Chapter 76
Ocular Toxoplasmosis
GARY N. HOLLAND and G. RICHARD O'CONNOR
Main Menu   Table Of Contents

Search

PREVALENCE
THE PARASITE
TRANSMISSION AND PATHOGENESIS OF HUMAN INFECTIONS
EXPERIMENTAL MODELS OF OCULAR TOXOPLASMOSIS
DISEASE MECHANISMS
HISTOPATHOLOGY
PRINCIPLES OF THERAPY AND PREVENTION
SUMMARY OF GUIDING PRINCIPLES
REFERENCES

Surveys have consistently shown ocular toxoplasmosis—caused by infection with the protozoan parasite Toxoplasma gondii—to be the most common form of posterior uveitis in many parts of the world, found in at least 30% to 50% of all cases.1–3 The rate varies, depending on the geographic area in which a given survey is made, age of patients examined, and other important factors such as dietary habits and immunologic status. Most ocular disease episodes that are encountered by ophthalmologists represent recurrent disease. The source of the original infection is not always known, and concepts regarding primary retinal infections are in evolution.

The lesions of ocular toxoplasmosis (Fig. 1) can be important causes of blindness, particularly if they involve the macula, the papillomacular bundle, or the optic nerve. Occasionally, a large peripheral lesion casts off so much inflammatory material into the overlying vitreous humor that vision is affected. In some cases, inflammation initiates organization of the vitreous body; on subsequent contraction of the fibrous bands within this inflammatory mass, tearing of the retina may occur and retinal detachment may ensue.

Fig. 1. The characteristic lesions of toxoplasmic retinochoroiditis in the fundus of an adult. Black arrow denotes active lesion with indistinct borders. White arrow denotes healed “satellite lesions.” (O'Connor GR: Ocular toxoplasmosis. In Locatcher-Khorazo D, Seegal BC (eds): Microbiology of the Eye. St Louis, CV Mosby, 1972.)

If humans are to be spared the effects of ocular toxoplasmosis, the answers must be found to certain pressing questions. How do humans acquire the disease? Can truly effective methods of prevention be found: in particular, can effective vaccines be developed that can be given at an early age? What elements of the antigenic structure of T gondii are important in producing effective immunity? Once infection in the eye is established, what can be done to minimize effects? What is the relative importance of hypersensitivity to the organism or to its antigenic products in the damage that occurs in recurrent episodes? If recurrent attacks are the result of the release of encysted organisms into normal retinal tissue, how can the tissue cysts be eradicated? What are the most suitable antimicrobial agents for treatment of ocular toxoplasmosis: when and for how long should they be administered? These and a host of other questions remain for researchers to answer.

This chapter emphasizes information about the epidemiology of toxoplasmosis and about associated disease mechanisms that will help clinicians to evaluate patients appropriately for ocular involvement and to manage ocular lesions effectively. More detailed information about the clinical features of disease, diagnostic tests, and drug treatment is available in other references.4–6

Back to Top
PREVALENCE
Toxoplasmosis is virtually worldwide in distribution. Serologic surveys have shown a high prevalence of antibodies in tropical areas such as the South Pacific and a relatively low prevalence of antibodies in cold regions such as Iceland.7,8 At any given latitude, those living in mountainous areas above altitudes of 5000 feet seem to show lower degrees of infestation than racially and gendermatched counterparts living at sea level, but the reason for this difference is unclear.

The true prevalence of ocular toxoplasmosis in various communities is not known for several reasons. Ocular disease may be asymptomatic or minimally symptomatic, and scars may exist in individuals who had remote episodes of toxoplasmic retinochoroiditis that went unrecognized. Ocular toxoplasmosis may occasionally be confused with other forms of retinitis and uveitis or even with neoplastic disorders, such as large-cell lymphoma.

A large community survey in the state of Maryland identified retinochoroidal scars consistent with healed lesions of ocular toxoplasmosis in 0.6% of the population, and additional studies have found similar rates in other parts of the United States.9 In contrast, nearly 18% of the population in some areas of southern Brazil have such scars.10

If an expectant mother acquires systemic toxoplasmosis during the course of her pregnancy, she is at substantial risk (about 40%) for transmitting the disease to her unborn child.11 Based on numerous studies, the rate of congenital infections has been reported to be as low as 0.01% of live births in the United States to as high as 0.33% of live births in France.5 The child may appear to be healthy at birth but can develop signs of ocular or cerebral disease later. As many as 80% of individuals with congenital toxoplasmosis develop retinal lesions but these lesions may not develop for months or years after birth.12,13 Routine surveys of institutions for mentally defective children have uncovered the telltale signs of healed retinochoroiditis in the fundi of many of the institutionalized individuals, indicating that congenital toxoplasmosis—detected or not detected at birth—was the cause of mental retardation and eye lesions.14 Ocular lesions may be the only manifestation of congenital infection, however.

For many years, the rate of ocular involvement in patients with acquired T gondii infection was believed to be in the range of 2% to 3%.15,16 More recently, it has been shown that the rate may be higher. In 1995, contaminated water from a municipal reservoir was implicated in an epidemic of acquired toxoplasmosis in Victoria, British Columbia.17 After the epidemic, 100 cases of acquired toxoplasmosis were identified. Of the 100 patients, 19 had active retinitis, consistent with T gondii infection.

The frequency of recurrent attacks of inflammation is highly variable and cannot be foretold. Observed rates of recurrent disease are lower than the predicted prevalence of toxoplasmic lesions in a population.18 The median age at which recurrence develops has been reported to be early in the third decade, with 75% of reported cases occurring between 10 and 35 years of age.5,19

Ocular toxoplasmosis appears to be more common among immunosuppressed patients than in the general population. In patients with acquired immunodeficiency syndrome (AIDS), ocular involvement is less common than toxoplasmic encephalitis, however.

Back to Top
THE PARASITE
Toxoplasma gondii is an obligate intracellular protozoan parasite. Its exact place in the world of protozoan parasites was not determined until 1970, when Hutchison and colleagues20 in Scotland and Frenkel and coworkers21 in the United States discovered almost simultaneously the coccidian nature of this organism. Coccidian parasites undergo sexual reproduction in epithelial cells of the small intestine. The taxonomic classification of T gondii is as follows:

  Phylum: Protozoa
  Subphylum: Apicomplexa
  Class: Sporozoasida
  Subclass: Coccidiasina
  Order: Eucoccidiorida
  Suborder: Eimeriorina
  Family: Sarcocystidae
  Subfamily: Toxoplasmatinae
  Genus: Toxoplasma
  Species: gondii (only one species known).

The one-celled nature of the parasite justifies its designation as a protozoan. The organism, which measures about 7 μ in length by 2.5 μ in width, has a blunt posterior and a more pointed anterior end. Anteriorly, a “conoid” or primitive mouth is encountered. The conoid contains several internal organelles, including a polar ring from which 22 subpellicular tubules originate (Fig. 2). Rhoptries—specialized organelles that seem to have a secretory function—also terminate in this area, which is known as an apical complex. Hence, the subphylum is called “apicomplexa.” T gondii invades its host by means of sporozoites, eight of which are ultimately derived from each fertilized macrogametocyte, or ookinete. The crescent-shaped sporozoites penetrate the host cell membrane with their conoids, justifying the class designation “Sporozoasida.” Members of this class have both sexual and asexual reproduction. They move by gliding and flexing.

Fig. 2. Electron micrograph of the apical complex of a T gondii tachyzoite. Subpellicular structures have been revealed by negative staining with phosphotungstic acid (× 82,000). APR, anterior polar ring; C, conoid; PPR, posterior polar ring; MT, microtubule; P, remnant of pellicle.

The discovery that sexual reproduction of T gondii takes place in the intestinal epithelium of cats immediately before shedding of oocysts in the feces led to its assignment to the subclass Coccidiasina. Members of this subclass are almost exclusively parasites of vertebrates and their gametocytes are intracellular.

T gondii, similar to certain other sporozoan parasites including Sarcocystis and Besnoitia species, forms cysts in certain tissues of the host, notably skeletal muscle or brain. These tissue cysts, containing hundreds or thousands of slowly multiplying parasites (bradyzoites), are the product of asexual reproduction. The tissue-cyst walls are derived partly from materials secreted by the parasite and partly from materials that come from the parasitized host cell. The ingestion of animal flesh infested with these tissue cysts facilitates the transfer of the parasite to a new host; the tissue cyst is relatively resistant to peptic digestion in the stomach but is readily susceptible to the action of trypsin in the small intestine. T gondii, resembling Sarcocystis species regarding the formation of tissue cysts derived from asexual reproduction, is considered to be a member of the family Sarcocystidae. All members of this family are monoxenous; that is, their definitive host is a single vertebrate species, such as the cat. All reproduce by a unique form of cell division termed endodyogeny.

Lastly, the subfamily Toxoplasmatinae, named after its prototype Toxoplasma species, has many distinct characteristics. Its sporocysts are contained within thin membranes in the oocyst. Both meronts (schizonts) and gamonts (sexual forms) are found within intestinal cells, and the gamonts mate there to form oocysts.

LIFE CYCLE

As described, T gondii exists in several different biologic forms. On its release from a sporulated oocyst, the sporozoite may multiply rapidly in intestinal epithelium for several generations before migrating through the intestinal wall and invading regional lymph nodes; this rapidly multiplying form is called a tachyzoite. Reproduction of the tachyzoite may occur by schizogony, the simultaneous cleavage of nuclear and cytoplasmic materials to yield several equal-sized merozoites that usually adhere to each other in the form of a “rosette.”

