AccessLange: General Ophthalmology / Printed from AccessLange (accesslange.accessmedicine.com).
 
Copyright ©2002-2003 The McGraw-Hill Companies. All rights reserved.
 

Printable VersionPrint this Page
 
Chapter 15: Ocular Disorders Associated With Systemic Diseases
Authors: Michael D. Sanders, Elizabeth M. Graham

Ocular Disorders Associated With Systemic Diseases


Examination of the eye provides the ophthalmologist an opportunity to make a unique contribution to the diagnosis of systemic disease. Nowhere else in the body can a microcirculatory system be investigated with such precision, and nowhere else are the results of minute focal lesions so devastating. Many systemic diseases involve the eyes, and therapy demands some knowledge of the vascular, rheologic, and immunologic nature of these diseases.

VASCULAR DISEASE

NORMAL ANATOMY & PHYSIOLOGY

The blood supply to the eye is from the ophthalmic artery, which is the first branch of the internal carotid artery (see Chapter 1). The first branches of the ophthalmic artery are the central retinal artery and the long posterior ciliary arteries. The retina is perfused by retinal and choroidal vessels that provide contrasting anatomic and physiologic circulations. The retinal arteries correspond to arterioles in the systemic circulation. They function as end arteries and feed a capillary bed consisting of small capillaries (7 0x0003bcm) with tight endothelial junctions. Dependent on this anatomic arrangement is the maintenance of the blood-retina barrier, and this system is autoregulated, since there are no autonomic nerve fibers. Most of the blood within the eye, however, is in the choroidal circulation, which is characterized by a high flow rate, autonomic regulation, and an anatomic arrangement with collateral branching and large capillaries (30 0x0003bcm), all of which have fenestrations in juxtaposition to Bruch's membrane. Examination of the retinal vessels is facilitated by the use of red-free light and fluorescein angiography, whereas indocyanine green angiography gives further information about the choroidal vessels.

PATHOLOGIC APPEARANCES IN RETINAL VASCULAR DISEASE

Hemorrhages

Retinal hemorrhages result from diapedeses from veins or capillaries, and the morphologic appearances depend upon the size, site, and extent of damage to the vessel (Figure 15-1). Hemorrhages may be caused by any condition that alters the integrity of the endothelial cells. They usually indicate some abnormality of the retinal vascular system, and systemic factors should be considered in relation to (1) vessel wall disease (eg, hypertension, diabetes), (2) blood disorders (eg, leukemia, polycythemia), and (3) reduced perfusion (eg, carotid cavernous fistula, acute blood loss).


Figure 15-1

Figure 15-1: Flame-shaped retinal hemorrhages in the nerve fiber layer radiate out from the optic disk. Three days before the photograph was taken, the patient experienced sudden loss of vision, which left him with light perception only.

A. Preretinal Hemorrhages:

These result from damage to the superficial disk or retinal vessels and are usually large, producing a gravity-dependent fluid level.

B. Linear Hemorrhages:

These usually small hemorrhages lie in the superficial nerve fiber layers and hence have a characteristic linear appearance, conforming to the alignment of nerve fibers in any particular area of the fundus.

C. Punctate Hemorrhages:

Hemorrhages situated deeper in the substance of the retina are punctate and derived from capillaries and smaller venules. The circular appearance is related to the anatomic arrangement of structures in the retina.

D. Subretinal Hemorrhages:

These hemorrhages are less common because normally there are no blood vessels between the retina and the choroid. Such hemorrhages are large and red, with a well-defined margin and no fluid level. They are seen in relation to the disk and in any condition where abnormal vessels pass from the choroidal circulation into the retina.

E. Hemorrhages Under the Pigment Epithelium:

Hemorrhages situated under the pigment epithelium are usually dark and large, so that they must be differentiated from choroidal melanomas and hemangiomas.

F. White Central Hemorrhages (Roth's Spots):

Superficial retinal hemorrhages with pale or white centers are not pathognomonic of any disease process but may arise in a variety of circumstances: (1) retinal infarction (cotton-wool spot) with surrounding hemorrhage; (2) retinal hemorrhage in combination with extravasation of white corpuscles (eg, leukemia); and (3) retinal hemorrhage with central resolution.

Acute Ocular Ischemia

A. Optic Disk Infarction (Anterior Ischemic Optic Neuropathy):

Impairment of the blood supply to the optic disk produces sudden visual loss, usually with an altitudinal field defect and pallid swelling of the optic disk. The primary abnormality is complete or partial interruption of the choroidal blood supply to the disk, while the retinal capillaries on the surface of the disk appear dilated. Fluorescein angiography confirms the circulatory alterations (Figure 15-2). Pathologic studies show infarction of the retrolaminar region of the optic nerve. The explanation for the vulnerability of the short posterior ciliary vessels supplying this region is unknown. Optic disk infarction is often caused by giant cell arteritis in old age and by hypertension and arteriosclerotic disease in middle age. Small optic disks are particularly prone to infarction.


Figure 15-2

Figure 15-2: Ischemic optic neuropathy. Sudden visual loss in a 48-year-old man produced a complete inferior altitudinal field loss. Left: Fluorescein angiogram shows impaired filling of the upper part of the disk with dilation of retinal capillaries at the lower part of the disk. Right: Photograph 10 minutes after injection shows leakage of dye mainly at the lower part of the disk.

B. Choroidal Infarction:

This is extremely rare, though certain clinical appearances have been attributed to ciliary vessel occlusion. These include small pale areas in the equatorial region that resolve to leave mottled pigmentary areas (Elschnig's spots) due to necrosis of the pigment epithelium. Larger infarcts may occur and may be triangular or linear (Figure 15-3).


Figure 15-3

Figure 15-3: Anti-phospholipid antibody syndrome. Fluorescein angiogram demonstrates choroidal infarcts in a patient who presented with multiple strokes.

C. Retinal Infarction:

The funduscopic appearance of arteriolar occlusion depends on the size of the vessel occluded, the duration of occlusion, and the time course. Occlusion of major arterioles produces a total, hemispheric, or segmental pallid swelling of the retina. Occlusion of a precapillary retinal arteriole produces the pathognomonic appearance of a cotton-wool spot (Figure 15-4). This consists of a pale, slightly elevated swelling usually one-fourth to one-half the size of the optic disk. Pathologic examination shows distention of neurons, with cytoid bodies (Figure 15-5); electron microscopy shows the accumulation of axoplasm and organelles. Occlusion of arterioles, whether due to intrinsic vessel wall disease or to intramural factors, may produce these pathognomonic signs.


Figure 15-4

Figure 15-4: Cotton-wool spots. Numerous cotton-wool spots are seen in the posterior poles in three patients. Left: A young woman with acute systemic lupus erythematosus and neurologic disease. Center: A young man with pancreatitis. Right: A patient with AIDS. Cotton-wool spots resolve over 6 weeks regardless of their cause.


Figure 15-5

Figure 15-5: Cotton-wool spot. Histologic examination shows cytoid bodies and distended neurons in the superficial retinal layers. Deeper retinal layers are normal. (Courtesy of N Ashton.)

D. Transient Retinal Ischemia (Amaurosis Fugax):

Transient episodes of monocular visual loss lasting 5-10 minutes are characteristic of amaurosis fugax. Patients often describe a curtain coming down from above or across their vision, usually with complete return of vision within seconds or minutes. Paresthesias in the contralateral limbs localize the disorder to the carotid artery and suggest involvement of the ophthalmic artery and middle cerebral artery. It is important for the ophthalmologist to auscultate the carotid for a systolic bruit and to search the fundus for emboli. Amaurosis fugax is most commonly due to retinal emboli, of which there are three main types.

1. Cholesterol emboli-

These so-called Hollenhorst plaques usually arise from an atheromatous plaque in the carotid artery and consist of cholesterol and fibrin. They lodge at the bifurcation of retinal arterioles, are refractile, and may appear larger than the vessel that contains them (Figure 15-6).


Figure 15-6

Figure 15-6: Cholesterol embolus (Hollenhorst plaque). Left: A cholesterol embolus at the optic disk, which is refractile and appears larger than the vessel that contains it. A collateral vessel is seen at the lower border of the disk. Right: Surgical specimen from a patient with a similar embolus shows an atheromatous ulcer at the bifurcation of the common carotid artery.

2. Calcific emboli-

Originating from damaged cardiac valves, these emboli lodge within the arteriole, producing complete occlusion and infarction of the distal retina. Calcific emboli are solid and calcified and occur in younger patients with a variety of cardiac lesions.

3. Platelet-fibrin emboli-

Most cases of amaurosis fugax are probably due to the transit of platelet aggregates through the retinal and choroidal circulations. The emboli are usually broken up as they traverse the retinal circulation and hence are rarely seen, though occasionally they produce retinal infarction. Arising from abnormalities of the heart or great vessels, they may be reduced by drugs that reduce platelet aggregation (eg, aspirin).

Retinal emboli most commonly arise from carotid artery disease (see Chapter 14). A cardiac origin such as atrial fibrillation, mitral valve prolapse, or subacute infective endocarditis needs to be considered, particularly in patients under 40 years of age or those with a history of cardiac disease.

There are several other causes of amaurosis fugax, including factors that induce temporary reduction in ocular perfusion, eg, arterial disease, cardiac disorders, hematologic disorders, retinal or choroidal migraine, and, rarely, elevation of intraocular pressure (Table 15-1).

Table 15-1: Causes of amaurosis fugax.


Central Retinal Vein Occlusion (new window  Figure 15-7)

Central retinal vein occlusion is an important cause of visual morbidity in elderly people, particularly those with hypertension or glaucoma.


Figure 15-7

Figure 15-7: Central retinal vein occlusion. Left: Photograph shows linear hemorrhages in the nerve fiber layer and punctate hemorrhages in the deeper retinal layers. Right: Fluorescein angiogram shows dilation of the veins.

Fundus examination shows dilated tortuous veins with retinal and macular edema, hemorrhages all over the posterior pole, and cotton-wool spots. The arterioles are usually attenuated, indicating generalized microvascular disease.

The prognosis for vision is poor. Fluorescein angiography demonstrates two types of response: a nonischemic type, with dilation of retinal vessels and edema; and an ischemic type, with large areas of capillary nonperfusion or evidence of retinal or anterior segment neovascularization. In 93% of ischemic and 50% of nonischemic central retinal vein occlusions, the ultimate visual acuity is less than 20/200.

Central retinal vein occlusion has an increased incidence in certain systemic conditions such as diabetes mellitus, hypertension, collagen vascular diseases, and hyperviscosity syndromes (eg, Waldenström's macroglobulinemia, angioimmunoblastic lymphadenopathy). However, the prevalence of cerebrovascular or cardiovascular disease is not increased compared to the general population. Investigations include measurement of serum lipids, plasma proteins, plasma glucose, and assessment of blood viscosity by hemoglobin, hematocrit, and fibrinogen estimations. In young patients, protein C, activated protein C resistance, protein S, and antithrombin III levels should be measured to exclude abnormalities of the thrombolytic system. If hypertension is present, simple renal function tests, including urea and electrolytes, estimation of creatinine clearance, microscopic examination of the urine, and renal ultrasound are indicated.

Treatment of retinal vein occlusion is unsatisfactory. Trials with anticoagulants and fibrinolytic agents have not been successful. In ischemic central retinal vein occlusion, panretinal laser photocoagulation is effective in preventing and treating secondary neovascular glaucoma.

Occasionally, central retinal vein occlusion occurs in young people and may be associated with cells in the vitreous. Rheologic investigations are usually negative, and the prognosis for vision is good.

Retinal Branch Vein Occlusion (new window  Figure 15-8)

Occlusion of a branch vein should be viewed as part of the spectrum of central retinal vein occlusion. Investigations are similar in the two conditions, but arterial disease-particularly hypertension-is common. Branch retinal vein occlusion occurs more frequently in the superotemporal and inferotemporal regions and particularly at sites where arteries cross over veins, and only rarely where veins cross over arteries.


Figure 15-8

Figure 15-8: Retinal branch vein occlusion. The affected segment of retina shows changes of reduced perfusion. This results in irregularity of the arterioles and veins, areas of capillary closure, and dilated capillaries with microaneurysms.

The value of laser treatment in the management of the complications of branch retinal vein occlusion is discussed in Chapters 10 and 24.

ATHEROSCLEROSIS & ARTERIOSCLEROSIS

The process of atherosclerosis occurs in larger arteries and is due to fatty infiltration of a patchy nature occurring in the intima and associated with fibrosis. Involvement of smaller vessels (ie, < 300 0x0003bcm) by diffuse fibrosis and hyalinization is termed arteriosclerosis. The retinal vessels beyond the disk are less than 300 0x0003bcm; therefore, involvement of the retinal arterioles should be termed arteriosclerosis, whereas involvement of the central retinal artery is properly termed atherosclerosis.

Atherosclerosis is a progressive change developing in the second decade, with lipid streaks in larger vessels, progressing to a fibrous plaque in the third decade. In the fourth and fifth decades, ulceration, hemorrhages, and thrombosis occur, and the lesion may be calcified. Destruction of the elastic and muscular elements of the media produces ectasia and rupture of the large vessels, though in smaller vessels obstruction is usually seen. The clinical results of atherosclerosis are seen several decades after the onset of the process. Factors contributing to atheroma include hyperlipidemia, hypertension, and obesity.

