Chapter 32
Corneal Perforations
JOEL SUGAR
Main Menu   Table Of Contents

Search

ETIOLOGIES
DIAGNOSIS
TREATMENT
CONCLUSION
REFERENCES

Corneal perforations occur in a number of circumstances. Regardless of the source, treatment is essential to maintain or restore the integrity of the globe, prevent the formation of synechiae, prevent the ingress of microorganisms or epithelium, and limit tissue destruction and scarring. In this chapter the discussion is focused on the causes, diagnosis, and treatment of corneal perforations.
Back to Top
ETIOLOGIES
Trauma from sharp objects often leads to lacerating perforations that are amenable to standard surgical repair. At times, however, tissue defects that cannot be coapted remain. Also, even after surgical wounds, leaks may persist or fistulous tracts develop. Likewise, trauma from chemicals or radiation leading to ulceration may lead to perforation.

Infection is probably the most frequently encountered source of corneal perforation. Direct invasion of microorganisms, proteolytic enzymes elaborated by organisms, corneal cells and inflammatory cells, persistent loss of epithelium, and decreased corneal sensitivity may all enhance the likelihood of ulceration and perforation in the presence of corneal infection. Bacterial, viral (Fig. 1), fungal, and protozoal infections can all result in loss of corneal substance and perforation. A suggestion has been made that the type of treatment of ulcers may affect perforation with an increased perforation rate reported following fluoroquinolone treatment of bacterial keratitis.1

Fig. 1. Perforated cornea from herpes simplex viral keratitis.

Exposure of the cornea due to abnormal lid function as can be seen after eyelid injury or ectropion from herpes zoster, or with limited lid closure and poor Bell's phenomenon as seen in some myopathies and neuropathies may lead to drying of the corneal surface, loss of epithelium, lysis of corneal stroma, and perforation. Entropion with trichiasis may also lead to corneal trauma and subsequent ulceration.

Tear insufficiency and ocular surface disorders may be associated with disruption of the epithelial barrier of the cornea and subsequent ulceration and perforation.

Inflammatory conditions affecting the cornea may also lead to melting and perforation. Rheumatoid arthritis may cause marginal melting or central melting and perforation.2 Wegener's granulomatosis may cause similar changes. Inflammatory syndromes of unknown etiology, including Mooren's ulcer, Fuchs' superficial marginal keratitis, and Terrien's degeneration, may lead to corneal perforation. Corneal inflammation induced by bacterial toxins and abnormalities of meibomian secretions in phlyctenulosis and rosacea may lead to perforation as well. Conjunctival inflammatory disorders including Stevens-Johnson syndrome and mucus membrane pemphigoid may lead to entropion and trichiasis, with ultimate corneal disruption and perforation.

Other disorders that may be associated with corneal perforation include keratomalacia secondary to vitamin A deficiency and, very rarely, keratoconus with hydrops.3

Back to Top
DIAGNOSIS
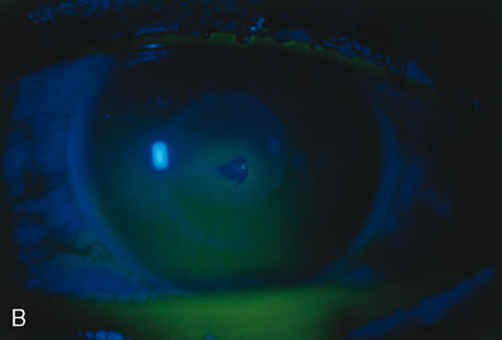
The diagnosis of corneal perforation seems intuitively obvious, but this is not always the case. Usually, shallowing of the anterior chamber is present and a perforation site can be readily seen. However, at times the site of leakage of aqueous may be small or obscured by necrotic, infiltrated, or edematous tissue and the chamber may be only minimally shallow. In this instance, Seidel testing is appropriate. This is done by covering the cornea with concentrated fluorescein, which is quenched or fails to fluoresce. When diluted by a trickle of aqueous humor, however, it fluoresces under cobalt blue light at the slit lamp (Fig. 2A). The same information may be obtained by moistening a fluorescein strip and “painting” the unquenched fluorescein on the cornea and looking under cobalt blue light for a stream of clear aqueous flowing into the green fluorescence (Fig 2B). At times, gentle pressure on the globe may be necessary to demonstrate tiny leaks, and sometimes a flat chamber or iris plugging the leak will lead to a negative test.

