AccessLange: General Ophthalmology / Printed from AccessLange (accesslange.accessmedicine.com).
 
Copyright ©2002-2003 The McGraw-Hill Companies. All rights reserved.
 

Printable VersionPrint this Page
 
Chapter 14: Neuro-ophthalmology
Authors: Paul Riordan-Eva, William F. Hoyt

Neuro-ophthalmology


The eyes are intimately related to the brain and frequently give important diagnostic clues to central nervous system disorders. Indeed, the optic nerve is a part of the central nervous system. Intracranial disease frequently causes visual disturbances because of destruction of or pressure upon some portion of the optic pathways. Cranial nerves III, IV, and VI, which control ocular movements, may be involved, and nerves V and VII are also intimately associated with ocular function.

THE SENSORY VISUAL PATHWAY

Topographic Overview (new window  Figures 14-1 and 14-2)

Cranial nerve II subserves the special sense of vision. Light is detected by the rods and cones of the retina, which may be considered the special sensory end organ for vision. The cell bodies of these receptors extend processes that synapse with the bipolar cell, the second neuron in the visual pathway. The bipolar cells synapse, in turn, with the retinal ganglion cells. Ganglion cell axons comprise the nerve fiber layer of the retina and converge to form the optic nerve. The nerve emerges from the back of the globe and travels posteriorly within the muscle cone to enter the cranial cavity via the optic canal.


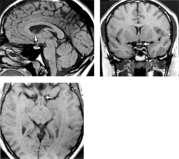
Figure 14-1

Figure 14-1: Magnetic resonance imaging (MRI) of normal brain in sagittal section (upper left), coronal section (upper right), and axial section (lower left). The white arrows indicate the chiasm.


Figure 14-2

Figure 14-2: The optic pathway. The dotted lines represent nerve fibers that carry visual and pupillary afferent impulses from the left half of the visual field.

Intracranially, the two optic nerves join to form the optic chiasm (Figure 14-1). At the chiasm, more than half of the fibers (those from the nasal half of the retina) decussate and join the uncrossed temporal fibers of the opposite nerve to form the optic tracts. Each optic tract sweeps around the cerebral peduncle toward the lateral geniculate nucleus, where it will synapse. All of the fibers receiving impulses from the right hemifields of each eye thus make up the left optic tract and project to the left cerebral hemisphere. Similarly, the left hemifields project to the right cerebral hemisphere. Twenty percent of the fibers in the tract subserve pupillary function. These fibers leave the tract just anterior to the nucleus and pass via the brachium of the superior colliculus to the midbrain pretectal nucleus. The remaining fibers synapse in the lateral geniculate nucleus. The cell bodies of this structure give rise to the geniculocalcarine tract. This tract passes through the posterior limb of the internal capsule and then fans into the optic radiations that traverse parts of the temporal and parietal lobes en route to the occipital cortex (calcarine, striate, or primary visual cortex).

Analysis of Visual Fields in Localizing Lesions in the Visual Pathways

In clinical practice, lesions in the visual pathways are localized by means of central and peripheral visual field examination. The technique (perimetry) is discussed in Chapter 2.

Figure 14-3 shows the types of field defects caused by lesions in various locations of the pathway. Lesions anterior to the chiasm (of the retina or optic nerve) cause unilateral field defects; lesions anywhere in the visual pathway posterior to the chiasm cause contralateral homonymous defects. Chiasmal lesions usually cause bitemporal defects.


Figure 14-3

Figure 14-3: Visual field defects due to various lesions of the optic pathways.

Multiple isopters (test objects of different sizes) should be used in order to evaluate the defects thoroughly. A field defect shows evidence of edema or compression when there are areas of "relative scotoma" (ie, a larger field defect for a smaller test object). Such visual field defects are said to be "sloping." This is in contrast to ischemic or vascular lesions with steep borders (ie, the defect is the same size no matter what size test object is used). Such visual field defects are said to be "absolute."

Another important generalization is that the more congruous the homonymous field defects (ie, the more similar the two hemifields in size, shape, and location), the farther posterior the lesion is in the visual pathway. A lesion in the occipital region causes identical defects in each field, whereas optic tract lesions cause incongruous (dissimilar) homonymous field defects. A complete homonymous hemianopia should still have intact visual acuity in the spared visual field since macular function is also spared in the retained visual field. In lesions of the occipital cortex there is a close correlation between the visual field defect and the location of the cortical lesion, the central field being represented posteriorly and the upper field inferiorly (Figure 14-4). Owing to the dual vascular supply to the occipital lobe-from the middle and posterior cerebral circulation-occipital infarcts may spare or damage the occipital pole. This leads to sparing or loss of the central field on the side of the hemianopia, the former being referred to as macular sparing (Figure 14-5). Occipital lesions may also produce the phenomenon of residual sight, in which responses to movement, for example, may be demonstrable in the hemianopic field in the absence of form vision.


Figure 14-4

Figure 14-4: Occipital lobe abscess. Top: Automated perimetry and tangent screen examination showing homonymous, congruous, paracentral scotoma in right upper visual fields. Bottom: Parasagittal MRI showing lesion involving left inferior calcarine cortex. (Reproduced, with permission, from Horton JC, Hoyt WF: The representation of the visual field in human striate cortex. A revision of the classic Holmes map. Arch Ophthalmol 1991;109:816.)


Figure 14-5

Figure 14-5: Bilateral occipital infarcts with bilateral macular sparing. Top: Tangent screen and superimposed Goldmann visual fields of both eyes showing bilateral homonymous hemianopia with macular sparing, greater in the right hemifield. Bottom: Axial MRI showing sparing of occipital poles. (Reproduced, with permission, from Horton JC, Hoyt WF: The representation of the visual field in human striate cortex. A revision of the classic Holmes map. Arch Ophthalmol 1991;109:816.)

THE OPTIC NERVE

A wide variety of diseases affect the optic nerve (Table 14-1). Clinical features particularly suggestive of optic nerve disease are an afferent pupillary defect, poor color vision, and optic disk changes. It is important to remember that the optic nerve may be normal in the early stages of disease affecting the retrobulbar optic nerve, particularly compression by an intracranial lesion, even when there has been severe loss of visual acuity and field. Axons can be dysfunctional long before they become atrophic.

Table 14-1: Etiologic classification of diseases of the optic nerve.
Inflammatory (optic neuritis)
Demyelinative
Idiopathic
Multiple sclerosis
Neuromyelitis optica (Devic's disease)
Immune-mediated
Postviral optic neuritis (measles, mumps, chickenpox, influenza, infectious mononucleosis)
Postimmunization optic neuritis
Acute disseminated encephalomyelitis
Acute idiopathic polyneuropathy (Guillain-Barré syndrome)
Systemic lupus erythematosus
Direct infections
Herpes zoster, syphilis, tuberculosis, cryptococcosis, cytomegalovirus
Granulomatous optic neuropathy
Sarcoidosis
Idiopathic
Contiguous inflammatory disease
Intraocular inflammation
Orbital disease
Sinus disease, including mucormycosis
Intracranial disease: meningitis, encephalitis
Vascular (ischemic optic neuropathy)
Nonarteritic anterior ischemic optic neuropathy
Giant cell arteritis (arteritic anterior ischemic optic neuropathy)
Systemic vasculitis: systemic lupus erythematosus, antiphospholipid antibody syndrome, polyarteritis nodosa, Churg-Strauss vasculitis, Sjögren's syndrome, Takayasu's disease
Migraine
Inherited coagulation defects: protein C deficiency, protein S deficiency, antithrombin III deficiency, activated protein C resistance (factor V Leiden mutation)
Diabetic papillopathy
Radiation optic neuropathy
Sudden massive blood loss (eg, bleeding peptic ulcer)
Raised intracranial pressure (papilledema)
Intracranial mass: cerebral tumor, abscess, subdural hematoma
Arteriovenous malformation
Subarachnoid hemorrhage
Meningitis or encephalitis
Acquired hydrocephalus
Pseudotumor cerebri
Cerebral venous sinus occlusion
Secondary pseudotumor cerebri: oral contraceptives, tetracyclines, steroid therapy, steroid withdrawal, hypervitaminosis A, uremia, hypoparathyroidism, respiratory failure
Idiopathic intracranial hypertension
Spinal tumor
Acute idiopathic polyneuropathy (Guillain-Barré syndrome)
Mucopolysaccharidosis
Craniosynostosis
Optic nerve compression
Intracranial disease: meningioma, pituitary adenoma, craniopharyngioma, supraclinoid internal carotid aneurysm, meningeal carcinomatosis, basal meningitis
Orbital disease: dysthyroid eye disease, idiopathic orbital inflammatory disease, orbital neoplasm, orbital abscess
Optic nerve sheath meningioma
Nutritional and toxic
Vitamin deficiencies: vitamin B12 deficiency, vitamin B1 (thiamin) deficiency, folate deficiency
Tobacco-alcohol amblyopia
Heavy metals: lead, thallium, arsenic
Drugs: ethambutol, isoniazid, rifampin, disulfiram, quinine, chloramphenicol, amiodarone, digitalis, carmustine, fluorouracil, vincristine, halogenated hydroxyquinolines (eg, iodochlorhydroxyquin, diiodohydroxyquin), hexachlorophene, penicillamine, barbiturates
Chemicals: methanol, ethylene glycol
Trauma
Direct optic nerve injury
Indirect optic nerve injury
Optic nerve avulsion
Hereditary optic atrophy
Leber's hereditary optic neuropathy (mitochondrial inheritance)
Autosomal hereditary optic atrophy
Autosomal dominant (juvenile) optic atrophy
Autosomal recessive (infantile) optic atrophy
Wolfram's syndrome (DIDMOAD: diabetes insipidus, diabetes mellitus, optic atrophy, deafness)
Inherited neurodegenerative diseases
Hereditary spinocerebellar ataxia (Friedreich's ataxia)
Hereditary motor and sensory neuropathy (Charcot-Marie-Tooth disease)
Lysosomal storage disorders
Neoplastic infiltration
Glioma, leukaemia, lymphoma, meningeal carcinomatosis, astrocytic hamartoma, melanocytoma, hemangioma
Optic nerve anomalies
Hypoplasia
Dysplasia, including 'morning glory syndrome,' coloboma, and optic nerve pit
Tilted disks, including situs inversus, and scleral crescents
Megalopapilla
Myelinated nerve fibers
Persistent hyaloid system
Prepapillary vascular loops
Optic nerve head drusen
Hyperopic pseudopapilledema
Glaucomatous optic neuropathy (see Chapter 11) Optic atrophy secondary to retinal disease

Optic disk swelling occurs predominantly in diseases directly affecting the anterior portion of the optic nerve but also occurs with raised intracranial pressure and compression of the intraorbital optic nerve. Optic disk swelling can be a crucial clinical sign, such as in the diagnosis of anterior ischemic optic neuropathy in which optic disk swelling must be present in the acute stage for the diagnosis to be made on clinical grounds. Central retinal vein occlusion, ocular hypotony and intraocular inflammation can produce optic disk swelling and hence the misleading impression of optic nerve disease.

Optic atrophy (Figure 14-6) is a nonspecific response to optic nerve damage from any cause. Since the optic nerve consists of retinal ganglion cell axons, optic atrophy may be the consequence of primary retinal disease, such as retinitis pigmentosa or central retinal artery occlusion. Excavation of the optic nerve head (optic disk cupping) is generally a sign of glaucomatous optic neuropathy, but may occur with any cause of optic atrophy. Segmental pallor and attenuated retinal blood vessels are often the consequence of anterior ischemic optic neuropathy. Hereditary optic neuropathies usually produce bilateral temporal segmental disk pallor with preferential loss of papillomacular axons. Peripapillary exudates occur with optic disk swelling, due to papillitis, ischemic optic neuropathy, or papilledema, and may take longer to resolve. (The term "neuroretinitis" for the combination of optic disk swelling and retinal exudates, including a macular star, is a misnomer in that there is no inflammation of the retina, the exudates being a response to the anterior optic nerve disease. This may occur in demyelinative and other types of optic neuritis, anterior ischemic optic neuropathy, and papilledema. The term "neuroretinitis" is more reasonably applied if there is true inflammation of the retina and optic nerve [Figure 14-7].) Other helpful signs of prior disk edema are peripapillary gliosis and atrophy, chorioretinal folds, and internal limiting membrane wrinkling.


Figure 14-6

Figure 14-6: Examples of optic atrophy. Upper left: Primary optic atrophy due to nutritional amblyopia. Upper right: Secondary optic atrophy with retinochoroidal collaterals (arrows) due to optic nerve sheath meningioma. Lower left: Optic atrophy with optic disk drusen. Lower right: Pallor (atrophy) of right optic disk due to nerve compression by sphenoid meningioma. The left disk is normal.


Figure 14-7

Figure 14-7: Arcuate neuroretinitis due to acute retinal necrosis syndrome. (Reproduced, with permission, from Margolis T et al: Acute retinal necrosis syndrome presenting with papillitis and arcuate neuroretinitis. Ophthalmology 1988;95:937.)

In general there is a correlation between degree of optic disk pallor, and loss of acuity, visual field, color vision and pupillary reactions, but the relationship varies according to the underlying etiology. The major exception to this rule is compressive optic neuropathy in which optic disk pallor is generally a late manifestation.

OPTIC NEURITIS

Optic neuritis may be due to a variety of causes (Table 14-1) but the most common is demyelination. Retrobulbar neuritis is an optic neuritis that occurs far enough behind the optic disk that the disk remains normal during the acute episode. Papillitis is disk swelling caused by inflammation at the nerve head (intraocular optic nerve) (Figure 14-8). Loss of vision is the cardinal symptom of optic neuritis and is particularly useful in differentiating papillitis from papilledema, which it may resemble on ophthalmoscopic examination.


Figure 14-8

Figure 14-8: Mild disk swelling in demyelinative papillitis, with disk leakage on fluorescein angiography.

1. DEMYELINATIVE OPTIC NEURITIS

In adults, demyelinative optic neuritis occurs chiefly in women (about 3:1) and in whites. Onset is usually in the third or fourth decade of life. The disorder is associated with multiple sclerosis in 13-85% of patients in different population groups in the world. The percentage of progression to multiple sclerosis after an episode of optic neuritis tends to be higher with increased length of patient follow-up.

Clinical Features

Visual loss is generally subacute, developing over 2-7 days. Approximately one-third of patients have vision better than 20/40 during their first attack, and slightly more than one-third have vision worse than 20/200. Color vision and contrast sensitivity are correspondingly impaired. In over 90% of cases there is pain in the region of the eye, and about 50% of patients report that the pain is exacerbated by eye movement.

Almost any field defect is possible, but with manual perimetry a central scotoma is most commonly found. It is usually circular, varying widely in size and density, and may break out to an altitudinal defect. A central scotoma that has broken out to the periphery, however, should make the clinician suspect a compressive lesion. Central visual field testing by automated perimetry most commonly shows diffuse loss. The pupillary light reflex is sluggish, and if the optic nerves are asymmetrically involved a relative afferent pupillary defect will be present.

Papillitis occurs in 35% of cases, with hyperemia of the optic disk and distention of large veins being early signs on ophthalmoscopic examination. Blurring of the disk margins and filling of the physiologic cup are common, and there may be marked edema of the nerve head, but elevations of more than 3 D (1 mm) are unusual. Retinal exudates and edema in the papillomacular bundle may rarely occur and are associated with a lower rate of progression to multiple sclerosis. Flame-shaped hemorrhages in the nerve fiber layer near the optic disk occur in less than 10% of cases. Vitreous cells can be identified in the prepapillary area in less than 5% of cases.

Investigation & Differential Diagnosis

In typical cases, clinical diagnosis is adequate and no other investigation is required. If there are atypical features-particularly failure of vision to begin to recover by 6 weeks after onset-other diagnoses must be considered especially compressive optic neuropathy, for which magnetic resonance imaging (MRI) or computed tomography (CT) scanning should be performed. Other entities to be considered are anterior ischemic optic neuropathy, autoimmune optic neuropathy such as that due to systemic lupus erythematosus, toxic amblyopia, Leber's hereditary optic neuropathy, and vitamin B12 deficiency.

Papillitis needs to be differentiated from pap-illedema (Figure 14-9). In papilledema there is often greater elevation of the optic nerve head, nearly normal visual acuity, normal pupillary response to light, associated intracranial pressure, and an intact visual field except for an enlarged blind spot. If there has been acute papilledema with vascular decompensation (ie, hemorrhages and cotton-wool spots) or chronic papilledema with secondary ischemia of the optic nerve, visual field defects can include nasal nerve fiber bundle defects and nasal quadrantanopias. Papilledema is usually bilateral, whereas papillitis is usually unilateral. Despite these obvious differences, differential diagnosis can be difficult because of the similarity of the ophthalmoscopic findings and because papilledema can be quite asymmetric and papillitis bilateral in some postviral events (eg, Devic's disease, or neuromyelitis optica; see below).


Figure 14-9

Figure 14-9: Mild papilledema. The disk margins are blurred superiorly and inferiorly by the thickened layer of nerve fibers entering the disk.

During an acute episode of optic neuritis, MRI shows gadolinium enhancement, increased signal on short tau inversion recovery (STIR) sequences, and sometimes swelling of the affected nerve. Brain MRI will show lesions consistent with demyelination in as many as 25% of patients with isolated optic neuritis (Figure 14-10). This does not establish a diagnosis of multiple sclerosis, though it does indicate a significantly increased risk of subsequent development of clinically definite multiple sclerosis. The value of steroid treatment in delaying the development of multiple sclerosis is greater in patients with abnormal brain MRI at presentation. Thus, brain MRI may be indicated in isolated optic neuritis if more precise information is wanted about the risk of multiple sclerosis and the value of systemic steroid treatment.


Figure 14-10

Figure 14-10: Cerebral hemisphere white matter lesions on MRI associated with acute demyelinative optic neuritis.

The visual evoked response from the affected eye may show reduced amplitude or increased latency during the acute episode of optic neuritis. This in itself is not particularly helpful in diagnosis except in distinguishing retrobulbar optic neuritis from subclinical maculopathy, in which the visual evoked response will be relatively preserved in comparison with the pattern and cone-derived electroretinogram (ERG). Following recovery of vision after an episode of optic neuritis, the visual evoked response will continue to show an increased latency in about one-third of cases, and this finding can be useful in the identification of past episodes of demyelinative optic neuritis in patients undergoing investigation for possible multiple sclerosis.

Treatment

Steroid therapy, either intravenous, oral, or by retrobulbar injection, accelerates recovery of vision but does not influence the ultimate visual outcome. Oral steroids may increase the risk of recurrent optic neuritis. Intravenous methylprednisolone (1 g/d for 3 days) followed by oral prednisolone (1 mg/kg/d for 11 days) has been shown to produce a greater than 50% reduction (compared with placebo treatment) in the development of clinically definite multiple sclerosis, but only for a period of 2 years. This effect was most apparent in patients with multiple brain lesions on MRI at presentation.

Prognosis

Without treatment, vision characteristically begins to improve 2-3 weeks after onset and sometimes returns to normal within a few days. Improvement may continue slowly over many months, with recovery to 20/40 or better occurring in over 90% of cases at 1 year from onset. Poorer vision during the acute episode is correlated with poorer visual outcome, but even loss of all perception of light can be followed by complete return of vision. A poor visual outcome is also associated with longer lesions in the optic nerve, especially if there is involvement of the nerve within the optic canal. In general there is close correlation between recovery of visual acuity, contrast sensitivity, and color vision. If the disease process is sufficiently destructive, retrograde optic atrophy results, nerve fiber bundle defects appear in the retinal nerve fiber layer (Figure 14-11), and the disk loses its normal pink color and becomes pale. In very severe or recurrent cases, a chalky white disk with sharp outlines results, though disk pallor does not necessarily correlate with poor visual acuity.


Figure 14-11

Figure 14-11: Retinal nerve fiber layer in demyelinating optic neuropathy of multiple sclerosis. The upper temporal nerve fiber bundles show multiple slit-like areas of thinning (arrows) representing retrograde axonal atrophy from subclinical disease in the optic nerve. Vision in the eye was 20/20.

Factors that correlate with subsequent development of multiple sclerosis include female sex, HLA-DR2 and -DR3, associated retinal perivenous sheathing, brain MRI abnormalities, and cerebrospinal fluid oligoclonal bands. Optic neuritis in children more commonly affects both eyes simultaneously and produces papillitis than in adults, but the risk of progression to multiple sclerosis is lower.

