Chapter 25
Anatomy and Embryology of the Optic Nerve
JIE ZHANG, RICHARD M. RUBIN and NARSING A. RAO
Main Menu   Table Of Contents

Search

ANATOMY
HISTOLOGY
BLOOD SUPPLY
EMBRYOLOGY AND HISTOGENESIS
REFERENCES

ANATOMY
The optic nerve is a unique part of the central nervous system (CNS). It lacks neuronal cell bodies and is isolated from the rest of the brain. The optic nerve consists of unbranched axons of the retinal ganglion cells and the glial cells. The number of axons can be considered a constant, whereas glia and myelin are present in variable amounts relative to the axons and the surrounding microenvironment.

The human optic nerve is approximately 50 mm long from the back of the eye to the optic chiasm and consists of four portions. The intraocular portion (optic nerve head) is approximately 1 to 1.5 mm long and 1.5 mm in diameter and traverses the sclera. The intraorbital portion, approximately 30 to 40 mm long and 3 to 4 mm in diameter, has a sinuous course that allows for considerable excursion as the globe moves. Approximately 8 to 15 mm behind the globe, the central retinal artery penetrates and reaches the axia of the optic nerve (Fig. 1). The intracanalicular portion, which is approximately 5 to 8 mm long, passes through the optic canal and is tightly fixed within the canal. The intracranial portion is approximately 10 mm long and joins with the contralateral nerve to form the optic chiasm. All of the CNS sheaths, including the pia mater, arachnoid, and dura mater, surround the intraorbital portion of the optic nerve.

Fig. 1. Anatomy of the optic nerve head and part of the intraorbital portion of the optic nerve. The intraocular part of the optic nerve consists of the nonmyelinated axons and appears as a semitransparent, yellowish segment (arrow). A portion of the intraorbital optic nerve. The myelinated axons demonstrate a wax-white color (**). The central retinal vessels penetrate into the axia of the optic nerve. The dura mater is continuous with the sclera (arrowhead).

Several important structures are situated close to the intracranial portion of the optic nerve. The frontal lobe of the brain lies above each optic nerve. The anterior cerebral and anterior communicating arteries separate the optic nerve from the olfactory tract. Laterally, the ophthalmic artery arises from the internal carotid artery and is located beneath the optic nerve near the optic canal. Because of the close anatomic relationship that exists between the proximal optic nerve, the chiasm, and the internal carotid artery and its branches, any space-occupying lesions that occur in this area may compress the optic nerve or chiasm, resulting in vision loss and visual field defects. Also, diseases of the sphenoid and posterior ethmoid cells, which are usually situated either inferiorly or inferomedially, may also affect the optic nerve and chiasm.

Back to Top
HISTOLOGY

OPTIC NERVE HEAD

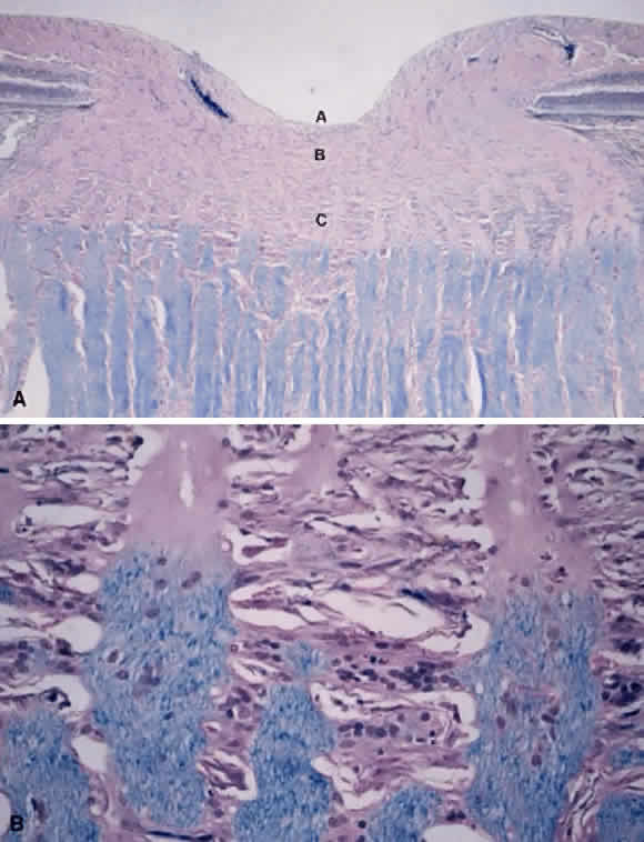
The optic nerve head extends from the surface of the optic disc to the posterior scleral surface,1 where the axons of the retinal ganglion cells form bundles that emerge from the nerve fiber layer and turn to exit from the globe. For the purposes of discussion, the optic nerve head is divided into three regions: (1) the surface nerve fiber layer, (2) the prelaminar region, and (3) the lamina cribrosa region.2