Arteriosclerosis is characterized by an enhanced light reflection, focal attenuation, and irregularity of caliber. These signs may also be seen in the arterioles of normotensive individuals in middle age. In elderly individuals with arteriosclerosis and associated mild hypertension, it is difficult to differentiate the changes of arteriosclerosis from those due to hypertension.

Appearance of Retinal Vessels

A normal arteriolar wall is transparent, so that what is actually seen is the column of blood within the vessel. A thin, central light reflection in the center of the blood column appears as a yellow refractile line about one-fifth the width of the column. As the walls of the arterioles become infiltrated with lipids and cholesterol, the vessels become sclerotic. As this process continues, the vessel wall gradually loses its transparency and becomes visible; the blood column appears wider than normal, and the thin light reflection becomes broader. The grayish yellow fat products in the vessel wall blend with the red of the blood column to produce a typical "copper wire" appearance. This indicates moderate arteriosclerosis. As sclerosis proceeds, the blood column-vessel wall light reflection resembles "silver wire," which indicates severe arteriosclerosis; at times, even occlusion of an arteriolar branch may occur.

Red-free light (a white light with a green filter) allows details of hemorrhages, focal irregularity of blood vessels, and nerve fibers to be seen more clearly (Figure 15-9).


Figure 15-9

Figure 15-9: Acute retinal infarction. Red-free photograph shows acute arterial occlusion in a congenitally anomalous vessel at the disk. The inferior retina is infarcted, but axoplasm has accumulated beneath the fovea in an irregular pattern owing to preserved neuronal function of the distal ganglion cells.

HYPERTENSIVE RETINOPATHY

Wagener and Keith in 1939 classified patients with hypertensive retinopathy into four groups. Stages I and II were restricted to arteriolar changes with attenuation and an increased light reflection ("copper" or "silver" wiring). More emphasis has been placed on stages III and IV, which include cotton-wool spots, hard exudates, hemorrhages, and extensive microvascular changes. Stage IV is differentiated by the additional feature of edema of the optic disk.

The appearance of the fundus in hypertensive retinopathy is determined by the degree of elevation of the blood pressure and the state of the retinal arterioles. Thus, in young patients with accelerated hypertension, an extensive retinopathy is seen, with hemorrhages, retinal infarcts (cotton-wool spots), choroidal infarcts (Elschnig's spots), and occasionally serous detachment of the retina (Figure 15-10). Severe disk edema is a prominent feature. Vision may be impaired but is restored if blood pressure is reduced with caution.


Figure 15-10

Figure 15-10: Accelerated hypertension. Fluorescein angiogram in a young man showing arteriolar constriction, dilation of capillaries with microaneurysms, and areas of closure. Marked disk edema is present.

In contrast, elderly patients with arteriosclerotic vessels are unable to respond in this manner, and their vessels are thus protected by the arteriosclerosis. It is for this reason that elderly patients seldom exhibit florid hypertensive retinopathy (Figure 15-11).


Figure 15-11

Figure 15-11: Accelerated hypertension. Fluorescein angiogram in an elderly wom.an showing marked arteriolar constriction and irregularity but few signs of florid retinopathy.

Fluorescein angiography has made possible accurate documentation of these microcirculatory changes. In young patients with hypertension, arteriolar attenuation and occlusion are seen, and capillary nonperfusion can be verified in relation to a cotton-wool spot, which is surrounded by abnormal dilated capillaries and microaneurysms with increased permeability on fluorescein angiography.

Resolution of the cotton-wool spots and the arteriolar changes occurs with successful hypotensive therapy. In elderly patients, the underlying arteriosclerotic changes are irreversible.

Other Forms of Hypertensive Retinopathy

A severe retinopathy may be seen in advanced renal disease, in patients with pheochromocytoma, and in preeclampsia-eclampsia. All such patients should receive a complete medical workup to establish the nature of the hypertension.

CHRONIC OCULAR ISCHEMIA

Reduction in the retinal arteriovenous pressure gradient may produce acute signs of ocular ischemia (see preceding pages) or the less frequently recognized chronic changes.

Carotid Occlusive Disease

Carotid occlusive disease usually presents in middle-aged and elderly patients and is due to involvement of both the carotid artery and its smaller branches. Contributory factors include hypertension, smoking, and hyperlipidemia.

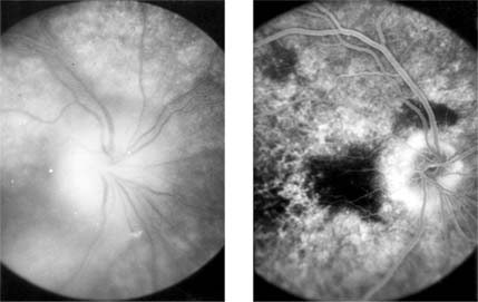
In anterior segment ischemia, patients develop iritis, intraocular pressure changes, and pupillary abnormalities. In retinal ischemia (Figure 15-12A), patients show evidence of capillary dilation and hemorrhages, capillary occlusion, new vessels at the optic disk, and cotton-wool spots.


Figure 15-12

Figure 15-12: A: Fluorescein angiogram of left fundus in a patient with chronic ocular ischemia secondary to Takayasu's disease. Note capillary dilation, leakage of dye, retinal hemorrhages, cotton-wool spots, and neovascularization of the optic nerve head. B: Fluorescein angiogram, showing leakage at optic disk and macula in a patient with chronic ocular ischemia secondary to dural arteriovenous fistula.

Carotid Cavernous Fistula

Carotid cavernous fistula results from a communication between the carotid artery or its branches and the cavernous sinus, producing characteristic vascular signs. Direct carotid fistulas are usually acute, florid, and posttraumatic, whereas fistulas from dural vessels are usually chronic, mild, and not associated with trauma. Clinical features include elevated intraocular pressure, dilated conjunctival vessels, dilated retinal vessels with hemorrhages and fluorescein leakage (Figure 15-12B), ophthalmoplegia (usually lateral rectus), and bruit. computed tomography (CT) and magnetic resonance imaging (MRI) show thickened ocular muscles and a dilated superior ophthalmic vein. The condition must be differentiated from thyroid eye disease, and interventional radiology is the ultimate diagnostic and therapeutic resource.

IDIOPATHIC (BENIGN) INTRACRANIAL HYPERTENSION (Pseudotumor Cerebri)

Idiopathic intracranial hypertension is raised intracranial pressure without other cerebrospinal fluid abnormalities and with normal radiologic studies. Patients present with headache, tinnitus, and dizziness; blurred vision, and diplopia are the ophthalmologic features. Etiologic factors include (1) drug therapy, particularly oral contraceptives, nalidixic acid, tetracyclines, sulfonamides, vitamin A, and prolonged steroid therapy or steroid withdrawal in children; (2) endocrine abnormalities; and (3) blood dyscrasias. In many cases there is no obvious cause; in this (idiopathic) group, the patients are usually young overweight women with irregular menstrual cycles. Idiopathic intracranial hypertension is very rare in men.

The cause of the increased intracranial pressure is unknown, though diminished absorption of cerebrospinal fluid due to impaired venous sinus drainage is suspected.

On examination, visual fields are initially normal apart from enlarged blind spots due to papilledema. Generalized field constriction and inferonasal and arcuate defects occur in advanced cases. Cerebrospinal fluid pressure is raised. MRI shows distended nerve sheaths, an empty sella, and absence of a mass lesion. MR angiography complements the examination and detects any venous sinus occlusion. The aims of treatment are to reduce spinal fluid pressure and prevent permanent visual loss associated with optic atrophy, which occurs in up to 50% of patients. Treatment includes strict diet, oral acetazolamide, optic nerve sheath decompression, and lumboperitoneal shunt procedures. Optic nerve sheath decompression functions either as a fistula or by producing subarachnoid fibrous tissue in the nerve sheath and thus protects the disk from the raised sheath pressure. This procedure is relatively free of side effects and complications.

SUBACUTE INFECTIVE ENDOCARDITIS

Inflammatory changes on the cardiac valves may produce multiple embolization with frequent ocular manifestations that range from retinal and choroidal infarction to a mild infective vitritis. The emboli may arise from vegetations on the cardiac valves and may be composed of platelet and fibrinogen aggregates or calcified endocardial vegetations (Figure 15-13).


Figure 15-13

Figure 15-13: Subacute bacterial endocarditis. Calcific embolus impacted in arteriole below the disk, producing a distal area of retinal infarction.

HEMATOLOGIC & LYMPHATIC DISORDERS

LEUKEMIA

The ocular changes of leukemia occur primarily in those structures with a good blood supply, including the retina, the choroid, and the optic disk (Figure 15-14). Changes are most common in the acute leukemias, where hemorrhages are seen in the nerve fiber and preretinal layers.


Figure 15-14

Figure 15-14: Left: Retinal changes in chronic myeloid leukemia, where dilated veins and hemorrhages may be seen. Right: In acute lymphoblastic leukemia, infiltration of the disk may be seen.

HYPERVISCOSITY SYNDROMES

Increased viscosity results in a reduced flow of blood through the eye. This produces a characteristic dilation of the retinal arteries and veins, hemorrhages, microaneurysms, and areas of capillary closure (Figure 15-15). Polycythemia, either primary or secondary, may produce a hyperviscosity syndrome; the other main causes are macroglobulinemia and multiple myeloma. Reduction of the abnormalities producing hyperviscosity can reverse the retinal changes.


Figure 15-15

Figure 15-15: Hyperviscosity syndrome. Dilated arteries and veins, with hemorrhages and microaneurysms in a patient with hyperviscosity due to elevated IgM levels.

SICKLE CELL DISEASE

Sickle cell hemoglobinopathies are heritable disorders in which the normal adult hemoglobin is replaced by sickle hemoglobin in the red cell. This causes "sickle-shaped" deformity of the red cell on deoxygenation.

Ocular abnormalities include conjunctival changes, with "comma-shaped capillaries," and retinal changes, including arterial occlusions and peripheral capillary closure which leads to new vessel formation, particularly a sea fan pattern. Retinal detachment may develop. Laser therapy is rarely needed, since the complexes fibrose and reperfusion can occur.

NEOPLASTIC DISEASE (new window  Figure 15-16)

Neoplastic disease may involve the eye and optic pathways by direct spread, by metastases, or by immunologic mechanisms.


Figure 15-16

Figure 15-16: Neoplastic disease. Top left: Normal fundus of a patient with rapid visual loss in his only eye. Top right: Chest x-ray showed left lower lobe consolidation and a hilar mass. Bottom: Carcinoma of the bronchus was confirmed at autopsy, and metastasis was found in the optic nerve in the region of the canal (arrows).

The consequences of metastatic spread depend upon the size and site of the metastatic tumor and the site of the primary lesion. The most frequent primary tumor metastasizing to the eye is carcinoma of the breast in women and bronchial carcinoma in men. Visual loss may occur from nonmetastatic disease with consequent retinal degeneration. The syndromes are called cancer-associated retinopathy, melanoma-associated retinopathy, both associated with specific retinal autoantibody, and diffuse uveal melanocytic proliferation.

METABOLIC DISORDERS

DIABETES MELLITUS

Diabetes mellitus is a complex metabolic disorder that also involves the small blood vessels, often causing widespread damage to tissues, including the eyes.

The ocular complications occur approximately 20 years after onset despite apparently adequate diabetic control. Improved treatment measures (eg, improved insulins, antibiotics) that have lengthened the life span of diabetics have actually resulted in a marked increase in the incidence of retinopathy and other ocular complications. The visual outlook for adult (maturity-onset) diabetics is considerably better than for juvenile diabetics.

The possibility of diabetes should be considered in all patients with unexplained retinopathy, cataract, extraocular muscle palsy, optic neuropathy, or sudden changes in refractive error. Absence of glycosuria or a normal fasting blood glucose level does not exclude a diagnosis of diabetes.

Diabetic Retinopathy (Figures 15-17, 15-18, 15-19 and 15-20)

Diabetic retinopathy is a common cause of blindness and now accounts for almost one-fourth of blind registrations in the western world.


Figure 15-17

Figure 15-17: Diabetic retinopathy stage I. Trypsin-digested whole mount showing microaneurysms of the retinal capillaries.


Figure 15-18

Figure 15-18: Diabetic retinopathy. Fluorescein angiogram shows earliest stage with microaneurysm in the macular region.


Figure 15-19

Figure 15-19: Diabetic retinopathy. Fluorescein angiogram shows florid retinopathy of diabetes with extensive areas of capillary closure, dilated capillaries with microaneurysms, and early new vessel formation at the optic disk.


Figure 15-20

Figure 15-20: Proliferative diabetic retinopathy. Fluorescein angiogram shows extensive growth of vessels into the vitreous with marked fluorescein leakage.

The presence and degree of retinopathy seem to be more closely related to the duration of the disease than to its severity. Good diabetes control retards the development of retinopathy and other diabetic complications.

The juvenile diabetic develops a severe form of retinopathy within 20 years in 60-75% of cases even if under good control. The retinopathy is usually proliferative. In older diabetic patients, retinopathy is more often nonproliferative, with the risk of severe central visual loss from maculopathy.

