AccessLangeGeneral Ophthalmology
Vaughan, Asbury, Riordan-Eva :
AccessMedicine.com
HomeAboutAccount ServicesBuy BooksSite MapHelpLogoutAccessMedicine HomeAccessMedicine Publications
Full TOC

Related Sites
Forum

Chapter 14: Neuro-ophthalmology

THE OPTIC CHIASM

In general, lesions of the chiasm cause bitemporal hemianopic defects. Early, these defects are typically incomplete and are often asymmetric. However, as compression progresses, the temporal hemianopia becomes complete, the inferior and superior nasal fields will then be involved, and central visual acuity will decrease. Most diseases that affect the chiasm are neoplastic, with vascular or inflammatory processes only occasionally producing chiasmatic visual field loss.

PITUITARY TUMORS

The anterior lobe of the pituitary gland is the site of origin of pituitary tumors (Figure 14-26). Symptoms and signs include loss of vision, field changes, pituitary dysfunction, extraocular nerve palsies, and evidence on CT scan or MRI of sellar and suprasellar tumor.


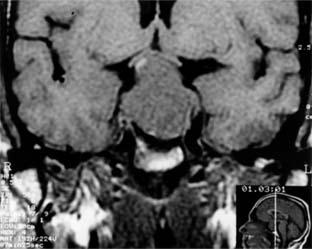
Figure 14-26

Figure 14-26: Coronal MRI showing large pituitary adenoma elevating and distorting the optic chiasm.

Combination therapy with radiation and surgery has been challenged by medical treatment with bromocriptine, which has been effective not only in tumors associated with galactorrhea but also in some null cell (or endocrinologically inactive) tumors. Visual loss or endocrine dysfunction is an indication for treatment. Visual acuity and visual fields may improve dramatically after pressure has been removed from the chiasm. The initial appearance of the optic nerve head does not predict the ultimate visual outcome.

CRANIOPHARYNGIOMA

Craniopharyngiomas are an uncommon group of tumors arising from epithelial remnants of Rathke's pouch (80% of the population normally have such remnants) and characteristically become symptomatic between the ages of 10 and 25 years but occasionally not until the 60s and 70s. They are usually suprasellar (Figure 14-27), occasionally intrasellar. The signs and symptoms vary tremendously with the age of the patient and the exact location of the tumor as well as its rate of growth. When a suprasellar tumor occurs, asymmetric chiasmatic or tract field defects are prominent. Papilledema is more common than in pituitary tumors. Optic nerve hypoplasia can be seen in those tumors presenting in infancy. Pituitary deficiency may result, and involvement of the hypothalamus may cause stunted growth. Calcification of parts of the tumor contributes to a characteristic radiologic appearance, especially in children.


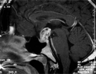
Figure 14-27

Figure 14-27: Sagittal MRI showing contrast enhanced suprasellar craniopharyngioma.

Treatment consists of surgical removal-as complete as possible at the first procedure, since reoperation tends to involve the hypothalamus, and patients then do poorly. Adjunctive radiotherapy is often used, particularly if there has been incomplete surgical removal.

SUPRASELLAR MENINGIOMAS

Suprasellar meningiomas arise from the meninges covering the tuberculum sellae and the planum sphenoidale, with a high proportion of patients being female. The tumor is usually anterior and superior to the chiasm. Visual field changes due to involvement of the optic nerves and chiasm often occur early (but asymmetrically) followed by slowly progressive damage to the visual pathway. CT scans with contrast enhancement easily demonstrate these tumors. Hyperostoses associated with bony erosion and a dense calcified tumor are the radiologic hallmarks of meningioma. Treatment consists of surgical removal, often combined with adjuvant radiotherapy if there has been incomplete excision.

CHIASMATIC & OPTIC NERVE GLIOMAS

Optic nerve and chiasm gliomas are rare, usually indolent disorders of children that sometimes occur as part of the clinical picture of neurofibromatosis 1. Onset may be sudden, with rapid loss of vision. Optic atrophy occurs, and visual field defects reveal an optic nerve or chiasmatic syndrome. Neuroimaging may reveal enlarged optic nerves and a mass in the region of the chiasm and hypothalamus. Treatment depends on the location of the tumor and its clinical course. Irradiation can be given during a tumor growth spurt, and optic nerve resection is sometimes done when an optic nerve tumor aggressively starts to extend intracranially toward the chiasm.

Malignant glioma of the anterior visual pathways is a rare disease of elderly men. There is a rapid clinical course to bilateral blindness and death due to invasion of the base of the brain. There is no effective treatment.

 
PREVIOUS | NEXT
 
 
Page: 1 | 2 | 3 | 4 | 5 | 6 | 7 | 8 | 9 | 10 | 11 | 12 | 13 | 14 | 15
 
 

10.1036/1535-8860.ch14

Copyright ©2002-2003 The McGraw-Hill Companies. All rights reserved.
Any use is subject to the Terms of Use and Notice. Additional credits and copyright information. For further information about this site contact tech_support@accessmedicine.com.
Last modified: October 17, 2002 .
McGraw-HillEducation
The McGraw-Hill Companies
Top