treated concurrently with the corneal disease because they are a potent source of virus that, being continually shed, can reinfect the cornea and vastly prolong the keratitis.

Trifluridine is instilled into the conjunctival sac fives times per day. An antiviral ointment (acyclovir) can be applied to the eyelid and adjacent skin lesions. Topical corticosteroids are contraindicated.

Systemic administration of acyclovir is recommended for neonatal infections because of the enhanced risk of systemic disease as a result of viral dissemination. In this age group, administration of eye drops can be difficult. The addition of systemic therapy has the added benefit of ensuring adequate therapeutic concentrations in the eye. In older children and adults with a primary infection, systemic therapy is usually unnecessary.

Since the advent of topical antiviral agents, debridement of the corneal epithelium is seldom performed but it remains an effective method of healing the corneal lesions. Solitary vesicles on the lids may be removed by general debridement with a cotton-tipped applicator moistened with phenol.

A cycloplegic may be prescribed when indicated to relieve photophobia or ciliary spasm. The use of Atropine should be avoided because of the risk of hypersensitivity. Scopolamine hydrobromide 0.25% twice daily or cyclopentolate hydrochloride 1% to 2% three times daily is usually effective. Patching is undesirable. However, wearing sunglasses may give symptomatic relief.

A return visit is advisable within 2 to 3 days in all but the mildest infections. Thereafter, patients can be seen weekly, provided recovery is uneventful. The administration of an antiviral agent must be continued until corneal and lid lesions are healed. Hospitalization is rarely necessary, except in patients with severe bilateral and secondary infections.

The following steps are necessary only when the diagnosis is in doubt.

VIRAL ISOLATION.

Cornea.

Gently swab the surfaces of the lesion with a dry, sterile, cotton-tipped applicator. Place the applicator in a viral transport medium for later inoculation into tissue culture. If cell lines of the culture are not immediately available, the specimen can be frozen at -4°C.

Conjunctiva.

Gently swab (or preferably scrape) the conjunctiva in a similar manner.

Lid lesions.

Unroof ulcers and vesicles with a fine needle tip prior to taking the specimen with a cotton-tipped applicator.

CYTOLOGY.

Gently scrape the opaque cells of the corneal lesion onto a glass slide, using a platinum spatula, Beaver blade, or Bard-Parker knife. This is best done under magnification, preferably at the slit lamp. Stain with Giemsa.

ANTIBODY TITERS.

On initial presentation, blood is drawn for neutralizing antibody titers. Two to 3 weeks later, another sample is assayed to determine whether the titer has risen.

BACTERIAL CULTURES.

Cultures of the eyelid lesions and conjunctival sac are desirable. They should be accompanied by direct smear if bacterial infection is suspected.

NATURAL COURSE AND VARIATIONS IN CLINICAL PRESENTATION

The epithelial lesions tend to heal, but additional crops may appear if active herpes persists untreated on the lids. The superficial stromal infiltrates may persist for several weeks before gradually resolving. Healing may be accompanied by superficial scarring in these sites. Occasionally, these stromal lesions progress to a frank disciform keratitis indistinguishable from the type usually associated with recurrent herpes.

Primary herpes uncommonly presents as a bilateral ocular disease, except in atopic individuals, who tend to have a more florid form of disease.49 In rare instances, the course of primary infection is severe: widespread herpetic infection in the face and trunk, often pustular and accompanied by a severe systemic illness, may supervene and is characteristic of Kaposi's varicelliform eruption. Encephalitis and hepatitis occur rarely but can be lethal, especially in infants.

COMPLICATIONS

Secondary bacterial infection occasionally supervenes. The appropriate antibiotic, the selection of which is made from the results of culture and sensitivity testing, best treats it locally. Severe cellulitis of the lids may require systemic antibiotics. Prophylactic antibiotics are unnecessary and may confuse the clinical picture. In atopic individuals, management can be difficult, because topical antivirals may not be tolerated. Careful debridement of the lesions is an alternative in these situations.

Permanent damage to the cornea is uncommon. Most of the opacification in the stroma seen during active infection is probably caused by temporary edema rather than scarring. Should stromal keratitis develop, it is treated in accordance with the principles of management of recurrent disease (discussed later). Transient superficial stromal infiltrates do not require treatment.

PROGNOSIS

Most primary infections respond rapidly to antiviral therapy with little or no sequelae and no loss of vision. Occasionally, the development of antiviral toxicity necessitates cessation of the drug therapy. Complications occur mainly in undiagnosed or ineffectively treated cases.

Back to Top
RECURRENT HERPES SIMPLEX
Recurrent HSV infection occurs as a result of reactivation of the virus in latently infected ganglia. Recurrent ocular HSV infection is thought to be caused by reactivation of the virus in the trigeminal ganglion. The virus travels down the nerve axon to the sensory nerve endings, where it is transferred to corneal epithelial cells and keratocytes. If favorable conditions exist in the epithelium, viral replication and cell lysis ensue, producing clinical disease. HSV-specific nucleic acid sequences have been detected, and HSV has been organ-cultured from corneal buttons excised from patients with chronic stromal keratitis. These patients had no active disease at the time that penetrating keratoplasty was performed. These data suggest that the human cornea may also be a site of latency and a potential source of recurring clinical ocular disease.50

There are several different types of recurrent ocular HSV infection, including dendritic and geographic epithelial keratitis, interstitial and necrotizing stromal keratitis, disciform endotheliitis, and uveitis.

EPITHELIAL KERATITIS

Pathology

In the corneal epithelium, normal epithelial cells are interspersed with balloon cells (cytoplasmic vacuolation with marginated chromatin). These balloon cells stain intensely with rose bengal in vivo and contain replicating virus. Syncytial multinucleate giant cells and occasionally epithelial cells with intranuclear eosinophilic inclusions are also seen. The leukocytes that are present are predominantly mononuclear. During a recurrent episode, the inflammatory cell type in the conjunctiva is also predominantly mononuclear with some admixture of polymorphonuclear leukocytes. Only occasionally are giant cells and inclusions seen. By contrast, in the initial stages of a primary infection, the predominant cell is the polymorphonuclear leukocyte. Only after several weeks does the mononuclear cell dominate the picture.

Initially, the epithelium is swollen along the margins of the dendritic ulcer because of intercellular and intracellular edema. The previously described general cytologic pattern is present and there are necrotic cells in the ulcer bed. These changes gradually progress to complete epithelial loss in some areas and the accumulation of inflammatory cells and debris. In the geographic type of ulcer, the changes are similar but more extensive.

In the early stages, the lesion is confined to the epithelium. However, with time the process spreads to involve the anterior stroma. Bowman's layer and the immediately adjacent stroma become edematous, necrotic in places, and infiltrated by a variable number of inflammatory cells, predominantly polymorphonuclear leukocytes.

Purely epithelial lesions heal rapidly and with little scarring; however, with stromal involvement superficial scarring occurs. Some degree of faceting is inevitable when there has been loss of corneal substance.

Clinical Manifestations

Patients with epithelial keratitis caused by HSV may be asymptomatic or may experience mild to severe foreign-body sensation, photophobia, redness, and blurred vision. After a number of episodes, the symptoms of foreign-body sensation are commonly muted by cornea hypoesthesia. Recurrent HSV epithelial keratitis typically has a classic dendritic (dichotomously branching) shape. The pathogenesis of the branching ulceration has not been elucidated. It may simply be a function of viral linear spread by contiguous cell-to-cell movement.

Initially, a plaque of opaque cells appears on the epithelial surface. Although usually dendritic, the shape may be coarsely punctate or stellate. Within a few days, the center of the plaque desquamates to form a linear, branching ulcer (Fig. 10) barely 0.1 mm wide with overhanging margins of swollen opaque cells (Fig. 11). The dendritic figure may be single or multiple; it can extend across the entire cornea but is usually considerably smaller (Fig. 12). At the ends of the branches terminal bulbs are typically seen. The cells lining the edge of the ulcer are laden with virus and stain brilliantly with rose bengal. Fluorescein stains the ulcer bed and seeps beneath the adjacent cells (Fig. 13). Several days after the appearance of the dendritic ulcer, infiltrate appears in the immediately subjacent stroma. It usually remains superficial and localized. In addition to these changes, scattered punctate epithelial erosions are common and evidence of past attacks in the form of superficial scars and superficial vascularization may be present (see Fig. 10). Although dendritic keratitis can occur at any location on the cornea, recurrences tend to affect the same areas noted in previous attacks. Initially, corneal hypoesthesia is focal, so a great proportion of the cornea appears unaffected. With repeated episodes, the loss of corneal sensation becomes more profound. Ulcerations can occasionally occur within 2 mm of the limbus. These lesions may not exhibit the typical features of a dendritic ulcer and may be mistaken for staphylococcal marginal keratitis. They tend to be more resistant to antiviral therapy than more centrally located herpetic infections.

Fig. 10 Linear dendritic ulcer stained with rose bengal.

Fig. 11 Macrophotograph of portion of a dendritic ulcer by retroillumination. Note opaque heaped-up cells along the ulcer margin. (Magnification × 10) (Courtesy of Mr. N. Brown)

Fig. 12 Extensive dendritic ulcer, stained with rose bengal, running around the margin of the corneal graft.

Fig. 13 Geographic ulcer stained with rose bengal and fluorescein. Rose bengal especially stains cells lining the ulcer margin. Note the greenish tinge in the central area of the ulcer and the green halo around the ulcer margin. This effect is caused by fluorescein seeping into bare stroma and under ulcer margins.

The disease process is usually confined to the cornea. However, ciliary injection can be quite intense and frequently appears out of proportion to the symptoms. Slight flare with an occasional cell is indicative of a mild uveal reaction, but keratic precipitates (KP) are uncommon. Concurrently with the corneal lesions, vesicles or ulcers can develop on the lids, face, mucocutaneous junction of the mouth, and nose or elsewhere.