The details of characteristics and treatment of diabetic retinopathy are presented in Chapter 10.

Lens Changes

A. True Diabetic Cataract (Rare):

Bilateral cataracts occasionally occur with a rapid onset in severe juvenile diabetes. The lens may become completely opaque in several weeks.

B. Senile Cataract in the Diabetic (Common):

Typical senile nuclear sclerosis, posterior subcapsular changes, and cortical opacities occur earlier and more frequently in diabetics.

C. Sudden Changes in the Refraction of the Lens:

Especially when diabetes is not well controlled, changes in blood glucose levels cause changes in refractive power by as much as 3 or 4 diopters of hyperopia or myopia. This results in blurred vision. Such changes do not occur when the disease is well controlled.

Iris Changes

Glycogen infiltration of the pigment epithelium and sphincter and dilator muscles of the iris may cause diminished pupillary responses. The reflexes may also be altered by the autonomic neuropathy of diabetes.

Rubeosis iridis is a serious complication of the retinal ischemia that is also the stimulus to retinal neovascularization in severe diabetic retinopathy. Numerous small intertwining blood vessels develop on the anterior surface of the iris. Spontaneous hyphema may occur. The formation of peripheral anterior synechiae is aided by the vascularization of anterior chamber structures, eventually blocking aqueous outflow sufficiently to cause secondary glaucoma.

Extraocular Muscle Palsy (Figure 15-21)

This common occurrence in diabetes is manifested by a sudden onset of diplopia caused by paresis of an extraocular muscle. This may be the presenting sign and is due to infarction of the nerve. When the third nerve is involved, pain may be a prominent symptom. Differentiation from a posterior communicating aneurysm is important; in diabetic third nerve palsy, the pupil is usually spared. Recovery of ocular motor function begins within 3 months after onset and usually is complete. The fourth and sixth nerves may be similarly involved.


Figure 15-21

Figure 15-21: Pupil-sparing third nerve palsy in diabetes mellitus. Sudden painful ophthalmoplegia, left ptosis, failure of adduction, and normal pupillary responses.

Optic Neuropathy

Visual loss is usually due to infarction of the optic disk or nerve. A characteristic telangiectatic pattern is visible at the optic disk in some younger diabetics with sudden visual loss.

ENDOCRINE DISEASES

Disturbances of the endocrine glands have a number of important ocular manifestations. By far the most important of these are due to disturbances of the thyroid gland, though parathyroid and pituitary abnormalities also produce significant ocular changes.

THYROID GLAND DISORDERS

1. GRAVES' DISEASE

The general term Graves' disease has been used to denote hyperthyroidism due to an autoimmune process. Patients with the eye signs of Graves' disease but without clinical evidence of hyperthyroidism are referred to as having ophthalmic Graves' disease. Apart from signs of hyperthyroidism, patients may have pretibial myxedema and clubbing of the fingers, and when these signs occur in combination with the ocular signs, the condition is termed thyroid acropachy.

Various laboratory tests are used in the diagnosis of thyroid disease (Table 15-2).

Table 15-2: Thyroid function tests.


Clinical Findings

Patients may present with nonspecific complaints such as dryness of the eyes, discomfort, or prominence of the eyes. The American Thyroid Association has graded the ocular signs in order of increasing severity from 0 (no signs or symptoms) to 6 (sight loss due to optic nerve involvement).

Lid retraction is almost pathognomonic of thyroid disease, particularly when associated with exophthalmos. Lid retraction may be unilateral or bilateral and involve the upper and lower lids. It is often accompanied by restrictive myopathy, initially involving the inferior rectus and resulting in impaired elevation of the eyes. The pathogenesis of lid retraction is diverse. Hyperstimulation of the sympathetic nervous system has long been considered a prime element. Direct inflammatory infiltration of the levator muscle is also believed to be a factor. Restrictive myopathy of the inferior rectus muscle can cause lid retraction from the increased stimulation of the levator on attempted upgaze.

A. Exophthalmos:

(Figure 15-22.) The degree of exophthalmos may be extremely variable. Measurements using the Hertel or Krahn exophthalmometer range from minimal (20 mm) to excessive (28 mm or more). The condition is usually asymmetric and may be unilateral, and it is important clinically to assess the resistance to manual retropulsion of the globe. The increase in orbital contents that produces the exophthalmos is largely due to an increase in the bulk of the ocular muscles. Visualization of the ocular muscles by CT scan (Figure 15-22) can differentiate exophthalmos from an orbital tumor. In some cases, thickening of the ocular muscles may be restricted to certain muscles only (eg, medial or inferior rectus muscles).


Figure 15-22

Figure 15-22: Thyroid ophthalmopathy. Left: Proptosis, visual loss, and ophthalmoplegia occurred in this elderly woman with a history of thyroid disease. Right: CT scans showed gross thickening of the ocular muscles, particularly in relation to the orbital apex. The increased intraorbital pressure is producing convexity of the medial orbital wall.

B. Ophthalmoplegia:

This is seen more commonly in ophthalmic Graves' disease, which usually affects older people and may be grossly asymmetric. Limitation of elevation is the most frequent finding, and this is mainly due to adhesions between the inferior rectus and inferior oblique muscles. Confirmation may be gained by measuring the intraocular pressure on elevation, when a substantial increase in the intraocular pressure suggests tethering. Often there is mild limitation of ocular movements in all positions of gaze. Patients complain of diplopia, which may be relieved by corticosteroid treatment, may spontaneously return to normal, or, if it remains static for 6-12 months, can frequently be relieved by operation on one or more extraocular muscles.

C. Retinal and Optic Nerve Changes:

Compression of the globe by the orbital contents may produce elevation of the intraocular pressure and retinal or choroidal striae. The optic disk may become swollen and progress to visual loss from optic atrophy. Optic neuropathy associated with Graves' disease occasionally occurs as a result of compression and ischemia of the optic nerve as it traverses the tense orbit, particularly at the orbital apex.

D. Corneal Changes:

In some patients, a superior limbic keratoconjunctivitis may be seen, though this is not specific for thyroid disease. In severe exophthalmos, corneal exposure and ulceration may occur.

Pathogenesis of the Ocular Signs

The main feature is gross distention of the ocular muscles due to the deposition of mucopolysaccharides. The mucopolysaccharides are strongly hygroscopic, which accounts for the increased water content of the orbits.

The pathogenesis of Graves' disease remains unknown, though an immunologic disorder involving both cellular and humoral elements has been implicated. Long-acting thyroid stimulator (LATS) is unlikely to be of significance in humans, because it is not always found in patients with ocular signs. There has, however, been good correlation between hyperthyroidism and human-specific thyroid stimulator, previously known as LATS protector, although this correlation is not seen in patients with Graves' disease. Thyroid autoantibodies against thyroglobulin and the microsome fraction of thyroid cells are frequently found in Hashimoto's disease and less often in Graves' disease. There are now thought to be two pathogenetic components to Graves' disease: (1) immune complexes of thyroglobulin-antithyroglobulin bind to extraocular muscles and produce a myositis; and (2) exophthalmos-producing substance acts with ophthalmic immunoglobulins to displace thyroid-stimulating hormones from the retro-orbital membranes, which results in the increase of retro-orbital fat.

Treatment

A. Medical Treatment:

Medical treatment includes adequate control of the hyperthyroidism as a primary measure. However, thyroid ophthalmopathy may occur in the euthyroid or hypothyroid states. Severe cases with visual loss, disk edema, or corneal ulceration merit urgent medical treatment with corticosteroids in high doses (eg, prednisolone, 100 mg); low doses are ineffective. Plasmapheresis is occasionally used with good results in the treatment of refractory cases, but full immunosuppression must follow plasmapheresis to prevent rebound increase of immunoglobulins and recurrence of disease. Immunosuppressive agents (eg, azathioprine) may play a supportive role and allow a lower maintenance dose of corticosteroids. Orbital radiotherapy may be useful to avoid operation or as a sequel to surgical decompression.

B. Surgical Treatment:

Decompression of the orbit may be performed by removing the medial and inferior walls via an ethmoidal approach or by endoscopic techniques. Decompression of the orbital apex is essential for a successful outcome.

2. HYPOTHYROIDISM (Myxedema)

Significant ocular signs are not common in myxedema, though the signs of thyroid ophthalmopathy may be seen. Hyperthyroid patients who subsequently become hypothyroid are at greater risk of ophthalmic involvement.

HYPOPARATHYROIDISM

Occasionally at thyroidectomy, the parathyroid glands are removed inadvertently, causing hypo-parathyroidism. Spontaneous cases of hypopara- thyroidism, though rare, should be suspected in young patients with cataracts. The blood calcium decreases, and serum phosphates are increased. Tetany may ensue and can be severe enough to cause generalized convulsions. The ocular manifestations consist of blepharospasm and twitching eyelids. Small, discrete, punctate opacities of the lens cortex develop that may eventually require lens extraction.

Treatment with calcium salts, calciferol, and dihydrotachysterol usually prevents further development of lens opacities, but any that have occurred prior to treatment remain.

VITAMINS & EYE DISEASE

VITAMIN A

Vitamin A is essential for the maintenance of epithelium throughout the body. Ocular changes resulting from vitamin A deficiency (see Figure 15-23) are described in Chapter 6.


Figure 15-23

Figure 15-23: Keratomalacia. Case of xerophthalmia in a 5-month-old child.

VITAMIN B

Vitamin B1 (thiamin) deficiency produces beriberi, and 70% of patients with beriberi have ocular abnormalities. Epithelial changes in the conjunctiva and cornea produce dry eyes. Visual loss may occur as a result of optic atrophy.

Treatment is by correction of dietary deficiency with liver, whole wheat bread, cereals, eggs, and yeast, or with parenteral injection of thiamine.

Nicotinic acid deficiency (pellagra) is quite common in alcoholics and is characterized by dermatitis, diarrhea, and dementia. Ocular involvement is rare, but optic neuritis or retinitis may develop.

Riboflavin deficiency has been said to cause a number of ocular changes. Rosacea keratitis, vascularization of the limbal cornea, seborrheic blepharitis, and secondary conjunctivitis have all been attributed to riboflavin deficiency.

VITAMIN C

In vitamin C deficiency (scurvy), hemorrhages may develop in a variety of sites, eg, skin, mucous membranes, body cavities, the orbits, and subperiosteally in the joints. Hemorrhages may also occur into the lids, subconjunctival space, anterior chamber, vitreous cavity, and retina.

Treatment of vitamin C deficiency is with proper diet, particularly adequate amounts of citrus juice.

GRANULOMATOUS DISEASES

Many of the so-called granulomatous infectious diseases, including tuberculosis, brucellosis, leprosy, and toxoplasmosis, undergo a chronic course with frequent exacerbations and remissions. The eye is often involved, particularly by anterior uveitis. The following paragraphs deal with other ocular complications of these systemic diseases.

TUBERCULOSIS

Ocular tuberculosis results from endogenous spread from systemic foci. The incidence of eye involvement is less than 1% in known cases of pulmonary tuberculosis; granulomatous panuveitis and retinal "cold" abscesses may occur (Figure 15-24). There has been a recent increase in the incidence of tuberculosis as a result of the spread of AIDS infection.


Figure 15-24

Figure 15-24: Tuberculosis. Cold abscess. A young man presented with a swelling on his back (left) and a choroidal lesion (right). Aspiration of the abscess revealed Mycobacterium tuberculosis.

Tuberculosis of the Uveal Tract

A. Iritis (Anterior Uveitis):

(See Chapter 7.) Local treatment of iritis with mydriatics and corticosteroids is indicated. Systemic tuberculosis therapy is useful in the treatment of established cases of tuberculous uveitis.

B. Miliary Tuberculosis:

In this usually fatal form of tuberculosis, many small discrete yellowish nodules are visible ophthalmoscopically in the choroid at the posterior pole of the eye.

SARCOIDOSIS (new window  Figures 15-25 and new window  15-26)

Sarcoidosis is a multisystem disease with pulmonary, ocular (uveitis), cutaneous, and reticuloendothelial system manifestations. A granulomatous uveitis may be accompanied by cells in the vitreous periphlebitis, disk swelling, retinal neovascularization, and choroidal disease. New vessels may require photocoagulation. The systemic disease is controlled by the administration of oral corticosteroids and occasionally immunosuppressants. Infiltrative optic neuropathy is a rare cause of progressive severe visual loss.


Figure 15-25

Figure 15-25: Sarcoidosis. Focal periphlebitis and disk leakage may respond dramatically to systemic corticosteroids. Left: Before treatment. Right: After 6 weeks of treatment with prednisolone, 30 mg daily.


Figure 15-26

Figure 15-26: Sarcoidosis. Retinal pigment epithelial and choroidal disease may be very distinctive (left) and highlighted by fluorescein angiography (right).

EALES' DISEASE

This disease was originally reported to occur in young men in poor general health who experienced recurrent vitreous hemorrhages from areas of retinal neovascularization. However, such symptoms are also known to occur in tuberculosis, sarcoidosis, systemic lupus erythematosus, sickle cell disease, and diabetes. Extensive investigations are therefore indicated to exclude these conditions in patients with consistent clinical features. If test results are negative, Eales's disease is then appropriate as a diagnosis arrived at by exclusion. Photocoagulation of the new vessels can reduce the chance of further vitreous hemorrhage.