  1. The surface nerve fiber layer contains compact optic nerve fibers covered by a layer of astrocytes (the inner limiting membrane of Elschnig) that separates the nerve fiber layer from the vitreous. Its thickness is related to the size of the physiologic cup. Eyes with a small cup have a thick membrane; eyes with a large cup usually have a thinner membrane.
  2. The prelaminar region consists of nonmyelinated axons, astrocytes, capillaries, and surrounding connective tissues. The axons are arranged in bundles and surrounded by astrocytes. At the lateral edges of the prelaminar region, the axonal bundles are separated from the adjacent retina by glial tissue known as the intermediary tissue of Kuhnt and from the choroid by a primarily collagenous tissue known as the border tissue of Elschnig. A posterior extension of glia from the intermediary tissue of Kuhnt, the so-called border tissue of Jacoby, is located internal to the border tissue of Elschnig.1 The prelaminar portions contain very little collagenous connective tissue other than that which surrounds the central retinal vessels and capillaries of the disc.
  3. The lamina cribrosa is a specialized, sieve-like region with many oval or round openings through which pass the nerve fibers and the central retinal vessels. This region consists of dense, compact collagenous sheets of scleral trabeculae alternating with glial sheets. Elastic tissue is also found in this area.3,4 The astrocytes that line the openings in the lamina cribrosa form a continuous glial membrane that surrounds each nerve fiber bundle and separates the nerve fiber bundles from the adjacent connective tissue (Fig. 2).

Fig. 2. A. Histology of the optic nerve head. Longitudinal section: (A) the surface nerve fiber layer and the physiologic cup. (B) Prelaminar region. (C) Lamina cribrosa region. The nonmyelinated axons in the optic nerve head are not stained by Luxol fast blue, whereas the myelinated axons behind the lamina cribrosa are stained. Luxol fast blue, × 40. B. High magnification demonstrates the transmission of the nonmyelinated and myelinated axons, × 400.

Immunohistochemical analysis reveals two subtypes of astrocytes, types 1A and 1B, in the optic nerve head.5 Type 1A astrocytes, located at the edges of the cribriform plates, form the glial limiting membrane that supports the axons. Type 1B astrocytes form the glial columns, line the cribriform plates, and may interface between blood vessels and other connective tissue surfaces.5 Both astrocyte subtypes, 1A and 1B, are positive forglial fibrillary acidic protein (GFAP) and negative for A2B5, an antibody that recognizes an epitope common to sialogangliosides and sulfatides in the plasma membrane of neurons and neuroendocrine and glial cells.6,7 The major difference between the two subtypes is that type 1A astrocytes are negative for both HNK-1 and N-CAM (antibodies associated with the HNK-1 epitope and the neural cell adhesion molecule, respectively), whereas type 1B cells are positive for both of these antibodies.8–10 In contrast to the other portions of the optic nerve, there are no oligodendrocytes in the optic nerve head.

INTRAORBITAL, INTRACANALICULAR, AND INTRACRANIAL PORTIONS OF THE OPTIC NERVE

These three portions of the optic nerve are composed of myelinated axons; neuroglial cells, including astrocytes, microglia, and oligodendrocytes; and fibrovascular septa, consisting of the blood vessels, fibroblasts, and pial meningothelial cells. The axons are grouped into bundles by astrocyte columns and vascular connective tissue septa. Within a group, axons are separated from each other by myelin sheaths, interspaced with the cytoplasmic processes of glial cells.