Diagnosis and Differential Diagnosis

The true dendritic ulcer is pathognomonic and requires no laboratory confirmation. In cases in which there is doubt, viral isolation should be attempted. The differential diagnosis is extensive (Table 2).

 

TABLE 2. Differential Diagnosis of Dendritic Keratitis


Herpes zoster dendritic keratitis
Mucous plaques in herpes zoster ophthalmicus
Acanthamoeba keratitis
Contact lens keratopathy
Antiviral toxicity
Healing ruptured bleb
Recurrent erosion syndrome
Epstein Barr keratitis
Tyrosinemia type 11 (rare)
Vaccinia keratitis

 

Laboratory Investigation

In cases in which the diagnosis is in doubt, an attempt can be made to recover the virus from untreated corneal lesions. However, viral culture is expensive. It lacks some specificity because Herpesvirus can be recovered from the tear film in the absence of corneal epithelial disease. Examination of corneal scrapings may reveal typical cytology. Herpetic antigen can be detected in corneal scrapings by use of a fluorescein antibody staining technique. The polymerase chain reaction can also be used to identify herpetic nucleic acid. It is both sensitive and specific for Herpesvirus.

Conjunctival smears are not diagnostic, showing a nonspecific inflammatory response that is predominantly mononuclear in some cases but largely polymorphonuclear in others. Serum-neutralizing antibody titers are elevated but do not rise further during the recurrent episodes, whereas rising titers of complement-fixing antibody are sometimes found.

Management

As in primary herpes, the aim is the speedy elimination of virus from the epithelium to reduce the risk of significant stromal keratitis and to minimize scarring. The steps to be taken are listed below:

  • In most cases, all that is required to confirm the diagnosis is to stain the lesion with rose bengal, 1%.
  • In doubtful cases, consider scraping lesions for cytology, fluorescent antibody studies, or viral isolation. If there is any question of secondary bacterial infection, cultures can be made from the lid margins, conjunctiva, and the lesion itself.
  • Antibody titers are of use only in the diagnosis of primary herpes.

Although most ulcers may be treated with an antiviral agent or minimal wiping debridement, the former may be is preferred for convenience. Debridement followed by topical antiviral therapy combines both approaches and may lead to more rapid healing.45 Debridement should be avoided when there is significant stromal involvement, when the ulcerated area is large or when steroids have enhanced the ulcer. Debridement may be impractical in children because of difficulties in cooperation. On the other hand, when antiviral resistance, toxicity or hypersensitivity is present, debridement is a good alternative.

Trifluridine, 1% drops, are administered every 2 hours until bedtime. As an alternative, vidarabine or acyclovir (3% ointment if available) is given five times daily. IDU can be administered as an ointment five times daily or as drops every hour. However, its use is best avoided because of toxicity.

With steroid-enhanced ulcers, the topical corticosteroid should be progressively reduced as quickly as possible while instituting antiviral therapy. Too-rapid reduction may lead to an intense inflammatory rebound and it may be necessary to restart corticosteroids temporarily. The goal is to eliminate the steroid completely while there is active viral replication.

For patient with severe photophobia and ciliary spasm, a cycloplegic can be prescribed as required. Scopolamine hydrobromide 0.25% twice daily or cyclopentolate hydrochloride 1% to 2% is usually effective. Analgesics may be necessary for pain relief, especially in the first 48 hours of treatment. Wearing sunglasses may give symptomatic relief, but patching is rarely necessary.

Patients should be encouraged to remain at work if at all possible. Even with the availability of much improved antiviral therapy, they face the prospect of further episodes. The cumulative effects of temporary incapacity are often psychologically and economically disastrous.

Ulcers that are treated with antiviral agents tend to heal by breaking up into islands so that the typical dendritic shape is lost. This change is usually apparent within 2 to 3 days and thereafter these patients are seen every 5 to 7 days until healing has occurred. Steroid-enhanced ulcers should be examined more frequently until it is certain that healing is occurring. Debrided cases should be seen every 2 to 3 days until healed. Repeated debridement is sometimes necessary.

Complications

At times, an epithelial lesion may lose its typical configuration to form an ulcer that is usually round and of variable size (Fig. 14). The edges are rolled in appearance and do not contain the “heaped-up” opaque cells that stain brightly with rose bengal typical of a dendritic or geographic herpetic ulcer. Evidence is lacking of viral replication in the epithelium in such indolent, so-called metaherpetic ulcers. However, the electron microscopic picture of Herpesvirus replication may occasionally be demonstrated in indolent ulcers deep in the stroma (Figs. 15 and 16). Often, there is considerable stromal edema or infiltrate associated with these ulcers, or the ulcer may represent breakdown over a previously scarred area. Indolent ulcers are more common in stromal keratouveitis and will be discussed in more detail below.

Fig. 14 Indolent herpetic ulcer. This type of ulcer tends to be circular with smooth, rolled margins that stain poorly, if at all, with rose bengal (see Fig. 15). Electron microscopy revealed Herpesvirus particles in keratocytes at all depths under this ulcer.

Fig. 15 Indolent herpetic ulcer in the same patient as in Fig. 14. Rose bengal stains the base but not the epithelium at the edge of ulcer.

Fig. 16 Dendritic-ameboid ulcer stained with rose bengal. Dendritic shape is still discernible, but ulcer has widened considerably.

Antiviral toxicity is probably the most frequent immediate complication of recurrent epithelial herpes and it may occur as soon as 10 days after initiation of therapy. Because this is often the period when healing is occurring, the appearance of new staining can give rise to considerable confusion. It is sometimes impossible to be sure whether the signs represent recrudescence of the infection or the onset of toxicity. This dilemma may be resolved only in retrospect. When there is doubt, cessation of antiviral therapy is often necessary. Resolution of antiviral toxicity is extremely slow and may take weeks. Toxic effects of the current topical antiviral agents51 are similar, although trifluridine seems to be the least toxic of the three.

Herpetic stromal keratitis is a serious complication. It develops in approximately 3% of dendritic ulcers. Steroids are frequently needed for its control. The subsequent section deals with this in detail. Management of bacterial infection in these patients should always be based on the results of isolate recovery.

Natural Course and Variations of Clinical Presentation

Untreated, the dendritic ulcer may spontaneously heal, but it usually persists and may insidiously arborize to previously uninvolved epithelium. Segments of the lesion may broaden, or large areas of epithelium may desquamate so the ulcer assumes a geographic configuration (see Figs. 13 and Figs. 16, 17, and 18). This is particularly likely to happen when steroids have been administered. The margins are similar in appearance to a dendrite and contain actively replicating virus (see Figs. 16 and 17). With persistence of the ulcer, especially if it enlarges, stromal involvement becomes more marked and the uveitic reaction may become more intense. Eventually the stromal keratouveitis may dominate the clinical picture (see Fig. 15).

Fig. 17 Macrophotograph of the margin of a geographic ulcer. Note the ragged appearance and the opaque swollen cells lining the ulcer margin. (Magnification × 10) (Courtesy of Mr. N. Brown)

Fig. 18 Typical ameboid ulcer stained with fluorescein. Dye stains whole ulcerated area. (Fig. 18, courtesy of Mr. A.J. Bron)

Healing is accompanied by a variable degree of scarring, dependent on the severity of stromal infiltration. Portions of the ulcer may persist for a considerable time as opaque, slightly elevated nodes that stain with rose bengal. It is uncertain whether these represent sites of continuing viral replication.

With recurrences of epithelial keratitis, superficial vascularization is not uncommon. Corneal hypoesthesia in initial episodes may be slight and only a portion of the cornea may be affected. However, with repeated attacks it becomes a feature of the disease.52

Occasionally an apparent abortive form of herpes develops. Small epithelial mounds appear that stain with rose bengal. Herpesvirus can be cultured from these lesions. They may persist for a considerable time before fading or transforming into the typical dendritic ulcer.

Prognosis

Most cases heal with remarkably little scarring. Unfortunately, with repeated attacks there is an inevitable accumulation of superficial scarring with the formation of corneal facets. Vision may be markedly affected. In some instances, and especially with steroid-worsened ulcers, healing is excessively prolonged and in others there is gradual transition to a stromal keratitis. Occasionally, the ulcer will heal partially and then worsen while treated with antiviral therapy. This probably indicates the emergence of a resistant strain of herpes18 or inadequate administration of the drug.

In children, dendritic keratitis is usually associated with a good visual outcome. However, in a subset with geographic ulcers the outlook is less optimistic. Vision tends to be worse with more scarring, a higher degree of astigmatism and more recurrences. In this group, an aggressive approach is necessary including the use of oral acyclovir, prompt treatment of stromal keratitis should it develop and close monitoring for the onset of amblyopia.53

STROMAL KERATITIS

Pathology

The corneal stroma is the site of an inflammatory reaction that is irregularly distributed, is of varying intensity and is accompanied by an anterior uveitis. Epithelial keratitis, as previously described, is variably present. In addition, there may be a more generalized epithelial edema in which the epithelium may be separated from Bowman's layer by the edema fluid (Fig. 19).The corneal lamellae may be necrotic in places, and inflammatory cells, predominantly polymorphonuclear leukocytes, diffusely and focally infiltrate the stroma. The process may involve the cornea at all levels from Bowman's layer to Descemet's membrane. The endothelium may be edematous or infiltrated by inflammatory cells and, especially beneath the stromal lesion, may be replaced by a coagulated film of fibrin and inflammatory cells. Keratic precipitates are prominent. The aqueous contains fibrin and inflammatory cells (neutrophils, lymphocytes, macrophages, and plasma cells). These cells frequently infiltrate the angle and the trabecular bands are thickened and appear edematous, so the term trabeculitis appears justified. Involvement of the iris is variable, but it is frequently infiltrated by lymphocytes and plasma cells and thickened by edema. The anterior ciliary body shows a similar involvement. Posterior synechiae and anterior lens changes are common, frequently in association with a fibrovascular membrane extending across the pupil.