2. MULTIPLE SCLEROSIS

Multiple sclerosis is typically a chronic relapsing and remitting demyelinating disorder of the central nervous system. The cause is unknown. Some patients develop a chronically progressive form of the disease, either following a period of relapses and remissions or, less commonly, from the outset. Characteristically, the lesions occur at different times and in noncontiguous locations in the nervous system-ie, "lesions are disseminated in time and space." Onset is usually in young adult life; this disease rarely begins before 15 years or after 55 years of age. There is a tendency to involve the optic nerves and chiasm, brainstem, cerebellar peduncles, and spinal cord, though no part of the central nervous system is protected. The peripheral nervous system is seldom involved.

Clinical Findings

A. Symptoms and Signs:

Clinically, there are a variety of symptoms and signs that may vary in number and character from time to time. In addition to ocular disturbances, there may be motor weakness with pyramidal signs, ataxia, urinary disturbances, paresthesias, dysarthria, and intention tremors. Sensory hyperesthesias and urinary incontinence are common early signs. Other problems can evolve over months to years.

Optic neuritis may be the first manifestation. Because of the transient nature of the visual defect and the relative absence of physical findings, the complaint is sometimes diagnosed as hysteria. There may be recurrent episodes, and the other eye usually becomes involved. The overall incidence of optic neuritis in multiple sclerosis is 90%, and the identification of symptomatic or subclinical optic nerve involvement is an important diagnostic clue.

Diplopia is a common early symptom, due most frequently to internuclear ophthalmoplegia. This condition, caused by a lesion of the medial longitudinal fasciculus, is characterized by paresis of the ipsilateral medial rectus muscle on conjugate lateral gaze to the opposite side, most obvious on saccadic movements, and nystagmus in the opposite (abducting) eye; thus, diplopia can occur on lateral gaze. In multiple sclerosis, the medial longitudinal fasciculus lesions are commonly bilateral (Figure 14-12). Medial rectus function can be normal for convergence if its nucleus is not involved by the demyelinating lesion. Less common causes of diplopia are lesions of the sixth or third cranial nerve within the brainstem.


Figure 14-12

Figure 14-12: Bilateral internuclear ophthalmoplegia due to multiple sclerosis.

Nystagmus is a common early sign, and-unlike most manifestations of the disease (which tend toward remission)-it is often permanent (70%).

Intraocular inflammation is associated with multiple sclerosis, particularly subclinical peripheral retinal venous sheathing, which can be highlighted by fluorescein angiography.

B. Laboratory Findings:

The cerebrospinal fluid gamma globulin concentration is frequently high, and oligoclonal bands can be elevated, representing local production of immunoglobulins. CD8 levels in the cerebrospinal fluid may also be abnormal. Some patients with multiple sclerosis have no spinal fluid abnormalities, especially if their disease process is in a less acute or milder phase.

Pathologically, multiple areas of demyelination are present in the white matter. Early, there is degeneration of myelin sheaths and relative sparing of the axons. Glial tissue overgrowth and complete nerve fiber destruction with some round cell infiltration are seen later.

C. Special Examinations:

Retinal nerve fiber layer defects consistent with a subclinical optic neuritis can be detected in 68% of multiple sclerosis patients. The visual evoked response (VER) may help confirm involvement of the visual pathway. The VER has been reported to be abnormal in 80% of definite, 43% of probable, and 22% of suspected cases of multiple sclerosis. A normal VER in cases with suspected multiple sclerosis makes the diagnosis questionable, but with positive oligoclonal bands or abnormal contrast sensitivity the diagnosis can be made with more certainty. CT scan and especially MRI can detect subclinical white matter demyelinating lesions even in the optic nerve and can confirm that there are disseminated lesions compatible with the diagnosis of multiple sclerosis.

Course, Treatment, & Prognosis

The course of this disease is unpredictable. Remissions and relapses are characteristic. Elevation of body temperature may cause temporary exacerbations (Uhthoff's phenomenon). Pregnancy or the number of pregnancies has no effect on disability, but there is an increased risk of relapse just after delivery. Onset during pregnancy has a more favorable outcome than onset unrelated to pregnancy.

Steroid treatment, particularly intravenous methylprednisolone, is useful in hastening recovery from acute relapses in multiple sclerosis but does not influence the final disability or the rate of further relapses. Systemic interferon beta reduces the rate of relapses by one-third but has no effect on long-term disability. There is no treatment that definitely influences the course of chronic progressive disease.

3. NEUROMYELITIS OPTICA (Devic's Disease)

This rare demyelinating disease of the central nervous system-considered by many to be a severe and acute form of multiple sclerosis-is characterized by bilateral optic neuritis and transverse myelitis. It presents with a subacute onset of loss of vision in one eye, followed soon by involvement of the other eye and paraplegia. Approximately 50% of patients progress to death within the first decade due to the paraplegia, but the remainder may have a prolonged remission and, ultimately, a better prognosis than patients with chronic demyelinating disease or multiple sclerosis.

Treatment may begin with a loading dose of intravenous methylprednisolone followed by a 2-month tapering course of oral steroids. With early institution of this treatment, visual recovery can be excellent. Systemic vasculitis and sarcoidosis should always be excluded.

4. OTHER TYPES OF OPTIC NEURITIS

Particularly in children, 1-2 weeks following a viral infection or immunization there may be an episode of optic neuritis, often with simultaneous bilateral involvement. The clinical course mirrors that of idiopathic demyelinative optic neuritis, suggesting a similar pathogenesis, but there is no association with subsequent development of multiple sclerosis. In some cases the acute disease causes more extensive neurologic involvement manifesting as an encephalomyelitis, which overlaps with acute disseminated encephalomyelitis. Optic nerve involvement may also occur in acute idiopathic polyneuropathy (Guillain-Barré syndrome). In systemic lupus erythematosus the optic nerve involvement may be immune-mediated or due to small blood vessel occlusion.

Herpes zoster-particularly herpes zoster ophthalmicus-may be complicated by optic neuropathy. This is probably due to vasculitis as well as direct neural invasion, and the prognosis is poor even with antiviral and steroid therapy. Other types of primary infection of the optic nerve, such as by syphilis, tuberculosis, cryptococcosis, and cytomegalovirus, are becoming more common with the increasing numbers of severely immunocompromised individuals such as those with autoimmume deficiency syndrome (AIDS). Lyme disease and cat-scratch disease are important causes of optic neuritis associated with macular star formation. Optic nerve involvement, often requiring long-term steroid therapy, is a recognized manifestation of sarcoidosis. A similar entity, idiopathic granulomatous optic neuropathy, also appears to occur in individuals in whom no evidence of sarcoidosis or other systemic disease can be identified.

Intraocular inflammation may lead to direct invasion of the anterior optic nerve with visual loss or to optic disk swelling without apparent reduction in optic nerve function. Optic nerve involvement is an important cause of permanent visual loss in cellulitis or vasculitis of the orbit. The association between sinusitis and optic neuritis is less strong than once thought, but the occurrence of visual loss in the presence of sphenoid or posterior ethmoid sinus disease may indicate a causal relationship, particularly if there is a sinus mucocele. In diabetic or immunocompromised patients, mucormycosis is an important cause of rapidly progressive sinus disease with optic and other cranial nerve involvement.

ANTERIOR ISCHEMIC OPTIC NEUROPATHY

Anterior ischemic optic neuropathy is characterized by pallid disk swelling associated with acute loss of vision: often there are one or two peripapillary splinter hemorrhages (Figure 14-13). The disorder is due to infarction of the retrolaminar optic nerve (the region just posterior to the lamina cribrosa) from occlusion or decreased perfusion of the short posterior ciliary arteries. Fluorescein angiography in the acute stage shows decreased perfusion of the optic disk, often segmental in the nonarteritic form but usually diffuse in the arteritic form, and disk leakage in the late phase. There may be associated perfusion defects in the peripapillary choroid.


Figure 14-13

Figure 14-13: Pseudo-Foster Kennedy syndrome due to sequential anterior ischemic optic neuropathy. A: Swollen right optic disk with hemorrhages due to current ischemic episode. B: Atrophy of left optic disk due to previous ischemia. C: Early phase of fluorescein angiogram of right eye showing poor perfusion of optic disk and dilated superficial disk capillaries. D: Late phase of fluorescein angiogram showing disk leakage.

Nonarteritic ischemic optic neuropathy occurs generally in the sixth or seventh decade and is associated with arteriosclerosis, diabetes, hypertension, and hyperlipidemia, but any thrombotic condition capable of producing intracranial stroke can affect the posterior ciliary arteries as well. Systemic hypotension during the early morning may be an important etiologic factor. In younger patients, vasculitis (eg, systemic lupus erythematosus, antiphospholipid antibody syndrome, and polyarteritis nodosa), migraine, and inherited prothrombotic states (deficiencies of protein C, protein S, or antithrombin III and activated protein C resistance) should be explored and appropriately treated. A significantly reduced cup:disk ratio with crowding of axons in a relatively small scleral canal, optic nerve head drusen, and increased intraocular pressure may be predisposing factors. The visual loss in nonarteritic anterior ischemic optic neuropathy is generally abrupt, but it may be progressive over 1-2 weeks. Impairment of visual acuity varies from slight to no light perception; visual field defects are commonly altitudinal (inferior defects more common than superior ones). In over 40% of cases, there is spontaneous improvement in visual acuity. No treatment has been shown to provide long-term benefit. The previously advocated optic nerve sheath fenestration procedure has been shown to be potentially harmful. Low-dose aspirin therapy may reduce the risk of involvement of the fellow eye, which occurs in up to 40% of individuals. Recurrences in the same eye are rare, presumably related to decompression of the scleral canal due to infarction of axons. As the acute process resolves, a pale disk with or without "glaucomatous" cupping results.

It is particularly important to identify the arteritic anterior ischemic optic neuropathy, due to giant cell arteritis. This causes severe visual loss with the risk of complete blindness if treatment is delayed. It occurs in elderly people and is associated with a high sedimentation rate, painful and tender temporal arteries, pain on mastication, general malaise, and muscular aches and pains (polymyalgia rheumatica). It may represent an autoimmune response to internal elastic lamina that is bared to the systemic circulation by ulcerated arteriosclerotic plaques. The diagnosis is usually based upon an anterior ischemic optic neuropathy and a high electroretinogram (ESR) in an elderly patient, with or without associated systemic features. Other ocular manifestations of giant cell arteritis are central retinal artery occlusion, cilioretinal artery occlusion, retinal cotton-wool spots, ophthalmic artery occlusion, and diffuse ocular ischemia. Diagnosis is established by temporal artery biopsy, looking particularly for inflammatory cell infiltration, often but not always including giant cells, and prominent disruption of the internal elastic lamina.

Treatment with high-dose systemic steroids should be started as soon as a clinical diagnosis of arteritic anterior ischemic optic neuropathy has been made without waiting for the result of temporal artery biopsy, which should be performed within 1 week after starting treatment. Oral prednisolone, 80-100 mg/d, is usually adequate as a starting dose, but intravenous methylprednisolone should be considered in patients with bilateral disease-including those with transient episodes of visual loss in the second eye-and in patients whose visual loss progresses or whose systemic manifestations and high ESR do not respond despite oral therapy. Steroid dosage can usually be reduced to about 40 mg prednisolone per day over two weeks but then should be more gradually tapered and discontinued after about 6 months overall as long as there has been no recurrence of disease activity. Thirty percent of patients require long-term steroid therapy.

Diabetics occasionally develop mild, chronic, usually bilateral disk swelling with little change in visual function, so-called diabetic papillopathy. This is thought to represent microvascular disease affecting the optic disk circulation. It is sometimes confused with optic disk neovascularization because of the leakage of dye from the disk on fluorescein angiography. Radiation damage, usually from radiotherapy treatment for skull base or sinus tumors 12-18 months previously, and massive blood loss, such as from a bleeding peptic ulcer, are two causes of ischemic optic neuropathy in which there may be no optic disk swelling during the acute stage of the disease. This is sometimes referred to as posterior ischemic optic neuropathy. Other causes are giant cell arteritis and mucormycosis. In general the diagnosis of posterior ischemic optic neuropathy should not be considered until other causes, particularly a compressive lesion, have been excluded. Radiation optic neuropathy produces characteristic changes of tissue swelling and focal gadolinium enhancement on MRI and may be helped by hyperbaric oxygen therapy.

PAPILLEDEMA (Figures 14-9, 14-14, new window  14-15 and new window  14-16)

Papilledema (choked disk) is by definition a noninflammatory congestion of the optic disk due to raised intracranial pressure, of which the most common causes are cerebral tumors, abscesses, subdural hematoma, arteriovenous malformations, subarachnoid hemorrhage, acquired hydrocephalus, meningitis, and encephalitis.


Figure 14-14

Figure 14-14: Acute papilledema with cotton-wool spots and hemorrhages.


Figure 14-15

Figure 14-15: Chronic papilledema with prominent disk swelling, capillary dilation, and retinal folds but few hemorrhages or cotton-wool spots (A) and (B). Fluorescein angiography demonstrates the capillary dilation in its early phase (C) and marked disk leakage in its late phase (D).

In an ophthalmology practice where patients come in and are usually healthy except for visual complaints, papilledema is often due to idiopathic intracranial hypertension. This is characterized by papilledema, no neurologic abnormality except for perhaps sixth or more rarely seventh cranial nerve palsy, normal neuroimaging studies, including brain MRI, and normal cerebrospinal fluid studies apart from increased intracranial pressure. It is, however, a diagnosis of exclusion, and a number of other causes of this syndrome of pseudotumor cerebri must be excluded, such as cerebral venous sinus occlusion, oral contraceptive use, steroid or tetracycline therapy, uremia, and respiratory failure.

Less common causes of papilledema are spinal tumors, acute idiopathic polyneuropathy (Guillain-Barré syndrome), mucopolysaccharidoses, and craniosynostoses, in which various factors, including decreased cerebrospinal fluid absorption, abnormalities of spinal fluid flow, and reduced cranial volume, contribute to the raised intracranial pressure.

For papilledema to occur, the subarachnoid spaces around the optic nerve must be patent and connect the retrolaminar optic nerve through the bony optic canal to the intracranial subarachnoid space, thus allowing increased intracranial pressure to be transmitted to the retrolaminar optic nerve. There slow and fast axonal transport is blocked, and axonal distention, particularly noticeable at the superior and inferior poles of the optic disk, occurs as the first sign of papilledema. Hyperemia of the disk, dilated surface capillary telangiectases, blurring of the peripapillary disk margin, and loss of spontaneous venous pulsations are the signs of mild papilledema. Edema around the disk can cause a decreased sensitivity to small isopters on visual field testing, but circumferential retinal folds with changes in the internal limiting membrane reflexes (Paton's lines) will eventually become evident as the retina is pushed away from the choked disk; when the retina is pushed away, the blind spot will be enlarged to large isopters on visual field testing as well. In acute papilledema, probably as a consequence either of markedly elevated or rapidly increasing intracranial pressure, there are hemorrhages and cotton-wool spots, indicating vascular and axonal decompensation with the attendant risk of acute optic nerve damage and visual field defects (Figure 14-14). There may also be peripapillary edema (which can extend to the macula) and choroidal folds. In chronic papilledema (Figure 14-15), which is likely to be the consequence of prolonged moderately raised intracranial pressure, a process of compensation appears to limit the optic disk changes such that there are few if any hemorrhages or cotton-wool spots. With persistent raised intracranial pressure, the hyperemic elevated disk gradually becomes gray-white as a result of astrocytic gliosis and neural atrophy with secondary constriction of retinal blood vessels, thus leading to the stage of atrophic papilledema (Figure 14-16). There may also be retinochoroidal collaterals (previously known as opticociliary shunts) linking the central retinal vein and the peripapillary choroidal veins, which develop when the retinal venous circulation is obstructed in the prelaminar region of the optic nerve. (Other causes of retinochoroidal collaterals are central retinal vein occlusion, optic nerve sheath meningioma, optic nerve glioma, and optic nerve head drusen.) Vintage papilledema is characterized by the presence of drusen-like deposits within the swollen optic nerve head.


Figure 14-16

Figure 14-16: Atrophic papilledema in a child with a cerebellar medulloblastoma. The disk is pale and slightly elevated and has blurred margins. The white areas surrounding the macula are reflected light from the vitreoretinal interface. The inferior temporal nerve fiber bundles are partially atrophic (arrows).

It takes 24-48 hours for early papilledema to occur and 1 week to develop fully. It takes 6-8 weeks for fully developed papilledema to resolve during adequate treatment. Acute papilledema may reduce visual acuity by causing hyperopia and occasionally is associated with optic nerve infarction, but in most cases vision is normal apart from blind spot enlargement. Chronic atrophic and vintage papilledema are associated with gradual constriction of the peripheral visual field, particularly inferonasal loss, and transient visual obscurations. Sudden reduction of intracranial pressure or systolic perfusion pressure may precipitate severe visual loss in any stage of papilledema.

Papilledema is often asymmetric. It may even appear to be unilateral, though fluorescein angiography in such cases usually shows leakage from both disks. Papilledema occurs late in glaucoma, but it will not occur at all if there is optic atrophy or if the optic nerve sheath on that side is not patent. Foster Kennedy's syndrome is papilledema on one side with optic atrophy on the other (optic nerve and sheath compressed by neoplasm). This is commonly due to meningiomas of the sphenoid wing and classically to meningiomas of the olfactory groove. However, this clinical presentation can be mimicked (pseudo-Foster Kennedy syndrome) by ischemic optic neuropathy when an old ischemic optic neuropathy with atrophy is associated with a new hyperemic ischemic optic neuropathy (Figure 14-13).

Papilledema can be mimicked by buried drusen of the optic nerve, small hyperopic disks, and myelinated nerve fibers (Figure 14-17). The treatment of papilledema must be directed to the underlying cause. In idiopathic intracranial hypertension, weight loss and oral acetazolamide (250 mg one to four times daily) are usually effective, but lumboperitoneal shunting or optic nerve sheath fenestration may become necessary if there is severe or progressive visual loss.


Figure 14-17

Figure 14-17: Large patch of myelinated nerve fibers originating from superior edge of disk. Another smaller patch is present near the inferior nasal border of the disk. (Right eye.)

OPTIC NERVE COMPRESSION

Optic nerve compression is often amenable to treatment, and early recognition is vital to optimal outcome. The possibility of optic nerve compression should be considered in any patient with signs of optic neuropathy or visual loss not explained by an intraocular lesion. Optic disk swelling may occur with intraorbital optic nerve compression but in many cases, particularly when the optic nerve compression is intracranial, the optic disk shows no abnormality until optic atrophy develops or there is papilledema from associated raised intracranial pressure. (Examination for signs of optic nerve disease, particularly a relative afferent pupillary defect, is thus crucial in assessment of the patient with unexplained visual loss.) Investigation of possible optic nerve compression requires early imaging by MRI or CT. If no structural lesion is identified and meningeal disease is suspected, it may be necessary to proceed to cerebrospinal fluid examination.

Intracranial meningiomas that may compress the optic nerve include those arising from the sphenoid wing, the tuberculum sellae (suprasellar meningioma), and the olfactory groove. Sphenoid wing meningiomas also produce proptosis, ocular motility disturbance, and trigeminal sensory loss (Figure 14-18). Surgical excision is generally effective in debulking intracranial meningiomas, but complete excision is often very difficult to achieve and recurrence rates are relatively high. Radiotherapy may be indicated as adjuvant or primary treatment. Pituitary adenoma and craniopharyngioma are discussed in the section on chiasmal disease (see below). The management of orbital causes of optic nerve compression is discussed in Chapter 13.


Figure 14-18

Figure 14-18: Axial MRI of sphenoid wing meningioma causing proptosis.

Primary optic nerve sheath meningioma is a rare tumor most commonly presenting, like other types of meningioma, in middle-aged women (Figure 14-19). Five percent of cases are bilateral. Visual loss is slowly progressive. The classic clinical features are a pale, slightly swollen optic disk with retinochoroidal collaterals, but in most cases the collateral vessels are not present (Figure 14-6). Surgical excision invariably leads to complete loss of vision and is generally reserved for blind eyes to prevent intracranial spread of tumor. Focal radiotherapy is becoming more popular.


Figure 14-19

Figure 14-19: MRI of tubular optic nerve sheath meningioma.

NUTRITIONAL & TOXIC OPTIC NEUROPATHIES

The usual clinical features of nutritional or toxic optic neuropathy are subacute, progressive, symmetrical visual loss, with central field defects (Figure 14-20), poor color vision, and the development of temporal disk pallor (Figure 14-6).