Some tachyzoites migrate within the protective milieu of leukocytes to extraintestinal sites, including skeletal muscle, heart, brain, and eye. Here, because of biochemical signals that are as yet imperfectly understood, they become encysted and slowly begin the process of bradyzoite (slow cell) formation. Conditions of cell nutrition, including the availability of the products of oxidative metabolism, may influence the shift to tissue-cyst formation. In contrast, Shimada and associates22 showed that the presence of both specific anti-T gondii antibody and complement in the immediate environment of cultured cells infected with T gondii stimulated the formation of tissue cysts. The rate of reproduction of cells in the mature retina and brain is slow. It may be that certain metabolic factors in the retina and brain favor the formation of tissue cysts in situ after the initial establishment of infection in these tissues. The wall of the tissue cyst is composed of complex proteins and polysaccharides arranged to permit the passage of water, gases, electrolytes, and amino acids across the tissue-cyst-wall barrier but substances of higher molecular weight, such as proteins, are probably excluded.

Tissue-cyst formation at these sites is a potential disadvantage for the host because tissue cysts are reservoirs of slowly multiplying organisms that on rupture of the tissue cyst wall can cause a recurrence of inflammation. Organisms within tissue cysts are also harder to kill with drugs than are tachyzoites. Tissue cysts are probably the means by which most T gondii infections are passed from animal to animal. On eating the carcasses of chronically infected animals, birds and rodents become intermediate hosts for the parasite. When they in turn are eaten by cats, the life-cycle may be completed. If a cat has never been infected, the life-cycle may be initiated in the cat's intestine.

The factors that influence merozoites (products of asexual reproduction) to become gametocytes are unknown but this conversion can occur only in the intestinal epithelium of the cat (including virtually all members of the cat family—Felidae). The cat is thus the definitive host for T gondii, and all other animal species that become infected with this parasite can be considered incidental or intermediate hosts. The macrogametocytes (female forms) and microgametocytes (male forms) each have their own highly distinctive morphologic characteristics, as demonstrated by Hutchison and associates.20 Microgametocytes generally produce about 12 microgametes, each of which penetrates a mature macrogamete. These forms unite within the superficial epithelium of the cat's intestinal mucosa. This union produces an ookinete, which is subsequently shed in the cat's feces as an unsporulated oocyst. Such oocysts require from 1 to 5 days for sporulation in an environment such as moist soil. Once sporulation has taken place, the oocysts are fully infective to humans in addition to numerous other species including herbivores (e.g., sheep, cattle). When previously uninfected cats are fed sporulated oocysts, the interval between the time of feeding and first appearance of oocysts in the cats' feces is about 20 to 24 days.23 This “prepatent” period differs according to the form of T gondii that is fed to the cat. Oocysts can first be detected in the feces of cats 3 to 5 days after the feeding of T gondii tissue cysts and 5 to 10 days after the feeding of tachyzoites. Oocysts continue to be shed in the feces of infected cats for 7 to 20 days, with the average length of this “patent” period being about 12 days. Thus, a cat that is shedding oocysts in its feces may be a source of infection to humans and to other animals in its immediate environment but the total period of the cat's infectivity is only about 2 weeks. The families of patients with ocular toxoplasmosis, having heard that the cat is the definitive host of T gondii, often ask whether they should get rid of their household pet. The folly of such a proposal is realized when it is understood that the cat in question probably ceased being infective months or even years before the patient developed eye disease.

Tissue cysts contained in the skeletal muscle or brains of intermediate hosts resist peptic digestion after ingestion by predators but are eventually broken down by tryptic digestion in the small intestine of the cat; the remainder of the life-cycle proceeds as described. Fayer24 has stated that more than 350 species of warm-blooded intermediate hosts of T gondii have been identified; in addition, a few cold-blooded species such as reptiles can act as intermediate hosts. The cat, on eating the flesh of any of these animals may become infected but it should be emphasized that cats kept within an ordinary urban environment and fed only processed foods have a smaller chance of becoming infected.

Back to Top
TRANSMISSION AND PATHOGENESIS OF HUMAN INFECTIONS
In areas such as Micronesia, where T gondii antibodies are widely prevalent even among young children, women of child-bearing age are presumably already immune as a result of asymptomatic childhood infections. Their first contact with the disease is never during pregnancy; thus, they never transmit T gondii to infants in utero. Interestingly, ocular toxoplasmosis is rarely seen in such populations.

Asymptomatic infection of humans is common throughout most of the temperate and tropical areas of the world. Correlations have been made between high rates of infection and the tendencies of certain segments of the world's population to eat raw or undercooked meats, which is believed to be the most common mode of transmission.25 Most animals that are commonly used for domestic meat production have been shown to be infested with T gondii. The level of infestation among hogs and sheep is particularly high but cattle are also known to be infected. Masur and coworkers26 have described a minor epidemic of systemic toxoplasmosis within a family, all of whom had eaten rare lamb at one particular time.

Infection in humans can also be established by the ingestion or possibly the inhalation of sporulated oocysts. In the Victoria epidemic, water from a municipal reservoir appeared to be the vector. Another smaller epidemic of systemic toxoplasmosis affected 37 patrons of a particular riding stable near Atlanta, Georgia.16,27 These patients had not consumed food or water from a common source but T gondii oocysts were found in the dust that covered the floor of a particular part of the stable that had been frequented by feral cats.

Transmucosal infection has been postulated to occur, particularly in laboratory infections. The subject has been extensively reviewed by O'Connor.28 Appel and associates29 described submandibular adenopathy in a young girl who was believed to have been infected through the oral mucosa, and Räisänen30 showed the ease with which T gondii tachyzoites could penetrate the nasal and oral mucosa of mice, establishing fatal toxoplasmosis in some of these experimental animals. Transmission is also possible through colostrum or milk, as was first observed in suckling mice by Eichenwald in 1948.31 Rieman and coworkers32 subsequently demonstrated systemic toxoplasmosis in an infant who had been fed unpasteurized goat's milk, and Sacks and associates33 described a small epidemic of systemic toxoplasmosis in a family that had partaken of raw milk from a chronically infected goat. In all of these cases, it seems that the T gondii tachyzoite was the culprit but the exact site of entry of the organism has not been determined. The highly acid environment of the stomach would be expected to kill tachyzoites after brief contact, unless the milk in the immediate environment of the parasites had sufficient buffering capacity to prevent such damage. Despite the relatively rapid transit of the infected milk over the oral and pharyngeal mucosa, transmucosal infection cannot be ruled out because Nichols and O'Connor34 have shown that T gondii tachyzoites can penetrate cells within 15 seconds of contact.

Although tachyzoites have been identified in saliva, transmission by kissing does not appear to be of importance.35 Price36 compared the prevalence of anti-T gondii antibodies in 43 married couples. In 23 of these couples, both partners were either seropositive or seronegative; in 20 couples, one member remained persistently negative, whereas the other was persistently positive. Some change from seronegativity to seropositivity would have been expected if transmission had occurred by kissing or other sexual contact. Frenkel and Wallace37 used this observation to argue against the hypothesis that trophozoites are transmitted across mucosal surfaces.

From the evidence, it appears that T gondii tissue cysts, tachyzoites, and oocysts are all capable of initiating systemic disease in humans. It is likely that the ingestion of tissue cysts contained in undercooked meat is the most frequent cause of disease and that tachyzoites and oocysts have only a relatively minor role. In the context of ocular disease, the transmission of T gondii tachyzoites across the placental barrier is an important mode of infection but may not be the predominant source of retinal lesions, as traditionally assumed.

CONGENITAL TOXOPLASMOSIS

Antibody-negative women of child-bearing age are at risk for acquiring T gondii infection and for transmitting the parasite to their fetuses during dissemination of the organism. The rate of transmission to the fetus actually is higher during the later months of pregnancy than it is during the first trimester, possibly because of the greater vascularity of the placenta in the later months. The amount of damage to the fetus is substantially greater when infection occurs in the first trimester, however, presumably because of the immaturity of the fetal immunologic defense system and the relatively greater vulnerability of fetal organs such as the brain and the eye during the first trimester. Infants born of women who acquire toxoplasmosis during pregnancy may appear to be perfectly normal at birth yet may develop signs of retinochoroiditis in later childhood, adolescence, or early adulthood. Generally, a woman who has given birth to one child with congenital toxoplasmosis will never give birth to another congenitally infected child.

Women are at little or no risk for transmitting the infection to their fetuses if they have been infected with T gondii previously because of the protective effects of antibodies. It appears, however, that maternal infections acquired within the last several weeks before conception can be transmitted to the fetus, even in immunocompetent women.38

In one study, macular lesions were present in 58% of children with ocular disease attributable to congenital toxoplasmosis.39 Macular involvement appears to be more frequent than would be predicted by the small area of the anatomic macula relative to the rest of the fundus.

ACQUIRED TOXOPLASMOSIS

Most individuals who acquire T gondii infection do not develop clinically apparent ocular infections. In the Atlanta epidemic, only one of the patrons of the riding stable (an 11-year-old girl) developed unilateral focal retinochoroiditis characteristic of acquired toxoplasmosis after 4 years of follow-up.16 Her acute, febrile, lymphadenopathic illness originally was no different from that of any of the other 36 patients. The more recent Victoria epidemic shows that the rate of ocular infection can be higher, however. Serologic studies also indicate that toxoplasmic retinochoroiditis may be associated with acquired infections more frequently than heretofore believed.40 Active toxoplasmic retinochoroiditis can develop months or perhaps even longer after the systemic illness associated with acquired infections.26

There has been much debate about whether characteristics of ocular lesions (e.g., bilaterality or location within the fundus) are different between acquired and congenital ocular infections.40,41 It appears, though, that generalizations are difficult to make and that both types of disease can be identical in appearance.