Fig. 19 Gross epithelial edema with bullae, resulting from severe endothelial decompensation, in an eye that had previously been the site of a severe herpetic uveitis. As edema resolved, endothelium was seen to be studded with numerous secondary guttatae.

When ulceration occurs, Bowman's layer and superficial lamellae are replaced by debris and inflammatory cells. The ulcer may deepen, form a descemetocele (Fig. 20), and ultimately perforate. If this is the case, the immediately adjacent stroma is necrotic, edematous, and densely infiltrated by acute and chronic inflammatory cells.

Fig. 20 Descemetocele in an eye with severe stromal keratitis. Epithelium has been stained with rose bengal.

Repair is accompanied by scarring and vascular ingrowth (Fig. 21), but foci of active inflammation may persist for a considerable period. The endothelium has a remarkable propensity for recovery but may be replaced by shrunken keratic precipitates.54

Fig. 21 Herpes simplex interstitial keratitis. Active inflammation has resolved, leaving stromal scarring, thinning, and stromal vascularization.

HSV is associated with several classes of antigens, including soluble diffusible antigens that are released from an infected cell when it is lysed, antigens fixed to the surface of the infected cells, and insoluble large structural proteins that are capsid components. Any of these classes of antigens can probably react with antibody, complement, or sensitized cells and initiate the immune response.

Although viral particles have been demonstrated by electron microscopy within the corneal stroma in cases of stromal herpes simplex keratitis55–57 (Figs. 22 and 23), attempts to isolate infected virions in tissue culture have been successful in only a minority of cases. In most cases of stromal herpes simplex keratitis, the clinical disease appears to be predominantly the result of an immunopathologic process, which is a response to viral antigen rather than an active infectious process caused by replicating virus. Immunocytochemical studies of cornea tissue obtained from patients with herpes simplex stromal keratitis at the time of penetrating keratoplasty have shown the stromal infiltrate to be composed largely of macrophages and lymphocytes.58 Controversy exists as to whether cytotoxic or helper T cells play the major role in herpetic keratitis.58

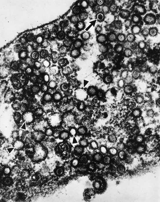
Fig. 22 Electron micrograph of deep corneal stroma. Numerous Herpesvirus particles can be seen lying in and around two degenerate cells (probably keratocytes) between stromal lamellae. (Magnification × 16,000) (Courtesy of Dr. R. Tripathi).

Fig. 23 Electron micrograph of keratocyte. This degenerating cell is filled with Herpesvirus particles. Some of these have typical morphology (arrow). Note the number of incomplete forms, empty capsids and great variability in size (arrow). (Magnification × 100,000) (Courtesy of Dr. R. Tripathi).

However, it is thought that some cases of herpes simplex stromal keratitis may be caused by a combination of active viral replication and the immune response.1 Specifically, some cases of necrotizing stromal herpes simplex keratitis may be the result of this dual etiology.

Clinical Manifestations and Variation in Clinical Presentation

The clinical manifestations of stromal involvement with HSV are protean. Patients exhibiting stromal keratouveitis commonly have a history of previous attacks of epithelial herpes. The stroma may have been involved to some degree in these episodes, but the emphasis for the most part remains directed toward the epithelial keratitis. Then, insidiously over a few episodes, but at times quite suddenly, the pattern changes so that stromal disease becomes the dominant feature. Occasionally, this time scale is shortened, and in extreme instances, the transition is completed in the initial attack. Some patients will develop stromal keratouveitis, having had an epithelial herpes in the past, or will experience their first dendritic ulcer subsequently; in others, stromal keratouveitis will follow an episode of dendritic keratitis. It is important to realize that regardless of preceding events, the onset of stromal disease is a serious portent because it marks a new stage in the disease; deeper ocular structures are involved, vision is seriously threatened and morbidity is significantly increased.

Apart from a complaint of blurred vision, the signs and symptoms are nonspecific. The eye feels uncomfortable and tears excessively. The pain experienced varies considerably from patient to patient. These signs and symptoms are extremely variable and can be difficult to interpret, especially when viewed against a background of previous structural damage, secondary glaucoma, and endothelial dysfunction. Evidence of coexisting inflammatory and reparative processes can be recognized by slit lamp examination. Corneal edema, infiltration, vascularization, ulceration, endothelial inflammation, and uveitis can all occur to varying degrees in herpes simplex stromal disease. At times, the degree of cellular infiltration and edema will indicate that infiltration is the dominant process and, at other times, scarring and neovascularization are more apparent.

Several common response patterns can be distinguished clinically, which can aid in making the diagnosis and guiding treatment. These include chronic interstitial keratitis and necrotizing stromal keratitis.

INTERSTITIAL KERATITIS.

When the predominant clinical findings include stromal infiltration accompanied by an intact epithelium, the term interstitial keratitis is appropriately used. The infiltration can present as single or multiple patches of infiltrate and edema and involve the entire stromal thickness or discrete lamellae. The infiltration tends to run a chronic, indolent course that persists for many months. Superficial and deep stromal vessels often accompany the infiltrate and can occur early or late in the disease course. The infiltrates may resemble those seen in infection with other viruses, bacteria, fungi, or acanthamoeba but tend to be more indolent and with an intact epithelium. This form of stromal inflammation is thought to represent antigen-antibody-complement-mediated immune disease.59 Resolution of the inflammation often leads to the formation of a dense, white vascularized scar (see Fig. 21).

When the stroma is edematous, it exhibits a ground-glass appearance and is thickened. Edema commonly encompasses the infiltrate and, at times, is the main feature of the disease and it is also an essential component of the stromal inflammatory reaction. It may result in endothelial dysfunction secondary to uveitis.

Limbal vasculitis and immune (Wessely) rings in the anterior stroma are two other clinical manifestations of presumed immune stromal disease.60–62 The Wessely ring is a partial or complete ring of infiltrate in the stroma, surrounding the main stromal lesion and separated from it by a relatively clear zone of cornea. It presumably results from the inflammatory reaction to a ring or arc precipitate of antigen-antibody complexes. Limbal vasculitis presents as an edematous, hyperemic reaction. Although usually focal, more than one quadrant may be involved. These vessels will often invade the cornea while associated with stromal interstitial keratitis.

In the epithelium, a fine superficial edema, occupying a variable surface area over the active stromal lesion, is common and is related to endothelial dysfunction. At times the epithelium is grossly edematous, with recurrent bullae appearing and sometimes breaking down to form indolent ulcers that have to be distinguished from active epithelial viral disease. Punctate erosions that stain well with rose bengal and fluorescein are frequently seen.

The endothelial layer of the cornea is involved in all but the most superficial lesions. Fine, white keratic precipitates may be scattered over the surface or crops of discrete white precipitate may appear (Fig. 24). Some of these lesions become pigmented. It is not unusual for large endothelial plaques to develop in relation to the active stromal lesion (Fig. 25). Secondary guttae are quite common but usually reversible.

Fig. 24 Typical keratic precipitates in an eye with a disciform keratitis caused by herpes.

Fig. 25 Large endothelial plaque behind disciform keratitis.

Anterior uveitis is invariably present although it may be difficult or impossible to assess because of the corneal opacification. In severity it varies from the presence of an occasional cell and minimal flare to the development of hypopyon. Posterior synechiae and rubeosis iridis frequently complicate severe cases. The intraocular pressure may be elevated in the acute stage as a result of an associated trabeculitis.

Vascularization can occur at any stage of the disease process. Vessels penetrate the stroma from the limbus at all levels to invade the active stromal lesion. They are often cuffed by fine granular infiltrates while active but, as the inflammatory process subsides, they lose the cuff of cells and may eventually become almost bloodless. The first signs of a recrudescence of inflammation may be the reactivation of these vessels.

During the acute stages of the inflammatory reaction, scarring may not be obvious, but as the signs of inflammation subside, it becomes more apparent. In the early stages the discrete white opacification may easily be mistaken for infiltrate. Once significant scarring has occurred, the clarity of the cornea is permanently impaired (see Fig. 20).

Loss of corneal substance, ranging from minor faceting to gross thinning or even perforation, is of variable occurrence. It often relates to preceding dense infiltration and is most frequently seen in the rebound phenomenon following withdrawal of topical steroid therapy for stromal herpetic keratitis with dense infiltration (Fig. 26).

Fig. 26 Perforation of the cornea at the site of dense infiltration in severe herpetic keratitis.

During the later stages of healing as the inflammation subsides, hard white or sometimes yellowish lipid deposits, either crumbly dots or fine crystals, may appear. Usually these are seen within vascularized opacities and may be progressive. In some patients, they are associated with demonstrable abnormalities of lipoprotein metabolism. These deposits are not an indication for continuing energetic steroid therapy. It is important to differentiate them from dense inflammatory infiltrates, with which they are sometimes confused.

NECROTIZING STROMAL KERATITIS.

Necrotizing stromal keratitis is manifested clinically as a dense yellow-white infiltration within the corneal stroma. The predominant clinical pattern is stromal infiltration and necrosis (Fig. 27). This more complicated manifestation of herpes simplex keratitis usually occurs in corneas that have had recurrent episodes of herpetic eye disease. Thus, it may follow chronic or recurrent epithelial disease, disciform keratitis, superficial stromal disease, or recurrent disease of any type. In a prospective study of 152 patients with either dendritic or geographic epithelial keratitis, Wilhelmus and coworkers63 noted that one-fourth of their patients developed subsequent stromal inflammation. Of these, 37% presented with necrotizing inflammation as the predominant pattern.

Fig. 27 Herpes simplex necrotizing stromal keratitis. A dense yellow-white infiltrate occurs in the stroma with breakdown of the overlying epithelium.