Figure 14-20

Figure 14-20: Nutritional amblyopia showing centrocecal scotoma. VA = 20/200.

1. VITAMIN DEFICIENCY

Optic nerve involvement is relatively uncommon in vitamin B12 deficiency, but it may be the first manifestation of pernicious anemia. Thiamin (vitamin B1) deficiency is generally a feature of severe malnutrition, and, as discussed below, there is an overlap with tobacco-alcohol amblyopia. Whether folate deficiency alone can produce an optic neuropathy is not entirely clear.

2. TOBACCO-ALCOHOL AMBLYOPIA

Nutritional amblyopia is another term for this entity. It occurs more commonly in males with poor dietary habits, particularly if the diet is deficient in thiamine.

Heavy drinking with or without heavy smoking is most often associated with a poor nutritional state. Bilateral loss of central vision is present in over 50% of patients, reducing visual acuity to less than 20/200, but can be asymmetric. Central visual fields reveal scotomas that nearly always include both fixation and the blind spot (centrocecal scotoma) (Figure 14-20). Centrocecal scotomas are usually of constant density, but when density of the scotoma varies, the most dense portion usually lies between fixation and the blind spot in the papillomacular bundle.

Much consideration has been given in the literature to other toxic causes such as cyanide from tobacco, producing low vitamin stores and low levels of sulfur-containing amino acids, but experimental studies with cyanide in primates have not confirmed this theory. Leber's hereditary optic neuropathy, pernicious anemia, methanol poisoning, retrobulbar neuritis, or macular degeneration may cause diagnostic confusion.

Adequate diet plus thiamine, folic acid, and vitamin B12 is nearly always effective in completely curing the disease if it is recognized early. Withdrawal of tobacco and alcohol is advisable and may hasten the cure, but innumerable cases are known in which adequate nutrition or vitamin B12 supplements effected the cure despite continued excessive intake of alcohol or tobacco. Improvement usually begins within 1-2 months, though in occasional cases significant improvement may not occur for a year. Visual function can but may not return to normal; permanent optic atrophy or at least temporal disk pallor can occur depending upon the stage of disease at the time treatment was started (Figure 14-6). Loss of the ganglion cells of the macula and destruction of myelinated fibers of the optic nerve-and sometimes of the chiasm as well-are the main histologic changes.

3. HEAVY METAL POISONING

Chronic lead exposure, thallium (present in depilatory cream), or arsenic poisoning can produce a toxic effect on the optic nerve.

4. DRUG-INDUCED OPTIC NEUROPATHY

Ethambutol, isoniazid (INH), rifampin, and disulfiram can all produce retrobulbar neuritis or papillitis, which will improve with prompt cessation of the drug with or without nutritional supplements. Serial color vision screening is the most sensitive clinical test and must be done prophylactically.

Quinine is toxic to ganglion cells and will cause optic neuropathy with severely narrowed retinal arteries. Chloramphenicol in high doses causes optic neuropathy. Amiodarone toxicity can produce bilateral disk edema, but it characteristically also induces a verticillate keratopathy as well as other central nervous system signs.

5. CHEMICAL-INDUCED OPTIC NEUROPATHY: METHANOL POISONING

Methanol is used widely in the chemical industry as antifreeze, solvent varnish, or paint remover; it is also present in fumes of some industrial solvents such as those used in old photocopier machines. Significant systemic absorption can occur from fumes inhaled in a room with inadequate ventilation and (rarely) can be absorbed through the skin.

Clinical Findings

Visual impairment can be the first sign and begins with mild blurring of vision that progresses to contraction of visual fields and sometimes to complete blindness. The field defects are quite extensive and nearly always include the centrocecal area.

Hyperemia of the disk is the first ophthalmoscopic finding. Within the first 2 days, a whitish, striated edema of the disk margins and nearby retina appears (Figure 14-21). Disk edema can last up to 2 months and is followed by optic atrophy of mild to severe degree.


Figure 14-21

Figure 14-21: Methanol poisoning. Note edema of the retina and optic disk.

Decreased pupillary response to light occurs in proportion to the amount of visual loss. In severe cases, the pupils become dilated and fixed. Extraocular muscle palsies and ptosis may also occur.

Treatment

Treatment consists of correction of the acidosis with intravenous sodium bicarbonate and oral or intravenous administration of ethanol to compete with and thus prevent the slower metabolism of methanol into its by-products. Hemodialysis is indicated for blood methanol levels over 50 mg/dL.

OPTIC NERVE TRAUMA

Direct optic nerve injury occurs in penetrating orbital trauma, including local anesthetic injections for ocular surgery, and in fractures involving the optic canal. Visual loss due to indirect optic nerve trauma, which refers to optic nerve damage secondary to distant skull injury, occurs in approximately 1% of all head injuries. The site of injury is usually the forehead, often without skull fracture, and the probable mechanism of optic nerve injury is transmission of shock waves through the orbital walls to the orbital apex. Optic nerve avulsion usually results from an abrupt rotational injury to the globe, such as from being poked in the eye with a finger.

High-dose systemic steroids may be beneficial in both direct and indirect optic nerve injuries. Surgery may be indicated to relieve orbital, subperiosteal, or optic nerve sheath hemorrhage or to treat orbital fractures. Decompression of the bony optic canal has also been advocated for indirect optic nerve trauma but its value is uncertain. There is no effective treatment for optic nerve avulsion.

HEREDITARY OPTIC ATROPHY

1. LEBER'S HEREDITARY OPTIC NEUROPATHY

Leber's hereditary optic neuropathy is a rare disease characterized by sequential subacute optic neuropathy in males aged 11-30 years. The underlying genetic abnormality is a point mutation in mitochondrial deoxyribonucleic acid (DNA) mitochondrial DNA (mtDNA), over 90% of affected families harboring a mutation at position 11778, 14484, or 3460. mtDNA is exclusively derived from the mother and thus, in accordance with the general pattern of mitochondrial (maternal) inheritance (see Chapter 18), the mutation is transmitted through the female line-but for unexplained reasons the disease rarely manifests in carrier females. Once an individual is known to have the disorder, it is possible without further genetic testing to predict which other family members are at risk, matrilineal nephews, ie, sons of the affected individual's sisters, being particularly at risk.

Blurred vision and a central scotoma appear first in one eye and later-within days, weeks, or months-in the other eye. During the acute episode, there may be swelling of the optic disk and peripapillary retina with dilated telangiectatic small blood vessels on their surface, but characteristically there is no leak from the optic disk during fluorescein angiography. Both optic nerves eventually become atrophic, and vision is usually between 20/200 and counting fingers. The 14484 mutation is associated with recovery of vision but not until many months after the initial onset of visual loss. Total loss of vision or recurrences of visual loss usually do not occur. Leber's neuropathy may be associated with a multiple sclerosis-like illness (particularly in affected females), cardiac conduction defects, and dystonia.

Diagnosis is by identification of one of the three mtDNA point mutations. There is no known treatment. Because high tobacco and alcohol consumption may precipitate visual loss in susceptible individuals, carriers of a pathogenic point mutation, particularly males, should be advised not to smoke and to avoid high alcohol consumption.

Optic atrophy also occurs in other mitochondrial disorders, either as a manifestation of primary optic neuropathy-eg, myoclonic epilepsy and ragged red fibers (MERRF) and mitochondrial myopathy, lactic acidosis and stroke-like episodes (MELAS)-or secondary to retinal degeneration, eg, Kearns-Sayre syndrome. Wolfram's syndrome (see below) is also probably the result of a mitochondrial disorder.

2. AUTOSOMAL HEREDITARY OPTIC ATROPHY

Autosomal dominant (juvenile) optic atrophy generally has an insidious onset in childhood, with slow progression of visual loss throughout life. It is often detected as mild reduction in visual acuity by childhood vision screening programs. There is characteristically a centrocecal scotoma with impaired color vision. Temporal optic disk pallor is usually present, though often mild, and mild disk cupping is occasionally seen. Diagnosis is by identification of other affected family members. The genetic defect has been mapped to the long arm of chromosome 3, and for that reason there may soon be a specific genetic test. Rarely, the disease is associated with congenital or progressive deafness or ataxia.

Autosomal recessive (infantile) optic atrophy manifests as severe visual loss, present at birth or within 2 years and accompanied by nystagmus. It can be associated with progressive hearing loss, spastic quadriplegia, and dementia, though an inborn error of metabolism must first be considered. Wolfram's syndrome consists of juvenile diabetes insipidus, diabetes mellitus, optic atrophy, and deafness (DIDMOAD). Although there is a recessive pattern of inheritance, with the gene defect localized to chromosome 4, the underlying metabolic abnormality is probably a defect in cellular energy production, as in the mitochondrial diseases.

3. OPTIC ATROPHY WITH INHERITED NEURODEGENERATIVE DISEASES

Various neurodegenerative diseases with onset in the years from childhood to early adult life are manifested by steadily progressive neurologic and visual signs. Examples are hereditary spinocerebellar ataxias (Friedreich's ataxia), hereditary motor and sensory neuropathy (Charcot-Marie-Tooth disease), and the lysosomal storage disorders. Most of the sphingolipidoses late in their course are associated with optic atrophy. The leukodystrophies (Krabbe's, metachromatic leukodystrophy, adrenoleukodystrophy, globoid dystrophy, Pelizaeus-Merzbacher disease, Schilder's disease) are associated with optic atrophy earlier. Canavan's spongy degeneration and glioneuronal dystrophy (Alper's disease) are associated with optic atrophy as well. Peroxisome disorders (Zellweger's disease, Refsum's disease, etc) can have optic atrophy with cataract, glaucoma, and a pigmentary retinopathy. Optic atrophy can occur in the mucopolysaccharidoses due to hydrocephalus from mucopolysaccharides in the meninges or due to mucopolysaccharides in glial cells of the optic nerve.

Optic atrophy secondary to retinal ganglion cell atrophy can also occur in Alzheimer's disease. Large retinal ganglion cells project to the superior colliculus, and eye movement abnormalities occur as well.

NEOPLASTIC OPTIC NERVE INFILTRATION

Optic nerve glioma is discussed below, together with chiasmal glioma. In leukemia (usually acute leukemia), non-Hodgkin's lymphoma, and disseminated carcinoma, optic nerve infiltration with marked visual loss and optic disk swelling may develop. Primary neoplasms of the optic nerve include the astrocytic hamartoma of tuberous sclerosis, melanocytoma, and hemangioma, all rarely causing any visual disturbance.

OPTIC NERVE ANOMALIES

There are a large number of congenital optic nerve anomalies. They may be associated with other anomalies of the head since closure of the fetal fissure, ocular melanogenesis, and disk development occur at the same time as development of the skull and face.

Optic nerve hypoplasia, dysplasia, and coloboma have all been associated with basal encephaloceles as well and with varying intracranial anomalies, from Duane's retraction syndrome to agenesis of the corpus callosum (de Morsier's syndrome) and pituitary-hypothalamic dysfunction (especially growth hormone deficiency). Hypoplastic optic nerves are small, with normal-sized retinal blood vessels (Figure 14-22). They are associated with a wide range of visual acuities, astigmatism, a peripapillary halo that may have a pigmented rim also (double-ring sign), and various visual field defects. Dysplastic optic disks usually are associated with poor vision and show abnormal vasculature, retinal pigment epithelium, and glial tissue. They are often surrounded by a chorioretinal pigmentary disturbance. Dysplastic disks have been reported with trisomy 4q. The papillorenal syndrome has been reported with dysplastic disks and colobomas. Colobomas of the optic nerve have been called "pseudoglaucoma" because of their resemblance to glaucomatous cupping (Figure 14-23). Disk colobomas or hypoplasia when associated with chorioretinal lacunae, absence of the corpus callosum, and focal seizures constitute Aicardi's syndrome. This can also include retrobulbar cysts. Optic disk pits are usually not associated with any visual symptoms but they can be mistaken for glaucomatous cupping, particularly if there is an associated field defect. Occasionally, optic disk pits present later in life as a consequence of serous detachment of the macula.


Figure 14-22

Figure 14-22: Optic nerve hypoplasia.


Figure 14-23

Figure 14-23: Optic disk coloboma.

Tilted disks, which occur in 3% of normals, may also be seen with hypertelorism or the craniofacial dysostoses (Crouzon's disease, Apert's disease). They are oval disks with usually an inferior scleral crescent and an associated area of fundus hypopigmentation (Figure 14-24). They may be mistaken for papilledema. They may also produce predominantly upper temporal field defects, which may be mistaken for bitemporal loss due to chiasmal dysfunction. Scleral crescents are particularly common in myopic eyes.


Figure 14-24

Figure 14-24: Bilateral tilted optic disks.

Megalopapilla may be mistaken for optic atrophy due to the prominence of the lamina cribrosa. Myelinated nerve fibers usually extend into the retina from the disk, but occasionally are just seen in the retinal periphery (Figure 14-17). They always follow the course of the retinal nerve fiber layer. Remnants of the embryonic hyaloid system range from tissue fragments on the optic disk (Bergmeister's papilla) to strands extending to the posterior lens capsule. Prepapillary vascular loops are distinct from the hyaloid system and occasionally become obstructed, leading to branch retinal artery occlusion.

Optic nerve head drusen are clinically apparent in about 0.3% of the population but are found on ultrasound or histopathologic studies in 1% or more. In children, they are usually buried within the disk substance and thus are not visible on clinical examination but cause elevation of the disk surface and mimic papilledema. The optic disk is characteristically small, with no physiologic cup and an anomalous pattern of exit of the retinal vessels. With increasing age and loss of overlying axons, optic nerve head drusen become exposed, being apparent as "lumpy-bumpy" yellow crystalline excrescences, highlighted by retroillumination of the disk substance (Figure 14-6). On fluorescein angiography, exposed drusen are autofluorescent and result in accumulation of dye within the disk substance (Figure 14-25). Buried drusen are best diagnosed by orbital ultrasound or thin slice CT scanning, which detect their associated calcification. Optic nerve head drusen are usually bilateral. They can rarely cause visual loss, either by optic neuropathy, choroidal neovascularization, or vitreous hemorrhage. Hyperopic eyes may also have small elevated disks, resembling buried optic nerve head drusen and similarly mimicking papilledema.


Figure 14-25

Figure 14-25: Optic nerve head drusen (A) exhibiting autofluorescence (B).

THE OPTIC CHIASM

In general, lesions of the chiasm cause bitemporal hemianopic defects. Early, these defects are typically incomplete and are often asymmetric. However, as compression progresses, the temporal hemianopia becomes complete, the inferior and superior nasal fields will then be involved, and central visual acuity will decrease. Most diseases that affect the chiasm are neoplastic, with vascular or inflammatory processes only occasionally producing chiasmatic visual field loss.

PITUITARY TUMORS

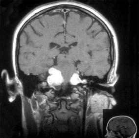
The anterior lobe of the pituitary gland is the site of origin of pituitary tumors (Figure 14-26). Symptoms and signs include loss of vision, field changes, pituitary dysfunction, extraocular nerve palsies, and evidence on CT scan or MRI of sellar and suprasellar tumor.


Figure 14-26

Figure 14-26: Coronal MRI showing large pituitary adenoma elevating and distorting the optic chiasm.

Combination therapy with radiation and surgery has been challenged by medical treatment with bromocriptine, which has been effective not only in tumors associated with galactorrhea but also in some null cell (or endocrinologically inactive) tumors. Visual loss or endocrine dysfunction is an indication for treatment. Visual acuity and visual fields may improve dramatically after pressure has been removed from the chiasm. The initial appearance of the optic nerve head does not predict the ultimate visual outcome.

CRANIOPHARYNGIOMA

Craniopharyngiomas are an uncommon group of tumors arising from epithelial remnants of Rathke's pouch (80% of the population normally have such remnants) and characteristically become symptomatic between the ages of 10 and 25 years but occasionally not until the 60s and 70s. They are usually suprasellar (Figure 14-27), occasionally intrasellar. The signs and symptoms vary tremendously with the age of the patient and the exact location of the tumor as well as its rate of growth. When a suprasellar tumor occurs, asymmetric chiasmatic or tract field defects are prominent. Papilledema is more common than in pituitary tumors. Optic nerve hypoplasia can be seen in those tumors presenting in infancy. Pituitary deficiency may result, and involvement of the hypothalamus may cause stunted growth. Calcification of parts of the tumor contributes to a characteristic radiologic appearance, especially in children.


Figure 14-27

Figure 14-27: Sagittal MRI showing contrast enhanced suprasellar craniopharyngioma.

Treatment consists of surgical removal-as complete as possible at the first procedure, since reoperation tends to involve the hypothalamus, and patients then do poorly. Adjunctive radiotherapy is often used, particularly if there has been incomplete surgical removal.

SUPRASELLAR MENINGIOMAS

Suprasellar meningiomas arise from the meninges covering the tuberculum sellae and the planum sphenoidale, with a high proportion of patients being female. The tumor is usually anterior and superior to the chiasm. Visual field changes due to involvement of the optic nerves and chiasm often occur early (but asymmetrically) followed by slowly progressive damage to the visual pathway. CT scans with contrast enhancement easily demonstrate these tumors. Hyperostoses associated with bony erosion and a dense calcified tumor are the radiologic hallmarks of meningioma. Treatment consists of surgical removal, often combined with adjuvant radiotherapy if there has been incomplete excision.

CHIASMATIC & OPTIC NERVE GLIOMAS

Optic nerve and chiasm gliomas are rare, usually indolent disorders of children that sometimes occur as part of the clinical picture of neurofibromatosis 1. Onset may be sudden, with rapid loss of vision. Optic atrophy occurs, and visual field defects reveal an optic nerve or chiasmatic syndrome. Neuroimaging may reveal enlarged optic nerves and a mass in the region of the chiasm and hypothalamus. Treatment depends on the location of the tumor and its clinical course. Irradiation can be given during a tumor growth spurt, and optic nerve resection is sometimes done when an optic nerve tumor aggressively starts to extend intracranially toward the chiasm.

Malignant glioma of the anterior visual pathways is a rare disease of elderly men. There is a rapid clinical course to bilateral blindness and death due to invasion of the base of the brain. There is no effective treatment.

THE RETROCHIASMATIC VISUAL PATHWAYS

Cerebrovascular disease and tumors are responsible for most lesions of the retrochiasmatic visual pathways, though almost any intracranial disease process can involve these structures. Retrochiasmatic visual field defects are homonymous. Partial lesions in the optic tract and lateral geniculate nucleus produce incongruous (or dissimilar) visual field defects due to a 90-degree medial rotation of axons in each tract and the decussation of half of the axons through the chiasm. Thus, there may be more involvement of a nasal hemifield than of its corresponding temporal hemifield. Once the lesion becomes complete, however, incongruity cannot be assessed, and this sign loses its localizing ability. Retrochiasmatic visual field defects should spare visual acuity since the visual pathway from the other hemibrain is intact. The optic tracts and lateral geniculate nucleus are infrequently affected. After several weeks to months, the disks may appear pale, and the retinal nerve fiber layer is deficient. The optic tract and lateral geniculate nucleus have at least a dual blood supply, so that primary vascular lesions are uncommon. Most cases are due to trauma, tumors, arteriovenous malformations, abscesses, and demyelinating diseases.

Lesions involving the geniculocalcarine pathway to the occipital cortex produce homonymous field defects but do not result in optic atrophy (due to the synapse at the geniculate nucleus). Generally, the more posterior a lesion is located, the more congruous the homonymous visual field defect. The inferior geniculocalcarine pathway passes through the temporal lobe and the superior pathway through the parietal lobe, with macular function between them. Lesions of the inferior pathway result in superior visual field defects. Processes affecting the anterior and midtemporal lobes are commonly neoplastic; posterior temporal lobe and parietal processes can be either vascular or neoplastic. An insidious onset with mild and multiple neurologic deficits would be more typically neoplastic, whereas an acute cataclysmic neurologic event would be more typically vascular. Vascular lesions of the occipital lobe, on the other hand, are common and account for over 80% of cases of isolated homonymous visual field loss in patients over age 50 years. The most posterior tip of each occipital lobe projects to homonymous macular fields. Anterior to the macular representation lies the peripheral field; thus, vascular occlusions can selectively involve the posterior occipital cortex and produce homonymous defects with congruous macular scotomas or spare the posterior cortex, and homonymous defects with macular sparing will result. The cortical centers involved in the generation of optokinetic nystagmus lie in the area between the occipital and temporal lobes and in the posterior parietal area, which are within the vascular territory of the middle cerebral artery. Optokinetic nystagmus asymmetry characteristically occurs in parietal lesions but not in occipital lesions. An asymmetric optokinetic nystagmus combined with an occipital visual field defect indicates a process not respecting vascular territories and thus suggests a tumor (Cogan's sign). CT scans and MRI demonstrate cerebral lesions with remarkable clarity (Figures 14-4, 14-5, 14-28, and 14-29).