Fig. 2. A. A perforated cornea showing a positive Seidel test. Under cobalt blue light, the fluorescein does not radiate in the slit beam where it is quenched. In the lower portion of the beam where there is a bright reflection, the fluorescein is unquenched and glowing a bright yellow-green. B. A perforated cornea showing clear aqueous diluting unquenched fluorescein. (Courtesy Elmer Tu, MD.)

As important as making the diagnosis of the perforation is identifying the underlying cause. In trauma, the history is often sufficient to make the diagnosis. In infections, laboratory confirmation is important, and scraping and culture are often essential. Corneal biopsy may at times be necessary and may be part of the definitive treatment of the perforation, with the excised cornea at keratoplasty being used to make the diagnosis. External ocular examination including evaluation of lid function and anatomy, testing of corneal sensation, and evaluation of tear function may also help establish the etiologic diagnosis. In noninfectious inflammatory corneal melting, an evaluation for systemic inflammatory disease may be necessary.

Back to Top
TREATMENT
Treatment of corneal perforation has two goals. One is to re-establish the integrity of the globe, and the other is to treat the underlying problem so that ulceration and perforation will not recur.

With infectious processes, appropriate antimicrobial therapy must be initiated. Often, 24 hours of appropriate antibiotic treatment is carried out in bacterial perforations before definitively treating the perforation. In situations in which eyelid deformity has led to the problem, the eyelid abnormalities can be addressed concurrent with the treatment of the perforation. The same is true of patients with dry eyes in whom tear replacement, punctal occlusion, and other measures can be carried out at the same time as treatment of the perforation. With decreased corneal sensation, tarsorrhaphy can be performed after treatment of the perforation. In inflammatory conditions, immunosuppressant treatment may be necessary coincident with definitive repair and systemically or topically after repair.4

Definitive, that is, reparative, treatment of corneal perforation depends on the cause, location, size, and status of treatment of the underlying condition. Accompanying problems such as endophthalmitis and cataract may also play a role in the decision on definitive treatment.

Self-sealing perforations may need no reparative treatment. These perforations may occur with shelved lacerations or with small puncture wounds in which tissue swelling occludes the perforation tract. Wounds that are sealed by tissue prolapse usually require repair. Self-sealed wounds with tissue displacement may also be best repaired to reduce the likelihood of induction of irregular astigmatism.

Very small perforations with no associated tissue displacement may be amenable to the use of patching or soft contact lens placement. This is most likely to be effective in small leaks evident only with pressure or in descemetoceles in which tissue stabilization is essential to allow healing and in which the inciting process is under control.5 Small dry eye perforations are perhaps the most responsive to this approach. When soft contact lenses are used, frequent follow-up is essential, and more aggressive techniques may be necessary if this fails.

The use of tissue adhesives is an appealing approach to treatment of small perforations or descemetoceles with impending perforation. The advantage is that the adhesive may be applied under topical anesthesia at the slit lamp or in a minor procedure room. The disadvantages are that the glue may induce significant inflammation, may be uncomfortable for the patient, may adhere inadequately, may serve to harbor organisms once polymerized,6 and is often effective only in small perforations that can be readily dried. The tissue adhesives most commonly used in the United States are cyanoacrylates, usually isobutyl or higher alkyl compounds. None of these are approved for ophthalmic use by the Food and Drug Administration. 2-Octyl cyanoacrylate (Dermabond, Ethicon, Somerville, NJ) is approved by the U.S. Food and Drug Administration (FDA) for use on skin and has been effective in sealing corneal perforations. These substances polymerize rapidly when in contact with water. Various techniques have been described for the use of tissue adhesives. All require débridement of necrotic tissue and epithelium surrounding the perforation, drying of the area to which the glue is to be applied, and application of the least amount of glue that can cover the defect. Drying of the defect can be carried out with cellulose sponges, and air or viscoelastic may be placed behind the perforation to separate tissue and reduce the fluid present.8 The glue itself may be applied to a small plastic disk and then placed over the perforation (Fig. 3), applied directly from the tip of a fine needle attached to a tuberculin syringe,9 or applied with a specially made plastic applicator (Squeez-ett, Ellman Manufacturing Co, Hewlett, NY).10,11 The glue may come off and need to be reapplied, at times repeatedly. Usually, because of the rough surface of the polymerized glue, a bandage soft contact lens is placed on the eye after the glue has polymerized. The glue may be left in place until there is obvious healing of the perforation, until the glue spontaneously loosens because epithelium has grown beneath it, or until a more definitive procedure such as keratoplasty is carried out. Fibrin adhesives (e.g., Tisseel, Immuno Canada, Ltd) may be used in a similar fashion but have less inherent strength than the cyanoacrylates and have been used less frequently in the United States.12 Photopolymerized sealants are also being studied. These have the advantage of more controlled polymerization and hardening through laser irradiation after adhesive placement rather than the uncontrolled, very rapid polymerization seen with the cyanoacrylates.13