RECURRENT DISEASE

The timing of the primary infection in cases of recurrent ocular toxoplasmosis has been a subject of some controversy. In the past, there had been general agreement that nearly all recurrent toxoplasmic retinochoroiditis lesions represented a late relapse of congenital disease when tissue cysts were deposited in the retina during widespread dissemination of the parasite throughout the body. Holland and associates5 have summarized several lines of evidence used in the past to argue that retinochoroidal scars are almost always congenital in origin. For example, when T gondii infection is widespread in a population, first exposure usually occurs in childhood; therefore, infection during pregnancy with congenital transmission is uncommon. It has been observed that the rate of ocular toxoplasmosis is low in some areas of the world, such as Micronesia, where seropositivity rates are high.42 Perkins15 argued that if ocular lesions were attributable to acquired infection, the rate of recurrent disease should increase with age, as do rates of seropositivity. Recurrent ocular toxoplasmosis has been more common in the second and third decades rather than later in life, in some studies.19

More recent evidence, however, suggests that many of the scars from which recurrent inflammatory lesions arise were actually the result of infections acquired after birth.5 As stated, the rate of ocular involvement may be higher in cases of acquired infection than heretofore suspected. Ocular toxoplasmosis may be the only manifestation of acquired infection, and it may occur months after the infection is acquired.

Experience in southern Brazil differs from that in Micronesia.10,43 Congenital toxoplasmosis is uncommon, seropositivity rates are high, and the prevalence of ocular toxoplasmosis increases with age. Numerous nontwin siblings are found to have toxoplasmic retinochoroidal scars. These findings suggest that recurrent ocular toxoplasmosis may be related to acquired rather than congenital infections. The primary episodes in which scars were established might have been small and asymptomatic or might have occurred early in life, when children would not verbalize their visual symptoms.

In the Victoria epidemic, it has been estimated that the actual number of individuals infected was between 2894 and 7718—far more than the 100 who were identified.17 If the rate of ocular infection among all infected individuals was 19%, as in the group with known infection, then the epidemic may have caused hundreds of unrecognized ocular lesions. That numerous unrecognized ocular infections may have come from an unsuspected source (municipal drinking water) raises the possibility that primary lesions in many patients with recurrent inflammation may have been from a remote acquired infection rather than from congenital infection, as traditionally believed. Traditional and evolving concepts are both based on circumstantial evidence, and many of the observations and interpretations remain in conflict. It may be that a variety of host and parasitic factors determine the retinotropism of acquired infections, which would explain different observations in different populations. Additional study is required to resolve these questions.

Mechanisms by which lesion reactivation occurs are discussed in a subsequent section.

Back to Top
EXPERIMENTAL MODELS OF OCULAR TOXOPLASMOSIS
Many questions concerning the pathogenesis and therapy of ocular toxoplasmosis remain unanswered, which has led to efforts by various investigators over the past five decades to develop a satisfactory animal model of this disease. An ideal animal model of ocular toxoplasmosis should enable the investigator to produce lesions that closely resemble those of humans in morphology, clinical course, and histopathologic manifestation. The lesions should be readily reproducible in an eye that is anatomically and physiologically similar to a human eye. The immunologic defense system of the animal host should also be similar to the human system, and it should be possible to manipulate the immune response experimentally. The lesions should not be violently destructive, nor should they produce retinal detachment or severe lens opacity because these changes would preclude serial examination of the lesions. Also, experimentally induced infections should not cause such severe systemic reactions (e.g., fever, toxemia, encephalitis) as to induce premature death. To date, no model fulfills all of these criteria. Nevertheless, a better understanding of ocular toxoplasmosis has emerged from animal models that are available.

As early as 1951, Hogan44 recognized the need for a reliable animal model of ocular toxoplasmosis. On the assumption that T gondii probably gained access to the eye through the bloodstream, he injected living RH-strain T gondii parasites into the carotid artery of rabbits and produced focal chorioretinal lesions. The lesions could be seen by ophthalmoscopy within 3 or 4 days after inoculation but the natural course of the lesions could not be followed-up because the animals died of toxoplasmic encephalitis a few days later. These early experiments, however, provided specimens for the histopathologic analysis of blood-borne ocular infections with T gondii. The model was not optimally useful, however, because the retinal vasculature of the rabbit eye does not extend far beyond the edges of the optic disc. The lesions that Hogan produced were primarily choroidal rather than retinal, as in humans, thereby limiting the usefulness of this model.

In 1968, Nozik and O'Connor45 published another description of experimentally induced toxoplasmic retinochoroiditis in the rabbit. Their technique required the injection of a small inoculum of Beverley-strain T gondii organisms into the suprachoroidal space under direct ophthalmoscopic observation. Focal retinochoroiditis appeared near the posterior pole of the fundus 4 to 6 days after inoculation. Moderate clouding of the vitreous humor was seen in association with the retinal lesions but the latter remained visible at all times. The Beverley strain of T gondii, being less virulent than the RH strain, did not kill the animals. Activity in the experimentally induced fundus lesions lasted 4 to 6 weeks, at the end of which time pigmented atrophic scars developed. Histologic studies of the healing lesions showed tissue cysts of T gondii in the superficial retinal layers, in addition to numerous lymphocytes and plasma cells. This model was used extensively to test various theories concerning the recurrence of toxoplasmic retinochoroiditis.46,47 It was also used to test the efficacy of various therapeutic regimens in shortening the course of disease or rendering the retina free of viable parasites.48,49 Several workers realized that even this model had considerable shortcomings, however. For example, the rabbit eye did not show signs of retinal vasculitis or papillitis, as commonly seen in human beings. Furthermore, the rabbit's immunologic defense system differed considerably from its human counterpart—being, among other things, a great deal more sensitive to the effects of corticosteroids.

A series of studies by O'Connor and colleagues47,50–53 at the Francis I. Proctor Foundation, using a nonhuman primate model of toxoplasmic retinochoroiditis, have provided additional insights into disease mechanisms. Culbertson and associates50 produced retinochoroiditis in the rhesus monkey by the intraretinal inoculation of RH-strain T gondii organisms. The resulting lesions looked much like human lesions, and retinal vasculitis was a common complication. In subsequent experiments, this model was used to investigate the relative roles of proliferating organisms and hypersensitivity reactions in the tissue destruction that occurs with recurrent ocular toxoplasmosis.

The expense and inconvenience of using nonhuman primates led to the renewed interest in rodent models of disease. Pavesio and associates54 were able to produce multifocal toxoplasmic retinochoroiditis in hamsters consistently after intraperitoneal inoculation of the ME49 strain of T gondii. Animals develop multiple foci of retinitis that resolve spontaneously without treatment. After resolution of lesions, tissue cysts can be found in the retina (Fig. 3). This model may prove to be useful for the study of T gondii infections of the retina at a cellular level and may ultimately be useful for studying the efficacy of cysticidal drugs as they become available. This model will be less useful for studying the natural history of human disease, however, because the number, distribution, and appearance of lesions are not reminiscent of those seen in human beings.

Fig. 3. Light micrograph of a hamster eye after resolution of ocular toxoplasmosis. A large tissue cyst is seen in normalappearing retina (hematoxylin and eosin). (Courtesy of Barbara A. Nichols, PhD.)

Animal models of congenital toxoplasmic retinochoroiditis have also been developed. Lee and associates55 showed that 50% of the offspring of strain A female albino mice developed congenital toxoplasmosis when tissue cysts of the Beverley strain of T gondii were injected subcutaneously into the pregnant dams on the 12th day after mating. Retinochoroiditis and cataracts developed in 5% of the infected progeny, and T gondii tissue cysts were identified in the retinas of these animals. Striking atrophy of the photoreceptor and outer nuclear layers was produced, as was retinal vasculitis. Because many small animals with congenital ocular toxoplasmosis can be produced at will in a laboratory setting, the possibility of pursuing meaningful studies on the prevention, course, and treatment of congenital ocular toxoplasmosis may be realized.

Back to Top
DISEASE MECHANISMS
The attack on retinal cells by T gondii occurs after the parasite has been brought to the retina by the bloodstream and deposited in retinal capillaries. Although free-swimming parasites can rarely be identified in the blood of infected patients, T gondii usually travels encased in the protective milieu of a leukocyte. All types of leukocytes may be infected. These leukocytes may be arrested temporarily in the terminal capillary loops of areas such as the macula, only to release their burden of parasites. The parasites then proliferate locally at the site of their release. It is not known why T gondii prefers the retina over the choroid as a site for multiplication. O'Connor56 has speculated that the retina, like the brain, is isolated from the free flow of serum antibodies into the tissue spaces. Normally, little IgG and no IgM can be identified in the retina.

CELL PENETRATION

For retinal cells to be damaged by T gondii, they must first be penetrated by the parasite, as is true for any cells of the body. Once the host cell has been penetrated, multiplication of the parasite occurs in the cytoplasm until the cell actually bursts from overextension of its surface membrane.57 Parasites liberated by this process are free to swim off in search of a new host cell.

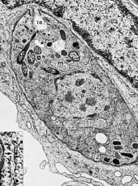
Toxoplasma gondii has a primitive type of mouth referred to as a conoid. This organelle is extended as the parasite “searches” for a host-cell and makes contact with the plasmalemma of a potential host cell immediately before entry. The work of Nichols and associates58 shows that rhoptries, other specialized organelles that are thought to contain lytic enzymes, protrude anteriorly into the conoid and fuse with the limiting membrane of the conoid just before the entry of the parasite into a host cell. Discontinuities develop in this membrane, through which the contents of the rhoptries appear to be discharged. After discharge, the rhoptries resemble empty sacs (Fig. 4). At the site where the conoid indents the host cell, phospholipid vesicles are formed in the plasmalemma of the host cell and a small discontinuity can be seen to develop in this membrane.34 The parasite then squeezes through this opening until it is totally enveloped within the cytoplasm of the host cell. The site of perforation subsequently shows a healing over or restoration of the continuity of the plasmalemma. The conoid of the parasite then retracts to its normal resting position.