Axons

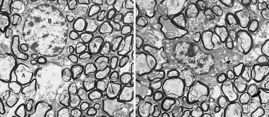
The axons, also called nerve fibers, are the major component of the optic nerve. The nonmyelinated axons of the retinal ganglion cells converge toward and turn sharply on the optic disc. Once they penetrate the lamina cribrosa, the axons immediately become myelinated (see Fig. 2). In cross-section using hematoxylin and eosin (H&E) stain, the principal myelinated optic nerve fibers appear as small, faintly stained, eosinophilic dots surrounded by relatively clear halos. These clear halos, representing the myelin sheaths, are the result of lipid dissolution during processing. Special stains can be used to enhance the appearance of axons (e.g., Bodian's method and Luxol fast blue staining). Under electron microscopy, the nerve fibers are identified as cytoplasm with mitochondria enveloped by multilaminar myelin sheaths. The myelin sheaths of the optic nerve are formed by oligodendrocytes (Fig. 3). A distinct arrangement of axons is found in the optic nerve: the peripheral retinal axons are located in the peripheral portion of the optic nerve, and the central area of the nerve contains fibers from the posterior retina. Macular fibers form the papillomacular bundle and enter the disc temporally; they remain temporal for a short distance behind the eye, but as they proceed further posteriorly these fibers become diffusely distributed. Nerve fibers arising in the nasal half of the retina cross in the chiasm; axons arising in the temporal half are uncrossed.11 It is believed that most optic nerve fibers carry afferent visual and pupillomotor impulses. A few fibers project to the hypothalamus or superior colliculus, where they may provide afferent information affecting the body's circadian rhythm or a rudimentary representation of the visual space (blindsight), respectively.12,13 Efferent (centrifugal) fibers of the optic nerve, presumed to be vasomotor in function, were identified in the human optic nerve after enucleation of the globe. Silver staining of these axons showed retrograde degeneration, whereas the remaining axons in the orbital portion of the optic nerve showed little or no retrograde degeneration. In uninterrupted optic nerve, efferent axons could not be differentiated from those of the afferent type.14

Fig. 3. Ultrastructure of the optic nerve. (A) Axons are surrounded by myelinated sheath. (B) Oligodendritic cell. (M) Microglial cell. × 18,750. (Courtesy of Dr. John R. Guy)

Glial Elements

As in the CNS, the glial elements of the optic nerve include astrocytes, oligodendrocytes, and microglia. The astrocytes and oligodendrocytes are derived from the neuroectoderm15; the origin of the micro-glia is controversial. Most studies support their origin from mesoderm rather than ectoderm.16,17

ASTROCYTES. All of the astrocytes in the optic nerve and optic nerve head appear to be fibrous, with a large cell body and many long, coarse processes. Astrocytes line the borders between axons and other tissues of the area, in particular the vitreous interface, choroid, sclera, and capillaries. With H&E staining, the cell processes are not demonstrable; their nuclei appear to be naked, and the cell bodies are likewise arranged into longitudinal rows with interspersed astrocytes and oligodendrocytes. Under electron microscopy, the astrocytes are characterized by rich processes, extensively lobulated nuclei, numerous intermediate glial filaments, glycogen granules and a wide type of granular endoplasmic reticulum.

In the optic nerve there are two subtypes of astrocytes, types 1 and 2, based on differences in the intensity of staining with anti-GFAP and A2B5 antibodies. Type 1 astrocytes, which are GFAP positive and A2B5 negative, are located at the periphery of the nerve and form the glial limitans.18–20 Type 2 astrocytes are positive for GFAP and A2B5. These are primarily located in the interior of the nerve and form transversely oriented processes that end on blood vessels (Fig. 4). Functionally, astrocytes provide a scaffolding that supports the axons and maintains a stable biochemical environment around the nerve fibers. At the site of axonal loss, astrocytes can form scar tissue, known as gliosis.

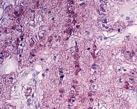
Fig. 4. Immunohistochemistry in longitudinal section of the optic nerve. The processes and cytoplasm of the astrocytes are stained positively by GFAP. The nuclei of astrocytes are arrayed longitudinally. × 660.

OLIGODENDROCYTES. Oligodendrocytes can make and maintain myelin sheaths of the optic nerve axons, similar to the function of Schwann cells in the peripheral nerves, but without forming a basement membrane around the myelin sheaths.21 Oligodendrocytes are normally absent in the retina and optic nerve head, appearing posterior to the lamina cribrosa. Morphologically, they show small, round or oval nuclei, a granular cytoplasm, and delicate branching processes that terminate in loops. Oligodendrocytes are located in groups between the axons, usually near the center of the axonal bundles, with their processes running parallel to the axons. In contrast to the astrocytes, oligodendrocytes are devoid of footplates; they do not exhibit any connection with connective tissue septa, and they lack the ability to regenerate once injured.