In mild cases, infiltrates can be localized, but in more severe cases a stromal abscess (Fig. 28) may develop, consisting of necrotic, cheesy-white infiltrate that may occupy the entire cornea thickness. The overlying epithelium often breaks down over the stromal infiltrate. This can be followed by the appearance of edema, ulceration, and stromal neovascularization. Ring infiltrates (Wessely ring) may occasionally be seen surrounding the stromal infiltrate (an antigen-antibody-complement–mediated event), calling forth an influx of polymorphonuclear leukocytes. Uveitis is nearly always present and may be severe, with retro corneal membrane, hypopyon, synechiae formation, secondary glaucoma and secondary cataract. Stromal perforation or super infection with fungi or bacteria can occur (see Fig. 26).

Fig. 28 Large irregular stromal abscess underlying a large ameboid ulcer, with a small hypopyon. Superficial and deep vascularization is developing.

The frequent documentation of viral particles or antigen in herpes simplex necrotizing stromal keratitis supports the belief that this form of keratitis is a direct viral infection of the stroma with a subsequent host immune response.1,55,62,64 Holbach and colleagues65 found that 91% of keratectomy specimens from patients with ulcerative necrotizing keratitis displayed HSV antigens, compared to only 11% of keratectomy specimens from patients with nonulcerative, nonnecrotizing, or disciform keratitis. These antigens were located primarily in stromal keratocytes and the extracellular stroma.

It is clear that there is a tremendous variation in the appearance of the cornea, but if each case is approached with appreciation for these features, activity of the disease can be assessed in a way that has meaning both clinically and pathologically. Thus, a stromal keratitis that is superficial and free of new vessels is still relatively mild, whereas involvement of a full-thickness cornea, associated with a significant uveitis and neovascularization, indicates severe disease.

Diagnosis and Differential Diagnosis

The diagnosis must be made on clinical grounds alone. In most cases there is little problem, but occasionally the diagnosis can be in doubt. Because the presentation of HSV stromal disease can be so variable, many other conditions can result in similar clinical presentations and must be considered in the differential diagnosis. A history of recurrent disease and prior herpes simplex epithelial keratitis can be helpful, but a history of herpetic epithelial keratitis is not absolute evidence that the subsequent stromal keratitis is herpetic in origin. The laterality of HSV stromal keratitis may also be important in establishing a clinical diagnosis because bilateral disease occurs rarely.66 Many potential causes of stromal inflammation will have associated systemic disease that offers clues to the etiology and helps differentiate it from HSV, such as herpes zoster ophthalmicus, Cogan's interstitial keratitis, Epstein-Barr virus, and mumps. A history of previous corneal trauma or contact lens wear, particularly associated with disruption of corneal epithelium, should make one more suspicious of bacterial, fungal, or acanthamoeba infection. Although HSV keratitis can present predominantly in a perilimbal location, confinement of the stromal inflammatory process to the peripheral cornea should alert the examiner to associated eyelid disease (staphylococcal keratitis), adjacent scleral inflammation, or possible collagen vascular disease.

Laboratory Investigations

The thrust of the investigation should be most appropriately directed to a consideration of possible differential diagnoses. Stromal herpetic eye disease is best diagnosed from the patient's history and the clinical appearance of the cornea.

If the epithelium is involved in a patient with stromal disease, cytologic examination may reveal multinucleated giant cells (Giemsa stain) and intranuclear and eosinophilic inclusions that are infrequent in adults (Papanicolaou stain). These tests are easy to perform but are relatively insensitive. Viral isolation in human cell culture is unavailable to many and is expensive. A variety of immunologic tests can be used to detect viral antigen in tissue specimens. These include immunofluorescent staining, immunoperoxidase staining, immunofiltra-tion techniques, enzyme-linked immunosorbent assay (ELISA), and DNA probes. The most sensitive test readily available commercially is the Herpchek, a simple kit based on the ELISA system.67,68

Management

Treatment of HSV stromal keratitis is considerably more controversial than treatment of HSV epithelial disease. Mechanisms involved in the pathogenesis of HSV stromal keratitis are complex and incompletely understood. Both virus and host immune factors appear to be important in the development and progression of HSV stromal keratitis.58 The goal of management of HSV stromal keratitis is to guide the patient through each episode while minimizing ocular damage, reducing morbidity, and reducing the side effects of treatment.

In general, the most frequently used therapy for management of HSV stromal keratitis currently includes the judicious use of topical steroids with prophylactic antiviral cover. The dosing and frequency of both steroid and antiviral cover are debatable. The Herpetic Eye Disease Study (HEDS) was designed in an effort to resolve these controversies, reach consensus on the management of herpes simplex stromal disease, and establish therapeutic guidelines for antiviral and anti-inflammatory agents.69,70 The series of double-blinded, placebo-controlled, multicentered clinical trials included studies designed to compare (1) the efficacy of topical corticosteroid, (2) the efficacy of oral acyclovir combined with topical steroid for the treatment of herpes simplex stromal keratitis and iridocyclitis, (3) the efficacy of oral acyclovir in the prevention of stromal keratitis or iridocyclitis in patients with HSV epithelial disease, and (4) the efficacy of acyclovir in the prevention of recurrent HSV ocular disease.

TOPICAL CORTICOSTEROID THERAPY.

Corticosteroids will suppress an immune response, resulting in reduced corneal edema, inflammation, infiltration and neovascularization. Therefore, many believe they are indicated in the treatment of HSV stromal keratitis (with antiviral cover) to reverse the inflammatory response, minimize permanent structural alteration, and improve corneal clarity.71,72 Others caution that topical corticosteroids may prolong the course of the disease and increase the severity of the stromal keratitis.73,74 Although steroids do not experimentally induce recurrent herpetic epithelial keratitis,75 they can predispose to an increased susceptibility to recurrent infection76 and can exacerbate active viral infection. Corticosteroids can also predispose to secondary complications, including microbial super infection, stromal melting, secondary glaucoma and cataract formation. Once corticosteroids are begun, it is often difficult to discontinue them and a marked rebound inflammatory response can ensue when withdrawal is too abrupt. Nevertheless, in the HEDS controlled trial of topical corticosteroid, given concomitantly with trifluridine, for herpes simplex stromal keratitis, the topical steroid was significantly better than placebo in reducing the persistence or progression of stromal inflammation. The regimen also significantly shortened the duration of the keratitis.77

The introduction of corticosteroids in the management of HSV stromal keratitis is influenced by the need to control the inflammatory process and to provide symptomatic relief to the patient. Effective and safe administration of steroids requires close observation in reliable patients. The dosage of steroid requires some judgment and several options of corticosteroid administration are available.78 The use of the lowest effective dose seems prudent because the goal of therapy is to produce a clinically recognizable reduction in inflammation while minimizing undesirable side effects. An antiviral agent (trifluridine) should be administered concurrently to reduce the chance of recurrence of live virus in the epithelium. Cycloplegics, lubricants, and dark glasses can provide symptomatic relief.

ANTIVIRAL THERAPY.

Neither idoxuridine79 nor vidarabine37 is clinically effective topically for herpes simplex keratouveitis or deep stromal disease. Therapeutic levels of trifluridine can be obtained in the iris and anterior chamber80 and may be of value in deep stromal disease and uveitis, although this is unproven. Various investigators in small, uncontrolled studies have reported a beneficial effect of topical acyclovir combined with topical steroid.81,82 In general, however, currently available topical antivirals have been disappointing in the treatment of stromal keratitis.78

A potential use of oral acyclovir is in herpetic stromal disease and keratouveitis. Several investigators have reported a beneficial effect of systemic acyclovir when combined with topical corticosteroids in the treatment of HSV stromal keratouveitis in small, uncontrolled studies.42,82,84 Schwab used oral acyclovir (200 mg five times per day for 14 to 21 days) in the treatment of 20 patients with active stromal keratitis or keratouveitis who were not adequately controlled by topical corticosteroids and antivirals.85 All patients improved while using oral acyclovir, but one relapsed when the drug was tapered and 3 of 7 who had discontinued acyclovir had a prompt recurrence. Nineteen of the 20 patients had concomitant epithelial keratitis when treated. Therefore, it is not clear whether clinical improvement was related to the effect of acyclovir on the stromal disease or secondarily to the effect on the epithelial infection.

Two other uncontrolled studies have found no beneficial effect of acyclovir in the treatment of active HSV stromal keratitis.86,87 Notably, both studies involved no adjunctive use of topical corticosteroids. Sanitato and associates found the combination of topical and oral acyclovir ineffective in the treatment of 17 patients with disciform edema or necrotizing stromal keratitis who were not receiving concomitant corticosteroids.87 However, at the dosage of acyclovir used (200 mg five times per day), the authors point out that the subtherapeutic drug levels may not have reached the stroma.

In the HEDS study, the only controlled trial published to date of the treatment of HSV stromal keratitis, there was no significant beneficial effect of oral acyclovir compared to placebo in patients already receiving concomitant topical trifluridine and corticosteroid.88

The published data are confusing because of the lack of controls in all but one study and the different clinical situations studied. Nevertheless, collectively they do suggest that although viral replication is a factor in stromal keratitis the immune response is likely to be the dominant mechanism for the disease.

SPECIFIC THERAPY.

HSV Interstitial Keratitis.

Topical corticosteroids are currently the principal therapeutic modality for HSV stromal keratitis, with topical antiviral drugs used primarily as prophylaxis against recurrent epithelial disease. In mild stromal keratitis that does not involve the visual axis, topical lubricants and cycloplegics are often sufficient to manage the course of the disease comfortably. In the HEDS controlled trial, postponing the introduction of steroid therapy for a few weeks under careful observation did not have a detrimental effect on the outcome at 6 months.77 If progression of the keratitis is noted, characterized by progresses with increased infiltration and stromal vascularization, if keratitis threatens to involve the visual axis, or if the patient's symptoms cannot be controlled comfortably, corticosteroids should be initiated along with topical antiviral cover.