LEPROSY (Hansen's Disease)

Leprosy is a chronic granulomatous disorder caused by Mycobacterium leprae, an acid-fast bacillus. It is estimated that 12-15 million people in the world have leprosy and that of this number, 20-50% (2.4 million to 6 or 7 million) have ocular involvement. In tropical countries, the infection is endemic.

Three major types of leprosy are recognized: lepromatous, tuberculoid, and dimorphous. The eye may be affected in any type of leprosy, but ocular involvement is more common in the lepromatous type. Ocular lesions are due to direct invasion by M leprae of the ocular tissues or of the nerves supplying the eye and adnexa. Since the organism appears to grow better at lower temperatures, infection is more apt to involve the anterior segment of the eye than the posterior segment.

Clinical Findings

The early clinical signs of ocular leprosy are lagophthalmos, loss of the lateral portions of the eyebrows and eyelashes (madarosis), conjunctival hyperemia, and superficial keratitis (Figure 15-27), with interstitial keratitis-beginning typically in the superior temporal quadrant of the cornea-often supervening.


Figure 15-27

Figure 15-27: Leprosy keratitis, left eye. (Courtesy of W Richards.)

Scarring of the cornea from interstitial or exposure keratitis (or both) causes blurred vision and often blindness. Granulomatous iritis with lepromas (iris pearls) is common, and a low-grade iritis associated with iris atrophy and a pinpoint pupil may also occur. Hypertrophy of the eyebrows with deformities of the lids and trichiasis late in the course of the disease, and exposure keratitis, typically in the inferior and central cornea, can result from facial motor nerve palsy and absence of corneal sensation.

Ocular leprosy can be diagnosed on the basis of characteristic signs combined with a characteristic skin biopsy.

Treatment

Leprosy is now treated with multidrug therapy, which includes dapsone, rifampin, and clofazimine, and the results in patients with early disease have been encouraging.

SYPHILIS

Congenital Syphilis

The most common eye lesion in congenital syphilis is interstitial keratitis (discussed in Chapter 6). Chorioretinitis unassociated with interstitial keratitis may occur. Congenital syphilis is treated with large doses of penicillin.

Acquired Syphilis

Ocular chancre (primary lesion) occurs rarely on the lid margins and follows the same course as a genital chancre.

Iritis and iridocyclitis occur in the secondary stage of syphilis along with the rash in about 5% of cases. The inflammation may involve the posterior segment, including the pigment epithelium and the retinal capillaries (Figure 15-28).


Figure 15-28

Figure 15-28: Secondary syphilis. Bilateral visual loss occurred in a 24-year-old man. Late fluorescein photographs showed disk leakage with dilation and leakage of peripapillary capillaries.

TOXOPLASMOSIS

This disease is of great ocular importance. The etiologic organism is a protozoal parasite that infects a great number of animals and birds and has worldwide distribution. Felids are the definitive host.

Congenital Toxoplasmosis (Figure 15-29)

Infection occurs in utero, and one-third of infants born to mothers who acquired toxoplasmosis during pregnancy-particularly during the third trimester-will be affected.


Figure 15-29

Figure 15-29: Toxoplasmosis. Active area of chorioretinitis adjacent to scar with reaction in adjacent retinal arteriole.

A focal choroiditis is seen, usually in the posterior pole, and an active lesion is often related to an old healed lesion. Episodes of posterior uveitis and chorioretinitis usually represent reactivation of a congenital infection. Rarely, panuveitis may occur, or optic neuritis progressing to optic atrophy. Isolated anterior uveitis does not occur. Peripheral vision is usually preserved, but because of macular involvement in at least 50% of cases, central vision is reduced.

Treatment with systemic corticosteroids and antibiotics reduces inflammation but does not prevent scar formation. Subconjunctival or retrobulbar injection of corticosteroids is contraindicated, because it may cause severe exacerbation of disease. Other forms of treatment are discussed in Chapter 7.

Acquired Toxoplasmosis

Acquired toxoplasmosis affects young adults and is characterized by general malaise, lymphadenopathy, sore throat, and hepatosplenomegaly similar to that seen in infectious mononucleosis. It is endemic in South America. Toxoplasmic retinochoroiditis may rarely follow acquired systemic toxoplasmosis. The diagnosis is confirmed by the finding of both IgG and IgM antibodies.

VIRAL DISEASES

HERPES SIMPLEX

The most common manifestation of herpes simplex is fever blisters on the lips. The most common and serious eye lesion is keratitis (see Chapter 6). Vesicular skin lesions can also appear on the skin of the lids and the lid margins. Herpes simplex may cause iridocyclitis and may rarely cause severe encephalitis.

There are two morphologic strains of the virus: type 1 and type 2. Ocular infections are usually produced by type 1, whereas genital infections are caused by type 2. Retinitis due to herpes simplex virus type 1 or 2 occurs in adults suffering from herpes encephalitis or in immunosuppressed patients. Severe occlusive retinal vasculitis develops, followed by retinal necrosis and detachment. Type 1 antigens have been found in all layers of the retina, pigment epithelium, and choroid. Intravenous acyclovir prevents spread of the disease, and prophylactic retinal buckling may be useful.

Varicella-zoster virus is usually implicated in acute retinal necrosis syndrome, which produces a similar clinical picture but affects healthy individuals. However, herpes simplex types 1 and 2 and cytomeg-alovirus, albeit rarely, are now also associated with this condition. A 3-month course of oral acyclovir reduces the chances of involvement of the second eye.

VARICELLA-ZOSTER (Chickenpox & Herpes Zoster)

First infection with varicella-zoster virus causes chickenpox (varicella). Swollen lids, conjunctivitis, vesicular conjunctival lesions, and (rarely) uveitis and optic neuritis may occur.

Herpes zoster is the response to the same virus in a partially immune person, ie, someone who has previously had chickenpox. It is usually confined to a single dermatome on one side and presents with malaise, headache, and fever followed by burning, itching, and pain in the affected area. The commonest ophthalmic manifestation is herpes zoster ophthalmicus, and the ocular complications are caused by ischemia, viral spread, or a granulomatous reaction. The acute stage is characterized by a virulent rash, conjunctivitis, keratitis, episcleritis, and uveitis when the nasociliary nerve is involved.

Treatment in the acute stages with high doses of oral acyclovir; 800 mg five times a day for 10 days, started within 72 hours after eruption of the rash, reduces ocular complications including postherpetic neuralgia. Anterior uveitis requires topical steroids and cycloplegics.

The acute retinal necrosis syndrome has been described following chickenpox and herpes zoster (see above). In immunocompromised individuals, both herpes zoster, which may become disseminated, and varicella are likely to be severe and may be fatal.

CYTOMEGALIC INCLUSION DISEASE

Infection with cytomegalovirus, also a member of the herpesvirus group, may range from a subclinical infection to classic manifestations of cytomegalic inclusion disease. The virus most frequently affects newborn infants and compromised hosts, and the disease can be acquired or congenital. The ocular findings in the newborn include focal necrotizing retinitis and choroiditis with perivascular infiltrates and retinal hemorrhages. Other reported ocular findings include microphthalmia, cataract, optic atrophy, and optic disk malformation.

Histopathologic examination of the retinal and choroidal lesion shows large inclusion-bearing cells characteristic of cytomegalovirus infections. There is disruption of the normal architecture of the retina and choroid, with evidence of necrosis and mononuclear and perivascular infiltration. Calcifications in the retina may be observed.

The differential diagnosis in the congenital disease should include toxoplasmosis, rubella, herpes simplex infection, and syphilis.

Ganciclovir is the drug of choice for cytomegalic inclusion retinitis. It halts the progression of the disease without eradicating the virus. (See section on AIDS, below.)

POLIOMYELITIS

Bulbar poliomyelitis severe enough to cause lesions of the third, fourth, or sixth cranial nerve is usually fatal. In survivors, any type of internal or external ophthalmoplegia may result. Supranuclear abnormalities ("gaze" palsies, paralysis of convergence or divergence) are rare residual defects. Optic neuritis is uncommon. Treatment is purely symptomatic, though occasionally a residual extraocular muscle imbalance can be greatly improved by strabismus surgery.

GERMAN MEASLES (Rubella)

Maternal rubella during the first trimester of pregnancy causes serious congenital anomalies. The most common eye complication is cataract, which is bilateral in 75% of cases. Other congenital ocular anomalies are frequently associated with the cataracts, eg, uveal colobomas, nystagmus, microphthalmos, strabismus, retinopathy, and infantile glaucoma. Congenital cataract, especially if bilateral, may require surgical removal, but the prognosis is always guarded.

MEASLES (Rubeola)

Acute conjunctivitis is common early in the course of measles. Koplik's spots may be seen on the conjunctiva, and epithelial keratitis occurs frequently.

The treatment of the eye complications of measles is symptomatic unless there is secondary infection, in which case local antibiotic ointment is used.

MUMPS

The most common ocular complication of mumps is dacryoadenitis. A diffuse keratitis with corneal edema resembling the disciform keratitis of herpes simplex occurs rarely.

INFECTIOUS MONONUCLEOSIS

The disease process can affect the eye directly, causing nongranulomatous uveitis, scleritis, conjunctivitis, retinitis, choroiditis, or optic neuritis. Complete recovery is usual, but residual visual loss can result.

FUNGAL DISEASE

CANDIDIASIS

Ocular involvement accompanies systemic Candida infection and candidemia in approximately two-thirds of cases. The initial Candida lesion is a focal necrotizing granulomatous retinitis with or without choroiditis, characterized by fluffy white exudative lesions associated with cells in the vitreous overlying the lesion. Such lesions may spread to involve the optic nerve and macula. Endophthalmitis, Roth's spots, and exudative retinal detachment may occur. Spread into the vitreous cavity may result in the formation of a vitreous abscess, sometimes described as "a string of pearls." Anterior uveitis occurs, and a hypopyon may form.

Treatment consists of systemic administration of amphotericin B, flucytosine, and ketoconazole. Early vitrectomy may prevent macular damage.

MUCORMYCOSIS

Mucormycosis is a rare, often fatal infection occurring in debilitated patients, particularly poorly controlled diabetics. The fungi (Rhizopus, Mucor, and Absidia) attack through the upper respiratory tract and invade the arterioles, producing necrotic tissue. Clinical features are the pathognomonic black hemipalate, proptosis, and an ischemic globe with blindness due to ophthalmic artery occlusion. Death occurs from cerebral abscess.

Treatment includes removal of the affected tissue, intravenous amphotericin B (preferably liposomal), and management of the underlying medical condition.

ACQUIRED IMMUNODEFICIENCY SYNDROME (AIDS)

AIDS is caused by human immunodeficiency virus (HIV), a retrovirus. The virus infects mature T helper cells and leads to immunosuppression, the severity of which depends on the balance between the rates of destruction and replacement of T cells. The persistent immunodeficiency gives rise to opportunistic infections. The virus has been recovered from various body fluids, including blood, semen, saliva, tears, and cerebrospinal fluid.

Transmission & Prevention of AIDS

Transmission of HIV is primarily by exchange of bodily fluids during sexual contact or through the use of contaminated needles by intravenous drug abuse. Transmission may also occur when contaminated blood products are transfused. The virus is not transmitted by casual contact, but because it is found in tears, conjunctival cells, and blood, health care workers must take reasonable precautions when handling infectious waste or when at risk of contact with body fluids.

Clinical Findings

The spectrum of clinical disease is wide, presumably due to the degree of immunologic damage and the frequency and nature of opportunistic infections. Typically, an acute flu-like illness occurs a few weeks after infection, followed months later by weight loss, fever, diarrhea, lymphadenopathy, and encephalopathy. The commonest ocular findings are retinal microvasculopathy with cotton-wool spots (Figure 15-30) and hemorrhages and conjunctival vasculopathy characterized by comma vessels, sludging of the blood, and linear hemorrhages. The cause of these findings is unknown, but they are sometimes associated with increased plasma viscosity and may represent immune complex deposition.


Figure 15-30

Figure 15-30: Retinal changes in AIDS. Multiple cotton-wool spots (left) and retinal necrosis with hemorrhage (right) due to opportunistic infection. (Courtesy of R Marsh.)

The hallmark of AIDS is the high incidence of infections, which are frequently multiple, opportunistic, and severe. The eye is involved in 30% of cases, and both the anterior segment and the retina may be affected. Viral opportunistic infections of the retina are most common, particularly cytomegalovirus. Typically there is a hemorrhagic necrotic retinopathy spreading from vascular arcades and associated with arteriolar occlusions. The vitreous is quiet; retinal detachment may occur. Involvement of the optic nerve results in gross optic disk edema and severe sudden and irreversible visual loss. Diagnosis is usually based on circumstantial evidence of positive antibody titers in blood, urine, or cerebrospinal fluid. Ocular fluids and retinal specimens are rarely examined. Treatment is with either ganciclovir or foscarnet. Both are virostatic drugs that stop progression of disease but do not eradicate the virus from the eye. Neutropenia is the most important side effect of ganciclovir, and renal damage of foscarnet. Local administration of both drugs is effective in controlling ocular infection but not systemic spread. A standard regimen is a 2-week induction course of intravenous therapy followed by maintenance oral therapy. Alternatively, intravitreal implant or repeated intravitreal injections may be supplemented by oral treatment. Cidofovir may also be used, but ocular complications include uveitis, ocular hypotension, and ciliary body necrosis.