When viewed by electron microscopy, oligodendrocytes appear moderately electron dense compared with astrocytes. The nucleus is round or oval and is usually eccentrically located, leaving a large mass of cytoplasm at one pole of the cell. The nuclear content exhibits a slight clumping of chromatin that appears as a rim beneath the nuclear envelope. The cytoplasm is rich in ribosomes, either free or associated with the endoplasmic reticulum. The Golgi complex is well developed. The oligodendrocytes have neither glycogen granules nor bundles of intermediate filaments (see Fig. 3). When analyzed by immunohistochemical methods, oligodendrocytes stain negative for GFAP but positive for galactocerebroside, myelin basic protein, and neural cell marker HNK-1/N-CAM.5

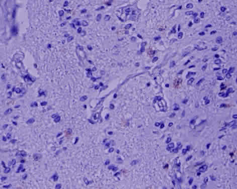
MICROGLIA. Microglia are the phagocytes of the CNS. In the normal optic nerve, these cells are ordinarily present in small numbers, and most are found within bundles of axons, with some situated adjacent to the glial septa and to blood vessels.17 Normally, these cells are irregularly oval, containing small nuclei and many long and slender branching processes. Under electron microscopy, microglial cells have small, heterochromatic nuclei. The cytoplasm shows vacuoles, granular endoplasmic reticulum arranged in long, narrow strands, and various inclusions, including large dense bodies, lamellar bodies, myelin bodies, and other forms of cellular debris (see Fig. 3).17 Immunohistochemical studies reveal that microglia in the retina are positive for Griffonia simplicifolia B4-isolectin, CR3 complement receptor, leukocyte common antigen (CD45), and antimacrophage marker CD68 (Fig. 5).22,23 These cells do not contain glial filaments.

Fig. 5. Immunohistochemistry in the longitudinal section of the optic nerve. CD68-positive cells (red) are scattered in the optic nerve and represent microglia. × 660.

Microglia usually reside quietly in the optic nerve, but they can be easily activated by trauma, inflammation, edema, or degenerative conditions. The activated microglia become oval or rod-shaped, their small nuclei enlarge and become elongated, and the complicated cytoplasmic processes are withdrawn. Activated cells can phagocytize a variety of materials and can express major histocompatibility complex class I and II molecules (see Fig. 5).22,23

Optic Nerve Sheaths and Their Spaces

The intraorbital portion of the optic nerve is enclosed by three sheaths that are continuous with the meninges of the CNS: the dura mater, arachnoid, and pia mater (Fig. 6). The outermost of these is the dura mater, a dense collagenous and elastic tissue. Anteriorly, the dura mater frays and inserts into the sclera and rectus muscle sheaths along with the ciliary arteries and nerves. Posteriorly, the dura mater divides into two layers. One of these layers fuses with the periosteum of the bony canal and with Zinn's annulus at the apex of the orbit; the remaining layer is tightly adherent to the bone of the canal and the optic nerve. When the optic nerve passes the cranial foramen of the canal, the dura mater becomes the periosteum of the sphenoid bone. Therefore, even small lesions that occur within the canal or at its openings will compress and damage the optic nerve.

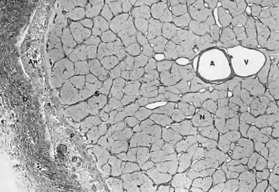
Fig. 6. Cross-section of the optic nerve. (A) central retinal artery; (V) central retinal vein; (S) connective septa from the pia mater; (P) pia mater; (An) arachnoid cell nests; (D) dura mater; (N) axon bundles intermingled with glia cell nuclei.

The arachnoid is composed of trabeculae of collagenous and elastic fibers lined by meningothelia. It contains numerous vessels, along with some fibroblasts and histiocytes. The meningothelia often proliferate in a concentric pattern and form onion-like structures, with or without calcification, known as the psammoma bodies or corpora arenacea, respectively.

The pia mater lies tightly on the surface of the nerve and consists of collagenous fibers, elastic fibers, and a fused glial layer. The pia mater invests the nerve and sends fibers into it to form the characteristic septa. The septa are separated from the surrounding nervous tissue by the foot processes of the astrocytes, but they are continuous with the collagenous adventitial sheaths of the central retinal artery and vein within the optic nerve. The pia mater joins the sclera and choroid anteriorly; posteriorly, it continues through the optic foramen to form the single sheath around the intracranial portion of the optic nerve.

The potential space between the dura mater and the arachnoid, known as the subdural space, does not communicate with the corresponding intracranial space and has little clinical significance. The subarachnoid space, between the arachnoid and the pia mater, is continuous with the corresponding intracranial space. It transmits cerebrospinal fluid, which provides a pathway for the spread of blood, infectious agents, and tumor cells between the eye and the CNS.