Fig. 4. A longitudinal section through a T gondii organism that has recently invaded a host cell. The inset at higher magnification illustrates ribosomes (r*) attached to the endoplasmic reticulum (white arrow). (× 28,400; inset × 81,000.) n, nucleaus; Gc, Golgi's complex; m, mitochondrion; er, endoplasmic reticulum; c, conoid; r, rhoptry; rs, rhoptry sac.

The extension of the conoid and its subsequent retraction can be documented by electron microscopy. A polar ring, to which a group of subpellicular microtubules is attached (see Fig. 2), appears to be at the base of the conoid when the conoid is extended but rides anteriorly when the conoid retracts. The method by which T gondii propels itself forward remains undetermined. It is thought that the microtubules provide a rigid cytoskeleton for the parasite but other organelles called microfilaments are believed by Russell and Sinden59 to contribute to the gliding motion of all coccidian sporozoan parasites, including T gondii. These authors state that the parasite first makes contact with a substrate and that glycoprotein ligands then pass posteriorly along spirally arranged microfilaments by a process known as “capping.” This zipper-like action is said to initiate a spiral gliding motion.

CELLULAR DESTRUCTION

Once T gondii gains access to the cytoplasm of a host cell, it is surrounded immediately by a parasitophorous vacuole, which fails to fuse with lysosomes under ordinary conditions. Thus, the parasite evades a process that would ordinarily result in its destruction; under these circumstances, T gondii continues to live and multiply within the parasitophorous vacuole. Nichols and associates34 believe that the wall of the vacuole is a hybrid membrane; that is, it is made up of components contributed by both the parasite itself and the host cell. A portion of the host-cell membrane is incorporated into the vacuole when the parasite traverses the host-cell cytoplasm; in addition, specialized tubules (end products of rhoptry secretion) can be seen extending from the parasite to the vacuolar membrane.58 The secretion of this tubular material appears to be a function of living parasites only. When the parasite dies, these tubules no longer can be seen in the vacuole. It is also noteworthy that vacuoles that contain dead parasites fuse readily with lysosomal bodies. The fusion of lysosomes with other organelles appears to take place only when the membranes of those other organelles are biochemically similar to that of the lysosome. Thus, according to de Duve and Wattiaux,60 lysosomes ordinarily fuse with phagosomes, because the membranes of these two organelles are similar, but not with mitochondria, whose membranes are biochemically and structurally different from lysosomes. The parasitophorous vacuole of T gondii has a hybrid membrane rendering it biochemically different from lysosomes and other types of phagosomes, which is probably the main reason that naive macrophages (from individuals who have never been infected by T gondii) fail to destroy T gondii. Instead, T gondii parasites destroy the macrophage after multiplying and bursting the cells.

Multiplication of the parasite is a primary factor in the pathogenesis of the retinal lesion. As Frenkel23 notes, the destructive activities of the parasite are more significant in retinal cells than in cells of the intestinal villi or liver because the latter cells tend to be replaced quickly, whereas retinal cells are never replaced.

INFLAMMATION

Within several hours after infection has occurred in the retina, macrophages can be identified in the tissue. In individuals with no previous immunity to T gondii, these macrophages are somewhat ineffective in controlling the infection. Natural killer (NK) cells and other lymphocytes are soon attracted to the lesion site, as are monocytes, polymorphonuclear leukocytes, and eosinophils. If necrosis is severe, polymorphonuclear leukocytes may predominate in the early lesion.

Inflammation appears to be a response to proliferation of trophozoites. Corticosteroid therapy without concomitant antimicrobial therapy can actually result in increased inflammation, presumably because the suppression of host defenses allows increased proliferation of the parasite.5,41 Conversely, antimicrobial therapy alone results in rapid resolution of inflammatory signs in immunosuppressed patients who have ocular toxoplasmosis.5,61

Inflammatory reactions are occasionally seen in patients without active retinochoroidal lesions. They include neuroretinitis, retinal vasculitis in patients with acquired systemic toxoplasmosis, and recurrent iridocyclitis or persistent vitreous inflammatory reactions in patients with inactive toxoplasmic scars. These signs have been attributed to hypersensitivity reactions to toxoplasmic antigens. The clinical manifestations of these reactions have been outlined by Holland and associates.5

IMMUNE RESPONSE

Tachyzoites have four major antigenic proteins (designated P43, P35, P30, and P22) on their membrane surfaces that appear to have a role in stimulating the host's immune response.62,63 The major surface antigen, P30, appears to induce cytotoxic reactions against infected macrophages and antibody-dependent complement-mediated lysis of tachyzoites.62 Antibodies against P30 reduce the ability of tachyzoites to invade mammalian cells.64

The first immunologic reactions to T gondii are recognizable at about 4 days after infection, when dye-test antibodies can first be detected. With the sensitization of lymphocytes to T gondii, an extensive train of events is initiated whereby the host can eventually attain protection against the parasite.

Cell-mediated immunity is the major defense against T gondii infection. Natural killer cells may attack T gondii directly; having killed one organism, they may shift to new targets but their numbers tend to become depleted early in the course of T gondii infections.65

More important are T-lymphocytes, which on stimulation by toxoplasmic antigens liberate cytokines that expedite the killing of parasites within macrophages. Detailed discussions about the chemical nature of these soluble substances and their role in protection against T gondii infection can be found in numerous reports.5,66–69 Resistance depends on both CD4+ and CD8+ T-lymphocytes. A variety of cytokines are involved; particularly important are interferon-γ (IFN-γ) and tumor necrosis factor-α (TNF-α).70–72 Interleukins 2, 10, and 6 also appear to have a role.5 TNF-α and IFN-γ work together to activate macrophages, which are necessary for killing T gondii. By slowing tachyzoite divisions, IFN-γ may also have a role in tissue-cyst formation.73 CD4+ and CD8+ T-lymphocytes, IFN-γ, and TNF-α have all been shown to have a role in protection against ocular disease in animal models.74

Failure of the appropriate lymphocyte-macrophage interaction may result in the uncontrolled proliferation of parasites that—like other opportunistic infectious agents such as cytomegalovirus—may destroy large segments of the retina and brain of immunologically compromised individuals.61,75 Thus, severely destructive toxoplasmic retinochoroiditis has been seen among patients with Hodgkin disease, among organ transplantation subjects and other patients receiving immunosuppressant agents, and among human immunodeficiency virus (HIV)-infected patients.61,76,77 An age-related decline in cell-mediated immune function has been postulated to be the cause of severe toxoplasmic retinochoroiditis that is seen in some elderly patients.78

It has been suggested that some individuals may have an immunogenetic predisposition to more severe disease after infection with T gondii, as indicated by an association with certain HLA types. Suzuki and associates79 found that HLA DQ3 was significantly more frequent in patients with AIDS who developed toxoplasmic encephalitis than in patients with AIDS who did not develop this problem. Although Nussenblatt and associates80 did not find an association between any HLA types and ocular toxoplasmosis, Meenken and associates81 found an association between HLA Bw62 and manifestations of severe ocular disease (bilaterality and macular involvement) in patients with congenital toxoplasmosis.

Although the augmentation of macrophage activity by stimulated T-lymphocytes is considered to be beneficial, excessive macrophage activity may be harmful. Macrophages in the act of engulfing T gondii parasites liberate lytic enzymes (principally acid hydrolases and proteinases) into the immediate environment of the lesion. The function of these enzymes is to rid the lesion of cellular debris, but noninfected cells (innocent bystanders) in the immediate neighborhood of the infected cells may also experience lytic damage. In paramacular lesion of the retina, injury to such cells might ultimately cause loss of central vision. The pathologic potential of exaggerated immunologic reactions, including the “bystander reaction,” is discussed by Myrvik and associates.82

Various types of antibodies are generated in response to T gondii infection. Organisms that become coated with antibody and complement are soon lysed but this action appears to offer little protection against intracellular organisms. Even extracellular organisms in tissues such as the retina and brain do not seem to be affected much by intravascular circulating antibody.

IgG antibodies can persist for the life of the host. IgM antibodies develop within 1 to 2 weeks after an acquired infection and may persist for up to a year. Thus, IgM antibodies are not necessarily a reliable indication of a recent infection, as commonly assumed. A negative IgM test rules out recent infection, however. IgA and IgE antibodies also develop during recently acquired T gondii infections but disappear sooner (especially IgE) than IgM.83,84

IgM antibodies have been identified in some patients with recurrence of ocular toxoplasmosis, suggesting that antibodies either reappear at the time of reactivation or persist for longer periods than commonly assumed.85,86 Liesenfeld and associates87 have warned against the possibility of false-positive IgM results from some commercially available tests, however. IgE can also be detected in some patients with recurrent toxoplasmic retinochoroiditis.83

The AC/HS test, as described by Danneman and associates,88 is also useful for identifying recent infections. It compares the ratio of agglutination titers in serum incubated with acetone- or methanol-fixed tachyzoites (AC antigen; antibodies present early during infection) with agglutination titers in the same specimen incubated with formalin-fixed tachyzoites (HS antigen; antibodies present later in infection). A “serologic profile” consisting of tests for IgM, IgA, IgE, and AC/HS ratio can be useful in identifying patients with acquired disease.40 The titers of individual antibodies cannot be used to identify how recently the infection occurred, however.

IgM antibodies do not cross the placenta; the presence of IgM antibodies in a newborn is therefore a reliable indicator of congenital toxoplasmosis. In contrast, maternal IgG antibodies can cross the placenta and do not necessarily indicate infection in the baby.