Fig. 3. This is a cornea with a perforation glued with cyanoacrylate applied using a plastic disk.

Conjunctival flaps play a less important role in the treatment of perforations than they do in the prevention of progression of corneal melting. Nonetheless, in some leaking descemetoceles and small perforations, conjunctival flaps may serve as a temporizing measure before keratoplasty.14 With the use of tissue adhesives and patch grafting, however, the use of conjunctival flaps for perforation has become almost obsolete.

Partial-thickness scleral flaps may be dissected with a base at the limbus and then reflected onto the cornea and sutured in place to treat small peripheral corneal perforations. To be most effective, the epithelium and the necrotic material surrounding the leak must be removed, and dissection of a small lamellar bed is helpful in suturing the sclera to the cornea. This technique is cosmetically less acceptable than the use of corneal material, but it may be of value in emergency situations. Another technique using autologous cornea has been described in which a small trephine (2 mm) was used to dissect a half-thickness peripheral corneal button, which was then sutured in place over a perforation in the cornea of the same eye.15 The donor site healed without complication, and the perforation was repaired as well. An intralamellar flap of cornea folded over the perforation site and then covered with a donor lamellar graft has also been described.16

Amniotic membrane has recently reappeared as a surgical tool and has been used to treat corneal ulceration and perforation. It may be used over fibrin glue to seal perforations17 but is more frequently used alone by filling the corneal defect with multilayered membrane, which is sutured in place and then covered with a larger piece of amniotic membrane with the epithelial surface anterior.18,19

The most frequently used techniques for definitive repair of perforations involve some form of keratoplasty using donor material. The choice between lamellar and full-thickness penetrating keratoplasty depends on a number of factors, including location and size of the perforation, donor tissue availability, and associated ocular findings. My preference is to choose lamellar grafting when the perforation is small and peripheral. Also, when there is marked anterior segment inflammation and a formed chamber, lamellar “patch grafting” may avoid instrumentation of the anterior chamber and the risk of fibrin outpouring, chamber flattening, and formation of synechiae.