Back to Top
BLOOD SUPPLY

OPTIC NERVE HEAD

The blood supply to the optic nerve head comes from an extensive network of arterioles and capillaries originating from the short posterior ciliary arteries, the central retinal vessels, the pia mater, and the choroid. The surface nerve fiber layer is primarily supplied, in a centripetal pattern, by branches of the central retinal artery arising in peripapillary retina. Direct choroidal contribution is not demonstrated in this layer. Anteriorly, the capillaries in this region are continuous with the retinal capillary bed atthe disc margin; posteriorly, they connect with the capillary bed of the prelaminar region.2,24–27 When the cilioretinal artery is present, its precapillary branches may contribute to the temporal sector of this layer.2,26

The major blood supply to the prelaminar region is the short posterior ciliary arteries. The central retinal artery does not directly contribute to this portion. In fact, there is some controversy regarding the precise blood supply to this region. The Zinn-Haller circle is an arterial anastomotic circle made up of the short posterior ciliary arteries, but some investigators report that this circle is uncommon and incomplete when it exists.2,28 Others point out the many anatomic variations of this circle and its location approximately 200 to 300 mm posterior to the superchoroidal space surrounding the optic nerve head.25–27,29 The short posterior ciliary arteries supply the prelaminar region, both through direct branches and via the Zinn-Haller circle.

Another debate concerns whether the peripapillary choroidal vessels supply the optic nerve head. Some reports have emphasized the contributions of the centripetal branches from the peripapillary choroidal vessels to this region.2,28,30,31 Other studies have shown that branches from the short posterior ciliary arteries, passing through the sclera rather than through the choroid, supply most of the optic nerve head.25,27,32 However, 10% of the vessels entering the prelaminar region originate from choroidal vessels.26 The capillaries in this region are complex, randomly arranged, and continuous with the capillary bed of the surface nerve fiber layer and laminar region. Because of the capillary network, the central retinal artery and the short posterior ciliary artery can communicate and contribute to the prelaminar region.26,33 Infrequently, the branches of cilioretinal arteries also supply this region.26

The laminar region is entirely supplied by branches from the short posterior ciliary arteries and the Zinn-Haller circle.2,26 The peripapillary choroid may contribute occasional small arterioles.25 The capillaries in the laminar region form striated layers following the pattern of the connective tissue septa of this region and are continuous with the capillaries of the retrolaminar region.

The retrolaminar region is considered an integral part of the optic nerve head on the basis of blood supply. The blood to this region comes mainly from the pial vessels on the periphery of the optic nerve and branches arising from the short posterior ciliary arteries.2,25 The central retinal artery also contributes centrifugal branches during its intraneural course in the optic nerve.2 Hayreh2 reported contribution to this region from the peripapillary choroid, but the same was not noted by Onda and colleagues.25 This region also receives blood from the laminar region through a continuous capillary network. The capillaries become sparse in this region in comparison to the surface nerve fiber layer and the prelaminar and laminar regions.34–36 The blood supply to the optic nerve head is demonstrated in Figure 7.

Fig. 7. A. Arterial circulation of the anterior optic nerve conceived as primarily centripetal and from a single arterial source: the short posterior ciliary arteries (SPCA) and their derivative choroidal vessels (redrawn from Hayreh2). (CRA), central retinal artery; (SNFL), superficial nerve fiber layer; (Pre-LC), prelaminar region; (LC), lamina cribrosa; (R-LC), retrolaminar cribrosa. B. Composite illustration to scale of the various vascular arrangements. Venous vessels and superficial central retinal artery (CRA) plexus are not drawn in all. Retrolamina: (1) pia mater as source of transverse and longitudinal vessels. (2,2') Recurrent short posterior ciliary artery (SPCA) to retrolamina, and pial vessels to lamina cribrosa. (3,3') Pial-derived longitudinal arterioles course to and anastomose with laminar vasculature. (4) Occasionally realized large pial arteriole courses longitudinally through laminar tissue. (5) Intraneural branching of central retinal artery, with anastomosis to laminar and retrolaminar systems. Lamina cribrosa: (6) Transverse entry of scleral short posterior ciliary arteries that dominate laminar vasculature and mingle with longitudinal microcirculation. Prelamina: (7) Branch of short posterior ciliary artery courses through Elschnig tissue (E) at level choroid (CH) and enters into nerve. (8) Occasionally choroidal vessel to prelamina; S indicates sclera. Superficial nerve fiber layer (SNFL): (9) Choriocapillaris “spur” capillary anastomoses with other retinal and prelaminar vessels. (10) Both epipapillary and peripapillary branches of central retinal artery anastomose with prelaminar vessels. (Lieberman MF, Maumenee AE, Green WR: Histologic studies of the vasculature of the anterior optic nerve. Am J Ophthalmol 82:405, 1976)

The venous drainage of the optic nerve head is mainly through centripetal tributaries to the central retinal vein. Smaller venules also drain from the superficial nerve fiber layer to the choroid (opticociliary veins).26

The arteries, veins, and capillaries in the optic nerve head and the nerve are similar to the vessels of the CNS. The endothelia are nonfenestrated and have tight junctions. Pericytes and their processes are found on the outside of the endothelia in some capillaries. The blood vessels in the optic nerve head do not leak fluorescein or other tracers. The capillary network of the optic nerve head is separate from that of choroid. A vascular cuff is noted at the boundary of the peripapillary choroid and the optic disc head, which also has nonfenestrated endothelia.27 Although the capillary bed of the choroid similarly derives from the posterior ciliary arteries, it has a fenestrated endothelium with few pericytes, and it leaks fluorescein.