The intraocular production of antibodies has been used in the diagnosis of ocular toxoplasmosis. Anti-T gondii antibodies (or antigen) can be determined in samples of aqueous humor obtained by paracentesis or in vitreous humor.89–93 Positive antibody tests on these specimens are thought to reflect the local formation of T gondii antibodies by plasma cells within the inflammatory lesions; if antibodies are present at a higher titer than anticipated based on diffusion from the blood, they are thought to be highly indicative of active infection. Techniques for determining intraocular antibody production are described elsewhere.92,93 Identification of intraocular antibody production is a more reliable test for diagnosis of recurrent toxoplasmic retinochoroiditis than for diagnosis of ocular disease in situations in which serum antibody titers may be high, such as active congenital infection or recently acquired infection in adults.89

T gondii tissue cysts have been shown to have argyrophilic walls containing structural elements that are contributed by both the parasite and the host cell. Because they contain host cell materials, T gondii tissue cysts seem not to be viewed as “foreign” by the reticuloendothelial system of the body. They are not chemotactic and evoke no immunologic reaction.

RECURRENCES OF RETINOCHOROIDITIS

Recurrent lesions can generally be seen in close proximity to old scars, suggesting that tissue cysts may have been deposited at the edge of a previously active lesion. On the breakdown of such tissue cysts, living organisms are released into the immediate environment. If local immune mechanisms are adequate to hinder further growth of the parasite, the lesion may heal quickly. Conversely, liberated organisms may proliferate extensively if local immune mechanisms are insufficient. Whether or not active proliferation of organisms occurs, there may be some reaction to toxoplasmic antigens released from the tissue cyst.

Tissue cysts may remain “dormant” for years in chronically infected tissues such as the retina or brain. McHugh and associates 94 have proposed that the tissue-cyst population is in a state of dynamic equilibrium and that the slow turnover of tissue cysts is under some degree of immune control. Tissue cysts may undergo senescent changes, with hyalinization of their contents.95 It is likely that cyst walls lose their elasticity after some years but whether tissue cysts break down as a result of such changes is unknown.

The previous work of Frenkel96 on Besnoitia jellisoni, a closely related parasite, suggests that parasite cysts break down spontaneously in the retina. The cysts of B jellisoni are large enough to be seen with the ophthalmoscope in the retinas of hamster eyes. After the observation of such rupture, Frenkel noted the histologic changes produced after this event. He concluded that there was little new invasion of cells by the released parasites and suggested that most of the inflammatory reaction seen after tissue-cyst rupture was a hypersensitivity response. This hypothesis, though possibly valid, has not been confirmed in human toxoplasmic retinochoroiditis. It is not known whether T gondii cysts break down at all in the human retina.

The recurrent inflammation seen in some patients with toxoplasmic retinochoroiditis is longer lasting and more severe than would be expected based on hypersensitivity to toxoplasmic antigens alone. O'Connor97 was unable to produce recurrent focal retinitis in the rabbit by the suprachoroidal injection of nonliving toxoplasmic antigens. Nonhuman primate studies have shed additional light on the specific role of hypersensitivity reactions in the pathogenesis of recurrent ocular toxoplasmosis. Intravenous or intraocular injection of T gondii antigen in previously infected animals does not produce recurrent necrotizing retinochoroiditis.51 Likewise, intraocular inoculation of live T gondii organisms or T gondii antigen in previously immunized animals does not produce necrotizing retinochoroiditis.52 These animals, however, develop anterior uveitis, vitreous inflammatory reactions, macular edema, and retinal vasculitis. It is assumed from these results that retinal necrosis requires tissue invasion by live organisms with subsequent rupture of host cells, whereas hypersensitivity reactions are responsible for many of the other clinical signs that accompany recurrent infections such as iritis and retinal vasculitis.

Autoimmunity may have a role in recurrent inflammatory episodes. Wyler and associates98 have shown that patients experiencing repeated attacks of toxoplasmic retinochoroiditis show exaggerated cell-mediated responses to human retinal antigens extracted from the outer segments of the photoreceptors. Nussenblatt and associates99 have had similar results when testing the cultured lymphocytes of such patients against purified S-antigen (a soluble antigen derived from the photoreceptors). T gondii therefore may be the initial destructive agent that breaks down retinal cells and exposes autoantigens, such as S-antigen, to the reticuloendothelial system. Subsequent attacks of retinochoroiditis may be triggered by the parasite but such attacks may be prolonged by a self-destructive immunologic process aimed at self-antigens that are located on the surfaces of normal retinal cells.

Factors leading to the initiation of reactivation have not been identified. Possibilities include senescent changes of tissue cysts, resulting in rupture and release of organisms; transient changes in immune function; hormonal changes; and tissue trauma.100 The likelihood that changes result in disease recurrence may depend on the virulence of the infecting organisms. A combination of factors may be necessary to initiate recurrent disease.

In immunocompetent hosts, there is usually only one focus of recurrent toxoplasmic retinochoroiditis even if there are multiple scars in the fundus, suggesting that the initiation of disease recurrences may be due at least partly to local factors. In contrast, immunosuppressed hosts may have multiple foci of active disease.

Animal models of infection have provided conflicting data regarding the role of immunosuppression in the pathogenesis of recurrent ocular toxoplasmosis. Nozik and O'Connor101 caused recurrent ocular toxoplasmosis in rabbits using antilymphocyte serum, and Frenkel102 observed recurrence of ocular toxoplasmosis in hamsters after treatment with irradiation and cortisone. Zimmerman,103 however, was unable to induce reactivations with intramuscular cortisone injections in rabbits and guinea pigs. Others have been unable to induce recurrent ocular toxoplasmosis in rabbits after subcutaneous injection of hydrocortisone.101,104

Holland and associates53 were unable to induce disease recurrences from healed toxoplasmic retinochoroidal scars in cynomolgus monkeys that had been immunosuppressed using total body irradiation. Reinoculation of parasites directly into the eyes of the same monkeys (possibly simulating the release of organisms from a tissue cysts) resulted in the development of second foci of retinal infection. These results support the hypothesis that immunosuppression does not initiate disease recurrence but allows uncontrolled proliferation of organisms if they escape from tissue cysts for other reasons.

The frequency, severity, and duration of the recurrent episodes of toxoplasmic retinochoroiditis may also reflect a variety of factors, including status of host defenses, virulence of infecting strains of T gondii,105 parasitic load, and the presence of autoimmune reactions.

Back to Top
HISTOPATHOLOGY
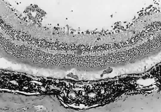
Toxoplasma gondii infection results in coagulative necrosis of the retina, usually with sharply demarcated borders. In immunocompetent patients, there is also a widespread inflammatory response within tissues that extends beyond the areas of necrosis. Although necrosis and inflammatory infiltrates can extend beyond the retina to include choroid and sclera, parasites are not found outside of the retina. Parasites are most commonly found in the inner retinal layers.

Healed retinochoroidal scars are characterized by gliosis, obliteration of blood vessels, and hyperpigmentation of borders. Tissue cysts can exist in otherwise normal-appearing retina.

Researchers have had the opportunity to study the histopathologic characteristics of ocular toxoplasmosis in patients with AIDS and other immunosuppressant conditions at autopsy because disseminated toxoplasmosis is often a fatal disease (Fig. 5).61,77,106 Unlike disease in immunocompetent patients, parasites can occasionally be seen in the uveal tissue and there is scant cellular infiltration within retinal tissue. As with immunocompetent patients, however, the predominant site of infection appears to be the inner retina. The density of parasites is frequently greatest near blood vessels, suggesting newly disseminated disease rather than recurrence from tissue cysts within the retina.

Fig. 5. Light micrograph of a necrotic retinal lesion examined at the autopsy of a patient with AIDS and ocular toxoplasmosis. Tissue cysts (black arrow) and trophozoites (white arrows) are seen. There is little inflammatory material (hematoxylin and eosin). (Holland GN, Engstrom RE, Glasgow BJ et al: Ocular toxoplasmosis in patients with acquired immunodeficiency syndrome. Am J Ophthalmol 106:653, 1988. Copyright The Ophthalmic Publishing Company.)

Back to Top
PRINCIPLES OF THERAPY AND PREVENTION
An understanding of disease mechanisms involved in ocular toxoplasmosis can serve as the basis for rational decision-making regarding therapy. Pharmacologic information about antiparasitic drugs, treatment regimens, and the approach to treatment in special circumstances are covered in many other references.4–6,107

ANTIMICROBIAL THERAPY

Because multiplication of T gondii is a major factor in the destructive nature of the ocular disease, the use of antimicrobial agents is justified, even though these agents may be toxic. To a great extent, our concepts about antimicrobial therapy for treatment of T gondii infection are derived from study of their effect on systemic infections in animal models. Numerous agents have been shown to have activity against T gondii. Those used most commonly to treat ocular infections include pyrimethamine, sulfadiazine, clindamycin, minocyline, and spiramycin.

Eyles and Coleman108 demonstrated the synergistic action of pyrimethamine and sulfonamides on T gondii. These drugs interfere with the formation of essential nucleic acids and thus with the normal replication of nuclei in the continuing multiplication of the parasite. Sulfadiazine interferes first with the formation of folic acid from para-amino benzoic acid, and pyrimethamine interferes with the conversion of folic acid to folinic acid by blocking the enzyme dihydrofolic acid reductase. By blocking the endogenous formation of folinic acid, errors of nuclear division are created, as graphically portrayed in the electron microscopic studies of Sheffield and Melton.109

Clindamycin binds to 50S ribosomes in the cytoplasm of sensitive organisms, where it interferes with protein synthesis by blocking transpeptidation. Because this mechanism of interfering with the metabolism of the organism is entirely different from that of sulfonamides, Thiermann and associates110 suspected that clindamycin may work synergistically with sulfonamides. Tabbara and O'Connor111 found evidence of a beneficial effect of clindamycin and sulfadiazine in the treatment of patients with ocular toxoplasmosis.

