AccessLangeGeneral Ophthalmology
Vaughan, Asbury, Riordan-Eva :
AccessMedicine.com
HomeAboutAccount ServicesBuy BooksSite MapHelpLogoutAccessMedicine HomeAccessMedicine Publications
Full TOC

Related Sites
Forum

Chapter 13: Orbit

PRIMARY ORBITAL TUMORS

CAPILLARY HEMANGIOMA

Capillary hemangiomas are common benign tumors that sometimes involve the eyelids and orbit (Figure 13-6). Superficial lesions are reddish (strawberry nevus), and deeper lesions are more bluish. Over 90% become apparent before the age of 6 months. They tend to enlarge rapidly in the first year of life and regress slowly over 6-7 years. Lesions within the orbit may cause strabismus or proptosis. Involvement of the eyelids may induce astigmatism or occlude vision, resulting in amblyopia.


Figure 13-6

Figure 13-6: Capillary hemangioma.

Small superficial lesions require no treatment and are best allowed to spontaneously regress. Deep orbital lesions are often associated with significant morbidity with or without treatment. The most common dilemma, however, is the rapidly growing lid lesion in a preverbal infant. Parents are often unwilling to wait for spontaneous regression and plead for treatment even if amblyopia is not a threat. The use of intralesional sustained-release corticosteroids has been found to be effective in many instances and has evolved as the preferred method of treatment in most cases. Corticosteroids are thought to have an antiangiogenic effect that inhibits capillary proliferation and induces vascular constriction.

Other forms of treatment are less effective but sometimes necessary. These include prolonged compression, systemic corticosteroids, sclerosing agents, cryotherapy, laser surgery, radiation, and surgical resection.

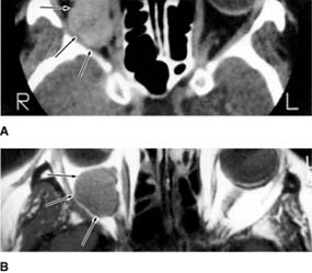
CAVERNOUS HEMANGIOMA (Figure 13-7)

Cavernous hemangiomas are benign, grow slowly, and usually become symptomatic in middle life. Most occur in women. They most often lie within the muscle cone, producing axial proptosis, hyperopia, and, in many cases, choroidal folds. Unlike capillary hemangiomas, they do not tend to regress spontaneously. Surgical excision is usually successful and is indicated if the patient is symptomatic.


Figure 13-7

Figure 13-7: Cavernous hemangioma (arrows) of the right orbit as demonstrated by both CT scan (A) and MRI (B). The left side demonstrates the appearance of a normal orbit and globe. (Courtesy of D Char.)

LYMPHANGIOMA

In its early stages, lymphangioma may be very similar to hemangioma-even histologically such that some authors have suggested a primarily venous origin. Both usually begin in infancy, though lymphangioma may present later in life. Lymphangioma does not regress and is characterized by intermittent hemorrhage and gradual worsening. Large blood cysts may cause proptosis and diplopia and require evacuation.

The tumor is often multifocal and frequently occurs in the soft palate and other areas of the face as well as the orbit. On histologic examination, it consists of large serum-filled channels and lymphoid follicles. Treatment can be for the purpose of either acute decompression of a hemorrhagic blood cyst or eradication of the tumor. Needle aspiration of blood or extirpation of a specific cyst may be temporarily effective. Excision of tumor by any method is seldom satisfactory. The risk of amblyopia is similar to that associated with capillary hemangioma.

RHABDOMYOSARCOMA (Figure 13-8)

Rhabdomyosarcoma is the most common primary malignant tumor of the orbit in childhood. Presentation is before age 10, and rapid growth is characteristic. The tumor may destroy adjacent orbital bone and spread into the brain. The combination of external megavoltage radiation and chemotherapy has improved the survival rate of these patients from less than 50%, when orbital exenteration was used, to over 90% today.


Figure 13-8

Figure 13-8: Rhabdomyosarcoma.