Figure 14-28

Figure 14-28: Occipital hematoma (arrow) resulting from a bleeding arteriovenous malformation. This lesion produced homonymous hemianopia and headache.


Figure 14-29

Figure 14-29: Axial MRI showing parietal meningioma with secondary cerebral edema.

THE PUPIL

The size of the normal pupil varies at different ages, from person to person, and with different emotional states, levels of alertness, degrees of accommodation, and ambient room light. The normal pupillary diameter is about 3-4 mm, smaller in infancy, and tending to be larger in childhood and again progressively smaller with advancing age. Pupillary size relates to varying interactions between the sympathetically innervated iris dilator, with supranuclear control from the frontal (alertness) and occipital lobes (accommodation). The pupil also normally responds to respirations (ie, hippus). Twenty to 40 percent of normal patients have a slight difference in pupil size (physiologic anisocoria), usually of about 0.5 mm. Mydriatic and cycloplegic drugs work more effectively on blue eyes than on brown eyes.

Neuroanatomy of the Pupillary Pathways

Evaluation of the pupillary reactions is important in localizing lesions involving the optic pathways. The examiner should be familiar with the neuroanatomy of the pathway for reaction of the pupil to light and the miosis associated with accommodation (Figure 14-30).


Figure 14-30

Figure 14-30: Diagram of the path of the pupillary light reflex. (Reproduced, with permission, from Walsh FB, Hoyt WF: Clinical Neuro-ophthalmology, 3rd ed. Vol 1. Williams & Wilkins, 1969.)

A. Light Reflex:

The pathway for the light reflex is entirely subcortical. The afferent pupillary fibers are included within the optic nerve and visual pathways until they exit the optic tract just prior to the lateral geniculate nucleus. They enter the midbrain through the brachium of the superior colliculus and synapse in the pretectal nucleus. Each pretectal nucleus decussates neurons dorsal to the cerebral aqueduct to the ipsilateral and contralateral Edinger-Westphal nucleus via the posterior commissure and the periaqueductal gray matter. A synapse then occurs in the Edinger-Westphal nucleus of the oculomotor nerve. The efferent pathway is via the third nerve to the ciliary ganglion in the lateral orbit. The postganglionic fibers go via the short ciliary nerves to innervate the sphincter muscle of the iris

B. The Near Reflex:

When the eyes look at a near object, three reactions occur-accommodation, convergence, and constriction of the pupil-bringing a sharp image into focus on corresponding retinal points. There is convincing evidence that the final common pathway is mediated through the oculomotor nerve with a synapse in the ciliary ganglion. The afferent pathway enters the midbrain ventral to the Edinger-Westphal nucleus and sends fibers to both sides of the cortex. Although the three components are closely associated, the near reflex cannot be considered a pure reflex, since each component can be neutralized while leaving the other two intact-ie, by prism (neutralizing convergence), by lenses (neutralizing accommodation), and by weak mydriatic drugs (neutralizing miosis). It can occur even in a blind person who is instructed to look at his nose. Bilateral overaction of the near reflex is accommodative spasm. Bilateral accommodative paresis occurs in botulism poisoning and in the Fisher variant of Guillain-Barré syndrome.

ARGYLL ROBERTSON PUPIL

A typical Argyll Robertson pupil is strongly suggestive of central nervous system syphilis associated with tabes dorsalis or general paresis. The pupil is less than 3 mm in diameter (miotic) and does not respond to light stimulation but does accommodate; this finding is nearly always bilateral. The pupils are commonly irregular, eccentric, and dilate poorly with mydriatics as a consequence of concomitant iris atrophy. Less commonly, the sign is incomplete (slow response to light) or unilateral or associated with tonic pupils (mimicking Adie's syndrome). Some degree of Argyll Robertson pupil is present in over 50% of patients with central nervous system syphilis. A wide variety of other central nervous system diseases infrequently cause incomplete Argyll Robertson pupil. These include diabetes, chronic alcoholism, encephalitis, multiple sclerosis, central nervous system degenerative disease, and tumors of the midbrain. The periaqueductal gray matter of the midbrain is the usual site of the lesion and thus affects the light reflex. The near reflex pathway is more ventral and thus is spared.

TONIC PUPIL

Tonic pupil occurs because of an abnormal pupillary constrictor mechanism in which all or a segment of the sphincter muscle contracts slowly (tonically) to near stimulation and relaxes even more slowly, but either response is better than the light response. It is usually associated with loss of deep tendon reflexes (Adie's syndrome). It results from damage to the ciliary ganglion, which carries 30 nerves destined for the ciliary body to one destined for the iris sphincter. Thus, accommodation is more apt to be preserved by a ciliary body lesion and is also-as a consequence of preferential innervation-more likely to reinnervate after an injury. This can produce segmental pupillary innervation. A weak (0.1%) solution of pilocarpine instilled into the conjunctival sac causes a tonic pupil to constrict as a result of denervation hypersensitivity; normal pupils are not affected. Some preganglionic oculomotor nerve lesions have, however, been shown to have denervation hypersensitivity probably related to a direct iris pathway that does not synapse at the ciliary ganglion. Bilateral tonic pupils should raise a question of autonomic neuropathy.

HORNER'S SYNDROME

Horner's syndrome is caused by a lesion of the sympathetic pathway, either (1) in its central portion, which extends from the posterior hypothalamus through the brainstem to the upper spinal cord (C8-T2); or (2) in its preganglionic portion, which exits the spinal cord and synapses in the superior cervical (stellate) ganglion; or (3) in its postganglionic portion, from the superior cervical ganglion via the carotid plexus and the ophthalmic division of the trigeminal nerve, by which it enters the orbit. The sympathetic fibers then follow the nasociliary branch of the ophthalmic division of the trigeminal nerve and the long ciliary nerves to the iris and innervate Müller's muscle and the iris dilator. Iris dilator muscle paresis causes miosis, which is more evident in dim light. Melanocyte maturation in the iris of a neonate depends upon sympathetic innervation; thus, less pigmented (bluer) irides occur if a congenital sympathetic lesion is present. Unilateral miosis, ptosis, and absence of sweating on the ipsilateral face and neck make up the complete syndrome. Postganglionic fibers to the face for sweating and vasoconstriction follow the external carotid. Causes of Horner's syndrome include cervical vertebral fractures, tabes dorsalis, syringomyelia, cervical cord tumor, cervical rib, Lyme disease, apical bronchogenic carcinoma, aneurysm of the carotid or subclavian artery, brachial plexus injuries, and injuries to or dissection of the carotid artery high in the neck. Pharmacologic testing with topical cocaine in the conjunctival sac can differentiate Horner's syndrome from physiologic anisocoria, and hydroxyamphetamine can further localize the process to the postganglionic neuron, thus assisting in defining the cause of the syndrome.

Raeder's paratrigeminal syndrome is Horner's syndrome associated with unilateral headache or facial pain in the distribution of the trigeminal nerve. If associated with a sixth, third, fourth, or second cranial nerve palsy, complete neurologic evaluation for basilar skull tumor is required. Without these additional cranial nerves, Raeder's syndrome is a benign condition perhaps related to cluster headache.

AFFERENT PUPILLARY DEFECT

Optic nerve fibers from the right eye decussate at the chiasm to enter the left tract as well as continuing into the right tract, and the same is true on the left side. The pupillary light pathways enter the midbrain through the brachium of the superior colliculus to synapse in the pretectal nucleus; here, they decussate also, as each pretectal nucleus connects to the ipsilateral and contralateral Edinger-Westphal nucleus. For this reason, light shone into the right eye produces an immediate direct response in the right and an immediate indirect consensual response in the left eye (Figure 14-31). The intensity of this response in each eye is proportionate to the light-carrying ability of the directly stimulated optic nerve.


Figure 14-31

Figure 14-31: Normal pupillary light reactions test.

One of the most important assessments to make for the patient complaining of decreased vision is whether it is due to a local ocular problem, eg, cataract, or to a more serious optic nerve problem. Even dense cataracts do not change the light afferent pathways to the brain; hence, a comparison is possible. If an optic nerve lesion is present, the direct light response in the involved eye is less intense than the consensual response (in the involved eye) evoked when the normal eye is stimulated. This phenomenon is called a relative afferent pupillary defect (RAPD) (Figure 14-32). It will be positive also if there is a large retinal lesion. Causes of unilateral decreased vision without an afferent pupillary defect include refractive error, cloudy media (cataract), amblyopia, hysteria or malingering, a macular lesion, and chiasmatic problems. It is anatomically possible for a relative afferent defect with normal visual function to occur if the brachium of the superior colliculus is damaged by a thalamic hemorrhage.


Figure 14-32

Figure 14-32: Afferent pupillary defect (Marcus Gunn pupil).

Amaurotic pupillary defect is the term applied to an eye that does not even see light owing to severe unilateral retinal or optic nerve disease. Obviously, a blind eye would not have a direct light response, nor could it induce a consensual response in the normal eye. However, a light shown directly into the normal eye would induce a direct response there and a consensual response in the blind eye (Figure 14-33).


Figure 14-33

Figure 14-33: Amaurotic pupillary response.

EXTRAOCULAR MOVEMENTS

This section deals with the neural apparatus that controls eye movements and causes them to move simultaneously, up or down and side to side, as well as in convergence or divergence.

The neural control of eye movements is ultimately effected by alterations in activity in the nuclei and nerve fibers of the oculomotor, trochlear and abducens nerves. These are referred to as the nuclear and infranuclear pathways. Coordination of eye movements requires connections between these ocular motor nuclei; the internuclear pathways. The supranuclear pathways are responsible for generation of the commands necessary for the execution of the appropriate movement, whether it be voluntary or involuntary.

Classification & Examination of Eye Movements

Eye movements are either fast or slow. Fast eye movements include voluntary or involuntary refixation movements (saccades) and the fast phases of vestibular and optokinetic nystagmus (see below). The fast eye movement system is tested by command refixation movements and by the fast phase of vestibular and optokinetic nystagmus.

Slow eye movements include pursuit movements, which track a slowly moving target once the saccadic system has placed the target on the fovea, and which are tested by asking a patient to follow a slow, smoothly moving target, the slow phase movements generated by vestibular stimuli, the slow phase of optokinetic nystagmus, and vergence movements which-unlike all the other forms of eye movements-involve dysconjugate movements of the two eyes.

Under physiologic conditions, vestibular stimulation occurs from head movements. The resulting slow eye movements, known as the vestibulo-ocular responses (VOR), compensate for the head motion such that the position of the eyes in space remains static and steady visual fixation can be maintained. The doll's head maneuver is a clinical method of testing the vestibulo-ocular response. The patient is asked to fixate on a target while the examiner moves the head in a horizontal or vertical plane. If the vestibulo-ocular response is deficient, the compensatory eye movements are insufficient and must be supplemented by saccadic movements to maintain fixation. The head motion must be rapid-otherwise, pursuit mechanisms dominate the ocular motor response. In the unconscious patient, the doll's head maneuver is used to assess brainstem function. Since the pursuit and saccadic systems are not operative, the head movements can be slow. Absence of the vestibulo-ocular response leads to failure of the eyes to move within the orbit. Other methods of vestibular stimulation are whole body rotation and caloric testing (see below).

Generation of Eye Movements

A. Physiology:

1. Fast eye movements-

Understanding of the control of eye movements is most complete in the case of saccadic movements. Similar mechanisms are thought to apply to the fast phases of nystagmus. The generation of a saccade involves a pulse of increased innervation to move the eye in the required direction and a step increase in tonic innervation to maintain the new position in the orbit by counteracting the visco-elastic forces working to return the eye to the primary position. The pulse is produced by the burst cells of the saccadic generator. The step change in tonic innervation is produced by the tonic cells of the neural integrator, so-called because it effectively integrates the pulse to produce the step. Saccades are ballistic movements-ie, once initiated, their trajectory can not be altered-and there is a close relationship between the amplitude of movement and its peak velocity, larger movements having greater peak velocities. Loss of the saccadic generator function leads to slowing of saccades. Loss of the neural integrator function leads to a failure of maintenance of the desired final position, ie, a failure of gaze holding. Clinically, this usually manifests as a gaze-evoked nystagmus, with a drift of the eyes toward the primary position followed by a corrective saccade back to the desired position of gaze.

2. Slow eye movements-

The slow phase movements generated by vestibular stimuli are a direct response to the detection of movement by the semicircular canals. The canals are acceleration detectors, but their output is integrated to produce a velocity signal which is then conveyed to the ocular motor nuclei. The generation of pursuit movements is less well understood. The slow phase of optokinetic nystagmus is in part a pursuit movement, but there is also an additional specific optokinetic movement generated by the perception of movement of the background of the visual scene. This optokinetic movement appears to be generated by the pathways involved in generating slow phase vestibular movements but with an input from the retina, either via cortical centers or directly via a subcortical pathway. Vergence eye movements are generated in response to retinal disparity, ie, stimulation of noncorresponding retinal loci by the object of regard. Electromyography has established divergence as an active process, not a relaxation of convergence.

B. Anatomy:

1. Brainstem centers for fast eye movements-

The saccadic generator for horizontal eye movements lies in the paramedian pontine reticular formation. The output from this structure is channeled through the abducens nucleus, which contains both the motor neurons for the abducens nerve and the cell bodies of interneurons which pass via the medial longitudinal fasciculus to innervate the motor neurons in the contralateral medial rectus subnucleus of the oculomotor nerve. The neural integrator for horizontal eye movements appears to be located close to the paramedian pontine reticular formation in the nucleus prepositus hypoglossi.

The saccadic generator for vertical movements is in the rostral interstitial nucleus of the medial longitudinal fasciculus in the rostral midbrain. The pathway to the ocular motor nuclei for upward movements involves the posterior commissure, dorsal to the cerebral aqueduct, and its nucleus. The corresponding pathway for downward eye movements is less well defined. Neural integration for vertical eye movements seems to take place in both the interstitial nucleus of Cajal, close to the rostral interstitial nucleus of the medial longitudinal fasciculus in the midbrain and in the vestibular nuclei in the medulla.

2. Cortical centers for fast eye move-ments-

Voluntary saccades are initiated in the frontal lobe (frontal eye field area 8). The pathway descends through the basal ganglia and the anterior limb of the internal capsule into the brainstem, terminating in the midbrain pretectal area for vertical movements and crossing to the paramedian pontine reticular formation in the opposite side of the pons for horizontal movements. The generation of involuntary (reflexive) saccades, in response to a target appearing in the peripheral field of vision, depends upon activity within the superior colliculus, which receives information from the occipital cortex and also directly from the retina in a purely subcortical pathway.

3. Brainstem centers for slow eye movements-

The processing of information from the semicircular canals occurs in the vestibular nuclei, which then connect directly to the ocular motor nuclei. These pathways from the vestibular nuclei in the medulla to the pons and midbrain pass in a number of fiber tracts, including the medial longitudinal fasciculus.

4. Cortical centers for slow eye movements-

Pursuit movements originate in the occipital cortex. The pathway descends through the posterior limb of the internal capsule to the midbrain and ipsilateral paramedian pontine reticular formation. The slow phase of optokinetic nystagmus is likely to be generated at least in part in area V5 (or MT) at the junction of the occipital and temporal lobes, which is involved in motion detection. The descending pathway probably accompanies the pathway for pursuit movements. Vergence eye movements are generated in the occipital cortex, and the pathway also probably descends via the posterior limb of the internal capsule, together with the pathway for pursuit movements, to terminate in the rostral midbrain near or in the oculomotor nucleus. Impulses then pass directly to each medial rectus subnucleus and via the medial longitudinal fasciculus to the abducens nuclei. It is not clear whether convergence and divergence are controlled by the same or separate brainstem centers.

ABNORMALITIES OF EYE MOVEMENTS

Owing to the multiplicity of pathways involved in the supranuclear control of eye movements, with origins in different areas of the brain and an anatomic separation in the brainstem of the horizontal and vertical eye movement systems, disorders of the supra-nuclear pathways characteristically produce a disso-ciation of effect upon the various types of eye movements. Thus, the clinical clues to a supranuclear lesion are a differential effect on horizontal and vertical eye movements or upon saccadic, pursuit, and vestibular eye movements. In diffuse brainstem disease, such features may not be apparent, and differentiation from disease at the neuromuscular junction or within the extraocular muscles on clinical grounds can be difficult.

Disease of the internuclear pathways results in a disruption of the conjugacy of eye movements. In infranuclear disease, the pattern of eye movement disturbance usually complies with that expected of a lesion involving one or more cranial nerves or their nuclei.

1. LESIONS OF THE SUPRANUCLEAR PATHWAYS

Frontal Lobe

A seizure focus in the frontal lobe may cause involuntary turning of the eyes to the opposite side. Destructive lesions cause transient deviation to the same side, and the eyes cannot be turned quickly and voluntarily (saccadic movement) to the opposite side. This is called frontal gaze palsy, and recovery occurs when the opposite frontal eye field substitutes. Ocular pursuit to the opposite side is retained. There is no diplopia. Phenytoin can significantly affect saccades.

Occipital Lobe

Smooth ocular pursuit may be lost with posterior lesions of the hemispheres. The patient is unable to follow a slowly moving object in the direction of the gaze palsy. The command (fast) eye movement is not lost, so pursuit is "saccadic." Sedative agents and carbamazepine can alter smooth pursuit eye movements.

Midbrain

Lesions of the posterior commissure cause impairment of conjugate upgaze. Lesions dorsal and medial to the red nuclei produce a downgaze paresis (trauma, infarcts).

Parinaud's syndrome (pretectal syndrome) is characterized by loss of voluntary upward gaze and convergence-retraction nystagmus and (usually) loss of the pupillary light response with retention of miosis in response to the near reflex. Convergence-retraction movements of the globe on attempted upward gaze is due to simultaneous firing of the rectus muscles due to loss of supranuclear control. There may also be an apparent accommodative spasm, a loss of conjugate voluntary downward gaze associated with loss of convergence and accommodation, ptosis or lid retraction, papilledema, or third nerve palsy. Surrounding structures may also be involved depending on the size and location of the lesion. Conjugate horizontal ocular movements are usually not affected. The syndrome results from tectal or pretectal lesions affecting the periaqueductal area. Pinealomas, infiltrating gliomas, vascular lesions (arteriovenous malformations), demyelinating disease, and trauma may produce this picture.

Pons

Lesions of the paramedian pontine reticular formation produce an ipsilateral horizontal gaze palsy affecting saccadic and pursuit movements. Vestibular slow phase movements are preserved owing to the direct pathway from the vestibular nuclei to the abducens and oculomotor nuclei.

Lesions of the brain stem that cause gaze palsies include vascular accidents, arteriovenous malformations, multiple sclerosis, tumors (pontine gliomas, cerebellopontine angle tumors), and encephalitis.

2. SUPRANUCLEAR SYNDROMES INVOLVING DISJUNCTIVE OCULAR MOVEMENTS

Spasm of the Near Reflex

The near reflex consists of three components: convergence, accommodation, and constriction of the pupil. Spasm of the near reflex is usually caused by hysteria, though encephalitis, tabes dorsalis, and meningitis may cause spasm by irritation of the supranuclear pathway. It is characterized by convergent strabismus with diplopia, miotic pupils, and spasm of accommodation (induced myopia).

If hysteria is the cause, atropine 1%, 2 drops in each eye twice daily, or minus (concave) lenses may give temporary relief. Psychiatric consultation is indicated for treatment of an underlying mental cause.

Convergence Paralysis

Convergence paralysis is characterized by a sudden onset of diplopia for near vision, with absence of any individual extraocular muscle palsy. It is caused by hysteria or destructive lesions of the supranuclear pathway for convergence. The combination of motor convergence failure and pupillary miosis confirms patient effort and an organic lesion. Multiple sclerosis, myasthenia gravis, head trauma, encephalitis, tabes dorsalis, tumors, aneurysms, minor cerebrovascular accidents, and Parkinson's disease are the most common organic causes.