Minocycline is a long-acting tetracycline derivative that binds to the 30S ribosomal complex and is thought to inhibit protein synthesis by blocking the binding of aminoacyl-t RNA to the RNAribosome complex.112

Spiramycin is an erythromycin-like antimicrobial agent that affects protein synthesis of the parasite.113 Chodos and Habegger-Chodos114 reported the drug to be effective in the treatment of patients with posterior uveitis, presumably of toxoplasmic origin, but in a controlled study by Fajardo and associates,115 spiramycin appeared to be less effective than pyrimethamine and sulfonamides. This study, together with that of Cassidy and associates,116 has contributed to the lack of interest in this form of treatment in the United States but the drug is still widely used in France and in South America.

Our concepts about the effects of these drugs on human ocular infections is based largely on anecdotal experiences and small case series; there have been few controlled series. As a result, no drug or drug combination has been shown to be superior for the treatment of ocular toxoplasmosis; some investigators have questioned whether treatment truly alters the natural history of toxoplasmic retinochoroiditis. Because the infection is self-limited in immunocompetent individuals, treatment may not be necessary for those with small peripheral lesions that do not generate substantial inflammatory reactions. Treatment is usually reserved for those individuals with infection near the fovea or optic disc or those with marked inflammatory reactions, in the hope of shortening the course of disease or limiting the spread of infection, thereby reducing the threat of vision loss. In contrast, toxoplasmic retinochoroiditis in immunosuppressed patients does not seem to be a self-limited disease; lesions continue to enlarge without therapy, and the benefits of antimicrobial treatment for these patients, who have inadequate defenses, have been more clearly established. All immunosuppressed patients are therefore treated, regardless of the size, location, or character of their lesions, and maintenance therapy is generally administered to prevent disease recurrence.61,107

Currently available drugs act against trophozoites; they do not eliminate tissue cysts and therefore cannot prevent chronic infections. The development of drugs that are active against tissue cysts is a major goal. Using laboratory techniques and animal models, atovaquone (a drug that interferes with pyrimidine synthesis) has been shown to have in vitro and in vivo activity against tissue cysts.117 Unfortunately, treatment of active toxoplasmic retinochoroiditis with atovaquone has not prevented subsequent disease reactivations (Rubens Belfort Jr., MD, PhD.; personal communication), suggesting that a several-week course of the drug does not prevent the encystment of T gondii and survival of bradyzoites.

PHYSICAL AND THERMAL AGENTS

It is known that T gondii can be killed by sudden freezing. Under such conditions, large ice crystals are formed in the cytoplasm of the organism and rupture of the pellicle occurs. Cryotherapy may therefore be effective treatment for peripheral foci of toxoplasmic retinochoroiditis. The tissue temperatures attained by photocoagulation are also adequate to kill T gondii organisms, and this treatment is considered to be beneficial by many ophthalmologists.118,119 The destruction of various cells in the retina and choroid by these methods may have an added benefit; by causing scar formation in surrounding tissues, they may provide gliotic barriers against the spread of T gondii parasites and infiltration of inflammatory cells into otherwise normal areas of retina.

CORTICOSTEROID THERAPY

The lytic enzymes released by macrophages in the act of engulfing T gondii parasites may harm normal cells of the retina, and the inhibitory effect of corticosteroids on macrophage activity is well known. Furthermore, corticosteroids stabilize the membranes of polymorphonuclear leukocytes and inhibit their degranulation. In some patients, corticosteroids may also control those exaggerated inflammatory reactions in toxoplasmic retinochoroiditis that are autoimmune in origin. These considerations are particularly important in lesions that are paramacular or juxtapapillary and therefore vision-threatening.

Despite the possible benefits of corticosteroid therapy, it is still important to be aware of the deleterious effects of corticosteroids on toxoplasmic lesions. Corticosteroids and other immunosuppressant agents can free the organism of the controlling influences normally exerted by cell-mediated immune mechanisms, especially in circumstances in which antimicrobial therapy is not being administered concomitantly.120

Back to Top
SUMMARY OF GUIDING PRINCIPLES
In summary, treatment of ocular toxoplasmosis in adults is based on the following principles:6
  1. Available antiparasitic drugs do not eliminate encysted organisms from the eye; therapy is therefore directed toward control of active lesions.
  2. A combination of antiparasitic agents may be more effective than treatment with single agents.
  3. Corticosteroid therapy is given to control hypersensitivity reactions associated with proliferating organisms, thereby reducing additional damage to the eye.
  4. Corticosteroids can facilitate proliferation of organisms, thereby resulting in more severe ocular damage. Because of the potential complications of corticosteroid use, these medications should be used only in combination with antiparasitic agents.
  5. There is no established long-term benefit of treatment for small, peripheral retinal lesions in immunocompetent patients.
  6. Antiparasitic therapy should be administered to all immunosuppressed patients with active toxoplasmic retinochoroiditis. These agents should be used without the addition of corticosteroid therapy.
  7. There is no established benefit of treating inactive toxoplasmic retinochoroidal scars in most immunocompetent patients. Prolonged “maintenance” antiparasitic therapy should be considered, however, in immunosuppressed patients to prevent disease reactivation.
  8. There are two indications for treatment of toxoplasmosis in pregnant women with ocular involvement:

      To prevent vision loss in mothers with active lesions within the macula or adjacent to the optic disc.
      To prevent infection of the fetus in cases of T gondii infection acquired during pregnancy. Treatment to protect the fetus in cases of recurrent ocular toxoplasmosis is not necessary. Specific guidelines for treatment of pregnant women are given elsewhere.6,121


  9. Nondrug therapies (cryotherapy, photocoagulation, vitrectomy) are usually reserved for patients intolerant of or nonresponsive to medical therapy.
  10. A role for drug prophylaxis to prevent ocular toxoplasmosis has not been established.

There are additional treatment considerations for infants with active ocular toxoplasmosis; such treatment is usually administered by pediatric infectious disease specialists.5,6,122,123

PREVENTION

Although development of better antiparasitic drug therapies is an important goal, prevention of initial infection is the most effective means of reducing morbidity from toxoplasmosis. Preventive measures are based on an understanding of the T gondii life-cycle and modes of disease transmission. Prevention of initial infection involves strategies aimed at avoiding ingestion of live tissue cysts or sporulated oocysts. Raw meat, raw eggs, and unpasteurized milk should not be consumed. Fruits and vegetables that can be contaminated by oocysts in cat feces should be washed thoroughly before ingestion. Tissue cysts in meat are destroyed by smoking, curing, and cooking at temperatures in excess of 66°C.124 This result can be obtained when cooked beef still retains a slight pinkness. Tissue cysts can also be destroyed by freezing at temperatures below -20°C for 24 hours. Efforts to prevent disease transmission are especially important for immunosuppressed individuals and seronegative pregnant women. To avoid exposure to cat feces, pregnant women are usually advised not to clean cat litter boxes during pregnancy.

Immunization of laboratory animals with a multiple antigenic peptide construction derived from p30, the major surface antigen of T gondii, results in partial protection against the lethal challenge with the parasite, which suggests that it may be possible to develop a vaccine against T gondii infection.125 A vaccine for cats would also be useful for interruption of the T gondii life-cycle.

Back to Top
REFERENCES

1. Jacobs L, Naquin H, Hoover R et al: A comparison of the toxoplasma skin tests, the Sabin-Feldman dye tests, and the complement fixation tests for toxoplasmosis in various forms of uveitis. Bull Johns Hopkins Hosp 99:1, 1956

2. Woods AC: Modern concepts of the etiology of uveitis. Am J Ophthalmol 50:1171, 1960

3. McCannel CA, Holland GN, Helm CJ et al: Causes of uveitis in the general practice of ophthalmology. Am J Ophthalmol 121:35, 1996

4. Tabarra KF. Toxoplasmosis: In Tasman W, Jaeger EA (eds): Duane's Foundations of Clinical Ophthalmology, p 1. Vol 4. Hagerstown, MD, Harper & Row, 1996

5. Holland GN, O'Connor GR, Belfort R et al: Toxoplasmosis. In Pepose JS, Holland GN, Wilhelmus KR (eds): Ocular Infection & Immunity, p 1183. St. Louis, Mosby-Year Book, 1996

6. Weisz JM, Holland GN, Engstrom RE et al: The management of ocular toxoplasmosis. Surv Ophthalmol (in press)

7. Feldman HA, Miller LT: Serological study of toxoplasmosis prevalence. Am J Hyg 64:320, 1956

8. Wallace GD: Serologic and epidemiologic observations on toxoplasmosis on three Pacific atolls. Am J Epidemiol 90:103, 1969

9. Smith RE, Ganley JP: Ophthalmic survey of a community.1. Abnormalities of the ocular fundus. Am J Ophthalmol 74:1126, 1972

10. Glasner PD, Silveira C, Kruszon-Moran D et al: An unusually high prevalence of ocular toxoplasmosis in southern Brazil. Am J Ophthalmol 114:136, 1992

11. Desmonts G, Couvreur J: Congenital toxoplasmosis: A prospective study of 378 cases. N Engl J Med 290:1110, 1974

12. Wilson CB, Remington JS, Stagro S et al: Development of adverse sequelae in children born with subclinical congenital toxoplasma infection. Paediatrics 66:767, 1980

13. Koppe JG, Rothova A: Congenital toxoplasmosis: A long term follow up of 20 years. Int Ophthalmol 13:387, 1989

14. Fair JR: Congenital toxoplasmosis, part IV. Case finding using the skin test and Ophthalmoscope in state schools for mentally retarded children. Am J Ophthalmol 48:813, 1959