NEUROFIBROMA

Neurofibromatosis 1 (Recklinghausen's disease) is inherited as an autosomal dominant trait. The responsible gene is on chromosome 17. Plexiform neurofibromas are characteristic and can distort the eyelids (Figure 13-9) and orbit. The presence of café au lait spots helps confirm the diagnosis. The sphenoid bone is often defective; the associated orbital defect may lead to pulsating exophthalmos or enophthalmos. Optic nerve gliomas produce signs (proptosis) and symptoms (visual loss) in 5% of affected individuals; imaging has shown that many more patients harbor asymptomatic optic nerve gliomas. Some of these patients also develop meningiomas and, rarely, malignant peripheral nerve sheath tumors.


Figure 13-9

Figure 13-9: Plexiform neurofibroma of upper eyelid in neurofibromatosis 1.

OPTIC NERVE GLIOMA

Approximately 75% of symptomatic optic nerve gliomas become apparent before age 10. Twenty-five to 50 percent are associated with neurofibromatosis 1. They are low-grade astrocytomas. Those anterior to the chiasm behave in a benign fashion; those in and posterior to the chiasm may be more aggressive. Visual loss and optic atrophy are the most common signs. Proptosis occurs if the tumor is in the orbit.

Treatment is controversial. There are no compelling statistics to indicate that any form of treatment is applicable to all cases. Some believe that these tumors do not require treatment, others that they require surgical excision, radiotherapy, or chemotherapy. If progressive tumor growth and visual loss can be clearly documented, radiotherapy is often effective in stabilizing or even improving vision. There is a risk of secondary damage to the central nervous system such that chemotherapy is advocated as a better option, but there is little long-term follow-up data. In blind eyes with marked proptosis, the patient's cosmetic appearance can often be improved by excising the tumor through a lateral orbitotomy.

LACRIMAL GLAND TUMORS

Fifty percent of masses presenting in the lacrimal gland are epithelial tumors; one-half of these are malignant. Inflammatory masses and lymphoproliferative tumors comprise the other 50%. The most common epithelial tumor is the pleomorphic adenoma (benign mixed tumor). These tumors should be excised-not biopsied-because of their propensity for recurrence and malignant transformation.

A malignant tumor of the lacrimal gland is suspected when the patient presents with pain and destructive bony changes are evident on x-ray. Biopsy should be performed through the eyelid to avoid tumor seeding in the orbit. Orbital exenteration with ostectomy is required if there is to be any chance of survival. Even with radical treatment, the prognosis is poor.

LYMPHOMA

Lymphomatous tumors of the orbit are divided into malignant lymphomas and reactive lymphoid hyperplasia, or pseudolymphoma. Immunologic and DNA hybridization techniques can help the pathologist determine whether a given lesion is a monoclonal proliferation (and presumably malignant) or a benign polyclonal proliferation. However, malignant lymphomas can have associated benign reactive lesions; benign polyclonal lesions can have small clones of B lymphocytes; and monoclonal tumors often remain localized and behave in a benign fashion.

The differential diagnosis includes orbital infection and pseudotumor, with or without systemic vasculitis. Pain is more common with benign inflammatory processes than with malignant lymphomas.

The prognosis for both polyclonal lymphoid proliferations and well-differentiated B cell monoclonal lesions is excellent. If disease is confined to the orbit, treatment for both monoclonal and polyclonal lesions is with radiation. In one study, only 13% of these patients who were free of systemic disease after 6 months developed nonocular lymphomatous lesions.

HISTIOCYTOSIS

Proliferation of Langerhans cells with characteristic cytoplasmic granules comprises a spectrum of disease that includes what were formerly classified as unifocal and multifocal eosinophilic granuloma, Hand-Schüller-Christian disease (multifocal lytic skull lesion, proptosis, and diabetes insipidus), and Letterer-Siwe disease (cutaneous, visceral, and lymph node involvement). The younger the child at the time of diagnosis, the greater the chance of multifocal disease.

The orbital lesions can be treated with surgical curettement, corticosteroid injections, or low-dose radiation.

 
PREVIOUS | NEXT
 
 
Page: 1 | 2 | 3 | 4 | 5 | 6 | 7
 
 

10.1036/1535-8860.ch13

Copyright ©2002-2003 The McGraw-Hill Companies. All rights reserved.
Any use is subject to the Terms of Use and Notice. Additional credits and copyright information. For further information about this site contact tech_support@accessmedicine.com.
Last modified: October 17, 2002 .
McGraw-HillEducation
The McGraw-Hill Companies
Top