INTERNUCLEAR OPHTHALMOPLEGIA

The medial longitudinal fasciculus is an important fiber tract extending from the rostral midbrain to the spinal cord. It contains many pathways connecting nuclei within the brainstem, particularly those concerned with extraocular movements. The most common manifestation of damage to the medial longitudinal fasciculus is an internuclear ophthalmoplegia, in which conjugate horizontal eye movements are disrupted owing to failure of coordination between the abducens nerve nucleus in the pons and the oculomotor nerve nucleus in the midbrain. The lesion in the brainstem is ipsilateral to the eye with the adduction failure or opposite to the direction of horizontal gaze that is abnormal. In the mildest form of internuclear ophthalmoplegia, the clinical abnormality is restricted to a slowing of saccades in the adducting eye. In the most severe form, there is a complete loss of adduction on horizontal gaze (Figure 14-12). Convergence is characteristically preserved in internuclear ophthalmoplegia except when the lesion is in the midbrain, when the convergence mechanisms may also be affected. Another feature of internuclear ophthalmoplegia is nystagmus in the abducting eye on attempted horizontal gaze, which is at least in part a result of compensation for the failure of adduction in the other eye. In bilateral internuclear ophthalmoplegia, there may also be an upbeating nystagmus on upgaze due to failure of control of gaze holding in the upward direction, and the eyes may be divergent; this is known as the wall-eyed bilateral internuclear ophthalmoplegia (WEBINO) syndrome.

Internuclear ophthalmoplegia may be due to multiple sclerosis (particularly in young adults), brainstem infarction (particularly in older patients), tumors, arteriovenous malformations, Wernicke's encephalopathy, and encephalitis. Bilateral internuclear ophthalmoplegia is most commonly due to multiple sclerosis.

A horizontal gaze palsy combined with an internuclear ophthalmoplegia, due to a lesion of the abducens nucleus or paramedian pontine reticular formation extending into the ipsilateral medial longitudinal fasciculus, affects all horizontal eye movements in the ipsilateral eye and adduction in the contralateral eye. This is known as a "one-and-a-half syndrome," or paralytic pontine exotropia.

NUCLEAR & INFRANUCLEAR CONNECTIONS

Oculomotor Nerve (III)

The motor fibers arise from a group of nuclei in the central gray matter ventral to the cerebral aqueduct at the level of the superior colliculus. The midline central caudal nucleus innervates both levator palpebrae superioris muscles. The paired superior rectus subnuclei innervate the contralateral superior rectus. The efferent fibers decussate immediately and pass through the opposite superior rectus subnucleus. The subnuclei for the medial rectus, inferior rectus, and inferior oblique muscles are also paired structures but innervate the ipsilateral muscles. The fascicle of the oculomotor nerve courses through the red nucleus and the inner side of the substantia nigra to emerge on the medial side of the cerebral peduncles. The nerve runs alongside the sella turcica, in the outer wall of the cavernous sinus, and through the superior orbital fissure to enter the orbit.

The parasympathetics arise from the Edinger-Westphal nucleus just rostral to the motor nucleus of the third nerve and pass via the inferior division of the third nerve to the ciliary ganglion. From there the short ciliary nerves are distributed to the sphincter muscle of the iris and to the ciliary muscle.

A. Oculomotor Paralysis:

Lesions of the third nerve nucleus affect the ipsilateral medial and inferior rectus and inferior oblique muscles, both levator muscles, and both superior rectus muscles. There will be bilateral ptosis and bilateral limitation of elevation as well as limitation of adduction and depression ipsilaterally. From the fascicle of the nerve in the midbrain to its eventual termination in the orbit, all other lesions produce purely ipsilateral results. Just before entering the orbit, the nerve divides into a superior and inferior branch; the former innervates the levator palpebrae and superior rectus muscles and the latter all other muscles and the sphincter.

If the lesion involves the third nerve anywhere from the nucleus (midbrain) to the peripheral branches in the orbit, the eye is turned out by the intact lateral rectus muscle and slightly depressed by the intact superior oblique muscle. (Incyclotorsion from the action of the intact superior oblique muscle can be observed by watching a small blood vessel on the medial conjunctiva as depression of the eye is attempted.) There can be a dilated fixed pupil, absent accommodation, and ptosis of the upper lid, often severe enough to cover the pupil. The eye may only be moved laterally. Trauma, aneurysm, viral infections, and vascular disease are the most common causes. Aneurysm usually arises from the junction of the internal carotid and posterior communicating arteries. Vascular disease includes diabetes mellitus, migraine, hypertension, and the collagenoses. The common location for vascular palsies is in the cavernous sinus region, where the pupillary fibers are peripheral and nourished better by the vasa vasorum. Compressive lesions such as aneurysms involve the external pupillary fibers early and produce pupillary dilation. Thus, aneurysm and vascular disease can be differentiated clinically, since in vascular lesions the pupillary responses are usually spared, whereas aneurysmal compression causes a completely fixed and dilated pupil. Less than 5% of vascular third nerve palsies are associated with complete pupillary palsy, and in only 15% is there partial pupillary palsy.

Some apparently vascular oculomotor palsies with or without pupillary sparing can be seen on MRI to have focal mesencephalic infarcts without the usual rubral tremor or other local signs. In compressive lesions, the pupil may become constricted because of aberrant regeneration (see below), or a concomitant Horner's syndrome (sympathetic paresis) can produce a "frozen" pupil of 3-4 mm.

Bilateral nuclear third nerve palsies can also be associated with sparing of the lids. Bilateral peripheral third nerve palsies can occur secondary to interpeduncular lesions such as basilar artery aneurysm or a herniated hippocampus of the temporal lobe.

Monocular elevator paralysis or inability to elevate in both abduction (superior rectus) and adduction (inferior oblique) can occur as a congenital defect or as a complication of thyroid ophthalmopathy, orbital myositis, orbital floor fracture, myasthenia gravis, paresis of the superior division of the third nerve (tumor, sinusitis, postviral), or midbrain stroke.

Third nerve palsies in children may be congenital or may be due to ophthalmoplegic migraine, meningitis, or postviral.

B. Oculomotor Synkinesis (Aberrant Regeneration of the Third Nerve):

This phenomenon is characterized by (1) lid dyskinesias on horizontal gaze (ie, the levator palpebrae superioris fires when the medial rectus fires); (2) adduction on attempted upgaze (ie, the medial rectus fires when the superior rectus fires); (3) retraction on attempted upgaze (ie, co-firing of recti, which are retractors); (4) pseudo-Argyll Robertson pupil (ie, no light response, no near response in the primary position but a "near" response on adduction or adduction-depression-pupillary innervation from medial or inferior rectus); (5) pseudo-Graefe's sign (ie, no lid lag on downgaze but lid retraction due to lid innervation from the inferior rectus); and (6) a monocular vertical optokinetic nystagmus response (due to co-firing muscles fixing the involved eye, allowing only the normal eye to respond to the moving target). This oculomotor synkinesis probably occurs not only as a combination of misdirection of sprouting axons into the wrong sheaths and subsequent muscle co-firing but also as a consequence of ephaptic transmission or cross-talk between axons without covering myelin sheaths.

Oculomotor synkinesis can occur secondary to severe trauma or compression of the third nerve by a posterior communicator artery aneurysm, or primarily due to an internal carotid aneurysm or meningioma in the cavernous sinus. If compression lasts several weeks, strabismus surgery is often required to achieve binocular single vision.

C. Cyclic Oculomotor Palsy:

Cyclic oculomotor palsy can complicate a congenital third nerve palsy; it is a rare predominantly unilateral event with a typical third nerve paresis showing cyclic spasms every 10-30 seconds. During these intervals, ptosis improves and accommodation increases. This phenomenon continues unchanged throughout life but decreases with sleep and increases with greater arousal. It is probably a periodic discharge by damaged neurons of the oculomotor nucleus which sum- mate subthreshold stimuli until a discharge occurs

D. Marcus Gunn Phenomenon (Jaw-Winking Syndrome):

This rare congenital condition consists of elevation of a ptotic eyelid upon movement of the jaw. Acquired cases occur after damage to the oculomotor nerve with subsequent innervation of the lid (levator palpebrae superioris) by a branch of the fifth cranial nerve. Muscular palsies may be present.

Trochlear Nerve (IV)

Motor (entirely crossed) fibers arise from the trochlear nucleus just caudal to the third nerve at the level of the inferior colliculus; they then run posteriorly, decussate in the anterior medullary velum, and wind around the cerebral peduncles. The fourth nerve travels near the third nerve along the wall of the cavernous sinus to the orbit, where it supplies the superior oblique muscle. The fourth nerve is unique among the cranial nerves in arising from the dorsal brainstem.

A. Trochlear Paralysis:

Lesions of the fourth nerve are commonly vascular, traumatic, or idiopathic (congenital or developmental with later decompensation). However, cerebellar tumors can also present with a fourth nerve lesion as an early sign. The nerve is vulnerable to injury at the site of exit from the dorsal aspect of the brainstem. Both nerves may be damaged by severe trauma as they decussate in the anterior medullary velum, resulting in bilateral superior oblique palsies.

Superior oblique palsy results in upward deviation (hypertropia) of the eye. The hypertropia increases when the patient looks down and with adduction. In addition, there is excyclotropia; therefore, one of the diplopic images will be tilted with respect to the other. Torsional symptoms suggest an acquired late-onset superior oblique palsy: correspondingly, the lack of torsional symptoms suggest an early onset of the deviation. Tilting the head toward the involved side increases the deviation. Tilting the head away from the side of the involved eye may relieve the diplopia, and patients frequently present with a head tilt. Miscellaneous causes include multiple sclerosis, a brainstem arteriovenous malformation, orbital pseudotumor, and myasthenia gravis. Strabismus surgery is effective in patients who fail to improve with time.

B. Superior Oblique Myokymia:

A monocular microtremor of the superior oblique muscle can rarely occur. It is an acquired, haphazard, and episodic overaction of the superior oblique muscle characterized by rapid torsional movements of one eye. Patients notice oscillopsia when this occurs, and the symptoms can be improved by carbamazepine. The cause may be compression of the trochlear nerve by an aberrant artery.

Abducens Nerve (VI)

Motor (entirely uncrossed) fibers arise from the nucleus in the floor of the fourth ventricle in the lower portion of the pons near the internal genu of the facial nerve. Piercing the pons, the fibers emerge anteriorly, the nerve running a long course over the tip of the petrous portion of the temporal bone into the cavernous sinus. It enters the orbit with the third and fourth nerves to supply the lateral rectus muscle.

A. Abducens Nucleus Lesion:

The abducens nucleus contains the motor neurons to the ipsilateral lateral rectus and the cell bodies of interneurons innervating the motor neurons to the contralateral medial rectus. It is the final common relay point for all horizontal conjugate eye movements, and a lesion within the nucleus will produce an ipsilateral horizontal gaze palsy affecting all types of eye movement including vestibular movements. This contrasts with a lesion of the paramedian pontine reticular formation, in which vestibular movements are preserved

B. Abducens Nerve Paralysis:

(See also Chapter 12.) This is the most common single muscle palsy. Abduction of the eye is reduced or absent; esotropia is present in the primary position and increases upon gaze to the affected side. Movement of the eye to the opposite side is normal. Möbius' syndrome (congenital facial diplegia) can be associated with a sixth nerve or conjugate gaze palsy. Vascular disorders (arteriosclerosis, diabetes, migraine, and hypertension) are common causes. However, dural arteriovenous fistula, basilar artery disease, increased intracranial pressure, lumbar puncture, tumors at the base of the skull, meningitis, and trauma are other frequent causes. Arnold-Chiari malformation (congenital downward displacement of the cerebellar tonsils) can also produce brainstem traction and sixth nerve palsies. Lyme disease can produce an isolated sixth nerve palsy as well as those that occur secondary to meningeal involvement. A child with a sixth nerve palsy should be evaluated for a brainstem tumor (glioma) or inflammation if trauma was not present or if trauma was minimal. Pseudo-sixth nerve palsies can occur in Duane's retraction syndrome, spasm of the near reflex, thyroid eye disease, myasthenia, dorsal midbrain compression (Parinaud's syndrome), or long-standing strabismus and in medial rectus entrapment by an ethmoid fracture.

C. Duane's Syndrome:

Duane's syndrome is uncommon (< 1% of cases of strabismus) and in almost all cases congenital. It is a stationary, nearly always unilateral condition consisting of deficient horizontal ocular motility characterized by complete or partial deficiency of abduction. Evidence based on pathologic studies has determined that Duane's syndrome can be due to congenital absence of the sixth nerve with coinnervation of the lateral rectus by a branch of the third nerve. Therefore, attempted adduction movements result in retraction of the globe and narrowing of the lid fissure. The visual handicap is seldom severe. Visual acuity can be normal, and the eye is otherwise normal. Unless the deviation is very large, strabismus surgery is best avoided.

Cochlear nucleus lesions producing sensorineural hearing loss occur in 6.8% of cases of Duane's syndrome. Congenital malformations may also include the facial and skeletal bones, the ribs, and the external ear. Ocular anomalies can include epibulbar dermoids. Acquired Duane's syndrome is a rare event occurring after a peripheral nerve palsy.

D. Gradenigo's Syndrome:

Gradenigo's syndrome is characterized by pain in the face (from irritation of the trigeminal nerve) and abducens palsy. The syndrome is produced by meningeal inflammation at the tip of the petrous bone and most often occurs as a rare complication of otitis media with mastoiditis or petrous bone tumors.

Symptoms and Signs of Extraocular Muscle Palsies

Diplopia occurs when the visual axes are not aligned. This is especially true when the onset of strabismus is after age 6 (suppression and abnormal retinal correspondence do not develop). Dizziness or dysequilibrium may be associated but disappears with monocular patching. Head tilt occurs, especially in paresis of the superior oblique muscle, when the tilt is to the opposite side to avoid diplopia by moving the eye out of the field of action of the paralyzed muscle. Vertical saccadic velocity can differentiate a superior oblique palsy from inferior rectus palsy. Horizontal saccadic velocity can differentiate a restricted globe with pseudo-sixth nerve from sixth nerve paresis. Forced duction tests should also be done, since a paresis could be simulated by a restricted yoke muscle.

Ptosis is caused by weakness or paralysis of the levator muscle. Any extraocular muscle palsy that occurs with minor head trauma (subconcussive injuries) should be investigated for a basal tumor. The minimally positive edrophonium test is unreliable because it can be nonspecific. Fascicular lesions involving the portion of a cranial nerve within the brainstem resemble peripheral nerve lesions but can be differentiated on the basis of other brainstem signs and their subsequent poor recovery. For vascular causes of cranial nerve palsies, recovery by 4 months is the rule. Palsies that persist longer than 6 months-especially those involving the sixth nerve-should be evaluated for an underlying structural compressive lesion (tumor, arteriovenous fistula, aneurysm).

Syndromes Affecting Cranial Nerves III, IV, & VI

A. Superior Orbital Fissure Syndrome:

All extraocular peripheral nerves pass through the superior orbital fissure and can be involved by trauma or by tumor encroaching on the fissure

B. Orbital Apex Syndrome:

This syndrome is similar to the superior orbital fissure syndrome with the addition of optic nerve signs and usually greater proptosis and less pain. It is caused by an orbital tumor, inflammation, or trauma that damages the optic and extraocular nerves

C. Complete Ophthalmoplegia (Sudden):

Complete ophthalmoplegia of sudden onset can be due to brainstem vascular disease, Wernicke's encephalopathy, pituitary apoplexy, Fisher's syndrome, myasthenia crisis, bulbar poliomyelitis, diphtheria, botulism, meningitis, and syphilitic or arteriosclerotic basilar aneurysm.

THE CEREBELLUM

The cerebellum has an important modulating influence on the function of the neural integrators. Thus, it is involved in gaze holding and the control of saccades, particularly the relationship between the pulse and the step of saccade generation. Cerebellar dysfunction produces gaze-evoked nystagmus, by its influence on gaze holding, and abnormalities of saccades, including saccadic dysmetria, in which the saccadic amplitude is inaccurate, and postsaccadic drift due to a mismatch between the pulse and step of the saccade.

The cerebellum is also important in the control of pursuit eye movements, and cerebellar dysfunction may thus result in broken (saccadic) pursuit.

MYASTHENIA GRAVIS

Myasthenia gravis is characterized by abnormal fatigability of striated muscles after repetitive contraction which improves after rest and often is first manifested by weakness of the extraocular muscles. Unilateral fatiguing ptosis is a frequent first sign, with subsequent bilateral involvement of extraocular muscles, so that diplopia is often an early symptom. Unusual ocular presentations may simulate gaze palsies, internuclear ophthalmoplegias, vertical nystagmus, and progressive external ophthalmoplegia. Generalized weakness of the arms and legs, difficulty in swallowing, weakness of jaw muscles, and difficulty in breathing may follow rapidly in untreated cases. This weakness shows diurnal variations and often worsens as the day progresses but can be improved by a nap. There are no sensory changes.

The incidence of the disease is in the range of 1:30,000 to 1:20,000. Myasthenia gravis usually affects young adults aged 20-40 (70% are under 40 years of age), though it may occur at any age and is often misdiagnosed as hysteria, especially because the weakness can be greater in exciting or embarrassing situations. Older patients are more commonly male and are more likely to have a thymoma.

The onset may follow an upper respiratory infection, stress, pregnancy, or any injury, and the disease has been noted as a transitory condition in newborn infants of myasthenic mothers. Myasthenia gravis has been associated with hyperthyroidism (5%), thyroid abnormalities (15%), autoimmune diseases (5%), and diffuse metastatic carcinoma (7%).

In about one-third of cases, the disease is confined to the extraocular muscles at onset. In about two-thirds of these cases, the disease will become generalized with time, usually within the first year.

The differential diagnosis includes progressive external ophthalmoplegia, brainstem lesions, epidemic encephalitis, bulbar and pseudobulbar palsy, postdiphtheritic paralysis, botulism, multiple sclerosis, and toxic reactions to the beta-blockers (eg propranolol) or penicillamine. Many other drugs may unmask or exacerbate myasthenia gravis; they include lithium, aminoglycoside antibiotics, chloroquine, and phenytoin.

The disease has its origin at the neuromuscular junction, especially at the postsynaptic site, probably due to antibodies against it and the presynaptic site. A commercial test of anti-acetylcholine receptor antibodies can diagnose the disease in 80-90% of patients with systemic myasthenia and 40-60% of patients with pure ocular myasthenia; the titers do not correlate with severity of disease, however.

Most patients have merely histologic thymic hyperplasia, often apparent on lateral oblique chest x-rays or CT scans of the mediastinum or noted at surgical removal of the thymus. Thymomas occur in 15% of patients.

Cholinesterase destroys acetylcholine at the myo-neural junction, and cholinesterase-inhibiting drugs improve the condition by increasing the amount of acetylcholine available to the damaged postsynaptic site. The edrophonium chloride test is used in addition to the neostigmine diagnostic test. Edrophonium, 2 mg (0.2 mL), is given intravenously over 15 seconds. Relief of ptosis constitutes a positive response and confirms the diagnosis of myasthenia gravis. If no response occurs in 30 seconds, an additional 5-7 mg (0.5-0.7 mL) is given. The test is most helpful when marked ptosis is present, but myasthenia can affect any muscle or combination of muscles, and significant improvement in function is also helpful. Slightly positive edrophonium tests can occur in neurogenic palsies, however, and there may be false-negative results when myasthenia is complicated by muscle wasting.

Repetitive nerve stimulation, especially of the facial or proximal muscles, can also demonstrate abnormal muscle fatigability (a more than 10% decrease in the response is diagnostic of myasthenia). Variation in size and shape of motor unit potentials is noted on needle electromyography of affected muscles, and single-fiber studies show increased variability (jitter) in the temporal pattern of action potentials from muscle fibers of the same motor unit.

Myasthenia can be treated with pyridostigmine, systemic steroids, azathioprine, cyclosporine, immunoglobulins, and plasmapharesis according to the severity of disease. During severe exacerbations, artificial ventilation may be necessary. Thymectomy may be indicated in patients with thymoma (though it may not influence the severity of the myasthenia) and in patients with early-onset generalized disease without evidence of thymoma-in one third of whom it may produce complete remission without the need for immunosuppressants. Ocular myasthenia tends to respond less well to anticholinesterase agents than generalized disease, but the response to systemic steroids is usually good. Extraocular muscle surgery can be undertaken but should be delayed until the ocular motility deficit has been stable for a long time.

Myasthenia is generally a chronic disease with a tendency to pursue a relapsing and remitting course. The prognosis depends upon the extent of the disease, the response to medication and thymectomy, and the careful management of severe exacerbations.