15. Perkins ES: Ocular toxoplasmosis. Br J Ophthalmol 57:1, 1973

16. Akstein RBV, Wilson LA, Teutsch SM: Acquired toxoplasmosis. Ophthalmology 89:1299, 1982

17. Bowie WR, King AS, Werker DH et al: Outbreak of toxoplasmosis associated with municipal drinking water. Lancet 350:173, 1997

18. Gilbert RE, Stanford MR, Jackson H et al: Incidence of acute symptomatic retinochoroiditis in South London according to country of birth. Br Med J 310:1037, 1995

19. Friedmann CT, Knox DL: Variations in recurrent active toxoplasmic retinochoroiditis. Arch Ophthalmol 81:481, 1969

20. Hutchison WM, Dunachie JF, Siim JC et al: Coccidian-like nature of Toxoplasma gondii. Br Med J 1:142, 1970

21. Frenkel JK, Dubey JP, Miller NL: Toxoplasma gondii in cats: Fecal stages indentified as occidian cysts. Science 167:893, 1970

22. Shimada K, O'Connor GR, Yoneda C: Cyst formation by Toxoplasma gondii (RH strain) in vitro. The role of immunologic mechanisms. Arch Ophthalmol 92:496, 1974

23. Frenkel JK: Toxoplasmosis: Parasite life cycle, pathology, and immunology. In Hammond DM, Long PL (eds): The Coccidia, p 343. Baltimore, University Park Press, 1973

24. Fayer R: Coccidian taxonomy and nomenclature. J Protozool 28:266, 1981

25. Desmonts G, Couvreur J, Alison F et al: Etude epidemiologique sur la toxoplasmose: De l'influence de la cuisson des boucherie sur la frequence de l'infection humaine. Rev Fr Clin Biol 10:952, 1965

26. Masur H, Lempert JA, Cherubini TD: An outbreak of toxoplasmosis in a family and ocumentation of acquired retinochoroiditis. Am J Med 64:396, 1978

27. Teutsch SM, Juranek DD, Sultzer A et al: Epidemic toxoplasmosis associated with cats. N Engl J Med 300:695, 1978

28. O'Connor GR: The mucosae as possible sites of entrance for Toxoplasma gondii. In O'Connor GR (ed): Immunology of the Mucous Membranes, p 71. New York, Masson, 1980

29. Appel BN, Mendelow H, Pasqual HN: Acquired toxoplasma lymphadenitis. Oral Surg 47:529, 1979

30. Räisänen S: Transmission of toxoplasmosis with trophozoites: An experimental study. Acta Univ Tamperensis 84: 1, 1977

31. Eichenwald H: Experimental toxoplasmosis Part I. Transmission of the infection in utero and through the milk of lactating female mice. Am J Dis Child 76:307, 1948

32. Rieman HP, Meyer ME, Theis JH: Toxoplasmosis in an infant fed unpasteurized goat's milk. J Pediatr 87:573, 1975

33. Sacks J, Roberto RR, Brooks NF: Toxoplasmosis associated with raw goat's milk. JAMA 248:1728, 1982

34. Nichols BA, O'Connor GR: Penetration of mouse peritoneal macrophages by the protozoan Toxoplasma gondii.New evidence for active invasion and phagocytosis. Lab Invest 44:324, 1981

35. Amendoeira MMR, Coutino SG: Isolation of Toxoplasma gondii from the saliva and tonsils of a three-year-old child. J Infect Dis 145:587, 1982

36. Price JH: Toxoplasma infection in an urban community. Br Med J 4:141, 1969

37. Frenkel JK, Wallace GD: Transmission of toxoplasmosis by tachyzoites: Possibility and probability of a hypothesis. Med Hypotheses 5:529, 1979

38. Vogel N, Krisits M, Michael E et al: Congenital toxoplasmosis transmitted from an immunologically competent mother infected before conception. Clin Infect Dis 23:1055, 1996

39. Mets BM, Holfels E, Boyer KM et al: Eye manifestations of congenital toxoplasmosis. Am J Ophthalmol 122:3 1996

40. Montoya JG, Reminton JS: Toxoplasmic chorioretinitis in the setting of acute acquired toxoplasmosis. Clin Infect Dis 23:277, 1996

41. Ronday MJ, Luyendijk L, Baarsma GS et al: Presumed acquired ocular toxoplasmosis. Arch Ophthalmol 113: 1524, 1995

42. Darrell RW, Kurkland LT, Jacobs L: Chorioretinopathy and toxoplasmosis: An epidemiologic study on a south pacific island. Arch Ophthalmol 71:63, 1964

43. Silveira C, Belfort RJ, Burnier MJ et al: Acquired toxoplasmic infection as the cause of toxoplasmic retinochoroiditis in families. Am J Ophthalmol 106:362, 1988

44. Hogan MJ: Ocular Toxoplasmosis. New York, Columbia University, 1951

45. Nozik RA, O'Connor GR: Experimental toxoplasmic retinochoroiditis. Arch Ophthalmol 79:485, 1968

46. O'Connor GR, Nozik RA: Studies on factors influencing the recurrence of ocular toxoplasmosis. In Solanes MP (ed): Ophthalmology: Proceedings of the XXI International Congress, Amsterdam, Excerpta Medica 222:1411, 1971

47. O'Connor GR: Experimental models of toxoplasmosis. In Tabbara KF, Cello RM (eds): Animal Models of Ocular Diseases, p 97. Springfield, IL, Charles C Thomas, 1984

48. Tabbara KF, Nozik RA, O'Connor GR: Clindamycin effects on experimental ocular toxoplasmosis in the rabbit. Arch Ophthalmol 92:244, 1974

49. Tabbara KF, Dy-Liacco J, Nozik RA et al: Clindamycin in chronic toxoplasmosis: Effect of periocular injections on recoverability of organisms from healed lesions in the rabbit eye. Arch Ophthalmol 97:542, 1979

50. Culbertson WW, Tabbara KF, O'Connor GR: Experimental ocular toxoplasmosis in primates. Arch Ophthamol 100: 321, 1982

51. Newman PE, Ghosheh R, Tabbara KF et al: The role of hypersensitivity reactions to toxoplasma antigens in experimental ocular toxoplasmosis in nonhuman primates. Am J Ophthalmol 94:159, 1982

52. Webb RM, Tabbara KF, O'Connor GR: Retinal vasculitis in ocular toxoplasmosis in nonhuman primates. Retina 4: 182, 1984

53. Holland GN, O'Connor GR, Diaz RF et al: Ocular toxoplasmosis in immunosuppressed nonhuman primates. Invest Ophthalmol Vis Sci 29:835, 1988

54. Pavesio CEN, Chiappino ML, Gormley P et al: Acquired retinochoroiditis in hamsters inoculated with ME 49 strain toxoplasma. Invest Ophthalmol Vis Sci 36:11, 1995

55. Lee WR, Hay J, Hutchison WM et al: A murine model of congenital toxoplasmic retinochoroiditis. Acta Ophthalmol 61:818, 1983

56. O'Connor GR: Uveitis and the immunologically compromised host. N Engl J Med 299:130, 1978

57. O'Connor GR: The roles of parasite invasion and of hypersensitivity in the pathogenesis of toxoplasmic retinochoroiditis. Ocul Inflam Ther 1:37, 1983

58. Nichols BA, Chiappino ML, O'Connor GR: Secretion from the rhoptries of Toxoplasma gondii during host-cell invasion. J Ultrastruct Res 83:85, 1983

59. Russell DG, Sinden RE: The role of the cytoskeleton in the motility of coccidian sporozoites. J Cell Sci 50:345, 1981

60. de Duve C, Wattiaux R: Functions of lysosomes. Ann Rev Physiol 28:435, 1966

61. Holland GN, Engstrom RE, Glasgow BJ et al: Ocular toxoplasmosis in patients with the acquired immunodeficiency syndrome. Am J Ophthalmol 106:653, 1998

62. Kasper LH, Crabb JH, Pfefferkorn ER: Purification of a major membrane protein of Toxoplasma gondii by immunoabsorption with a monoclonal antibody. J Immunol 130:2407, 1983

63. Santoro F, Charif H, Capron A: The immunodominant epitope of the major membrane tachyzoite protein (P30) of Toxoplasma gondii. Parasite Immunol 8:631, 1986

64. Grinwood J, Smith JE: Toxoplasma gondii: The role of a 30-kDa surface protein in host cell invasion. Exp Parasitol 74:106, 1992

65. Kamiyama T, Hagiwara T: Augmented followed by suppressed levels of natural cell-mediated cytotoxicity in mice infected with Toxoplasma. Infect Immun 36:628, 1982

66. Shirahata T, Shimizu K: Some physico-chemical characteristics of an immune lymphocyte product which inhibits the multiplication of Toxoplasma within mouse macrophages. Microbiol Immunol 23:17, 1979

67. Beaman MH, Wong SY, Remington JS: Cytokines, Toxoplasma and intracellular parasitism. Immunol Rev 127: 97, 1992

68. Subauste CS, Remington JS: Immunity to Toxoplasma gondii. Curr Opin Immunol 5:532, 1993

69. Hunter CA, Suzuki Y, Subauste CS et al: Cells and cytokines in resistance to Toxoplasma gondii. Curr Top Microbiol Immunol 215:113, 1996

70. Langermans JA, Van der Hulst ME, Nibbering PH et al: IFN-γ-induced L-arginine-dependent toxoplamastatic activity in murine peritoneal macrophages is mediated by endogenous tumor necrosis factor-α. J Immunol 148:568, 1992

71. Sibley LD, Adams LB, Fukutomi Y et al: Tumor necrosis factor-α triggers antitoxoplasmal activity of IFN-γ primed macrophages. J Immunol 147:2340, 1991

72. Suzuki Y, Orellana MA, Schreiber RD et al: Intreferon-γ: The major mediator of resistance against Toxoplasma gondii. Science 240:516, 1988