Treatment of the HIV infection is complicated and involves combinations ("triple therapy") of protease inhibitors and reverse transcriptase inhibitors, usually given in 3-month cycles. These regimens may result in a dramatic drop in the HIV viral load, increase in CD4 counts, and improved well-being for the patient. It may be possible to stop anti-cgcytomegalovirus (CMV) therapy when the CD4 count has risen above 200/0x0003bcL for 3 months.

Herpes simplex retinitis begins in the peripheral retina, advances to involve the entire fundus, and is associated with arteriolar occlusion. The retinitis almost always occurs concurrently with herpes simplex encephalitis, and this serves to distinguish herpes simplex from cytomegalovirus retinitis, which is rarely complicated by encephalitis. Treatment is with acyclovir, but maintenance therapy is required. A virulent form of retinitis, progressive outer retinal necrosis, is attributed to herpes zoster.

Toxoplasma chorioretinitis is usually bilateral, acquired (congenital infections are rarely reactivated in AIDS), and associated with substantial vitreous reaction; candidal endophthalmitis is rarely seen except in drug addicts. Less common organisms that typically involve the choroid are Pneumocystis carinii, Cryptococcus, and Mycobacterium avium-intracellulare. Choroidal infection is blood-borne and portends imminent demise.

Herpes zoster ophthalmicus is a rare presenting feature of HIV infection and may be very severe, with anterior segment necrosis and ophthalmoplegia. Similarly, syphilis in association with HIV infection produces a severe blinding uveitis. Herpes simplex, molluscum contagiosum, and Kaposi's sarcoma frequently affect the eyelids and surrounding tissues. The combination of rifabutin and clarithromycin or cidofovir may precipitate symptomatic uveitis.

Neuro-ophthalmologic problems are divided into those related directly to HIV infection of the brain, such as optic neuropathy and intranuclear ophthalmoplegia, and those caused by cerebral abscesses or encephalitis, commonly due to Cryptococcus, lymphoma, or toxoplasmosis.

MULTISYSTEM AUTOIMMUNE DISEASES

SYSTEMIC LUPUS ERYTHEMATOSUS

Systemic or disseminated lupus erythematosus is a multisystem disease manifested by facial "butterfly skin lesions," pericarditis, Raynaud's phenomenon, renal involvement, arthritis, anemia, and central nervous system signs. Ocular findings include episcleritis and scleritis and keratoconjunctivitis sicca (in 25% of cases). Uveitis rarely occurs, and retinal involvement produces signs of arteriolar occlusion as a result of immune complex deposition with associated choroidal vasculitis. The fundus picture may be complicated by a hypertensive retinopathy, which in severe cases can cause capillary occlusion or even proliferative retinopathy.

Pathogenesis & Diagnosis

The disease is an immunologic disorder marked by the presence of circulating immune complexes. Diagnostic tests include anti-deoxyribonucleic acid (DNA) antibodies and mitochondrial type V antibodies. Active disease is associated with raised circulating immune complexes and reduced fractions of complement.

Treatment

Systemic steroids and pulsed intravenous cyclophosphamide are most effective. Hydroxychloroquine, methotrexate, and azathioprine may be useful.

ANTI-PHOSPHOLIPID ANTIBODY SYNDROME

This diagnosis should be considered in patients with recurrent thromboembolism, recurrent fetal loss, livedo reticularis, thrombocytopenia, and neurologic disease. Visual loss may be due to retinal vein or ar-terial occlusion or ischemic optic neuropathy. Choroidal infarcts may also occur (Figure 15-3). The diagnosis is confirmed by the presence of lupus anticoagulant and high-titer IgG and IgM anticardiolipin antibodies.

DERMATOMYOSITIS

In this rare disease, there is characteristically a degenerative subacute inflammation of the muscles, sometimes including the extraocular muscles. The lids are commonly a part of the generalized dermal involvement and may show marked swelling and erythema. Retinopathy with cotton-wool spots and hemorrhages may occur. High doses of systemic corticosteroids will frequently effect a remission that continues even after cessation of therapy. The ultimate prognosis is poor, however.

SCLERODERMA

This rare chronic disease is characterized by widespread alterations in the collagenous tissues of the mucosa, bones, muscles, skin, and internal organs. Individuals of both sexes between 15 and 45 years of age are affected. The skin in local areas becomes tense and leathery, and the process may spread to involve large areas of the limbs, rendering them virtually immobile. The skin of the eyelids is often involved. Iritis and cataract occur less frequently. Retinopathy similar to that which occurs in lupus erythematosus and dermatomyositis may be present. Systemic corticosteroid treatment improves the prognosis.

POLYARTERITIS NODOSA

This collagen disease affects the medium-sized arteries, most commonly in men. There is intense inflammation of all the muscle layers of the arteries, with fibrinoid necrosis and a peripheral eosinophilia. The main clinical features include nephritis, hypertension, asthma, peripheral neuropathy, muscle pain with wasting, and peripheral eosinophilia. Cardiac involvement is common, though death is usually caused by renal dysfunction.

Ocular changes are seen in 20% of cases and consist of episcleritis and scleritis, which is often painless (see Chapter 7). When the limbal vessels are involved, guttering of the peripheral cornea may occur. A retinal microvasculopathy is common. Sudden dramatic visual loss may be due to ischemic optic neuropathy reflecting the severity of the vasculitis in the ciliary vessels or to a central retinal artery occlusion. Ophthalmoplegia may result from arteritis of the vasa nervorum (Figure 15-31). Systemic corticosteroids and cyclophosphamide are of some value. A few patients have a monophasic disease that resolves completely, but in the remainder the long-term prognosis is uniformly bad.


Figure 15-31

Figure 15-31: Polyarteritis nodosa. Bilateral sixth nerve palsies.

WEGENER'S GRANULOMATOSIS

This granulomatous process shares certain clinical features with polyarteritis nodosa. The three diagnostic criteria are (1) necrotizing granulomatous lesions of the respiratory tract, (2) generalized necrotizing arteritis, and (3) renal involvement with necrotizing glomerulitis.

Ocular complications occur in 50% of cases, and proptosis resulting from orbital granulomatous formation occurs with associated ocular muscle or optic nerve involvement (Figure 15-32). If the vasculitis affects the eye, conjunctivitis, peripheral corneal ulceration, episcleritis, scleritis, uveitis, and retinal vasculitis may occur. Nasolacrimal duct obstruction is a rare complication.


Figure 15-32

Figure 15-32: Classic Wegener's granulomatosis with proptosis, ptosis, and ophthalmoplegia. The condition has remained static for 10 years with use of cortico-steroids and cyclophosphamide.

Antineutrophil cytoplasmic antibodies are present in most cases and have both diagnostic and prognostic value. Combined corticosteroids and immunosuppressives (particularly cyclophosphamide) often produce a satisfactory response.

RHEUMATOID ARTHRITIS

Rheumatoid arthritis, a disease that is more common in women than in men, rarely presents with uveitis, but scleritis and episcleritis are comparatively common. The scleritis may herald exacerbation of the systemic disease, tends to occur with widespread vasculitis and may lead to scleromalacia perforans (see Chapter 7).

Corticosteroid drops are helpful in episcleritis or anterior uveitis, but systemic treatment (nonsteroidal anti-inflammatory agents and corticosteroids) is necessary for scleritis. Keratoconjunctivitis sicca is present in 15% of cases (see Chapter 4). Peripheral corneal melting may occur in more severe cases.

JUVENILE RHEUMATOID ARTHRITIS (Still's Disease)

Ocular complications of Still's disease occur three times more frequently in girls with pauciarticular disease. The systemic disease appears to be disproportionately mild in children with severe visual loss, and diagnosis and treatment may therefore be delayed. Ocular involvement may occur before joint involvement. A chronic insidious uveitis with a high incidence of anterior segment complications develops (eg, posterior synechiae, cataract, secondary glaucoma, band-shaped keratopathy). Antinuclear antibodies are positive in 88% of patients with juvenile rheumatoid arthritis who develop uveitis, whereas they are positive in only 30% of the group as a whole.

SJöGREN'S SYNDROME

Sjögren's syndrome is a systemic disorder with diverse features. The disease is characterized by the clinical triad of keratoconjunctivitis sicca, xerostomia (dryness of the mouth), and a connective tissue disease, usually rheumatoid arthritis. It is more common in females. The onset of ocular symptoms occurs most frequently during the fourth, fifth, and sixth decades. Lymphoid proliferation is a prominent feature of Sjögren's syndrome and may involve the kidneys, the lungs, or the liver, causing renal tubular acidosis, pulmonary fibrosis, or cirrhosis. Lymphoreticular malignant disease such as reticulum cell sarcoma may complicate the benign course of Sjögren's syndrome many years after its onset.

The histopathologic changes in the lacrimal gland consist of infiltration of lymphocytes, histiocytes, and occasional plasma cells leading to atrophy and destruction of the glandular structures. These changes are part of the generalized polyglandular involvement in Sjögren's syndrome, which results in dryness of the eyes, mouth, skin, and mucous membranes.

Because of the relative inaccessibility of the lacrimal gland, the labial salivary gland biopsy serves as an important diagnostic procedure in patients with suspected Sjögren's syndrome.

Tear lysozyme and lactoferrin levels are absent or reduced in over 90% of patients, and very high titers of nuclear antibodies are present.

GIANT CELL ARTERITIS (Including Temporal or Cranial Arteritis)

This is a disease of elderly patients (mostly women over age 60). Medium-sized arteries are involved, particularly the intima of the vessels. Branches of the external carotid system are frequently involved, though pathologic studies have shown more diffuse arterial involvement. Polymyalgia rheumatica may precede or accompany the disease. Patients feel ill and have excruciating pain over the temporal or occipital arteries. Visual loss due to an ischemic optic neuropathy is frequent, and a few cases have a central retinal artery occlusion. Visual loss may also be due to cortical blindness. Other central nervous system signs include cranial nerve palsies and signs referable to brain stem lesions. The diagnosis is confirmed by a high erythrocyte sedimentation rate (ESR) and a positive temporal artery biopsy. In early stages of the disease, the ESR may be normal, but usually it is 80-100 mm in the first hour. It is important to make the diagnosis early, because immediate systemic corticosteroid administration produces dramatic relief of pain and prevents further ischemic episodes. The disease activity is monitored by the erythrocyte sedimentation rate and the clinical state. The cortico-steroid dose may have to be maintained for several years and should be kept below 5 mg prednisolone daily if possible, since with higher doses toxic effects develop.

IDIOPATHIC ARTERITIS OF TAKAYASU (Pulseless Disease)

This disease, found most frequently in young women and occasionally in children, is a polyarteritis of unknown cause with increased predilection for the aorta and its branches. Manifestations may include evidence of cerebrovascular insufficiency, syncope, absence of pulsations in the upper extremities, and ophthalmologic changes compatible with chronic hypoxia of the ocular structures. Ophthalmodynamometry may be of value by demonstrating decreased carotid blood flow on one or both sides.

Thromboendarterectomy, prosthetic graft, and systemic corticosteroid therapy have been reported to be successful.

ANKYLOSING SPONDYLITIS

Ankylosing spondylitis occurs mainly in males 16-40 years of age. In most cases, an intermittent anterior uveitis is seen, but in a minority anterior and posterior uveitis exists with glaucoma and cataracts developing in the long term. In a few cases, aortic valve disease is also seen (see Chapter 7). There is a strong association with HLA-B27. Antigenic cross-reactivity is present between HLA-B27 and Klebsiella pneumoniae, but the etiology remains poorly understood.

REITER'S DISEASE

The diagnosis of Reiter's disease is based on a triad of signs that includes urethritis, conjunctivitis, and arthritis (see Chapter 16). Scleritis, keratitis, and uveitis may also be seen in addition to conjunctivitis.

BEHÇET'S DISEASE

Behçet's disease consists of the clinical triad of relapsing uveitis and aphthous and genital ulceration (Figure 15-33). Ocular signs occur in 75% of cases; the uveitis is severe, occasionally associated with hypopyon. Visual loss is due to inflammatory changes in the retinal vessels and retina, and there is a propensity to microvascular venous occlusions and retinal infiltrates. Treatment often involves multiple immunosuppression (eg, steroids, cyclosporine, azathioprine), but despite manipulation with these drugs the visual outcome is bad in 25% of cases. Ocular involvement is associated with the HLA-B5 haplotype.


Figure 15-33

Figure 15-33: Beh·et's disease. Clinical features include oral and genital ulcers. Ocular features include increased capillary permeability and areas of retinal ischemia and infiltration. Marked leakage of capillaries is seen in the late stages of fluorescein angiography (bottom right).