OPTIC NERVE

It is generally agreed that the main blood supply to the intraorbital portion of the optic nerve is directly or indirectly derived from the ophthalmic artery via the vessels of the pia mater. Ophthalmic artery branches cross the dural sheath 10 to 12 mm behind the eye to contribute to the pial system. Recurrent branches from the posterior ciliary arteries and juxtapapillary choroid add to the anterior pial supply. The centripetal branches from the central retinal artery may cosupply the intraorbital optic nerve. The central retinal artery, also a branch of the ophthalmic artery, passes directly through the subarachnoid space to enter the nerve, whereas the accompanying vein has a variable course that is more oblique. The intracranial portion of the optic nerve is supplied by the vessels derived from the internal carotid, anterior cerebral, anterior communicating, and ophthalmic arteries. The pial arterioles become capillaries as they pass through the pial septa into the axial portion of the nerve. Capillaries in the retrolaminar optic nerve are continuous with those of the laminar region but are decreased in number.34–36

The pathway of the ophthalmic artery branches to the central retinal vessels through the sheaths and into the nerve is of clinical importance. Neoplasms and inflammatory processes originating in the eye or the optic nerve may follow their course and gain access to the subarachnoid space and hence to the brain.

Back to Top
EMBRYOLOGY AND HISTOGENESIS

OPTIC NERVE HEAD

The optic nerve head is formed late in the embryonic period as the optic stalk encloses the hyaloid artery (the eighth week, 20-mm stage). At this stage, the hyaloid artery is inside the hyaloid canal, which communicates with the primary vitreous. Bergmeister's papilla consists of a cone-shaped mass of glial cells at the mouth of the hyaloid canal (23- to 32-mm stage), where the hyaloid artery exits from the disc. From the hyaloid artery, the vascular buds develop (the 13th week, 96-mm stage) within Bergmeister's papilla and through it into the nerve fiber layer of the retina. The glial cells form the sheaths of these vessels. Eventually, the hyaloid artery disappears before birth, Bergmeister's papilla becomes atrophic, and the physiologic cup of the optic disc develops at the 15th week of gestation.

OPTIC NERVE

Axons

The optic nerve develops from the embryonic optic stalk, which appears at the fourth week and connects the optic vesicle to the forebrain (Table 1). As the stalk lengthens, it becomes thinner and the lumen is progressively occupied by the axons growing from the ganglion cells of the retina (the seventh week, 15-mm stage). In the meantime, the embryonic cleft closes at the sixth week of gestation. At the eighth week, axons fully occupy the stalk and reach the brain, and a rudimentary optic chiasm is established. The mechanism by which the embryonic retinal ganglion cell axons reach the optic disc remains unclear. Many factors, such as the paired box containing the Pax2 gene,37 the axon guidance molecule netrin-1,38 and other cell surface or extracellular matrix components39 may be involved in axon pathfinding mechanisms. Expression errors of these molecules lead to optic nerve hypoplasia. The axons of the optic nerve are surrounded by myelin sheaths. Myelinization begins centrally, progresses in a centrifugal direction toward the eye, and terminates at the level of the lamina cribrosa. The myelin sheath is produced by oligodendrocytes, and myelinization is usually complete shortly after birth.

 

TABLE ONE. Development of the Optic Nerve 24,41,42


Week of GestationLength (mm)Developing Events
42.5–6 mmShort optic stalk
55–9 mmDevelopment of hyaloid vasculature
68–14 mmEmbryonic cleft closes
713–18 mmGrowth of axons
  Formation of optic nerve
818–31 mmStalk fully occupied by axons
  Axons of optic nerves reach the brain
  Rudimentary optic chiasm established
  Optic nerve vascularization starting to form
  Optic nerve head starting to form
1165–73 mmVascular-connective septa invade the nerve
1280 mmPia mater, arachnoid, and dura mater distinguishable
  Glial filaments appear
14105 mmSubarachnoid space appears
15117–123 mmPhysiologic cup starts to form
18160 mmVascularization of the optic nerve completed
23220 mmMyelinization starts

 

Optic Nerve Sheaths

The sheaths of the optic nerve begin to appear at the end of the seventh week. Thin, elongated mesenchymal cells surround the optic nerve (10-mm stage) and become a single compact layer by the 17-mm stage. The pia mater can be identified by the ninth to tenth week of gestation (45- to 50-mm stage), followed by the dura mater at the fifth month of gestation and the arachnoid sheath by the sixth and seventh months of gestation. Both the pia mater and the arachnoid are derived from the neural crest.