The initial starting dose and frequency of administration of the topical corticosteroid should be dictated by the severity of the inflammatory process. In general, the least amount of corticosteroid necessary to produce a clinically detectable reduction in the inflammatory response should be used. A typical regimen may begin with prednisolone acetate 0.125% to 1% four to eight times per day with adjunctive topical trifluridine two to four times per day (others will match steroid and antiviral drop for drop). The frequency of the steroid dose can then be decreased every 1 to 3 weeks, at a rate not to exceed a 50% reduction in the dose at any given time. An even more gradual reduction in the dose may be necessary if there is evidence of recurrent stromal inflammation. When the frequency of administration decreases to 1-drop daily of a 1% prednisolone concentration, the concentration may be reduced (to 0.125%) or switched to a less concentrated product (fluorometholone). Reducing the steroid dose can take weeks to months and many individuals have required an extremely low dose (prednisolone 0.125% one to two times per week) to prevent recurrent stromal disease. The dose of the topical antiviral agent is also correspondingly decreased in concert with the reduction in steroid dosage. During this period, the patient is monitored carefully for evidence of antiviral toxicity, which may necessitate more rapid reduction of the topical antiviral agent or substitution of oral acyclovir for the topical preparation. A similar approach is used for the treatment of HSV-related limbal vasculitis. Antibiotic therapy as a prophylactic routine is unnecessary.

If the epithelium ulcerates or active epithelial disease occurs, the steroid should be sequentially reduced or discontinued. If concomitant inflammation must be treated, systemic prednisone may be considered (0.5 to 1 mg/kg per day) orally for 7 to 10 days and then gradually tapered to control the inflammation until the epithelium is healed. In general, it is best to avoid the use of any systemic immunosuppressant in the management of these patients.

HSV Necrotizing Stromal Keratitis.

Stromal ulceration with infiltration as seen in necrotizing stromal keratitis is by far the most difficult form of herpes simplex stromal disease to manage. It appears that active viral replication may be present in some cases, but the host immune response is believed to be the principal destructive process. Cultures may be indicated if there is concern regarding an infection caused by bacteria, fungi, or acanthamoeba. If the clinical findings are suggestive of active viral replication in the corneal epithelium, topical antiviral therapy should be initiated (topical trifluridine up to five to nine times a day) prior to institution of topical corticosteroids. After several days, provided the clinical picture is not indicative of an active viral ulcer, topical corticosteroids may be added with caution at low dosage to reduce the inflammatory response and improve patient comfort. The patient must be monitored frequently. Viral culture of the lesion is an option if the diagnosis is in doubt. If ulceration progresses with topical corticosteroids, they should be slowly withdrawn and oral prednisone (0.5 to 1 mg/kg per day) instituted. Alternatively, oral prednisone instead of topical corticosteroids can be used initially when the epithelium is ulcerated. Topical cycloplegics are invariably needed. Intraocular pressure should be monitored carefully and treated as clinically indicated. As noted above, the HEDS controlled trial of oral acyclovir in patients with herpes simplex stromal keratitis being treated with topical trifluridine and steroids failed to demonstrate a significant beneficial effect of oral acyclovir.88

Back to Top
COMPLICATIONS

HERPETIC EPITHELIAL KERATITIS.

Epithelial recurrence can occur in the course of predominant stromal disease. The most serious episode is the occurrence of epithelial herpes complicating an already active stromal keratitis. These ulcers, in addition to exacerbating the corneal inflammation, tend to be refractory to treatment and can worsen and assume a geographic shape or become truly indolent.

This complication may be avoided by the use of a topical antiviral cover. In some cases, the epithelial keratitis recurs when the antiviral agent is discontinued because of toxicity or because the steroid dose is thought to be at a safe low level. It is important to recognize the epithelial lesion early and treat it energetically before it reveals a tendency to assume a geographic shape. Antiviral therapy should be reinstituted or the dose temporarily increased, even at risk of epithelial toxicity. The topical steroid dose must be temporarily reduced. In some cases, temporary total cessation of local steroid therapy will be necessary before epithelial healing occurs. In the presence of topical antiviral toxicity, oral antiviral therapy with acyclovir offers a therapeutic alternative. The overall effectiveness of oral antiviral agents in this complicated situation remains to be explored fully.

INDOLENT ULCERS.

Clinically, it may be impossible to decide whether an ulcer is indolent or contains actively replicating virus. Indolent ulcers tend to persist and are refractory to treatment. In predominantly epithelial disease, they may be a sign of antiviral toxicity, responding slowly to temporary suspension of the antiviral drug. In the majority of cases, however, indolent ulcers reflect the underlying stromal inflammation and will heal only when this resolves. Therefore, it is important to recognize these ulcers as indolent and to distinguish them from lesions resulting from active replication of the virus. The correct approach in treating an indolent ulcer is not to stop steroid administration but rather to increase the dose under the umbrella of antiviral therapy. In addition to these measures, patching or use of a bandage contact lens may also encourage healing. If all else fails, a temporary tarsorrhaphy or conjunctival flap may be of benefit.

STROMAL ULCERS.

As discussed in detail under “Necrotizing Stromal Keratitis,” the epithelium may break down over a dense stromal infiltrate, forming a superficial ulcer that may slowly or rapidly deepen, producing a descemetocele (see Fig. 20), eventually progressing to a corneal perforation (see Fig. 26). An indolent ulcer can follow a similar course. The uveitis in such cases is usually more severe, and frank hypopyon may develop.

Management with topical steroids and antiviral cover has been described previously. Close supervision is essential because these ulcers may perforate unpredictably. Abrupt discontinuation of topical corticosteroid therapy should be avoided because this will invite perforation. Keratoplasty is indicated when the ulcer fails to respond to treatment or worsens, or if perforation is imminent. Once the cornea has perforated, the most effective management is keratoplasty, performed as expeditiously as possible to avoid the added complication of chronic angle closure glaucoma from anterior synechiae formation.

SECONDARY GLAUCOMA.

Elevated pressure from a trabeculitis, probably on an immunologic basis, can accompany the acute uveitis. Intraocular pressure should be assessed at each examination and glaucoma therapy initiated as indicated. Intraocular pressure control can usually be achieved by medical measures, but in advanced cases surgery may be required. In the presence of topical steroid administration, a corticosteroid-induced elevation in intraocular pressure is an ever-present possibility.

SECONDARY INFECTION.

Bacterial and fungal superinfections may be difficult to distinguish from the underlying disease.54 A rapid increase in the inflammatory signs in the cornea, associated with ulceration and hypopyon formation, must alert the ophthalmologist to this possibility.

SECONDARY CATARACT.

Secondary cataract from the continued effect of the disease and steroid administration at times complicates the management. The approach is essentially conservative, but emergency surgery may be necessary for an intumescent lens, and a combined keratoplasty with lens extraction is sometimes the appropriate therapy for visual rehabilitation.

Natural Course

Stromal keratouveitis related to herpes simplex characteristically runs a protracted and unpredictable course. The intensity of the inflammatory process may remain unchanged, whereas scarring and neovascularization gradually progress; or it may fluctuate greatly, perhaps showing a tendency toward resolution, only to revert shortly thereafter to its previous course. Occasionally there is an inexorable march toward corneal abscess formation and this may also develop from a relatively torpid inflammatory state. With each new episode, the cornea may become further scarred and irregularly thinned and may eventually be traversed by a network of new vessels.

The epithelial condition is variable, reflecting in part the changes taking place in the stroma and anterior chamber. Fine epithelial edema may become more generalized when the endothelium is diffusely affected. Depending on the degree of endothelial dysfunction and secondary glaucoma, bullae may form and rupture, giving rise to indolent ulcers. In addition, epithelial breakdown may occur over areas of scarring and active infiltration, particularly in anesthetic corneas.

The uveitis is usually of moderate severity but may be masked by the corneal lesions and thus be impossible to assess. Hypopyon is uncommon in the absence of epithelial breakdown or ulcer formation. Posterior synechiae, rubeosis iridis, and anterior lens opacities progress insidiously. In long-standing conditions the iris becomes atrophic.

Prognosis

Vision is commonly reduced early unless the lesion is peripheral and circumscribed. In mild cases, there is often a remarkable degree of recovery. With careful management, sequelae of repeated episodes of inflammation can be controlled and useful vision retained. All too frequently, however, the disease pursues a relentlessly destructive course, seriously incapacitating the patient. With repeated scarring, visual loss is permanent.

DISCIFORM KERATITIS

Pathology

Histopathologically, disciform keratitis is characterized by the presence of a mixture of sensitized lymphocytes, plasma cells, macrophages, and polymorphonuclear leukocytes.55,89 The pathogenesis of herpes disciform keratitis is unknown. It may represent a cell-mediated immune reaction to herpetic antigen in the stroma (1) as a byproduct of epithelial infection, (2) by viral DNA latent within the stroma, (3) by antigenic residue of viral invasion, or (4) by active viral infection.90–92 Others have proposed that the main inflammatory reaction takes place in the endothelium. Immunocytochemical studies have demonstrated HSV antigens in corneal endothelial cells in patients with nonulcerative disciform keratitis.65,93,94 However, herpesvirus particles have yet to be demonstrated in the corneal endothelium in human cases although they have been isolated form the aqueous.58,95

Clinical Manifestations

Disciform keratitis is a clinical inflammatory pattern that is usually readily distinguishable from the various manifestations of stromal keratitis related to HSV. Classically, disciform keratitis presents as a focal, disc-shaped area of stromal edema that can be centrally or eccentrically located in the cornea with fine keratic precipitates on the endothelium just in the involved area (see Figs. 24, 25, and 29). A fine granular infiltrate may be visible throughout the corneal stroma. In milder forms, the overlying epithelium is intact, and there is no necrosis or vascularization. Anterior segment reaction may be absent or mild. In more severe forms, stromal edema is more pronounced, with folds in Descemet's membrane (Fig. 30), focal bullous keratopathy, and development of superficial and deep vascularization. Rarely, bullae may rupture, with ulceration and subsequent necrosis, and melting of the cornea with iritis. There may have been a history of prior dendritic keratitis, but frequently such a history is lacking, although epithelial herpes may subsequently appear. Patients will typically complain of acute onset of blurred vision associated with tearing, photophobia and mild, dull orbital pain.