CHRONIC PROGRESSIVE EXTERNAL OPHTHALMOPLEGIA

This rather rare disease is characterized by a slowly progressive inability to move the eyes and severe early ptosis yet normal pupillary reactions and accommodation. It may begin at any age and progresses over a period of 5-15 years to complete external ophthalmoplegia. It is a form of mitochondrial myopathy and may be associated with other manifestations of mitochondrial disease such as pigmentary degeneration of the retina, deafness, cerebellar-vestibular abnormalities, seizures, cardiac conduction defects, and peripheral sensorimotor neuropathy, in which case the term "ophthalmoplegia-plus" may be applied. Onset before 15 years of age of chronic progressive external ophthalmoplegia, heart block, and pigmentary reti-nopathy constitutes the Kearns-Sayre syndrome. Chronic progressive external ophthalmoplegia is associated with deletions of mitochondrial DNA, which are more frequent and more extensive in the cases with nonocular manifestations.

NYSTAGMUS

Nystagmus is defined as repetitive, rhythmic oscillations of one or both eyes in any or all fields of gaze, initiated by a slow eye movement (see "classification of nystagmus"). The waveform may be pendular, in which the movements in each direction have equal speed, amplitude, and duration; or jerk, in which the slow movement in one direction is followed by a rapid corrective return to the original position (fast component). By convention, the direction of jerk nystagmus is given as the direction of the corrective fast phase and not the direction of the primary slow phase.

Jerk nystagmus is classified as grade I, present only with the eyes directed toward the fast component; grade II, present also with the eyes in primary position; or grade III, present even with the eyes directed toward the slow component. The movements of pendular or jerk nystagmus may be horizontal, vertical, torsional, oblique, circular, or a combination of these. The direction may change depending upon the direction of gaze.

The amplitude of nystagmus is the extent of the movement; the rate of nystagmus is the frequency of oscillation. Generally speaking, the faster the rate, the smaller the amplitude and vice versa. Nystagmus is usually conjugate but is occasionally dysconjugate, as in physiologic end-gaze nystagmus, convergence- retraction nystagmus, and seesaw nystagmus.

Nystagmus is also occasionally dissociated (more marked in one eye than the other), as in internuclear ophthalmoplegia, spasmus nutans, seesaw nystagmus, monocular visual loss, and acquired pendular nystagmus and with asymmetric muscle weakness in myasthenia gravis.

Physiology of Symptoms

Reduced visual acuity is caused by inability to maintain steady fixation. False projection is evident in vestibular nystagmus, where past-pointing is present. Head tilting is usually involuntary, to decrease the nystagmus. The head is turned toward the fast components in jerk nystagmus or set so that the eyes are in a position that minimizes ocular movement in pendular nystagmus. The patient sometimes complains of illusory movements of objects (oscillopsia). This is more apt to be present in nystagmus due to lesions of lower centers, such as the labyrinth, or associated with the sudden onset of nystagmus in an adult. The apparent movement of the environment occurs during the slow component and causes an extremely distressing vertigo, so that the patient is unable to stand. Head nodding is most apt to accompany congenital nystagmus and spasmus nutans. Nystagmus is noticeable and cosmetically disturbing except when excursions of the eye are very small.

PHYSIOLOGIC NYSTAGMUS

Three types of nystagmus can be elicited in the normal person.

End Point (End-Gaze) Nystagmus

Normal individuals have a wide null or quiet zone but can have horizontal nystagmus on end-horizontal gaze (ie, pupillary light reflex just on both corneas); physiologic end-gaze nystagmus disappears as the eyes move in a few degrees. It is primarily horizontal but may have a slight torsional component and greater amplitude in the abducting eye; it is a normal form of gaze-evoked nystagmus.

    CLASSIFICATION OF NYSTAGMUS

Physiologic nystagmus

End-point nystagmus

Optokinetic nystagmus

Stimulation of semicircular canals (physiologic vestibular nystagmus)

Rotatory

Caloric

Voluntary nystagmus

Pathologic nystagmus

Congenital nystagmus

With sensory abnormality

Without sensory abnormality (congenital idiopathic motor nystagmus)

Latent nystagmus (LN)

Manifest latent nystagmus (MLN)

Acquired pendular nystagmus

Infantile visual deprivation

Spasmus nutans

Oculopalatal myoclonus

Vestibular nystagmus

Peripheral vestibular nystagmus

Central vestibular nystagmus

Downbeat nystagmus

Upbeat nystagmus

Gaze-evoked nystagmus

Gaze-paretic nystagmus

Convergence-retraction nystagmus

Seesaw nystagmus

Periodic alternating nystagmus

Mimics of nystagmus

Saccadic intrusions

Spontaneous eye movements in coma

Optokinetic Nystagmus

This type of nystagmus may be elicited in all normal individuals, most easily by means of a rotating drum with alternating black and white lines but in fact by any repetitive targets in the visual field such as repetitive telephone poles as seen from a window of a fast-moving vehicle. The slow component follows the object and the fast component moves rapidly in the opposite direction to fixate on each succeeding object. A unilateral or asymmetric horizontal response usually indicates a deep parietal lobe lesion, especially a tumor. It occurs as a result of a deficit in the slow (pursuit) phase. Anterior cerebral (ie, frontal lobe) lesions may inhibit this response only temporarily when an acute saccadic gaze palsy is present, which suggests the presence of a compensatory mechanism that is much greater than for lesions situated farther posteriorly. Asymmetry of response in the vertical plane suggests a brainstem lesion. Since it is an involuntary response, this test is especially useful in detecting hysteria or malingering. A large mirror filling the patient's central field at near can be rotated from side to side and will induce an optokinetic nystagmus if vision is present.

Stimulation of Semicircular Canals

The three semicircular canals of each inner ear sense movements of the head in space, being primarily sensitive to acceleration. The neural output of the vestibular system, after processing within the vestibular and related brainstem nuclei, is a velocity signal. This is transmitted, principally via the medial longitudinal fasciculus on each side of the brainstem, to the ocular motor nuclei to produce the necessary compensatory eye movements (vestibulo- ocular responses) for maintaining a stable position of the eyes in space and hence optimal vision. Vestibular signals also pass to the cerebellum and cerebral cortex.

Stimulation of the semicircular canals results in a compensatory eye movement. In the unconscious subject with an intact brainstem, this leads to a tonic deviation of the eyes, whereas in the conscious subject a superimposed corrective fast phase movement, returning the eyes back toward the straight-ahead position, results in a jerk nystagmus. These tests are useful methods of investigating vestibular function in conscious subjects and, in the case of caloric stimulation, brainstem function in comatose patients.

A. Rotatory Physiologic Nystagmus (Bárány Rotating Chair):

When the head is tilted 30 degrees forward, the horizontal semicircular canals lie horizontally in space. Rotation, such as in a Bárány, then leads to a horizontal jerk nystagmus with the compensatory slow phase eye movement opposite to the direction of turning and the corrective fast phase in the direction of turning. Owing to impersistence of the vestibular signal during continued rotation, the nystagmus abates. Once the rotation stops, there is a vestibular tone in the opposite direction, which results in a jerk nystagmus with the fast phase away from the original direction of turning (postrotatory nystagmus). Since the subject is stationary, postrotatory nystagmus is often easier to analyze than the nystagmus during rotation

B. Caloric Stimulation:

With the head tilted 60 degrees backward, the horizontal semicircular canals lie vertically in space. Water irrigation of the auditory canal then generates convection currents predominantly within the horizontal rather than the vertical semicircular canals. Cold water irrigation induces a predominantly horizontal jerk nystagmus with a fast phase opposite to the side of irrigation, and warm water irrigation induces a similar jerk nystagmus with a fast phase toward the side of irrigation. (The mnemonic device is "COWS": cold-opposite, warm-same.) Caloric nystagmus is made more obvious by the patient wearing Frenzel's spectacles, which eliminate patient fixation and provide a magnified view for the examiner. It is important to verify that the tympanic membrane is intact before performing irrigation of the external auditory canal.

Voluntary Nystagmus

About 5% of normal individuals can generate short bursts of ocular oscillation that resemble small-amplitude, fast, horizontal pendular nystagmus. Eye movement recordings show the movements to be rapidly alternating saccades. Recognition of the entity is important to avoid unnecessary investigation.

PATHOLOGIC NYSTAGMUS

Congenital Nystagmus

Congenital nystagmus is nystagmus present within 6 months after birth. Ocular instability is usual at birth, due to poor visual fixation, but this abates during the first few weeks of life. The presence of spontaneous nystagmus is always pathologic.

Congenital impairment of vision or visual deprivation due to lesions in any part of the eye or optic nerve can result in nystagmus at birth or soon thereafter. Causes include corneal opacity, cataract, albinism, achromatopsia, bilateral macular disease, aniridia, and optic atrophy. By definition, congenital idiopathic motor nystagmus has no associated underlying sensory abnormality, though visual performance is limited by the ocular instability. Typically it is not present at birth but becomes apparent between 3 and 6 months of age.

At one time it was thought that congenital pendular nystagmus was indicative of an underlying sensory abnormality whereas congenital jerk nystagmus was not. Eye movement recordings have shown this not to be true, both pendular and jerk waveforms being seen whether there is a sensory abnormality or not. Indeed, in many cases a mixed pattern of alternating pendular and jerk waveforms is seen. Congenital nystagmus, particularly the idiopathic motor type with its potential for better visual fixation, generally undergoes a progressive change in its waveform during early childhood. There is development of periods of relative ocular stability, ie, relatively slow eye velocity, known as foveation periods since they are thought to be an adaptive response to maximize the potential for fixation and hence to improve visual acuity. In addition, congenital nystagmus with a jerk nystagmus has a characteristic waveform in which the slow phases have an exponentially increasing velocity. This is known as CN type waveform, and with very few exceptions its presence signifies that the nystagmus has been present since early childhood. This can be a particularly useful feature in determining that nystagmus noted in adulthood is not of recent onset.

Congenital nystagmus is usually horizontal and conjugate. Vertical and torsional components are only occasionally present. The direction of any jerk component often varies with the direction of gaze, but an important feature in comparison to many forms of acquired nystagmus is that there is no additional vertical component on vertical gaze. In most patients with congenital nystagmus, there is a direction of gaze (null zone) in which the nystagmus is relatively quiet. If this null zone is away from primary position, a head turn may be adopted to place the eccentric position straight ahead. In a few cases, the position of the null zone varies to produce one type of periodic alternating nystagmus. Congenital nystagmus is usually decreased in intensity by convergence, and some patients will adopt an esotropia (nystagmus blockage). Anxiety and increased "effort to see" will often increase the intensity of congenital nystagmus and thus reduce visual acuity.

Once congenital nystagmus has been noted, it is important to identify any underlying sensory abnormality, if only to determine the visual potential. This may require electrodiagnostic studies. Extraocular muscle surgery is predominantly indicated for patients with a marked head turn. Supramaximal recessions of the horizontal rectus muscles reduce the intensity of congenital nystagmus, but the effect may be only temporary.

In general, latent nystagmus means nystagmus which increases in intensity when one eye is covered, and this is a characteristic feature of congenital nystagmus. There is also a specific type of latent nystagmus, known as (LN), which is predominantly seen in infantile esotropia. LN is a horizontal jerk nystagmus with the fast phase toward the side of the fixing eye-with the left eye covered, there is a rightward nystagmus and with the right eye covered a leftward nystagmus. LN also becomes more marked when one eye is covered, only then being apparent on clinical examination, but eye movement recordings show that the nystagmus is always present. (MLN) is a particular type of LN in which the nystagmus is always apparent on clinical examination. It occurs in patients with LN when binocular function is lost, ie, the equivalent of one eye being covered. This may be because of loss of sight in one eye or even from the development of a divergent squint. If binocular function is restored, MLN will revert to LN.

Acquired Pendular Nystagmus

Any child who develops bilateral visual loss before 6 years of age may also develop a pendular nystagmus, and indeed the acquisition of a pendular nystagmus during infancy necessitates further investigation. A specific syndrome of acquired pendular nystagmus in childhood is spasmus nutans. This is a bilateral, generally horizontal (occasionally vertical), fine, dissociated pendular nystagmus, associated with head nodding and an abnormal head posture. There is a benign form, which may be familial, with onset before age 2 and spontaneous improvement during the third or fourth year. Spasmus nutans may also rarely be the first manifestation of an anterior visual pathway glioma.

In adults, acquired pendular nystagmus is a feature of brainstem disease, usually multiple sclerosis or brainstem stroke. There may be horizontal, vertical, or torsional components or even a combination of components to produce oblique or elliptical trajectories. The syndrome of oculopalatal myoclonus characteristically develops several months after a brainstem stroke. There is a pendular nystagmus with synchronous movements variably involving the soft palate, larynx, and diaphragm as well as producing head titubation. (The term "myoclonus" is a misnomer since the abnormal movements are a form of tremor.) The associated hypertrophy of the inferior olivary nucleus in the medulla and other evidence suggest a disruption of the dentato-rubro-olivary pathway between the brainstem and the cerebellum as the underlying pathogenesis. Various drug treatments have been tried for adult acquired pendular nystagmus, of which baclofen, clonazepam, isoniazid, and gabapentin have produced the best though still limited results. Base-out prisms may also be tried.

Vestibular Nystagmus

Abnormalities of vestibular tone result in abnormal activation of the vestibulo-ocular pathways and abnormal neural drive to the extraocular muscles. Loss of function in the left horizontal semicircular canal is equivalent to activation of the right horizontal semicircular canal, as would normally be produced by a rightward head turn. The oculomotor response is conjugate leftward slow phase movement of the eyes. The corrective fast phase response is rightward in direction, and a right-beating horizontal nystagmus is thus generated. The pattern of response to dysfunction of one or more semicircular canals can be similarly derived to give the full possible range of peripheral vestibular nystagmus, though in clinical practice it is the effect of dysfunction of the horizontal canals that usually predominates. As a general rule, peripheral vestibular lesions are destructive and the fast phase of the resulting nystagmus is away from the side of the lesion. Since the neural signal of the vestibulo-ocular pathways is a velocity signal, the slow phase of peripheral vestibular nystagmus has a constant velocity. This gives rise to the characteristic saw-tooth waveform on eye movement recordings.

Peripheral vestibular nystagmus is not dependent upon visual stimuli and thus is still present in the dark, or with the eyes closed, as well as in blind individuals. It is, however, inhibited by visual fixation or, conversely, accentuated by wearing Frenzel's spectacles, and this is an important factor in the normal dampening over 2-3 weeks of peripheral vestibular nystagmus. Head position does not usually influence peripheral vestibular nystagmus except in benign paroxysmal positional vertigo, in which elicitation of the characteristic pattern of nystagmus with the Hallpike maneuver is a specific diagnostic feature. Other clinical features associated with peripheral vestibular disease are vertigo, tinnitus, and deafness, the latter two reflecting the close association between the vestibular and auditory systems. Causes of peripheral vestibular disease are labyrinthitis, Meniere's disease, trauma (including surgical destruction of one labyrinth), and vascular, inflammatory, or neoplastic lesions of the vestibular nerves.

Central vestibular nystagmus is an acquired jerk nystagmus due to disease in the central vestibular pathways of the brainstem and cerebellum. It has a variety of forms, but characteristic types are a purely torsional or vertical jerk nystagmus and the syndromes of downbeat and upbeat nystagmus, which are probably the result of imbalance in vestibular tone from the vertical semicircular canals. Central vestibular nystagmus is frequently elicited or enhanced by specific head positions, presumably as a result of modulation by input from the peripheral vestibular apparatus. It is not dampened by visual fixation and does not spontaneously abate in intensity with time. Other clinical features reflect the associated brainstem and cerebellar dysfunction and include abnormalities of smooth pursuit eye movements other than those due to the nystagmus itself. Causes of central vestibular nystagmus include lesions of the vestibular nuclei (brainstem demyelination, including multiple sclerosis, inflammation, and stroke, particularly thrombosis of the posteroinferior cerebellar artery leading to lateral medullary infarction-Wallenberg's syndrome).

Downbeat nystagmus is a downward-beating nystagmus, usually present in primary position. It is often most obvious on gaze down and to the side, when the nystagmus becomes oblique, with the horizontal component in the direction of lateral gaze. Downbeat nystagmus is characteristically associated with lesions at the cervicomedullary junction, notably Arnold-Chiari malformation and basilar invagination, and all patients should undergo MRI to exclude such lesions. Other causes are cerebellar degeneration, demyelinating disease, hydrocephalus, anticonvulsants, and lithium.

Upbeat nystagmus is characterized by an upward-beating nystagmus in primary position which usually increases though it may reduce in intensity on upgaze. It is virtually always the result of brainstem disease but occasionally reflects cerebellar disease. It is seen in brainstem encephalitis, demyelination, and tumors and also as a toxic side effect of barbiturates, alcohol, and anticonvulsants.

Gaze-Evoked & Gaze-Paretic Nystagmus

Maintenance of steady eccentric gaze is dependent upon the neural integrator system, which produces the tonic extraocular muscle activity necessary to overcome the viscous and elastic orbital forces acting to return the globe to primary position. Reduction in activity of the neural integrator results in eccentric gaze being negated by a slow drift of the globe toward primary position. Since the force acting to produce this central drift reduces with decreasing eccentricity, this slow drift has an exponentially decreasing velocity. Additional corrective fast eye movements, returning the eye to the desired eccentric position, result in nystagmus beating in the direction of gaze, whether it be horizontal, vertical, or oblique.

End-point nystagmus (see above) is the physiologic manifestation of the inability of the neural integrator to maintain steady eye position in extreme eccentric gaze. Gaze-evoked nystagmus is the result of pathologic failure of the neural integrator system. In its mildest form it manifests only on moderate horizontal gaze, whereas in its most severe form nystagmus is present with any movement away from primary position. In many cases of gaze-evoked nystagmus, there is also rebound nystagmus- following return of the eyes to primary position from a position of eccentric gaze, a jerk nystagmus beating away from the direction of the eccentric gaze develops after a latent period and lasts for a short period.

The neural integrator is situated in the brainstem but is highly dependent upon cerebellar inputs. Thus, gaze-evoked nystagmus may be a manifestation of either brainstem or, especially, cerebellar disease. Often there are other cerebellar eye movement abnormalities such as saccadic dysmetria and disruption of smooth pursuit. The most common causes of gaze-evoked nystagmus are cerebellar diseases, sedatives, and anticonvulsants. Cerebellopontine angle neoplasms, such as vestibular schwannomas (acoustic neuromas), may produce a combination of gaze-evoked nystagmus and a peripheral vestibular nystagmus beating toward the opposite side (Brun's nystagmus).

Reduction in the supranuclear input into the neural integrator or in the ability of the peripheral oculomotor system to facilitate its function will lead to nystagmus with the same basic characteristics as gaze-evoked nystagmus. Thus, conditions ranging from gaze palsy through oculomotor cranial nerve palsies and myasthenia gravis to extraocular muscle disease can manifest with nystagmus on eccentric gaze in the direction of the affected eye movements. This is termed gaze-paretic nystagmus and should be excluded whenever the possibility of a gaze-evoked nystagmus is being considered so as to avoid misdirected investigation.

Convergence-Retraction Nystagmus

Convergence-retraction nystagmus is a feature of the dorsal midbrain (Parinaud's) syndrome either from intrinsic lesions (tumor, hemorrhage, infarction, or inflammation) or extrinsic lesions, particularly pineal tumors and hydrocephalus. On attempted upgaze, which is usually defective, the eyes undergo rapid convergent movements with retraction of the globes. This is best elicited as the patient watches downward-moving stripes on an optokinetic tape or drum. Electromyographic studies have shown cocontraction of extraocular muscles and loss of normal agonist-antagonist reciprocal innervation. Convergence-retraction nystagmus may represent asynchronous, opposed, adducting saccades due to inappropriate activation of the medial rectus muscles.

Seesaw Nystagmus

Seesaw nystagmus is characterized by rising intorsion of one eye and falling extorsion of the other-and then the reverse. It may have a pendular or jerk waveform. Although it is uncommon, it occurs with acquired and congenital chiasmal lesions in association with a bitemporal hemianopia, and midbrain lesions. There does not appear to be a single underlying pathogenesis, but it is likely that dysfunction of the interstitial nucleus of Cajal or the rostral interstitial nucleus of the medial longitudinal fasciculus is important in the cases with midbrain disease.

Periodic Alternating Nystagmus

This is a direction-reversing nystagmus in which each direction can take 1-2 minutes before reversing. The acquired form occurs in pontomedullary junction disease (Arnold-Chiari malformation), multiple sclerosis, and cerebellar degeneration and may respond to baclofen. It may also occur with bilateral blindness and be suppressed if vision is restored. Periodic alternation may also be a feature of congenital nystagmus (see above).