Glial Element

At the ninth week (45-mm stage), the glial cells in the optic nerve are oriented in rows between the fascicles of axons. A peripheral layer of glial cells forms a glial limitans made up of immature astrocytes with glial filaments under the thin meningeal sheath. The glial limitans is separated from the pia mater by a complete basement membrane. Astrocytes line the connective tissue septa and capillaries. They are distributed among the axons at the 200-mm stage.

It has been suggested that optic nerve oligodendrocytes may originate from the astrocytes that occupy the optic nerve before myelinization rather than exclusively from glioblasts. The glial cells in the optic nerve and retina may differentiate into astrocytes and oligodendrocytes.14,16,40,41

It is not clear whether microglia originate from mesoderm or ectoderm, although most studies support a mesodermal origin.17 Under the electron microscope, microglia are identified in the optic nerve at the eighth week of gestation. Most microglia are found within bundles of axons, and there is no preferential distribution in relation to blood vessels or to the pial surface at any stage of development. The percentage of microglia present increases from 1.3% at 8 weeks to 2.7% at 18 weeks.14

Vasculature

The development of capillaries in the optic nerve and the CNS is similar. At the 11th week (65- to 73-mm stage), vessels and connective tissue from the pia mater begin to enter the proximal optic nerve and slowly enlarge the connective tissue septa during the next few months.3 The capillaries within the optic nerve are separated from the axons by a relatively complete astrocyte sheet and perivascular space. In the 18th week (160-mm stage), vascularization of the optic nerve is completed, and there may be anastomoses anteriorly by this stage with the arterial circle of Zinn-Haller. The capillaries within the neural tissue are surrounded by astrocytes and by a partially fused double basement membrane of both endothelial and glial cell origin. The basement membrane along the astrocytic foot processes defines the limits of the connective tissue septa along the neural tissue.41,42

Back to Top
REFERENCES

1. Fine B, Yanoff M: The optic nerve. In Fine B, Yanoff M. Ocular Histology: A Text and Atlas, 2d ed., pp 272–287. Hagerstown, MD, Harper & Row, 1979

2. Hayreh SS: Anatomy and physiology of the optic nerve head. Trans Am Acad Ophthalmol Otolaryngol 78:240, 1974

3. Hernandez MR, Igoe F, Neufeld AH: Extracellular matrix of the human optic nerve head. Am J Ophthalmol 102:139, 1986

4. Hernandez MR, Luo XX, Igoe F, Neufeld AH: Extracellular matrix of the human lamina cribrosa. Am J Ophthalmol 104:567, 1987

5. Ye H, Hernandez MR: Heterogeneity of astrocytes in human optic nerve head. J Comp Neurol 362:441, 1995

6. Raff MC, Mirsky R, Fields KL et al: Galactocerebroside is a specific cell-surface antigenic marker for oligodendrocytes in culture. Nature 274:813, 1978

7. Eisenbarth GS, Walsh FS, Nirenberg M: Monoclonal antibody to a plasma membrane antigen of neurons. Proc Natl Acad Sci USA 76:4913, 1979

8. Schuller-Petrovic S, Gebhart W, Lassmann H, Rumpold H, Kraft D: A shared antigenic determinant between natural killer cells and nervous tissue. Nature 306:179, 1983

9. Arimatsu Y, Naegele JR, Barnstable CJ: Molecular markers of neuronal subpopulations in layers 4, 5, and 6 of cat primary visual cortex. J Neurosci 7:1250, 1987

10. Naegele JR, Barnstable CJ: A carbohydrate epitope defined by monoclonal antibody VC1.1 is found on N-CAM and other cell adhesion molecules. Brain Res 559:118, 1991

11. Hoyt WF, Luis O: Visual fiber anatomy in the infrageniculate pathway of the primate. Arch Ophthalmol 68:94, 1962

12. Cowey A, Stoerig P: The neurobiology of blindsight. Trends Neurosci 14:140, 1991

13. Morin LP: The circadian visual system. Brain Res Rev 19:102, 1994

14. Wolter JR: The centrifugal nerves in the human optic tract, chiasm, optic nerve and retina. Trans Am Ophthalmol Soc 63:678, 1965