HERITABLE CONNECTIVE TISSUE DISEASES

MARFAN'S SYNDROME (Arachnodactyly) (Figure 15-34)

The most striking feature of this rare syndrome is increased length of the long bones, particularly of the fingers and toes. Other characteristics include scanty subcutaneous fat, relaxed ligaments, and, less commonly, other associated developmental anomalies, including congenital heart disease and deformities of the spine and joints. Ocular complications are often seen-in particular, dislocation of the lenses, usually superiorly and nasally. Less common ocular anomalies include severe refractive errors, megalocornea, cataract, uveal colobomas, and secondary glaucoma. There is a high infant mortality rate. Removal of a dislocated lens may be necessary. The disease is genetically determined, nearly always autosomal dominant, often with incomplete expression, so that mild, incomplete forms of the syndrome are seen. Several reports have correlated cytogenetic changes with Marfan's syndrome.


Figure 15-34

Figure 15-34: Marfan's syndrome. Familial expression of arachnodactyly and upward dislocation of the lens.

OSTEOGENESIS IMPERFECTA (Brittle Bones & Blue Scleras)

This rare autosomal dominant syndrome is characterized by multiple fractures, blue scleras, and, less commonly, deafness. The disease is usually manifest soon after birth. The long bones are very fragile, fracturing easily and often healing with fibrous bony union. The bones become more fragile with age. The very thin sclera allows the blue color imparted by the underlying uveal tract to show through. There is usually no visual impairment. Occasionally, abnormalities such as keratoconus, megalocornea, and corneal or lenticular opacities are also present.

Ophthalmologic treatment is seldom necessary.

HEREDITARY METABOLIC DISORDERS

HEPATOLENTICULAR DEGENERATION (Wilson's Disease)

This rare autosomal recessive disease of young adults-characterized by abnormal copper metabolism-causes changes in the basal nuclei, cirrhosis of the liver, and a pathognomonic corneal pigmentation called the Kayser-Fleischer ring. The ring appears as a green or brown band peripherally and deep in the stroma near Descemet's membrane and may only be visible with a slitlamp. The disease is progressive and often results in death by age 40. Treatment with penicillamine has resulted in sustained clinical improvement in some cases.

CYSTINOSIS

This rare autosomal recessive derangement of amino acid metabolism causes widespread deposition of cystine crystals throughout the body. Dwarfism, nephropathy, and death in childhood from renal failure are the rule. Cystine crystals can be readily seen in the conjunctiva and cornea, where fine particles are seen predominantly in the outer third of the corneal stroma.

There is no treatment.

ALBINISM

Oculocutaneous albinism consists of a heterogeneous group of conditions characterized by generalized reduction in or absence of melanin pigmentation and inherited as autosomal recessive traits. Mutations have been found on chromosomes 9, 11, and 15. At birth there is little or no cutaneous pigmentation, such that the skin and hair, including the eyebrows and eyelashes, are white or paler than expected. In severely affected cases this situation persists throughout life, whereas in less affected individuals some pigmentation and tanning with sun exposure can develop during childhood. The ocular manifestations are reduced visual acuity (generally 20/200), nystagmus, pale irides that transilluminate, hypopigmented fundi, and hypoplastic foveas. Photophobia is a prominent symptom. Ocular albinism, an X-linked recessive trait, has the same ocular features as oculocutaneous albinism but generally without cutaneous manifestations, though the skin may be paler than that of first-degree relatives. It is an important cause of congenital nystagmus. Female carriers may be identified by the presence of iris transillumination and retinal abnormalities. In all types of albinism there is a characteristic increase in the proportion of decussating axons in the optic chiasm, which can be identified by electrodiagnostic testing.

GALACTOSEMIA

Galactosemia is a rare autosomal recessive disorder of carbohydrate metabolism clinically manifested soon after birth by feeding problems, vomiting, diarrhea, abdominal distention, hepatomegaly, jaundice, ascites, cataracts, mental retardation, and elevated blood and urine galactose levels. Dietary exclusion of milk and all foods containing galactose and lactose for the first 3 years of life will prevent the clinical manifestations and will result in improvement of existing abnormalities. Even the cataract changes, which are characterized by vacuoles of the cortex, are reversible in the early stage.

Identification of the carrier state is possible by finding a 50% reduction of galactose 6-phosphatase.

MISCELLANEOUS SYSTEMIC DISEASES WITH OCULAR MANIFESTATIONS

VOGT-KOYANAGI-HARADA SYNDROME (Figure 15-35)

Bilateral uveitis associated with alopecia, poliosis, vitiligo, and hearing defects, usually in young adults, has been termed Vogt-Koyanagi disease. When the choroiditis is more exudative, serous retinal detachment occurs, and the complex is known as Harada's syndrome. There is a tendency toward recovery of visual function, but this is not always complete. Initial treatment is with local steroids and mydriatics, but systemic steroids in high doses are frequently required to prevent permanent visual loss.


Figure 15-35

Figure 15-35: Vogt-Koyanagi-Harada syndrome. Acute pigment epithelial disease with disk swelling and cells in the vitreous (left). Three months later, disk swelling has subsided and pigment epithelial damage is seen (right).

ERYTHEMA MULTIFORME (Stevens-Johnson Syndrome)

Erythema multiforme is a serious mucocutaneous disease that occurs as a hypersensitivity reaction to drugs or food. Children are most susceptible. The manifestations consist of generalized maculopapular rash, severe stomatitis, and purulent conjunctivitis, sometimes leading to symblepharon and occlusion of the lacrimal gland ducts (dry eye syndrome). In severe cases, corneal ulcers, perforations, and panophthalmitis can destroy all visual function. Systemic corticosteroid treatment often favorably influences the course of the disease and usually preserves useful visual function. Secondary infection with Staphylococcus aureus is common and must be vigorously treated with local antibiotics instilled into the conjunctival sac. Frequently there is marked reduction of tear formation that can be helped by instillation of artificial tears.

LAURENCE-MOON-BIEDL SYNDROME

Obesity, mental deficiency, polydactyly, hypogonadism, and retinitis pigmentosa form the complete syndrome. The retinal changes are not always typical of retinitis pigmentosa and may be present soon after birth or develop during adolescence. This rare syndrome is genetically determined and follows an autosomal recessive pattern with a high rate of consanguinity. The heterozygous state may be identified by mild incomplete evidence of the disease. It is interesting that a single abnormal gene can account for such a multiplicity of clinical findings.

ROSACEA (Acne Rosacea)

This disease of unknown cause is primarily dermatologic, beginning as hyperemia of the face associated with acneiform lesions and eventually causing hypertrophy of tissues (such as rhinophyma). Chronic blepharitis due to staphylococcal infection or seborrhea is often present. Rosacea keratitis develops in about 5% of cases. Episcleritis, scleritis, and nongranulomatous iridocyclitis are rare ocular complications.

Careful attention to lid hygiene is essential. Topical corticosteroids help in controlling keratitis or iridocyclitis. Long-term systemic tetracycline therapy is often beneficial.

LYME DISEASE

Lyme disease is a vector-mediated multisystem illness caused by the spirochete Borrelia burgdorferi. The usual vectors are small ixodid ticks that have a complex three-host life cycle involving multiple mammalian and avian species.

The disease has three major stages. Initially, in the area of the tick bite, there develops the characteristic skin lesion of erythema chronicum migrans, often accompanied by regional lymphadenopathy, malaise, fever, headache, myalgia, and arthralgia. Several weeks to months later there is a period of neurologic and cardiac abnormalities. After a few more weeks or even years, rheumatologic abnormalities develop-initially, migratory musculoskeletal discomfort, but later a frank arthritis that may recur over several years.

Conjunctivitis is a frequent finding in the first stage. Cranial nerve palsies-particularly of the seventh but also of the third, fourth, or sixth cranial nerves-often occur in the neurologic phase. Other ophthalmologic abnormalities that have been reported include uveitis, ischemic optic neuropathy, optic disk edema, bilateral keratitis, and choroiditis with exudative retinal detachments.

Laboratory diagnosis is by demonstration of specific IgM and IgG antibodies in serum or cerebrospinal fluid. The spirochetes may also be isolated from these sources.

Doxycycline and ampicillin are effective in curing the initial infection but unfortunately may not prevent late complications.

IMMUNOSUPPRESSIVE AGENTS USED IN MANAGEMENT OF EYE DISEASE

Immunosuppressive agents are used to suppress inflammatory reactions within the eye, particularly those affecting the uveal tract but also the sclera, retina, and optic nerve. Frequently, the cause of inflammation is not known, and the use of these drugs is therefore empirical. All patients must have a full medical examination before treatment is started. Special consideration must be given to patients with infections and blood diseases, and regular blood counts must be performed during the course of treatment.

Corticosteroids (eg, prednisolone) are the mainstay of immunosuppressive treatment in ophthalmology. High doses (eg, 60 mg of prednisolone daily) may be required to control inflammation, and there is a high incidence of side effects. Weight gain, acne, and hirsutism are common; peptic ulceration, myopathy, osteoporosis, and avascular necrosis are less frequently encountered. Alternate-day regimens produce fewer side effects in some patients. Azathioprine may be added as a corticosteroid-sparing drug; 2.5 mg/kg daily is an effective dose, and the total course should not last longer than 18 months. Intravenous methylprednisolone (1 g/d given over 3 hours in dextrose saline for 3 days) is an effective method of controlling exacerbations in patients already taking high doses of corticosteroids.

Cyclosporine is an immunosuppressive agent isolated from the fermentation products of a fungus that was recovered from Norwegian soil. It has an effective immunomodulating action and causes suppression of T helper cells. It is a useful alternative drug for refractory sight-threatening noninfectious inflammatory eye disease in patients who have not responded to corticosteroids or in whom the optimal therapeutic dose of corticosteroids is associated with intolerable side effects. The recommended dose is 5 mg/kg orally daily. The most important side effect is renal toxicity, but liver toxicity may also occur. Close surveillance and monitoring of kidney and liver function are mandatory on every patient receiving cyclosporine therapy. The drug should not be given to hypertensive patients. Reduction of the daily dose may be associated with troublesome rebound of the ocular inflammation.

Fortunately, cytotoxic agents are rarely indicated in the management of inflammatory eye disease except in severe cases of Beh·et's syndrome and Wegener's granulomatosis. These drugs and their important side effects are listed in Table 15-3. Cytotoxic agents are sometimes used in the treatment of myasthenia gravis (see Figure 15-36).


Figure 15-36

Figure 15-36: Retinitis in an immunosuppressed patient. Left: This patient with myasthenia gravis underwent thymectomy and received long-term immunosuppression with cytotoxic agents. Right: He developed retinal necrosis and Ramsay Hunt syndrome following infection with herpes zoster.

Table 15-3: Cytotoxic agents used in the management of inflammatory eye disease.


OCULAR COMPLICATIONS OF CERTAIN SYSTEMICALLY ADMINISTERED DRUGS (See Also Chapter 3.)

AMIODARONE

Amiodarone is a benzofuran derivative used to treat cardiac dysrhythmias, particularly Wolff-Parkinson-White syndrome, and angina pectoris. Most patients develop small punctate deposits with a vortex pattern in the basal cell layer of the corneal epithelium (Figure 15-37). The severity of keratopathy is related to the total daily dose and is mild at a dose of less than 200 mg daily. The deposits rarely interfere with vision, and although they progress with continued treatment, even in low dosage, they always resolve completely when treatment is stopped. A small percentage of patients develop thyroid ophthalmopathy, though the mechanism is not fully understood.


Figure 15-37

Figure 15-37: Amiodarone keratopathy. (Courtesy of DJ Spalton.)

ANTICHOLINERGICS (Atropine & Related Synthetic Drugs)

All of these drugs, when given preoperatively or for gastrointestinal disorders, may cause blurred vision in presbyopic patients because of a direct action on accommodation. They also tend to dilate the pupils, so that in patients with narrow anterior chamber angles there is the added threat of angle-closure glaucoma. This is the cause of angle-closure glaucoma (frequently attributed to "nervousness") occasionally seen in patients hospitalized for general surgery.

ANTIDEPRESSANTS

Tricyclic antidepressants and monoamine oxidase inhibitors have an anticholinergic effect and theoretically may exacerbate open-angle glaucoma or provoke an attack of angle-closure glaucoma. However, these side effects are rare in clinical practice.

CHLORAMPHENICOL

Chloramphenicol, in addition to the possibility of causing severe blood dyscrasias, hepatic and renal disease, and gastrointestinal disturbances, can sometimes cause optic neuritis. This is especially true in children. Bilateral blurred vision with central scotomas occurs. Stopping the drug does not always restore vision.

Despite the possibility of toxic optic neuropathy, chloramphenicol may still be required for the treatment of bacterial endophthalmitis. The drug is generally not administered for more than 1 week.

CHLOROQUINE

Chloroquine is an effective antimalarial drug. With high dosage-often 250-750 mg daily administered for months or years-serious ocular toxicity has occurred. Corneal changes were described first and consisted of diffuse haziness of the epithelium and subepithelial area, occasionally sufficient to simulate an epithelial dystrophy. These changes cause only mild blurring of vision and are reversible upon drug withdrawal. Similar changes have been described in patients receiving quinacrine. Minimal corneal involvement is not necessarily an indication for discontinuance of chloroquine therapy.