Lamellar keratoplasty depends on the same principles as the use of tissue adhesive, that is, débridement of necrotic material and removal of surrounding epithelium. Additionally, however, a clean edge for suture placement is necessary and a dry bed is not necessary. The surgery may be done with the use of local or general anesthesia. The use of general anesthesia avoids the increase in orbital and intraocular pressure of a local anesthetic injection and decreases the risk of increasing the fluid leak or causing loss of a formed chamber. Local, especially low-volume peribulbar, anesthesia may work as well in situations in which general anesthesia must be avoided because of systemic illness in the patient. A recent study has shown lack of anesthetic related complications in 140 patients undergoing repair of open globe injuries under local anesthetic with intravenous sedation.20 The technique of surgery is to use a trephine to surround the involved area and, if possible, to cut into the tissue to sufficient depth to create a sharply marginated bed (Figs. 4, 5, and 6). More often, the eye is soft, so the trephine is painted with methylene blue and used to mark the area to be dissected. A sharp blade is then used to further deepen the edges of the bed. The margin of the tissue to be removed is then grasped, and a lamellar dissection of the tissue is carried out toward the center of the perforation. This is usually done with sharp dissection using a lamellar dissecting blade, such as a no. 66 Beaver blade or a crescent-type knife (Fig. 7). The central portion is removed last because the chamber, if not already lost, may flatten at this point (Fig. 8). Once the bed is dissected, the donor is prepared by lamellar splitting from a whole donor eye, dissection from a donor corneoscleral button held in a clamp or artificial anterior chamber, or full-thickness punching from a corneoscleral button. When a whole donor eye is used, the eye is grasped in a gauze pad and a sharp blade is used to incise the cornea at the limbus to the depth needed (Fig. 9). For a 50% lamellar bed, the donor should be dissected to 50% thickness or less. The cornea is then split with a spatula or dissecting blade (Fig. 10) and trephined from the anterior surface (Figs. 11 and 12). Our tendency is to oversize the donor diameter by 0.5 mm for small grafts and 1 mm for larger grafts. For a very deeply dissected recipient bed, a full-thickness donor may be used and punched from the endothelial side.

Fig. 4. Drawing of a perforated cornea.

Fig. 5. Using a trephine to surround the area of corneal perforation and necrosis.

Fig. 6. The area of perforation and necrosis has been surrounded by the trephine mark.

Fig. 7. The lamellar dissection is being carried out.

Fig. 8. The dissected lamellar bed. Note the clean margins to which the donor material can be sutured.

Fig. 9. A sharp blade is used to incise the donor cornea to partial thickness.

Fig. 10. A cyclodialysis spatula is used to lamellarly dissect the donor cornea.

Fig. 11. Trephination of the donor cornea.

Fig. 12. Removal of the anterior dissected lamellar corneal tissue.

Endothelium and Descemet's membrane can be readily removed before use of the tissue. For a peripheral deep bed and a small graft, full-thickness donor tissue may be obtained from the center of the donor cornea, making it thinner than the recipient bed. Donor tissue that is too thick may ride anterior to the recipient cornea and become disrupted by patient blinking. Once the donor tissue is prepared, it is sutured into the recipient bed with interrupted or continuous sutures (Figs. 13 and 14). Materials other than cornea may be used, such as sclera or periosteum, although they are more difficult to work with than cornea.

Fig. 13. Suturing the lamellar donor tissue into the dissected bed.

Fig. 14. Postoperative appearance of lamellar corneal patch graft.

Penetrating keratoplasty for corneal perforation is the most aggressive approach but may also be mandated by the circumstances present. Large perforations that are too large to seal with tissue adhesives or lamellar patch grafting, and smaller perforations surrounded by large areas of tissue necrosis may warrant penetrating grafts. The technique is that of standard penetrating keratoplasty with modifications because of the softness of the eye. With smaller perforations, tissue adhesives may be used to temporarily plug the leak so that trephination may be performed. Viscoelastics may be used to help form the anterior chamber by injection through the perforation site. Either way, a trephine large enough to surround all the necrotic tissue should be used. In a very soft eye, it may be painted with methylene blue and used to make a mark for later scissors cutting. In this circumstance, the scissors blade is inserted through the perforation site and used to cut out to the trephine mark and then to excise the tissue delimited by the mark. Once the diseased cornea has been excised, the chamber is formed with viscoelastic material, avoiding if possible excess iris manipulation because of the profuse fibrin production that may be induced. A donor cornea that is 0.25 to 0.50 mm larger is then sutured in place.

Outcomes in penetrating keratoplasty for perforation depend in part on the underlying disorder. Grafts in uninflamed eyes may do well, but outcomes in inflamed eyes are less favorable. Keratoplasty “à chaud,” or while hot, in eyes with microbial keratitis certainly has a less favorable result than in eyes where infection is no longer active. Kirkness and colleagues21 showed a 90% 5-year graft survival rate in eyes with noninfected perforations or scarring subsequent to microbial keratitis, compared with 51% in eyes with acute microbial keratitis with or without perforation. Nobe and associates22 also showed a much higher failure rate in grafts done acutely. Nevertheless, in these difficult circumstances, penetrating grafts may be the only appropriate means of restoring ocular integrity.