MIMICS OF NYSTAGMUS

Abnormal spontaneous eye movements may be the result of unwanted saccadic eye movements (saccadic intrusions), which include square-wave jerks, macrosaccadic oscillations, ocular flutter, and opsoclonus. These are generally due to cerebellar disease. There is also a variety of abnormal eye movements that occur in coma, including ocular bobbing, ocular dipping, and ping-pong gaze. Superior oblique myokymia is a tremor of the superior oblique muscle leading to episodic monocular vertical oscillopsia.

CEREBROVASCULAR DISORDERS OF OPHTHALMOLOGIC IMPORTANCE

Vascular Insufficiency & Occlusion of the Internal Carotid Artery

Amaurosis fugax is a fleeting or transient loss of vision that is usually associated clinically with carotid occlusive disease, though it can occur with any microembolic or thrombotic disorder, including cardiac valvular disease, cardiac arrhythmia, temporal arteritis, migraine, severe hypotension or shock, papil-ledema, orbital tumors, and hyperviscosity states. Antiphospholipid antibodies have been associated with transient and permanent cerebral and retinal vascular occlusions in patients younger than the usual stroke population. These antibodies may be the key determinant in patients with existing structural lesions of the carotid artery, mitral valve, etc. In embolization, vision can be suddenly lost or slowly disappear like a curtain rising or falling. In hypotension, the visual field constricts from the periphery to the center.

Perhaps 95% of episodes of amaurosis fugax occur as a result of atherosclerotic lesions of the ipsilateral internal carotid artery. Cerebral and retinal disturbances occur as a result of small emboli breaking loose from the sclerotic plaque and lodging in cerebral or retinal arterioles (occlusion of the central retinal artery or a major branch can occur). Cholesterol emboli (Hollenhorst plaques) may be visible with the ophthalmoscope as small, glistening, yellow-red crystals situated at bifurcations of the retinal arteries. The nonreflective gummy white plugs filling retinal vessels, which characterize platelet-fibrin emboli, are less commonly seen because they quickly disperse and traverse the retinal circulation. In patients with amaurosis fugax, high-grade (70-99%) stenosis of the internal carotid artery, as determined by ultrasound or angiographic studies, is an indication for carotid endarterectomy to reduce the risk of cerebral hemisphere stroke. Low-grade (0-29%) and probably medium-grade (30-69%) stenosis are best treated medically, usually with low-dose (81 mg/d) aspirin. Incidentally noted cholesterol retinal emboli in asymptomatic individuals are associated with a tenfold increased risk of cerebral infarction, but the role of carotid endarterectomy in such individuals is uncertain.

Retinal arterial occlusions occur from calcific or platelet-fibrin emboli. (Cholesterol emboli lodge in retinal vessels but do not usually occlude them.) Calcific emboli, which originate from damaged cardiac valves, have a duller, white-gray appearance compared with cholesterol emboli. In the acute stages of embolic retinal arterial occlusion, treatment with ocular massage, anterior chamber paracentesis, rebreathing into a paper bag to increase inhaled CO2 level, and intravenous acetazolamide may lead to displacement of the embolus and recovery of vision. After 12 hours, the clinical picture is usually irreversible, though many exceptions to this rule have been reported. Visual acuity better than counting fingers on presentation has a better prognosis with vigorous treatment. Central retinal or branch artery occlusion, especially when due to Hollenhorst plaques, has a poorer 5-year survival rate due to attendant cardiac disease or stroke than does occlusion due to thrombotic disease.

Slow flow (venous stasis) retinopathy is a sign of internal carotid artery occlusion. It is characterized by venous dilation and tortuosity, retinal hemorrhages, macular edema, and eventual neovascular proliferation. It resembles diabetic retinopathy, but the changes occur more in the retinal midperiphery than the posterior pole. In more severe cases, there may be vasodilation of the conjunctiva, iris neovascularization, neovascular glaucoma, and frank anterior segment ischemia with corneal edema, anterior uveitis, and cataract. Diagnosis is most easily confirmed by demonstration of reversal of blood flow in the ipsilateral ophthalmic artery using orbital ultrasound, but further investigation by angiography is usually required to determine the full extent of arterial disease. Carotid endarterectomy may be indicated but carries a risk of precipitating or exacerbating intraocular neovascularization. The role of panretinal laser photocoagulation in treating intraocular neovascularization is uncertain.

Occlusion of the Middle Cerebral Artery

This disorder may produce severe contralateral hemiplegia, hemianesthesia, and homonymous hemianopia. The lower quadrants of the visual fields (upper radiations) are most apt to be involved. Aphasia may be present if the dominant hemisphere is involved.

Vascular Insufficiency of the Vertebrobasilar Arterial System

Brief episodes of transient bilateral blurring of vision commonly precede a basilar artery stroke. An attack seldom leaves any residual visual impairment, and the episode may be so minimal that the patient or doctor does not heed the warning. The blurring is described as a graying of vision just as if the house lights were being dimmed at a theater. Episodes seldom last more than 5 minutes (often only a few seconds) and may be associated with other transient symptoms of vertebrobasilar insufficiency. Antiplatelet drugs can decrease the frequency and severity of vertebrobasilar symptoms.

Occlusion of the Basilar Artery

Complete or extensive thrombosis of the basilar artery nearly always causes death. With partial occlusion or basilar "insufficiency" due to arteriosclerosis, a wide variety of brainstem and cerebellar signs may be present. These include nystagmus, supranuclear oculomotor signs, and involvement of cranial nerves III, IV, VI, and VII.

Prolonged anticoagulant therapy has become the accepted treatment of partial basilar artery thrombotic occlusion.

Occlusion of the Posterior Cerebral Artery

Occlusion of the posterior cerebral artery seldom causes death. Occlusion of the cortical branches (most common) causes homonymous hemianopia, usually superior quadrantic (the artery supplies primarily the inferior visual cortex). Lesions on the left in right-handed persons can cause aphasia, agraphia, and alexia if extensive with parietal and occipital involvement. Involvement of the occipital lobe and splenium of the corpus callosum can cause alexia (inability to read) without agraphia (inability to write); such a patient would not be able to read his or her own writing. Occlusion of the proximal branches may produce the thalamic syndrome (thalamic pain, hemiparesis, hemianesthesia, choreoathetoid movements) and cerebellar ataxia.

Subdural Hemorrhage

Subdural hemorrhage results from tearing or shearing of the veins bridging the subdural space from the pia mater to the dural sinus. It leads to an encapsulated accumulation of blood in the subdural space, usually over one cerebral hemisphere. It is nearly always caused by head trauma. The trauma may be minimal and may precede the onset of neurologic signs by weeks or even months.

In infants, subdural hemorrhage produces progressive enlargement of the head with bulging fontanelles. The diagnosis is established by the finding of bloody spinal fluid on tapping the subdural space and by enlarged head measurements. Ocular signs include strabismus, pupillary changes, papilledema, and retinal hemorrhages.

In adults, the symptoms of chronic subdural hematoma are severe headache, drowsiness, and mental confusion, usually appearing hours to weeks (even months) after trauma. Symptomatology is similar to that of cerebral tumors. Papilledema is present in 30-50% of cases. Retinal hemorrhages occur in association with papilledema. Ipsilateral dilation of the pupil is the most common and most serious pupillary sign and is an urgent indication for immediate surgical evacuation of blood. Unequal, miotic, or mydriatic pupils can occur, or there may be no pupillary signs. Other signs, including vestibular nystagmus and cranial nerve palsies, also occur. Many of these signs result from herniation and compression of the brainstem and therefore often appear late with stupor and coma.

Skull films may show a shift of a calcified pineal gland. CT scan or MRI frequently confirms the diagnosis.

Treatment of acute large subdural hematoma consists of surgical evacuation of the blood; small hematomas may be treated with steroids or simply followed with careful observation. Without treatment, the course of large hematomas is progressively downhill to coma and death. With early and adequate treatment, the prognosis is good.

Subarachnoid Hemorrhage

Subarachnoid hemorrhage most commonly results from ruptured congenital berry aneurysms of the circle of Willis in the subarachnoid space. It may also result from trauma, birth injuries, intracranial hem- orrhage, hemorrhage associated with tumors, arteriovenous malformations, or systemic bleeding disorders.

The most prominent symptom of subarachnoid hemorrhage is sudden, severe headache, usually occipital and often associated with signs of meningeal irritation (eg, stiff neck). Drowsiness, loss of consciousness, coma, and death may occur rapidly once an aneurysm ruptures and produces a subarachnoid hemorrhage. Ocular symptoms are not always present. A posterior communicating artery aneurysm may produce a third nerve palsy with pupillary involvement by distention of an aneurysmal sac before the aneurysm ruptures and produces a subarachnoid hemorrhage. Oculomotor palsy with associated numbness and pain in the distribution of the ipsilateral trigeminal nerve is pathognomonic of a supraclinoid, internal carotid, or posterior communicating artery aneurysm. Papilledema usually appears late when it does occur and after there has been a subarachnoid hemorrhage. Various types of intraocular hemorrhage occur infrequently (preretinal hemorrhages are the most common-Terson's syndrome) and carry a poor prognosis for life when they are both early and extensive, since they reflect rapid severe elevation of intracranial pressure.

Exophthalmos may occur as a result of extravasation of blood into orbital tissues. Pressure of an aneurysm on the optic nerve may cause blindness in one eye.

Arteriography following injection of radiopaque substances may help to demonstrate and localize the aneurysms. Blood is present in the cerebrospinal fluid.

Ligation of aneurysmal vessels or of parent arterial trunks may be advisable. Supportive treatment, including control of blood pressure, is all that can be offered during the acute phase of subarachnoid hemorrhage. Thus, it is important to diagnose the posterior communicating artery aneurysm when it first produces a third nerve palsy with pupillary involvement.

Migraine

Migraine is a common episodic illness of unknown cause and varied symptomatology characterized by severe unilateral headache (which alternates sides), visual disturbances, nausea, and vomiting. The neurologic symptoms that usually precede the headache occur in the vasoconstrictive phase; the headache follows in the vasodilative phase. There is usually a family history of a similar disorder. The disease usually becomes manifest between ages 15 and 30 years. It is more common and more severe in women. Many factors, particularly emotional ones, may predispose or contribute to the attacks. Prodromal symptoms are common and include drowsiness, paresthesias, "scintillating" scotomas, blurred vision, and other symptoms. In some patients, homonymous hemianopia can be accurately recorded on the tangent screen during attacks. There are no other objective findings. Visual symptoms usually last only 15-30 minutes. Antiphospholipid antibodies have been associated with migrainous headaches and severe atypical migraine.

Ergotamine tartrate, when given early in an attack, is often effective. Once the attack is well under way, treatment is of little value. Sumatriptan is effective in the acute and well-established migraine attack. The headaches last several hours to several days. Bed rest is often helpful and sometimes essential for relief of discomfort.

PHAKOMATOSES

The phakomatoses (Gr phakos "birthmark" + -oma "swelling") are a group of diseases characterized by multiple hamartomas occurring in various organ systems and at variable times.

NEUROFIBROMATOSIS

Neurofibromatosis is a generalized hereditary disease characterized by multiple tumors of the skin, central nervous system, peripheral nerves, and nerve sheaths. Other developmental anomalies, particularly of the bones, may be associated. There are two distinct dominant conditions. Neurofibromatosis 1 (peripheral) (Recklinghausen's disease) consists of multiple café au lait spots (99%), peripheral neurofibromas, and Lisch nodules (iris hamartomas) (93%), and its gene lies on the pericentromeric region of chromosome 17. The frequency is 1:3000 live births, with 100% penetrance. In neurofibromatosis 2 (central), there may be few or no café au lait spots or peripheral neurofibromas, but bilateral acoustic neuromas (vestibular schwannomas) are present (Figure 14-34) and its gene lies on chromosome 22. The frequency is 1:35,000. Neurofibromatosis 1 is associated with tumors primarily of astrocytes and neurons, whereas neurofibromatosis 2 is associated with tumors of the meninges and Schwann cells. There is no racial predominance. Signs may be present at birth but are activated during pregnancy, during puberty, and at menopause.


Figure 14-34

Figure 14-34: Coronal MRI of bilateral acoustic neuromas in neurofibromatosis 2.

Clinical Findings

Tumors may occur anywhere in the body, including the eye. Café au lait spots (small pigmented areas of skin) tend to enlarge and darken with age. A few may occur in 5-10% of the normal population, but in neurofibromatosis 1 there are five or six such spots greater than 1.5-2 cm in diameter; axillary freckles are especially significant. Cutaneous neurofibromatosis occurs especially on the trunk and spares the palms and soles. Tumors of the lids can be isolated cutaneous neurofibromas or plexiform (rubbery "bag of worms") neurofibromas. The latter may be associated with glaucoma.

Tumors of the optic nerve, meninges (meningioma), and glial cells (astrocytomas) also occur. Bilaterally thickened optic nerves are pathognomonic of neurofibromatosis 1, and many are asymptomatic (30-80%). A subgroup with nerves having a thickened nerve core and a low-density perineural proliferation are often symptomatic, with proptosis and decreased visual acuity. This latter group may represent a low-grade astrocytoma or optic nerve glioma. About 70% of optic nerve gliomas present before the age of 7 years. MRI shows lengthening and kinking of the optic nerve, and bright spots in brain parenchyma can be seen on T2-weighted images. Optic nerve glioma can cause disk swelling or optic atrophy. There may be Lisch nodules and enlarged corneal nerves. About 75% of patients with neurofibromatosis 2 have early posterior subcapsular lens opacities. Pigment epithelial and retinal hamartomas also occur with increased frequency in neurofibromatosis 2.

Treatment & Prognosis

Visual function in optic nerve gliomas does not change much after diagnosis. Chiasmal gliomas are less aggressive in neurofibromatosis than when they occur in its absence. The risk is greatest during the early follow-up period, and survival relates to the surrounding brain involvement.

When lesions are confined to the skin, the prognosis is good. Intracranial and intraspinal lesions are usually multiple and have a poor prognosis. The disease tends to be fairly stationary, with only slow progression over long periods of time. Neurofibromas of the peripheral nerves occur also and may undergo sarcomatous degeneration (5%).

RETINOCEREBELLAR ANGIOMATOSIS (Von Hippel-Lindau Disease)

This rare disease occurs most commonly in men in the third decade but can appear at any time up to age 60. Its incidence is 1:10,000, and there is neither gender nor racial predilection. About 25% of patients show autosomal dominant inheritance. The earliest signs are dilation and tortuosity of the retinal vessels, which later develop into an angiomatous formation with hemorrhages and exudates (retinal capillary angioblastomas) (Figure 10-30). A stage of massive exudation, retinal detachment, and secondary glaucoma occurs later and will cause blindness if untreated. The disease is unilateral in 65% of cases. Patients must be followed expectantly with periodic, presymptomatic screening because in up to 25% of cases the retinal angiomatosis is associated with a similar generalized process, most often affecting the cerebellum (hemangioblastoma) and less commonly the pancreas, kidney (renal cell carcinoma), adrenal gland, and other organs. The evidence at present suggests that this is all one genetically determined disease showing autosomal dominant inheritance with variable expression.

Treatment & Prognosis

Early treatment of retinal lesions with photocoagulation, diathermy, or cryotherapy has been effective in some cases. Cerebral and cerebellar tumors have been successfully removed, but recurrences are common. MRI scanning revolutionizes follow-up of these patients, since it can be done without radiation hazard and detects presymptomatic lesions.

STURGE-WEBER SYNDROME

This uncommon nonfamilial disease with unknown inheritance is recognizable at birth by a characteristic nevus flammeus (port wine stain, or venous angioma) on one side of the face following the distribution of one or more branches of the fifth cranial nerve. There is corresponding angiomatous involvement (leptomeningeal angiodysplasia) of the meninges and brain, which causes jacksonian seizures (85%), mental retardation (60%), and cerebrocortical atrophy. Since these cortical lesions calcify, they can be seen on plain skull x-rays after infancy. Unilateral infantile glaucoma on the affected side frequently develops if there is extensive involvement of the conjunctiva with hemangioma of the episclera and anterior chamber anomalies. Lid or conjunctival involvement nearly always implies ultimate intraocular involvement and glaucoma. Forty percent of patients with a port wine stain on the face develop choroidal hemangioma on the same side. There is at least one cytogenic study reporting trisomy 22.

Treatment & Prognosis

There is no effective treatment for Sturge-Weber syndrome, though the glaucoma can be controlled in rare cases by surgery.

WYBURN-MASON SYNDROME

Wyburn-Mason syndrome is a rare disorder of multiple arteriovenous malformations, variably involving the retina, other portions of the anterior visual pathway, the midbrain, the maxilla, and the mandible, all on the same side of the head.

Headaches and seizures are common central nervous system presenting signs. Large, tortuous, dilated vessels covering extensive areas of the retina are an important diagnostic clue and can cause cystic retinal degeneration with decreased vision. Optic atrophy without retinal lesions can also occur.

ATAXIA-TELANGIECTASIA

Ataxia-telangiectasia is an autosomal recessive disorder characterized by skin and conjunctival telan-giectases, cerebellar ataxia, and recurrent sinopulmonary infections. All signs and symptoms are progressive with time, but the ataxia appears first as the child begins to walk, and the telangiectases appear between 4 and 7 years of age. Mental retardation also occurs. The recurrent infections relate to thymic deficiencies and corresponding T cell abnormalities as well as to decreased or absent immunoglobulins. Saccadic and eventual pursuit abnormalities produce a supranuclear ophthalmoplegia.

TUBEROUS SCLEROSIS (Bourneville's Disease)

Tuberous sclerosis is characterized by the triad of adenoma sebaceum, epilepsy, and mental retardation, though 30-50% of affected individuals have normal intelligence. Adenoma sebaceum (angiofibromas) occur in 90% of patients over the age of 4 years, and the number of lesions increases with puberty. These flesh-colored papules are 1-2 mm in diameter and have a butterfly distribution on the nose and malar area; they can also occur in the subungual and periungual areas. Ashleaf-shaped hypopigmented ovals can be present on the skin even of neonates but are best seen under Wood's (ultraviolet) light.

Retinal hamartomas appear as oval or circular white areas in the peripheral fundus and, like optic nerve hematomas, characteristically have a mulberry-like appearance (Figure 10-31). Renal hamartomas occur in 80% of patients. Subependymal nodules in the periventricular areas of the brain can calcify and appear as candle wax gutterings or drippings on radiologic studies (25-30% of skull x-rays and 90% of CT scans) in patients with clinical tuberous sclerosis. MRI can show actively growing subependymal nodules. These can become astrocytomas. Seizures occur in 90% of patients, usually within the first 3 years of life.

The disease is inherited sporadically (80%) or as an autosomal dominant with low penetrance. The prevalence may be 1:9400 if patients with the incomplete form of the disease are included. Vision is generally normal, and progression of retinal hamartomas is rare. The prognosis for life relates to the degree of central nervous system involvement. In severe cases, death can occur in the second or third decade; if there is minimal central nervous system involvement, life expectancy should be normal.

CEREBROMACULAR DEGENERATION

Genetically determined (autosomal recessive) neuronal lipid storage disease of the brain may affect the neural elements of the retina as well. The clinical forms are classified by the age at onset and the enzyme deficiency. The pathologic changes are present prenatally. Clinical manifestations occur as a critical level of intraneuronal lipidosis is reached, resulting in a progressive disease with dementia, visual disturbances, and neuromotor signs. A definitive diagnosis can be established readily by conjunctival biopsy, rectal biopsy, or appendectomy showing ganglioside accumulation even before clinical signs are present.

The striking ocular finding of a cherry-red spot in the macula is seen in congenital and infantile cases. A halo occurs from loss of transparency of the ganglion cell ring of the macula, which accentuates the central red or the normal choroidal vasculature. A cherry-red spot will occur in central retinal artery occlusion, sphingolipidosis, mucolipidosis, commotio retinae, and methanol toxicity. The sphingolipidoses include Niemann-Pick disease type A and type B, Tay-Sachs disease, Sandhoff's disease, neuronal ceroid lipofuscinosis, and generalized gangliosidosis. Optic atrophy will occur early in Tay-Sachs disease, and the cherry-red spot can be pigmented in dark retinas.

Extraocular muscle involvement can occur in juvenile sphingolipidoses, Refsum's disease, and beta-lipoproteinemia, the latter two disorders being associated with retinitis pigmentosa.