Fig. 29 Eccentric but otherwise typical disciform keratitis.

Fig. 30 Disciform keratitis showing folds in Descemet's membrane.

Diagnosis and Differential Diagnosis

The diagnosis of herpes simplex disciform keratitis is purely clinical and may be in doubt in the absence of a prior history of herpetic eye disease. Other causes of disciform keratitis include herpes zoster, vaccinia, mumps, varicella, Acanthamoeba, Epstein–Barr virus, and chemical keratitis, although herpes simplex remains the most common.

Management

Disciform keratitis is presumed to be a lymphocyte-mediated inflammatory reaction. It is highly sensitive to topical corticosteroids (Figs. 31 and 32). If the visual axis is not involved and steroids have not been used previously, an effort should be made to avoid their introduction if possible. Because disciform keratitis is believed to be an immune-mediated inflammation, the role of topical antiviral therapy is primarily prophylactic against recurrent epithelial disease. Cycloplegics, topical lubricants, and dark glasses can improve patient comfort. If steroid therapy is necessary because of involvement of the visual axis or patient discomfort, the lowest steroid dose needed to diminish the inflammatory response should be used (prednisolone 0.125% to 1%, two to four times per day) with antiviral cover. Recommended therapy is similar to that outlined for HSV interstitial keratitis.

Fig. 31 Slit photograph of disciform keratitis due to herpes before treatment with topical steroids under IDU cover. The stroma is thickened mainly because of edema. Note folds in Descemet's membrane (see Fig. 24).

Fig. 32 Disciform keratitis in the same patient as in Fig. 23. One month after topical steroid therapy under idoxuridine (IDU) cover, the cornea is virtually clear.

In a placebo-controlled clinical trial of 40 patients with herpes simplex disciform stromal keratitis, topical corticosteroids (betamethasone 0.01%, five times daily) were compared to placebo under antiviral cover with 3% acyclovir ointment.96 The corticosteroid-treated group healed more rapidly than the placebo group based on an evaluation of corneal thickness and iridocyclitis.

Complications

The epithelium may break down over the region of disciform keratitis to form an indolent ulcer. A concurrent dendritic or geographic ulcer will sometimes behave in a similar manner. Secondary fungal or bacterial infection is always possible in this situation and must be considered if there is an increase in the amount of infiltrate or if a hypopyon develops. Secondary glaucoma can persist unrecognized for a considerable period and may result in permanent visual loss from nerve fiber damage.

Natural Course and Variation in Clinical Presentation

The natural course of disciform keratitis is quite unpredictable. In some instances, the keratitis will persist unchanged; in others, it may worsen for a considerable period before slowly resolving with a variable, but often severe, degree of scarring (Fig. 33). The affect on vision may be more pronounced than might be expected from the appearance, because of the induced irregular corneal astigmatism. Occasionally, the amount of infiltrate will insidiously or suddenly increase (Fig. 34), and leashes of new vessels may enter the stroma to vascularize the lesion. In such instances, the appearance and course are indistinguishable from stromal keratitis. Regular examination of the cornea by sclerotic scatter is useful in observing the onset of this transition. Further recurrences of a disciform or stromal keratouveitis are likely in these patients and, in each episode, the residual effects can exact their toll on vision.

Fig. 33 Dense stromal scar in the visual axis after an episode of disciform keratitis.

Fig. 34 Disciform keratitis that is starting to develop local areas of dense infiltration.

An unusual form of disciform keratitis termed linear endotheliitis has also been described. It presents clinically in a red and painful eye, as a line of keratic precipitates on the endothelium. The precipitates progress across the endothelium accompanied by the development of stromal and epithelial edema. The features are thus not dissimilar to those seen in endothelial rejection after corneal transplantation. There is some evidence that this condition is less responsive to treatment than other forms of disciform keratitis.97,98

Recently it has been suggested that all such manifestations of herpetic disease, including disciform keratitis, be referred to as herpetic endotheliitis rather than disciform keratitis, reflecting the position that all represent primarily disease of the endothelial layer.99 In this chapter, as the controversy is not yet resolved, the term disciform keratitis has been retained for the clinical description of these cases.

Prognosis

The outcome of an individual attack of disciform keratitis is favorable in terms of preservation of vision and resolution of the inflammation. However, disciform keratitis may merge into or be followed by stromal keratouveitis and, therefore, shares its long-term uncertainties in prognosis.

SURGICAL MANAGEMENT

Surgical Treatment

CONJUNCTIVAL FLAPS.

Conjunctival flaps have been helpful in the treatment of persistent epithelial defects or corneal ulcerations secondary to herpes simplex keratitis unresponsive to traditional treatment modalities. They can provide a stable epithelial surface, stop ulceration, resolve the inflammatory process and provide patient comfort.100 Recurrent active stromal disease has been reported following conjunctival flaps and can result in corneal perforation.101 Patients receiving a conjunctival flap in this clinical setting should be monitored for recurrent herpetic disease under the flap.

PENETRATING KERATOPLASTY.

Penetrating keratoplasty for purposes of visual rehabilitation in herpes simplex-scarred corneas can be performed with reasonable success. Several studies have shown a wide disparity in the cumulative survival rate, ranging from 40% to 83% over 5 years.102–105

The success rate is highest when keratoplasty can be performed in a quiet eye.106–109 The principal factors accounting for failure appear to be recurrence of herpetic infection and graft rejection. Ficker et al.102 recommended prompt recognition and treatment of graft rejection, treatment of recurrences and removal of loose sutures as important measures to prolong graft survival. High-dose topical corticosteroids used in the postoperative period and slowly tapered over several months have also been found to be beneficial and associated with an improved success rate for keratoplasty.108 Regardless of the amount of steroid used postoperatively, recurrence of herpetic disease in the graft is relatively common and occurs in approximately 15% of eyes in a 2-year period.106,108,112

Prophylactic oral acyclovir after penetrating keratoplasty for HSV keratitis appears to play an important role for preventing HSV reactivation113 and reducing viral shedding during postoperative topical corticosteroid therapy.114,115 It significantly lowered the incidence of recurrent HSV keratitis in a rabbit keratoplasty model.117 Schwab used prophylactic oral acyclovir (200 mg five times per day for 14 to 21 days) in three eczematoid patients with HSV epithelial, stromal, or uveal diseases who were undergoing keratoplasty or cataract extraction.85 None experienced recurrent herpetic disease while on therapy for up to 18 months. Van Rooij et al.,118 in a placebo–controlled multicenter trial of oral acyclovir (400 mg twice daily) after penetrating keratoplasty found a significant reduction in recurrent herpetic eye disease in the acyclovir treated group. Patients were treated for 6 months. The period of observation was two years. Further studies are needed to determine the optimum dosage and duration of treatment with acyclovir.

Penetrating keratoplasty may be necessary in cases of chronic HSV stromal keratitis that have resulted in descemetocele formation or corneal perforation.110 In such patients the prognosis is much poorer, especially if the eye is inflamed at the time of surgery. With the use of glue to seal the actual or impending perforation it is now possible to improve the prognosis for successful transplantation by delaying surgery until the inflammation is under better control.

PREVENTION OF RECURRENCE OF HERPETIC EYE DISEASE

Vaccination against the herpes virus remains an elusive goal for the foreseeable future. Eradication of the virus, once established in latent form in ganglia, is also not achievable with currently available antiviral agents. However, perhaps one of the most encouraging developments in the therapy of herpes simplex infections has been the efficacy of oral acyclovir in reducing recurrences of infection. Building on experimental evidence and uncontrolled human studies, a placebo controlled trial of acyclovir (400 mg, twice daily) in patients with a past history of recurrent herpetic disease, has demonstrated that the recurrences of stromal keratitis can be reduced by almost 50%, half over the 12-month period of treatment. The benefit, to a lesser degree, extended to surface infections and iritis. In patients who had a past history of stromal keratitis, the effect was particularly striking. In a 6-month follow-up period, there was no evidence of a rebound in infections, nor was there evidence of a continuing protective effect.119

Conclusions about the efficacy of long-term treatment are limited by the short duration of the trial. However, in view of the high cost of prolonged treatment with acyclovir, it seems logical to focus preventive therapy on patients at greatest risk of recurrent disease.120

This approach will be helped by the findings of a HEDS study that showed that while a history of a previous episode of epithelial keratitis is not a risk factor for further episodes of epithelial keratitis, in patients with a history of repeated attacks of stromal keratitis, there is a greatly increased risk of future episodes of stromal disease.121

Back to Top
REFERENCES

1. Brik D, Dunkel E, Pavan-Langston D: Herpetic keratitis: Persistence of viral particles despite topical and systemic antiviral therapy. Report of two cases and review of the literature. Arch Ophthalmol 111:522, 1993

2. Mindel A: Epidemiology. In Herpes Simplex Virus. New York: Springer-Verlag, 1989:33

3. Liesegang TJ: Biology and molecular aspects of herpes simplex and varicella-zoster virus infections. Ophthalmology 99:781, 1992

4. Corey L, Spear PG: Infections with herpes simplex viruses. N Engl J Med 314:686, 1986

5. Cook SD: Herpes simplex virus in the eye. Br J Ophthalmol 76:365, 1992

6. Shieh MT, Spear PG: Herpesvirus-induced fusion that is independent on cell surfaced heparin sulphate or soluble heparin. J Virol 68:1224, 1994

7. Darlington RW, Moss LH: III: Herpesvirus envelopment. J Virol 2:48, 1968

8. Rosenwasser GO, Greene WH: Simultaneous herpes simplex types 1 and 2 keratitis in acquired immunodeficiency syndrome. Am J Ophthalmol 113:102, 1992