15. Sturrock RR: A light and electron microscopic study of proliferation and maturation of fibrous astrocytes in the optic nerve of the human embryo. J Anat 119:223, 1975

16. Sturrock RR: Microglia in the human embryonic optic nerve. J Anat 139:81, 1984

17. Ling EA, Wong WC: The origin and nature of ramified and amoeboid microglia: a historical review and current concepts. Glia 7:9, 1993

18. Raff MC: Glial cell diversification in the rat optic nerve. Science 243:1450, 1989

19. Miller RH, Raff MC: Fibrous and protoplasmic astrocytes are biochemically and developmentally distinct. J Neurosci 4:585, 1984

20. Skoff RP, Knapp PE, Bartlett WP: Astrocytic diversity in the optic nerve: a cytoarchitectural study. In Fedoroff S, Vernadakis A (eds): Astrocytes: Development, Morphology, and Regional Specialization of Astrocytes, Vol. 1., p 269. Orlando, Academic Press, 1986

21. Lampert PW, Vogel MH, Zimmerman LE: Pathology of the optic nerve in experimental acute glaucoma. Electron microscopic studies. Invest Ophthalmol 7:199, 1968

22. Penfold PL, Madigan MC, Provis JM: Antibodies to human leucocyte antigens indicate subpopulations of microglia in human retina. Vis Neurosci 7:383, 1991

23. Penfold PL, Provis JM, Liew SCK: Human retinal microglia express phenotypic characteristics in common with dendritic antigen-presenting cells. J Neuroimmunol 45:183, 1993

24. Orgul S, Cioffi GA: Embryology, anatomy, and histology of the optic nerve vasculature. J Glaucoma 5:285, 1996

25. Onda E, Cioffi GA, Bacon DR, Van Buskirk EM: Microvasculature of the human optic nerve. Am J Ophthalmol 120:92, 1995

26. Lieberman MF, Maumenee AE, Green WR: Histologic studies of the vasculature of the anterior optic nerve. Am J Ophthalmol 82:405, 1976

27. Anderson DR, Braverman S: Reevaluation of the optic disc vasculature. Am J Ophthalmol 82:165, 1976

28. Anderson DR: Vascular supply to the optic nerve of primates. Am J Ophthalmol 70:341, 1970

29. Zhao Y, Li F: Microangioarchitecture of optic papilla. Jpn J Ophthalmol 31:147, 1987

30. Henkind P, Levitzky M: Angioarchitecture of the optic nerve. I. The papilla. Am J Ophthalmol 68:979, 1969

31. Levitzky M, Henkind P: Angioarchitecture of the optic nerve. II. Lamina cribrosa. Am J Ophthalmol 68:986, 1969

32. Ernest JT, Archer D: Fluorescein angiography of the optic disk. Am J Ophthalmol 75:973, 1973

33. Hayreh SS: The central artery of the retina: its role in the blood supply of the optic nerve. Br J Ophthalmol 47:651, 1963

34. Goder G: The capillaries of the optic nerve. Am J Ophthalmol 77:684, 1974

35. Olver JM, Spalton DJ, McCartney ACE: Microvascular study of the retrolaminar optic nerve in man: the possible significance in anterior ischaemic optic neuropathy. Eye 4:7, 1990

36. Olver JM, Spalton DJ, McCartney ACE: Quantitative morphology of human retrolaminar optic nerve vasculature. Invest Ophthalmol Vis Sci 35:3858, 1994

37. Torres M, Gómez-Pardo E, Gruss P: Pax2 contributes to inner ear patterning and optic nerve trajectory. Development 122:3381, 1996

38. Deiner MS, Kennedy TE, Fazeli A, Serafini T, Tessier-Lavigne M, Sretavan DW: Netrin-1 and DCC mediate axon guidance locally at the optic disc: loss of function leads to optic nerve hypoplasia. Neuron 19:575, 1997

39. Brittis PA, Silver J: Multiple factors govern intraretinal axon guidance: a time-lapse study. Mol Cell Neurosci 6:413, 1995

40. Takayama S, Yamamoto M, Hashimoto K, Itoh H: Immunohistochemical study on the developing optic nerves in human embryos and fetuses. Brain Dev 13:307, 1991

41. Rhodes RH: Development of the optic nerve. In Jakobiec F (ed): Ocular Anatomy, Embryology and Teratology, p 601. Philadelphia, Harper & Row, 1982

42. Duke-Elder ST, Cook C: Normal and abnormal development. Part I. Embryology. In: Duke-Elder ST (ed). System of Ophthalmology, Vol.III, p 109. London, Henry Kimpton, 1963

Back to Top