REFERENCES
 
Acheson JF, Green WT, Sanders MD: Optic nerve sheath decompression for the treatment of visual failure in chronic raised intracranial pressure. J Neurol Neurosurg Psychiatry 1994;57:1426.  [ PMID 7964827 ]
 
Baker RS, Epstein AD: Ocular motor abnormalities from head trauma. Surv Ophthalmol 1991;35:245.  [ PMID 2011819 ]
 
Barrett TG et al: Optic atrophy in Wolfram (DIDMOAD) syndrome. Eye 1997;11:882.  [ PMID 9537152 ]
 
Basta L, Ormerod LD, Rowsey JJ: Optic disc drusen defined by 0x0003b2-scan ultrasonography. Ann Ophthalmol 1997; 29:181.
 
Beck RW et al: The course of visual recovery after optic neuritis. Experience of the Optic Neuritis Treatment Trial. Ophthalmology 1994;101:1771.  [ PMID 7800355 ]
 
Beck RW for the Optic Neuritis Study Group: The Optic Neuritis Treatment Trial: Three-year follow-up results. Arch Ophthalmol 1995;113:136.  [ PMID 7864737 ]
 
Beck RW, Trobe JD, for the Optic Neuritis Study Group: What we have learned from the Optic Neuritis Treatment Trial. Ophthalmology 1995;102:1504.  [ PMID 9097798 ]
 
Brey RL et al: Antiphospholipid antibodies and cerebral ischemia in young people. Neurology 1990;40:1190.  [ PMID 2116604 ]
 
Brodsky MV: Congenital optic disk anomalies. Surv Ophthalmol 1994;39:89.  [ PMID 7801227 ]
 
Brown GC, Shields JA: Tumors of the optic nerve head. Surv Ophthalmol 1985;29:239.  [ PMID 3885451 ]
 
Brown J et al: Clinical and genetic analysis of a family affected with dominant optic atrophy (OPA1). Arch Ophthalmol 1997;115:95.  [ PMID 9006432 ]
 
Bruno A et al: Vascular outcome in men with asymptomatic retinal cholesterol emboli. Ann Intern Med 1995;122:249.  [ PMID 7825759 ]
 
Burde RM: Optic disk risk factors for nonarteritic anterior ischemic optic neuropathy. Am J Ophthalmol 1993; 116:759.
 
De Potter P, Zografos L: Survival prognosis of patients with retinal artery occlusion and associated carotid artery disease. Graefes Arch Clin Exp Ophthalmol 1993;231:212.  [ PMID 8486302 ]
 
deGroot J, Chusid JG: Correlative Neuroanatomy, 20th ed. Appleton & Lange, 1988.
 
Dutton JJ: Glioma of the anterior visual pathway. Surv Ophthalmol 1994;38:427.  [ PMID 8009427 ]
 
Eggenberger ER, Miller NR, Vitale S: Lumboperitoneal shunt for the treatment of pseudotumor cerebri. Neurology 1996;46:1524.  [ PMID 8649541 ]
 
Farris BK, Pickard DR: Bilateral postinfectious optic neuritis and intravenous steroid therapy in children. Ophthalmology 1990;97:339.  [ PMID 2336272 ]
 
Frederiksen JL: Bilateral acute optic neuritis-prospective clinical, MRI, CSF, neurophysiological and HLA findings. Neuroophthalmology 1997;17:175.
 
Gass A et al: High resolution magnetic resonance imaging of the anterior visual pathway in patients with optic neuropathies using fast spin echo and phased array local coils. J Neurol Neurosurg Psychiatry 1995;58:562.  [ PMID 7745403 ]
 
Gradstein L et al: Congenital periodic alternating nystagmus: Diagnosis and management. Ophthalmology 1997;104:918.  [ PMID 9186430 ]
 
Gross-Jendroska M et al: Kearns-Sayre syndrome: A case report and review. Eur J Ophthalmol 1992;2(1):15.  [ PMID 1638160 ]
 
Guy M et al: Gadolinium-DTPA-enhanced magnetic resonance imaging in optic neuropathies. Ophthalmology 1990;97:592.  [ PMID 2342804 ]
 
Halliday AM, McDonald WI: Visual evoked potentials. In Clinical Neurophysiology. Stalberg E, Young RR (editors). Butterworths, 1981.
 
Hardwig P, Robertson DM: Von Hippel-Lindau disease: A familial, often lethal, multisystem phakomatosis. Ophthalmology 1984:91:263.  [ PMID 6538954 ]
 
Harrington DO, Drake MV: The Visual Fields: Text and Atlas of Clinical Perimetry, 6th ed. Mosby, 1990.
 
Hayreh SS et al: Giant cell arteritis: Validity and reliability of various diagnostic criteria. Am J Ophthalmol 1997;123:285.  [ PMID 9063237 ]
 
Hayreh SS et al: Systemic diseases associated with nonarteritic anterior ischemic optic neuropathy. Am J Ophthalmol 1994;118:766.  [ PMID 7977604 ]
 
Hopf HC, Gutmann L: Diabetic 3rd nerve palsy: Evidence for a mesencephalic lesion. Neurology 1990;40:1041.  [ PMID 2356004 ]
 
Horn AKE, Büttner-Enever JA, Büttner U: Saccadic premotor neurones in the brainstem: Functional neuroanatomy and clinical implications. Neuroophthalmology 1996; 10:229.
 
Hoyt WF: Ophthalmoscopy of the retinal nerve fiber layer in neuro-ophthalmologic diagnosis. Aust NZ J Ophthalmol 1976;4:14.
 
Huber A: Eye Signs and Symptoms in Brain Tumors, 3rd ed. Mosby, 1976.
 
IFNB Multiple Sclerosis Study Group and The University of British Columbia MS/MRI Analysis Group: Interferon beta-1b in the treatment of multiple sclerosis: Final outcome of the randomized controlled trial. Neurology 1995;45:1277.  [ PMID 7617182 ]
 
Ikeda H, Yoshimoto T: Visual disturbances in patients with pituitary adenoma. Acta Neurol Scand 1995;92:157.  [ PMID 7484065 ]
 
Imes RK, Hoyt WF: Childhood chiasmal gliomas: Update on the fate of patients in the 1969 San Francisco Study. Br J Ophthalmol 1986;70:179.  [ PMID 3082351 ]
 
Ischemic Optic Decompression Trial Research Group: Optic nerve decompression surgery for nonarteritic anterior ischemic optic neuropathy (NAION) is not effective and may be harmful. JAMA 1995;273:625.  [ PMID 7844872 ]
 
Ishibashi Y, Hori Y (editors): Tuberous sclerosis and neurofibromatosis: Epidemiology, pathophysiology, biology and management. Proceedings of the International Symposium on Neurocutaneous Syndrome. Excerpta Medica, 1990.
 
Jacobs LD et al: Intramuscular interferon beta-1a for disease progression in relapsing multiple sclerosis. Ann Neurol 1996;39:285.  [ PMID 8602746 ]
 
Johnston RL et al: Dominant optic atrophy, Kjer type: Linkage analysis and clinical features in a large British pedigree. Arch Ophthalmol 1997;115;100.  [ PMID 9006433 ]
 
Jonasdottir A et al: Refinement of the dominant optic atrophy locus (OPA1) to a 1.4-cM interval on chromosome 3q28-3q29, within a 3-Mb YAC contig. Hum Genet 1997;99:115.  [ PMID 9003507 ]
 
Joseph MP et al: Extracranial optic nerve decompression for traumatic optic neuropathy. Arch Ophthalmol 1990; 108:1091.  [ PMID 2383196 ]
 
Keltner JL et al: Visual field profile of optic neuritis: One-year follow-up in the Optic Neuritis Treatment Trial. Arch Ophthalmol 1994;112:946.  [ PMID 8031275 ]
 
Kheterpal S et al: Imaging of optic disc drusen: A comparative study. Eye 1995;9:67.  [ PMID 7713253 ]
 
King AJ et al: Spontaneous recovery rates for unilateral sixth nerve palsies. Eye 1995;9:476.  [ PMID 7498570 ]
 
Kupersmith MJ et al: Aspirin reduces the incidence of second eye NAION: A retrospective study. J Neuroophthalmol 1997;17:250.  [ PMID 9427177 ]
 
Kupersmith MJ, Rosenberg C, Kleinberg D: Visual loss in pregnant women with pituitary adenomas. Ann Intern Med 1994;121:473.  [ PMID 8067644 ]
 
Lam BL, Weingeist TA: Corticosteroid-responsive traumatic optic neuropathy. Am J Ophthalmol 1990;109:99.  [ PMID 2297041 ]
 
Landau K et al: 24-hour blood pressure monitoring in patients with anterior ischemic optic neuropathy. Arch Ophthalmol 1996;114:570.  [ PMID 8619767 ]
 
Leigh JR, Zee DS: The Neurology of Eye Movement. Vol 23 of Contemporary Neurology Series. Davis, 1983.
 
Levine SR et al: Cerebrovascular and neurologic disease associated with antiphospholipid antibodies: 48 cases. Neurology 1990;40:1181.  [ PMID 2381525 ]
 
Lindenberg R, Walsh FB, Sacks JG: Neuropathology of Vision: An Atlas. Lea & Febiger, 1973.
 
Masuyama Y et al: Clinical studies on the occurrence and the pathogenesis of opticociliary veins. J Clin Neuroophthalmol 1990;10:1.  [ PMID 2139042 ]
 
McDonald WI: Optic neuritis and its significance. Clin Exp Neurol 1989;26:1.  [ PMID 2701876 ]
 
McHenry JC, Spoor TC: Spontaneous improvement of progressive anterior ischemic optic neuropathy. Arch Ophthalmol 1993;111:1602.  [ PMID 8155022 ]
 
Mizener JB, Podhajsky P, Hayreh SS: Ocular ischemic syndrome. Ophthalmology 1997;104:859.  [ PMID 9160035 ]
 
Newman NJ: Mitochondrial disease and the eye. Ophthalmol Clin N Am 1992;5(3):405.
 
Nikoskelainen EK et al: Leber's "plus": Neurological abnormalities in patients with Leber's hereditary optic neuropathy. J Neurol Neurosurg Psychiatry 1995; 59:160.  [ PMID 7629530 ]
 
North American Symptomatic Carotid Endarterectomy Trial Collaborators: Beneficial effect of carotid endarterectomy in symptomatic patients with high-grade carotid stenosis. N Engl J Med 1991;325:445.  [ PMID 1852179 ]
 
Nucci P, Mets MB, Gabianelli EB: Trisomy 4q with morning glory disc anomaly. Ophthalmic Paediatr Genet 1990;2:143.
 
O'Riordan JI et al: Clinical, CSF, and MRI findings in Devic's neuromyelitis optica. J Neurol Neurosurg Psychiatry 1996;60:382.  [ PMID 8774400 ]
 
Optic Neuritis Study Group: The clinical profile of optic neuritis: Experience of the Optic Neuritis Treatment Trial. Arch Ophthalmol 1991;109:1673.  [ PMID 1841573 ]
 
Patel U, Gupta SC: Wyburn-Mason syndrome: A case report and review of the literature. Neuroradiology 1990; 31:544.  [ PMID 2191247 ]
 
Ragge NK: Clinical and genetic patterns of neurofibromatosis 1 and 2. Br J Ophthalmol 1993;77:662.  [ PMID 8218038 ]
 
Ragge NK et al: Ocular abnormalities in neurofibromatosis 2. Am J Ophthalmol 1995;120:634.  [ PMID 7485365 ]
 
Regillo CD et al: Diabetic papillopathy: Patient characteristics and fundus findings. Arch Ophthalmol 1995; 113:889.  [ PMID 7605280 ]
 
Riordan-Eva P: Optic nerve sheath fenestration. Current Medical Literature (Ophthalmology) 1994;4:67.
 
Riordan-Eva P et al: The clinical features of Leber's hereditary optic neuropathy defined by the presence of a pathogenic mitochondrial DNA mutation. Brain 1995; 118:319.  [ PMID 7735876 ]
 
Riordan-Eva P, Harding AE: Leber's hereditary optic neuropathy-the clinical relevance of different mitochon- drial DNA mutations. J Med Genet 1995;32:81.  [ PMID 7760326 ]
 
Riordan-Eva P, Wood NW: Mitochondrial disorders in neuro-ophthalmology. Curr Opin Neurol 1996;9:1.  [ PMID 8722656 ]
 
Riordan-Eva P et al: Orbital ultrasound in the ocular ischaemic syndrome. Eye 1994;8:93.  [ PMID 8013727 ]
 
Rivero A et al: Single fiber electromyography of extraocular muscles: A sensitive method for the diagnosis of ocular myasthenia gravis. Muscle Nerve 1995;18:943.  [ PMID 7643873 ]
 
Robb R: Idiopathic superior oblique palsies in children. J Pediatr Ophthalmol Strabismus 1990;27:66.  [ PMID 2348311 ]
 
Rodriguez M et al: Optic neuritis: A population-based study in Olmsted County, Minnesota. Neurology 1995;45:224.  [ PMID 7854520 ]
 
Rush JA et al: Optic glioma: Long-term follow-up of 85 histopathologically verified cases. Ophthalmology 1982;89:1213.  [ PMID 6818504 ]
 
Sadun AA: The optic neuropathy of Alzheimer's disease. Metab Pediatr Syst Ophthalmol 1989;12:64.  [ PMID 2770524 ]
 
Sanders MD: Papilloedema: "The pendulum of progress." Eye 1997;11:267.  [ PMID 9373464 ]
 
Spoor TC et al: Treatment of pseudotumor cerebri by primary and secondary optic nerve sheath decompression. Am J Ophthalmol 1991;112:177.  [ PMID 1867302 ]
 
Stahl JS et al: A pilot study of gabapentin for acquired nystagmus. Neuroophthalmology 1996;16:107.  [ PMID 11539872 ]
 
Thompson DS et al: The effects of pregnancy in multiple sclerosis: A retrospective study. Neurology 1986; 36:1097.  [ PMID 3736873 ]
 
Traccis S et al: Successful treatment of acquired pendular elliptical nystagmus in multiple sclerosis with isoniazid and base-out prisms. Neurology 1990;40:492.  [ PMID 2314593 ]
 
Van Dorp DB, Kwee ML: Tuberous sclerosis. Ophthalmic Paediatr Genet 1990;2:95.
 
Vargas ME et al: Endovascular treatment of giant aneurysms which cause visual loss. Ophthalmology 1994;101:1091.  [ PMID 8008352 ]
 

List of Figures

new window Figure 14-1: Magnetic resonance imaging (MRI) of normal brain in sagittal section (upper left), coronal section (upper right), and axial section (lower left). The white arrows indicate the chiasm.
new window Figure 14-2: The optic pathway. The dotted lines represent nerve fibers that carry visual and pupillary afferent impulses from the left half of the visual field.
new window Figure 14-3: Visual field defects due to various lesions of the optic pathways.
new window Figure 14-4: Occipital lobe abscess. Top: Automated perimetry and tangent screen examination showing homonymous, congruous, paracentral scotoma in right upper visual fields. Bottom: Parasagittal MRI showing lesion involving left inferior calcarine cortex. (Reproduced, with permission, from Horton JC, Hoyt WF: The representation of the visual field in human striate cortex. A revision of the classic Holmes map. Arch Ophthalmol 1991;109:816.)
new window Figure 14-5: Bilateral occipital infarcts with bilateral macular sparing. Top: Tangent screen and superimposed Goldmann visual fields of both eyes showing bilateral homonymous hemianopia with macular sparing, greater in the right hemifield. Bottom: Axial MRI showing sparing of occipital poles. (Reproduced, with permission, from Horton JC, Hoyt WF: The representation of the visual field in human striate cortex. A revision of the classic Holmes map. Arch Ophthalmol 1991;109:816.)
new window Figure 14-6: Examples of optic atrophy. Upper left: Primary optic atrophy due to nutritional amblyopia. Upper right: Secondary optic atrophy with retinochoroidal collaterals (arrows) due to optic nerve sheath meningioma. Lower left: Optic atrophy with optic disk drusen. Lower right: Pallor (atrophy) of right optic disk due to nerve compression by sphenoid meningioma. The left disk is normal.
new window Figure 14-7: Arcuate neuroretinitis due to acute retinal necrosis syndrome. (Reproduced, with permission, from Margolis T et al: Acute retinal necrosis syndrome presenting with papillitis and arcuate neuroretinitis. Ophthalmology 1988;95:937.)
new window Figure 14-8: Mild disk swelling in demyelinative papillitis, with disk leakage on fluorescein angiography.
new window Figure 14-9: Mild papilledema. The disk margins are blurred superiorly and inferiorly by the thickened layer of nerve fibers entering the disk.
new window Figure 14-10: Cerebral hemisphere white matter lesions on MRI associated with acute demyelinative optic neuritis.
new window Figure 14-11: Retinal nerve fiber layer in demyelinating optic neuropathy of multiple sclerosis. The upper temporal nerve fiber bundles show multiple slit-like areas of thinning (arrows) representing retrograde axonal atrophy from subclinical disease in the optic nerve. Vision in the eye was 20/20.
new window Figure 14-12: Bilateral internuclear ophthalmoplegia due to multiple sclerosis.
new window Figure 14-13: Pseudo-Foster Kennedy syndrome due to sequential anterior ischemic optic neuropathy. A: Swollen right optic disk with hemorrhages due to current ischemic episode. B: Atrophy of left optic disk due to previous ischemia. C: Early phase of fluorescein angiogram of right eye showing poor perfusion of optic disk and dilated superficial disk capillaries. D: Late phase of fluorescein angiogram showing disk leakage.
new window Figure 14-14: Acute papilledema with cotton-wool spots and hemorrhages.
new window Figure 14-15: Chronic papilledema with prominent disk swelling, capillary dilation, and retinal folds but few hemorrhages or cotton-wool spots (A) and (B). Fluorescein angiography demonstrates the capillary dilation in its early phase (C) and marked disk leakage in its late phase (D).
new window Figure 14-16: Atrophic papilledema in a child with a cerebellar medulloblastoma. The disk is pale and slightly elevated and has blurred margins. The white areas surrounding the macula are reflected light from the vitreoretinal interface. The inferior temporal nerve fiber bundles are partially atrophic (arrows).
new window Figure 14-17: Large patch of myelinated nerve fibers originating from superior edge of disk. Another smaller patch is present near the inferior nasal border of the disk. (Right eye.)
new window Figure 14-18: Axial MRI of sphenoid wing meningioma causing proptosis.
new window Figure 14-19: MRI of tubular optic nerve sheath meningioma.
new window Figure 14-20: Nutritional amblyopia showing centrocecal scotoma. VA = 20/200.
new window Figure 14-21: Methanol poisoning. Note edema of the retina and optic disk.
new window Figure 14-22: Optic nerve hypoplasia.
new window Figure 14-23: Optic disk coloboma.
new window Figure 14-24: Bilateral tilted optic disks.
new window Figure 14-25: Optic nerve head drusen (A) exhibiting autofluorescence (B).
new window Figure 14-26: Coronal MRI showing large pituitary adenoma elevating and distorting the optic chiasm.
new window Figure 14-27: Sagittal MRI showing contrast enhanced suprasellar craniopharyngioma.
new window Figure 14-28: Occipital hematoma (arrow) resulting from a bleeding arteriovenous malformation. This lesion produced homonymous hemianopia and headache.
new window Figure 14-29: Axial MRI showing parietal meningioma with secondary cerebral edema.
new window Figure 14-30: Diagram of the path of the pupillary light reflex. (Reproduced, with permission, from Walsh FB, Hoyt WF: Clinical Neuro-ophthalmology, 3rd ed. Vol 1. Williams & Wilkins, 1969.)
new window Figure 14-31: Normal pupillary light reactions test.
new window Figure 14-32: Afferent pupillary defect (Marcus Gunn pupil).
new window Figure 14-33: Amaurotic pupillary response.
new window Figure 14-34: Coronal MRI of bilateral acoustic neuromas in neurofibromatosis 2.

List of Tables

new window Table 14-1: Etiologic classification of diseases of the optic nerve.

 
 
 
 

10.1036/1535-8860.ch14

Copyright ©2002-2003 The McGraw-Hill Companies. All rights reserved.
Any use is subject to the Terms of Use and Notice. Additional credits and copyright information. For further information about this site contact tech_support@accessmedicine.com.
Last modified: October 17, 2002 .
McGraw-HillEducation
The McGraw-Hill Companies
AccessLange: General Ophthalmology / Printed from AccessLange (accesslange.accessmedicine.com).
 
Copyright ©2002-2003 The McGraw-Hill Companies. All rights reserved.