9. Kibrick S, Goodling GW: Pathogenesis of infection with herpes simplex virus with special reference to nervous tissue in slow, latent, and temporate virus infections. NINDB Monogr 2:143, 1965

10. Nahmias et al: Sero-epidemiological and sociological patterns of herpes simplex virus infections in the world. Scand J Infect Dis 69(supp) :19, 1990

11. Kaufman HE, Brown DC, Ellison ED: Herpesvirus in the lacrimal gland, conjunctiva and corneal of man—a chronic infection. Am J Ophthalmol 65:32, 1968

12. Kaufman HE: In vivo studies with antiviral agents. Ann N Y Acad Sci. 130:168, 1965

13. Lindgren KM, Douglas GR Jr, Couch RB: Significance of Herpesvirus hominis in respiratory secretions of man. N Engl J Med 278:517, 1968

14. Rawls WE, Campione-Picardo J: Epidemiology of herpes simplex virus type 1 and type 2 infections. In Nahmias AJ, Dowdle WR, Schinazi RF, eds: The Human Herpesviruses. An Interdisciplinary Perspective. New York: Elsevier, 1981:139

15. Arffa RC: Viral diseases. In Grayson's Diseases of the Cornea, 3rd ed. St. Louis: CV Mosby, 1991:238–294

16. Dhaliwal DK, Romanowski EG, Yates KA, et al: Experimental laser-assisted in situ keratomileusis induces the reactivation of latent herpes simplex virus. Am J Ophthalmol 131:506, 2001

17. Perry HD, Doshi SJ, Donnenfelf ED, et al: Herpes simplex reactivation following laser in situ keratomileusis and subsequent corneal perforation. CLAO J 28:69, 2002

18. Liesegang TJ, Melton J, Daly PF, et al: Epidemiology of ocular herpes simplex.Incidence in Rochester, MN, 1950 through 1982. Arch Ophthalmol 107:1155, 1989

19. Gordon YJ: Pathogenesis and latency of herpes simplex virus type 1 (HSV-1): an ophthalmologist's view of the eye as a model for the study of the virus-host relationship. Adv Exp Med Biol 278:205, 1990

20. Goodpasture EW: Herpetic infection with special reference to involvement of the nervous system. Medicine 8:223, 1929

21. Roizman B: In Pollard M (ed): Perspectives in Virology. New York: Harper & Row, 1965

22. Fenner F: The Biology of Animal Viruses. New York: Academic Press, 1968

23. Stevens JG, Cook ML: Latent herpes simplex virus in spinal ganglia of mice. Science 73:740, 1971

24. Cook ML, Stevens JG: Pathogenesis of herpetic neuritis and gangliomites in mice: evidence of intra-axonal transport of infection. Infect Immunol 7:272–288, 1973

25. Pepose JS, Lieb DA, Stuart M, Easty D: Ocular infections and immunity. In Herpes Simplex Virus Diseases: Anterior Segment of the Eye. St. Louis: Mosby, 1995:908–909

26. Fraser NW, Spivack JG, Wroblewska Z, et al: A review of the molecular mechanism of HSV-1 latency. Curr Eye Res 9:1, 1990

27. Cook D, Hill JH: Herpes simplex virus: molecular biology and the possibility of corneal latency. Surv Ophthalmol 36:140, 1991

28. Rong BL, Kenyon KR, Bean KM, et al: Detection of the herpes simplex virus genome in the human cornea. Ophthalmology 95(suppl):159, 1988

29. Abghare SZ, Stulting RD: Recovery of herpes simplex virus from ocular tissues of latently infected inbred mice. Invest Ophthalmol Vis Sci 29:239, 1988

30. Cook SD, Batra SK, Brown SM: Recovery of herpes simplex virus from corneas of experimentally infected rabbits. J Gen Virol 68:2013, 1987

31. Gerdes JC, Smith DS: Recurrence phenotypes and establishment of latency following rabbit keratitis produced by multiple herpes simplex virus strains. J Gen Virol 64:2441, 1983

32. Centifanto-Fitzgerald YM, Fenger T, Kaufman HE: Virus proteins in herpetic keratitis. Exp Eye Res 35:425, 1982

33. Smeraglia R, Varnell ED, Centifanto UM, et al: The role of herpes simplex virus secreted glycoproteins in herpetic keratitis. Exp Eye Res 35:443, 1982

34. Kaufman HE, Varnell ED, Centifanto YM, et al: Effect of the herpes simplex virus genome on the response of infection to corticosteroids. Am J Ophthalmol 100:114, 1985

35. Jones BR: The management of ocular herpes. Trans Ophthalmol Soc UK 79:425, 1959

36. Coster DJ, Jones BR, Falcon MG: Role of debridement in the treatment of herpetic keratitis. Trans Ophthalmol Soc UK 97:314, 1977

37. Pavan-Langston D, Dohlman CH, Geary P, et al: Intraocular penetration of AraA and IDU—Therapeutic implication in clinical herpetic uveitis. Trans Am Acad Ophthalmol Otolaryngol 77:455, 1973

38. Laibson PR, Kratchmer JH: Controlled comparison of adenine arabinoside and idoxuridine therapy of human superficial dendritic keratitis. In Pavan-Langston D, Buchanan RA, Alford GA, eds. Adenine Arabinoside: An Anti-Viral Agent. New York: Raven Press, 1976:323

39. Teich SA, Cheung TW, Friedman AH: Systemic antiviral drugs used in ophthalmology. Surv Ophthalmol 37:19, 1992

40. LaLau C, Oosterhuis JA, Versteeg J, et al: Acyclovir and trifluorothymidine in herpetic keratitis—a multicenter trial. Br J Ophthalmol 66:506, 1982

41. LaLau C, Oosterhuis JA, Versteeg J, et al: Multicenter trial of acyclovir and trifluorothymidine in herpetic keratitis. Am J Med 73:305, 1982

42. Bialasiewicz AA, Jahn GJ: Systemische acyclovir—Therapie bei rezi divierender durch herpes simplex virus bedingter keratouveitis. Klin Monatsbl Augenheilkd 185:539, 1984

43. Collum LMT, Akhtar J, McGettrick P: Oral acyclovir in herpetic keratitis. Trans Ophthalmol Soc UK 104:629, 1985

44. Collum LMT, McGettrick P, Akhtar J, et al: Oral acyclovir (Zovirax) in herpes simplex dendritic corneal ulceration. Br J Ophthalmol 70:435, 1986

45. Wilhelmus KR: The treatment of herpes simplex virus epithelial keratitis. Trans Am Ophthalmol Soc 98:505, 2000

46. Beutner KR: Valcyclovir: a review of its antiviral activity, pharmacokinetic properties and clinical efficacy. Antiviral Res 28:281, 1995

47. Bohigan G, Dawson C, Coleman V: Retrobulbar administration of steroids in herpes simplex uveitis. Arch Ophthalmol 85:320, 1971

48. Liebowitz HM, Frangie JP: Inflammation of the cornea and its management. In Leibowitz H, Waring GO, eds. Corneal Disorders: Clinical Diagnosis and Management. 2nd ed. Philadelphia: WB Saunders, 1998:529–530

49. Margolis TP, Ostler HB: Treatment of ocular disease in eczema herpeticum. Am J Ophthalmol 110:274, 1990

50. Tullo AB, Easty DL, Shimeld C, et al: Isolation of herpes simplex virus from corneal discs of patients with chronic stromal keratitis. Trans Ophthalmol Soc UK 104:159, 1985

51. Dresner AJ, Seamans ML: Evidence of the safety and efficacy of adenine arabinoside in the treatment of herpes simplex epithelial keratitis. In Pavan-Langston D, Buchanan RA, Alford CA Jr, eds. Adenine Arabinoside: An Antiviral Agent. New York: Raven Press, 1975:382

52. Norn MS: Dendritic (herpetic) keratitis: IV. Follow-up examination of corneal sensitivity. Acta Ophthalmol 48:383, 1970

53. Beiji B, Algawi K, Foley-Nolan A, et al: Herpes simplex in children. Br J Ophthalmol 78:458, 1994

54. Hogan MJ, Kimura SJ, Thygeson P: Pathology of herpes simplex kerato-iritis. Trans Am Ophthalmol Soc 61:75, 1963

55. Dawson C, Togni B, Moore TE: Structural changes in chronic herpetic keratitis studied by light electron microscopy. Arch Ophthalmol 79:740, 1968

56. Easty DL, Shimeld C, Claove CMP, et al: Herpes simplex virus isolation in chronic stromal keratitis: Human and laboratory studies. Curr Eye Res 6:69, 1987

57. Font RL: Chronic ulcerative keratitis caused by herpes simplex virus. Electron microscopic confirmation in paraffin-embedded tissue. Arch Ophthalmol 90:382, 1973

58. Pepose JS: Herpes simplex keratitis: Role of viral infection versus immune response. Surv Ophthalmol 35:345, 1991

59. Pavan-Langston D: Herpetic infections. In Smolin G, Thoft RA, eds. The Cornea. Scientific Foundation and Clinical Practice, 3rd ed. Boston: Little, Brown & Co, 1994:169–215

60. Meyers R: Immunology of herpes simplex virus infection. Int Ophthalmol Clin 15:37, 1975

61. Meyers-Elliott R, Elliott JH, Maxwell WA, et al: HLA antigens in herpes stromal keratitis. Am J Ophthalmol 89:54, 1980

62. Meyers-Elliott R, Pettit T, Maxwell W: Viral antigens in the immune rings of herpes simplex stromal keratitis. Arch Ophthalmol 98:897, 1980

63. Wilhelmus KR, Coster DJ, Donovan HC, et al: Prognostic indicators of herpetic keratitis. Analysis of a five-year observation period after corneal ulceration. Arch Ophthalmol 99:1578, 1981