A less common but more serious ocular complication of long-term chloroquine therapy is retinal damage, causing loss of central vision as well as constriction of peripheral visual fields. Pigmentary changes and edema of the macula, marked alteration of the retinal vessels, and in some cases peripheral pigmentary changes can be seen ophthalmoscopically. Hydroxychloroquine is a derivative of chloroquine that is regularly used in the treatment of collagen diseases (especially systemic lupus erythematosus), rheumatoid arthritis, and chronic skin disease, including discoid lupus and sarcoidosis. The range of ocular complications is the same as with chloroquine, but both their incidence and their severity are greatly reduced. If renal function is normal, routine ophthalmologic screening is probably required only if the daily dose of chloroquine exceeds 6.5 mg/kg or the total duration of treatment exceeds 6 years.

CHLOROTHIAZIDE

Xanthopsia (yellow vision) has been reported in patients taking this oral diuretic.

CONTRACEPTIVES, ORAL

Although numerous reports suggest that in predisposed individuals oral contraceptives can provoke or precipitate ophthalmic vascular occlusive disease or optic nerve damage, it is difficult to establish a definite cause and effect relationship. Optic neuritis, retinal arterial or venous thrombosis, and pseudotumor cerebri have been described in patients taking oral contraceptives. Since there is some uncertainty regarding the possibility of such ocular complications, oral contraceptives should be used only by healthy women with no history of vascular, neurologic, or ocular disease.

CORTICOSTEROIDS

It has been clearly demonstrated that long-term systemic corticosteroid therapy can cause chronic open-angle glaucoma and cataracts and can provoke and worsen attacks of herpes simplex keratitis. Locally administered corticosteroids are much more potent in this respect and have the added disadvantage of causing fungal overgrowth if the corneal epithelium is not intact. Steroid-induced subcapsular lens opacities cause some impairment of visual function but usually do not progress to advanced cataract. Cessation of therapy will arrest progression of the lenticular opacities, but the changes are irreversible. Serous retinal detachments have been associated with systemic corticosteroids, particularly when these agents are used to treat the systemic vasculitides.

OXYGEN

Premature infants who are given any concentration of oxygen in excess of that in the air may develop retinopathy of prematurity (retrolental fibroplasia). These infants should receive only the amount of oxygen necessary for survival. The incidence of the condition was considerably reduced in the 1960s with rigid restriction of oxygen, but despite continued restriction, the incidence has recently risen again. This may be due to prematurity itself (with advanced medical techniques, smaller infants are surviving); the condition is found in 40-77% of infants weighing less than 1 kg.

In adults, administration of hyperbaric oxygen (3 atm) can cause constriction of the retinal arterioles.

PHENOBARBITAL & PHENYTOIN

Ocular complications relate to oculomotor involvement, producing nystagmus and weakness of convergence and accommodation. The nystagmus may persist for many months after cessation of the drug, and the degree of oculomotor abnormality is related to drug dosage. Early abnormalities include disturbance of smooth pursuit.

PHENOTHIAZINES

The phenothiazines usually exert an atropine-like effect on the eye so that the pupils may be dilated, especially with large doses. Of greater clinical significance, however, are the pigmentary ocular changes, which include pigmentary retinopathy and pigment deposits on the corneal endothelium and anterior lens capsule. The corneal and lens pigmentation may cause blurring of vision, but the pigment deposits usually disappear several months after the drug is discontinued. In pigmentary retinopathy, there is a diminution of central vision, night blindness, diffuse narrowing of the retinal arteries, and occasionally severe blindness.

The piperidine group (eg, thioridazine) has a higher risk of causing pigmentary retinopathy, and the maximum daily dose should not exceed 600 mg. The retinal changes are partly reversible under normal circumstances, but in some patients more severe irreversible changes occur at the "safe" dosage level.

The dimethylamine group (eg, chlorpromazine) rarely produces retinal pigmentary changes.

The piperazine group (eg, trifluoperazine) does not produce these retinal complications.

All of these drugs can produce an extrapyramidal syndrome that may involve eye movements. Large doses can provoke profound hypotension, which may produce ischemic optic neuropathy.

Patients receiving large doses or prolonged treatment with phenothiazines should be questioned regarding visual disturbances and should have periodic ophthalmoscopic examinations.

QUININE & QUINACRINE

Quinine and quinacrine, when used in the treatment of malaria, may cause bilateral blurred vision, sometimes following a single dose. There is constriction of the visual field and, rarely, total blindness. The tendency is toward partial recovery, though usually there are permanent peripheral field defects. The ganglion cells of the retina are affected first, presumably as a result of vasoconstriction of the retinal arterioles. Varying degrees of retinal edema occur early. Optic atrophy is a late finding.

SEDATIVE TRANQUILIZERS

When taken regularly, the so-called minor tranquilizers can decrease tear production by the lacrimal gland, thus resulting in ocular irritation because of dry eyes. Tear production returns to normal when the tranquilizers are discontinued.

The principal drugs in this group are meprobamate, chlordiazepoxide, and diazepam.

TAMOXIFEN

Asymptomatic intraretinal crystals are observed in 1-5% of patients who take 20 mg of tamoxifen twice daily. Corneal crystals and optic neuropathy have been reported in patients receiving 80-120 mg daily.

RADIATION

Both optic neuropathy and retinopathy may occur months or years after radiation treatment to the head and neck, particularly to the sinuses or the chiasm. The retinal endothelial cells are damaged, and ischemic retinopathy develops with cotton-wool spots, hemorrhages, and capillary closure. Patients with optic neuropathy present with arcuate field defects, and gadolinium-enhanced MRI reveals characteristic sharply demarcated lesions in the optic nerve. Both conditions progress slowly, and although there is no treatment, anticoagulation or aspirin may halt the process.

FETAL EFFECTS OF DRUGS

The visual pathways of the fetus are occasionally affected by drugs taken by the mother during pregnancy.

Phenytoin may cause optic nerve hypoplasia.

Pigmentary retinopathy has been reported in a child of a mother taking busulfan for acute myeloid leukemia.

Warfarin is teratogenic and may produce a hypoplastic nose, stippled epiphyses, and skeletal abnormalities. Affected children may present with recurrent sticky eyes from obstruction of the nasolacrimal duct secondary to malformation of the nose. Other ocular abnormalities include optic atrophy, microphthalmia, and lens opacities.

REFERENCES
 
Acheson JF, Green WT, Sanders MD: Optic nerve sheath decompression for the treatment of visual failure in chronic raised intracranial pressure. J Neurol Neurosurg Psychiatry 1994;57:1426.  [ PMID 7964827 ]
 
Acheson JF, Sanders MD: Coagulation abnormalities in ischaemic optic neuropathy. Eye 1994;8:89.  [ PMID 8013726 ]
 
Aiello LM, Cavallerano J: Diabetic retinopathy. Curr Ther Endocrinol Metab 1997;6:475.  [ PMID 9174792 ]
 
Akduman L, Kaplan HJ, Tyschen L: Prevalence of uveitis in an outpatient juvenile arthritis clinic: Onset of uveitis more than a decade after onset of arthritis. J Pediatr Ophthalmol Strabismus 1997;34:101.  [ PMID 9083955 ]
 
Akova YA, Jabbur NR, Foster CS: Ocular presentation of polyarteritis nodosa. Ophthalmology 1993;100:1775.  [ PMID 7903120 ]
 
Akpek EK et al: Ocular rosacea: Patient characteristics and follow-up. Ophthalmology 1997; 104:1863.  [ PMID 9373118 ]
 
Balcer U, Winterkorn JMS, Galetta SL: Neuro-ophthalmic manifestations of Lyme disease. J Neuroophthalmol 1997;17:108.  [ PMID 9176782 ]
 
Barile GR, Flynn TE: Syphilis exposure in patients with uveitis. Ophthalmology 1997;104:1605.  [ PMID 9331198 ]
 
Bartley GB et al: Long-term follow-up of Graves ophthalmopathy in an incidence cohort. Ophthalmology 1996;103:958.  [ PMID 8643255 ]
 
Burgett RA, Purvin VA, Kawasaki A: Lumboperitoneal shunting for pseudotumor cerebri. Neurology 1997;49:734.  [ PMID 9305333 ]
 
Carden SM et al: Albinism: Modern molecular diagnosis. Br J Ophthalmol 1998;82:189.  [ PMID 9613388 ]
 
Central Retinal Vein Occlusion Study Group: Natural history and clinical management of central retinal vein occlusion. Arch Ophthalmol 1997; 115:486.  [ PMID 9109757 ]
 
Chew EY: Diabetic retinopathy and lipid abnormalities. Curr Opin Ophthalmol 1997;8:59.  [ PMID 10168895 ]
 
Clarkson JG for the Central Vein Occlusion Study Group: A randomized clinical trial of early panretinal photocoagulation for ischemic central vein occlusion: The Central Vein Occlusion Study Group N Report. Ophthalmology 1995;102:1434.  [ PMID 9097789 ]
 
Dana M-R et al: Prognosticators for visual outcome in sarcoid uveitis. Ophthalmology 1996;103:1846.  [ PMID 8942880 ]
 
de Boer JH et al: Detection of intraocular antibody production to herpesviruses in acute retinal necrosis syndrome. Am J Ophthalmol 1994;117:201.  [ PMID 8116748 ]
 
Demiroglu H, Barista l, Dündar S: Risk factor assessment and prognosis of eye involvement in Beh·et's disease in Turkey. Ophthalmology 1997;104:701.  [ PMID 9111266 ]
 
Dodson PM et al: Hypertensive retinopathy: A review of existing classification systems and a suggestion for a simplified grading system. J Hum Hypertens 1996;10:93.  [ PMID 8867562 ]
 
Eggenberger ER, Miller NF, Vitale S: Lumboperitoneal shunt for the treatment of pseudotumor cerebri. Neurology 1996;46:1524.  [ PMID 8649541 ]
 
El Sheikh M, McGregor AM: Graves' ophthalmopathy: Medical management. Curr Ther Endocrinol Metab 1997;6:90.  [ PMID 9174711 ]
 
Fekrat S, Finkelstein D: Current concepts in the management of central retinal vein occlusion. Curr Opin Ophthalmol 1997;18:50.
 
Fong ACO, Schatz H: Central retinal vein occlusion in young adults. Surv Ophthalmol 1993;37:393.  [ PMID 8516752 ]
 
Fox RI et al: Criteria for diagnosis of Sjögren's syndrome. Rheumat Dis Clin North Am 1994;20:391.
 
Fraunfelder FT: Drug-Induced Ocular Side-Effects and Drug Interactions. Lea & Febiger, 1976.
 
Gass JDM, Olson CL: Sarcoidosis with optic nerve and retinal involvement. Arch Ophthalmol 1976;94:945.  [ PMID 938285 ]
 
Ghanchi FD, Dutton GD: Current concepts in giant cell (temporal) arteritis. Surv Ophthalmol 1997;42:99.  [ PMID 9381374 ]
 
Glacet-Bernard A et al: Prognostic factors for retinal vein occlusion. Ophthalmology 1996;103:551.  [ PMID 8618752 ]
 
Gold DH, Weingeist TA (editors): The Eye in Systemic Disease. Lippincott, 1990.
 
Hayreh SS: Anterior ischemic optic neuropathy. Clin Neurosci 1997;4:251.  [ PMID 9292252 ]
 
Hayreh SS et al: Giant cell arteritis: Validity and reliability of various diagnostic criteria. Am J Ophthalmol 1997;123:285.  [ PMID 9063237 ]
 
Henricsson M et al: The effect of glycaemic control and the introduction of insulin therapy on retinopathy in non-insulin-dependent diabetes mellitus. Diabet Med 1997; 14:123.  [ PMID 9047089 ]
 
Hutchinson BM, Kyle PM: Long-term visual outcome following orbital decompression for dysthyroid eye disease. Eye 1995;9:578.  [ PMID 8543076 ]
 
Ischemic Optic Decompression Trial Research Group: Optic nerve decompression surgery for nonarteritic anterior ischemic optic neuropathy (NAION) is not effective and may be harmful. JAMA 1995;273:625.  [ PMID 7844872 ]
 
Jabs DA et al: Rhegmatogenous retinal detachment in patients with cytomegalovirus retinitis: The Foscarnet-Ganciclovir Cytomegalovirus Retinitis Trial. Am J Ophthalmol 1997;124:61.  [ PMID 9222234 ]
 
Jabs DA, Bartlett JG: AIDS and ophthalmology: A period of transition. Am J Ophthalmol 1997;124:61.  [ PMID 9222234 ]
 
Jacobson DNL, Vierkant RA, Belongia EA: Nonarteritic anterior ischemic optic neuropathy. Arch Ophthalmol 1997;115:1403.  [ PMID 9366670 ]
 
Jacobson MA: Treatment of cytomegalovirus retinitis in patients with the acquired immunodeficiency syndrome. N Engl J Med 1997;337:105.  [ PMID 9211681 ]
 
Jennette JC, Falk RJ: Small-vessel vasculitis. N Engl J Med 1997;337 21:1512.  [ PMID 9366584 ]
 
Kahn M et al: Immunocytologic findings in a case of Vogt-Koyanagi-Harada syndrome. Ophthalmology 1993; 100:1191.  [ PMID 8341501 ]
 
Kruize AA et al: Long-term followup of patients with Sjögren's syndrome. Arthritis Rheum 1996;39:297.  [ PMID 8849383 ]
 
Levy GD et al: Incidence of hydroxychloroquine retinopathy in 1,207 patients in a large multicenter outpatient practice. Arthritis Rheum 1997;40:1482.  [ PMID 9259429 ]
 
Lewis RA et al: Foscarnet-Ganciclovir Cytomegalovirus Retinitis Trial 5. Clinical features of cytomegalovirus retinitis at diagnosis. Am J Ophthalmol 1997;124:141.  [ PMID 9262538 ]
 
Marsh RJ, Cooper M: Ophthalmic herpes zoster. Eye 1993;7:350.  [ PMID 8224290 ]
 
Mavrikakis M et al: Retinal toxicity in long term hydroxychloroquine treatment. Ann Rheumat Dis 1996;55:187.
 