Back to Top
CONCLUSION
Treatment of perforation thus depends on a number of factors. Familiarity with the broad spectrum of etiologies and therapies is essential for appropriate patient management.
Back to Top
REFERENCES

1. Mallari PLT, McCarty DJ, Daniell M, Taylor H: Increased incidence of corneal perforation after topical fluoroquinolone treatment for microbial keratitis. Am J Ophthalmol 131:131, 2001

2. Kervick GN, Pflugfelder SC, Haimovici R et al: Paracentral rheumatoid corneal ulceration, clinical features and cyclosporine therapy. Ophthalmology 99:80, 1992

3. Ingraham HJ, Donnenfeld ED, Perry HD: Keratoconus with spontaneous perforation of the cornea. Arch Ophthalmol 109:1651, 1991

4. Raizman MB, Sainz de la Maza M, Foster CS: Tectonic keratoplasty for peripheral ulcerative keratitis. Cornea 10:312, 1991

5. Liebowitz HM, Berrospi AR: Initial treatment of descemetocele with hydrophilic contact lenses. Ann Ophthalmol 7:1161, 1975

6. Cavanaugh TB, Gottsch JD: Infectious keratitis and cyanoacrylate adhesive. Am J Ophthalmol 111:466, 1991

7. Taravella MJ, Chang CD: 2-Octyl cyanoacrylate medical adhesive in treatment of a corneal perforation. Cornea 20:220, 2001.

8. Hirst LW, Smiddy WE, Stark WJ: Corneal perforations: Changing methods of treatment, 1960–1980. Ophthalmology 89:630, 1982

9. Leahey EB, Gottsch JD, Stark WJ: Clinical experience with N-butyl cyanoacrylate (Nexacryl) tissue adhesive. Ophthalmology 100:173, 1993

10. Arentsen JJ, Laibson PR, Cohen EJ: Management of corneal descemetoceles and perforations. Ophthalmic Surg 16:29, 1985

11. Wessels IF, McNeill JI: Applicator for cyanoacrylate tissue adhesive. Ophthalmic Surg 20:211, 1989

12. Gauthier L, Lagoutte F: Utilisation d'une colle de fibrine (Tissucol) pour trailer les ulceres de cornée perforés et preperforés. J Fr Ophtalmol 12:469, 1989

13. Miki D, Dastgheib K, Kim T et al: A photopolymerized sealant for corneal laceration. Cornea 21:393, 2002.

14. Paton D, Milauskas AT: Indications, surgical technique, and results of thin conjunctival flaps on the cornea. Int Ophthalmol Clin 10:329, 1970

15. Lam S, Rapuano CJ, Krachmer JH, Lam BL: Lamellar corneal autograft for corneal perforation. Ophthalmic Surg 22:716, 1991

16. Titiyal JS, Ray M, Sharma N, Vajpayee RB: Intralamellar autopatch with lamellar keratoplasty for paracentral corneal perforations. Cornea 21:615, 2002.

17. Duchesne B, Tahi H, Galand A: Use of human fibrin glue and amniotic membrane transplant in corneal perforation. Cornea 20:230, 2001.

18. Hanada K, Shimazaki J, Shimmura S, Tsubota K: Multilayered amniotic membrane transplantation for severe ulceration of the cornea and sclera. Am J Ophthalmol 131:324, 2001.

19. Solomon A, Meller D, Prabhasawat P et al: Amniotic membrane grafts for nontraumatic corneal perforations, Descemetoceles, and deep ulcers. Ophthalmology 109:694, 2002.

20. Scott IU, McCabe CM, Flynn HW et al: Local anesthesia with intravenous sedation for surgical repair of selected open globe injuries. Am J Ophthalmol 134:707, 2002.

21. Kirkness CM, Picker LA, Steele ADM, Rice NSC: The role of penetrating keratoplasty in the management of microbial keratitis. Eye 5:425, 1991

22. Nobe JR, Moura BT, Robin JB, Smith RE: Results of penetrating keratoplasty for the treatment of corneal perforations. Arch Ophthalmol 108:939, 1990

Back to Top