64. Holbach LM, Font RL, Baehr W, et al: HSV antigens and HSV DNA in avascular and vascularized lesions of human herpes simplex keratitis. Curr Eye Res 10(suppl):63, 1991

65. Holbach L, Font R, Naumann G: Herpes simplex stromal and endothelial keratitis. Ophthalmology 97:722, 1990

66. Wilhelmus KR, Falcon MG, Jones BR: Bilateral herpetic keratitis. Br J Ophthalmol 65:385, 1981

67. Dunkel EC, Pavan-Langston D, Fitzpatrick K, et al: Rapid detection of herpes simplex virus (HSV) antigen in human ocular infections. Curr Eye Res 7:661, 1988

68. Gebhardt BM, Reidy J, Kaufman HE: An affinity membrane test for superficial corneal herpes. Am J Ophthalmol 105:686, 1988

69. Dawson CR, Jones DB, Kaufman HE, et al: Design and organization of the herpetic eye disease study (HEDS). Curr Eye Res 10:105, 1991

70. Dawson CR: The Herpetic Eye Disease Study. Arch Ophthalmol 108:191, 1990

71. Pavan-Langston D, Abelson MB: The role of steroids in ocular herpes. In Boruchoff SA, Hutchinson BR, Lessell S, eds. Controversies in Ophthalmology. Philadelphia: WB Saunders, 1970:438

72. Pavan-Langston D, Abelson MB: Glucocorticoid therapy in ocular herpes simplex. II. Advantages. Surv Ophthalmol 23:43, 1978

73. Ostler HB: Glucocorticoid therapy in ocular herpes simplex. I. Limitations. Surv Ophthalmol 23:35, 1978

74. Thygeson P: The unfavorable role of corticosteroids in herpetic keratitis. In Boruchoff SA, Hutchinson BR, Lessell S, eds. Controversies in Ophthalmology. Philadelphia: WB Saunders, 1970:450

75. Kibrick S, Takahashi GH, Leibowitz HM, et al: Local corticosteroid therapy and reactivation of herpetic keratitis. Arch Ophthalmol 86:694, 1971

76. Easterbrook M, Wilkie J, Coleman V, et al: The effect of topical corticosteroid on the susceptibility of immune animals to reinoculation with herpes simplex. Invest Ophthalmol Vis Sci 2:181, 1973

77. Wilhelmus KR, Gee L, Hauck WW, et al: The Herpetic eye disease study. A controlled trial of topical corticosteroids for herpes simplex keratitis. Ophthalmology 101:1883, 1994

78. Wilhelmus KR: Diagnosis and management of herpes simplex stromal keratitis. Cornea 6:286, 1987

79. Kaufman HE, Martola EL, Dohlman C: Use of 5–iodo–2'deoxyuridine (IDU) in treatment of herpes simplex keratitis. Arch Ophthalmol 68:235, 1962

80. Pavan-Langston D, Nelson DJ: Intraocular penetration of trifluridine. Am J Ophthalmol 87:814, 1979

81. Collum LMT, Logan P, Ravenscroft T: Acyclovir (Zovirax) in herpetic disciform keratitis. Br J Ophthalmol 67:115, 1983

82. VanGanswijk R, Oosterhuis JA, Swart-Van Den Berg M, et al: Acyclovir treatment in stromal herpetic keratitis. Doc Ophthalmol 55:57, 1983

83. Colin J, Malet F, Chastel C, et al: Acyclovir in herpetic anterior uveitis. Ann Ophthalmol 23:28, 1991

84. Porter SM, Patterson A, Kho P: A comparison of local and systemic acyclovir in the management of herpetic disciform keratitis. Br J Ophthalmol 74:283, 1990

85. Schwab IR: Oral acyclovir in the management of herpes simplex ocular infections. Ophthalmology 95:423, 1988

86. Sundmacher R: Oral acyclovir—Therapie virologisch nachgewiesener intraokularer herpes simplex virus infektionen. Klin Monatsbl Augenheilkd 183:246, 1983

87. Sanitato JJ, Asbell PA, Varnell ED, et al: Acyclovir in the treatment of herpetic stromal disease. Am J Ophthalmol 98:537, 1984

88. Barron BA, Gee L, Hauck WW, Kurinji N, et al: Herpetic eye disease study. A controlled trial of oral acyclovir for herpes simplex stromal keratitis. Ophthalmology 101:1871, 1994

89. Lass J, Pavan-Langston D, Berman M: Treatment of experimental herpetic interstitial keratitis with medroxyprogesterone. Arch Ophthalmol 98:520, 1980

90. Gordon YJ: Herpetic stromal keratitis: A new molecular model and its clinical correlation. In Cavanagh HD, ed. The Cornea. Transactions of the World Congress on the Cornea III. New York: Raven Press, 1988:425

91. Metcalf JF, Reichert RW: Histological and electron microscopic studies of experimental herpetic keratitis in the rabbit. Invest Ophthalmol Vis Sci 18:1123, 1979

92. Oh JO: Endothelial lesions of rabbit cornea produced by herpes simplex virus. Invest Ophthalmol 9:196, 1970

93. Sundmacher R, Neumann-Haefelin D: Herpes simplex virus-positive and virus-negative keratouveitis. In Silverman AM, O'Connor GR, eds. Immunology and Immunopathology of the Eye. New York: Masson, 1979:225

94. Vannas A, Ahoner R, Makitie J: Corneal endothelium in herpetic keratouveitis. Arch Ophthalmol 101:913, 1983

95. Sundmacher R, Neumann-Haefelin D: Herpes simplex virus-positive and negative keratouveitis. In Silverstein AM, O'Connor R, eds. Immunology and Immunopathology of the Eye. New York: Masson, 1979:225–229

96. Power WJ, Hillery MP, Benedict-Smith A, et al: Acyclovir ointment plus topical betamethasone or placebo in first episode disciform keratitis. Br J Ophthalmol 76:711, 1992

97. Olsen TW, Hardten DR, Meiusi RD, et al: Linear endotheliitis. Am J Ophthalmol 117:468, 1994

98. Vogel A, Schneider H, Loffler KU: Histopathology of herpetic corneal endotheliitis. Klinische Monatsblatter for Augenheilkunde 219:449, 2002

99. Holland EJ, Schwartz GS: Classification of herpes simplex keratitis. Cornea 18: 144, 1999

100. Brown DD, McCulley JP, Bowman RW, et al: The use of conjunctival flaps in the treatment of herpes keratouveitis. Cornea 11:44, 1992

101. Lesher MP, Lohman LE, Yeakley W, et al: Recurrence of herpetic stromal keratitis after a conjunctival flap surgical procedure. Am J Ophthalmol 114:231, 1992

102. Ficker LA, Kirkness CM, Rice NS, et al: The changing management and improved prognosis for corneal grafting in herpes simplex keratitis. Ophthalmology 96:1587, 1989

103. Ficker LA, Kirkness CM, Rice NS, et al: Long-term prognosis for corneal grafting in herpes simplex keratitis. Eye 2(Part 4) :400, 1988

104. Larkin DFP: Corneal transplantation for herpes simplex keratitis. Br J Ophthalmol 82:107, 1998

105. Halberstadt M, Machens M, Gahlenbek KH, et al: The outcome of corneal grafting in patients with stromal keratitis of herpetic and non-herpetic origin. Br J Ophthalmol 86:646, 2002

106. Cohen E, Laibson P, Arentsen J: Corneal transplantation for herpes simplex keratitis. Am J Ophthalmol 95:645, 1983

107. Foster CS, Duncan J: Penetrating keratoplasty for herpes simplex keratitis. Am J Ophthalmol 92:336, 1981

108. Langston R, Pavan-Langston D, Dohlman CH: Penetrating keratoplasty for herpetic keratitis. Trans Am Acad Ophthalmol Otolaryngol 79:577, 1975

109. Polack FM, Kaufman HE: Penetrating keratoplasty in herpetic keratitis. Am J Ophthalmol 73:908, 1972

110. Patten JT, Cavanagh HD, Pavan-Langston D: Penetrating keratoplasty in acute herpetic corneal perforations. Ann Ophthalmol 8:287, 1976

111. Pfister RR, Richards JS, Dohlman CH: Recurrence of herpetic keratitis in corneal grafts. Am J Ophthalmol 73:192, 1972

112. Pfister RR, Richards JS, Dohlman CH: Recurrence of herpetic keratitis in corneal grafts. Am J Ophthalmol 73:192, 1972

113. Beyer CF, Hill JM, Kaufman HE: Antivirals and interferons. Ophthalmol Clin North Am 2:51, 1989

114. Falcon MG: Rational acyclovir therapy in herpetic eye disease. Br J Ophthalmol 71:102, 1987

115. Green MT, Dunkel EC, Morris BL: Quantification of herpes simplex virus type 1 shed in pre-ocular tear film of rabbits treated with acyclovir. Antimicrob Agents Chemother 20:580, 1981

116. Barney NP, Foster CS: A prospective randomized trial of oral acyclovir after penetrating keratoplasty for herpes simplex keratitis. Cornea 13:232, 1994

117. Beyer CF, Arens MQ, Hill GA, et al: Oral acyclovir reduces the incidence of recurrent herpes simplex in rabbits after penetrating keratoplasty. Arch Ophthalmol 107:1200, 1989

118. Van Rooij J, Rijneveld WJ, Remeijer L, et al: Effect of oral acyclovir after penetrating keratoplasty for herpetic keratitis. A placebo controlled multicentered trial. Ophthalmology 110:1916, 2003

119. Herpetic Eye Disease Group: Acyclovir for the prevention of recurrent herpes simplex virus eye disease. N Engl J Med 339:300, 1998

120. Lairson DR, Begley CE, Reynolds TF, et al: Prevention of herpes simplex virus eye disease: a cost effectiveness analysis. Arch Ophthalmol 122:108, 2003

121. Herpes Eye Disease Study Group: Predictors of recurrent herpes simplex keratitis. Cornea 20:123, 2001

Back to Top