73. Jones TC, Bienz KA, Erb P: In vitro cultivation of Toxoplasma gondii cysts in astrocytes in the presence of gamma interferon. Infect Immun 51:147, 1986

74. Gazzinelli RT, Brezin A, Li Q et al: Toxoplasma gondii: Acquired ocular toxoplasmosis in the murine model, protective role of TNF-α and IFN-γ. Exp Parasitol 78:217, 1994

75. Ryning FW, Mills J: Pneumocystis carinii, Toxoplasma gondii, cytomegalovirus, and the compromised host. West J Med 130:18, 1979

76. Schuman JS: Ocular effects in the acquired immune deficiency syndrome. Mt Sinai J Med 50:443, 1983

77. Yeo JH, Jakobiec FA, Iwamoto T et al: Opportunistic toxoplasmic retinochoroiditis following chemotherapy for systemic lymphoma: A light and electron microscopic study. Ophthalmology 90:885, 1983

78. Johnson MW, Greven CM, Jaffe GJ et al: Atypical, severe toxoplasmic retinochoroiditis in elderly patients. Ophthalmology 104:48, 1997

79. Suzuki Y, Wong WY, Grumet FC et al: Evidence of genetic regulation of susceptibilityto toxoplasmic encephalitis in AIDS patients. J Infect Dis 173:265, 1996

80. Nussenblatt RB, Mittal KK, Fuhrman S et al: Lymphocyte proliferative responses of patients with ocular toxoplasmosis to parasite and retinal antigens. Am J Ophthalmol 107: 632, 1989

81. Meenken C, Rothova A, de Waal LP et al: HLA typing in congenital toxoplasmosis. Br J Ophthalmol 79:494, 1995

82. Myrvik QN, Kohlweiss LA, Harpold D: Pathological potential of exaggerated immunological reactions. In Schlessinger D (ed): Microbiology 1975, p 227. Washington DC, American Society for Microbiology, 1975

83. Wong SY, Hajdu M, Ramirez R et al: Role of specific immunoglobulin E in diagnosis of acute toxoplasma infection and toxoplasmosis. J Clin Microbiol 31:2952, 1993

84. Decoster A, Darcy F, Caron A et al: IgA antibodies against P30 as markers of congenital and acute toxoplasmosis. Lancet 2:1104, 1988

85. Sibalic D, Djurkovic-Djakovic O, Bobic B: Onset of ocular complications in congenital toxoplasmosis associated with immunoglobulin M antibodies to Toxoplasma gondii. Eur J Clin Microbiol Infect Dis 9: 671, 1990

86. Holliman RE, Stevens PJ, Duffy KT et al: Serological investigation of ocular toxoplasmosis. Br J Ophthalmol 75: 353, 1991

87. Liesenfeld O, Press C, Montoya JG et al: False-positive results in immunoglobulin M (IgM) toxoplasma antibody tests and importance of confirmatory testing: The platelia toxo IgM test. J Clin Microbiol 35:174, 1997

88. Danneman BR, Vaughan WC, Thulliez P et al: Differential agglutination test for diagnosis of recently acquired infection with Toxoplasma gondii. J Clin Microbiol 28:1928, 1990

89. Desmonts G: Definitive serological diagnosis of ocular toxoplasmosis. Arch Ophthalmol 76:839, 1966

90. Rollins DF, Tabbara KF, O'Connor GR et al: Detection of toxoplasmal antigen and antibody in ocular fluids in experimental ocular toxoplasmosis. Arch Ophthalmol 101: 455, 1983

91. Stur M, Grabner G, Huber-Spitzy V et al: A new quantitative fluorescence-immunoassay (FIAX) for the detection of Toxoplasma IgG-antibodies in human aqueous humor. In Saari KM (ed): Uveitis Update, p 431. Amsterdam, Elsevier Biomedical, 1984

92. de Boer JH, Verhagen C, Bruinenberg M et al: Serologic and polymerase chain reaction analysis of intraocular fluids in the diagnosis of infectious uveitis. Am J Ophthalmol 121:650, 1996

93. Davis JL, Feuer W, Culbertson WW et al: Interpretation of intraocular and serum antibody levels in necrotizing retinitis. Retina 15:233, 1995

94. McHugh TD, Bathgate T, Mangan J et al: Recognition of tissue cyst-specific antigents in reactivating toxoplasmosis. J Med Microbiol 46:587, 1997

95. Rao NA, Font RL: Toxoplasmic retinochoroiditis: Electron-microscopic and immunofluorescence studies of formalin-fixed tissue. Arch Ophthamol 95:273, 1977

96. Frenkel JK: Pathogenesis of toxoplasmosis with a considerationof cyst rupture in Besnoitia infection. Surv Ophthalmol 6:799, 1961

97. O'Connor GR: The influence of hypersensitivity on the pathogenesis of ocular toxoplasmosis. Trans Am Ophthalmol Soc 68:501, 1970

98. Wyler DJ, Blackman HJ, Lunde MN: Cellular hypersensitivity to toxoplasmal and retinal antigens in patients with toxoplasmal retinochoroiditis. Am J Top Med Hyg 29: 1181, 1980

99. Nussenblatt RB, Gery I, Ballintine EJ: Cellular responsiveness of uveitis patients to retinal S-antigen. Am J Ophthalmol 89: 173, 1980

100. O'Connor GR: Factors related to the initiation and recurrence of uveitis: XL Edward Jackson Memorial Lecture. Am J Ophthalmol 96:577, 1983

101. Nozik RA, O'Connor GR: Studies on experimental ocular toxoplasmosis in the rabbit. II. Attempts to stimulate recurrence by local trauma, epinephrine, and corticosteroids. Arch Ophthalmol 84:788, 1970

102. Frenkel JK: Effect of cortisone, total body irradiation and nitrogen mustard on chronic latent toxoplasmosis. Am J Pathol 33:618, 1957

103. Zimmerman LE: Ocular pathology of toxoplasmosis. Surv Ophthalmol 6:832, 1961

104. Kaufman HE: The effect of corticosteroid on experimental ocular toxoplasmosis. Am J Ophthalmol 50:919, 1960

105. Sibley LD, Boothroyd JC: Virulent strains of Toxoplasma gondii comprise a single clonal lineage. Nature 359:82, 1992

106. Nicholson DH, Wolchok EB: Ocular toxoplasmosis in an adult receiving long-term corticosteroid therapy. Arch Ophtahlmol 94:248, 1976

107. Engstrom RE, Holland GN, Nussenblatt RB et al: Current practices in the management of ocular toxoplasmosis. Am J Ophthalmol 111:601, 1991

108. Eyles DE, Coleman N: Synergistic effect of sulfadiazine and Daraprim against experimental toxoplasmosis in the mouse. Antibiot Chemother 3:483, 1953

109. Sheffield HG, Melton ML: Effect of pyrimethamine and sulfadiazine on the fine structure and multiplication of Toxoplasma gondii in cell cultures. J Parasitol 61:704, 1975

110. Thiermann E, Apt W, Atias A et al: A comparative study of some combined treatment regimens in acute toxoplasmosis in mice. Am J Trop Med Hyg 27:747, 1978

111. Tabbara KF, O'Connor GR: Treatment of ocular toxoplasmosis with clindamycin and sulfadiazine. Ophthalmology 87:129, 1980

112. Tabbara KF, Sakuragi S, O'Connor GR: Minocycline in the chemotherapy of murine toxoplasmosis. Parasitology 84:297, 1982

113. Giles CL, Jacobs L, Melton ML: Chemotherapy of experimental toxoplasmosis: Evaluation of spiramycin alone and in combination. Arch Ophthalmol 71:119, 1964

114. Chodos JP, Habegger-Chodos HE: The treatment of ocular toxoplasmosis with spiramycin. Arch Ophthalmol 65:401, 1961

115. Fajardo RV, Furgiule FP, Leopold IH: Treatment of toxoplasmosis uveitis. Arch Ophthalmol 67:712, 1962

116. Cassidy JV, Bahler JW, Hinkin MV: Spiramycin for toxoplasmosis. Am J Ophthalmol 57:227, 1964

117. Araujo FC, Huskinson J, Remington JS: Remarkable in vitro and in vivo activities of the hydroxynaphthoquinone 566C80 against tachyzoites and tissue cysts of Toxoplasma gondii. Antimicrob Agents Chemother 35:293, 1991

118. Spalter HF, Campbell CJ, Noyori KS et al: Prophylactic photocoagulation of recurrent toxoplasmic retinochoroiditis. Arch Ophthalmol 75:21, 1966

119. Ghartey KN, Brockhurst RJ: Photocoagulation of active toxoplasmic retinochoroiditis. Am J Ophthalmol 89:85, 1980

120. Sabates R, Pruett RC, Brockhurst RJ: Fulminant ocular toxoplasmosis. Am J Ophthalmol 92:497, 1981

121. Wong SY, Remington JS: Toxoplasmosis in pregnancy. Clin Infect Dis 18:853, 1994

122. Alford CA, Stagno S, Reynolds DW: Congenital toxoplasmosis: Clinical, laboratory, and therapeutic considerations, with special reference to subclinical disease. Bull NY Acad Med 50:160, 1974

123. McCauley JB, Boyer KM, Patel D et al: Early and longitudinal evaluations of treated infants and children and untreated historical patients with congenital toxoplasmosis: The Chicago Collaborative Treatment Trail. Clin Infect Dis 18:38, 1994

124. Work K: Resistance of Toxoplasma gondii encysted in pork. Acta Pathol Microbiol Immunol Scand 38:85, 1968

125. Darcy F, Maes P, Gras-Masse H et al: Protection of mice and nude rats against toxoplasmosis by a multiple antigenic peptide construction derived from Toxoplasma gondii p30 antigen. J Immunol 149:3636, 1992

Back to Top