Mets MB et al: Eye manifestations of congenital toxoplasmosis. Am J Ophthalmol 1996;122:309.  [ PMID 8794703 ]
 
Mizener JB, Podhajsky P, Hayreh SS: Ocular ischemic syndrome. Ophthalmology 1997;104:859.  [ PMID 9160035 ]
 
Moorthy RS et al: Management of varicella zoster virus retinitis in AIDS. Br J Ophthalmol 1997;81:189.  [ PMID 9135381 ]
 
Musch DC et al: Treatment of cytomegalovirus retinitis with a sustained-release ganciclovir implant. N Engl J Med 1997;337:83.  [ PMID 9211677 ]
 
Nussenblatt RB: Uveitis in Beh·et's disease. Int Rev Immunol 1997;14:67.  [ PMID 9203027 ]
 
Nussenblatt RD, Palestine AG: Uveitis: Fundamental and Clinical Practice. Year Book, 1989.
 
Perry SR, Rootman J, White VA: The clinical and pathologic constellation of Wegener granulomatosis of the orbit. Ophthalmology 1997; 104:685.
 
Quaterman MJ et al: Ocular rosacea: Signs, symptoms, and tear studies before and after treatment with doxycycline. Arch Dermatol 1997;133:49.  [ PMID 9006372 ]
 
Reed JB et al: Regression of cytomegalovirus retinitis associated with protease-inhibitor treatment in patients with AIDS. Am J Ophthalmol 1997;124:199.  [ PMID 9262543 ]
 
Shalaby IA et al: Syphilitic uveitis in human immunodeficiency virus-infected patients. Arch Ophthalmol 1997;115:469.  [ PMID 9109754 ]
 
Shields CL et al: Survey of 520 eyes with uveal metastases. Ophthalmology 1997; 104:1265.  [ PMID 9261313 ]
 
Sjolie AK et al: Retinopathy and vision loss in insulin-dependent diabetes in Europe. The EURODIAB IDDM Complications Study. Ophthalmology 1997;104:252.  [ PMID 9052629 ]
 
Spector SA: Current therapeutic challenges in the treatment of cytomegalovirus retinitis. J Acquir Immune Defic Syndr Hum Retrovirol 1997;14:S32.  [ PMID 9058616 ]
 
Studies of Ocular Complications of AIDS Research Group in collaboration with the AIDS Clinical Trials Group. Parenteral cidofovir for cytomegalovirus retinitis in AIDS: The HPMPC Peripheral Cytomegalovirus Retinitis Trial. A randomized, controlled trial. Ann Intern Med 1997;126:264.  [ PMID 9036798 ]
 
Wall M, George D: Idiopathic intracranial hypertension: A prospective study of 50 cases. Brain 1991;114:155.  [ PMID 1998880 ]
 
Walsh JB: Hypertensive retinopathy: Description, classification, and prognosis. Ophthalmology 1982;89:1127.  [ PMID 7155523 ]
 
Watson PG, Hazleman BL (editors): The Sclera and Systemic Disorders. Saunders, 1976.
 
Weinberg DV, Murphy R, Naughton K: Combined daily therapy with intravenous ganciclovir and foscarnet for patients with recurrent cytomegalovirus retinitis. Am J Ophthalmol 1994;117:776.  [ PMID 8198162 ]
 
Weisman RA, Osguthorpe JD: Orbital decompression in Graves' disease. Arch Otolaryngol Head Neck Surg 1994;120:831.  [ PMID 8049044 ]
 
Whitcup SM, Nussenblatt RB: Immunologic mechanisms of uveitis: New targets for immunomodulation. Arch Ophthalmol 1997;115:520.  [ PMID 9109763 ]
 
Yohai RA et al: Survival factors in rhino-orbital-cerebral mucormycosis. Surv Ophthalmol 1994;39:3.  [ PMID 7974189 ]
 

List of Figures

new window Figure 15-1: Flame-shaped retinal hemorrhages in the nerve fiber layer radiate out from the optic disk. Three days before the photograph was taken, the patient experienced sudden loss of vision, which left him with light perception only.
new window Figure 15-2: Ischemic optic neuropathy. Sudden visual loss in a 48-year-old man produced a complete inferior altitudinal field loss. Left: Fluorescein angiogram shows impaired filling of the upper part of the disk with dilation of retinal capillaries at the lower part of the disk. Right: Photograph 10 minutes after injection shows leakage of dye mainly at the lower part of the disk.
new window Figure 15-3: Anti-phospholipid antibody syndrome. Fluorescein angiogram demonstrates choroidal infarcts in a patient who presented with multiple strokes.
new window Figure 15-4: Cotton-wool spots. Numerous cotton-wool spots are seen in the posterior poles in three patients. Left: A young woman with acute systemic lupus erythematosus and neurologic disease. Center: A young man with pancreatitis. Right: A patient with AIDS. Cotton-wool spots resolve over 6 weeks regardless of their cause.
new window Figure 15-5: Cotton-wool spot. Histologic examination shows cytoid bodies and distended neurons in the superficial retinal layers. Deeper retinal layers are normal. (Courtesy of N Ashton.)
new window Figure 15-6: Cholesterol embolus (Hollenhorst plaque). Left: A cholesterol embolus at the optic disk, which is refractile and appears larger than the vessel that contains it. A collateral vessel is seen at the lower border of the disk. Right: Surgical specimen from a patient with a similar embolus shows an atheromatous ulcer at the bifurcation of the common carotid artery.
new window Figure 15-7: Central retinal vein occlusion. Left: Photograph shows linear hemorrhages in the nerve fiber layer and punctate hemorrhages in the deeper retinal layers. Right: Fluorescein angiogram shows dilation of the veins.
new window Figure 15-8: Retinal branch vein occlusion. The affected segment of retina shows changes of reduced perfusion. This results in irregularity of the arterioles and veins, areas of capillary closure, and dilated capillaries with microaneurysms.
new window Figure 15-9: Acute retinal infarction. Red-free photograph shows acute arterial occlusion in a congenitally anomalous vessel at the disk. The inferior retina is infarcted, but axoplasm has accumulated beneath the fovea in an irregular pattern owing to preserved neuronal function of the distal ganglion cells.
new window Figure 15-10: Accelerated hypertension. Fluorescein angiogram in a young man showing arteriolar constriction, dilation of capillaries with microaneurysms, and areas of closure. Marked disk edema is present.
new window Figure 15-11: Accelerated hypertension. Fluorescein angiogram in an elderly wom.an showing marked arteriolar constriction and irregularity but few signs of florid retinopathy.
new window Figure 15-12A: Fluorescein angiogram of left fundus in a patient with chronic ocular ischemia secondary to Takayasu's disease. Note capillary dilation, leakage of dye, retinal hemorrhages, cotton-wool spots, and neovascularization of the optic nerve head. B: Fluorescein angiogram, showing leakage at optic disk and macula in a patient with chronic ocular ischemia secondary to dural arteriovenous fistula.
new window Figure 15-13: Subacute bacterial endocarditis. Calcific embolus impacted in arteriole below the disk, producing a distal area of retinal infarction.
new window Figure 15-14Left: Retinal changes in chronic myeloid leukemia, where dilated veins and hemorrhages may be seen. Right: In acute lymphoblastic leukemia, infiltration of the disk may be seen.
new window Figure 15-15: Hyperviscosity syndrome. Dilated arteries and veins, with hemorrhages and microaneurysms in a patient with hyperviscosity due to elevated IgM levels.
new window Figure 15-16: Neoplastic disease. Top left: Normal fundus of a patient with rapid visual loss in his only eye. Top right: Chest x-ray showed left lower lobe consolidation and a hilar mass. Bottom: Carcinoma of the bronchus was confirmed at autopsy, and metastasis was found in the optic nerve in the region of the canal (arrows).
new window Figure 15-17: Diabetic retinopathy stage I. Trypsin-digested whole mount showing microaneurysms of the retinal capillaries.
new window Figure 15-18: Diabetic retinopathy. Fluorescein angiogram shows earliest stage with microaneurysm in the macular region.
new window Figure 15-19: Diabetic retinopathy. Fluorescein angiogram shows florid retinopathy of diabetes with extensive areas of capillary closure, dilated capillaries with microaneurysms, and early new vessel formation at the optic disk.
new window Figure 15-20: Proliferative diabetic retinopathy. Fluorescein angiogram shows extensive growth of vessels into the vitreous with marked fluorescein leakage.
new window Figure 15-21: Pupil-sparing third nerve palsy in diabetes mellitus. Sudden painful ophthalmoplegia, left ptosis, failure of adduction, and normal pupillary responses.
new window Figure 15-22: Thyroid ophthalmopathy. Left: Proptosis, visual loss, and ophthalmoplegia occurred in this elderly woman with a history of thyroid disease. Right: CT scans showed gross thickening of the ocular muscles, particularly in relation to the orbital apex. The increased intraorbital pressure is producing convexity of the medial orbital wall.
new window Figure 15-23: Keratomalacia. Case of xerophthalmia in a 5-month-old child.
new window Figure 15-24: Tuberculosis. Cold abscess. A young man presented with a swelling on his back (left) and a choroidal lesion (right). Aspiration of the abscess revealed Mycobacterium tuberculosis.
new window Figure 15-25: Sarcoidosis. Focal periphlebitis and disk leakage may respond dramatically to systemic corticosteroids. Left: Before treatment. Right: After 6 weeks of treatment with prednisolone, 30 mg daily.
new window Figure 15-26: Sarcoidosis. Retinal pigment epithelial and choroidal disease may be very distinctive (left) and highlighted by fluorescein angiography (right).
new window Figure 15-27: Leprosy keratitis, left eye. (Courtesy of W Richards.)
new window Figure 15-28: Secondary syphilis. Bilateral visual loss occurred in a 24-year-old man. Late fluorescein photographs showed disk leakage with dilation and leakage of peripapillary capillaries.
new window Figure 15-29: Toxoplasmosis. Active area of chorioretinitis adjacent to scar with reaction in adjacent retinal arteriole.
new window Figure 15-30: Retinal changes in AIDS. Multiple cotton-wool spots (left) and retinal necrosis with hemorrhage (right) due to opportunistic infection. (Courtesy of R Marsh.)
new window Figure 15-31: Polyarteritis nodosa. Bilateral sixth nerve palsies.
new window Figure 15-32: Classic Wegener's granulomatosis with proptosis, ptosis, and ophthalmoplegia. The condition has remained static for 10 years with use of cortico-steroids and cyclophosphamide.
new window Figure 15-33: Beh·et's disease. Clinical features include oral and genital ulcers. Ocular features include increased capillary permeability and areas of retinal ischemia and infiltration. Marked leakage of capillaries is seen in the late stages of fluorescein angiography (bottom right).
new window Figure 15-34: Marfan's syndrome. Familial expression of arachnodactyly and upward dislocation of the lens.
new window Figure 15-35: Vogt-Koyanagi-Harada syndrome. Acute pigment epithelial disease with disk swelling and cells in the vitreous (left). Three months later, disk swelling has subsided and pigment epithelial damage is seen (right).
new window Figure 15-36: Retinitis in an immunosuppressed patient. Left: This patient with myasthenia gravis underwent thymectomy and received long-term immunosuppression with cytotoxic agents. Right: He developed retinal necrosis and Ramsay Hunt syndrome following infection with herpes zoster.
new window Figure 15-37: Amiodarone keratopathy. (Courtesy of DJ Spalton.)

List of Tables

new window Table 15-1: Causes of amaurosis fugax.
new window Table 15-2: Thyroid function tests.
new window Table 15-3: Cytotoxic agents used in the management of inflammatory eye disease.

 
 
 
 

10.1036/1535-8860.ch15

Copyright ©2002-2003 The McGraw-Hill Companies. All rights reserved.
Any use is subject to the Terms of Use and Notice. Additional credits and copyright information. For further information about this site contact tech_support@accessmedicine.com.
Last modified: October 31, 2002 .
McGraw-HillEducation
The McGraw-Hill Companies
AccessLange: General Ophthalmology / Printed from AccessLange (accesslange.accessmedicine.com).
 
Copyright ©2002-2003 The McGraw-Hill Companies. All rights reserved.